JavaScript is disabled in your browser. Please enable JavaScript to view this website.
AB317700

Anti-RHOJ antibody [EPR28959-55] - BSA and Azide free

Be the first to review this product! Submit a review

|

(0 Publication)

Rabbit Recombinant Monoclonal RHOJ antibody. Carrier free. Suitable for WB, IP and reacts with Transfected cell lysate - Human, Human, Mouse samples.

View Alternative Names

ARHJ, RASL7B, RHOI, TCL, Rho-related GTP-binding protein RhoJ, Ras-like protein family member 7B, Tc10-like GTP-binding protein

3 Images
Immunoprecipitation - Anti-RHOJ antibody [EPR28959-55] - BSA and Azide free (AB317700)
  • IP

Supplier Data

Immunoprecipitation - Anti-RHOJ antibody [EPR28959-55] - BSA and Azide free (AB317700)

This data was developed using ab317699, the same antibody clone in a different buffer formulation.

RHOJ was immunoprecipitated from 0.35 mg HUVEC (human umbilical vein endothelial cell) whole cell lysate with ab317699 at 1/30 dilution (2ug in 0.35mg lysates). Western blot was performed on the immunoprecipitate using ab317699 at 1/1000 dilution. VeriBlot for IP secondary antibody(HRP)(ab131366) was used at 1/5000 dilution.

Lane 1 : HUVEC (human umbilical vein endothelial cell) whole cell lysate
Lane 2 : ab317699 IP in HUVEC (human umbilical vein endothelial cell) whole cell lysate
Lane 3 : Rabbit monoclonal IgG (ab172730) instead of ab317699 in HUVEC whole cell lysate

Blocking and dilution buffer and concentration : 5% NFDM/TBST

All lanes:

Immunoprecipitation - Anti-RHOJ antibody [EPR28959-55] (<a href='/en-us/products/primary-antibodies/rhoj-antibody-epr28959-55-ab317699'>ab317699</a>) at 1/30 dilution

All lanes:

HUVEC (human umbilical vein endothelial cell) whole cell lysate

Secondary

All lanes:

Immunoprecipitation - VeriBlot for IP Detection Reagent (HRP) (<a href='/en-us/products/reagents/veriblot-for-ip-detection-reagent-hrp-ab131366'>ab131366</a>) at 1/5000 dilution

false

Exposure time: 180s

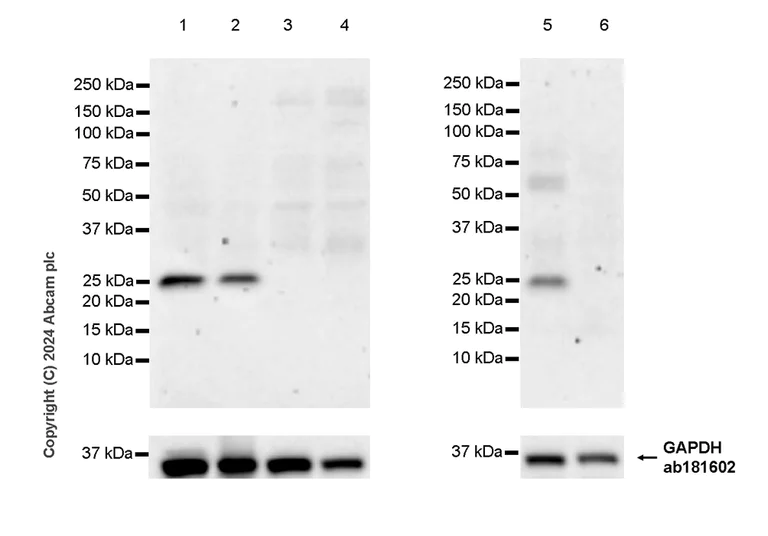
Western blot - Anti-RHOJ antibody [EPR28959-55] - BSA and Azide free (AB317700)
  • WB

Supplier Data

Western blot - Anti-RHOJ antibody [EPR28959-55] - BSA and Azide free (AB317700)

This data was developed using ab317699, the same antibody clone in a different buffer formulation.

