JavaScript is disabled in your browser. Please enable JavaScript to view this website.
AB232599

Anti-Ribophorin I antibody [EPR17043(B)] - BSA and Azide free

Be the first to review this product! Submit a review

|

(0 Publication)

Rabbit Recombinant Monoclonal Ribophorin I antibody. Carrier free. Suitable for WB, ICC/IF, Flow Cyt (Intra), IHC-P and reacts with Rat, Human samples.

View Alternative Names

Dolichyl-diphosphooligosaccharide--protein glycosyltransferase subunit 1, Dolichyl-diphosphooligosaccharide--protein glycosyltransferase 67 kDa subunit, Ribophorin I, Ribophorin-1, RPN-I, RPN1

5 Images
Immunocytochemistry/ Immunofluorescence - Anti-Ribophorin I antibody [EPR17043(B)] - BSA and Azide free (AB232599)
  • ICC/IF

Supplier Data

Immunocytochemistry/ Immunofluorescence - Anti-Ribophorin I antibody [EPR17043(B)] - BSA and Azide free (AB232599)

Immunofluorescent analysis of 100% Methanol-fixed, 0.1% Triton X-100 permeabilized MCF7 (Human breast adenocarcinoma cell line) cells labeling Ribophorin I with ab198508 at 1/500 dilution, followed by Goat anti-rabbit IgG (Alexa Fluor® 488) (ab150077) secondary antibody at 1/500 dilution (green). Cytoplasm staining on MCF7 cell line was observed. The nuclear counter stain is DAPI (blue). Tubulin is detected with ab7291 (anti-Tubulin mouse mAb) at 1/1000 dilution and ab150120 (AlexaFluor®594 Goat anti-Mouse secondary) at 1/500 dilution (red).

The negative controls are as follows :
-ve control 1 : ab198508 at 1/500 dilution followed by ab150120 (AlexaFluor®594 Goat anti-Mouse secondary) at 1/500 dilution.
-ve control 2 : ab7291 (anti-Tubulin mouse mAb) at 1/1000 dilution followed by ab150077 (Alexa Fluor®488 Goat Anti-Rabbit IgG H&L) at 1/500 dilution.

This data was developed using the same antibody clone in a different buffer formulation containing PBS, BSA, glycerol, and sodium azide (ab198508).

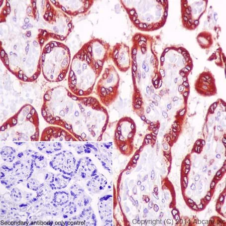
Immunohistochemistry (Formalin/PFA-fixed paraffin-embedded sections) - Anti-Ribophorin I antibody [EPR17043(B)] - BSA and Azide free (AB232599)
  • IHC-P

Supplier Data

Immunohistochemistry (Formalin/PFA-fixed paraffin-embedded sections) - Anti-Ribophorin I antibody [EPR17043(B)] - BSA and Azide free (AB232599)

Immunohistochemical analysis of paraffin-embedded Human placenta tissue labeling Ribophorin I with ab198508 at 1/500 dilution, followed by Goat Anti-Rabbit IgG H&L (HRP) (ab97051) at 1/500 dilution. Cytoplasm staining on Human placenta tissue is observed. Counter stained with Hematoxylin.

Secondary antibody only control : Used PBS instead of primary antibody, secondary antibody is Goat Anti-Rabbit IgG H&L (HRP) (ab97051) at 1/500 dilution.

This data was developed using the same antibody clone in a different buffer formulation containing PBS, BSA, glycerol, and sodium azide (ab198508).

Heat mediated antigen retrieval was performed with Tris/EDTA buffer pH 9.0 before commencing with IHC staining protocol.

Flow Cytometry (Intracellular) - Anti-Ribophorin I antibody [EPR17043(B)] - BSA and Azide free (AB232599)
  • Flow Cyt (Intra)

Lab

Flow Cytometry (Intracellular) - Anti-Ribophorin I antibody [EPR17043(B)] - BSA and Azide free (AB232599)

Intracellular Flow Cytometry analysis of HeLa cells labelling Ribophorin I (red) with purified ab198508 at dilution of 1/100. The secondary antibody used was Alexa Fluor® 488 goat-anti-rabbit IgG (1/2000). Cells were fixed with 4% paraformaldehyde and permeabilised with 90% methanol. Isotype control antibody was Rabbit monoclonal IgG (black). The blue line shows cells without incubation with primary antibody and secondary antibody.

This data was developed using the same antibody clone in a different buffer formulation containing PBS, BSA, glycerol, and sodium azide (ab198508).

