JavaScript is disabled in your browser. Please enable JavaScript to view this website.
AB150847

Anti-RICS antibody

Be the first to review this product! Submit a review

|

(1 Publication)

Rabbit Polyclonal RICS antibody. Suitable for IHC-P, ICC/IF and reacts with Human samples. Cited in 1 publication. Immunogen corresponding to Recombinant Fragment Protein within Human ARHGAP32 aa 1950 to C-terminus.

View Alternative Names

GRIT, KIAA0712, RICS, ARHGAP32, Rho GTPase-activating protein 32, Brain-specific Rho GTPase-activating protein, GAB-associated Cdc42/Rac GTPase-activating protein, GC-GAP, GTPase regulator interacting with TrkA, Rho-type GTPase-activating protein 32, Rho/Cdc42/Rac GTPase-activating protein RICS, RhoGAP involved in the beta-catenin-N-cadherin and NMDA receptor signaling, p200RhoGAP, p250GAP

5 Images
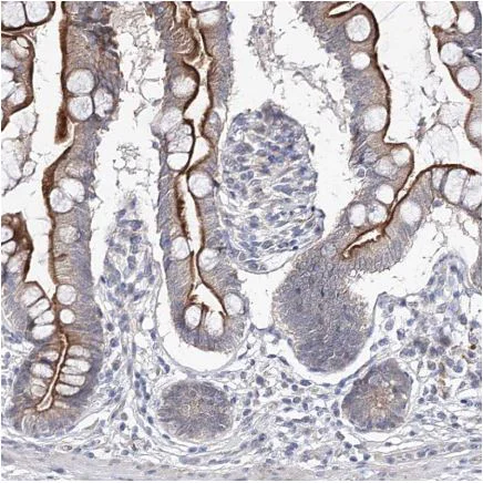
Immunohistochemistry (Formalin/PFA-fixed paraffin-embedded sections) - Anti-RICS antibody (AB150847)
  • IHC-P

Supplier Data

Immunohistochemistry (Formalin/PFA-fixed paraffin-embedded sections) - Anti-RICS antibody (AB150847)

Immunohistochemical analysis of human small intestine tissue labeling RICS in the luminal membrane of glandular cells with ab1590847 at a 1/50 dilution.

Performed heat mediated antigen retrieval with citrate buffer pH 6 before commencing with IHC staining protocol.

Immunocytochemistry/ Immunofluorescence - Anti-RICS antibody (AB150847)
  • ICC/IF

Supplier Data

Immunocytochemistry/ Immunofluorescence - Anti-RICS antibody (AB150847)

Immunocytochemical analysis of HaCaT (Human keratinocyte cell line) whole cells labeling RICS in the nucleoplasm, nucleoli fibrillar center and Golgi apparatus with ab1590847 at 2 μg/ml.

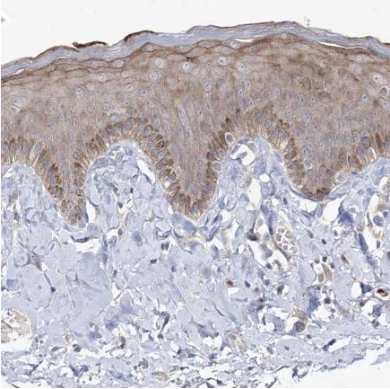
Immunohistochemistry (Formalin/PFA-fixed paraffin-embedded sections) - Anti-RICS antibody (AB150847)
  • IHC-P

Supplier Data

Immunohistochemistry (Formalin/PFA-fixed paraffin-embedded sections) - Anti-RICS antibody (AB150847)

Immunohistochemical analysis of human skin tissue labeling RICS in the cytoplasm of squamous epithelial cells with ab1590847 at a 1/50 dilution.

Performed heat mediated antigen retrieval with citrate buffer pH 6 before commencing with IHC staining protocol.

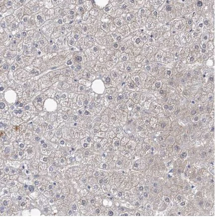
Immunohistochemistry (Formalin/PFA-fixed paraffin-embedded sections) - Anti-RICS antibody (AB150847)
  • IHC-P

Supplier Data

Immunohistochemistry (Formalin/PFA-fixed paraffin-embedded sections) - Anti-RICS antibody (AB150847)

Immunohistochemical analysis of human liver tissue labeling RICS with ab1590847 at a 1/50 dilution. No positivity as expected.

Performed heat mediated antigen retrieval with citrate buffer pH 6 before commencing with IHC staining protocol.

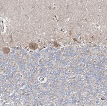
Immunohistochemistry (Formalin/PFA-fixed paraffin-embedded sections) - Anti-RICS antibody (AB150847)
  • IHC-P

Supplier Data

Immunohistochemistry (Formalin/PFA-fixed paraffin-embedded sections) - Anti-RICS antibody (AB150847)

Immunohistochemical analysis of human cerebellum tissue labeling RICS in Purkinje cells with ab1590847 at a 1/50 dilution.

Performed heat mediated antigen retrieval with citrate buffer pH 6 before commencing with IHC staining protocol.

