JavaScript is disabled in your browser. Please enable JavaScript to view this website.
AB307295

Anti-RILPL1 antibody [MJF-R41-21] - Mouse IgG2a (Chimeric) - BSA and Azide free

Be the first to review this product! Submit a review

|

(0 Publication)

Mouse Recombinant Monoclonal RILPL1 antibody. Carrier free. Suitable for WB, ICC/IF, IP and reacts with Human, Mouse, Rat samples.

View Alternative Names

RLP1, RILPL1, RILP-like protein 1, Rab-interacting lysosomal-like protein 1

8 Images
Immunocytochemistry/ Immunofluorescence - Anti-RILPL1 antibody [MJF-R41-21] - Mouse IgG2a (Chimeric) - BSA and Azide free (AB307295)
  • ICC/IF

Supplier Data

Immunocytochemistry/ Immunofluorescence - Anti-RILPL1 antibody [MJF-R41-21] - Mouse IgG2a (Chimeric) - BSA and Azide free (AB307295)

This data was developed using ab307294, the same antibody clone in a different buffer formulation. Immunofluorescent analysis of 4% Paraformaldehyde-fixed, 0.1% Triton X-100 permeabilized SH-SY5Y (human neuroblastoma epithelial cell) cells labeling RILPL1 with ab307294 at 1/500 dilution, followed by ab98712 Goat Anti-Mouse IgG Fc (DyLight® 488) preadsorbed antibody at 1/1000 dilution (2 µg/ml) (Green). Confocal image showing centrosome and cytoplasmic staining in SH-SY5Y cell line. Low expression : U-937. ab179513 Anti-beta Tubulin rabbit monoclonal antibody was used to counterstain tubulin at 1/200 dilution (10µg/ml) followed by ab150080 Goat Anti-Rabbit IgG H&L (Alexa Fluor® 594) at a 1/400 dilution (4 µg/ml) (Red). The nuclear counterstain was DAPI (Blue). -ve control 1 : ab307294 at a 1/500 dilution followed by ab150080 at a 1/500 dilution. -ve control 2 : ab179513 at a 1/200 dilution followed by ab98712 at a 1/1000 dilution.

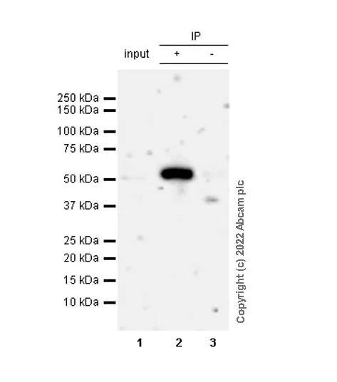
Immunoprecipitation - Anti-RILPL1 antibody [MJF-R41-21] - Mouse IgG2a (Chimeric) - BSA and Azide free (AB307295)
  • IP

Supplier Data

Immunoprecipitation - Anti-RILPL1 antibody [MJF-R41-21] - Mouse IgG2a (Chimeric) - BSA and Azide free (AB307295)

This data was produced using ab307294 the same antibody clone but in a different formulation.

RILPL1 was immunoprecipitated from 0.35 mg A549 (human lung carcinoma epithelial cell) whole cell lysate 10 µg with ab307294 at 1/30 dilution (2µg in 0.35mg lysates). Western blot was performed on the immunoprecipitate using ab307294 at dilution. VeriBlot for IP secondary antibody(HRP)(ab131366) was used at 1/5000 dilution.

Lane 1 : A549 whole cell lysate 10 µg

Lane 2 : ab307294 at 1/30 IP in A549 whole cell lysate 10 µg

Lane 3 : Mouse IgG2a Isotype control (ab18413) instead of ab307294 in A549 whole cell lysate

Blocking and dilution buffer and concentration : 5% NFDM/TBST.

This blot was developed using a high sensitivity ECL substrate. The high-sensitivity ECL substrate used allows for the detection of proteins in the mid-femtogram range.

