JavaScript is disabled in your browser. Please enable JavaScript to view this website.
AB135252

Anti-RhoGDI antibody [2G3]

4

(2 Reviews)

|

(1 Publication)

Mouse Monoclonal RhoGDI antibody. Suitable for Flow Cyt, WB, ICC/IF and reacts with Human, Rat, African green monkey, Mouse, Recombinant full length protein - Human samples. Cited in 1 publication. Immunogen corresponding to Recombinant Full Length Protein corresponding to Human ARHGDIA.

View Alternative Names

GDIA1, ARHGDIA, Rho GDP-dissociation inhibitor 1, Rho GDI 1, Rho-GDI alpha

6 Images
Western blot - Anti-RhoGDI antibody [2G3] (AB135252)
  • WB

Lab

Western blot - Anti-RhoGDI antibody [2G3] (AB135252)

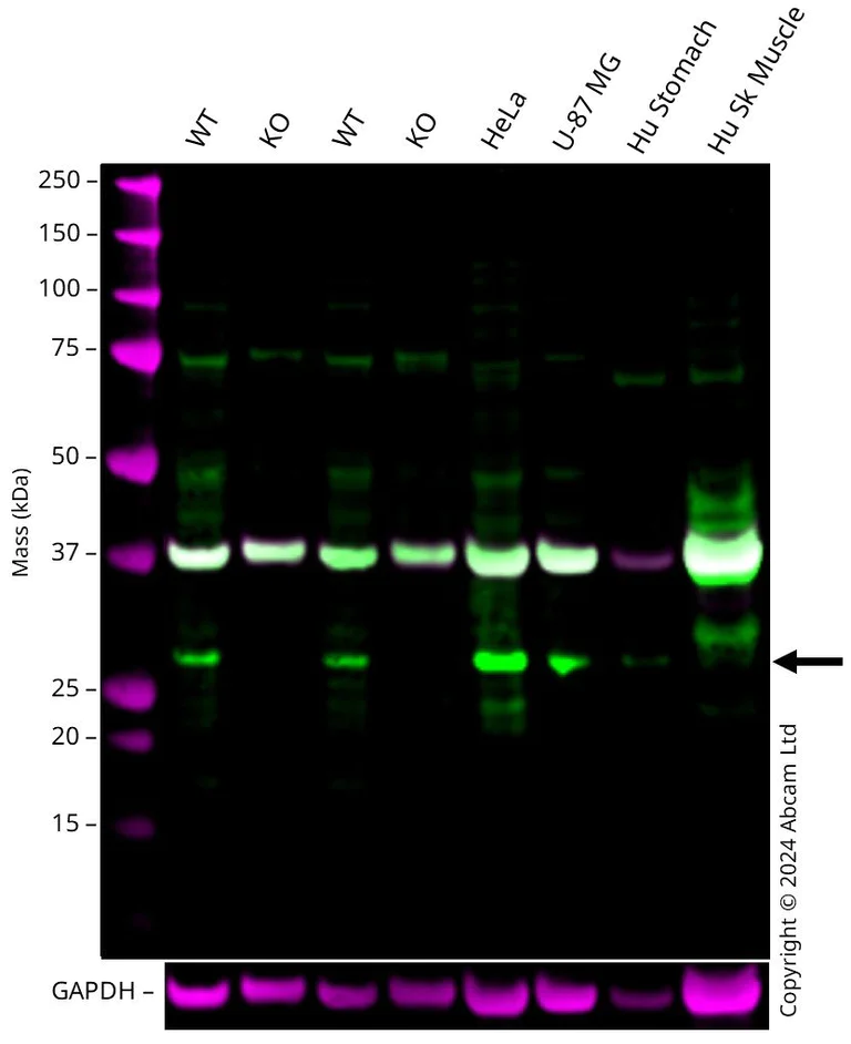
Western blot : Anti-ARHGDIA antibody [2G3] (ab135252) staining at 1/1000 dilution, shown in green; Rabbit Anti-GAPDH antibody [EPR16891] (ab181602) loading control staining at 1/20000 dilution, shown in magenta. In Western blot, ab135252 was shown to bind specifically to ARHGDIA. A band was observed at 27 kDa in wild-type HEK-293T cell lysates with no signal observed at this size in ARHGDIA knockout cell line ab266446 (knockout cell lysate ab257355). To generate this image, wild-type and ARHGDIA knockout HEK-293T cell lysates were analysed. First, samples were run on an SDS-PAGE gel then transferred onto a nitrocellulose membrane. Membranes were blocked in 3 % milk in TBS-0.1 % Tween® 20 (TBS-T) before incubation with primary antibodies overnight at 4 °C. Blots were washed four times in TBS-T, incubated with secondary antibodies for 1 h at room temperature, washed again four times then imaged. Secondary antibodies used were Goat anti-Mouse IgG H&L 800CW and Goat anti-Rabbit IgG H&L 680RD at 1/20000 dilution.

