JavaScript is disabled in your browser. Please enable JavaScript to view this website.
AB101273

Anti-RING2 / RING1B / RNF2 antibody

5

(1 Review)

|

(20 Publications)

Rabbit Polyclonal RING2 / RING1B / RNF2 antibody. Suitable for IHC-P, IP, WB, ICC/IF, ChIP-seq and reacts with Human, Mouse samples. Cited in 20 publications. Immunogen corresponding to Synthetic Peptide within Human RNF2 aa 150-200.

View Alternative Names

BAP1, DING, HIPI3, RING1B, RNF2, E3 ubiquitin-protein ligase RING2, Huntingtin-interacting protein 2-interacting protein 3, Protein DinG, RING finger protein 1B, RING finger protein 2, RING finger protein BAP-1, RING-type E3 ubiquitin transferase RING2, HIP2-interacting protein 3, RING1b

3 Images
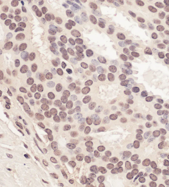
Immunohistochemistry (Formalin/PFA-fixed paraffin-embedded sections) - Anti-RING2 / RING1B / RNF2 antibody (AB101273)
  • IHC-P

Unknown

Immunohistochemistry (Formalin/PFA-fixed paraffin-embedded sections) - Anti-RING2 / RING1B / RNF2 antibody (AB101273)

Immunohistochemistry (Formalin/PFA-fixed paraffin-embedded sections) analysis of human prostate carcinoma tissue labelling RING2 / RING1B / RNF2 with ab101273 at 1/1000 (1µg/ml).

Immunoprecipitation - Anti-RING2 / RING1B / RNF2 antibody (AB101273)
  • IP

Unknown

Immunoprecipitation - Anti-RING2 / RING1B / RNF2 antibody (AB101273)

Detection of RING2 / RING1B / RNF2 in Immunoprecipitates of K562 whole cell lysate (1 mg for IP, 20% of IP loaded) using ab101273 at 3 µg/mg lysate for IP and at 1 µg/ml for subsequent Western blot detection. Detection : Chemiluminescence with an exposure time of 30 seconds.

All lanes:

Immunoprecipitation - Anti-RING2 / RING1B / RNF2 antibody (ab101273)

Predicted band size: 37 kDa

false

Western blot - Anti-RING2 / RING1B / RNF2 antibody (AB101273)
  • WB

Unknown

Western blot - Anti-RING2 / RING1B / RNF2 antibody (AB101273)

All lanes:

Western blot - Anti-RING2 / RING1B / RNF2 antibody (ab101273) at 0.1 µg/mL

Lane 1:

K562 whole cell lysate at 50 µg

Lane 2:

K562 whole cell lysate at 15 µg

Lane 3:

K562 whole cell lysate at 5 µg

Lane 4:

293T whole cell lysate at 50 µg

Lane 5:

NIH3T3 whole cell lysate at 50 µg

Predicted band size: 37 kDa

true

Exposure time: 30s

Key facts

Host species

Rabbit

Clonality

Polyclonal

Isotype

IgG

Carrier free

No

Reacts with

Mouse, Human

Applications

IP, ICC/IF, WB, IHC-P, ChIP-seq

applications

Immunogen

Synthetic Peptide within Human RNF2 aa 150-200. The exact immunogen used to generate this antibody is proprietary information.

