JavaScript is disabled in your browser. Please enable JavaScript to view this website.
AB316748

Anti-Rif1 antibody [EPR27131-83]

  • BOND RX™ Validated
  • 20ul selling size
  • Recombinant
  • RabMAb
  • What is this?

Be the first to review this product! Submit a review

|

(0 Publication)

Rabbit Recombinant Monoclonal RIF1 antibody. Suitable for IHC-P, WB, ICC/IF and reacts with Human samples.

View Alternative Names

Telomere-associated protein RIF1, Rap1-interacting factor 1 homolog, RIF1

6 Images
Immunohistochemistry (Formalin/PFA-fixed paraffin-embedded sections) - Anti-Rif1 antibody [EPR27131-83] (AB316748)
  • IHC-P

Supplier Data

Immunohistochemistry (Formalin/PFA-fixed paraffin-embedded sections) - Anti-Rif1 antibody [EPR27131-83] (AB316748)

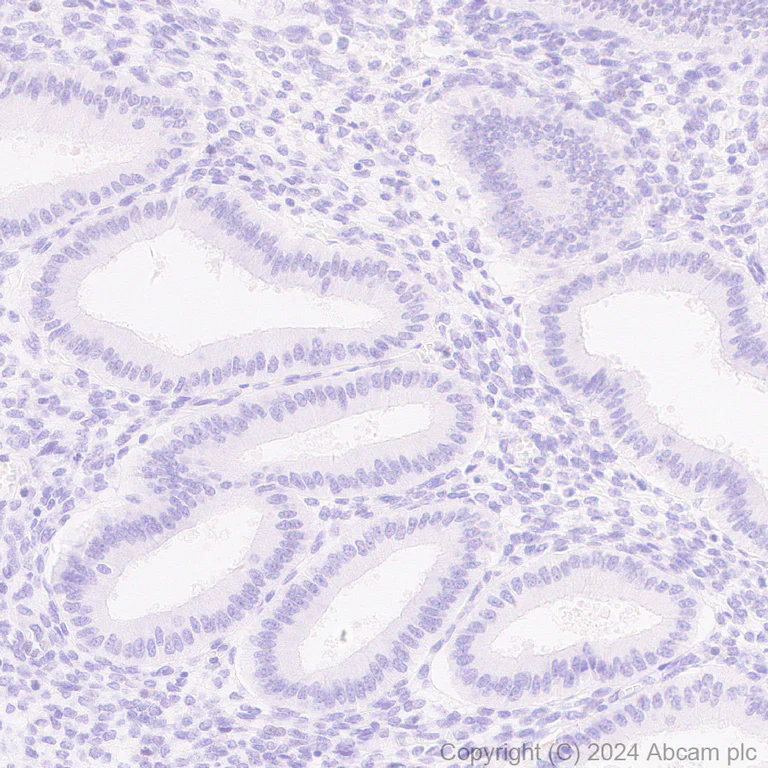
Immunohistochemical analysis of paraffin-embedded Human endometrium tissue labeling Rif1 with ab316748 at 1/100 (5.2 ug/ml) dilution, followed by a ready to use LeicaDS9800 (Bond™ Polymer Refine Detection).

Low expression tissue : No staining in human endometrium (PMID : 15583028).
The section was incubated with ab316748 for 30 mins at room temperature.
The immunostaining was performed on a Leica Biosystems BOND® RX instrument

Counterstained with Hematoxylin.

Secondary antibody only control : Secondary antibody is a ready to use LeicaDS9800 (Bond™ Polymer Refine Detection).

Heat mediated antigen retrieval was performed with Tris-EDTA buffer (pH 9.0, Epitope Retrieval Solution2) for 20 mins

Immunohistochemistry (Formalin/PFA-fixed paraffin-embedded sections) - Anti-Rif1 antibody [EPR27131-83] (AB316748)
  • IHC-P

Supplier Data

Immunohistochemistry (Formalin/PFA-fixed paraffin-embedded sections) - Anti-Rif1 antibody [EPR27131-83] (AB316748)

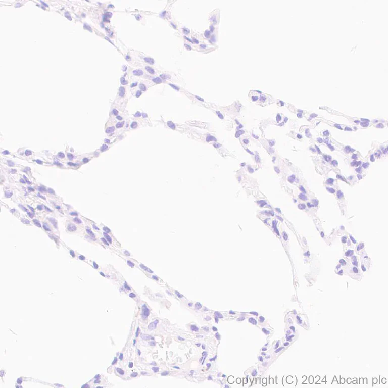
Immunohistochemical analysis of paraffin-embedded Human lung tissue labeling Rif1 with ab316748 at 1/100 (5.2 ug/ml) dilution, followed by a ready to use LeicaDS9800 (Bond™ Polymer Refine Detection).

