JavaScript is disabled in your browser. Please enable JavaScript to view this website.
AB5417

Anti-Rhodopsin antibody [1D4]

5

(4 Reviews)

|

(141 Publications)

Anti-Rhodopsin antibody [1D4] (ab5417) is a mouse monoclonal antibody detecting Rhodopsin in Western Blot, IP, IHC-P, IHC-Fr, ICC/IF, ELISA. Suitable for Amphibian, Cow, Human, Mouse, Rat, Zebrafish.

- Over 100 publications
- Trusted since 2003

View Alternative Names

OPN2, RHO, Rhodopsin, Opsin-2

6 Images
Immunohistochemistry (Formalin/PFA-fixed paraffin-embedded sections) - Anti-Rhodopsin antibody [1D4] (AB5417)
  • IHC-P

Supplier Data

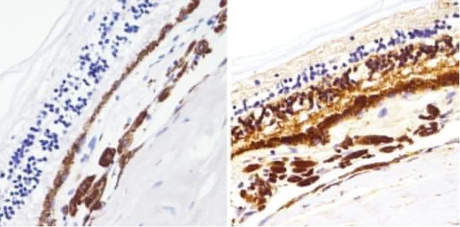
Immunohistochemistry (Formalin/PFA-fixed paraffin-embedded sections) - Anti-Rhodopsin antibody [1D4] (AB5417)

Immunohistochemical analysis of paraffin-embedded human retinal tissue labeling Rhodopsin with ab5417.

Secondary used was HRP conjugated. Prior preparation was initiated by antigen retrieval was performed using 10mM sodium citrate (pH 6.0), microwaved for 8-15 min. Subsequent to retrival the retinal tissue was blocked in 3% H2O2-methanol for 15 min at room temperature. The sample was then incubated with ab5417 in 3% BSA-PBS at a dilution of 1 : 200 overnight at 4°C, overnight. Hematoxylin was used to counterstain the tissue.

The left side of the image is shown as a negative control and is the tissue in the absence of ab5417, the right side is in the prescence of the counterstain, ab5417 and the HRP conjugated secondary.

Immunohistochemistry (Formalin/PFA-fixed paraffin-embedded sections) - Anti-Rhodopsin antibody [1D4] (AB5417)
  • IHC-P

Supplier Data

Immunohistochemistry (Formalin/PFA-fixed paraffin-embedded sections) - Anti-Rhodopsin antibody [1D4] (AB5417)

Immunohistochemical analysis of formalin-fixed human retinal tissue, labeling rhodopsin with ab5417 at a 1 : 50 dilution in 3% BSA-PBS solution and incubated at 4°C overnight in a high humidity environment.

A DyLight® 488 secondary antibody was used (green) incubated at room temperature in the dark. The tissue was counterstained with DAPI against DNA, showing nuclear compartments. Prior to staining the formalin-fixed tissue was permeabilized with 0.1% Triton X-100 in TBS for between 5 and 10 minutes, then blocked with 3% BSA-PBS for 30 minutes at room temperature.

The left image is a negative control with only the secondary antibody and the right image is in the presence of ab5417 and the secondary.

Immunohistochemistry (Formalin/PFA-fixed paraffin-embedded sections) - Anti-Rhodopsin antibody [1D4] (AB5417)
  • IHC-P

Supplier Data

Immunohistochemistry (Formalin/PFA-fixed paraffin-embedded sections) - Anti-Rhodopsin antibody [1D4] (AB5417)

Immunohistochemical analysis of formalin-fixed mouse retinal tissue, labeling rhodopsin with ab5417 at a 1 : 50 dilution in 3% BSA-PBS solution and incubated at 4°C overnight in a high humidity environment.

A DyLight® 488 secondary antibody was used (green) incubated at room temperature in the dark. The tissue was counterstained with DAPI against DNA, showing nuclear compartments. Prior to staining the formalin-fixed tissue was permeabilized with 0.1% Triton X-100 in TBS for between 5 and 10 minutes, then blocked with 3% BSA-PBS for 30 minutes at room temperature.

