JavaScript is disabled in your browser. Please enable JavaScript to view this website.
AB155149

Anti-RHOB antibody

Be the first to review this product! Submit a review

|

(5 Publications)

Rabbit Polyclonal RHOB antibody. Suitable for WB, IHC-P and reacts with Mouse, Rat, Human samples. Cited in 5 publications. Immunogen corresponding to Recombinant Fragment Protein within Human RHOB aa 1-150.

View Alternative Names

ARH6, ARHB, RHOB, Rho-related GTP-binding protein RhoB, Rho cDNA clone 6, h6

4 Images
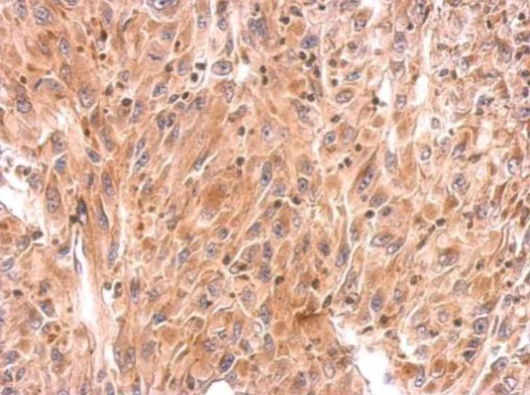
Immunohistochemistry (Formalin/PFA-fixed paraffin-embedded sections) - Anti-RHOB antibody (AB155149)
  • IHC-P

Supplier Data

Immunohistochemistry (Formalin/PFA-fixed paraffin-embedded sections) - Anti-RHOB antibody (AB155149)

Immunohistochemical analysis of paraffin-embedded U87 xenograft tissue staining RHOB protein at cytosol with ab155149 at 1/500 dilution.

Antigen Retrieval : EDTA based buffer, pH 8.0, 15min.

Western blot - Anti-RHOB antibody (AB155149)
  • WB

Unknown

Western blot - Anti-RHOB antibody (AB155149)

12% SDS PAGE

All lanes:

Western blot - Anti-RHOB antibody (ab155149) at 1/500 dilution

All lanes:

U-87 MG (human glioblastoma-astrocytoma epithelial cell line) whole cell lysate at 30 µg

Predicted band size: 22 kDa

false

Western blot - Anti-RHOB antibody (AB155149)
  • WB

Supplier Data

Western blot - Anti-RHOB antibody (AB155149)

12% SDS-PAGE

All lanes:

Western blot - Anti-RHOB antibody (ab155149) at 1/1000 dilution

All lanes:

Rat brain tissue extract at 50 µg

Predicted band size: 22 kDa

false

Western blot - Anti-RHOB antibody (AB155149)
  • WB

Unknown

Western blot - Anti-RHOB antibody (AB155149)

12% SDS PAGE

All lanes:

Western blot - Anti-RHOB antibody (ab155149) at 1/1000 dilution

All lanes:

Mouse brain tissue extract at 50 µg

Predicted band size: 22 kDa

false

Key facts

Host species

Rabbit

Clonality

Polyclonal

Isotype

IgG

Carrier free

No

Reacts with

Mouse, Rat, Human

Applications

IHC-P, WB

applications

Immunogen

Recombinant Fragment Protein within Human RHOB aa 1-150. The exact immunogen used to generate this antibody is proprietary information.

P62745

Reactivity data

{ "title": "Reactivity Data", "filters": { "stats": ["", "Species", "Dilution Info", "Notes"], "tabs": { "all-applications": {"fullname" : "All Applications", "shortname": "All Applications"}, "WB" : {"fullname" : "Western blot", "shortname":"WB"}, "IHCP" : {"fullname" : "Immunohistochemistry (Formalin/PFA-fixed paraffin-embedded sections)", "shortname":"IHC-P"} }, "product-promise": { "all": "all", "testedAndGuaranteed": "tested", "guaranteed": "expected", "predicted": "predicted", "notRecommended": "not-recommended" } }, "values": { "Human": { "WB-species-checked": "testedAndGuaranteed", "WB-species-dilution-info": "1/500 - 1/3000", "WB-species-notes": "<p></p>", "IHCP-species-checked": "testedAndGuaranteed", "IHCP-species-dilution-info": "1/100 - 1/1000", "IHCP-species-notes": "<p></p>" }, "Mouse": { "WB-species-checked": "testedAndGuaranteed", "WB-species-dilution-info": "1/500 - 1/3000", "WB-species-notes": "<p></p>", "IHCP-species-checked": "guaranteed", "IHCP-species-dilution-info": "", "IHCP-species-notes": "" }, "Rat": { "WB-species-checked": "testedAndGuaranteed", "WB-species-dilution-info": "1/500 - 1/3000", "WB-species-notes": "<p></p>", "IHCP-species-checked": "guaranteed", "IHCP-species-dilution-info": "", "IHCP-species-notes": "" } } }

Properties and storage information

Form
Liquid
Purification technique
Affinity purification Immunogen
Storage buffer
pH: 7 Preservative: 0.01% Thimerosal (merthiolate) Constituents: 10% Glycerol (glycerin, glycerine), 1.21% Tris, 0.75% Glycine
Shipped at conditions
Blue Ice
Appropriate short-term storage duration
1-2 weeks
Appropriate short-term storage conditions
+4°C
Appropriate long-term storage conditions
-20°C
Aliquoting information
Upon delivery aliquot
Storage information
Avoid freeze / thaw cycle

Supplementary information

This supplementary information is collated from multiple sources and compiled automatically.

