JavaScript is disabled in your browser. Please enable JavaScript to view this website.
AB302778

Anti-RIG-I/DDX58 antibody [EPR26465-40]

Be the first to review this product! Submit a review

|

(2 Publications)

Rabbit Recombinant Monoclonal RIG-I/DDX58 antibody. Suitable for WB, ICC/IF, IP and reacts with Mouse samples. Cited in 2 publications.

View Alternative Names

Ddx58, Rigi, Antiviral innate immune response receptor RIG-I, ATP-dependent RNA helicase DDX58, DEAD box protein 58, RIG-I-like receptor 1, RNA sensor RIG-I, Retinoic acid-inducible gene 1 protein, Retinoic acid-inducible gene I protein, RLR-1, RIG-1, RIG-I

4 Images
Immunocytochemistry/ Immunofluorescence - Anti-RIG-I/DDX58 antibody [EPR26465-40] (AB302778)
  • ICC/IF

Supplier Data

Immunocytochemistry/ Immunofluorescence - Anti-RIG-I/DDX58 antibody [EPR26465-40] (AB302778)

Immunocytochemical/Immunofluorescence analysis of 4% paraformaldehyde fixed, and 0.1% Triton X-100 permeabilized RAW 264.7 (mouse Abelson murine leukemia virus-induced tumor macrophage) cells labeling RIG-I/DDX58 with ab302778 at 1/500 dilution (1.082 μg/ml), followed by preabsorbed ab150081 Goat Anti-Rabbit IgG H&L (Alexa Fluor® 488)  at 1/1000 dilution (2 μg/mL)(Green). Confocal image showing increased cytoplasmic staining in RAW 264.7 cells treated with lipopolysaccharide (1 μg/mL) for 16 h. Counterstained with ab195889 Anti-alpha Tubulin mouse monoclonal antibody - Microtubule Marker (Alexa Fluor® 594) at 1/200 dilution (2.5 μg/ml) (Red).

Immunoprecipitation - Anti-RIG-I/DDX58 antibody [EPR26465-40] (AB302778)
  • IP

Supplier Data

Immunoprecipitation - Anti-RIG-I/DDX58 antibody [EPR26465-40] (AB302778)

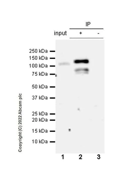
RIG-I/DDX58 was immunoprecipitated from 0.35 mg RAW 264.7 (mouse Abelson murine leukemia virus-induced tumor macrophage) whole cell lysate with ab302778 at 1/30 dilution (2 µg in 0.35 mg lysates). Western blot was performed on the immunoprecipitate using ab302778 at 1/1000 dilution. VeriBlot for IP secondary antibody(HRP)(ab131366) was used at 1/5000 dilution. Lane 1 : RAW 264.7 whole cell lysate 10 μg Lane 2 : ab302778 IP in RAW264.7 whole cell lysate Lane 3 : Rabbit monoclonal IgG (ab172730) instead of ab302778 in RAW264.7 whole cell lysate Blocking and dilution buffer : 5% NFDM/TBST. Exposure time : 128 seconds.  Observed MW (kDa) : 102, 80.

All lanes:

Immunoprecipitation - Anti-RIG-I/DDX58 antibody [EPR26465-40] (ab302778) at 1/30 dilution

All lanes:

RAW264.7 whole cell lysate

Secondary

All lanes:

Immunoprecipitation - VeriBlot for IP Detection Reagent (HRP) (<a href='/en-us/products/reagents/veriblot-for-ip-detection-reagent-hrp-ab131366'>ab131366</a>) at 1/5000 dilution

Observed band size: 102 kDa,80 kDa

false

Exposure time: 128s

Western blot - Anti-RIG-I/DDX58 antibody [EPR26465-40] (AB302778)
  • WB

Supplier Data

Western blot - Anti-RIG-I/DDX58 antibody [EPR26465-40] (AB302778)

Blocking and dilution buffer : 5% NFDM/TBST.