The left image is a negative control with only the secondary antibody and the right image is in the presence of ab5417 and the secondary.

Immunohistochemistry (Formalin/PFA-fixed paraffin-embedded sections) - Anti-Rhodopsin antibody [1D4] (AB5417)
  • IHC-P

Supplier Data

Immunohistochemistry (Formalin/PFA-fixed paraffin-embedded sections) - Anti-Rhodopsin antibody [1D4] (AB5417)

Immunohistochemical analysis of paraffin-embedded mouse retinal tissue labeling Rhodopsin with ab5417.

Secondary used was HRP conjugated. Prior preparation was initiated by antigen retrival using 10mM sodium citrate at pH 6.0, then the sample was microwaved for 8 to 15 minutes. Subsequent to retrival the retinal tissue was blocked for 15 minutes at room temperature with 3% hydrogen peroxide. The sample was then incubated with ab5417 in 3% BSA-PBS at 4°C at a dilution of 1 : 1000, overnight. Hematoxylin was used to counterstain the tissue.

The left side of the image is shown as a negative control and is the tissue in the absence of ab5417, the right side is in the prescence of the counterstain, ab5417 and the HRP conjugated secondary.

Immunohistochemistry (Formalin/PFA-fixed paraffin-embedded sections) - Anti-Rhodopsin antibody [1D4] (AB5417)
  • IHC-P

PubMed

Immunohistochemistry (Formalin/PFA-fixed paraffin-embedded sections) - Anti-Rhodopsin antibody [1D4] (AB5417)

Deletion of Arf4 mice from the retina does not disrupt rhodopsin localization or photoreceptor morphology.

E. Arf4 immunostaining in Arf4flox/CagCreER experimental and control retinal cross-sections. Image of the photoreceptor IS where the biosynthetic membranes are localized. Eyes were collected at P34. Scale bar = 10 μm.

F. Rhodopsin immunostaining in Arf4flox/CagCreER experimental and control retinal cross-sections. Eyes were collected at P34. Scale bar = 10 μm.

G. Comparative analysis of photoreceptor morphology in Arf4flox/CagCreER experimental and control retinal cross-sections. Eyes were collected at P41. Scale bar = 20 μm.

OS = outer segment, IS = inner segment, ONL = outer nuclear layer, OPL = outer plexiform layer.

Pearring et al PLoS Genet. 2017 Apr 14;13(4):e1006740. doi: 10.1371/journal.pgen.1006740. eCollection 2017 Apr. Fig 3. Reproduced under the Creative Commons license http://creativecommons.org/licenses/by/4.0/

Western blot - Anti-Rhodopsin antibody [1D4] (AB5417)
  • WB

Supplier Data

Western blot - Anti-Rhodopsin antibody [1D4] (AB5417)

All lanes:

Western blot - Anti-Rhodopsin antibody [1D4] (ab5417) at 1/500 dilution

All lanes:

HL60 (Human promyelocytic leukemia cell line) cell lysate at 25 µg

Predicted band size: 38 kDa

Observed band size: 40 kDa

false

Key facts

Host species

Mouse

Clonality

Monoclonal

Clone number

1D4

Isotype

IgG1

Carrier free

No

Reacts with

Mouse, Human, Amphibian, Cow, Zebrafish, Rat

Applications

IHC-P, IHC-Fr, WB, IHC-FoFr, ICC/IF, ELISA, IP

applications

Epitope

The epitope for this antibody has been localized to the C-terminal nine amino acids of bovine rhodopsin known as the 1D4 epitope.

Specificity

ab5417 detects Rhodopsin from human and bovine retinal samples. Data from Yin J et al., 2012 (PMID 22743318) indicates that in Zebrafish ab5417 appears to recognize Red Opsin rather than Rhodopsin.

