JavaScript is disabled in your browser. Please enable JavaScript to view this website.
AB251701

Anti-RIL antibody

Be the first to review this product! Submit a review

|

(2 Publications)

Rabbit Polyclonal RIL antibody. Suitable for IHC-P, WB, ICC/IF and reacts with Human, Mouse, Rat samples. Cited in 2 publications. Immunogen corresponding to Recombinant Fragment Protein within Human PDLIM4 aa 1-150.

View Alternative Names

RIL, PDLIM4, PDZ and LIM domain protein 4, LIM protein RIL, Reversion-induced LIM protein

6 Images
Immunohistochemistry (Formalin/PFA-fixed paraffin-embedded sections) - Anti-RIL antibody (AB251701)
  • IHC-P

Supplier Data

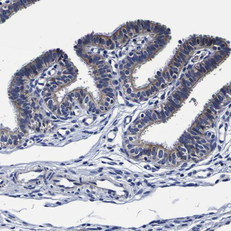
Immunohistochemistry (Formalin/PFA-fixed paraffin-embedded sections) - Anti-RIL antibody (AB251701)

Formalin-fixed, paraffin-embedded human fallopian tube tissue stained for PDLIM4 with ab251701 at a 1/20 dilution in immunohistochemical analysis.

Immunohistochemistry (Formalin/PFA-fixed paraffin-embedded sections) - Anti-RIL antibody (AB251701)
  • IHC-P

Supplier Data

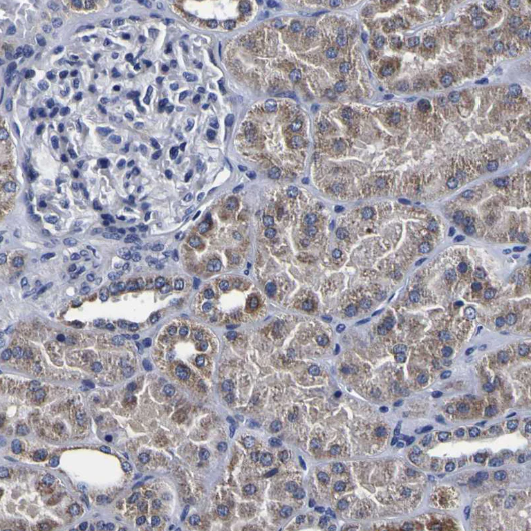
Immunohistochemistry (Formalin/PFA-fixed paraffin-embedded sections) - Anti-RIL antibody (AB251701)

Formalin-fixed, paraffin-embedded human kidney tissue stained for PDLIM4 with ab251701 at a 1/20 dilution in immunohistochemical analysis.

Immunocytochemistry/ Immunofluorescence - Anti-RIL antibody (AB251701)
  • ICC/IF

Unknown

Immunocytochemistry/ Immunofluorescence - Anti-RIL antibody (AB251701)

PFA-fixed, Triton X-100 permeabilized U-2 OS (human bone osteosarcoma epithelial cell line) cells stained for RIL (green) using ab251701 at 4 µg/ml in ICC/IF.

Immunohistochemistry (Formalin/PFA-fixed paraffin-embedded sections) - Anti-RIL antibody (AB251701)
  • IHC-P

Supplier Data

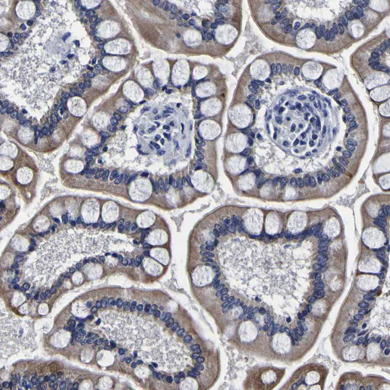
Immunohistochemistry (Formalin/PFA-fixed paraffin-embedded sections) - Anti-RIL antibody (AB251701)

Formalin-fixed, paraffin-embedded human small intestine tissue stained for PDLIM4 with ab251701 at a 1/20 dilution in immunohistochemical analysis.

