JavaScript is disabled in your browser. Please enable JavaScript to view this website.
AB277779

Anti-RHOB antibody [19HCLC]

Be the first to review this product! Submit a review

|

(0 Publication)

Rabbit Recombinant Multiclonal RHOB antibody. Suitable for ICC, WB and reacts with Human, Mouse, Rat samples. Immunogen corresponding to Synthetic Peptide within Human RHOB aa 100-150.

View Alternative Names

ARH6, ARHB, RHOB, Rho-related GTP-binding protein RhoB, Rho cDNA clone 6, h6

2 Images
Immunocytochemistry - Anti-RHOB antibody [19HCLC] (AB277779)
  • ICC

Supplier Data

Immunocytochemistry - Anti-RHOB antibody [19HCLC] (AB277779)

For immunofluorescence analysis, UV (302 nm, 60 minutes) treated A549 (human lung carcinoma cell line) cells were fixed and permeabilized for detection of endogenous RhoB using Anti-RhoB Recombinant Rabbit Multiclonal Antibody (ab277779, 2 μg/mL) and labeled with Goat anti-Rabbit IgG (H+L) Superclonal Secondary Antibody, Alexa Fluor® 488 conjugate (1/2000). Panel a) shows representative cells that were stained for detection and localization of RhoB protein (green), Panel b) is stained for nuclei (blue) using SlowFade® Gold Antifade Mountant with DAPI. Panel c) represents cytoskeletal F-actin staining using Alexa Fluor® 555 Rhodamine Phalloidin (1/300). Panel d) is a composite image of Panels a, b and c clearly demonstrating cytoplasmic localization of RhoB. Panel e) shows untreated cells with no signal. Panel f) represents control cells with no primary antibody to assess background. The images were captured at 60X magnification.

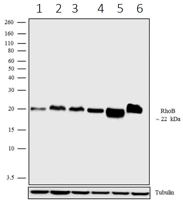
Western blot - Anti-RHOB antibody [19HCLC] (AB277779)
  • WB

Supplier Data

Western blot - Anti-RHOB antibody [19HCLC] (AB277779)

All lanes:

Western blot - Anti-RHOB antibody [19HCLC] (ab277779) at 2 µg/mL

Lane 1:

HeLa whole cell extracts at 30 µg

Lane 2:

A549 whole cell extracts at 30 µg

Lane 3:

COLO 205 whole cell extracts at 30 µg

Lane 4:

SH-SY5Y whole cell extracts at 30 µg

Lane 5:

Mouse Brain whole cell extracts at 30 µg

Lane 6:

Rat Brain whole cell extracts at 30 µg

Secondary

All lanes:

HRP conjugate Goat anti-Rabbit IgG (H+L) Superclonal, 0.4 µg/mL at 1/2500 dilution

Predicted band size: 22 kDa

false

Key facts

Host species

Rabbit

Clonality

Multiclonal

Clone number

19HCLC

Isotype

IgG

Carrier free

No

Reacts with

Mouse, Rat, Human

Applications

ICC, WB

applications

Immunogen

The exact immunogen used to generate this antibody is proprietary information.

Synthetic Peptide within Human RHOB aa 50-100. Database link P62745

Reactivity data

{ "title": "Reactivity Data", "filters": { "stats": ["", "Species", "Dilution Info", "Notes"], "tabs": { "all-applications": {"fullname" : "All Applications", "shortname": "All Applications"}, "ICC" : {"fullname" : "Immunocytochemistry", "shortname":"ICC"}, "WB" : {"fullname" : "Western blot", "shortname":"WB"} }, "product-promise": { "all": "all", "testedAndGuaranteed": "tested", "guaranteed": "expected", "predicted": "predicted", "notRecommended": "not-recommended" } }, "values": { "Human": { "ICC-species-checked": "testedAndGuaranteed", "ICC-species-dilution-info": "2 µg/mL", "ICC-species-notes": "<p></p>", "WB-species-checked": "testedAndGuaranteed", "WB-species-dilution-info": "1-2 µg/mL", "WB-species-notes": "<p></p>" }, "Mouse": { "ICC-species-checked": "guaranteed", "ICC-species-dilution-info": "", "ICC-species-notes": "", "WB-species-checked": "testedAndGuaranteed", "WB-species-dilution-info": "1-2 µg/mL", "WB-species-notes": "<p></p>" }, "Rat": { "ICC-species-checked": "guaranteed", "ICC-species-dilution-info": "", "ICC-species-notes": "", "WB-species-checked": "testedAndGuaranteed", "WB-species-dilution-info": "1-2 µg/mL", "WB-species-notes": "<p></p>" } } }

