JavaScript is disabled in your browser. Please enable JavaScript to view this website.
AB317699

Anti-RHOJ antibody [EPR28959-55]

Be the first to review this product! Submit a review

|

(0 Publication)

Rabbit Recombinant Monoclonal RHOJ antibody. Suitable for WB, IP and reacts with Transfected cell lysate - Human, Human, Mouse samples.

View Alternative Names

ARHJ, RASL7B, RHOI, TCL, Rho-related GTP-binding protein RhoJ, Ras-like protein family member 7B, Tc10-like GTP-binding protein

3 Images
Immunoprecipitation - Anti-RHOJ antibody [EPR28959-55] (AB317699)
  • IP

Supplier Data

Immunoprecipitation - Anti-RHOJ antibody [EPR28959-55] (AB317699)

RHOJ was immunoprecipitated from 0.35 mg HUVEC (human umbilical vein endothelial cell) whole cell lysate with ab317699 at 1/30 dilution (2ug in 0.35mg lysates). Western blot was performed on the immunoprecipitate using ab317699 at 1/1000 dilution. VeriBlot for IP secondary antibody(HRP)(ab131366) was used at 1/5000 dilution.

Lane 1 : HUVEC (human umbilical vein endothelial cell) whole cell lysate
Lane 2 : ab317699 IP in HUVEC (human umbilical vein endothelial cell) whole cell lysate
Lane 3 : Rabbit monoclonal IgG (ab172730) instead of ab317699 in HUVEC whole cell lysate

Blocking and dilution buffer and concentration : 5% NFDM/TBST

All lanes:

Immunoprecipitation - Anti-RHOJ antibody [EPR28959-55] (ab317699) at 1/30 dilution

All lanes:

HUVEC (human umbilical vein endothelial cell) whole cell lysate

Secondary

All lanes:

Immunoprecipitation - VeriBlot for IP Detection Reagent (HRP) (<a href='/en-us/products/reagents/veriblot-for-ip-detection-reagent-hrp-ab131366'>ab131366</a>) at 1/5000 dilution

false

Exposure time: 180s

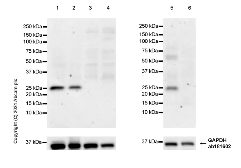
Western blot - Anti-RHOJ antibody [EPR28959-55] (AB317699)
  • WB

Supplier Data

Western blot - Anti-RHOJ antibody [EPR28959-55] (AB317699)

Blocking and diluting buffer and concentration : 5% NFDM/TBST.

Negative control : HeLa, 293T (PMID : 21628409).

Low expression : RAW 264.7 (PMID : 21628409).

The identity of the higher MW band (~50kDa) is unknown.

In Western blot, Anti-GAPDH antibody [EPR16891] - Loading Control (ab181602) staining at 1/200000 dilution.

Exposure time : Lane 1-4 : 158 seconds; Lane 5-6 : 180 seconds

All lanes:

Western blot - Anti-RHOJ antibody [EPR28959-55] (ab317699) at 1/1000 dilution

Lane 1:

HUVEC (human umbilical vein endothelial cell) whole cell lysate at 20 µg

Lane 2:

EA.hy926 (human somatic cell hybrid endothelial cell) whole cell lysate at 20 µg

Lane 3:

HeLa (human cervical adenocarcinoma epithelial cell) whole cell lysate at 20 µg

Lane 4:

293T (human embryonic kidney epithelial cell) whole cell lysate at 20 µg

Lane 5:

bEnd.3 (mouse brain endothelial cell) whole cell lysate at 20 µg

Lane 6:

RAW 264.7 (mouse Abelson murine leukemia virus-induced tumor macrophage) whole cell lysate at 20 µg

Secondary

All lanes:

Western blot - Goat Anti-Rabbit IgG H&L (HRP) (<a href='/en-us/products/secondary-antibodies/goat-rabbit-igg-h-l-hrp-ab97051'>ab97051</a>) at 1/100000 dilution

Observed band size: 23 kDa,36 kDa

false

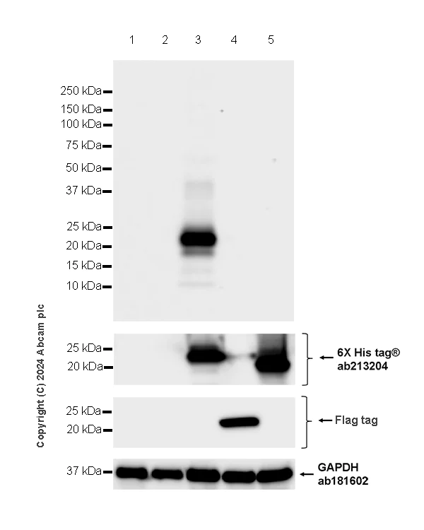
Western blot - Anti-RHOJ antibody [EPR28959-55] (AB317699)
  • WB

Supplier Data

Western blot - Anti-RHOJ antibody [EPR28959-55] (AB317699)

Blocking and diluting buffer and concentration : 5% NFDM/TBST.