Q99496

Reactivity data

{ "title": "Reactivity Data", "filters": { "stats": ["", "Species", "Dilution Info", "Notes"], "tabs": { "all-applications": {"fullname" : "All Applications", "shortname": "All Applications"}, "IHCP" : {"fullname" : "Immunohistochemistry (Formalin/PFA-fixed paraffin-embedded sections)", "shortname":"IHC-P"}, "IP" : {"fullname" : "Immunoprecipitation", "shortname":"IP"}, "WB" : {"fullname" : "Western blot", "shortname":"WB"}, "ICCIF" : {"fullname" : "Immunocytochemistry/ Immunofluorescence", "shortname":"ICC/IF"}, "ChIPseq" : {"fullname" : "ChIP-sequencing", "shortname":"ChIP-seq"} }, "product-promise": { "all": "all", "testedAndGuaranteed": "tested", "guaranteed": "expected", "predicted": "predicted", "notRecommended": "not-recommended" } }, "values": { "Human": { "IHCP-species-checked": "testedAndGuaranteed", "IHCP-species-dilution-info": "1/500 - 1/2000", "IHCP-species-notes": "<p></p> Perform heat-mediated antigen retrieval with citrate buffer pH 6 before commencing with IHC staining protocol.", "IP-species-checked": "testedAndGuaranteed", "IP-species-dilution-info": "2-5 µg/mg of lysate", "IP-species-notes": "<p></p>", "WB-species-checked": "testedAndGuaranteed", "WB-species-dilution-info": "1/2000 - 1/10000", "WB-species-notes": "<p></p>", "ICCIF-species-checked": "guaranteed", "ICCIF-species-dilution-info": "", "ICCIF-species-notes": "<p>Use with methanol or paraformaldehyde fixed cells.</p>", "ChIPseq-species-checked": "guaranteed", "ChIPseq-species-dilution-info": "", "ChIPseq-species-notes": "<p>10 μg</p>" }, "Mouse": { "IHCP-species-checked": "predicted", "IHCP-species-dilution-info": "", "IHCP-species-notes": "", "IP-species-checked": "predicted", "IP-species-dilution-info": "", "IP-species-notes": "", "WB-species-checked": "predicted", "WB-species-dilution-info": "", "WB-species-notes": "", "ICCIF-species-checked": "guaranteed", "ICCIF-species-dilution-info": "", "ICCIF-species-notes": "<p>Use with methanol or paraformaldehyde fixed cells.</p>", "ChIPseq-species-checked": "guaranteed", "ChIPseq-species-dilution-info": "", "ChIPseq-species-notes": "<p>10 μg</p>" }, "Rat": { "IHCP-species-checked": "predicted", "IHCP-species-dilution-info": "", "IHCP-species-notes": "", "IP-species-checked": "predicted", "IP-species-dilution-info": "", "IP-species-notes": "", "WB-species-checked": "predicted", "WB-species-dilution-info": "", "WB-species-notes": "", "ICCIF-species-checked": "predicted", "ICCIF-species-dilution-info": "", "ICCIF-species-notes": "", "ChIPseq-species-checked": "predicted", "ChIPseq-species-dilution-info": "", "ChIPseq-species-notes": "" }, "Chicken": { "IHCP-species-checked": "predicted", "IHCP-species-dilution-info": "", "IHCP-species-notes": "", "IP-species-checked": "predicted", "IP-species-dilution-info": "", "IP-species-notes": "", "WB-species-checked": "predicted", "WB-species-dilution-info": "", "WB-species-notes": "", "ICCIF-species-checked": "predicted", "ICCIF-species-dilution-info": "", "ICCIF-species-notes": "", "ChIPseq-species-checked": "predicted", "ChIPseq-species-dilution-info": "", "ChIPseq-species-notes": "" }, "Chimpanzee": { "IHCP-species-checked": "predicted", "IHCP-species-dilution-info": "", "IHCP-species-notes": "", "IP-species-checked": "predicted", "IP-species-dilution-info": "", "IP-species-notes": "", "WB-species-checked": "predicted", "WB-species-dilution-info": "", "WB-species-notes": "", "ICCIF-species-checked": "predicted", "ICCIF-species-dilution-info": "", "ICCIF-species-notes": "", "ChIPseq-species-checked": "predicted", "ChIPseq-species-dilution-info": "", "ChIPseq-species-notes": "" }, "Cow": { "IHCP-species-checked": "predicted", "IHCP-species-dilution-info": "", "IHCP-species-notes": "", "IP-species-checked": "predicted", "IP-species-dilution-info": "", "IP-species-notes": "", "WB-species-checked": "predicted", "WB-species-dilution-info": "", "WB-species-notes": "", "ICCIF-species-checked": "predicted", "ICCIF-species-dilution-info": "", "ICCIF-species-notes": "", "ChIPseq-species-checked": "predicted", "ChIPseq-species-dilution-info": "", "ChIPseq-species-notes": "" }, "Dog": { "IHCP-species-checked": "predicted", "IHCP-species-dilution-info": "", "IHCP-species-notes": "", "IP-species-checked": "predicted", "IP-species-dilution-info": "", "IP-species-notes": "", "WB-species-checked": "predicted", "WB-species-dilution-info": "", "WB-species-notes": "", "ICCIF-species-checked": "predicted", "ICCIF-species-dilution-info": "", "ICCIF-species-notes": "", "ChIPseq-species-checked": "predicted", "ChIPseq-species-dilution-info": "", "ChIPseq-species-notes": "" }, "Gorilla": { "IHCP-species-checked": "predicted", "IHCP-species-dilution-info": "", "IHCP-species-notes": "", "IP-species-checked": "predicted", "IP-species-dilution-info": "", "IP-species-notes": "", "WB-species-checked": "predicted", "WB-species-dilution-info": "", "WB-species-notes": "", "ICCIF-species-checked": "predicted", "ICCIF-species-dilution-info": "", "ICCIF-species-notes": "", "ChIPseq-species-checked": "predicted", "ChIPseq-species-dilution-info": "", "ChIPseq-species-notes": "" }, "Horse": { "IHCP-species-checked": "predicted", "IHCP-species-dilution-info": "", "IHCP-species-notes": "", "IP-species-checked": "predicted", "IP-species-dilution-info": "", "IP-species-notes": "", "WB-species-checked": "predicted", "WB-species-dilution-info": "", "WB-species-notes": "", "ICCIF-species-checked": "predicted", "ICCIF-species-dilution-info": "", "ICCIF-species-notes": "", "ChIPseq-species-checked": "predicted", "ChIPseq-species-dilution-info": "", "ChIPseq-species-notes": "" }, "Orangutan": { "IHCP-species-checked": "predicted", "IHCP-species-dilution-info": "", "IHCP-species-notes": "", "IP-species-checked": "predicted", "IP-species-dilution-info": "", "IP-species-notes": "", "WB-species-checked": "predicted", "WB-species-dilution-info": "", "WB-species-notes": "", "ICCIF-species-checked": "predicted", "ICCIF-species-dilution-info": "", "ICCIF-species-notes": "", "ChIPseq-species-checked": "predicted", "ChIPseq-species-dilution-info": "", "ChIPseq-species-notes": "" }, "Pig": { "IHCP-species-checked": "predicted", "IHCP-species-dilution-info": "", "IHCP-species-notes": "", "IP-species-checked": "predicted", "IP-species-dilution-info": "", "IP-species-notes": "", "WB-species-checked": "predicted", "WB-species-dilution-info": "", "WB-species-notes": "", "ICCIF-species-checked": "predicted", "ICCIF-species-dilution-info": "", "ICCIF-species-notes": "", "ChIPseq-species-checked": "predicted", "ChIPseq-species-dilution-info": "", "ChIPseq-species-notes": "" }, "Platypus": { "IHCP-species-checked": "predicted", "IHCP-species-dilution-info": "", "IHCP-species-notes": "", "IP-species-checked": "predicted", "IP-species-dilution-info": "", "IP-species-notes": "", "WB-species-checked": "predicted", "WB-species-dilution-info": "", "WB-species-notes": "", "ICCIF-species-checked": "predicted", "ICCIF-species-dilution-info": "", "ICCIF-species-notes": "", "ChIPseq-species-checked": "predicted", "ChIPseq-species-dilution-info": "", "ChIPseq-species-notes": "" }, "Rabbit": { "IHCP-species-checked": "predicted", "IHCP-species-dilution-info": "", "IHCP-species-notes": "", "IP-species-checked": "predicted", "IP-species-dilution-info": "", "IP-species-notes": "", "WB-species-checked": "predicted", "WB-species-dilution-info": "", "WB-species-notes": "", "ICCIF-species-checked": "predicted", "ICCIF-species-dilution-info": "", "ICCIF-species-notes": "", "ChIPseq-species-checked": "predicted", "ChIPseq-species-dilution-info": "", "ChIPseq-species-notes": "" }, "Rhesus monkey": { "IHCP-species-checked": "predicted", "IHCP-species-dilution-info": "", "IHCP-species-notes": "", "IP-species-checked": "predicted", "IP-species-dilution-info": "", "IP-species-notes": "", "WB-species-checked": "predicted", "WB-species-dilution-info": "", "WB-species-notes": "", "ICCIF-species-checked": "predicted", "ICCIF-species-dilution-info": "", "ICCIF-species-notes": "", "ChIPseq-species-checked": "predicted", "ChIPseq-species-dilution-info": "", "ChIPseq-species-notes": "" }, "Turkey": { "IHCP-species-checked": "predicted", "IHCP-species-dilution-info": "", "IHCP-species-notes": "", "IP-species-checked": "predicted", "IP-species-dilution-info": "", "IP-species-notes": "", "WB-species-checked": "predicted", "WB-species-dilution-info": "", "WB-species-notes": "", "ICCIF-species-checked": "predicted", "ICCIF-species-dilution-info": "", "ICCIF-species-notes": "", "ChIPseq-species-checked": "predicted", "ChIPseq-species-dilution-info": "", "ChIPseq-species-notes": "" }, "Xenopus laevis": { "IHCP-species-checked": "predicted", "IHCP-species-dilution-info": "", "IHCP-species-notes": "", "IP-species-checked": "predicted", "IP-species-dilution-info": "", "IP-species-notes": "", "WB-species-checked": "predicted", "WB-species-dilution-info": "", "WB-species-notes": "", "ICCIF-species-checked": "predicted", "ICCIF-species-dilution-info": "", "ICCIF-species-notes": "", "ChIPseq-species-checked": "predicted", "ChIPseq-species-dilution-info": "", "ChIPseq-species-notes": "" }, "Xenopus tropicalis": { "IHCP-species-checked": "predicted", "IHCP-species-dilution-info": "", "IHCP-species-notes": "", "IP-species-checked": "predicted", "IP-species-dilution-info": "", "IP-species-notes": "", "WB-species-checked": "predicted", "WB-species-dilution-info": "", "WB-species-notes": "", "ICCIF-species-checked": "predicted", "ICCIF-species-dilution-info": "", "ICCIF-species-notes": "", "ChIPseq-species-checked": "predicted", "ChIPseq-species-dilution-info": "", "ChIPseq-species-notes": "" } } }

