JavaScript is disabled in your browser. Please enable JavaScript to view this website.
AB198508

Anti-Ribophorin I antibody [EPR17043(B)] - N-terminal

Be the first to review this product! Submit a review

|

(9 Publications)

Rabbit Recombinant Monoclonal Ribophorin I antibody. N-terminal. Suitable for WB, ICC/IF, Flow Cyt (Intra), IHC-P and reacts with Human, Rat samples. Cited in 9 publications.

View Alternative Names

Dolichyl-diphosphooligosaccharide--protein glycosyltransferase subunit 1, Dolichyl-diphosphooligosaccharide--protein glycosyltransferase 67 kDa subunit, Ribophorin I, Ribophorin-1, RPN-I, RPN1

7 Images
Immunocytochemistry/ Immunofluorescence - Anti-Ribophorin I antibody [EPR17043(B)] - N-terminal (AB198508)
  • ICC/IF

Supplier Data

Immunocytochemistry/ Immunofluorescence - Anti-Ribophorin I antibody [EPR17043(B)] - N-terminal (AB198508)

Immunofluorescent analysis of 100% Methanol-fixed, 0.1% Triton X-100 permeabilized MCF7 (Human breast adenocarcinoma cell line) cells labeling Ribophorin I with ab198508 at 1/500 dilution, followed by Goat anti-rabbit IgG (Alexa Fluor® 488) (ab150077) secondary antibody at 1/500 dilution (green). Cytoplasm staining on MCF7 cell line was observed. The nuclear counter stain is DAPI (blue). Tubulin is detected with ab7291 (anti-Tubulin mouse mAb) at 1/1000 dilution and ab150120 (AlexaFluor®594 Goat anti-Mouse secondary) at 1/500 dilution (red).

The negative controls are as follows :
-ve control 1 : ab198508 at 1/500 dilution followed by ab150120 (AlexaFluor®594 Goat anti-Mouse secondary) at 1/500 dilution.
-ve control 2 : ab7291 (anti-Tubulin mouse mAb) at 1/1000 dilution followed by ab150077 (Alexa Fluor®488 Goat Anti-Rabbit IgG H&L) at 1/500 dilution.

Immunocytochemistry/ Immunofluorescence - Anti-Ribophorin I antibody [EPR17043(B)] - N-terminal (AB198508)
  • ICC/IF

Supplier Data

Immunocytochemistry/ Immunofluorescence - Anti-Ribophorin I antibody [EPR17043(B)] - N-terminal (AB198508)

Immunofluorescent analysis of 100% Methanol-fixed, 0.1% Triton X-100 permeabilized HeLa (Human epithelial cells from cervix adenocarcinoma) cells labeling Ribophorin I with ab198508 at 1/500 dilution, followed by Goat anti-rabbit IgG (Alexa Fluor® 488) (ab150077) secondary antibody at 1/500 dilution (green). Cytoplasm staining on HeLa cell line was observed. The nuclear counter stain is DAPI (blue). Tubulin is detected with ab7291 (anti-Tubulin mouse mAb) at 1/1000 dilution and ab150120 (AlexaFluor®594 Goat anti-Mouse secondary) at 1/500 dilution (red).

The negative controls are as follows :
-ve control 1 : ab198508 at 1/500 dilution followed by ab150120 (AlexaFluor®594 Goat anti-Mouse secondary) at 1/500 dilution.
-ve control 2 : ab7291 (anti-Tubulin mouse mAb) at 1/1000 dilution followed by ab150077 (Alexa Fluor®488 Goat Anti-Rabbit IgG H&L) at 1/500 dilution.