This antibody does not cross-react with RHOQ and CDC42.

In Western blot, Anti-GAPDH antibody [EPR16891] - Loading Control (ab181602) staining at 1/200000 dilution.

In Western blot, Anti-6X His tag® antibody [EPR20547] - ChIP Grade (ab213204) staining at 1/5000 dilution.

In Western blot, Anti-Flag tag staining at 1/10000 dilution.

All lanes:

Western blot - Anti-RHOJ antibody [EPR28959-55] (ab317699) at 1/1000 dilution

Lane 1:

293T (human embryonic kidney epithelial cell) cells transfected with an empty vector containing a His-tag whole cell lysate at 20 µg

Lane 2:

293T cells transfected with an empty vector containing a Flag-tag whole cell lysate at 20 µg

Lane 3:

293T cells transfected with a RHOJ expression vector containing a His-tag, whole cell lysate at 20 µg

Lane 4:

293T cells transfected with a RHOQ expression vector containing a Flag-tag, whole cell lysate at 20 µg

Lane 5:

293T cells transfected with a CDC42 expression vector containing a His-tag, whole cell lysate at 20 µg

Secondary

All lanes:

Western blot - Goat Anti-Rabbit IgG H&L (HRP) (<a href='/en-us/products/secondary-antibodies/goat-rabbit-igg-h-l-hrp-ab97051'>ab97051</a>) at 1/100000 dilution

Observed band size: 23 kDa,36 kDa,21 kDa

false

Exposure time: 5s

  • Carrier free

    Anti-RHOJ antibody [EPR28959-55] - BSA and Azide free

Key facts

Host species

Rabbit

Clonality

Monoclonal

Clone number

EPR28959-55

Isotype

IgG1

Carrier free

No

Reacts with

Human, Mouse

Applications

WB, IP

applications

Immunogen

The exact immunogen used to generate this antibody is proprietary information.

Specificity

This antibody does not cross-react with human RHOQ and CDC42.

Reactivity data

{ "title": "Reactivity Data", "filters": { "stats": ["", "Species", "Dilution Info", "Notes"], "tabs": { "all-applications": {"fullname" : "All Applications", "shortname": "All Applications"}, "WB" : {"fullname" : "Western blot", "shortname":"WB"}, "IP" : {"fullname" : "Immunoprecipitation", "shortname":"IP"}, "IHCP" : {"fullname" : "Immunohistochemistry (Formalin/PFA-fixed paraffin-embedded sections)", "shortname":"IHC-P"}, "ICCIF" : {"fullname" : "Immunocytochemistry/ Immunofluorescence", "shortname":"ICC/IF"}, "FlowCytIntra" : {"fullname" : "Flow Cytometry (Intracellular)", "shortname":"Flow Cyt (Intra)"} }, "product-promise": { "all": "all", "testedAndGuaranteed": "tested", "guaranteed": "expected", "predicted": "predicted", "notRecommended": "not-recommended" } }, "values": { "Human": { "WB-species-checked": "testedAndGuaranteed", "WB-species-dilution-info": "1/1000", "WB-species-notes": "<p></p>", "IP-species-checked": "testedAndGuaranteed", "IP-species-dilution-info": "1/30", "IP-species-notes": "<p></p>", "IHCP-species-checked": "notRecommended", "IHCP-species-dilution-info": "", "IHCP-species-notes": "<p></p>", "ICCIF-species-checked": "notRecommended", "ICCIF-species-dilution-info": "", "ICCIF-species-notes": "<p></p>", "FlowCytIntra-species-checked": "notRecommended", "FlowCytIntra-species-dilution-info": "", "FlowCytIntra-species-notes": "<p></p>" }, "Mouse": { "WB-species-checked": "testedAndGuaranteed", "WB-species-dilution-info": "1/1000", "WB-species-notes": "<p></p>", "IP-species-checked": "guaranteed", "IP-species-dilution-info": "", "IP-species-notes": "", "IHCP-species-checked": "notRecommended", "IHCP-species-dilution-info": "", "IHCP-species-notes": "<p></p>", "ICCIF-species-checked": "notRecommended", "ICCIF-species-dilution-info": "", "ICCIF-species-notes": "<p></p>", "FlowCytIntra-species-checked": "notRecommended", "FlowCytIntra-species-dilution-info": "", "FlowCytIntra-species-notes": "<p></p>" }, "Rat": { "WB-species-checked": "notRecommended", "WB-species-dilution-info": "", "WB-species-notes": "<p></p>", "IP-species-checked": "notRecommended", "IP-species-dilution-info": "", "IP-species-notes": "", "IHCP-species-checked": "notRecommended", "IHCP-species-dilution-info": "", "IHCP-species-notes": "<p></p>", "ICCIF-species-checked": "notRecommended", "ICCIF-species-dilution-info": "", "ICCIF-species-notes": "", "FlowCytIntra-species-checked": "notRecommended", "FlowCytIntra-species-dilution-info": "", "FlowCytIntra-species-notes": "" }, "Transfected cell lysate - Human": { "WB-species-checked": "testedAndGuaranteed", "WB-species-dilution-info": "1/1000", "WB-species-notes": "<p></p>", "IP-species-checked": "notRecommended", "IP-species-dilution-info": "", "IP-species-notes": "", "IHCP-species-checked": "notRecommended", "IHCP-species-dilution-info": "", "IHCP-species-notes": "", "ICCIF-species-checked": "notRecommended", "ICCIF-species-dilution-info": "", "ICCIF-species-notes": "", "FlowCytIntra-species-checked": "notRecommended", "FlowCytIntra-species-dilution-info": "", "FlowCytIntra-species-notes": "" } } }