All lanes:

Immunoprecipitation - Anti-RILPL1 antibody [MJF-R41-21] - Mouse IgG2a (Chimeric) (<a href='/en-us/products/primary-antibodies/rilpl1-antibody-mjf-r41-21-mouse-igg2a-chimeric-ab307294'>ab307294</a>) at 1/1000 dilution

Lane 1:

A549 (human lung carcinoma epithelial cell) at 10 µg

Lane 2:

<a href='/en-us/products/primary-antibodies/rilpl1-antibody-mjf-r41-21-mouse-igg2a-chimeric-ab307294'>ab307294</a> at 1/30 IP in A549 (human lung carcinoma epithelial cell) at 10 µg

Secondary

All lanes:

Immunoprecipitation - VeriBlot for IP Detection Reagent (HRP) (<a href='/en-us/products/reagents/veriblot-for-ip-detection-reagent-hrp-ab131366'>ab131366</a>) at 1/5000 dilution

Observed band size: 47 kDa

true

Exposure time: 3min

Immunocytochemistry/ Immunofluorescence - Anti-RILPL1 antibody [MJF-R41-21] - Mouse IgG2a (Chimeric) - BSA and Azide free (AB307295)
  • ICC/IF

Supplier Data

Immunocytochemistry/ Immunofluorescence - Anti-RILPL1 antibody [MJF-R41-21] - Mouse IgG2a (Chimeric) - BSA and Azide free (AB307295)

This data was developed using ab307294, the same antibody clone in a different buffer formulation. Immunofluorescent analysis of 4% Paraformaldehyde-fixed, 0.1% Triton X-100 permeabilized Neuro-2a (mouse neuroblastoma neuroblast) cells labeling RILPL1 with ab307294 at 1/500 dilution, followed by ab98712 Goat Anti-Mouse IgG Fc (DyLight® 488) preadsorbed antibody at 1/1000 dilution (2 µg/ml) (Green). Confocal image showing centrosome staining in Neuro-2a cell line. ab179513 Anti-beta Tubulin rabbit monoclonal antibody was used to counterstain tubulin at 1/200 dilution (10µg/ml) followed by ab150080 Goat Anti-Rabbit IgG H&L (Alexa Fluor® 594) at a 1/400 dilution (4 µg/ml) (Red). The nuclear counterstain was DAPI (Blue). -ve control 1 : ab307294 at a 1/500 dilution followed by ab150080 at a 1/500 dilution. -ve control 2 : ab179513 at a 1/200 dilution followed by ab98712 at a 1/1000 dilution.

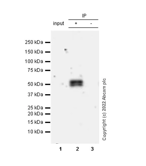
Immunoprecipitation - Anti-RILPL1 antibody [MJF-R41-21] - Mouse IgG2a (Chimeric) - BSA and Azide free (AB307295)
  • IP

Supplier Data

Immunoprecipitation - Anti-RILPL1 antibody [MJF-R41-21] - Mouse IgG2a (Chimeric) - BSA and Azide free (AB307295)

This data was produced using ab307294 the same antibody clone but in a different formulation.

RILPL1 was immunoprecipitated from 0.35 mg rat brain tissue lysate 10 µg with ab307294 at 1/30 dilution (2µg in 0.35mg lysates). Western blot was performed on the immunoprecipitate using ab307294 at dilution. VeriBlot for IP secondary antibody(HRP)(ab131366) was used at 1/5000 dilution.

Lane 1 : Rat brain tissue lysate 10 µg

Lane 2 : ab307294 at 1/30 IP in rat brain tissue lysate 10 µg

Lane 3 : Mouse IgG2a Isotype control (ab18413) instead of ab307294 in rat brain tissue lysate

Blocking and dilution buffer and concentration : 5% NFDM/TBST.

This blot was developed using a high sensitivity ECL substrate. The high-sensitivity ECL substrate used allows for the detection of proteins in the mid-femtogram range.