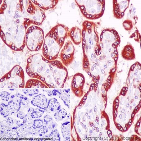
Immunohistochemistry (Formalin/PFA-fixed paraffin-embedded sections) - Anti-Ribophorin I antibody [EPR17043(B)] - N-terminal (AB198508)
  • IHC-P

Supplier Data

Immunohistochemistry (Formalin/PFA-fixed paraffin-embedded sections) - Anti-Ribophorin I antibody [EPR17043(B)] - N-terminal (AB198508)

Immunohistochemical analysis of paraffin-embedded Human placenta tissue labeling Ribophorin I with ab198508 at 1/500 dilution, followed by Goat Anti-Rabbit IgG H&L (HRP) (ab97051) at 1/500 dilution. Cytoplasm staining on Human placenta tissue is observed. Counter stained with Hematoxylin.

Secondary antibody only control : Used PBS instead of primary antibody, secondary antibody is Goat Anti-Rabbit IgG H&L (HRP) (ab97051) at 1/500 dilution.

Perform heat mediated antigen retrieval with Tris/EDTA buffer pH 9.0 before commencing with IHC staining protocol.

Flow Cytometry (Intracellular) - Anti-Ribophorin I antibody [EPR17043(B)] - N-terminal (AB198508)
  • Flow Cyt (Intra)

Lab

Flow Cytometry (Intracellular) - Anti-Ribophorin I antibody [EPR17043(B)] - N-terminal (AB198508)

Intracellular Flow Cytometry analysis of HeLa cells labelling Ribophorin I (red) with purified ab198508 at dilution of 1/100. The secondary antibody used was Alexa Fluorr® 488 goat-anti-rabbit IgG (1/2000). Cells were fixed with 4% paraformaldehyde and permeabilised with 90% methanol. Isotype control antibody was Rabbit monoclonal IgG (black). The blue line shows cells without incubation with primary antibody and secondary antibody.

Immunohistochemistry (Formalin/PFA-fixed paraffin-embedded sections) - Anti-Ribophorin I antibody [EPR17043(B)] - N-terminal (AB198508)
  • IHC-P

Supplier Data

Immunohistochemistry (Formalin/PFA-fixed paraffin-embedded sections) - Anti-Ribophorin I antibody [EPR17043(B)] - N-terminal (AB198508)

Immunohistochemical analysis of paraffin-embedded rat liver tissue labeling Ribophorin I with ab198508 at 1/500 dilution, followed by Goat Anti-Rabbit IgG H&L (HRP) (ab97051) at 1/500 dilution. Cytoplasm staining on rat liver tissue is observed. Counter stained with Hematoxylin.

Secondary antibody only control : Used PBS instead of primary antibody, secondary antibody is Goat Anti-Rabbit IgG H&L (HRP) (ab97051) at 1/500 dilution.

Perform heat mediated antigen retrieval with Tris/EDTA buffer pH 9.0 before commencing with IHC staining protocol.

Western blot - Anti-Ribophorin I antibody [EPR17043(B)] - N-terminal (AB198508)
  • WB

Supplier Data

Western blot - Anti-Ribophorin I antibody [EPR17043(B)] - N-terminal (AB198508)

Blocking/Dilution buffer : 5% NFDM/TBST.

All lanes:

Western blot - Anti-Ribophorin I antibody [EPR17043(B)] - N-terminal (ab198508) at 1/5000 dilution

Lane 1:

BxPC-3 (Human pancreas adenocarcinoma cells) cell lysate at 20 µg

Lane 2:

HepG2 (Human liver hepatocellular carcinoma) cell lysate at 20 µg

Lane 3:

HeLa (Human epithelial cells from cervix adenocarcinoma) cell lysate at 20 µg

Lane 4:

PC-3 (Human prostate cancer cell line) cell lysate at 20 µg

Secondary

All lanes:

Goat Anti-Rabbit IgG, (H+L), Peroxidase conjugated at 1/1000 dilution

Predicted band size: 69 kDa

Observed band size: 69 kDa

false

Exposure time: 15s

Western blot - Anti-Ribophorin I antibody [EPR17043(B)] - N-terminal (AB198508)
  • WB

Supplier Data

Western blot - Anti-Ribophorin I antibody [EPR17043(B)] - N-terminal (AB198508)

Blocking/Dilution buffer : 5% NFDM/TBST.