Blocking and diluting buffer and concentration : 5% NFDM/TBST.

Negative control : HeLa 293T (PMID : 21628409).

Low expression : RAW 264.7 (PMID : 21628409).

The identity of the higher MW band (~50kDa) is unknown.

In Western blot Anti-GAPDH antibody [EPR16891] - Loading Control (ab181602) staining at 1/200000 dilution.

Exposure time : Lane 1-4 : 158 seconds; Lane 5-6 : 180 seconds

All lanes:

Western blot - Anti-RHOJ antibody [EPR28959-55] (<a href='/en-us/products/primary-antibodies/rhoj-antibody-epr28959-55-ab317699'>ab317699</a>) at 1/1000 dilution

Lane 1:

HUVEC (human umbilical vein endothelial cell) whole cell lysate at 20 µg

Lane 2:

EA.hy926 (human somatic cell hybrid endothelial cell) whole cell lysate at 20 µg

Lane 3:

HeLa (human cervical adenocarcinoma epithelial cell) whole cell lysate at 20 µg

Lane 4:

293T (human embryonic kidney epithelial cell) whole cell lysate at 20 µg

Lane 5:

bEnd.3 (mouse brain endothelial cell) whole cell lysate at 20 µg

Lane 6:

RAW 264.7 (mouse Abelson murine leukemia virus-induced tumor macrophage) whole cell lysate at 20 µg

Secondary

All lanes:

Western blot - Goat Anti-Rabbit IgG H&L (HRP) (<a href='/en-us/products/secondary-antibodies/goat-rabbit-igg-h-l-hrp-ab97051'>ab97051</a>) at 1/100000 dilution

Observed band size: 23 kDa,36 kDa

false

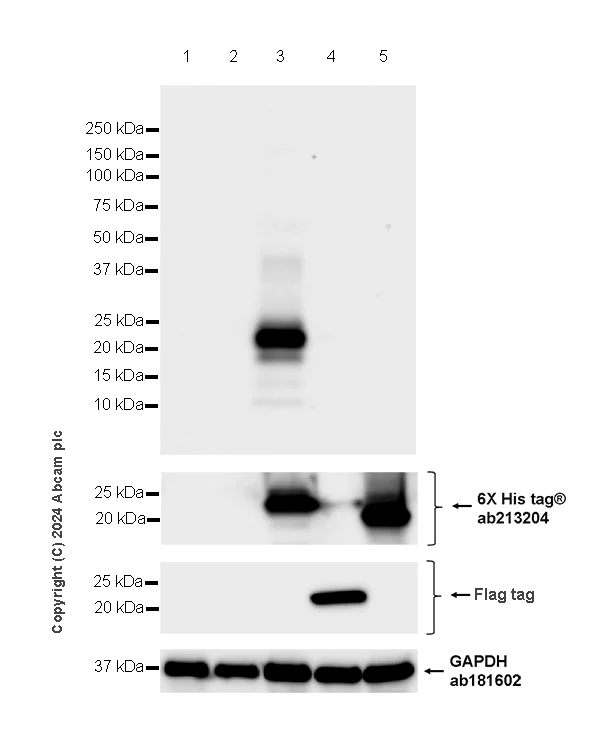
Western blot - Anti-RHOJ antibody [EPR28959-55] - BSA and Azide free (AB317700)
  • WB

Supplier Data

Western blot - Anti-RHOJ antibody [EPR28959-55] - BSA and Azide free (AB317700)

This data was developed using ab317699, the same antibody clone in a different buffer formulation.

Blocking and diluting buffer and concentration : 5% NFDM/TBST.

This antibody does not cross-react with RHOQ and CDC42.

In Western blot Anti-GAPDH antibody [EPR16891] - Loading Control (ab181602) staining at 1/200000 dilution.

In Western blot Anti-6X His tag® antibody [EPR20547] - ChIP Grade (ab213204) staining at 1/5000 dilution.

