JavaScript is disabled in your browser. Please enable JavaScript to view this website.
AB40673

Anti-Rho antibody [EP487Y]

5

(3 Reviews)

|

(15 Publications)

Rabbit Recombinant Monoclonal RHOA antibody. Suitable for IHC-P, WB, ICC/IF and reacts with Human, Mouse, Rat samples. Cited in 15 publications.

View Alternative Names

ARH12, ARHA, RHO12, RHOA, Transforming protein RhoA, Rho cDNA clone 12, h12

8 Images
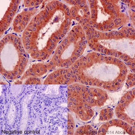
Immunohistochemistry (Formalin/PFA-fixed paraffin-embedded sections) - Anti-Rho antibody [EP487Y] (AB40673)
  • IHC-P

Unknown

Immunohistochemistry (Formalin/PFA-fixed paraffin-embedded sections) - Anti-Rho antibody [EP487Y] (AB40673)

Immunohistochemical staining of paraffin embedded human thyroid carcinoma with purified ab40673 at a working dilution of 1 in 250. The secondary antibody used is a HRP polymer for rabbit IgG. The sample is counter-stained with hematoxylin. Antigen retrieval was perfomed using Tris-EDTA buffer, pH 9.0. PBS was used instead of the primary antibody as the negative control, and is shown in the inset.

Immunocytochemistry/ Immunofluorescence - Anti-Rho antibody [EP487Y] (AB40673)
  • ICC/IF

Unknown

Immunocytochemistry/ Immunofluorescence - Anti-Rho antibody [EP487Y] (AB40673)

Immunofluorescence staining of MCF7 cells with purified ab40673 at a working dilution of 1 in 250, counter-stained with DAPI. The secondary antibody was Alexa Fluor® 488 goat anti rabbit, used at a dilution of 1 in 500. The cells were fixed in 4% PFA and permeabilized using 0.1% Triton X 100. The negative control is shown in bottom right hand panel - for the negative control, PBS was used as primary, followed by an Alexa Fluor® 488 goat anti-rabbit secondary (ab150077) at a dilution of 1/500.

Western blot - Anti-Rho antibody [EP487Y] (AB40673)
  • WB

Lab

Western blot - Anti-Rho antibody [EP487Y] (AB40673)

Blocking buffer : 5% NFDM/TBST

Dilution buffer : 5% NFDM/TBST

All lanes:

Western blot - Anti-Rho antibody [EP487Y] (ab40673) at 1/1000 dilution

All lanes:

MDA-MB-435 at 20 µg

Secondary

All lanes:

HRP goat anti-rabbit (H+L)

Predicted band size: 22 kDa

Observed band size: 22 kDa

false

Western blot - Anti-Rho antibody [EP487Y] (AB40673)
  • WB

Lab

Western blot - Anti-Rho antibody [EP487Y] (AB40673)

Blocking buffer : 5% NFDM/TBST

Dilution buffer : 5% NFDM/TBST

All lanes:

Western blot - Anti-Rho antibody [EP487Y] (ab40673) at 1/1000 dilution

Lane 1:

A431 cell lysate at 20 µg

Lane 2:

MCF7 cell lysate at 20 µg

Lane 3:

HeLa cell lysate at 20 µg

Lane 4:

K562 cell lysate at 20 µg

Lane 5:

Jurkat cell lysate at 20 µg

Secondary

All lanes:

HRP goat anti-rabbit (H+L) at 1/1000 dilution

Predicted band size: 22 kDa

Observed band size: 22 kDa

false

Western blot - Anti-Rho antibody [EP487Y] (AB40673)
  • WB

Lab

Western blot - Anti-Rho antibody [EP487Y] (AB40673)

Blocking buffer : 5% NFDM/TBST

Dilution buffer : 5% NFDM/TBST

All lanes:

Western blot - Anti-Rho antibody [EP487Y] (ab40673) at 1/5000 dilution

All lanes:

HL-60 cell lysate at 20 µg

Secondary

All lanes:

HRP goat anti-rabbit (H+L) at 1/1000 dilution

Predicted band size: 22 kDa

Observed band size: 22 kDa

false

Western blot - Anti-Rho antibody [EP487Y] (AB40673)
  • WB

Lab

Western blot - Anti-Rho antibody [EP487Y] (AB40673)

Blocking buffer : 5% NFDM/TBST

Dilution buffer : 5% NFDM/TBST

All lanes:

Western blot - Anti-Rho antibody [EP487Y] (ab40673) at 1/1000 dilution

All lanes:

C6 cell lysate at 20 µg

Secondary

All lanes:

HRP goat anti-rabbit (H+L) at 1/1000 dilution

Predicted band size: 22 kDa

Observed band size: 22 kDa

false

Western blot - Anti-Rho antibody [EP487Y] (AB40673)
  • WB

Lab

Western blot - Anti-Rho antibody [EP487Y] (AB40673)