Reactivity data

{ "title": "Reactivity Data", "filters": { "stats": ["", "Species", "Dilution Info", "Notes"], "tabs": { "all-applications": {"fullname" : "All Applications", "shortname": "All Applications"}, "ICCIF" : {"fullname" : "Immunocytochemistry/ Immunofluorescence", "shortname":"ICC/IF"}, "IP" : {"fullname" : "Immunoprecipitation", "shortname":"IP"}, "ELISA" : {"fullname" : "ELISA", "shortname":"ELISA"}, "WB" : {"fullname" : "Western blot", "shortname":"WB"}, "IHCFoFr" : {"fullname" : "Immunohistochemistry (PFA perfusion fixed frozen sections)", "shortname":"IHC-FoFr"}, "IHCP" : {"fullname" : "Immunohistochemistry (Formalin/PFA-fixed paraffin-embedded sections)", "shortname":"IHC-P"}, "IHCFr" : {"fullname" : "Immunohistochemistry (Frozen sections)", "shortname":"IHC-Fr"} }, "product-promise": { "all": "all", "testedAndGuaranteed": "tested", "guaranteed": "expected", "predicted": "predicted", "notRecommended": "not-recommended" } }, "values": { "Human": { "ICCIF-species-checked": "guaranteed", "ICCIF-species-dilution-info": "", "ICCIF-species-notes": "<p></p>", "IP-species-checked": "guaranteed", "IP-species-dilution-info": "", "IP-species-notes": "<p></p>", "ELISA-species-checked": "guaranteed", "ELISA-species-dilution-info": "", "ELISA-species-notes": "<p></p>", "WB-species-checked": "testedAndGuaranteed", "WB-species-dilution-info": "1/100 - 1/1000", "WB-species-notes": "<p></p>", "IHCFoFr-species-checked": "guaranteed", "IHCFoFr-species-dilution-info": "", "IHCFoFr-species-notes": "<p></p>", "IHCP-species-checked": "testedAndGuaranteed", "IHCP-species-dilution-info": "1/100 - 1/1000", "IHCP-species-notes": "<p></p>", "IHCFr-species-checked": "guaranteed", "IHCFr-species-dilution-info": "", "IHCFr-species-notes": "<p></p>" }, "Mouse": { "ICCIF-species-checked": "guaranteed", "ICCIF-species-dilution-info": "", "ICCIF-species-notes": "<p></p>", "IP-species-checked": "guaranteed", "IP-species-dilution-info": "", "IP-species-notes": "<p></p>", "ELISA-species-checked": "guaranteed", "ELISA-species-dilution-info": "", "ELISA-species-notes": "<p></p>", "WB-species-checked": "guaranteed", "WB-species-dilution-info": "", "WB-species-notes": "", "IHCFoFr-species-checked": "guaranteed", "IHCFoFr-species-dilution-info": "", "IHCFoFr-species-notes": "<p></p>", "IHCP-species-checked": "testedAndGuaranteed", "IHCP-species-dilution-info": "1/100 - 1/1000", "IHCP-species-notes": "<p></p>", "IHCFr-species-checked": "guaranteed", "IHCFr-species-dilution-info": "", "IHCFr-species-notes": "<p></p>" }, "Rat": { "ICCIF-species-checked": "guaranteed", "ICCIF-species-dilution-info": "", "ICCIF-species-notes": "<p></p>", "IP-species-checked": "guaranteed", "IP-species-dilution-info": "", "IP-species-notes": "<p></p>", "ELISA-species-checked": "guaranteed", "ELISA-species-dilution-info": "", "ELISA-species-notes": "<p></p>", "WB-species-checked": "predicted", "WB-species-dilution-info": "", "WB-species-notes": "", "IHCFoFr-species-checked": "guaranteed", "IHCFoFr-species-dilution-info": "", "IHCFoFr-species-notes": "<p></p>", "IHCP-species-checked": "predicted", "IHCP-species-dilution-info": "", "IHCP-species-notes": "", "IHCFr-species-checked": "guaranteed", "IHCFr-species-dilution-info": "", "IHCFr-species-notes": "<p></p>" }, "Amphibian": { "ICCIF-species-checked": "guaranteed", "ICCIF-species-dilution-info": "", "ICCIF-species-notes": "<p></p>", "IP-species-checked": "guaranteed", "IP-species-dilution-info": "", "IP-species-notes": "<p></p>", "ELISA-species-checked": "guaranteed", "ELISA-species-dilution-info": "", "ELISA-species-notes": "<p></p>", "WB-species-checked": "predicted", "WB-species-dilution-info": "", "WB-species-notes": "", "IHCFoFr-species-checked": "guaranteed", "IHCFoFr-species-dilution-info": "", "IHCFoFr-species-notes": "<p></p>", "IHCP-species-checked": "predicted", "IHCP-species-dilution-info": "", "IHCP-species-notes": "", "IHCFr-species-checked": "guaranteed", "IHCFr-species-dilution-info": "", "IHCFr-species-notes": "<p></p>" }, "Cow": { "ICCIF-species-checked": "guaranteed", "ICCIF-species-dilution-info": "", "ICCIF-species-notes": "<p></p>", "IP-species-checked": "guaranteed", "IP-species-dilution-info": "", "IP-species-notes": "<p></p>", "ELISA-species-checked": "guaranteed", "ELISA-species-dilution-info": "", "ELISA-species-notes": "<p></p>", "WB-species-checked": "predicted", "WB-species-dilution-info": "", "WB-species-notes": "", "IHCFoFr-species-checked": "guaranteed", "IHCFoFr-species-dilution-info": "", "IHCFoFr-species-notes": "<p></p>", "IHCP-species-checked": "predicted", "IHCP-species-dilution-info": "", "IHCP-species-notes": "", "IHCFr-species-checked": "guaranteed", "IHCFr-species-dilution-info": "", "IHCFr-species-notes": "<p></p>" }, "Rabbit": { "ICCIF-species-checked": "predicted", "ICCIF-species-dilution-info": "", "ICCIF-species-notes": "", "IP-species-checked": "predicted", "IP-species-dilution-info": "", "IP-species-notes": "", "ELISA-species-checked": "predicted", "ELISA-species-dilution-info": "", "ELISA-species-notes": "", "WB-species-checked": "predicted", "WB-species-dilution-info": "", "WB-species-notes": "", "IHCFoFr-species-checked": "predicted", "IHCFoFr-species-dilution-info": "", "IHCFoFr-species-notes": "", "IHCP-species-checked": "predicted", "IHCP-species-dilution-info": "", "IHCP-species-notes": "", "IHCFr-species-checked": "predicted", "IHCFr-species-dilution-info": "", "IHCFr-species-notes": "" }, "Zebrafish": { "ICCIF-species-checked": "guaranteed", "ICCIF-species-dilution-info": "", "ICCIF-species-notes": "<p></p>", "IP-species-checked": "guaranteed", "IP-species-dilution-info": "", "IP-species-notes": "<p></p>", "ELISA-species-checked": "guaranteed", "ELISA-species-dilution-info": "", "ELISA-species-notes": "<p></p>", "WB-species-checked": "predicted", "WB-species-dilution-info": "", "WB-species-notes": "", "IHCFoFr-species-checked": "guaranteed", "IHCFoFr-species-dilution-info": "", "IHCFoFr-species-notes": "<p></p>", "IHCP-species-checked": "predicted", "IHCP-species-dilution-info": "", "IHCP-species-notes": "", "IHCFr-species-checked": "guaranteed", "IHCFr-species-dilution-info": "", "IHCFr-species-notes": "<p></p>" } } }