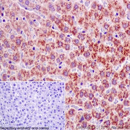
Immunohistochemistry (Formalin/PFA-fixed paraffin-embedded sections) - Anti-Ribophorin I antibody [EPR17043(B)] - BSA and Azide free (AB232599)
  • IHC-P

Supplier Data

Immunohistochemistry (Formalin/PFA-fixed paraffin-embedded sections) - Anti-Ribophorin I antibody [EPR17043(B)] - BSA and Azide free (AB232599)

Immunohistochemical analysis of paraffin-embedded rat liver tissue labeling Ribophorin I with ab198508 at 1/500 dilution, followed by Goat Anti-Rabbit IgG H&L (HRP) (ab97051) at 1/500 dilution. Cytoplasm staining on rat liver tissue is observed. Counter stained with Hematoxylin.

Secondary antibody only control : Used PBS instead of primary antibody, secondary antibody is Goat Anti-Rabbit IgG H&L (HRP) (ab97051) at 1/500 dilution.

This data was developed using the same antibody clone in a different buffer formulation containing PBS, BSA, glycerol, and sodium azide (ab198508).

Heat mediated antigen retrieval was performed with Tris/EDTA buffer pH 9.0 before commencing with IHC staining protocol.

Immunocytochemistry/ Immunofluorescence - Anti-Ribophorin I antibody [EPR17043(B)] - BSA and Azide free (AB232599)
  • ICC/IF

Supplier Data

Immunocytochemistry/ Immunofluorescence - Anti-Ribophorin I antibody [EPR17043(B)] - BSA and Azide free (AB232599)

Immunofluorescent analysis of 100% Methanol-fixed, 0.1% Triton X-100 permeabilized HeLa (Human epithelial cells from cervix adenocarcinoma) cells labeling Ribophorin I with ab198508 at 1/500 dilution, followed by Goat anti-rabbit IgG (Alexa Fluor® 488) (ab150077) secondary antibody at 1/500 dilution (green). Cytoplasm staining on HeLa cell line was observed. The nuclear counter stain is DAPI (blue). Tubulin is detected with ab7291 (anti-Tubulin mouse mAb) at 1/1000 dilution and ab150120 (AlexaFluor®594 Goat anti-Mouse secondary) at 1/500 dilution (red).

The negative controls are as follows :
-ve control 1 : ab198508 at 1/500 dilution followed by ab150120 (AlexaFluor®594 Goat anti-Mouse secondary) at 1/500 dilution.
-ve control 2 : ab7291 (anti-Tubulin mouse mAb) at 1/1000 dilution followed by ab150077 (Alexa Fluor®488 Goat Anti-Rabbit IgG H&L) at 1/500 dilution.

This data was developed using the same antibody clone in a different buffer formulation containing PBS, BSA, glycerol, and sodium azide (ab198508).

  • Unconjugated

    Anti-Ribophorin I antibody [EPR17043(B)] - N-terminal

Key facts

Host species

Rabbit

Clonality

Monoclonal

Clone number

EPR17043(B)

Isotype

IgG

Carrier free

Yes

Reacts with

Rat, Human

Applications

Flow Cyt (Intra), WB, IHC-P, ICC/IF

applications

Immunogen

The exact immunogen used to generate this antibody is proprietary information.

Reactivity data

{ "title": "Reactivity Data", "filters": { "stats": ["", "Species", "Dilution Info", "Notes"], "tabs": { "all-applications": {"fullname" : "All Applications", "shortname": "All Applications"}, "WB" : {"fullname" : "Western blot", "shortname":"WB"}, "ICCIF" : {"fullname" : "Immunocytochemistry/ Immunofluorescence", "shortname":"ICC/IF"}, "FlowCytIntra" : {"fullname" : "Flow Cytometry (Intracellular)", "shortname":"Flow Cyt (Intra)"}, "IHCP" : {"fullname" : "Immunohistochemistry (Formalin/PFA-fixed paraffin-embedded sections)", "shortname":"IHC-P"} }, "product-promise": { "all": "all", "testedAndGuaranteed": "tested", "guaranteed": "expected", "predicted": "predicted", "notRecommended": "not-recommended" } }, "values": { "Human": { "WB-species-checked": "guaranteed", "WB-species-dilution-info": "", "WB-species-notes": "<p></p>", "ICCIF-species-checked": "testedAndGuaranteed", "ICCIF-species-dilution-info": "", "ICCIF-species-notes": "<p></p>", "FlowCytIntra-species-checked": "testedAndGuaranteed", "FlowCytIntra-species-dilution-info": "", "FlowCytIntra-species-notes": "<p></p>", "IHCP-species-checked": "testedAndGuaranteed", "IHCP-species-dilution-info": "", "IHCP-species-notes": "<p></p> Perform heat-mediated antigen retrieval with Tris/EDTA buffer pH 9.0 before commencing with IHC staining protocol." }, "Rat": { "WB-species-checked": "guaranteed", "WB-species-dilution-info": "", "WB-species-notes": "<p></p> Perform heat-mediated antigen retrieval with Tris/EDTA buffer pH 9.0 before commencing with IHC staining protocol.", "ICCIF-species-checked": "predicted", "ICCIF-species-dilution-info": "", "ICCIF-species-notes": "", "FlowCytIntra-species-checked": "predicted", "FlowCytIntra-species-dilution-info": "", "FlowCytIntra-species-notes": "", "IHCP-species-checked": "predicted", "IHCP-species-dilution-info": "", "IHCP-species-notes": "" } } }

Product details

ab232599 is the carrier-free version of ab198508.

