JavaScript is disabled in your browser. Please enable JavaScript to view this website.
AB223148

Anti-Ribonuclease 3/ECP antibody [EPR20357] - BSA and Azide free

Be the first to review this product! Submit a review

|

(1 Publication)

Rabbit Recombinant Monoclonal Ribonuclease 3/ECP antibody. Carrier free. Suitable for WB, IHC-P and reacts with Human samples. Cited in 1 publication.

View Alternative Names

ECP, RNS3, RNASE3, Eosinophil cationic protein, Ribonuclease 3, RNase 3

3 Images
Immunohistochemistry (Formalin/PFA-fixed paraffin-embedded sections) - Anti-Ribonuclease 3/ECP antibody [EPR20357] - BSA and Azide free (AB223148)
  • IHC-P

Supplier Data

Immunohistochemistry (Formalin/PFA-fixed paraffin-embedded sections) - Anti-Ribonuclease 3/ECP antibody [EPR20357] - BSA and Azide free (AB223148)

Immunohistochemical analysis of paraffin-embedded human colon tissue labeling Ribonuclease 3/ECP with ab207429 at 1/8000 dilution, followed by Goat Anti-Rabbit IgG H&L (HRP) (ab97051) at 1/500 dilution. Cytoplasmic staining on eosinophils and neutrophils of human colon [PMID : 11034418].

Counter stained with Hematoxylin.

Secondary antibody only control : Used PBS instead of primary antibody, secondary antibody is Goat Anti-Rabbit IgG H&L (HRP) (ab97051) at 1/500 dilution.

This data was developed using the same antibody clone in a different buffer formulation containing PBS, BSA, glycerol, and sodium azide (ab207429).

Perform heat mediated antigen retrieval with Tris/EDTA buffer pH 9.0 before commencing with IHC staining protocol.

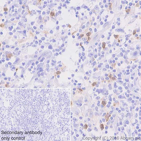
Immunohistochemistry (Formalin/PFA-fixed paraffin-embedded sections) - Anti-Ribonuclease 3/ECP antibody [EPR20357] - BSA and Azide free (AB223148)
  • IHC-P

Supplier Data

Immunohistochemistry (Formalin/PFA-fixed paraffin-embedded sections) - Anti-Ribonuclease 3/ECP antibody [EPR20357] - BSA and Azide free (AB223148)

Immunohistochemical analysis of paraffin-embedded human spleen tissue labeling Ribonuclease 3/ECP with ab207429 at 1/8000 dilution, followed by Goat Anti-Rabbit IgG H&L (HRP) (ab97051) at 1/500 dilution. Cytoplasmic staining on eosinophils and neutrophils of human spleen [PMID : 11034418].

Counter stained with Hematoxylin.

Secondary antibody only control : Used PBS instead of primary antibody, secondary antibody is Goat Anti-Rabbit IgG H&L (HRP) (ab97051) at 1/500 dilution.

This data was developed using the same antibody clone in a different buffer formulation containing PBS, BSA, glycerol, and sodium azide (ab207429).

Perform heat mediated antigen retrieval with Tris/EDTA buffer pH 9.0 before commencing with IHC staining protocol.

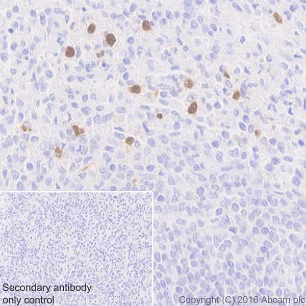
Immunohistochemistry (Formalin/PFA-fixed paraffin-embedded sections) - Anti-Ribonuclease 3/ECP antibody [EPR20357] - BSA and Azide free (AB223148)
  • IHC-P

Supplier Data

Immunohistochemistry (Formalin/PFA-fixed paraffin-embedded sections) - Anti-Ribonuclease 3/ECP antibody [EPR20357] - BSA and Azide free (AB223148)

Immunohistochemical analysis of paraffin-embedded human Hodgkin's lymphoma tissue labeling Ribonuclease 3/ECP with ab207429 at 1/8000 dilution, followed by Goat Anti-Rabbit IgG H&L (HRP) (ab97051) at 1/500 dilution. Cytoplasmic staining on eosinophils and neutrophils of human Hodgkin's lymphoma is observed.

Counter stained with Hematoxylin.

Secondary antibody only control : Used PBS instead of primary antibody, secondary antibody is Goat Anti-Rabbit IgG H&L (HRP) (ab97051) at 1/500 dilution.

This data was developed using the same antibody clone in a different buffer formulation containing PBS, BSA, glycerol, and sodium azide (ab207429).

Perform heat mediated antigen retrieval with Tris/EDTA buffer pH 9.0 before commencing with IHC staining protocol.

Key facts

Host species

Rabbit

Clonality

Monoclonal

Clone number

EPR20357

Isotype

IgG

Carrier free

Yes

Reacts with

Human

Applications

IHC-P, WB

applications

Immunogen

The exact immunogen used to generate this antibody is proprietary information.