RHOB also known as Ras Homolog Family Member B is a small GTPase with a molecular mass of approximately 21 kDa. It acts as a molecular switch cycling between an active GTP-bound state and an inactive GDP-bound state. RHOB regulates various cellular functions including cytoskeletal organization and cell signaling. It is expressed in different human tissues with increased levels in the placenta lungs and testes.
Biological function summary

RHOB influences cell shape and motility by modulating actin architecture. It is part of the Rho GTPase family which impacts diverse cellular processes such as cell proliferation survival and vesicle trafficking. RHOB operates within protein complexes that contribute to its regulatory functions. It has an important role in controlling endosome dynamics and influences the signaling pathways that respond to environmental cues.

Pathways

By affecting cytoskeletal remodeling RHOB plays a role in the Rho signaling pathway. It interacts with related proteins like RHOA and CDC42 facilitating the coordination of these pathways. Additionally RHOB is involved in the integrin signaling pathway which impacts cell adhesion and migration processes. These pathways are significant for understanding how cells move and communicate in response to external stimuli.

RHOB has implications in cancer development and progression. Aberrant expression or mutation of RHOB can correlate with tumor suppression or oncogenesis depending on the cellular context. It is associated with proteins such as AKT and PTEN which modulate cell survival and growth signals which are important in cancer biology. Furthermore RHOB shows involvement in cardiovascular diseases where it influences vascular remodeling processes through interactions with proteins like VEGFR2.

Product protocols

For this product, it's our understanding that no specific protocols are required. You can visit:

Target data

Mediates apoptosis in neoplastically transformed cells after DNA damage. Not essential for development but affects cell adhesion and growth factor signaling in transformed cells. Plays a negative role in tumorigenesis as deletion causes tumor formation. Involved in intracellular protein trafficking of a number of proteins. Targets PKN1 to endosomes and is involved in trafficking of the EGF receptor from late endosomes to lysosomes. Also required for stability and nuclear trafficking of AKT1/AKT which promotes endothelial cell survival during vascular development. Serves as a microtubule-dependent signal that is required for the myosin contractile ring formation during cell cycle cytokinesis. Required for genotoxic stress-induced cell death in breast cancer cells.
See full target information RHOB

Publications (5)

Recent publications for all applications. Explore the full list and refine your search

Nucleic acids research 50:5713-5725 PubMed35639917

2022

The C-terminal LCAR of host ANP32 proteins interacts with the influenza A virus nucleoprotein to promote the replication of the viral RNA genome.

Applications

Unspecified application

Species

Unspecified reactive species

Fangzheng Wang,Carol M Sheppard,Bhakti Mistry,Ecco Staller,Wendy S Barclay,Jonathan M Grimes,Ervin Fodor,Haitian Fan

Cell biology international 46:1074-1088 PubMed35347804

2022

TOX3 regulates the proliferation and apoptosis of colorectal cancer by downregulating RhoB via the activation of the MAPK pathway.

Applications

Unspecified application

Species

Unspecified reactive species

Wei Yang,Wei Wu,Hailiang Liang,Jiejing Chen,Xiaoqiang Dong

Journal of oncology 2022:6708871 PubMed35035482

2022

MiR-223 Promotes Tumor Progression via Targeting RhoB in Gastric Cancer.

Applications

Unspecified application

Species

Unspecified reactive species

You Hu,Bin Yi,Xin Chen,Lu Xu,Xiaojun Zhou,Xinguo Zhu

International journal of molecular medicine 44:1991-2002 PubMed31573047

2019

miR‑19a promotes vascular smooth muscle cell proliferation, migration and invasion through regulation of Ras homolog family member B.

Applications

Unspecified application

Species

Unspecified reactive species

Gengxin Sun,Hui Song,Suya Wu

OncoTargets and therapy 12:7801-7808 PubMed31576138

2019

MiR-19a Promotes Migration And Invasion By Targeting RHOB In Osteosarcoma.

Applications

Unspecified application

Species

Unspecified reactive species

Ruidong Liu,Liefeng Shen,Niyan Qu,Xia Zhao,Jialiang Wang,Jun Geng
View all publications

Product promise

We are committed to supporting your work with high-quality reagents, and we're here for you every step of the way. In the unlikely event that one of our products does not perform as expected, you're protected by our Product Promise.
For full details, please see our Terms & Conditions

Please note: All products are 'FOR RESEARCH USE ONLY. NOT FOR USE IN DIAGNOSTIC OR THERAPEUTIC PROCEDURES'.

For licensing inquiries, please contact partnerships@abcam.com