Patented technology
Our RabMAb® technology is a patented hybridoma-based technology for making rabbit monoclonal antibodies. For details on our patents, please refer to RabMAb® patents.

What are the advantages of a recombinant monoclonal antibody?
This product is a recombinant monoclonal antibody, which offers several advantages including:

  • - High batch-to-batch consistency and reproducibility
  • - Improved sensitivity and specificity
  • - Long-term security of supply
  • - Animal-free batch production

For more information, read more on recombinant antibodies.

Conjugation ready
Our carrier-free antibodies are typically supplied in a PBS-only formulation, purified and free of BSA, sodium azide and glycerol. This conjugation-ready format is designed for use with fluorochromes, metal isotopes, oligonucleotides, and enzymes, which makes them ideal for antibody labelling, functional and cell-based assays, flow-based assays (e.g. mass cytometry) and Multiplex Imaging applications.

Use our conjugation kits for antibody conjugates that are ready-to-use in as little as 20 minutes with 1 minute hands-on-time and 100% antibody recovery: available for fluorescent dyes, HRP, biotin and gold.

Compatibility
This product is compatible with the Maxpar® Antibody Labeling Kit from Fluidigm, without the need for antibody preparation. Maxpar® is a trademark of Fluidigm Canada Inc.

Properties and storage information

Form
Liquid
Purification technique
Affinity purification Protein A
Storage buffer
pH: 7.2 - 7.4 Constituents: PBS
Shipped at conditions
Blue Ice
Appropriate short-term storage conditions
+4°C
Appropriate long-term storage conditions
+4°C
Storage information
Do Not Freeze

Supplementary information

This supplementary information is collated from multiple sources and compiled automatically.

Ribophorin I also known as RPN1 is a glycoprotein with a mass of approximately 68 kDa. It is located in the rough endoplasmic reticulum (ER) and is part of the oligosaccharyltransferase complex which is involved in the N-linked glycosylation of nascent polypeptides. This protein facilitates the unanimous transfer of oligosaccharides to asparagine residues in polypeptide chains an important step in protein maturation. Ribophorin I shows expression in various tissues but is especially prominent in the liver and pancreas where high levels of protein synthesis occur.
Biological function summary

Ribophorin I plays an essential role in the process of protein folding and quality control within the ER. It is part of the oligosaccharyltransferase complex along with other key proteins like STT3A/B and Ribophorin II. The complex ensures that nascent proteins receive the proper glycosylation necessary for proper folding and stability. This process helps maintain a balance between protein production and degradation ensuring that only properly folded proteins proceed to their intended cellular locations.

Pathways

Ribophorin I functions within the N-linked glycosylation pathway critical for protein maturation and function. Also it takes part in the unfolded protein response pathway which reacts to stress conditions that disrupt the folding processes in the ER. This pathway involves other proteins such as BiP/GRP78 and ATF6 which work together to restore normal protein folding conditions. Ribophorin I's efficient function in these pathways is key to sustaining cellular operations maintaining protein homeostasis.

Ribophorin I is implicated in cancer and neurodegenerative diseases. Its malfunction can disrupt protein glycosylation and folding contributing to the progression of cancer by allowing aberrant glycoproteins on the cell surface. In neurodegenerative disorders like Alzheimer's disease impaired N-linked glycosylation affects protein folding leading to aggregation of misfolded proteins. Ribophorin I interacts indirectly with proteins such as amyloid precursor protein (APP) in Alzheimer's influencing the disease pathology through related glycosylation processes.

Product protocols

For this product, it's our understanding that no specific protocols are required. You can visit:

Target data

Subunit of the oligosaccharyl transferase (OST) complex that catalyzes the initial transfer of a defined glycan (Glc(3)Man(9)GlcNAc(2) in eukaryotes) from the lipid carrier dolichol-pyrophosphate to an asparagine residue within an Asn-X-Ser/Thr consensus motif in nascent polypeptide chains, the first step in protein N-glycosylation (PubMed : 31831667). N-glycosylation occurs cotranslationally and the complex associates with the Sec61 complex at the channel-forming translocon complex that mediates protein translocation across the endoplasmic reticulum (ER). All subunits are required for a maximal enzyme activity (By similarity).
See full target information Dolichyl-diphosphooligosaccharide--protein glycosyltransferase subunit 1

Product promise

We are committed to supporting your work with high-quality reagents, and we're here for you every step of the way. In the unlikely event that one of our products does not perform as expected, you're protected by our Product Promise.
For full details, please see our Terms & Conditions

Please note: All products are 'FOR RESEARCH USE ONLY. NOT FOR USE IN DIAGNOSTIC OR THERAPEUTIC PROCEDURES'.

For licensing inquiries, please contact partnerships@abcam.com