Reactivity data

{ "title": "Reactivity Data", "filters": { "stats": ["", "Species", "Dilution Info", "Notes"], "tabs": { "all-applications": {"fullname" : "All Applications", "shortname": "All Applications"}, "WB" : {"fullname" : "Western blot", "shortname":"WB"}, "IHCP" : {"fullname" : "Immunohistochemistry (Formalin/PFA-fixed paraffin-embedded sections)", "shortname":"IHC-P"} }, "product-promise": { "all": "all", "testedAndGuaranteed": "tested", "guaranteed": "expected", "predicted": "predicted", "notRecommended": "not-recommended" } }, "values": { "Human": { "WB-species-checked": "guaranteed", "WB-species-dilution-info": "", "WB-species-notes": "<p></p>", "IHCP-species-checked": "testedAndGuaranteed", "IHCP-species-dilution-info": "", "IHCP-species-notes": "<p></p>" } } }

Product details

ab223148 is the carrier-free version of ab207429.

Patented technology
Our RabMAb® technology is a patented hybridoma-based technology for making rabbit monoclonal antibodies. For details on our patents, please refer to RabMAb® patents.

Conjugation ready
Our carrier-free antibodies are typically supplied in a PBS-only formulation, purified and free of BSA, sodium azide and glycerol. This conjugation-ready format is designed for use with fluorochromes, metal isotopes, oligonucleotides, and enzymes, which makes them ideal for antibody labelling, functional and cell-based assays, flow-based assays (e.g. mass cytometry) and Multiplex Imaging applications.

Use our conjugation kits for antibody conjugates that are ready-to-use in as little as 20 minutes with 1 minute hands-on-time and 100% antibody recovery: available for fluorescent dyes, HRP, biotin and gold.

Compatibility
This product is compatible with the Maxpar® Antibody Labeling Kit from Fluidigm, without the need for antibody preparation. Maxpar® is a trademark of Fluidigm Canada Inc.

Properties and storage information

Form
Liquid
Purification technique
Affinity purification Protein A
Storage buffer
pH: 7.2 - 7.4 Constituents: PBS
Shipped at conditions
Blue Ice
Appropriate short-term storage conditions
+4°C
Appropriate long-term storage conditions
+4°C
Storage information
Do Not Freeze

Supplementary information

This supplementary information is collated from multiple sources and compiled automatically.

Ribonuclease 3 commonly known as Eosinophil Cationic Protein (ECP) is an enzyme with ribonuclease activity. Researchers sometimes refer to it as human RNase 3. The protein has a molecular mass of about 18 to 22 kDa and is highly expressed in eosinophils a type of white blood cell primarily involved in allergic responses and parasitic infections. ECP exhibits cytotoxic bactericidal and antiviral activities contributing to its diverse biological functions.
Biological function summary

Ribonuclease 3 plays a significant role in immune defense mechanisms leveraging its arginine-rich domain to interact with negatively charged microbial surfaces. This interaction allows ECP to participate in the destruction of pathogen cell walls. It is not part of a larger complex but interacts with cellular membranes making it an effective tool against a variety of pathogens. Whether acting through enzymatic activity or by disrupting membrane integrity ECP maintains a pivotal role in host defense.

Pathways

ECP influences processes in both innate and adaptive immune responses. It actively participates in the Th2 cell-mediated immune response which is critical for countering parasitic infections. This protein connects with other components like major basic protein and eosinophil peroxidase through these pathways forming an integrated network that boosts immune responses. Its presence in pathways linked to inflammation and immunity highlights its multifunctionality and importance.

ECP levels correlate with conditions such as asthma and eosinophilic esophagitis. In asthma elevated ECP levels indicate eosinophilic inflammation and airway hyperresponsiveness. Researchers have identified a connection between ECP and proteins like interleukin-5 which modulate eosinophil activity. Similarly in eosinophilic esophagitis increased ECP levels indicate ongoing inflammation and tissue damage providing insights into disease progression and severity.

Product protocols

For this product, it's our understanding that no specific protocols are required. You can visit:

Target data

Cytotoxin and helminthotoxin with low-efficiency ribonuclease activity. Possesses a wide variety of biological activities. Exhibits antibacterial activity, including cytoplasmic membrane depolarization of preferentially Gram-negative, but also Gram-positive strains. Promotes E.coli outer membrane detachment, alteration of the overall cell shape and partial loss of cell content.
See full target information RNASE3

Publications (1)

Recent publications for all applications. Explore the full list and refine your search

Cell reports. Medicine 4:101015 PubMed37075701

2023

A kinome-wide CRISPR screen identifies CK1α as a target to overcome enzalutamide resistance of prostate cancer.

Applications

Unspecified application

Species

Unspecified reactive species

Jinghui Liu,Yue Zhao,Daheng He,Katelyn M Jones,Shan Tang,Derek B Allison,Yanquan Zhang,Jing Chen,Qiongsi Zhang,Xinyi Wang,Chaohao Li,Chi Wang,Lang Li,Xiaoqi Liu
View all publications

Product promise

We are committed to supporting your work with high-quality reagents, and we're here for you every step of the way. In the unlikely event that one of our products does not perform as expected, you're protected by our Product Promise.
For full details, please see our Terms & Conditions

Please note: All products are 'FOR RESEARCH USE ONLY. NOT FOR USE IN DIAGNOSTIC OR THERAPEUTIC PROCEDURES'.

For licensing inquiries, please contact partnerships@abcam.com