All lanes:

Western blot - Anti-RhoGDI antibody [2G3] (ab135252) at 1/1000 dilution

Lane 1:

Wild-type HEK-293T cell lysate at 20 µg

Lane 2:

ARHGDIA knockout HEK-293T cell lysate at 20 µg

Lane 2:

Western blot - Human ARHGDIA (RhoGDI) knockout HEK-293T cell line (<a href='/en-us/products/cell-lines/human-arhgdia-rhogdi-knockout-hek-293t-cell-line-ab266446'>ab266446</a>)

Lane 2:

Western blot - Human ARHGDIA (RhoGDI) knockout HEK-293T cell lysate (<a href='/en-us/products/cell-lysates/human-arhgdia-rhogdi-knockout-hek-293t-cell-lysate-ab257355'>ab257355</a>)

Lane 3:

Wild-type HEK-293T ab255553 cell lysate at 20 µg

Lane 4:

ARHGDIA knockout HEK-293T ab263544 cell lysate at 20 µg

Lane 5:

HeLa cell lysate at 20 µg

Lane 6:

U-87 MG cell lysate at 20 µg

Lane 7:

Human Stomach cell lysate at 20 µg

Lane 8:

Human Skeletal Muscle cell lysate at 20 µg

Secondary

All lanes:

Goat anti-Mouse IgG H&L 800CW and Goat anti-Rabbit IgG H&L 680RD at 1/20000 dilution

Observed band size: 27 kDa

false

Flow Cytometry - Anti-RhoGDI antibody [2G3] (AB135252)
  • Flow Cyt

Unknown

Flow Cytometry - Anti-RhoGDI antibody [2G3] (AB135252)

Flow cytometric analysis of HeLa cells using ab135252 at 1/200 dilution (green) and negative control (red).

Immunocytochemistry/ Immunofluorescence - Anti-RhoGDI antibody [2G3] (AB135252)
  • ICC/IF

AbReview32693****

Immunocytochemistry/ Immunofluorescence - Anti-RhoGDI antibody [2G3] (AB135252)

Immunofluorescence analysis of rat lung epithelial cells, staining RhoGDI with ab135252.

Cells were fixed with paraformaldehyde, permeabilized with 0.2% saponin and blocked with 10% serum for 10 minutes at 20°C. Samples were incubated with primary antibody (1/200 in 10% serum, 0.2% saponin in PBS) for 1 hour at 23°C. An AlexaFluor®488-conjugated goat anti-mouse polyclonal IgG (1/400) was used as the secondary antibody.

This image is courtesy of an anonymous Abreview

Immunocytochemistry/ Immunofluorescence - Anti-RhoGDI antibody [2G3] (AB135252)
  • ICC/IF

Unknown

Immunocytochemistry/ Immunofluorescence - Anti-RhoGDI antibody [2G3] (AB135252)

Immunofluorescence analysis of HepG2 cells using ab135252 at 1/200 dilution (green). Blue : DRAQ5 fluorescent DNA dye.

Western blot - Anti-RhoGDI antibody [2G3] (AB135252)
  • WB

Unknown

Western blot - Anti-RhoGDI antibody [2G3] (AB135252)

All lanes:

Western blot - Anti-RhoGDI antibody [2G3] (ab135252) at 1/500 dilution

Lane 1:

Jurkat cell lysate

Lane 2:

HeLa cell lysate

Lane 3:

NIH3T3 cell lysate

Lane 4:

C6 (Rat glial tumor cell line) cell lysate

Lane 5:

K562 cell lysate

Lane 6:

COS-7 (African green monkey kidney fibroblast-like cell line) cell lysate

Predicted band size: 23 kDa

false

Western blot - Anti-RhoGDI antibody [2G3] (AB135252)
  • WB

Unknown

Western blot - Anti-RhoGDI antibody [2G3] (AB135252)

Note : the predicted band size of the full length protein is 23 kDa. The expected band size of the recombinant protein used here is 42.7 kDa.