Key facts

Host species

Rabbit

Clonality

Polyclonal

Isotype

IgG

Carrier free

No

Reacts with

Human

Applications

ICC/IF, IHC-P

applications

Immunogen

Recombinant Fragment Protein within Human ARHGAP32 aa 1950 to C-terminus. The exact immunogen used to generate this antibody is proprietary information.

A7KAX9

Reactivity data

{ "title": "Reactivity Data", "filters": { "stats": ["", "Species", "Dilution Info", "Notes"], "tabs": { "all-applications": {"fullname" : "All Applications", "shortname": "All Applications"}, "IHCP" : {"fullname" : "Immunohistochemistry (Formalin/PFA-fixed paraffin-embedded sections)", "shortname":"IHC-P"}, "ICCIF" : {"fullname" : "Immunocytochemistry/ Immunofluorescence", "shortname":"ICC/IF"} }, "product-promise": { "all": "all", "testedAndGuaranteed": "tested", "guaranteed": "expected", "predicted": "predicted", "notRecommended": "not-recommended" } }, "values": { "Human": { "IHCP-species-checked": "testedAndGuaranteed", "IHCP-species-dilution-info": "1/50 - 1/200", "IHCP-species-notes": "<p></p> Perform heat-mediated antigen retrieval with citrate buffer pH 6 before commencing with IHC staining protocol.", "ICCIF-species-checked": "testedAndGuaranteed", "ICCIF-species-dilution-info": "0.25-2 µg/mL", "ICCIF-species-notes": "<p>Fixation/Permeabilization: PFA/Triton X-100</p>" } } }

Product details

The antibody solution should be gently mixed before use.

Properties and storage information

Form
Liquid
Purification technique
Affinity purification Immunogen
Storage buffer
pH: 7.2 Preservative: 0.02% Sodium azide Constituents: PBS, 40% Glycerol (glycerin, glycerine)
Shipped at conditions
Blue Ice
Appropriate short-term storage conditions
+4°C
Appropriate long-term storage conditions
-20°C
Aliquoting information
Upon delivery aliquot
Storage information
Avoid freeze / thaw cycle

Supplementary information

This supplementary information is collated from multiple sources and compiled automatically.

RICS also known as Rho GTPase-activating protein RICS or PX-RICS is a protein that functions as a GTPase-activating protein (GAP) for the Rho family of GTPases. It has a molecular mass of around 120 kDa. Expressed in neurons in the brain RICS regulates signaling pathways by inactivating Rho GTPases which are key for cytoskeletal organization and cell signaling.
Biological function summary

RICS plays an important role in neuronal development and synaptic function. RICS is part of a protein complex that interacts with scaffolding proteins such as PSD-95 which is important for synaptic stability and plasticity. By modulating Rho GTPase activity RICS influences intracellular signaling which impacts cytoskeletal dynamics and receptor trafficking.

Pathways

RICS is involved in the regulation of signaling cascades such as the Wnt and Nogo pathways. It relates to proteins like Dishevelled in the Wnt pathway which regulates neuronal growth and differentiation. In the Nogo pathway RICS partners with proteins like Nogo receptor which limits axon regeneration and growth. These pathways illustrate how RICS modulates neuron structure and connectivity.

RICS has connections to conditions like autism spectrum disorders (ASD) and schizophrenia. RICS interacts with proteins such as DISC1 linked to schizophrenia and changes in RICS expression or activity might contribute to synaptic dysfunction observed in these disorders. RICS impacts cytoskeletal dynamics and receptor localization influencing cognitive and behavioral phenotypes in affected individuals.

Product protocols

For this product, it's our understanding that no specific protocols are required. You can visit:

Target data

GTPase-activating protein (GAP) promoting GTP hydrolysis on RHOA, CDC42 and RAC1 small GTPases. May be involved in the differentiation of neuronal cells during the formation of neurite extensions. Involved in NMDA receptor activity-dependent actin reorganization in dendritic spines. May mediate cross-talks between Ras- and Rho-regulated signaling pathways in cell growth regulation. Isoform 2 has higher GAP activity (By similarity).
See full target information ARHGAP32

Publications (1)

Recent publications for all applications. Explore the full list and refine your search

The Journal of investigative dermatology 138:811-825 PubMed29391249

2018

Spatial and Single-Cell Transcriptional Profiling Identifies Functionally Distinct Human Dermal Fibroblast Subpopulations.

Applications

Unspecified application

Species

Unspecified reactive species

Christina Philippeos,Stephanie B Telerman,Bénédicte Oulès,Angela O Pisco,Tanya J Shaw,Raul Elgueta,Giovanna Lombardi,Ryan R Driskell,Mark Soldin,Magnus D Lynch,Fiona M Watt
View all publications

Product promise

We are committed to supporting your work with high-quality reagents, and we're here for you every step of the way. In the unlikely event that one of our products does not perform as expected, you're protected by our Product Promise.
For full details, please see our Terms & Conditions

Please note: All products are 'FOR RESEARCH USE ONLY. NOT FOR USE IN DIAGNOSTIC OR THERAPEUTIC PROCEDURES'.

For licensing inquiries, please contact partnerships@abcam.com