Low expression tissue : No staining in human lung (PMID : 30237512).
The section was incubated with ab316748 for 30 mins at room temperature.
The immunostaining was performed on a Leica Biosystems BOND® RX instrument

Counterstained with Hematoxylin.

Secondary antibody only control : Secondary antibody is a ready to use LeicaDS9800 (Bond™ Polymer Refine Detection).

Heat mediated antigen retrieval was performed with Tris-EDTA buffer (pH 9.0, Epitope Retrieval Solution2) for 20 mins

Immunohistochemistry (Formalin/PFA-fixed paraffin-embedded sections) - Anti-Rif1 antibody [EPR27131-83] (AB316748)
  • IHC-P

Supplier Data

Immunohistochemistry (Formalin/PFA-fixed paraffin-embedded sections) - Anti-Rif1 antibody [EPR27131-83] (AB316748)

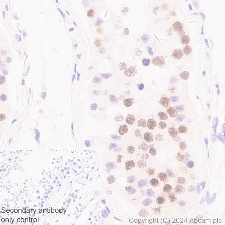
Immunohistochemical analysis of paraffin-embedded Human testis tissue labeling Rif1 with ab316748 at 1/100 (5.2 ug/ml) dilution, followed by a ready to use LeicaDS9800 (Bond™ Polymer Refine Detection).

Positive staining in human testis (PMID : 15583028).
The section was incubated with ab316748 for 30 mins at room temperature.
The immunostaining was performed on a Leica Biosystems BOND® RX instrument

Counterstained with Hematoxylin.

Secondary antibody only control : Secondary antibody is a ready to use LeicaDS9800 (Bond™ Polymer Refine Detection).

Heat mediated antigen retrieval was performed with Tris-EDTA buffer (pH 9.0, Epitope Retrieval Solution2) for 20 mins

Immunohistochemistry (Formalin/PFA-fixed paraffin-embedded sections) - Anti-Rif1 antibody [EPR27131-83] (AB316748)
  • IHC-P

Supplier Data

Immunohistochemistry (Formalin/PFA-fixed paraffin-embedded sections) - Anti-Rif1 antibody [EPR27131-83] (AB316748)

Immunohistochemical analysis of paraffin-embedded Human squamous cell lung carcinoma  tissue labeling Rif1 with ab316748 at 1/100 (5.2 ug/ml) dilution, followed by a ready to use LeicaDS9800 (Bond™ Polymer Refine Detection).

Positive staining in human squamous cell lung carcinoma tissue (PMID : 30237512).
The section was incubated with ab316748 for 30 mins at room temperature.
The immunostaining was performed on a Leica Biosystems BOND® RX instrument

Counterstained with Hematoxylin.

Secondary antibody only control : Secondary antibody is a ready to use LeicaDS9800 (Bond™ Polymer Refine Detection).

Heat mediated antigen retrieval was performed with Tris-EDTA buffer (pH 9.0, Epitope Retrieval Solution2) for 20 mins

Immunocytochemistry/ Immunofluorescence - Anti-Rif1 antibody [EPR27131-83] (AB316748)
  • ICC/IF

Supplier Data

Immunocytochemistry/ Immunofluorescence - Anti-Rif1 antibody [EPR27131-83] (AB316748)

Immunofluorescent analysis of 4% Paraformaldehyde-fixed, 0.1% TritonX-100 permeabilized HeLa (human cervical adenocarcinoma epithelial cell) cells labelling Rif1 with ab316748 at 1/50 (10.4 ug/ml) dilution, followed by ab150081 Goat Anti-Rabbit IgG H&L (Alexa Fluor® 488) preadsorbed antibody at 1/1000 (2 ug/ml) dilution (Green).

Confocal image showing nuclear staining in HeLa cell line (shown in green). The counterstain was observed in magenta. Nuclear DNA was labeled with DAPI (shown in blue). Image was taken with a confocal microscope (Leica-Microsystems, TCS SP8).

ab195889 Anti-alpha Tubulin mouse monoclonal antibody - Microtubule Marker (Alexa Fluor® 594) was used to counterstain tubulin at 1/200 (2.5ug/ml) dilution (Magenta). The Nuclear counterstain was DAPI (Blue).

Secondary antibody only control : Secondary antibody is ab150081 Goat Anti-Rabbit IgG H&L (Alexa Fluor® 488) preadsorbed at 1/1000 (2 ug/ml) dilution.

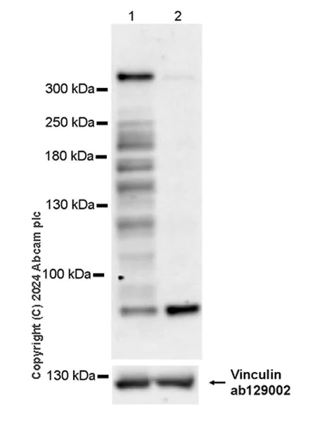
Western blot - Anti-Rif1 antibody [EPR27131-83] (AB316748)
  • WB

Supplier Data

Western blot - Anti-Rif1 antibody [EPR27131-83] (AB316748)

The expression profile/ molecular weight observed isconsistent with what has been described in the literature (PMID : 34736895).