All lanes:

Western blot - Anti-RIG-I/DDX58 antibody [EPR26465-40] (ab302778) at 1/1000 dilution

Lane 1:

NIH/3T3 (mouse embryonic fibroblast) whole cell lysate at 20 µg

Lane 2:

Mouse spleen tissue lysate at 20 µg

Lane 3:

Mouse pancreas tissue lysate at 20 µg

Secondary

All lanes:

Western blot - Goat Anti-Rabbit IgG H&L (HRP) (<a href='/en-us/products/secondary-antibodies/goat-rabbit-igg-h-l-hrp-ab97051'>ab97051</a>) at 1/100000 dilution

Observed band size: 102 kDa

false

Exposure time: 3min

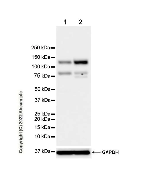
Western blot - Anti-RIG-I/DDX58 antibody [EPR26465-40] (AB302778)
  • WB

Supplier Data

Western blot - Anti-RIG-I/DDX58 antibody [EPR26465-40] (AB302778)

Blocking and dilution buffer : 5% NFDM/TBST.  The expression of RIG-I/DDX58 is upregulated in response to LPS treatment (PMID : 18523264). The expression molecular weight observed is consistent with what has been described in the literature (PMID : 29346611).

All lanes:

Western blot - Anti-RIG-I/DDX58 antibody [EPR26465-40] (ab302778) at 1/1000 dilution

Lane 1:

Untreated RAW 264.7 (mouse Abelson murine leukemia virus-induced tumor macrophage) whole cell lysate at 20 µg

Lane 2:

RAW 264.7 treated with 1ug/ml LPS (lipopolysaccharide) for 16 hours, whole cell lysate at 20 µg

Secondary

All lanes:

Western blot - Goat Anti-Rabbit IgG H&L (HRP) (<a href='/en-us/products/secondary-antibodies/goat-rabbit-igg-h-l-hrp-ab97051'>ab97051</a>) at 1/100000 dilution

Observed band size: 102 kDa,80 kDa

false

Exposure time: 26s

  • Carrier free

    Anti-RIG-I/DDX58 antibody [EPR26465-40] - BSA and Azide free

Key facts

Host species

Rabbit

Clonality

Monoclonal

Clone number

EPR-26465-40

Isotype

IgG

Carrier free

No

Reacts with

Mouse

Applications

ICC/IF, IP, WB

applications

Immunogen

The exact immunogen used to generate this antibody is proprietary information.