Western blot - Anti-RIL antibody (AB251701)
  • WB

Unknown

Western blot - Anti-RIL antibody (AB251701)

All lanes:

Western blot - Anti-RIL antibody (ab251701) at 0.4 µg/mL

All lanes:

RH-30 (Human cell line) cell lysate

Predicted band size: 35 kDa

false

Western blot - Anti-RIL antibody (AB251701)
  • WB

Unknown

Western blot - Anti-RIL antibody (AB251701)

All lanes:

Western blot - Anti-RIL antibody (ab251701) at 0.4 µg/mL

Lane 1:

NIH/3T3 (Mouse embryo fibroblast cell line) cell lysate

Lane 2:

NBT-II (Rat cell line) cell lysate

Predicted band size: 35 kDa

false

Key facts

Host species

Rabbit

Clonality

Polyclonal

Isotype

IgG

Carrier free

No

Reacts with

Human, Mouse, Rat

Applications

WB, ICC/IF, IHC-P

applications

Immunogen

Recombinant Fragment Protein within Human PDLIM4 aa 1-150. The exact immunogen used to generate this antibody is proprietary information.

P50479

Reactivity data

{ "title": "Reactivity Data", "filters": { "stats": ["", "Species", "Dilution Info", "Notes"], "tabs": { "all-applications": {"fullname" : "All Applications", "shortname": "All Applications"}, "IHCP" : {"fullname" : "Immunohistochemistry (Formalin/PFA-fixed paraffin-embedded sections)", "shortname":"IHC-P"}, "WB" : {"fullname" : "Western blot", "shortname":"WB"}, "ICCIF" : {"fullname" : "Immunocytochemistry/ Immunofluorescence", "shortname":"ICC/IF"} }, "product-promise": { "all": "all", "testedAndGuaranteed": "tested", "guaranteed": "expected", "predicted": "predicted", "notRecommended": "not-recommended" } }, "values": { "Human": { "IHCP-species-checked": "testedAndGuaranteed", "IHCP-species-dilution-info": "1/20 - 1/50", "IHCP-species-notes": "<p></p> Perform heat-mediated antigen retrieval with citrate buffer pH 6 before commencing with IHC staining protocol.", "WB-species-checked": "testedAndGuaranteed", "WB-species-dilution-info": "0.04-0.4 µg/mL", "WB-species-notes": "<p></p>", "ICCIF-species-checked": "testedAndGuaranteed", "ICCIF-species-dilution-info": "0.25-2 µg/mL", "ICCIF-species-notes": "<p>Fixation/Permeabilization: PFA/Triton X-100.</p>" }, "Mouse": { "IHCP-species-checked": "guaranteed", "IHCP-species-dilution-info": "", "IHCP-species-notes": "", "WB-species-checked": "testedAndGuaranteed", "WB-species-dilution-info": "0.04-0.4 µg/mL", "WB-species-notes": "<p></p>", "ICCIF-species-checked": "guaranteed", "ICCIF-species-dilution-info": "", "ICCIF-species-notes": "" }, "Rat": { "IHCP-species-checked": "guaranteed", "IHCP-species-dilution-info": "", "IHCP-species-notes": "", "WB-species-checked": "testedAndGuaranteed", "WB-species-dilution-info": "0.04-0.4 µg/mL", "WB-species-notes": "<p></p>", "ICCIF-species-checked": "guaranteed", "ICCIF-species-dilution-info": "", "ICCIF-species-notes": "" }, "Cow": { "IHCP-species-checked": "predicted", "IHCP-species-dilution-info": "", "IHCP-species-notes": "", "WB-species-checked": "predicted", "WB-species-dilution-info": "", "WB-species-notes": "", "ICCIF-species-checked": "predicted", "ICCIF-species-dilution-info": "", "ICCIF-species-notes": "" } } }

Properties and storage information

Form
Liquid
Purification technique
Affinity purification Immunogen
Storage buffer
pH: 7.2 Preservative: 0.02% Sodium azide Constituents: PBS, 40% Glycerol (glycerin, glycerine)
Shipped at conditions
Blue Ice
Appropriate short-term storage duration
1-2 weeks
Appropriate short-term storage conditions
+4°C
Appropriate long-term storage conditions
-20°C
Aliquoting information
Upon delivery aliquot
Storage information
Avoid freeze / thaw cycle

Supplementary information

This supplementary information is collated from multiple sources and compiled automatically.