All lanes:

Immunoprecipitation - Anti-RILPL1 antibody [MJF-R41-21] - Mouse IgG2a (Chimeric) (<a href='/en-us/products/primary-antibodies/rilpl1-antibody-mjf-r41-21-mouse-igg2a-chimeric-ab307294'>ab307294</a>) at 1/1000 dilution

Lane 1:

Rat brain tissue lysate at 10 µg

Lane 2:

<a href='/en-us/products/primary-antibodies/rilpl1-antibody-mjf-r41-21-mouse-igg2a-chimeric-ab307294'>ab307294</a> at 1/30 IP in rat brain tissue lysate at 10 µg

Secondary

All lanes:

Immunoprecipitation - VeriBlot for IP Detection Reagent (HRP) (<a href='/en-us/products/reagents/veriblot-for-ip-detection-reagent-hrp-ab131366'>ab131366</a>) at 1/5000 dilution

Observed band size: 47 kDa

true

Exposure time: 3min

Immunoprecipitation - Anti-RILPL1 antibody [MJF-R41-21] - Mouse IgG2a (Chimeric) - BSA and Azide free (AB307295)
  • IP

Supplier Data

Immunoprecipitation - Anti-RILPL1 antibody [MJF-R41-21] - Mouse IgG2a (Chimeric) - BSA and Azide free (AB307295)

This data was produced using ab307294 the same antibody clone but in a different formulation.

RILPL1 was immunoprecipitated from 0.35 mg mouse brain tissue lysate 10 µg with ab307294 at 1/30 dilution (2µg in 0.35mg lysates). Western blot was performed on the immunoprecipitate using ab307294 at dilution. VeriBlot for IP secondary antibody(HRP)(ab131366) was used at 1/5000 dilution.

Lane 1 : Mouse brain tissue lysate 10 µg

Lane 2 : ab307294 at 1/30 IP in mouse brain tissue lysate 10 µg

Lane 3 : Mouse IgG2a Isotype control (ab18413) instead of ab307294 in mouse brain tissue lysate

Blocking and dilution buffer and concentration : 5% NFDM/TBST.

This blot was developed using a high sensitivity ECL substrate. The high-sensitivity ECL substrate used allows for the detection of proteins in the mid-femtogram range.

All lanes:

Immunoprecipitation - Anti-RILPL1 antibody [MJF-R41-21] - Mouse IgG2a (Chimeric) (<a href='/en-us/products/primary-antibodies/rilpl1-antibody-mjf-r41-21-mouse-igg2a-chimeric-ab307294'>ab307294</a>) at 1/1000 dilution

Lane 1:

Mouse brain tissue lysate at 10 µg

Lanes 1 - 2:

<a href='/en-us/products/primary-antibodies/rilpl1-antibody-mjf-r41-21-mouse-igg2a-chimeric-ab307294'>ab307294</a> at 1/30 IP in mouse brain tissue lysate at 10 µg

Secondary

All lanes:

Immunoprecipitation - VeriBlot for IP Detection Reagent (HRP) (<a href='/en-us/products/reagents/veriblot-for-ip-detection-reagent-hrp-ab131366'>ab131366</a>) at 1/5000 dilution

Observed band size: 47 kDa

true

Exposure time: 3min

Western blot - Anti-RILPL1 antibody [MJF-R41-21] - Mouse IgG2a (Chimeric) - BSA and Azide free (AB307295)
  • WB

Supplier Data

Western blot - Anti-RILPL1 antibody [MJF-R41-21] - Mouse IgG2a (Chimeric) - BSA and Azide free (AB307295)

This data was developed using ab307294, the same antibody clone in a different buffer formulation.

Blocking and diluting buffer and concentration : 5% NFDM/TBST.

Low expression : U937 (Human Protein Atlas).

This blot was developed using a high sensitivity ECL substrate. The high-sensitivity ECL substrate used allows for the detection of proteins in the mid-femtogram range.

