JavaScript is disabled in your browser. Please enable JavaScript to view this website.
AB324029

Anti-RhoA + RhoB (ADP-ribosylated) antibody [VIF140-A1] - Mouse IgG2a (Chimeric)

Be the first to review this product! Submit a review

|

(0 Publication)

Mouse Recombinant Monoclonal RHOA antibody. Suitable for WB and reacts with Mouse, Transfected cell lysate - Human samples.

View Alternative Names

ARH12, ARHA, RHO12, RHOA, Transforming protein RhoA, Rho cDNA clone 12, h12

2 Images
Western blot - Anti-RhoA + RhoB (ADP-ribosylated) antibody [VIF140-A1] - Mouse IgG2a (Chimeric) (AB324029)
  • WB

Supplier Data

Western blot - Anti-RhoA + RhoB (ADP-ribosylated) antibody [VIF140-A1] - Mouse IgG2a (Chimeric) (AB324029)

Blocking and diluting buffer and concentration : 5% NFDM/TBST.

The expression profile observed is consistent with what has been described in the literature (PMID : 27043630).

In Western blot, Anti-GAPDH antibody [EPR16891] - Loading Control (ab181602) staining at 1/200000 dilution.

In Western blot, Anti-Rho A + B + C antibody [EPR18299] staining at 1/1000 dilution.

All lanes:

Western blot - Anti-RhoA + RhoB (ADP-ribosylated) antibody [VIF140-A1] - Mouse IgG2a (Chimeric) (ab324029) at 1/1000 dilution

Lane 1:

Untreated HT-22 (mouse hippocampal neuronal cell) whole cell lysate at 20 µg

Lane 2:

HT-22 treated with 500nM C3 for 6 hours whole cell lysate at 20 µg

Secondary

All lanes:

Peroxidase-Conjugated Goat anti-Mouse IgG (H+L) at 1/10000 dilution

Observed band size: 22 kDa,36 kDa

false

Exposure time: 180s

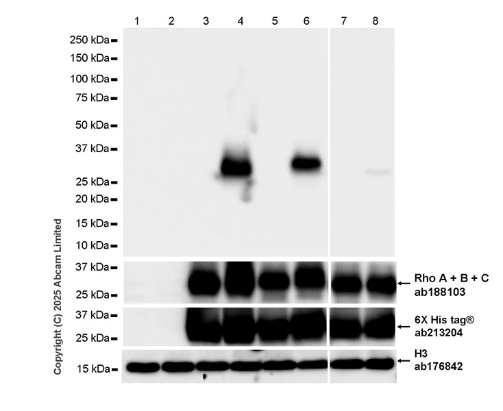
Western blot - Anti-RhoA + RhoB (ADP-ribosylated) antibody [VIF140-A1] - Mouse IgG2a (Chimeric) (AB324029)
  • WB

Supplier Data

Western blot - Anti-RhoA + RhoB (ADP-ribosylated) antibody [VIF140-A1] - Mouse IgG2a (Chimeric) (AB324029)

Blocking and diluting buffer and concentration : 5% NFDM/TBST.

The expression profile observed is consistent with what has been described in the literature (PMID : 27043630).

In Western blot, Anti-Histone H3 antibody [EPR16987] - Nuclear Marker and ChIP Grade (ab176842) staining at 1/200000 dilution.

In Western blot, Anti-6X His tag® antibody [EPR20547] - ChIP Grade (ab213204) staining at 1/5000 dilution.

In Western blot, Anti-Rho A + B + C antibody [EPR18299] staining at 1/1000 dilution.

All lanes:

Western blot - Anti-RhoA + RhoB (ADP-ribosylated) antibody [VIF140-A1] - Mouse IgG2a (Chimeric) (ab324029) at 1/1000 dilution

Lane 1:

293T (human embryonic kidney epithelial cell) transfected with an empty vector containing a myc-his-tag whole cell lysate at 20 µg

Lane 2:

293T transfected with an empty vector containing a myc-his-tag were treated with 500nM C3 for 30 minutes whole cell lysate at 20 µg

Lane 3:

293T transfected with an human RhoA expression vector containing a myc-his-tag whole cell lysate at 20 µg

Lane 4:

293T transfected with an human RhoA expression vector containing a myc-his-tag were treated with 500nM C3 for 30 minutes whole cell lysate at 20 µg

Lane 5:

293T transfected with an human RhoB expression vector containing a myc-his-tag whole cell lysate at 20 µg

Lane 6:

293T transfected with an human RhoB expression vector containing a myc-his-tag were treated with 500nM C3 for 30 minutes whole cell lysate at 20 µg

Lane 7:

293T transfected with an human RhoC expression vector containing a myc-his-tag whole cell lysate at 20 µg

Lane 8:

293T transfected with an human RhoC expression vector containing a myc-his-tag were treated with 500nM C3 for 30 minutes whole cell lysate at 20 µg

Secondary

All lanes:

Peroxidase-Conjugated Goat anti-Mouse IgG (H+L) at 1/10000 dilution

Observed band size: 22 kDa,17 kDa

false

Exposure time: 1s

  • Unconjugated

    Anti-RhoA + RhoB (ADP-ribosylated) antibody [VIF140-A1]

Key facts

Host species

Mouse

Clonality

Monoclonal

Clone number

VIF140-A1

Isotype

IgG2a

Carrier free

No

Reacts with

Mouse

Applications

WB

applications

Immunogen

The exact immunogen used to generate this antibody is proprietary information.

Specificity

This antibody cross-reacts with overexpressed ribosylated RhoA and RhoB, and to a lesser extent with overexpressed ribosylated RhoC.

