JavaScript is disabled in your browser. Please enable JavaScript to view this website.
AB197888

Anti-Ribophorin I antibody [EPR17044(B)]

Be the first to review this product! Submit a review

|

(3 Publications)

Rabbit Recombinant Monoclonal Ribophorin I antibody. Suitable for WB and reacts with Rat, Human samples. Cited in 3 publications.

View Alternative Names

Dolichyl-diphosphooligosaccharide--protein glycosyltransferase subunit 1, Dolichyl-diphosphooligosaccharide--protein glycosyltransferase 67 kDa subunit, Ribophorin I, Ribophorin-1, RPN-I, RPN1

2 Images
Western blot - Anti-Ribophorin I antibody [EPR17044(B)] (AB197888)
  • WB

Lab

Western blot - Anti-Ribophorin I antibody [EPR17044(B)] (AB197888)

Blocking and diluting buffer : 5% NFDM/TBST

All lanes:

Western blot - Anti-Ribophorin I antibody [EPR17044(B)] (ab197888) at 1/20000 dilution

Lane 1:

BxPC-3 (human Pancreas adenocarcinoma ) whole cell lysate at 20 µg

Lane 2:

HeLa (Human epithelial cells from cervix adenocarcinoma) whole cell lysate at 20 µg

Secondary

All lanes:

Goat Anti-Rabbit IgG, (H+L), Peroxidase conjugated at 1/1000 dilution

Predicted band size: 69 kDa

false

Exposure time: 1min

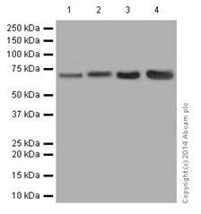
Western blot - Anti-Ribophorin I antibody [EPR17044(B)] (AB197888)
  • WB

Lab

Western blot - Anti-Ribophorin I antibody [EPR17044(B)] (AB197888)

Blocking and diluting buffer : 5% NFDM/TBST

All lanes:

Western blot - Anti-Ribophorin I antibody [EPR17044(B)] (ab197888) at 1/2000 dilution

Lane 1:

Rat kidney lysate at 10 µg

Lane 2:

Rat spleen lysate at 10 µg

Lane 3:

C6 (Rat glial tumor cells) whole cell lysate at 10 µg

Lane 4:

PC-12 (rat adrenal gland pheochromocytoma) whole cell lysate at 10 µg

Secondary

All lanes:

Goat Anti-Rabbit IgG, (H+L), Peroxidase conjugated at 1/1000 dilution

Predicted band size: 69 kDa

false

Exposure time: 3min

  • Carrier free

    Anti-Ribophorin I antibody [EPR17044(B)] - BSA and Azide free

Key facts

Host species

Rabbit

Clonality

Monoclonal

Clone number

EPR17044(B)

Isotype

IgG

Carrier free

No

Reacts with

Rat, Human

Applications

WB

applications

Immunogen

The exact immunogen used to generate this antibody is proprietary information.

Reactivity data

{ "title": "Reactivity Data", "filters": { "stats": ["", "Species", "Dilution Info", "Notes"], "tabs": { "all-applications": {"fullname" : "All Applications", "shortname": "All Applications"}, "WB" : {"fullname" : "Western blot", "shortname":"WB"} }, "product-promise": { "all": "all", "testedAndGuaranteed": "tested", "guaranteed": "expected", "predicted": "predicted", "notRecommended": "not-recommended" } }, "values": { "Human": { "WB-species-checked": "testedAndGuaranteed", "WB-species-dilution-info": "1/2000", "WB-species-notes": "<p></p>" }, "Rat": { "WB-species-checked": "testedAndGuaranteed", "WB-species-dilution-info": "1/2000", "WB-species-notes": "<p></p>" } } }

Product details

Patented technology
Our RabMAb® technology is a patented hybridoma-based technology for making rabbit monoclonal antibodies. For details on our patents, please refer to RabMAb® patents.

What are the advantages of a recombinant monoclonal antibody?
This product is a recombinant monoclonal antibody, which offers several advantages including:

  • - High batch-to-batch consistency and reproducibility
  • - Improved sensitivity and specificity
  • - Long-term security of supply
  • - Animal-free batch production

For more information, read more on recombinant antibodies.

Properties and storage information

Form
Liquid
Purification technique
Affinity purification Protein A
Storage buffer
pH: 7.2 - 7.4 Preservative: 0.01% Sodium azide Constituents: PBS, 40% Glycerol (glycerin, glycerine), 0.05% BSA
Shipped at conditions
Blue Ice
Appropriate short-term storage duration
1-2 weeks
Appropriate short-term storage conditions
+4°C
Appropriate long-term storage conditions
-20°C
Aliquoting information
Upon delivery aliquot
Storage information
Avoid freeze / thaw cycle

Supplementary information

This supplementary information is collated from multiple sources and compiled automatically.