Product details

Patented technology
Our RabMAb® technology is a patented hybridoma-based technology for making rabbit monoclonal antibodies. For details on our patents, please refer to RabMAb® patents.

What are the advantages of a recombinant monoclonal antibody?
This product is a recombinant monoclonal antibody, which offers several advantages including:

  • - High batch-to-batch consistency and reproducibility
  • - Improved sensitivity and specificity
  • - Long-term security of supply
  • - Animal-free batch production

For more information, read more on recombinant antibodies.

Properties and storage information

Form
Liquid
Purification technique
Affinity purification Protein A
Storage buffer
pH: 7.2 - 7.4 Preservative: 0.01% Sodium azide Constituents: PBS, 40% Glycerol (glycerin, glycerine), 0.05% BSA
Shipped at conditions
Blue Ice
Appropriate short-term storage duration
1-2 weeks
Appropriate short-term storage conditions
+4°C
Appropriate long-term storage conditions
-20°C
Aliquoting information
Upon delivery aliquot
Storage information
Avoid freeze / thaw cycle

Supplementary information

This supplementary information is collated from multiple sources and compiled automatically.

RHOJ also known as ARHJ is a small GTPase of the Rho family with a molecular weight of approximately 21 kDa. It acts as a molecular switch by cycling between active GTP-bound and inactive GDP-bound states. RHOJ is involved in regulating actin cytoskeleton dynamics influencing cell morphology and movement. This protein is expressed in various tissues with notable levels in endothelial cells contributing to its role in vasculature functions.
Biological function summary

RHOJ plays an important role in angiogenesis and endothelial cell function. It orchestrates the reorganization of the actin cytoskeleton which is fundamental to cellular processes like migration and adhesion. RHOJ often forms part of protein complexes interacting with actin-binding proteins to modulate cytoskeletal arrangements. These interactions facilitate the formation of new blood vessels which is important for development and wound healing.

Pathways

RHOJ is a significant component of the angiogenesis and integrin signaling pathways. Within these pathways it interacts with proteins such as VE-cadherin and integrins contributing to endothelial cell junction integrity and signaling cascades essential for vessel stabilization. These pathways help maintain vascular homeostasis and support physiological responses to environmental changes that require vascular remodeling.

Abnormal RHOJ activity links to cancer and cardiovascular diseases. Excessive or decreased angiogenesis regulated by RHOJ can lead to tumor growth or impaired wound healing respectively. RHOJ is connected to diseases like atherosclerosis through pathways involving other Rho family members and molecules like VEGF which also regulate vascular functions. Understanding RHOJ's involvement in these conditions could inform therapeutic strategies targeting angiogenesis-related pathologies.

Product protocols

For this product, it's our understanding that no specific protocols are required. You can visit:

Target data

Plasma membrane-associated small GTPase specifically involved in angiogenesis (PubMed : 21628409, PubMed : 24434213, PubMed : 30158707). Required for endothelial cell migration during vascular development via its interaction with GLUL (PubMed : 30158707). Elicits the formation of F-actin-rich structures, thereby regulating endothelial cell migration (PubMed : 30158707).
See full target information RHOJ

Product promise

We are committed to supporting your work with high-quality reagents, and we're here for you every step of the way. In the unlikely event that one of our products does not perform as expected, you're protected by our Product Promise.
For full details, please see our Terms & Conditions

Please note: All products are 'FOR RESEARCH USE ONLY. NOT FOR USE IN DIAGNOSTIC OR THERAPEUTIC PROCEDURES'.

For licensing inquiries, please contact partnerships@abcam.com