All lanes:

Western blot - Anti-RILPL1 antibody [MJF-R41-21] - Mouse IgG2a (Chimeric) (<a href='/en-us/products/primary-antibodies/rilpl1-antibody-mjf-r41-21-mouse-igg2a-chimeric-ab307294'>ab307294</a>) at 1/1000 dilution

Lane 1:

SH-SY5Y (human neuroblastoma epithelial cell), whole cell lysate at 20 µg

Lane 2:

HEK-293 (human embryonic kidney epithelial cell), whole cell lysate at 20 µg

Lane 3:

U937 (human histiocytic lymphoma monocyte), whole cell lysate at 20 µg

Lane 4:

Human cerebellum tissue lysate at 20 µg

Secondary

All lanes:

Western blot - Goat Anti-Mouse IgG Fc (HRP) preadsorbed (<a href='/en-us/products/secondary-antibodies/goat-mouse-igg-fc-hrp-preadsorbed-ab98717'>ab98717</a>) at 1/20000 dilution

Observed band size: 47 kDa

true

Exposure time: 81s

Western blot - Anti-RILPL1 antibody [MJF-R41-21] - Mouse IgG2a (Chimeric) - BSA and Azide free (AB307295)
  • WB

Supplier Data

Western blot - Anti-RILPL1 antibody [MJF-R41-21] - Mouse IgG2a (Chimeric) - BSA and Azide free (AB307295)

This data was developed using ab307294, the same antibody clone in a different buffer formulation. Blocking and diluting buffer and concentration : 5% NFDM/TBST. In Western blot, ab307294 was shown to bind specifically to RILPL1. A band was observed at 47 kDa in wild-type A549 cell lysates with whereas no signal observed at this size in RILPL1 knockout cell line. Wild-type and RILPL1 knockout A549 cell lysates were kindly provided by Dr. Dario Alessi, University of Dundee. Exposure time : 3 minutes.

All lanes:

Western blot - Anti-RILPL1 antibody [MJF-R41-21] - Mouse IgG2a (Chimeric) (<a href='/en-us/products/primary-antibodies/rilpl1-antibody-mjf-r41-21-mouse-igg2a-chimeric-ab307294'>ab307294</a>) at 1/1000 dilution

Lane 1:

Wild-type A549 (human lung carcinoma epithelial cell), whole cell lysate 20 μg at 20 µg

Lane 2:

RILPL1 knockout A549 (human lung carcinoma epithelial cell), whole cell lysate 20 μg at 20 µg

Lane 3:

HeLa (human cervix adenocarcinoma epithelial cell), whole cell lysate 20 μg at 20 µg

Lane 4:

MEF (mouse embryonic fibroblast (immortalized)), whole cell lysate 20 μg at 20 µg

Secondary

All lanes:

Western blot - Goat Anti-Mouse IgG Fc (HRP) preadsorbed (<a href='/en-us/products/secondary-antibodies/goat-mouse-igg-fc-hrp-preadsorbed-ab98717'>ab98717</a>) at 1/20000 dilution

Observed band size: 47 kDa

false

Exposure time: 3min

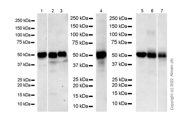
Western blot - Anti-RILPL1 antibody [MJF-R41-21] - Mouse IgG2a (Chimeric) - BSA and Azide free (AB307295)
  • WB

Supplier Data

Western blot - Anti-RILPL1 antibody [MJF-R41-21] - Mouse IgG2a (Chimeric) - BSA and Azide free (AB307295)

This data was developed using ab307294, the same antibody clone in a different buffer formulation.

Blocking and diluting buffer and concentration : 5% NFDM/TBST.

This blot was developed using a high sensitivity ECL substrate. The high-sensitivity ECL substrate used allows for the detection of proteins in the mid-femtogram range.