Ribophorin I also known as RPN1 is a glycoprotein with a mass of approximately 68 kDa. It is located in the rough endoplasmic reticulum (ER) and is part of the oligosaccharyltransferase complex which is involved in the N-linked glycosylation of nascent polypeptides. This protein facilitates the unanimous transfer of oligosaccharides to asparagine residues in polypeptide chains an important step in protein maturation. Ribophorin I shows expression in various tissues but is especially prominent in the liver and pancreas where high levels of protein synthesis occur.
Biological function summary

Ribophorin I plays an essential role in the process of protein folding and quality control within the ER. It is part of the oligosaccharyltransferase complex along with other key proteins like STT3A/B and Ribophorin II. The complex ensures that nascent proteins receive the proper glycosylation necessary for proper folding and stability. This process helps maintain a balance between protein production and degradation ensuring that only properly folded proteins proceed to their intended cellular locations.

Pathways

Ribophorin I functions within the N-linked glycosylation pathway critical for protein maturation and function. Also it takes part in the unfolded protein response pathway which reacts to stress conditions that disrupt the folding processes in the ER. This pathway involves other proteins such as BiP/GRP78 and ATF6 which work together to restore normal protein folding conditions. Ribophorin I's efficient function in these pathways is key to sustaining cellular operations maintaining protein homeostasis.

Ribophorin I is implicated in cancer and neurodegenerative diseases. Its malfunction can disrupt protein glycosylation and folding contributing to the progression of cancer by allowing aberrant glycoproteins on the cell surface. In neurodegenerative disorders like Alzheimer's disease impaired N-linked glycosylation affects protein folding leading to aggregation of misfolded proteins. Ribophorin I interacts indirectly with proteins such as amyloid precursor protein (APP) in Alzheimer's influencing the disease pathology through related glycosylation processes.

Product protocols

For this product, it's our understanding that no specific protocols are required. You can visit:

Target data

Subunit of the oligosaccharyl transferase (OST) complex that catalyzes the initial transfer of a defined glycan (Glc(3)Man(9)GlcNAc(2) in eukaryotes) from the lipid carrier dolichol-pyrophosphate to an asparagine residue within an Asn-X-Ser/Thr consensus motif in nascent polypeptide chains, the first step in protein N-glycosylation (PubMed : 31831667). N-glycosylation occurs cotranslationally and the complex associates with the Sec61 complex at the channel-forming translocon complex that mediates protein translocation across the endoplasmic reticulum (ER). All subunits are required for a maximal enzyme activity (By similarity).
See full target information Dolichyl-diphosphooligosaccharide--protein glycosyltransferase subunit 1

Publications (3)

Recent publications for all applications. Explore the full list and refine your search

Aging 16:10997-11017 PubMed38968580

2024

Pan-cancer analysis of disulfidptosis with potential implications in prognosis, immune microenvironment, and drug resistance in human cancer.

Applications

Unspecified application

Species

Unspecified reactive species

Fobao Lai,Wanrong Zheng,Chengqian Zhong,Zhiyong Chen

The Korean journal of physiology & pharmacology : official journal of the Korean Physiological Society and the Korean Society of Pharmacology 27:333-344 PubMed37386831

2023

Circ-SNX27 sponging miR-375/RPN1 axis contributes to hepatocellular carcinoma progression.

Applications

Unspecified application

Species

Unspecified reactive species

Chao Zheng,Jin Liang,Shoude Yu,Hua Xu,Lin Dai,Dan Xu

Molecular therapy oncolytics 8:52-61 PubMed29511732

2018

Adenovirus-Mediated Delivery of Decoy Hyper Binding Sites Targeting Oncogenic HMGA1 Reduces Pancreatic and Liver Cancer Cell Viability.

Applications

Unspecified application

Species

Unspecified reactive species

Faizule Hassan,Shuisong Ni,Tyler C Arnett,Melanie C McKell,Michael A Kennedy
View all publications

Product promise

We are committed to supporting your work with high-quality reagents, and we're here for you every step of the way. In the unlikely event that one of our products does not perform as expected, you're protected by our Product Promise.
For full details, please see our Terms & Conditions

Please note: All products are 'FOR RESEARCH USE ONLY. NOT FOR USE IN DIAGNOSTIC OR THERAPEUTIC PROCEDURES'.

For licensing inquiries, please contact partnerships@abcam.com