Blocking buffer : 5% NFDM/TBST

Dilution buffer : 5% NFDM/TBST

All lanes:

Western blot - Anti-Rho antibody [EP487Y] (ab40673) at 1/1000 dilution

All lanes:

Mouse kidney tissue lysate at 10 µg

Secondary

All lanes:

HRP goat anti-rabbit (H+L) at 1/1000 dilution

Predicted band size: 22 kDa

Observed band size: 22 kDa

false

Western blot - Anti-Rho antibody [EP487Y] (AB40673)
  • WB

CiteAb

Western blot - Anti-Rho antibody [EP487Y] (AB40673)

Rho western blot using anti-Rho antibody [EP487Y] ab40673. Publication image and figure legend from Wang, Z., Li, T. E., et al., 2020, Aging (Albany NY), PubMed 31986487.

ab40673 was used in this publication in western blot. This may not be the same as the application(s) guaranteed by Abcam. For a full list of applications guaranteed by Abcam for ab40673 please see the product overview.

The Rho/ROCK1 pathway participated in CNN1-induced breast cancer. (A) The half-time of ROCK1 transcript after CNN1 overexpression was decreased using half-time assay. The MCF-7 and MDA-MB-231 cells after transfection with CNN1 overexpression were treated with Act D (8 μg/ml) for 0 h, 2 h, 4 h, 6 h, and 8 h. The ROCK1 mRNA remaining was detected by qRT-PCR. (B) The protein expressions of Rho and ROCK1 was decreased after CNN1 overexpression. The western blot assay was used to measure the protein expression after CNN1 overexpression for 24 h. Control, the cells were cultured without any treatment. NC, the cells were treated with the negative control. CNN1 OE, the cells were treated with CNN1 overexpression. *p<0.05 vs. Control and **p<0.001 vs. Control.

false

  • Carrier free

    Anti-Rho antibody [EP487Y] - BSA and Azide free

Key facts

Host species

Rabbit

Clonality

Monoclonal

Clone number

EP487Y

Isotype

IgG

Carrier free

No

Reacts with

Mouse, Rat, Human

Applications

WB, IHC-P, ICC/IF

applications

Immunogen

The exact immunogen used to generate this antibody is proprietary information.

Specificity

This antibody is specific for Rho. It is also expected to detect RhoA, RhoB and RhoC.

Reactivity data

{ "title": "Reactivity Data", "filters": { "stats": ["", "Species", "Dilution Info", "Notes"], "tabs": { "all-applications": {"fullname" : "All Applications", "shortname": "All Applications"}, "IHCP" : {"fullname" : "Immunohistochemistry (Formalin/PFA-fixed paraffin-embedded sections)", "shortname":"IHC-P"}, "WB" : {"fullname" : "Western blot", "shortname":"WB"}, "ICCIF" : {"fullname" : "Immunocytochemistry/ Immunofluorescence", "shortname":"ICC/IF"} }, "product-promise": { "all": "all", "testedAndGuaranteed": "tested", "guaranteed": "expected", "predicted": "predicted", "notRecommended": "not-recommended" } }, "values": { "Human": { "IHCP-species-checked": "testedAndGuaranteed", "IHCP-species-dilution-info": "1/100 - 1/250", "IHCP-species-notes": "<p></p>", "WB-species-checked": "testedAndGuaranteed", "WB-species-dilution-info": "1/1000 - 1/5000", "WB-species-notes": "<p></p>", "ICCIF-species-checked": "testedAndGuaranteed", "ICCIF-species-dilution-info": "1/250", "ICCIF-species-notes": "<p></p>" }, "Mouse": { "IHCP-species-checked": "guaranteed", "IHCP-species-dilution-info": "", "IHCP-species-notes": "", "WB-species-checked": "testedAndGuaranteed", "WB-species-dilution-info": "1/1000 - 1/5000", "WB-species-notes": "<p></p>", "ICCIF-species-checked": "guaranteed", "ICCIF-species-dilution-info": "", "ICCIF-species-notes": "" }, "Rat": { "IHCP-species-checked": "guaranteed", "IHCP-species-dilution-info": "", "IHCP-species-notes": "", "WB-species-checked": "testedAndGuaranteed", "WB-species-dilution-info": "1/1000 - 1/5000", "WB-species-notes": "<p></p>", "ICCIF-species-checked": "guaranteed", "ICCIF-species-dilution-info": "", "ICCIF-species-notes": "" } } }

Product details

Patented technology
Our RabMAb® technology is a patented hybridoma-based technology for making rabbit monoclonal antibodies. For details on our patents, please refer to RabMAb® patents.

