JavaScript is disabled in your browser. Please enable JavaScript to view this website.
AB70254

Anti-Rif1 antibody

Be the first to review this product! Submit a review

|

(2 Publications)

Rabbit Polyclonal RIF1 antibody. Suitable for IHC-P, IP and reacts with Human samples. Cited in 2 publications. Immunogen corresponding to Synthetic Peptide within Human Telomere-associated protein RIF1.

View Alternative Names

Telomere-associated protein RIF1, Rap1-interacting factor 1 homolog, RIF1

2 Images
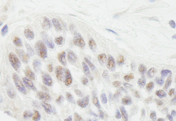
Immunohistochemistry (Formalin/PFA-fixed paraffin-embedded sections) - Anti-Rif1 antibody (AB70254)
  • IHC-P

Unknown

Immunohistochemistry (Formalin/PFA-fixed paraffin-embedded sections) - Anti-Rif1 antibody (AB70254)

Immunohistochemistry (Formalin/PFA-fixed paraffin-embedded sections) analysis of human laryngeal squamous cell carcinoma tissue labelling Rif1 with ab70254 at 1/1000 (1µg/ml). Detection : DAB.

Immunoprecipitation - Anti-Rif1 antibody (AB70254)
  • IP

Unknown

Immunoprecipitation - Anti-Rif1 antibody (AB70254)

Immunoprecipitation analysis of 293T whole cell lysate (1mg for IP, 25% of reaction loaded), using ab70254 at 5 μg/mg lysate for IP. Immunoprecipitated Rif1 was blotted using ab70307 at 0.4μg/ml.

All lanes:

Immunoprecipitation - Anti-Rif1 antibody (ab70254)

Predicted band size: 274 kDa

true

Exposure time: 30s

Key facts

Host species

Rabbit

Clonality

Polyclonal

Isotype

IgG

Carrier free

No

Reacts with

Human

Applications

IP, IHC-P

applications

Immunogen

Synthetic Peptide within Human Telomere-associated protein RIF1. The exact immunogen used to generate this antibody is proprietary information.

Q5UIP0

Specificity

Reactivity with mouse Rif1 is not expected owing to divergence of sequence between this ortholog and human Rif1 at the site to which the epitope maps.

Reactivity data

{ "title": "Reactivity Data", "filters": { "stats": ["", "Species", "Dilution Info", "Notes"], "tabs": { "all-applications": {"fullname" : "All Applications", "shortname": "All Applications"}, "IHCP" : {"fullname" : "Immunohistochemistry (Formalin/PFA-fixed paraffin-embedded sections)", "shortname":"IHC-P"}, "IP" : {"fullname" : "Immunoprecipitation", "shortname":"IP"} }, "product-promise": { "all": "all", "testedAndGuaranteed": "tested", "guaranteed": "expected", "predicted": "predicted", "notRecommended": "not-recommended" } }, "values": { "Human": { "IHCP-species-checked": "testedAndGuaranteed", "IHCP-species-dilution-info": "1/500 - 1/2000", "IHCP-species-notes": "<p></p> Perform heat-mediated antigen retrieval with citrate buffer pH 6 before commencing with IHC staining protocol.", "IP-species-checked": "testedAndGuaranteed", "IP-species-dilution-info": "1-5 µg/mg of lysate", "IP-species-notes": "<p></p>" }, "Chimpanzee": { "IHCP-species-checked": "predicted", "IHCP-species-dilution-info": "", "IHCP-species-notes": "", "IP-species-checked": "predicted", "IP-species-dilution-info": "", "IP-species-notes": "" }, "Orangutan": { "IHCP-species-checked": "predicted", "IHCP-species-dilution-info": "", "IHCP-species-notes": "", "IP-species-checked": "predicted", "IP-species-dilution-info": "", "IP-species-notes": "" }, "Rhesus monkey": { "IHCP-species-checked": "predicted", "IHCP-species-dilution-info": "", "IHCP-species-notes": "", "IP-species-checked": "predicted", "IP-species-dilution-info": "", "IP-species-notes": "" } } }

Properties and storage information

Form
Liquid
Purification technique
Affinity purification Immunogen
Storage buffer
pH: 7 - 8 Preservative: 0.09% Sodium azide Constituents: PBS, 1.815% Tris, 1.764% Sodium citrate
Shipped at conditions
Blue Ice
Appropriate short-term storage conditions
+4°C
Appropriate long-term storage conditions
-20°C
Aliquoting information
Upon delivery aliquot
Storage information
Avoid freeze / thaw cycle

Supplementary information

This supplementary information is collated from multiple sources and compiled automatically.