In Western blot Anti-Flag tag staining at 1/10000 dilution.

All lanes:

Western blot - Anti-RHOJ antibody [EPR28959-55] (<a href='/en-us/products/primary-antibodies/rhoj-antibody-epr28959-55-ab317699'>ab317699</a>) at 1/1000 dilution

Lane 1:

293T (human embryonic kidney epithelial cell) cells transfected with an empty vector containing a His-tag whole cell lysate at 20 µg

Lane 2:

293T cells transfected with an empty vector containing a Flag-tag whole cell lysate at 20 µg

Lane 3:

293T cells transfected with a RHOJ expression vector containing a His-tag, whole cell lysate at 20 µg

Lane 4:

293T cells transfected with a RHOQ expression vector containing a Flag-tag, whole cell lysate at 20 µg

Lane 5:

293T cells transfected with a CDC42 expression vector containing a His-tag, whole cell lysate at 20 µg

Secondary

All lanes:

Western blot - Goat Anti-Rabbit IgG H&L (HRP) (<a href='/en-us/products/secondary-antibodies/goat-rabbit-igg-h-l-hrp-ab97051'>ab97051</a>) at 1/100000 dilution

Observed band size: 23 kDa,36 kDa,21 kDa

false

Exposure time: 5s

Key facts

Host species

Rabbit

Clonality

Monoclonal

Clone number

EPR28959-55

Isotype

IgG1

Carrier free

Yes

Reacts with

Human, Mouse

Applications

IP, WB

applications

Immunogen

The exact immunogen used to generate this antibody is proprietary information.

Specificity

This antibody does not cross-react with human RHOQ and CDC42.

Reactivity data

{ "title": "Reactivity Data", "filters": { "stats": ["", "Species", "Dilution Info", "Notes"], "tabs": { "all-applications": {"fullname" : "All Applications", "shortname": "All Applications"}, "WB" : {"fullname" : "Western blot", "shortname":"WB"}, "IP" : {"fullname" : "Immunoprecipitation", "shortname":"IP"}, "IHCP" : {"fullname" : "Immunohistochemistry (Formalin/PFA-fixed paraffin-embedded sections)", "shortname":"IHC-P"}, "ICCIF" : {"fullname" : "Immunocytochemistry/ Immunofluorescence", "shortname":"ICC/IF"}, "FlowCytIntra" : {"fullname" : "Flow Cytometry (Intracellular)", "shortname":"Flow Cyt (Intra)"} }, "product-promise": { "all": "all", "testedAndGuaranteed": "tested", "guaranteed": "expected", "predicted": "predicted", "notRecommended": "not-recommended" } }, "values": { "Human": { "WB-species-checked": "testedAndGuaranteed", "WB-species-dilution-info": "", "WB-species-notes": "<p></p>", "IP-species-checked": "testedAndGuaranteed", "IP-species-dilution-info": "", "IP-species-notes": "<p></p>", "IHCP-species-checked": "notRecommended", "IHCP-species-dilution-info": "", "IHCP-species-notes": "<p></p>", "ICCIF-species-checked": "notRecommended", "ICCIF-species-dilution-info": "", "ICCIF-species-notes": "<p></p>", "FlowCytIntra-species-checked": "notRecommended", "FlowCytIntra-species-dilution-info": "", "FlowCytIntra-species-notes": "<p></p>" }, "Mouse": { "WB-species-checked": "testedAndGuaranteed", "WB-species-dilution-info": "", "WB-species-notes": "<p></p>", "IP-species-checked": "guaranteed", "IP-species-dilution-info": "", "IP-species-notes": "", "IHCP-species-checked": "notRecommended", "IHCP-species-dilution-info": "", "IHCP-species-notes": "<p></p>", "ICCIF-species-checked": "notRecommended", "ICCIF-species-dilution-info": "", "ICCIF-species-notes": "<p></p>", "FlowCytIntra-species-checked": "notRecommended", "FlowCytIntra-species-dilution-info": "", "FlowCytIntra-species-notes": "<p></p>" }, "Rat": { "WB-species-checked": "notRecommended", "WB-species-dilution-info": "", "WB-species-notes": "<p></p>", "IP-species-checked": "notRecommended", "IP-species-dilution-info": "", "IP-species-notes": "", "IHCP-species-checked": "notRecommended", "IHCP-species-dilution-info": "", "IHCP-species-notes": "<p></p>", "ICCIF-species-checked": "notRecommended", "ICCIF-species-dilution-info": "", "ICCIF-species-notes": "", "FlowCytIntra-species-checked": "notRecommended", "FlowCytIntra-species-dilution-info": "", "FlowCytIntra-species-notes": "" }, "Transfected cell lysate - Human": { "WB-species-checked": "testedAndGuaranteed", "WB-species-dilution-info": "", "WB-species-notes": "<p></p>", "IP-species-checked": "notRecommended", "IP-species-dilution-info": "", "IP-species-notes": "", "IHCP-species-checked": "notRecommended", "IHCP-species-dilution-info": "", "IHCP-species-notes": "", "ICCIF-species-checked": "notRecommended", "ICCIF-species-dilution-info": "", "ICCIF-species-notes": "", "FlowCytIntra-species-checked": "notRecommended", "FlowCytIntra-species-dilution-info": "", "FlowCytIntra-species-notes": "" } } }