All lanes:

Western blot - Anti-Ribophorin I antibody [EPR17043(B)] - N-terminal (ab198508) at 1/2000 dilution

All lanes:

Human fetal liver lysate at 10 µg

Secondary

All lanes:

Anti-Rabbit IgG (HRP), specific to the non-reduced form of IgG at 1/1000 dilution

Predicted band size: 69 kDa

Observed band size: 69 kDa

false

Exposure time: 15s

  • Carrier free

    Anti-Ribophorin I antibody [EPR17043(B)] - BSA and Azide free

Key facts

Host species

Rabbit

Clonality

Monoclonal

Clone number

EPR17043(B)

Isotype

IgG

Carrier free

No

Reacts with

Rat, Human

Applications

WB, ICC/IF, IHC-P, Flow Cyt (Intra)

applications

Immunogen

The exact immunogen used to generate this antibody is proprietary information.

Reactivity data

{ "title": "Reactivity Data", "filters": { "stats": ["", "Species", "Dilution Info", "Notes"], "tabs": { "all-applications": {"fullname" : "All Applications", "shortname": "All Applications"}, "WB" : {"fullname" : "Western blot", "shortname":"WB"}, "ICCIF" : {"fullname" : "Immunocytochemistry/ Immunofluorescence", "shortname":"ICC/IF"}, "FlowCytIntra" : {"fullname" : "Flow Cytometry (Intracellular)", "shortname":"Flow Cyt (Intra)"}, "IHCP" : {"fullname" : "Immunohistochemistry (Formalin/PFA-fixed paraffin-embedded sections)", "shortname":"IHC-P"} }, "product-promise": { "all": "all", "testedAndGuaranteed": "tested", "guaranteed": "expected", "predicted": "predicted", "notRecommended": "not-recommended" } }, "values": { "Human": { "WB-species-checked": "testedAndGuaranteed", "WB-species-dilution-info": "1/2000", "WB-species-notes": "<p></p>", "ICCIF-species-checked": "testedAndGuaranteed", "ICCIF-species-dilution-info": "1/250", "ICCIF-species-notes": "<p></p>", "FlowCytIntra-species-checked": "testedAndGuaranteed", "FlowCytIntra-species-dilution-info": "1/100", "FlowCytIntra-species-notes": "<p></p>", "IHCP-species-checked": "testedAndGuaranteed", "IHCP-species-dilution-info": "1/500", "IHCP-species-notes": "<p></p> Perform heat-mediated antigen retrieval with Tris/EDTA buffer pH 9.0 before commencing with IHC staining protocol." }, "Rat": { "WB-species-checked": "guaranteed", "WB-species-dilution-info": "", "WB-species-notes": "", "ICCIF-species-checked": "guaranteed", "ICCIF-species-dilution-info": "", "ICCIF-species-notes": "", "FlowCytIntra-species-checked": "guaranteed", "FlowCytIntra-species-dilution-info": "", "FlowCytIntra-species-notes": "", "IHCP-species-checked": "testedAndGuaranteed", "IHCP-species-dilution-info": "1/500", "IHCP-species-notes": "<p></p> Perform heat-mediated antigen retrieval with Tris/EDTA buffer pH 9.0 before commencing with IHC staining protocol." } } }

Product details

Patented technology
Our RabMAb® technology is a patented hybridoma-based technology for making rabbit monoclonal antibodies. For details on our patents, please refer to RabMAb® patents.

What are the advantages of a recombinant monoclonal antibody?
This product is a recombinant monoclonal antibody, which offers several advantages including:

  • - High batch-to-batch consistency and reproducibility
  • - Improved sensitivity and specificity
  • - Long-term security of supply
  • - Animal-free batch production

For more information, read more on recombinant antibodies.