Reactivity data

{ "title": "Reactivity Data", "filters": { "stats": ["", "Species", "Dilution Info", "Notes"], "tabs": { "all-applications": {"fullname" : "All Applications", "shortname": "All Applications"}, "WB" : {"fullname" : "Western blot", "shortname":"WB"}, "IELISA" : {"fullname" : "Indirect ELISA", "shortname":"I-ELISA"} }, "product-promise": { "all": "all", "testedAndGuaranteed": "tested", "guaranteed": "expected", "predicted": "predicted", "notRecommended": "not-recommended" } }, "values": { "Mouse": { "WB-species-checked": "testedAndGuaranteed", "WB-species-dilution-info": "1/1000", "WB-species-notes": "<p></p>", "IELISA-species-checked": "notRecommended", "IELISA-species-dilution-info": "", "IELISA-species-notes": "" }, "Recombinant fragment - Human": { "WB-species-checked": "notRecommended", "WB-species-dilution-info": "", "WB-species-notes": "", "IELISA-species-checked": "notRecommended", "IELISA-species-dilution-info": "", "IELISA-species-notes": "<p></p>" }, "Transfected cell lysate - Human": { "WB-species-checked": "testedAndGuaranteed", "WB-species-dilution-info": "1/1000", "WB-species-notes": "<p></p>", "IELISA-species-checked": "notRecommended", "IELISA-species-dilution-info": "", "IELISA-species-notes": "" } } }

Product details

This mouse monoclonal chimeric antibody has been engineered from a human parent antibody (ab324028). By necessity, some human sequence is retained as part of the variable domain. When multiplexing with other human-derived antibodies, using cross absorbed Fc-reactive secondary antibodies are recommended.

What are the advantages of a recombinant monoclonal antibody?
This product is a recombinant monoclonal antibody, which offers several advantages including:

  • - High batch-to-batch consistency and reproducibility
  • - Improved sensitivity and specificity
  • - Long-term security of supply
  • - Animal-free batch production

For more information, read more on recombinant antibodies.

Want a custom formulation?
This antibody clone is manufactured by Abcam. If you require a custom buffer formulation or conjugation for your experiments, please contact orders@abcam.com

Properties and storage information

Form
Liquid
Purification technique
Affinity purification Protein A
Storage buffer
pH: 7.2 - 7.4 Preservative: 0.01% Sodium azide Constituents: PBS, 40% Glycerol (glycerin, glycerine), 0.05% BSA
Shipped at conditions
Blue Ice
Appropriate short-term storage duration
1-2 weeks
Appropriate short-term storage conditions
+4°C
Appropriate long-term storage conditions
-20°C
Aliquoting information
Upon delivery aliquot
Storage information
Avoid freeze / thaw cycle

Product protocols

For this product, it's our understanding that no specific protocols are required. You can visit:

Target data

Small GTPase which cycles between an active GTP-bound and an inactive GDP-bound state. Mainly associated with cytoskeleton organization, in active state binds to a variety of effector proteins to regulate cellular responses such as cytoskeletal dynamics, cell migration and cell cycle (PubMed : 23871831). Regulates a signal transduction pathway linking plasma membrane receptors to the assembly of focal adhesions and actin stress fibers (PubMed : 31570889, PubMed : 8910519, PubMed : 9121475). Involved in a microtubule-dependent signal that is required for the myosin contractile ring formation during cell cycle cytokinesis (PubMed : 12900402, PubMed : 16236794). Plays an essential role in cleavage furrow formation. Required for the apical junction formation of keratinocyte cell-cell adhesion (PubMed : 20974804, PubMed : 23940119). Essential for the SPATA13-mediated regulation of cell migration and adhesion assembly and disassembly (PubMed : 19934221). The MEMO1-RHOA-DIAPH1 signaling pathway plays an important role in ERBB2-dependent stabilization of microtubules at the cell cortex. It controls the localization of APC and CLASP2 to the cell membrane, via the regulation of GSK3B activity. In turn, membrane-bound APC allows the localization of the MACF1 to the cell membrane, which is required for microtubule capture and stabilization (PubMed : 20937854). Regulates KCNA2 potassium channel activity by reducing its location at the cell surface in response to CHRM1 activation; promotes KCNA2 endocytosis (PubMed : 19403695, PubMed : 9635436). Acts as an allosteric activator of guanine nucleotide exchange factor ECT2 by binding in its activated GTP-bound form to the PH domain of ECT2 which stimulates the release of PH inhibition and promotes the binding of substrate RHOA to the ECT2 catalytic center (PubMed : 31888991). May be an activator of PLCE1 (PubMed : 16103226). In neurons, involved in the inhibition of the initial spine growth. Upon activation by CaMKII, modulates dendritic spine structural plasticity by relaying CaMKII transient activation to synapse-specific, long-term signaling (By similarity). Acts as a regulator of platelet alpha-granule release during activation and aggregation of platelets (By similarity). When activated by DAAM1 may signal centrosome maturation and chromosomal segregation during cell division. May also be involved in contractile ring formation during cytokinesis.. (Microbial infection) Serves as a target for the yopT cysteine peptidase from Yersinia pestis, vector of the plague.
See full target information RHOA

Additional targets

RHOB

Product promise

We are committed to supporting your work with high-quality reagents, and we're here for you every step of the way. In the unlikely event that one of our products does not perform as expected, you're protected by our Product Promise.
For full details, please see our Terms & Conditions

Please note: All products are 'FOR RESEARCH USE ONLY. NOT FOR USE IN DIAGNOSTIC OR THERAPEUTIC PROCEDURES'.

For licensing inquiries, please contact partnerships@abcam.com