What are the advantages of a recombinant monoclonal antibody?
This product is a recombinant monoclonal antibody, which offers several advantages including:

  • - High batch-to-batch consistency and reproducibility
  • - Improved sensitivity and specificity
  • - Long-term security of supply
  • - Animal-free batch production

For more information, read more on recombinant antibodies.

Properties and storage information

Form
Liquid
Purification technique
Affinity purification Protein A
Storage buffer
pH: 7.2 - 7.4 Preservative: 0.01% Sodium azide Constituents: PBS, 40% Glycerol (glycerin, glycerine), 0.05% BSA
Shipped at conditions
Blue Ice
Appropriate short-term storage conditions
+4°C
Appropriate long-term storage conditions
-20°C
Aliquoting information
Upon delivery aliquot
Storage information
Avoid freeze / thaw cycle

Supplementary information

This supplementary information is collated from multiple sources and compiled automatically.

Rho is a small GTPase known for its role in regulating the cytoskeleton. Alternate names include RhoA RhoB and RhoC. Rho proteins have a molecular mass of about 21 kDa. It is expressed in various tissues with particularly high levels in muscle the brain and fibroblasts. Rho belongs to the Ras homologous (Rho) family of GTPases and acts as a molecular switch that toggles between an active GTP-bound state and an inactive GDP-bound state.
Biological function summary

By controlling the organization of the cytoskeleton Rho plays a vital role in cell shape motility and division. It is part of the Rho family GTPase complex which includes other members like Rac and Cdc42. These proteins coordinate actin filament formation affecting cellular movements such as migration and adhesion. Rho also influences the formation of stress fibers and focal adhesions linking it to mechanical stress response and cell polarity.

Pathways

Rho orchestrates cell activities through pathways like the Rho/Rho kinase (ROCK) and the phosphatidylinositol-45-bisphosphate 3-kinase (PI3K) pathways. In the Rho/ROCK pathway Rho activates ROCK leading to actomyosin contractility and cell movement. Rho also interacts with proteins like Rac and Cdc42 in the PI3K pathway coordinating diverse cellular responses. This involvement is important for processes such as cell cycle progression and apoptosis.

Improper Rho functioning is linked to conditions like cancer and cardiovascular diseases. Rho proteins contribute to cancer progression through their role in regulating cell motility and invasion with an overexpression often seen in tumors. Additionally in cardiovascular diseases Rho affects vascular smooth muscle function influencing blood pressure regulation. In these contexts Rho interacts with proteins such as ROCK and Rac which are also implicated in pathological states. Researchers use anti-Rho and anti-Rho antibodies to study these interactions and understand Rho-related pathologies better.

Product protocols

For this product, it's our understanding that no specific protocols are required. You can visit:

Target data

Small GTPase which cycles between an active GTP-bound and an inactive GDP-bound state. Mainly associated with cytoskeleton organization, in active state binds to a variety of effector proteins to regulate cellular responses such as cytoskeletal dynamics, cell migration and cell cycle (PubMed : 23871831). Regulates a signal transduction pathway linking plasma membrane receptors to the assembly of focal adhesions and actin stress fibers (PubMed : 31570889, PubMed : 8910519, PubMed : 9121475). Involved in a microtubule-dependent signal that is required for the myosin contractile ring formation during cell cycle cytokinesis (PubMed : 12900402, PubMed : 16236794). Plays an essential role in cleavage furrow formation. Required for the apical junction formation of keratinocyte cell-cell adhesion (PubMed : 20974804, PubMed : 23940119). Essential for the SPATA13-mediated regulation of cell migration and adhesion assembly and disassembly (PubMed : 19934221). The MEMO1-RHOA-DIAPH1 signaling pathway plays an important role in ERBB2-dependent stabilization of microtubules at the cell cortex. It controls the localization of APC and CLASP2 to the cell membrane, via the regulation of GSK3B activity. In turn, membrane-bound APC allows the localization of the MACF1 to the cell membrane, which is required for microtubule capture and stabilization (PubMed : 20937854). Regulates KCNA2 potassium channel activity by reducing its location at the cell surface in response to CHRM1 activation; promotes KCNA2 endocytosis (PubMed : 19403695, PubMed : 9635436). Acts as an allosteric activator of guanine nucleotide exchange factor ECT2 by binding in its activated GTP-bound form to the PH domain of ECT2 which stimulates the release of PH inhibition and promotes the binding of substrate RHOA to the ECT2 catalytic center (PubMed : 31888991). May be an activator of PLCE1 (PubMed : 16103226). In neurons, involved in the inhibition of the initial spine growth. Upon activation by CaMKII, modulates dendritic spine structural plasticity by relaying CaMKII transient activation to synapse-specific, long-term signaling (By similarity). Acts as a regulator of platelet alpha-granule release during activation and aggregation of platelets (By similarity). When activated by DAAM1 may signal centrosome maturation and chromosomal segregation during cell division. May also be involved in contractile ring formation during cytokinesis.. (Microbial infection) Serves as a target for the yopT cysteine peptidase from Yersinia pestis, vector of the plague.
See full target information RHOA

Publications (15)

Recent publications for all applications. Explore the full list and refine your search

Frontiers in cell and developmental biology 13:1582970 PubMed40677921

2025

Selective blockade of acid-sensing ion channel 1a can provide substantial hippocampal neuroprotection.