All lanes:

Western blot - Anti-RhoGDI antibody [2G3] (ab135252) at 1/500 dilution

All lanes:

Human RhoGDI recombinant protein.

Predicted band size: 23 kDa

Observed band size: 48.7 kDa

false

Key facts

Host species

Mouse

Clonality

Monoclonal

Clone number

2G3

Isotype

IgG1

Carrier free

No

Reacts with

Mouse, Rat, Human, African green monkey

Applications

Flow Cyt, WB, ICC/IF

applications

Immunogen

Recombinant Full Length Protein corresponding to Human ARHGDIA.

P52565

Reactivity data

{ "title": "Reactivity Data", "filters": { "stats": ["", "Species", "Dilution Info", "Notes"], "tabs": { "all-applications": {"fullname" : "All Applications", "shortname": "All Applications"}, "FlowCyt" : {"fullname" : "Flow Cytometry", "shortname":"Flow Cyt"}, "WB" : {"fullname" : "Western blot", "shortname":"WB"}, "ICCIF" : {"fullname" : "Immunocytochemistry/ Immunofluorescence", "shortname":"ICC/IF"} }, "product-promise": { "all": "all", "testedAndGuaranteed": "tested", "guaranteed": "expected", "predicted": "predicted", "notRecommended": "not-recommended" } }, "values": { "Human": { "FlowCyt-species-checked": "testedAndGuaranteed", "FlowCyt-species-dilution-info": "1/200 - 1/400", "FlowCyt-species-notes": "<p><a href='/en-us/products/primary-antibodies/mouse-igg1-kappa-monoclonal-15-6e10a7-isotype-control-ab170190'>ab170190</a> - Mouse monoclonal IgG1, is suitable for use as an isotype control with this antibody.</p>", "WB-species-checked": "testedAndGuaranteed", "WB-species-dilution-info": "1/500 - 1/2000", "WB-species-notes": "<p></p>", "ICCIF-species-checked": "testedAndGuaranteed", "ICCIF-species-dilution-info": "1/200 - 1/1000", "ICCIF-species-notes": "<p></p>" }, "Mouse": { "FlowCyt-species-checked": "guaranteed", "FlowCyt-species-dilution-info": "", "FlowCyt-species-notes": "", "WB-species-checked": "testedAndGuaranteed", "WB-species-dilution-info": "1/500 - 1/2000", "WB-species-notes": "<p></p>", "ICCIF-species-checked": "guaranteed", "ICCIF-species-dilution-info": "", "ICCIF-species-notes": "" }, "Rat": { "FlowCyt-species-checked": "guaranteed", "FlowCyt-species-dilution-info": "", "FlowCyt-species-notes": "", "WB-species-checked": "testedAndGuaranteed", "WB-species-dilution-info": "1/500 - 1/2000", "WB-species-notes": "<p></p>", "ICCIF-species-checked": "guaranteed", "ICCIF-species-dilution-info": "1/200 - 1/1000", "ICCIF-species-notes": "<p></p>" }, "African green monkey": { "FlowCyt-species-checked": "guaranteed", "FlowCyt-species-dilution-info": "", "FlowCyt-species-notes": "", "WB-species-checked": "testedAndGuaranteed", "WB-species-dilution-info": "1/500 - 1/2000", "WB-species-notes": "<p></p>", "ICCIF-species-checked": "guaranteed", "ICCIF-species-dilution-info": "", "ICCIF-species-notes": "" }, "Cow": { "FlowCyt-species-checked": "predicted", "FlowCyt-species-dilution-info": "", "FlowCyt-species-notes": "", "WB-species-checked": "predicted", "WB-species-dilution-info": "", "WB-species-notes": "", "ICCIF-species-checked": "predicted", "ICCIF-species-dilution-info": "", "ICCIF-species-notes": "" }, "Recombinant full length protein - Human": { "FlowCyt-species-checked": "notRecommended", "FlowCyt-species-dilution-info": "", "FlowCyt-species-notes": "", "WB-species-checked": "testedAndGuaranteed", "WB-species-dilution-info": "1/500 - 1/2000", "WB-species-notes": "<p></p>", "ICCIF-species-checked": "notRecommended", "ICCIF-species-dilution-info": "", "ICCIF-species-notes": "" } } }

Properties and storage information

Form
Liquid
Purification technique
Affinity purification Protein G
Purification notes
Purified from tissue culture supernatant.
Storage buffer
Preservative: 0.05% Sodium azide Constituents: PBS
Shipped at conditions
Blue Ice
Appropriate short-term storage duration
1-2 weeks
Appropriate short-term storage conditions
+4°C
Appropriate long-term storage conditions
-20°C

Supplementary information

This supplementary information is collated from multiple sources and compiled automatically.