RIL also known as PDZ and LIM domain protein 4 (PDLIM4) is a cytoskeletal protein playing a role in linking actin filaments and signaling pathways. It has a mass of approximately 39 kDa. RIL expresses in various tissues including the heart skeletal muscle and the brain. Through its PDZ domain RIL interacts with other proteins influencing structural and signaling functions.
Biological function summary

RIL has a role in maintaining cellular structure and dynamics. It participates in cytoskeletal organization helping stabilize actin filaments within cells. RIL associates with other LIM domain proteins to form complexes that integrate signals directed to the cytoskeleton contributing to cellular integrity and response to environmental cues. It also interacts with alpha-actinin and other cytoskeletal-associated proteins supporting cellular morphology and motility.

Pathways

The protein supports cellular architecture and signaling. It plays roles in the actin cytoskeleton regulatory pathway and the focal adhesion pathway. RIL works alongside proteins such as alpha-actinin and integrins to ensure proper signal transduction and cellular structural organization. Its interaction within these pathways helps in transmitting mechanical and chemical signals essential for cellular responses and adaptations.

RIL links to the development of certain cancers and cardiac diseases. Alterations in RIL expression may influence tumor progression and metastasis due to its interactions with cytoskeletal elements. In cardiac disorders RIL's connection with proteins like integrins could lead to abnormal heart muscle function contributing to conditions such as cardiomyopathy. Increased or decreased RIL levels impact cellular signaling and structural stability underpinning its role in disease mechanisms.

Product protocols

For this product, it's our understanding that no specific protocols are required. You can visit:

Target data

Isoform 1. Suppresses SRC activation by recognizing and binding to active SRC and facilitating PTPN13-mediated dephosphorylation of SRC 'Tyr-419' leading to its inactivation. Inactivated SRC dissociates from this protein allowing the initiation of a new SRC inactivation cycle (PubMed : 19307596). Involved in reorganization of the actin cytoskeleton (PubMed : 21636573). In nonmuscle cells, binds to ACTN1 (alpha-actinin-1), increases the affinity of ACTN1 to F-actin (filamentous actin), and promotes formation of actin stress fibers. Involved in regulation of the synaptic AMPA receptor transport in dendritic spines of hippocampal pyramidal neurons directing the receptors toward an insertion at the postsynaptic membrane. Links endosomal surface-internalized GRIA1-containing AMPA receptors to the alpha-actinin/actin cytoskeleton. Increases AMPA receptor-mediated excitatory postsynaptic currents in neurons (By similarity).. Isoform 2. Involved in reorganization of the actin cytoskeleton and in regulation of cell migration. In response to oxidative stress, binds to NQO1, which stabilizes it and protects it from ubiquitin-independent degradation by the core 20S proteasome. Stabilized protein is able to heterodimerize with isoform 1 changing the subcellular location of it from cytoskeleton and nuclei to cytosol, leading to loss of isoforms 1 ability to induce formation of actin stress fibers. Counteracts the effects produced by isoform 1 on organization of actin cytoskeleton and cell motility to fine-tune actin cytoskeleton rearrangement and to attenuate cell migration.
See full target information PDLIM4

Publications (2)

Recent publications for all applications. Explore the full list and refine your search

Nucleic acids research 52:2273-2289 PubMed38118002

2023

Histone lactylation-boosted ALKBH3 potentiates tumor progression and diminished promyelocytic leukemia protein nuclear condensates by m1A demethylation of SP100A.

Applications

Unspecified application

Species

Unspecified reactive species

Xiang Gu,Ai Zhuang,Jie Yu,Ludi Yang,Shengfang Ge,Jing Ruan,Renbing Jia,Xianqun Fan,Peiwei Chai

International journal of molecular sciences 24: PubMed37958809

2023

mRNA and Protein Expression in Human Fetal Membrane Cells: Potential Biomarkers for Preterm Prelabor Rupture of the Fetal Membranes?

Applications

Unspecified application

Species

Unspecified reactive species

Emmeli Mikkelsen,Berthold Huppertz,Ripudaman Singh,Katarina Ravn,Lotte Hatt,Mogens Kruhøffer,Rheanna Urrabaz-Garza,Niels Uldbjerg,Ramkumar Menon,Torben Steiniche
View all publications

Product promise

We are committed to supporting your work with high-quality reagents, and we're here for you every step of the way. In the unlikely event that one of our products does not perform as expected, you're protected by our Product Promise.
For full details, please see our Terms & Conditions

Please note: All products are 'FOR RESEARCH USE ONLY. NOT FOR USE IN DIAGNOSTIC OR THERAPEUTIC PROCEDURES'.

For licensing inquiries, please contact partnerships@abcam.com