JavaScript is disabled in your browser. Please enable JavaScript to view this website.
AB32328

Anti-RhoGAP antibody [EP489Y]

5

(5 Reviews)

|

(4 Publications)

Rabbit Recombinant Monoclonal RhoGAP antibody. Suitable for IHC-P, WB, Flow Cyt (Intra) and reacts with Human, Rat, Mouse samples. Cited in 4 publications.

View Alternative Names

RHOGAP5, ARHGAP5, Rho GTPase-activating protein 5, Rho-type GTPase-activating protein 5, p190-B

4 Images
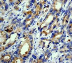
Immunohistochemistry (Formalin/PFA-fixed paraffin-embedded sections) - Anti-RhoGAP antibody [EP489Y] (AB32328)
  • IHC-P

Unknown

Immunohistochemistry (Formalin/PFA-fixed paraffin-embedded sections) - Anti-RhoGAP antibody [EP489Y] (AB32328)

ab32328 at a 1/100 dilution staining human RhoGAP in stomach carcinoma by Immunohistochemistry Paraffin embedded tissue

Perform heat mediated antigen retrieval with citrate buffer pH 6 before commencing with IHC staining protocol.

Flow Cytometry (Intracellular) - Anti-RhoGAP antibody [EP489Y] (AB32328)
  • Flow Cyt (Intra)

Lab

Flow Cytometry (Intracellular) - Anti-RhoGAP antibody [EP489Y] (AB32328)

Overlay histogram showing A431 cells stained with ab32328 (red line). The cells were fixed with 80% methanol (5 min)/ and then permeabilized with 0.1% PBS-Tween for 20 min. The cells were then incubated in 1x PBS / 10% normal goat serum / 0.3M glycine to block non-specific protein-protein interactions followed by the antibody (ab32328 1/1000 dilution) for 30 min at 22°C. The secondary antibody used was Alexa Fluor® 488 goat anti-rabbit IgG (H&L) (ab150077) at 1/2000 dilution for 30 min at 22°C. Isotype control antibody (black line) was rabbit IgG (monoclonal) (0.1μg/1x106 cells) used under the same conditions. Unlabelled sample (blue line) was also used as a control. Acquisition of >5000 events were collected using a 20mW Argon ion laser (488nm) and 525/30 bandpass filter.

Western blot - Anti-RhoGAP antibody [EP489Y] (AB32328)
  • WB

AbReview39997****

Western blot - Anti-RhoGAP antibody [EP489Y] (AB32328)

All lanes:

Western blot - Anti-RhoGAP antibody [EP489Y] (ab32328) at 1/500 dilution

All lanes:

Mouse MEFs whole cell lysate at 50 µg

Secondary

All lanes:

HRP-conjugated Goat anti-rabbit IgG polyclonal at 1/2000 dilution

Predicted band size: 171 kDa

Observed band size: 190 kDa

true

Exposure time: 5min

This image is courtesy of an anonymous Abreview

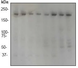
Western blot - Anti-RhoGAP antibody [EP489Y] (AB32328)
  • WB

Unknown

Western blot - Anti-RhoGAP antibody [EP489Y] (AB32328)

All lanes:

Western blot - Anti-RhoGAP antibody [EP489Y] (ab32328) at 1/500 dilution

Lane 1:

HeLa cell lysate

Lane 2:

Jurkat cell lysate

Lane 3:

MCF-7 cell lysate

Lane 4:

K562 cell lysate

Lane 5:

A431 cell lysate

Lane 6:

293 cell lysate

Lane 7:

NIH 3T3 cell lysate

Lane 8:

PC12 cell lysate

Predicted band size: 171 kDa,29 kDa

Observed band size: 190 kDa

false

Key facts

Host species

Rabbit

Clonality

Monoclonal

Clone number

EP489Y

Isotype

IgG

Carrier free

No

Reacts with

Mouse, Rat, Human

Applications

WB, IHC-P, Flow Cyt (Intra)

applications

Immunogen

The exact immunogen used to generate this antibody is proprietary information.