Product details

Product Specifications
Anti-Rhodopsin antibody [1D4] (ab5417) is a mouse monoclonal antibody and is validated for use in ELISA, ICC/IF, IHC-FoFr, IHC-Fr, IHC-P, IP, WB in amphibian, cow, human, mouse, rat, zebrafish samples.
Anti-Rhodopsin antibody [1D4] (ab5417) specifically detects Rhodopsin (UniProt ID: P08100; Molecular weight: 39kDa) and is sold in 100 µL selling sizes.

Quality and Validation
Abcam's high quality validation processes ensure Anti-Rhodopsin antibody [1D4] (ab5417) has high sensitivity and specificity.
Anti-Rhodopsin antibody [1D4] (ab5417) has been cited over 108 times in peer reviewed journals and is trusted by the scientific community.
Anti-Rhodopsin antibody [1D4] (ab5417) has 4 independent reviews from customers.

Properties and storage information

Form
Liquid
Purification technique
Affinity purification Protein G
Storage buffer
Preservative: 0.05% Sodium azide Constituents: 99% PBS, 0.1% BSA
Shipped at conditions
Blue Ice
Appropriate short-term storage duration
1-2 weeks
Appropriate short-term storage conditions
+4°C
Appropriate long-term storage conditions
-20°C
Aliquoting information
Upon delivery aliquot
Storage information
Avoid freeze / thaw cycle

Supplementary information

This supplementary information is collated from multiple sources and compiled automatically.

Rhodopsin also known as visual purple is a protein found in the photoreceptor cells of the retina. It has a mass of approximately 39 kDa. This protein acts as a light-sensitive receptor playing an essential role in the function of rod cells. Rhodopsin is expressed predominantly in the rod outer segment where it transduces light signals. The crystallized form of this receptor referred to as PDB ID: 1D4 has helped researchers study its structure in detail.
Biological function summary

Rhodopsin enables night vision by absorbing photons and activating a G-protein-coupled receptor (GPCR) cascade. Rhodopsin is an integral part of a protein complex within the phototransduction pathway where it works closely with transducin to amplify the visual signal. It initiates the conversion of the photon into an electrical signal. Rhodopsin's role is triggering a structural change in response to light converting from its inactive form to a signaling state.

Pathways

Rhodopsin is deeply involved in the phototransduction and retinoid cycle pathways. Once it absorbs light the transducin it binds causes the activation of a cascade that ultimately results in hyperpolarization of the rod cells. This network of interactions also involves arrestin and recoverin which work together to regulate rhodopsin activity and signal termination. The process ensures precise response and recovery of the visual signal in low-light conditions.

Rhodopsin mutations and malfunctions connect to retinitis pigmentosa and congenital stationary night blindness. Mutations can lead to improper folding or misregulation of the protein impacting its function. Visual cycle proteins like RPE65 are often affected alongside rhodopsin in retinitis pigmentosa. These associations stress rhodopsin's importance in maintaining healthy retinal function and its link to eye diseases.

Product protocols

For this product, it's our understanding that no specific protocols are required. You can visit:

Target data

Photoreceptor required for image-forming vision at low light intensity (PubMed : 7846071, PubMed : 8107847). Required for photoreceptor cell viability after birth (PubMed : 12566452, PubMed : 2215617). Light-induced isomerization of the chromophore 11-cis-retinal to all-trans-retinal triggers a conformational change that activates signaling via G-proteins (PubMed : 26200343, PubMed : 28524165, PubMed : 28753425, PubMed : 8107847). Subsequent receptor phosphorylation mediates displacement of the bound G-protein alpha subunit by the arrestin SAG and terminates signaling (PubMed : 26200343, PubMed : 28524165).
See full target information RHO

Publications (141)

Recent publications for all applications. Explore the full list and refine your search

FASEB bioAdvances 7:e70044 PubMed40909872

2025

Rescue of the Stargardt Disease Phenotype in Knockout Mice Through Dietary Modulation of the Vitamin A Receptor RBPR2.

Applications

Unspecified application

Species

Unspecified reactive species

Rakesh Radhakrishnan,Matthias Leung,Drew Yochim,Heidi Roehrich,Scott W McPherson,Glenn P Lobo

Nature communications 16:7499 PubMed40835596

2025

Non-genetic neuromodulation with graphene optoelectronic actuators for disease models, stem cell maturation, and biohybrid robotics.

Applications

Unspecified application

Species

Unspecified reactive species

Elena Molokanova,Teng Zhou,Pragna Vasupal,Volodymyr P Cherkas,Prashant Narute,Mariana S A Ferraz,Michael Reiss,Angels Almenar-Queralt,Georgia Chaldaiopoulou,Janaina Sena de Souza,Honieh Hemati,Francisco Downey,Omowuyi O Olajide,Carolina Thörn Perez,Francesca Puppo,Pinar Mesci,Samuel L Pfaff,Dmitry Kireev,Alysson R Muotri,Alex Savchenko

Investigative ophthalmology & visual science 66:29 PubMed40793857

2025

Inhibiting The uPA/uPAR Pathway Affords Photoreceptor Resilience and Preserves Retinal Function in a Mouse Model of Retinitis Pigmentosa.