Exposure time :

Lane 1-4 : 180 seconds

Lanes 5-7 : 125 seconds

All lanes:

Western blot - Anti-RILPL1 antibody [MJF-R41-21] - Mouse IgG2a (Chimeric) (<a href='/en-us/products/primary-antibodies/rilpl1-antibody-mjf-r41-21-mouse-igg2a-chimeric-ab307294'>ab307294</a>) at 1/1000 dilution

Lane 1:

C6 (rat glial tumor cell), whole cell lysate at 10 µg

Lane 2:

PC-12 (rat adrenal gland pheochromocytoma), whole cell lysate at 10 µg

Lane 3:

NIH/3T3 (mouse embryonic fibroblast), whole cell lysate at 10 µg

Lane 4:

Rat brain tissue lysate at 10 µg

Lane 5:

Mouse brain tissue lysate at 10 µg

Lane 6:

Mouse heart tissue lysate at 10 µg

Lane 7:

Mouse spleen tissue lysate at 10 µg

Secondary

All lanes:

Western blot - Goat Anti-Mouse IgG Fc (HRP) preadsorbed (<a href='/en-us/products/secondary-antibodies/goat-mouse-igg-fc-hrp-preadsorbed-ab98717'>ab98717</a>) at 1/20000 dilution

Observed band size: 47 kDa

true

  • Unconjugated

    Anti-RILPL1 antibody [MJF-R41-21] - Mouse IgG2a (Chimeric)

Key facts

Host species

Mouse

Clonality

Monoclonal

Clone number

MJF-R41-21

Isotype

IgG2a

Carrier free

Yes

Reacts with

Human, Mouse, Rat

Applications

WB, IP, ICC/IF

applications

Immunogen

The exact immunogen used to generate this antibody is proprietary information.

Reactivity data

{ "title": "Reactivity Data", "filters": { "stats": ["", "Species", "Dilution Info", "Notes"], "tabs": { "all-applications": {"fullname" : "All Applications", "shortname": "All Applications"}, "WB" : {"fullname" : "Western blot", "shortname":"WB"}, "ICCIF" : {"fullname" : "Immunocytochemistry/ Immunofluorescence", "shortname":"ICC/IF"}, "IP" : {"fullname" : "Immunoprecipitation", "shortname":"IP"} }, "product-promise": { "all": "all", "testedAndGuaranteed": "tested", "guaranteed": "expected", "predicted": "predicted", "notRecommended": "not-recommended" } }, "values": { "Human": { "WB-species-checked": "testedAndGuaranteed", "WB-species-dilution-info": "", "WB-species-notes": "<p></p>", "ICCIF-species-checked": "testedAndGuaranteed", "ICCIF-species-dilution-info": "", "ICCIF-species-notes": "<p></p>", "IP-species-checked": "testedAndGuaranteed", "IP-species-dilution-info": "", "IP-species-notes": "<p></p>" }, "Mouse": { "WB-species-checked": "testedAndGuaranteed", "WB-species-dilution-info": "", "WB-species-notes": "<p></p>", "ICCIF-species-checked": "testedAndGuaranteed", "ICCIF-species-dilution-info": "", "ICCIF-species-notes": "<p></p>", "IP-species-checked": "testedAndGuaranteed", "IP-species-dilution-info": "", "IP-species-notes": "<p></p>" }, "Rat": { "WB-species-checked": "testedAndGuaranteed", "WB-species-dilution-info": "", "WB-species-notes": "<p></p>", "ICCIF-species-checked": "guaranteed", "ICCIF-species-dilution-info": "", "ICCIF-species-notes": "", "IP-species-checked": "testedAndGuaranteed", "IP-species-dilution-info": "", "IP-species-notes": "<p></p>" } } }

Product details

ab307295 is a carrier free version of ab307294.

This mouse monoclonal chimeric antibody has been engineered from a RabMAb parent antibody (ab302492). By necessity, some rabbit sequence is retained as part of the variable domain. When multiplexing with other rabbit-derived antibodies, using cross absorbed FC-reactive secondary antibodies are recommended.