Reactivity data

{ "title": "Reactivity Data", "filters": { "stats": ["", "Species", "Dilution Info", "Notes"], "tabs": { "all-applications": {"fullname" : "All Applications", "shortname": "All Applications"}, "IHCP" : {"fullname" : "Immunohistochemistry (Formalin/PFA-fixed paraffin-embedded sections)", "shortname":"IHC-P"}, "ICCIF" : {"fullname" : "Immunocytochemistry/ Immunofluorescence", "shortname":"ICC/IF"}, "IP" : {"fullname" : "Immunoprecipitation", "shortname":"IP"}, "WB" : {"fullname" : "Western blot", "shortname":"WB"}, "FlowCytIntra" : {"fullname" : "Flow Cytometry (Intracellular)", "shortname":"Flow Cyt (Intra)"} }, "product-promise": { "all": "all", "testedAndGuaranteed": "tested", "guaranteed": "expected", "predicted": "predicted", "notRecommended": "not-recommended" } }, "values": { "Human": { "IHCP-species-checked": "testedAndGuaranteed", "IHCP-species-dilution-info": "", "IHCP-species-notes": "<p></p>", "ICCIF-species-checked": "notRecommended", "ICCIF-species-dilution-info": "", "ICCIF-species-notes": "<p></p>", "IP-species-checked": "notRecommended", "IP-species-dilution-info": "1/50", "IP-species-notes": "<p></p>", "WB-species-checked": "testedAndGuaranteed", "WB-species-dilution-info": "1/500", "WB-species-notes": "<p></p>", "FlowCytIntra-species-checked": "testedAndGuaranteed", "FlowCytIntra-species-dilution-info": "1/60 - 1/1000", "FlowCytIntra-species-notes": "<p><a href='/en-us/products/primary-antibodies/rabbit-igg-monoclonal-epr25a-isotype-control-ab172730'>ab172730</a> - Rabbit monoclonal IgG, is suitable for use as an isotype control with this antibody.</p>" }, "Mouse": { "IHCP-species-checked": "guaranteed", "IHCP-species-dilution-info": "", "IHCP-species-notes": "", "ICCIF-species-checked": "notRecommended", "ICCIF-species-dilution-info": "", "ICCIF-species-notes": "<p></p>", "IP-species-checked": "notRecommended", "IP-species-dilution-info": "", "IP-species-notes": "<p></p>", "WB-species-checked": "testedAndGuaranteed", "WB-species-dilution-info": "1/500", "WB-species-notes": "<p></p>", "FlowCytIntra-species-checked": "guaranteed", "FlowCytIntra-species-dilution-info": "", "FlowCytIntra-species-notes": "" }, "Rat": { "IHCP-species-checked": "guaranteed", "IHCP-species-dilution-info": "", "IHCP-species-notes": "", "ICCIF-species-checked": "notRecommended", "ICCIF-species-dilution-info": "", "ICCIF-species-notes": "<p></p>", "IP-species-checked": "notRecommended", "IP-species-dilution-info": "1/50", "IP-species-notes": "<p></p>", "WB-species-checked": "testedAndGuaranteed", "WB-species-dilution-info": "1/500", "WB-species-notes": "<p></p>", "FlowCytIntra-species-checked": "guaranteed", "FlowCytIntra-species-dilution-info": "", "FlowCytIntra-species-notes": "" } } }

Product details

Patented technology
Our RabMAb® technology is a patented hybridoma-based technology for making rabbit monoclonal antibodies. For details on our patents, please refer to RabMAb® patents.

What are the advantages of a recombinant monoclonal antibody?
This product is a recombinant monoclonal antibody, which offers several advantages including:

  • - High batch-to-batch consistency and reproducibility
  • - Improved sensitivity and specificity
  • - Long-term security of supply
  • - Animal-free batch production

For more information, read more on recombinant antibodies.

Properties and storage information

Form
Liquid
Purification technique
Affinity purification Protein A
Storage buffer
pH: 7.2 - 7.4 Preservative: 0.01% Sodium azide Constituents: PBS, 50% Glycerol (glycerin, glycerine), 0.05% BSA
Shipped at conditions
Blue Ice
Appropriate short-term storage conditions
+4°C
Appropriate long-term storage conditions
-20°C
Aliquoting information
Upon delivery aliquot
Storage information
Avoid freeze / thaw cycle

Supplementary information

This supplementary information is collated from multiple sources and compiled automatically.