Properties and storage information

Form
Liquid
Purification technique
Affinity purification Immunogen
Storage buffer
pH: 7 - 8 Preservative: 0.09% Sodium azide Constituents: Tris citrate/phosphate
Shipped at conditions
Blue Ice
Appropriate short-term storage duration
1-2 weeks
Appropriate short-term storage conditions
+4°C
Appropriate long-term storage conditions
+4°C
Aliquoting information
Upon delivery aliquot
Storage information
Avoid freeze / thaw cycle

Supplementary information

This supplementary information is collated from multiple sources and compiled automatically.

RING2 also known as RING1B or RNF2 is a protein that functions as a member of the Polycomb Repressive Complex 1 (PRC1). This protein contains a RING-finger domain facilitating ubiquitin ligase activity. It has a molecular mass of approximately 38 kDa. RING2/RNF2/RING1B is expressed in various tissues including the brain heart and lungs indicating its fundamental role across different biological systems.
Biological function summary

RING2/RNF2/RING1B regulates gene expression by modifying chromatin structure especially through monoubiquitination of histone H2A at lysine 119. This action occurs within the Polycomb Repressive Complex 1 a multiprotein structure important for maintaining the transcriptional repression of target genes. It influences cell cycle progression and development by silencing genes involved in proliferation and differentiation.