Reactivity data

{ "title": "Reactivity Data", "filters": { "stats": ["", "Species", "Dilution Info", "Notes"], "tabs": { "all-applications": {"fullname" : "All Applications", "shortname": "All Applications"}, "WB" : {"fullname" : "Western blot", "shortname":"WB"}, "IHCP" : {"fullname" : "Immunohistochemistry (Formalin/PFA-fixed paraffin-embedded sections)", "shortname":"IHC-P"}, "ICCIF" : {"fullname" : "Immunocytochemistry/ Immunofluorescence", "shortname":"ICC/IF"}, "FlowCytIntra" : {"fullname" : "Flow Cytometry (Intracellular)", "shortname":"Flow Cyt (Intra)"}, "IP" : {"fullname" : "Immunoprecipitation", "shortname":"IP"} }, "product-promise": { "all": "all", "testedAndGuaranteed": "tested", "guaranteed": "expected", "predicted": "predicted", "notRecommended": "not-recommended" } }, "values": { "Human": { "WB-species-checked": "notRecommended", "WB-species-dilution-info": "1/1000", "WB-species-notes": "<p></p>", "IHCP-species-checked": "notRecommended", "IHCP-species-dilution-info": "1/100", "IHCP-species-notes": "<p></p> Perform heat-mediated antigen retrieval with Tris/EDTA buffer pH 9.0 before commencing with IHC staining protocol.", "ICCIF-species-checked": "notRecommended", "ICCIF-species-dilution-info": "1/500", "ICCIF-species-notes": "<p></p>", "FlowCytIntra-species-checked": "notRecommended", "FlowCytIntra-species-dilution-info": "1/500", "FlowCytIntra-species-notes": "<p></p>", "IP-species-checked": "notRecommended", "IP-species-dilution-info": "", "IP-species-notes": "" }, "Mouse": { "WB-species-checked": "testedAndGuaranteed", "WB-species-dilution-info": "1/1000", "WB-species-notes": "<p></p>", "IHCP-species-checked": "notRecommended", "IHCP-species-dilution-info": "1/100", "IHCP-species-notes": "<p></p> Perform heat-mediated antigen retrieval with Tris/EDTA buffer pH 9.0 before commencing with IHC staining protocol.", "ICCIF-species-checked": "testedAndGuaranteed", "ICCIF-species-dilution-info": "1/500", "ICCIF-species-notes": "<p></p>", "FlowCytIntra-species-checked": "notRecommended", "FlowCytIntra-species-dilution-info": "1/500", "FlowCytIntra-species-notes": "<p></p>", "IP-species-checked": "testedAndGuaranteed", "IP-species-dilution-info": "1/30", "IP-species-notes": "<p></p>" }, "Rat": { "WB-species-checked": "notRecommended", "WB-species-dilution-info": "1/1000", "WB-species-notes": "<p></p>", "IHCP-species-checked": "notRecommended", "IHCP-species-dilution-info": "1/100", "IHCP-species-notes": "<p></p> Perform heat-mediated antigen retrieval with Tris/EDTA buffer pH 9.0 before commencing with IHC staining protocol.", "ICCIF-species-checked": "notRecommended", "ICCIF-species-dilution-info": "", "ICCIF-species-notes": "", "FlowCytIntra-species-checked": "notRecommended", "FlowCytIntra-species-dilution-info": "", "FlowCytIntra-species-notes": "", "IP-species-checked": "notRecommended", "IP-species-dilution-info": "", "IP-species-notes": "" } } }

Product details

Patented technology
Our RabMAb® technology is a patented hybridoma-based technology for making rabbit monoclonal antibodies. For details on our patents, please refer to RabMAb® patents.

What are the advantages of a recombinant monoclonal antibody?
This product is a recombinant monoclonal antibody, which offers several advantages including:

  • - High batch-to-batch consistency and reproducibility
  • - Improved sensitivity and specificity
  • - Long-term security of supply
  • - Animal-free batch production

For more information, read more on recombinant antibodies.

Properties and storage information

Form
Liquid
Purification technique
Affinity purification Protein A
Storage buffer
pH: 7.2 - 7.4 Preservative: 0.01% Sodium azide Constituents: PBS, 40% Glycerol (glycerin, glycerine), 0.05% BSA
Shipped at conditions
Blue Ice
Appropriate short-term storage duration
1-2 weeks
Appropriate short-term storage conditions
+4°C
Appropriate long-term storage conditions
-20°C
Aliquoting information
Upon delivery aliquot
Storage information
Avoid freeze / thaw cycle

Supplementary information

This supplementary information is collated from multiple sources and compiled automatically.

RIG-I also known as DDX58 is an important protein with mass of approximately 102 kDa. This protein acts as a cytosolic sensor for viral double-stranded RNA playing an essential role in the detection of viral infections. It is expressed in many cell types including immune and epithelial cells. RIG-I consists of two N-terminal caspase activation and recruitment domains (CARDs) a DExD/H box helicase domain and a C-terminal regulatory domain. These domains enable RIG-I to recognize and bind viral RNA initiating downstream signaling for immune responses.
Biological function summary

RIG-I contributes significantly to the innate immune response. It acts to sense viral RNA and triggers the production of type I interferons and other pro-inflammatory cytokines. This protein functions as part of a complex that includes MAVS (mitochondrial antiviral signaling protein) and other signaling adapters. Upon activation RIG-I undergoes a conformational change leading to the exposure of its CARDs which interact with CARDs of MAVS facilitating downstream signaling to induce an antiviral state in host cells.