Rif1 also known as Rap1-interacting factor 1 is a protein that aids in DNA end protection and repair processes. The protein has a molecular mass of approximately 240 kDa and is predominantly expressed in the nucleus of eukaryotic cells. Rif1 interacts directly with telomeric DNA and regulates DNA-double strand break (DSB) repair. Its activity ensures genomic integrity by coordinating access to damaged DNA ends which is essential in the context of maintaining telomere length and chromosomal stability.
Biological function summary

Rif1 plays a central role in the DNA damage response and DNA replication. It operates as part of the shieldin complex which participates in non-homologous end joining (NHEJ) by protecting DNA ends from extensive resection. By doing so Rif1 directs the repair pathway choice towards NHEJ over homologous recombination enabling cell cycle progression in conditions of DNA stress. Its function is particularly significant during the S and G1 phases of the cell cycle during which Rif1 modulates replication timing and forks stalling recovery.

Pathways

Several critical cellular processes involve Rif1 particularly DNA damage repair and cell cycle regulation. Within these pathways Rif1 interacts with proteins such as 53BP1 which is instrumental in controlling pathway selectivity during DNA repair and it influences origin firing through its interplay with replication timing guards. Additionally Rif1 works in conjunction with ATM and ATR kinases which are key regulators in the phosphorylation cascade triggered by DNA damage. These interactions underpin Rif1’s pivotal role in cell cycle checkpoints and repair signaling pathways.

Aberrations in Rif1 function have links to cancer and premature aging diseases. Altered Rif1 expression or malfunction can contribute to tumorigenesis especially in cancers where DNA repair pathways are disrupted. This is due in part to its relationship with 53BP1 playing roles in tumor suppression pathways by maintaining genomic stability. Furthermore mutations affecting Rif1 are associated with conditions like Hutchinson-Gilford Progeria Syndrome. This connection to lamin A/C another protein involved in nuclear stability highlights its broader impact on maintaining cellular homeostasis and genome integrity.

Product protocols

For this product, it's our understanding that no specific protocols are required. You can visit:

Target data

Key regulator of TP53BP1 that plays a key role in the repair of double-strand DNA breaks (DSBs) in response to DNA damage : acts by promoting non-homologous end joining (NHEJ)-mediated repair of DSBs (PubMed : 15342490, PubMed : 28241136). In response to DNA damage, interacts with ATM-phosphorylated TP53BP1 (PubMed : 23333306, PubMed : 28241136). Interaction with TP53BP1 leads to dissociate the interaction between NUDT16L1/TIRR and TP53BP1, thereby unmasking the tandem Tudor-like domain of TP53BP1 and allowing recruitment to DNA DSBs (PubMed : 28241136). Once recruited to DSBs, RIF1 and TP53BP1 act by promoting NHEJ-mediated repair of DSBs (PubMed : 23333306). In the same time, RIF1 and TP53BP1 specifically counteract the function of BRCA1 by blocking DSBs resection via homologous recombination (HR) during G1 phase (PubMed : 23333306). Also required for immunoglobulin class-switch recombination (CSR) during antibody genesis, a process that involves the generation of DNA DSBs (By similarity). Promotes NHEJ of dysfunctional telomeres (By similarity).
See full target information Telomere-associated protein RIF1

Publications (2)

Recent publications for all applications. Explore the full list and refine your search

Cell reports 18:2508-2520 PubMed28273463

2017

Reversal of DDK-Mediated MCM Phosphorylation by Rif1-PP1 Regulates Replication Initiation and Replisome Stability Independently of ATR/Chk1.

Applications

Unspecified application

Species

Unspecified reactive species

Robert C Alver,Gaganmeet Singh Chadha,Peter J Gillespie,J Julian Blow

EMBO reports 18:403-419 PubMed28077461

2017

Human RIF1 and protein phosphatase 1 stimulate DNA replication origin licensing but suppress origin activation.

Applications

IP

Species

Human

Shin-Ichiro Hiraga,Tony Ly,Javier Garzón,Zuzana Hořejší,Yoshi-Nobu Ohkubo,Akinori Endo,Chikashi Obuse,Simon J Boulton,Angus I Lamond,Anne D Donaldson
View all publications

Product promise

We are committed to supporting your work with high-quality reagents, and we're here for you every step of the way. In the unlikely event that one of our products does not perform as expected, you're protected by our Product Promise.
For full details, please see our Terms & Conditions

Please note: All products are 'FOR RESEARCH USE ONLY. NOT FOR USE IN DIAGNOSTIC OR THERAPEUTIC PROCEDURES'.

For licensing inquiries, please contact partnerships@abcam.com