Applications

Unspecified application

Species

Unspecified reactive species

Jiaai Li,Yu Cheng,Di Ma,Guangjian Li,Weixuan Zhao,Ting Jiang,Hongmei Meng

Frontiers in endocrinology 14:1174600 PubMed37033230

2023

Biphasic expression of thyroid hormone receptor TRβ1 in mammalian retina and anterior ocular tissues.

Applications

Unspecified application

Species

Unspecified reactive species

Lily Ng,Hong Liu,Ye Liu,Douglas Forrest

Molecular brain 15:35 PubMed35461284

2022

Roles of Rufy3 in experimental subarachnoid hemorrhage-induced early brain injury via accelerating neuronal axon repair and synaptic plasticity.

Applications

Unspecified application

Species

Unspecified reactive species

Yang Wang,Jianguo Xu,Wanchun You,Haitao Shen,Xiang Li,Zhengquan Yu,Haiying Li,Gang Chen

Frontiers in neurology 11:563281 PubMed33178107

2020

Hyperbaric Oxygen Treatment Improves Intestinal Barrier Function After Spinal Cord Injury in Rats.

Applications

Unspecified application

Species

Unspecified reactive species

Xuehua Liu,Fang Liang,Jing Zhang,Zhuo Li,Jing Yang,Nan Kang

The Journal of experimental medicine 217: PubMed32633781

2020

SOAT1 promotes mevalonate pathway dependency in pancreatic cancer.

Applications

Unspecified application

Species

Unspecified reactive species

Tobiloba E Oni,Giulia Biffi,Lindsey A Baker,Yuan Hao,Claudia Tonelli,Tim D D Somerville,Astrid Deschênes,Pascal Belleau,Chang-Il Hwang,Francisco J Sánchez-Rivera,Hilary Cox,Erin Brosnan,Abhishek Doshi,Rebecca P Lumia,Kimia Khaledi,Youngkyu Park,Lloyd C Trotman,Scott W Lowe,Alexander Krasnitz,Christopher R Vakoc,David A Tuveson

Folia neuropathologica 58:45-56 PubMed32337957

2020

PARP1 might enhance the therapeutic effect of tetrahydroxystilbene glucoside in traumatic brain injury via inhibition of Ras/JNK signalling pathway.

Applications

Unspecified application

Species

Unspecified reactive species

Yiqiang Cao,Yu Chen,Fei Wang,Yonggang Wang,Jiang Long

Aging 12:1867-1887 PubMed31986487

2020

miR-106b-5p contributes to the lung metastasis of breast cancer via targeting CNN1 and regulating Rho/ROCK1 pathway.

Applications

Unspecified application

Species

Unspecified reactive species

Zheng Wang,Tian-En Li,Mo Chen,Jun-Jie Pan,Kun-Wei Shen

Molecular psychiatry : PubMed31399635

2019

Amphetamines signal through intracellular TAAR1 receptors coupled to Gα and Gα in discrete subcellular domains.

Applications

Unspecified application

Species

Unspecified reactive species

Suzanne M Underhill,Patrick D Hullihen,Jingshan Chen,Cristina Fenollar-Ferrer,M A Rizzo,Susan L Ingram,Susan G Amara

Biochemical and biophysical research communication 514:482-489 PubMed31056254

2019

Ubiquitin-specific protease 3 targets TRAF6 for deubiquitination and suppresses IL-1β induced chondrocyte apoptosis.

Applications

Unspecified application

Species

Unspecified reactive species

Qi Zhou,Zhonghua Xiao,Rong Zhou,Yiqin Zhou,Peiliang Fu,Xiang Li,Yuli Wu,Haishan Wu,Qirong Qian

Molecular medicine reports 19:678-684 PubMed30387819

2018

Salidroside prevents diabetes‑induced cognitive impairment via regulating the Rho pathway.

Applications

Unspecified application

Species

Unspecified reactive species

Xiuzhen Hao,Jie Yuan,Huixiao Dong
View all publications

Product promise

We are committed to supporting your work with high-quality reagents, and we're here for you every step of the way. In the unlikely event that one of our products does not perform as expected, you're protected by our Product Promise.
For full details, please see our Terms & Conditions

Please note: All products are 'FOR RESEARCH USE ONLY. NOT FOR USE IN DIAGNOSTIC OR THERAPEUTIC PROCEDURES'.

For licensing inquiries, please contact partnerships@abcam.com