Product details

ab317700 is the carrirer-free version of ab317699.

Patented technology
Our RabMAb® technology is a patented hybridoma-based technology for making rabbit monoclonal antibodies. For details on our patents, please refer to RabMAb® patents.

What are the advantages of a recombinant monoclonal antibody?
This product is a recombinant monoclonal antibody, which offers several advantages including:

  • - High batch-to-batch consistency and reproducibility
  • - Improved sensitivity and specificity
  • - Long-term security of supply
  • - Animal-free batch production

For more information, read more on recombinant antibodies.

Conjugation ready
Our carrier-free antibodies are typically supplied in a PBS-only formulation, purified and free of BSA, sodium azide and glycerol. This conjugation-ready format is designed for use with fluorochromes, metal isotopes, oligonucleotides, and enzymes, which makes them ideal for antibody labelling, functional and cell-based assays, flow-based assays (e.g. mass cytometry) and Multiplex Imaging applications.

Use our conjugation kits for antibody conjugates that are ready-to-use in as little as 20 minutes with 1 minute hands-on-time and 100% antibody recovery: available for fluorescent dyes, HRP, biotin and gold.

Compatibility
This product is compatible with the Maxpar® Antibody Labeling Kit from Fluidigm, without the need for antibody preparation. Maxpar® is a trademark of Fluidigm Canada Inc.

Properties and storage information

Form
Liquid
Purification technique
Affinity purification Protein A
Storage buffer
pH: 7.2 - 7.4 Constituents: PBS
Shipped at conditions
Blue Ice
Appropriate short-term storage conditions
+4°C
Appropriate long-term storage conditions
+4°C

Product protocols

For this product, it's our understanding that no specific protocols are required. You can visit:

Target data

Plasma membrane-associated small GTPase specifically involved in angiogenesis (PubMed : 21628409, PubMed : 24434213, PubMed : 30158707). Required for endothelial cell migration during vascular development via its interaction with GLUL (PubMed : 30158707). Elicits the formation of F-actin-rich structures, thereby regulating endothelial cell migration (PubMed : 30158707).
See full target information RHOJ

Product promise

We are committed to supporting your work with high-quality reagents, and we're here for you every step of the way. In the unlikely event that one of our products does not perform as expected, you're protected by our Product Promise.
For full details, please see our Terms & Conditions

Please note: All products are 'FOR RESEARCH USE ONLY. NOT FOR USE IN DIAGNOSTIC OR THERAPEUTIC PROCEDURES'.

For licensing inquiries, please contact partnerships@abcam.com