Pathways

RING2/RNF2/RING1B's role connects to the Polycomb group (PcG) pathway and the Wnt signaling pathway. Within these pathways it interacts with proteins like BMI1 and EZH2 which are other components of polycomb complexes. These interactions help modulate chromatin dynamics and control the expression of several genes involved in cell identity and development.

Dysfunction or aberrant expression of RING2/RNF2/RING1B has links to cancer and neurological disorders. Its relationship with proteins like CBX8 ties it to pathways of oncogenesis where it can influence tumorigenesis through misregulation of gene silencing. Furthermore changes in RING2/RNF2/RING1B expression or function may contribute to developmental disorders associated with improper neuronal development.

Product protocols

For this product, it's our understanding that no specific protocols are required. You can visit:

Target data

E3 ubiquitin-protein ligase that mediates monoubiquitination of 'Lys-119' of histone H2A (H2AK119Ub), thereby playing a central role in histone code and gene regulation (PubMed : 15386022, PubMed : 16359901, PubMed : 21772249, PubMed : 25355358, PubMed : 25519132, PubMed : 26151332, PubMed : 33864376). H2AK119Ub gives a specific tag for epigenetic transcriptional repression and participates in X chromosome inactivation of female mammals. May be involved in the initiation of both imprinted and random X inactivation (By similarity). Essential component of a Polycomb group (PcG) multiprotein PRC1-like complex, a complex class required to maintain the transcriptionally repressive state of many genes, including Hox genes, throughout development (PubMed : 16359901, PubMed : 26151332). PcG PRC1 complex acts via chromatin remodeling and modification of histones, rendering chromatin heritably changed in its expressibility (PubMed : 26151332). E3 ubiquitin-protein ligase activity is enhanced by BMI1/PCGF4 (PubMed : 21772249). Acts as the main E3 ubiquitin ligase on histone H2A of the PRC1 complex, while RING1 may rather act as a modulator of RNF2/RING2 activity (Probable). Association with the chromosomal DNA is cell-cycle dependent. In resting B- and T-lymphocytes, interaction with AURKB leads to block its activity, thereby maintaining transcription in resting lymphocytes (By similarity). Also acts as a negative regulator of autophagy by mediating ubiquitination of AMBRA1, leading to its subsequent degradation (By similarity).
See full target information RNF2

Publications (20)

Recent publications for all applications. Explore the full list and refine your search

American journal of translational research 16:1401-1414 PubMed38715837

2024

Circ_0072088 promotes breast carcinoma progression via modulating miR-607/RNF2 axis.

Applications

Unspecified application

Species

Unspecified reactive species

Mingxi Chen,Yang Hui,Bo Tian

Journal of thoracic disease 14:4081-4095 PubMed36389338

2022

LncRNA KCNQ1OT1 enhances the radioresistance of lung squamous cell carcinoma by targeting the miR-491-5p/TPX2-RNF2 axis.

Applications

Unspecified application

Species

Unspecified reactive species

Jiahui Liu,Mi Jiang,Jinlei Guan,Yuan Wang,Wenjuan Yu,Yuanping Hu,Xin Zhang,Jie Yang

eLife 11: PubMed34994686

2022

PRC1 sustains the integrity of neural fate in the absence of PRC2 function.

Applications

Unspecified application

Species

Unspecified reactive species

Ayana Sawai,Sarah Pfennig,Milica Bulajić,Alexander Miller,Alireza Khodadadi-Jamayran,Esteban O Mazzoni,Jeremy S Dasen

Nature communications 12:5402 PubMed34518527

2021

Loss of polycomb repressive complex 1 activity and chromosomal instability drive uveal melanoma progression.