Properties and storage information

Form
Liquid
Purification technique
Affinity purification Protein A
Storage buffer
pH: 7.2 - 7.4 Preservative: 0.01% Sodium azide Constituents: PBS, 40% Glycerol (glycerin, glycerine), 0.05% BSA
Shipped at conditions
Blue Ice
Appropriate short-term storage duration
1-2 weeks
Appropriate short-term storage conditions
+4°C
Appropriate long-term storage conditions
-20°C
Aliquoting information
Upon delivery aliquot
Storage information
Avoid freeze / thaw cycle

Supplementary information

This supplementary information is collated from multiple sources and compiled automatically.

Ribophorin I also known as RPN1 is a glycoprotein with a mass of approximately 68 kDa. It is located in the rough endoplasmic reticulum (ER) and is part of the oligosaccharyltransferase complex which is involved in the N-linked glycosylation of nascent polypeptides. This protein facilitates the unanimous transfer of oligosaccharides to asparagine residues in polypeptide chains an important step in protein maturation. Ribophorin I shows expression in various tissues but is especially prominent in the liver and pancreas where high levels of protein synthesis occur.
Biological function summary

Ribophorin I plays an essential role in the process of protein folding and quality control within the ER. It is part of the oligosaccharyltransferase complex along with other key proteins like STT3A/B and Ribophorin II. The complex ensures that nascent proteins receive the proper glycosylation necessary for proper folding and stability. This process helps maintain a balance between protein production and degradation ensuring that only properly folded proteins proceed to their intended cellular locations.

Pathways

Ribophorin I functions within the N-linked glycosylation pathway critical for protein maturation and function. Also it takes part in the unfolded protein response pathway which reacts to stress conditions that disrupt the folding processes in the ER. This pathway involves other proteins such as BiP/GRP78 and ATF6 which work together to restore normal protein folding conditions. Ribophorin I's efficient function in these pathways is key to sustaining cellular operations maintaining protein homeostasis.

Ribophorin I is implicated in cancer and neurodegenerative diseases. Its malfunction can disrupt protein glycosylation and folding contributing to the progression of cancer by allowing aberrant glycoproteins on the cell surface. In neurodegenerative disorders like Alzheimer's disease impaired N-linked glycosylation affects protein folding leading to aggregation of misfolded proteins. Ribophorin I interacts indirectly with proteins such as amyloid precursor protein (APP) in Alzheimer's influencing the disease pathology through related glycosylation processes.

Product protocols

For this product, it's our understanding that no specific protocols are required. You can visit:

Target data

Subunit of the oligosaccharyl transferase (OST) complex that catalyzes the initial transfer of a defined glycan (Glc(3)Man(9)GlcNAc(2) in eukaryotes) from the lipid carrier dolichol-pyrophosphate to an asparagine residue within an Asn-X-Ser/Thr consensus motif in nascent polypeptide chains, the first step in protein N-glycosylation (PubMed : 31831667). N-glycosylation occurs cotranslationally and the complex associates with the Sec61 complex at the channel-forming translocon complex that mediates protein translocation across the endoplasmic reticulum (ER). All subunits are required for a maximal enzyme activity (By similarity).
See full target information Dolichyl-diphosphooligosaccharide--protein glycosyltransferase subunit 1

Publications (9)

Recent publications for all applications. Explore the full list and refine your search

Respiratory research 25:365 PubMed39385167

2024

Exploring the diagnostic and immune infiltration roles of disulfidptosis related genes in pulmonary hypertension.

Applications

Unspecified application

Species

Unspecified reactive species

Xin Tan,Ningning Zhang,Ge Zhang,Shuai Xu,Yiyao Zeng,Fenlan Bian,Bi Tang,Hongju Wang,Jili Fan,Xiaohong Bo,Yangjun Fu,Huimin Fan,Yafeng Zhou,Pinfang Kang

Nature communications 14:7365 PubMed37963884

2023

Interactome profiling of Crimean-Congo hemorrhagic fever virus glycoproteins.