RhoGDI also known as Rho GDP-dissociation inhibitor 1 is a regulatory protein with a mass of approximately 23 kDa. It primarily inhibits the dissociation of GDP from Rho GTPases such as RhoA Rac1 and Cdc42. This protein plays an important role in controlling the cycling between active GTP-bound and inactive GDP-bound states of small GTPases. RhoGDI shows expression in numerous tissues highlighting its widespread regulatory functions in cell signaling.
Biological function summary

RhoGDI modulates the activity of Rho family GTPases—a group responsible for organizing the actin cytoskeleton which determines cell shape polarity and movement. It does not operate alone; rather it is part of a complex with membrane-bound and cytosolic proteins offering a shuttle service to balance GTPases between cellular locations. By doing so RhoGDI influences processes like cell migration and the cell cycle integral to maintaining proper cellular architecture.

Pathways

Scientists recognize RhoGDI’s participation in key signaling pathways particularly the Rho GTPase cycle and actin cytoskeleton organization. It interacts with proteins like ROCK and PAK within these pathways to achieve precise control of cytoskeletal dynamics. RhoGDI coordinates with these proteins to play a central role in cellular responses to external stimuli impacting processes like wound healing and cellular development.

RhoGDI has associations with cancer and neurodegenerative diseases. Its deregulation can disrupt the Rho GTPase pathways leading to uncontrolled cell proliferation in cancers such as breast and prostate cancer. Additionally altered RhoGDI function affects neuronal growth and survival linking it to neurodegenerative conditions like Alzheimer’s disease. Within these contexts RhoGDI interacts with other proteins such as Rac1 and Cdc42 to influence disease progression and pathology.

Product protocols

For this product, it's our understanding that no specific protocols are required. You can visit:

Target data

Controls Rho proteins homeostasis. Regulates the GDP/GTP exchange reaction of the Rho proteins by inhibiting the dissociation of GDP from them, and the subsequent binding of GTP to them. Retains Rho proteins such as CDC42, RAC1 and RHOA in an inactive cytosolic pool, regulating their stability and protecting them from degradation. Actively involved in the recycling and distribution of activated Rho GTPases in the cell, mediates extraction from membranes of both inactive and activated molecules due its exceptionally high affinity for prenylated forms. Through the modulation of Rho proteins, may play a role in cell motility regulation. In glioma cells, inhibits cell migration and invasion by mediating the signals of SEMA5A and PLXNB3 that lead to inactivation of RAC1.
See full target information ARHGDIA

Publications (1)

Recent publications for all applications. Explore the full list and refine your search

Scientific reports 7:17262 PubMed29222525

2017

Conserved Gene Microsynteny Unveils Functional Interaction Between Protein Disulfide Isomerase and Rho Guanine-Dissociation Inhibitor Families.

Applications

WB

Species

Mouse

Ana I S Moretti,Jessyca C Pavanelli,Patrícia Nolasco,Matthias S Leisegang,Leonardo Y Tanaka,Carolina G Fernandes,João Wosniak,Daniela Kajihara,Matheus H Dias,Denise C Fernandes,Hanjoong Jo,Ngoc-Vinh Tran,Ingo Ebersberger,Ralf P Brandes,Diego Bonatto,Francisco R M Laurindo
View all publications

Product promise

We are committed to supporting your work with high-quality reagents, and we're here for you every step of the way. In the unlikely event that one of our products does not perform as expected, you're protected by our Product Promise.
For full details, please see our Terms & Conditions

Please note: All products are 'FOR RESEARCH USE ONLY. NOT FOR USE IN DIAGNOSTIC OR THERAPEUTIC PROCEDURES'.

For licensing inquiries, please contact partnerships@abcam.com