JavaScript is disabled in your browser. Please enable JavaScript to view this website.
AB236278

Anti-RhoA antibody

Be the first to review this product! Submit a review

|

(1 Publication)

Rabbit Polyclonal RHOA antibody. Suitable for IHC-P and reacts with Human samples. Cited in 1 publication. Immunogen corresponding to Recombinant Fragment Protein within Human RHOA aa 1 to C-terminus.

View Alternative Names

ARH12, ARHA, RHO12, RHOA, Transforming protein RhoA, Rho cDNA clone 12, h12

1 Images
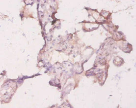
Immunohistochemistry (Formalin/PFA-fixed paraffin-embedded sections) - Anti-RhoA antibody (AB236278)
  • IHC-P

Supplier Data

Immunohistochemistry (Formalin/PFA-fixed paraffin-embedded sections) - Anti-RhoA antibody (AB236278)

Paraffin-embedded human placenta tissue stained for RhoA using ab236278 at 1/20 dilution in immunohistochemical analysis.

Key facts

Host species

Rabbit

Clonality

Polyclonal

Isotype

IgG

Carrier free

No

Reacts with

Human

Applications

IHC-P

applications

Immunogen

Recombinant Fragment Protein within Human RHOA aa 1 to C-terminus. The exact immunogen used to generate this antibody is proprietary information.

P61586

Reactivity data

{ "title": "Reactivity Data", "filters": { "stats": ["", "Species", "Dilution Info", "Notes"], "tabs": { "all-applications": {"fullname" : "All Applications", "shortname": "All Applications"}, "IHCP" : {"fullname" : "Immunohistochemistry (Formalin/PFA-fixed paraffin-embedded sections)", "shortname":"IHC-P"} }, "product-promise": { "all": "all", "testedAndGuaranteed": "tested", "guaranteed": "expected", "predicted": "predicted", "notRecommended": "not-recommended" } }, "values": { "Human": { "IHCP-species-checked": "testedAndGuaranteed", "IHCP-species-dilution-info": "1/20 - 1/200", "IHCP-species-notes": "<p></p>" }, "Mouse": { "IHCP-species-checked": "predicted", "IHCP-species-dilution-info": "", "IHCP-species-notes": "" }, "Cow": { "IHCP-species-checked": "predicted", "IHCP-species-dilution-info": "", "IHCP-species-notes": "" }, "Dog": { "IHCP-species-checked": "predicted", "IHCP-species-dilution-info": "", "IHCP-species-notes": "" }, "Orangutan": { "IHCP-species-checked": "predicted", "IHCP-species-dilution-info": "", "IHCP-species-notes": "" } } }

Properties and storage information

Form
Liquid
Purification technique
Affinity purification Protein G
Purification notes
Purity >95%
Storage buffer
pH: 7.4 Preservative: 0.03% Proclin 300 Constituents: PBS, 50% Glycerol (glycerin, glycerine)
Shipped at conditions
Blue Ice
Appropriate short-term storage duration
1-2 weeks
Appropriate short-term storage conditions
+4°C
Appropriate long-term storage conditions
-20°C
Aliquoting information
Upon delivery aliquot
Storage information
Avoid freeze / thaw cycle

Supplementary information

This supplementary information is collated from multiple sources and compiled automatically.

RhoA also known as Ras homolog family member A is a small signaling GTPase. It weighs approximately 21 kDa. This protein is a part of the Rho family which includes other members like RhoB and RhoC. RhoA is widely expressed in various tissues including the brain kidney liver and lungs. Mechanically RhoA functions as a molecular switch cycling between an active GTP-bound state and an inactive GDP-bound state. This activity regulates the organization of the actin cytoskeleton and influences cell shape attachment and motility.
Biological function summary

The role of RhoA extends to cell proliferation and differentiation. It is a component of the Rho-GTPase cycle interacting with numerous effectors to transmit signals from the cell membrane to the actin cytoskeleton. RhoA influences the assembly of stress fibers and focal adhesions. It plays a part in cellular adhesion and migration making it essential for development and wound healing processes. As a central player in these activities RhoA affects several cellular responses to external stimuli.