Product details

What are recombinant multiclonals?
Recombinant multiclonals are a mixture of recombinant antibodies co-expressed from a library of heavy and light chains. They offer several advantages including:

  • - The sensitivity of polyclonal antibodies by recognising multiple epitopes
  • - High batch-to-batch consistency and reproducibility
  • - Improved sensitivity and specificity
  • - Long-term security of supply
  • - Animal-free batch production

View our range of recombinant multiclonal antibodies.

Properties and storage information

Form
Liquid
Purification technique
Affinity purification Protein A
Storage buffer
pH: 7.2 Preservative: 0.09% Sodium azide Constituents: 99.91% PBS
Shipped at conditions
Blue Ice
Appropriate short-term storage duration
1-2 weeks
Appropriate short-term storage conditions
+4°C
Appropriate long-term storage conditions
-20°C
Storage information
Avoid freeze / thaw cycle

Supplementary information

This supplementary information is collated from multiple sources and compiled automatically.

RHOB also known as Ras Homolog Family Member B is a small GTPase with a molecular mass of approximately 21 kDa. It acts as a molecular switch cycling between an active GTP-bound state and an inactive GDP-bound state. RHOB regulates various cellular functions including cytoskeletal organization and cell signaling. It is expressed in different human tissues with increased levels in the placenta lungs and testes.
Biological function summary

RHOB influences cell shape and motility by modulating actin architecture. It is part of the Rho GTPase family which impacts diverse cellular processes such as cell proliferation survival and vesicle trafficking. RHOB operates within protein complexes that contribute to its regulatory functions. It has an important role in controlling endosome dynamics and influences the signaling pathways that respond to environmental cues.

Pathways

By affecting cytoskeletal remodeling RHOB plays a role in the Rho signaling pathway. It interacts with related proteins like RHOA and CDC42 facilitating the coordination of these pathways. Additionally RHOB is involved in the integrin signaling pathway which impacts cell adhesion and migration processes. These pathways are significant for understanding how cells move and communicate in response to external stimuli.

RHOB has implications in cancer development and progression. Aberrant expression or mutation of RHOB can correlate with tumor suppression or oncogenesis depending on the cellular context. It is associated with proteins such as AKT and PTEN which modulate cell survival and growth signals which are important in cancer biology. Furthermore RHOB shows involvement in cardiovascular diseases where it influences vascular remodeling processes through interactions with proteins like VEGFR2.

Product protocols

For this product, it's our understanding that no specific protocols are required. You can visit:

Target data

Mediates apoptosis in neoplastically transformed cells after DNA damage. Not essential for development but affects cell adhesion and growth factor signaling in transformed cells. Plays a negative role in tumorigenesis as deletion causes tumor formation. Involved in intracellular protein trafficking of a number of proteins. Targets PKN1 to endosomes and is involved in trafficking of the EGF receptor from late endosomes to lysosomes. Also required for stability and nuclear trafficking of AKT1/AKT which promotes endothelial cell survival during vascular development. Serves as a microtubule-dependent signal that is required for the myosin contractile ring formation during cell cycle cytokinesis. Required for genotoxic stress-induced cell death in breast cancer cells.
See full target information RHOB

Product promise

We are committed to supporting your work with high-quality reagents, and we're here for you every step of the way. In the unlikely event that one of our products does not perform as expected, you're protected by our Product Promise.
For full details, please see our Terms & Conditions

Please note: All products are 'FOR RESEARCH USE ONLY. NOT FOR USE IN DIAGNOSTIC OR THERAPEUTIC PROCEDURES'.

For licensing inquiries, please contact partnerships@abcam.com