Applications

Unspecified application

Species

Unspecified reactive species

Shiyu Dai,Yuan-Qin Min,Qi Li,Kuan Feng,Zhenyu Jiang,Zhiying Wang,Cunhuan Zhang,Fuli Ren,Yaohui Fang,Jingyuan Zhang,Qiong Zhu,Manli Wang,Hualin Wang,Fei Deng,Yun-Jia Ning

Frontiers in endocrinology 14:1180404 PubMed37152941

2023

Crosstalk of disulfidptosis-related subtypes, establishment of a prognostic signature and immune infiltration characteristics in bladder cancer based on a machine learning survival framework.

Applications

Unspecified application

Species

Unspecified reactive species

Songyun Zhao,Lanyu Wang,Wei Ding,Bicheng Ye,Chao Cheng,Jianfeng Shao,Jinhui Liu,Hongyi Zhou

The Journal of biological chemistry 298:102676 PubMed36336076

2022

The stem region of α1,6-fucosyltransferase FUT8 is required for multimer formation but not catalytic activity.

Applications

Unspecified application

Species

Unspecified reactive species

Seita Tomida,Masamichi Nagae,Yasuhiko Kizuka

Methods in molecular biology (Clifton, N.J.) 2507:273-294 PubMed35773587

2022

Production of Human ABC Transporters and Oligosaccharyltransferase Complexes for Structural Studies.

Applications

Unspecified application

Species

Unspecified reactive species

Ana S Ramírez,Kamil Nosol,Kaspar P Locher

The Journal of biological chemistry 295:7992-8004 PubMed32350116

2020

The SH3 domain in the fucosyltransferase FUT8 controls FUT8 activity and localization and is essential for core fucosylation.

Applications

Unspecified application

Species

Unspecified reactive species

Seita Tomida,Misaki Takata,Tetsuya Hirata,Masamichi Nagae,Miyako Nakano,Yasuhiko Kizuka

Journal of cell science 133: PubMed32005703

2020

Intramembrane protease RHBDL4 cleaves oligosaccharyltransferase subunits to target them for ER-associated degradation.

Applications

Unspecified application

Species

Unspecified reactive species

Julia D Knopf,Nina Landscheidt,Cassandra L Pegg,Benjamin L Schulz,Nathalie Kühnle,Chao-Wei Chao,Simon Huck,Marius K Lemberg

The Journal of clinical investigation 128:3369-3381 PubMed29864031

2018

Neuronatin regulates pancreatic β cell insulin content and secretion.

Applications

Unspecified application

Species

Unspecified reactive species

Steven J Millership,Gabriela Da Silva Xavier,Agharul I Choudhury,Sergio Bertazzo,Pauline Chabosseau,Silvia Ma Pedroni,Elaine E Irvine,Alex Montoya,Peter Faull,William R Taylor,Julie Kerr-Conte,Francois Pattou,Jorge Ferrer,Mark Christian,Rosalind M John,Mathieu Latreille,Ming Liu,Guy A Rutter,James Scott,Dominic J Withers

Journal of virology 91: PubMed28679754

2017

Sec24C-Dependent Transport of Claudin-1 Regulates Hepatitis C Virus Entry.

Applications

Unspecified application

Species

Unspecified reactive species

Peiqi Yin,Ye Li,Leiliang Zhang
View all publications

Product promise

We are committed to supporting your work with high-quality reagents, and we're here for you every step of the way. In the unlikely event that one of our products does not perform as expected, you're protected by our Product Promise.
For full details, please see our Terms & Conditions

Please note: All products are 'FOR RESEARCH USE ONLY. NOT FOR USE IN DIAGNOSTIC OR THERAPEUTIC PROCEDURES'.

For licensing inquiries, please contact partnerships@abcam.com