Pathways

Research places RhoA prominently in the regulation of the Rho-ROCK (Rho-associated protein kinase) pathway and the planar cell polarity pathway. The Rho-ROCK pathway contributes to cytoskeletal dynamics and cell contractility while the planar cell polarity pathway influences tissue architecture during embryonic development. RhoA interacts with G17A in these pathways coordinating activities such as smooth muscle contraction and neuronal growth. These interactions also involve cross-talk with other signals linked to GTPases like Rac1 and Cdc42.

RhoA has connections to cancer progression and hypertension. In cancer RhoA regulates actin dynamics influencing tumor cell migration and invasion. It forms interactions with proteins such as p53 affecting apoptotic pathways and tumor suppression. In hypertension RhoA's role in smooth muscle contraction affects blood vessel tension and blood pressure regulation. Abnormal activity in the Rho-ROCK pathway contributes to these disorders highlighting the significance of RhoA in disease mechanisms.

Product protocols

For this product, it's our understanding that no specific protocols are required. You can visit:

Target data

Small GTPase which cycles between an active GTP-bound and an inactive GDP-bound state. Mainly associated with cytoskeleton organization, in active state binds to a variety of effector proteins to regulate cellular responses such as cytoskeletal dynamics, cell migration and cell cycle (PubMed : 23871831). Regulates a signal transduction pathway linking plasma membrane receptors to the assembly of focal adhesions and actin stress fibers (PubMed : 31570889, PubMed : 8910519, PubMed : 9121475). Involved in a microtubule-dependent signal that is required for the myosin contractile ring formation during cell cycle cytokinesis (PubMed : 12900402, PubMed : 16236794). Plays an essential role in cleavage furrow formation. Required for the apical junction formation of keratinocyte cell-cell adhesion (PubMed : 20974804, PubMed : 23940119). Essential for the SPATA13-mediated regulation of cell migration and adhesion assembly and disassembly (PubMed : 19934221). The MEMO1-RHOA-DIAPH1 signaling pathway plays an important role in ERBB2-dependent stabilization of microtubules at the cell cortex. It controls the localization of APC and CLASP2 to the cell membrane, via the regulation of GSK3B activity. In turn, membrane-bound APC allows the localization of the MACF1 to the cell membrane, which is required for microtubule capture and stabilization (PubMed : 20937854). Regulates KCNA2 potassium channel activity by reducing its location at the cell surface in response to CHRM1 activation; promotes KCNA2 endocytosis (PubMed : 19403695, PubMed : 9635436). Acts as an allosteric activator of guanine nucleotide exchange factor ECT2 by binding in its activated GTP-bound form to the PH domain of ECT2 which stimulates the release of PH inhibition and promotes the binding of substrate RHOA to the ECT2 catalytic center (PubMed : 31888991). May be an activator of PLCE1 (PubMed : 16103226). In neurons, involved in the inhibition of the initial spine growth. Upon activation by CaMKII, modulates dendritic spine structural plasticity by relaying CaMKII transient activation to synapse-specific, long-term signaling (By similarity). Acts as a regulator of platelet alpha-granule release during activation and aggregation of platelets (By similarity). When activated by DAAM1 may signal centrosome maturation and chromosomal segregation during cell division. May also be involved in contractile ring formation during cytokinesis.. (Microbial infection) Serves as a target for the yopT cysteine peptidase from Yersinia pestis, vector of the plague.
See full target information RHOA

Publications (1)

Recent publications for all applications. Explore the full list and refine your search

American journal of cancer research 12:3693-3712 PubMed36119820

2022

LSD1 regulates the FOXF2-mediated Wnt/β-catenin signaling pathway by interacting with Ku80 to promote colon cancer progression.

Applications

Unspecified application

Species

Unspecified reactive species

Zhenhua Liu,Jingjing Xiao,Ning Wang,Jie Ding
View all publications

Product promise

We are committed to supporting your work with high-quality reagents, and we're here for you every step of the way. In the unlikely event that one of our products does not perform as expected, you're protected by our Product Promise.
For full details, please see our Terms & Conditions

Please note: All products are 'FOR RESEARCH USE ONLY. NOT FOR USE IN DIAGNOSTIC OR THERAPEUTIC PROCEDURES'.

For licensing inquiries, please contact partnerships@abcam.com