Lysates were freshly made and used for Western blotting immediately to minimize protein degradation.

The identity of the band below 100 kDa is unknown.

In Western blot, Anti-Vinculin antibody [EPR8185] (ab129002) staining at 1/10000 dilution.

All lanes:

Western blot - Anti-Rif1 antibody [EPR27131-83] (ab316748) at 1/1000 dilution

Lane 1:

HeLa (human cervical adenocarcinoma epithelial cell) transfected with scrambled siRNA control whole cell lysate at 40 µg

Lane 2:

HeLa transfected with siRNA specifically targeting Rif1 whole cell lysate at 40 µg

Secondary

All lanes:

Western blot - Goat Anti-Rabbit IgG H&L (HRP) (<a href='/en-us/products/secondary-antibodies/goat-rabbit-igg-h-l-hrp-ab97051'>ab97051</a>) at 1/20000 dilution

Observed band size: 110-310 kDa,124 kDa

false

Exposure time: 180s

  • Carrier free

    Anti-Rif1 antibody [EPR27131-83] - BSA and Azide free

Key facts

Host species

Rabbit

Clonality

Monoclonal

Clone number

EPR27131-83

Isotype

IgG

Carrier free

No

Reacts with

Human

Applications

WB, IHC-P, ICC/IF

applications

Immunogen

The exact immunogen used to generate this antibody is proprietary information.

Reactivity data

{ "title": "Reactivity Data", "filters": { "stats": ["", "Species", "Dilution Info", "Notes"], "tabs": { "all-applications": {"fullname" : "All Applications", "shortname": "All Applications"}, "IHCP" : {"fullname" : "Immunohistochemistry (Formalin/PFA-fixed paraffin-embedded sections)", "shortname":"IHC-P"}, "WB" : {"fullname" : "Western blot", "shortname":"WB"}, "ICCIF" : {"fullname" : "Immunocytochemistry/ Immunofluorescence", "shortname":"ICC/IF"}, "FlowCytIntra" : {"fullname" : "Flow Cytometry (Intracellular)", "shortname":"Flow Cyt (Intra)"}, "IP" : {"fullname" : "Immunoprecipitation", "shortname":"IP"} }, "product-promise": { "all": "all", "testedAndGuaranteed": "tested", "guaranteed": "expected", "predicted": "predicted", "notRecommended": "not-recommended" } }, "values": { "Human": { "IHCP-species-checked": "testedAndGuaranteed", "IHCP-species-dilution-info": "1/100", "IHCP-species-notes": "<p></p> Perform heat-mediated antigen retrieval with Tris/EDTA buffer pH 9.0 before commencing with IHC staining protocol.", "WB-species-checked": "testedAndGuaranteed", "WB-species-dilution-info": "1/1000", "WB-species-notes": "<p></p>", "ICCIF-species-checked": "testedAndGuaranteed", "ICCIF-species-dilution-info": "1/50", "ICCIF-species-notes": "<p></p>", "FlowCytIntra-species-checked": "notRecommended", "FlowCytIntra-species-dilution-info": "", "FlowCytIntra-species-notes": "<p></p>", "IP-species-checked": "notRecommended", "IP-species-dilution-info": "", "IP-species-notes": "<p></p>" }, "Mouse": { "IHCP-species-checked": "notRecommended", "IHCP-species-dilution-info": "", "IHCP-species-notes": "<p></p>", "WB-species-checked": "notRecommended", "WB-species-dilution-info": "", "WB-species-notes": "<p></p>", "ICCIF-species-checked": "notRecommended", "ICCIF-species-dilution-info": "", "ICCIF-species-notes": "", "FlowCytIntra-species-checked": "notRecommended", "FlowCytIntra-species-dilution-info": "", "FlowCytIntra-species-notes": "", "IP-species-checked": "notRecommended", "IP-species-dilution-info": "", "IP-species-notes": "" }, "Rat": { "IHCP-species-checked": "notRecommended", "IHCP-species-dilution-info": "", "IHCP-species-notes": "<p></p>", "WB-species-checked": "notRecommended", "WB-species-dilution-info": "", "WB-species-notes": "<p></p>", "ICCIF-species-checked": "notRecommended", "ICCIF-species-dilution-info": "", "ICCIF-species-notes": "", "FlowCytIntra-species-checked": "notRecommended", "FlowCytIntra-species-dilution-info": "", "FlowCytIntra-species-notes": "", "IP-species-checked": "notRecommended", "IP-species-dilution-info": "", "IP-species-notes": "" } } }

Product details

Patented technology
Our RabMAb® technology is a patented hybridoma-based technology for making rabbit monoclonal antibodies. For details on our patents, please refer to RabMAb® patents.