Applications

Unspecified application

Species

Unspecified reactive species

Rosario Amato,Alessio Canovai,Alberto Melecchi,Maria De Fenza,Linda Leone,Vincenzo Pavone,Daniele D'Alonzo,Maurizio Cammalleri,Massimo Dal Monte

FASEB journal : official publication of the Federation of American Societies for Experimental Biology 39:e70853 PubMed40704535

2025

Phagocytosed Photoreceptor Outer Segment Particles Within the Retinal Pigment Epithelium Show Diurnal Rhythmicity and Variation Between Cone Subtypes in Larval Zebrafish.

Applications

Unspecified application

Species

Unspecified reactive species

Jenni Partinen,Noora Emilia Nevala,Sanni Erämies,Teemu Olavi Ihalainen,Soile Nymark

Research (Washington, D.C.) 8:0770 PubMed40607323

2025

Precise Correction of the -L659P Mutation Causing Retinal Degeneration with Minimum Bystander Editing by Advanced Genome Editing Tools.

Applications

Unspecified application

Species

Unspecified reactive species

Zhiquan Liu,Siyu Chen,Yang Sun

eLife 13: PubMed40396212

2025

Glutamine catabolism supports amino acid biosynthesis and suppresses the integrated stress response to promote photoreceptor survival.

Applications

Unspecified application

Species

Unspecified reactive species

Moloy T Goswami,Eric Weh,Shubha Subramanya,Katherine M Weh,Hima Bindu Durumutla,Heather Hager,Nicholas Miller,Sraboni Chaudhury,Anthony Andren,Peter Sajjakulnukit,Li Zhang,Cagri Besirli,Costas A Lyssiotis,Thomas J Wubben

Proceedings of the National Academy of Sciences of the United States of America 122:e2416384122 PubMed39993185

2025

CTCF regulates global chromatin accessibility and transcription during rod photoreceptor development.

Applications

Unspecified application

Species

Unspecified reactive species

Dahong Chen,Saumya Keremane,Silu Wang,Elissa P Lei

Investigative ophthalmology & visual science 66:38 PubMed39946138

2025

Effect of Dync1h1 on Phototransduction Protein Transport and the Development and Maintenance of Photoreceptor Cells in Zebrafish.

Applications

Unspecified application

Species

Unspecified reactive species

Xuebin Zhou,Jinfeng Cao,Jianan Xie,Wanqing Tong,Bo Jia,Jinling Fu

Molecular neurodegeneration 20:8 PubMed39833899

2025

Genetic context modulates aging and degeneration in the murine retina.

Applications

Unspecified application

Species

Unspecified reactive species

Olivia J Marola,Michael MacLean,Travis L Cossette,Cory A Diemler,Amanda A Hewes,Alaina M Reagan,Jonathan Nyandu Kanyinda,Daniel A Skelly,Gareth R Howell

Neurobiology of disease 205:106793 PubMed39778749

2025

Modeling sacsin depletion in Danio Rerio offers new insight on retinal defects in ARSACS.

Applications

Unspecified application

Species

Unspecified reactive species

Valentina Naef,Devid Damiani,Rosario Licitra,Maria Marchese,Stefania Della Vecchia,Matteo Baggiani,Letizia Brogi,Daniele Galatolo,Silvia Landi,Filippo Maria Santorelli
View all publications

Product promise

We are committed to supporting your work with high-quality reagents, and we're here for you every step of the way. In the unlikely event that one of our products does not perform as expected, you're protected by our Product Promise.
For full details, please see our Terms & Conditions

Please note: All products are 'FOR RESEARCH USE ONLY. NOT FOR USE IN DIAGNOSTIC OR THERAPEUTIC PROCEDURES'.

For licensing inquiries, please contact partnerships@abcam.com