Applications

Unspecified application

Species

Unspecified reactive species

Mathieu F Bakhoum,Jasmine H Francis,Albert Agustinus,Ethan M Earlie,Melody Di Bona,David H Abramson,Mercedes Duran,Ignas Masilionis,Elsa Molina,Alexander N Shoushtari,Michael H Goldbaum,Paul S Mischel,Samuel F Bakhoum,Ashley M Laughney

Science advances 7: PubMed33980486

2021

The SAM domain-containing protein 1 (SAMD1) acts as a repressive chromatin regulator at unmethylated CpG islands.

Applications

Unspecified application

Species

Unspecified reactive species

Bastian Stielow,Yuqiao Zhou,Yinghua Cao,Clara Simon,Hans-Martin Pogoda,Junyi Jiang,Yanpeng Ren,Sabrina Keita Phanor,Iris Rohner,Andrea Nist,Thorsten Stiewe,Matthias Hammerschmidt,Yang Shi,Martha L Bulyk,Zhanxin Wang,Robert Liefke

Scientific reports 11:9813 PubMed33963224

2021

In vivo cell proliferation analysis and cell-tracing reveal the global cellular dynamics of periodontal ligament cells under mechanical-loading.

Applications

Unspecified application

Species

Unspecified reactive species

Masaru Mizukoshi,Masaru Kaku,Lay Thant,Kohei Kitami,Moe Arai,Isao Saito,Katsumi Uoshima

Methods in molecular biology (Clifton, N.J.) 2520:117-133 PubMed33945141

2021

ChIP-qPCR for Polycomb Group Proteins During Neuronal Differentiation of Human Pluripotent Stem Cells.

Applications

Unspecified application

Species

Unspecified reactive species

Divya Desai,Prasad Pethe

Aging 12:26199-26220 PubMed33346749

2020

Ring finger protein 2 promotes colorectal cancer progression by suppressing early growth response 1.

Applications

Unspecified application

Species

Unspecified reactive species

Feilong Wei,Haoren Jing,Ming Wei,Lei Liu,Jieheng Wu,Meng Wang,Donghui Han,Fa Yang,Bo Yang,Dian Jiao,Guoxu Zheng,Lingling Zhang,Wenjin Xi,Zhangyan Guo,An-Gang Yang,Weijun Qin,Yi Zhou,Weihong Wen

Oncology letters 20:1111-1118 PubMed32724350

2020

Clinical significance of ring finger protein 2 high expression in skin squamous cell carcinoma.

Applications

Unspecified application

Species

Unspecified reactive species

Bai Ling,Ming Yao,Gongqi Li,Jun Liu,Bin Liu,Wei Wang,Bin Jiang

Cell chemical biology 26:1365-1379.e22 PubMed31422906

2019

Discovery and Characterization of a Cellular Potent Positive Allosteric Modulator of the Polycomb Repressive Complex 1 Chromodomain, CBX7.

Applications

Unspecified application

Species

Unspecified reactive species

Kelsey N Lamb,Daniel Bsteh,Sarah N Dishman,Hagar F Moussa,Huitao Fan,Jacob I Stuckey,Jacqueline L Norris,Stephanie H Cholensky,Dongxu Li,Jingkui Wang,Cari Sagum,Benjamin Z Stanton,Mark T Bedford,Kenneth H Pearce,Terry P Kenakin,Dmitri B Kireev,Gang Greg Wang,Lindsey I James,Oliver Bell,Stephen V Frye
View all publications

Product promise

We are committed to supporting your work with high-quality reagents, and we're here for you every step of the way. In the unlikely event that one of our products does not perform as expected, you're protected by our Product Promise.
For full details, please see our Terms & Conditions

Please note: All products are 'FOR RESEARCH USE ONLY. NOT FOR USE IN DIAGNOSTIC OR THERAPEUTIC PROCEDURES'.

For licensing inquiries, please contact partnerships@abcam.com