What are the advantages of a recombinant monoclonal antibody?
This product is a recombinant monoclonal antibody, which offers several advantages including:

  • - High batch-to-batch consistency and reproducibility
  • - Improved sensitivity and specificity
  • - Long-term security of supply
  • - Animal-free batch production

For more information, read more on recombinant antibodies.

Properties and storage information

Form
Liquid
Purification technique
Affinity purification Protein A
Storage buffer
pH: 7.2 - 7.4 Preservative: 0.01% Sodium azide Constituents: PBS, 40% Glycerol (glycerin, glycerine), 0.05% BSA
Shipped at conditions
Blue Ice
Appropriate short-term storage duration
1-2 weeks
Appropriate short-term storage conditions
+4°C
Appropriate long-term storage conditions
-20°C
Aliquoting information
Upon delivery aliquot
Storage information
Avoid freeze / thaw cycle

Supplementary information

This supplementary information is collated from multiple sources and compiled automatically.

Rif1 also known as Rap1-interacting factor 1 is a protein that aids in DNA end protection and repair processes. The protein has a molecular mass of approximately 240 kDa and is predominantly expressed in the nucleus of eukaryotic cells. Rif1 interacts directly with telomeric DNA and regulates DNA-double strand break (DSB) repair. Its activity ensures genomic integrity by coordinating access to damaged DNA ends which is essential in the context of maintaining telomere length and chromosomal stability.
Biological function summary

Rif1 plays a central role in the DNA damage response and DNA replication. It operates as part of the shieldin complex which participates in non-homologous end joining (NHEJ) by protecting DNA ends from extensive resection. By doing so Rif1 directs the repair pathway choice towards NHEJ over homologous recombination enabling cell cycle progression in conditions of DNA stress. Its function is particularly significant during the S and G1 phases of the cell cycle during which Rif1 modulates replication timing and forks stalling recovery.

Pathways

Several critical cellular processes involve Rif1 particularly DNA damage repair and cell cycle regulation. Within these pathways Rif1 interacts with proteins such as 53BP1 which is instrumental in controlling pathway selectivity during DNA repair and it influences origin firing through its interplay with replication timing guards. Additionally Rif1 works in conjunction with ATM and ATR kinases which are key regulators in the phosphorylation cascade triggered by DNA damage. These interactions underpin Rif1’s pivotal role in cell cycle checkpoints and repair signaling pathways.

Aberrations in Rif1 function have links to cancer and premature aging diseases. Altered Rif1 expression or malfunction can contribute to tumorigenesis especially in cancers where DNA repair pathways are disrupted. This is due in part to its relationship with 53BP1 playing roles in tumor suppression pathways by maintaining genomic stability. Furthermore mutations affecting Rif1 are associated with conditions like Hutchinson-Gilford Progeria Syndrome. This connection to lamin A/C another protein involved in nuclear stability highlights its broader impact on maintaining cellular homeostasis and genome integrity.

Product protocols

For this product, it's our understanding that no specific protocols are required. You can visit:

Target data

Key regulator of TP53BP1 that plays a key role in the repair of double-strand DNA breaks (DSBs) in response to DNA damage : acts by promoting non-homologous end joining (NHEJ)-mediated repair of DSBs (PubMed : 15342490, PubMed : 28241136). In response to DNA damage, interacts with ATM-phosphorylated TP53BP1 (PubMed : 23333306, PubMed : 28241136). Interaction with TP53BP1 leads to dissociate the interaction between NUDT16L1/TIRR and TP53BP1, thereby unmasking the tandem Tudor-like domain of TP53BP1 and allowing recruitment to DNA DSBs (PubMed : 28241136). Once recruited to DSBs, RIF1 and TP53BP1 act by promoting NHEJ-mediated repair of DSBs (PubMed : 23333306). In the same time, RIF1 and TP53BP1 specifically counteract the function of BRCA1 by blocking DSBs resection via homologous recombination (HR) during G1 phase (PubMed : 23333306). Also required for immunoglobulin class-switch recombination (CSR) during antibody genesis, a process that involves the generation of DNA DSBs (By similarity). Promotes NHEJ of dysfunctional telomeres (By similarity).
See full target information Telomere-associated protein RIF1

Product promise

We are committed to supporting your work with high-quality reagents, and we're here for you every step of the way. In the unlikely event that one of our products does not perform as expected, you're protected by our Product Promise.
For full details, please see our Terms & Conditions

Please note: All products are 'FOR RESEARCH USE ONLY. NOT FOR USE IN DIAGNOSTIC OR THERAPEUTIC PROCEDURES'.

For licensing inquiries, please contact partnerships@abcam.com