Pathways

RIG-I plays a central role in the RNA sensing pathway critical for antiviral immunity. This pathway involves several steps beginning with the recognition of viral RNA leading to the activation of interferon regulatory factors like IRF3 and IRF7 as well as nuclear factor kappa B (NF-κB). These factors then promote the expression of interferon-stimulated genes (ISGs). RIG-I also relates closely to the Jak-STAT signaling pathway which is activated by interferons and enhances the transcription of ISGs further amplifying the antiviral response.

RIG-I is often associated with viral infections such as hepatitis C and influenza. By detecting viral RNA RIG-I activates immune responses that help to control these infections. However dysfunction or aberrations in RIG-I signaling can lead to autoimmune disorders such as Aicardi-Goutières syndrome where there is an inappropriate response to self nucleic acids. In these disease contexts RIG-I interacts with MAVS and indirectly with proteins involved in regulating immune responses such as STING which plays a role in the innate immune response against DNA viruses.

Product protocols

For this product, it's our understanding that no specific protocols are required. You can visit:

Target data

Innate immune receptor that senses cytoplasmic viral nucleic acids and activates a downstream signaling cascade leading to the production of type I interferons and pro-inflammatory cytokines. Forms a ribonucleoprotein complex with viral RNAs on which it homooligomerizes to form filaments. The homooligomerization allows the recruitment of RNF135 an E3 ubiquitin-protein ligase that activates and amplifies the RIG-I-mediated antiviral signaling in an RNA length-dependent manner through ubiquitination-dependent and -independent mechanisms. Upon activation, associates with mitochondria antiviral signaling protein (MAVS/IPS1) that activates the IKK-related kinases TBK1 and IKBKE which in turn phosphorylate the interferon regulatory factors IRF3 and IRF7, activating transcription of antiviral immunological genes including the IFN-alpha and IFN-beta interferons. Ligands include : 5'-triphosphorylated ssRNA and dsRNA and short dsRNA (<1 kb in length). In addition to the 5'-triphosphate moiety, blunt-end base pairing at the 5'-end of the RNA is very essential. Overhangs at the non-triphosphorylated end of the dsRNA RNA have no major impact on its activity. A 3'overhang at the 5'triphosphate end decreases and any 5'overhang at the 5' triphosphate end abolishes its activity. Detects both positive and negative strand RNA viruses including members of the families Paramyxoviridae : Sendai virus (SeV), Rhabdoviridae and Flaviviridae. It also detects rotavirus and orthoreovirus. Also involved in antiviral signaling in response to viruses containing a dsDNA genome. Detects dsRNA produced from non-self dsDNA by RNA polymerase III. May play important roles in granulocyte production and differentiation, bacterial phagocytosis and in the regulation of cell migration.
See full target information Rigi

Publications (2)

Recent publications for all applications. Explore the full list and refine your search

Biochemical genetics : PubMed40392448

2025

A Novel Telomere Maintenance Gene-Related Model for Prognosis Prediction in Gastric Cancer.

Applications

Unspecified application

Species

Unspecified reactive species

Ke-Liang Wang,Xiao-Xia Xi,Jian-Hao Zheng

iScience 26:108463 PubMed38187191

2024

Gasdermin D promotes hyperuricemia-induced renal tubular injury through RIG-I/caspase-1 pathway.

Applications

Unspecified application

Species

Unspecified reactive species

Lisha Ma,Ruiqin Shen,Jie Jiao,Xiadong Lin,Bin Zhai,Aiping Xu,Hao Luo,Limin Lu,Decui Shao
View all publications

Product promise

We are committed to supporting your work with high-quality reagents, and we're here for you every step of the way. In the unlikely event that one of our products does not perform as expected, you're protected by our Product Promise.
For full details, please see our Terms & Conditions

Please note: All products are 'FOR RESEARCH USE ONLY. NOT FOR USE IN DIAGNOSTIC OR THERAPEUTIC PROCEDURES'.

For licensing inquiries, please contact partnerships@abcam.com