What are the advantages of a recombinant monoclonal antibody?
This product is a recombinant monoclonal antibody, which offers several advantages including:

  • - High batch-to-batch consistency and reproducibility
  • - Improved sensitivity and specificity
  • - Long-term security of supply
  • - Animal-free batch production

For more information, read more on recombinant antibodies.

Conjugation ready
Our carrier-free antibodies are typically supplied in a PBS-only formulation, purified and free of BSA, sodium azide and glycerol. This conjugation-ready format is designed for use with fluorochromes, metal isotopes, oligonucleotides, and enzymes, which makes them ideal for antibody labelling, functional and cell-based assays, flow-based assays (e.g. mass cytometry) and Multiplex Imaging applications.

Use our conjugation kits for antibody conjugates that are ready-to-use in as little as 20 minutes with 1 minute hands-on-time and 100% antibody recovery: available for fluorescent dyes, HRP, biotin and gold.

Properties and storage information

Form
Liquid
Purification technique
Affinity purification Protein A
Storage buffer
pH: 7.2 - 7.4 Constituents: PBS
Shipped at conditions
Blue Ice
Appropriate short-term storage conditions
+4°C
Appropriate long-term storage conditions
+4°C
Storage information
Do Not Freeze

Supplementary information

This supplementary information is collated from multiple sources and compiled automatically.

RILPL1 also known as Rab interacting lysosomal protein-like 1 is a protein involved in cellular processes related to lysosomal trafficking. It has a molecular weight of approximately 45 kDa. RILPL1 expresses itself in a variety of tissues notably in the brain. The protein plays a significant role in intracellular transport mechanisms specifically in modulating the interaction between lysosomal structures and other cellular components.
Biological function summary

RILPL1 influences neuronal functions and is implicated in the regulation of ciliogenesis and other cellular morphogenesis processes. It often associates with components of the cytoskeletal network acting within protein complexes that contribute to cell shape and stability. This involves aiding in processes like axon transport which is critical for maintaining neuronal connectivity and function across different regions of the brain.

Pathways

RILPL1 is a part of cellular pathways involving lysosome positioning and transport. It interacts with motor proteins such as dynein and kinesin essential for microtubule-based movement. RILPL1's role in these pathways highlights its contribution to maintaining lysosomal homeostasis and transportation impacting processes like autophagy and endocytosis.

RILPL1 has been linked to neurodegenerative diseases like Huntington’s disease where disruption of lysosomal trafficking can lead to cellular pathology. The protein's interaction with the Huntingtin protein suggests its involvement in pathways that when dysregulated contribute to disease progression. Additionally irregularities in RILPL1 function may relate to ciliopathies disorders affecting cilia formation and function due to its role in driving key processes in neuronal cells.

Product protocols

For this product, it's our understanding that no specific protocols are required. You can visit:

Target data

Plays a role in the regulation of cell shape and polarity (By similarity). Plays a role in cellular protein transport, including protein transport away from primary cilia (By similarity). Neuroprotective protein, which acts by sequestring GAPDH in the cytosol and prevent the apoptotic function of GAPDH in the nucleus (By similarity). Competes with SIAH1 for binding GAPDH (By similarity). Does not regulate lysosomal morphology and distribution (PubMed : 14668488). Binds to RAB10 following LRRK2-mediated RAB10 phosphorylation which leads to inhibition of ciliogenesis (PubMed : 30398148).
See full target information RILPL1

Product promise

We are committed to supporting your work with high-quality reagents, and we're here for you every step of the way. In the unlikely event that one of our products does not perform as expected, you're protected by our Product Promise.
For full details, please see our Terms & Conditions

Please note: All products are 'FOR RESEARCH USE ONLY. NOT FOR USE IN DIAGNOSTIC OR THERAPEUTIC PROCEDURES'.

For licensing inquiries, please contact partnerships@abcam.com