RhoGAPs also known as Rho GTPase-activating proteins perform a critical mechanical role by converting active GTP-bound Rho GTPases into their inactive GDP-bound form. RhoGAPs regulate this GTPase activity through their GAP domain acting as molecular switches in various signaling pathways. The typical mass of RhoGAPs can vary around 50-150 kDa depending on the specific family member. Expression of RhoGAPs occurs ubiquitously across many cell types reflecting their importance in cellular signaling processes.
Biological function summary

RhoGAPs regulate the actin cytoskeleton influencing cell mobility shape and cycle progression. These proteins often work as part of a larger complex interacting with other signaling molecules to modulate cytoskeletal dynamics. By keeping Rho GTPases activities in check RhoGAPs play essential roles in maintaining normal cellular function and dynamics. They contribute to processes such as cell migration proliferation and differentiation.

Pathways

RhoGAPs integrate into the Rho/Rac/Cdc42 signaling pathways serving as key regulators of actin cytoskeleton reorganization. In these pathways RhoGAPs balance the activity of Rho GTPases to ensure proper response to stimuli. Together with proteins such as RhoGEFs which activate Rho GTPases RhoGAPs form a regulatory network that precisely controls cytoskeletal and membrane dynamics critical for effective cellular responses.

Defects in RhoGAP function have been implicated in cancer progression and neurodegenerative disorders. Dysfunctional RhoGAP activity can lead to unregulated cell proliferation and survival contributing to cancer development. Similarly in neurological contexts aberrant RhoGAP signaling can affect neuron structure and function potentially linking to Alzheimer's disease. These associations highlight the importance of RhoGAPs and their interactions with Rho GTPases in maintaining cellular homeostasis and human health.

Product protocols

For this product, it's our understanding that no specific protocols are required. You can visit:

Target data

GTPase-activating protein for Rho family members (PubMed : 8537347).
See full target information ARHGAP5

Publications (4)

Recent publications for all applications. Explore the full list and refine your search

Frontiers in cell and developmental biology 9:657219 PubMed34307347

2021

Transcriptomic Analysis Identified ARHGAP Family as a Novel Biomarker Associated With Tumor-Promoting Immune Infiltration and Nanomechanical Characteristics in Bladder Cancer.

Applications

Unspecified application

Species

Unspecified reactive species

Chen Yang,Siqi Wu,Zezhong Mou,Quan Zhou,Zheyu Zhang,Yiling Chen,Yuxi Ou,Xinan Chen,Xiyu Dai,Chenyang Xu,Na Liu,Haowen Jiang

Journal of gastric cancer 20:408-420 PubMed33425442

2020

Clinical Significance of CLDN18.2 Expression in Metastatic Diffuse-Type Gastric Cancer.

Applications

Unspecified application

Species

Unspecified reactive species

Seo Ree Kim,Kabsoo Shin,Jae Myung Park,Han Hong Lee,Kyo Yong Song,Sung Hak Lee,Bohyun Kim,Sang-Yeob Kim,Junyoung Seo,Jeong-Oh Kim,Sang-Young Roh,In-Ho Kim

Cell death & disease 10:383 PubMed31097692

2019

Impaired autophagic degradation of lncRNA ARHGAP5-AS1 promotes chemoresistance in gastric cancer.

Applications

Unspecified application

Species

Unspecified reactive species

Liyuan Zhu,Yiran Zhu,Shuting Han,Miaoqin Chen,Ping Song,Dongjun Dai,Wenxia Xu,Tingting Jiang,Lifeng Feng,Vivian Y Shin,Xian Wang,Hongchuan Jin

The Journal of neuroscience : the official journal of the Society for Neuroscience 34:1542-53 PubMed24453341

2014

p140Cap regulates memory and synaptic plasticity through Src-mediated and citron-N-mediated actin reorganization.

Applications

Unspecified application

Species

Mouse

Daniele Repetto,Paola Camera,Riccardo Melani,Noemi Morello,Isabella Russo,Eleonora Calcagno,Romana Tomasoni,Federico Bianchi,Gaia Berto,Maurizio Giustetto,Nicoletta Berardi,Tommaso Pizzorusso,Michela Matteoli,Paola Di Stefano,Markus Missler,Emilia Turco,Ferdinando Di Cunto,Paola Defilippi
View all publications

Product promise

We are committed to supporting your work with high-quality reagents, and we're here for you every step of the way. In the unlikely event that one of our products does not perform as expected, you're protected by our Product Promise.
For full details, please see our Terms & Conditions

Please note: All products are 'FOR RESEARCH USE ONLY. NOT FOR USE IN DIAGNOSTIC OR THERAPEUTIC PROCEDURES'.

For licensing inquiries, please contact partnerships@abcam.com