JavaScript is disabled in your browser. Please enable JavaScript to view this website.
AB181140

Anti-RING2 / RING1B / RNF2 antibody [EPR12245]

4

(3 Reviews)

|

(8 Publications)

Rabbit Recombinant Monoclonal RING2 / RING1B / RNF2 antibody. Suitable for WB, ICC/IF, Flow Cyt (Intra), IHC-P and reacts with Human, Mouse samples. Cited in 8 publications.

View Alternative Names

BAP1, DING, HIPI3, RING1B, RNF2, E3 ubiquitin-protein ligase RING2, Huntingtin-interacting protein 2-interacting protein 3, Protein DinG, RING finger protein 1B, RING finger protein 2, RING finger protein BAP-1, RING-type E3 ubiquitin transferase RING2, HIP2-interacting protein 3, RING1b

7 Images
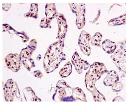
Immunohistochemistry (Formalin/PFA-fixed paraffin-embedded sections) - Anti-RING2 / RING1B / RNF2 antibody [EPR12245] (AB181140)
  • IHC-P

Unknown

Immunohistochemistry (Formalin/PFA-fixed paraffin-embedded sections) - Anti-RING2 / RING1B / RNF2 antibody [EPR12245] (AB181140)

Immunohistochemical analysis of paraffin-embedded Human placenta tissue labeling RING2 / RING1B / RNF2 with ab181140 at 1/500 dilution followed by pre-diluted HRP-conjugated secondary antibody and counter-stained with Hematoxylin.

Perform heat mediated antigen retrieval with EDTA buffer pH 9 before commencing with IHC staining protocol.

Flow Cytometry (Intracellular) - Anti-RING2 / RING1B / RNF2 antibody [EPR12245] (AB181140)
  • Flow Cyt (Intra)

Lab

Flow Cytometry (Intracellular) - Anti-RING2 / RING1B / RNF2 antibody [EPR12245] (AB181140)

Intracellular Flow Cytometry analysis of HepG2 (human hepatocellular carcinoma) cells labeling RING2 / RING1B / RNF2 with purified ab181140 at 1/70 dilution (10ug/ml) (red). Cells were fixed with 4% paraformaldehyde and permeabilised with 90% methanol. A Goat anti rabbit IgG (Alexa Fluor® 488) (1/2000 dilution) was used as the secondary antibody. Rabbit monoclonal IgG (Black) was used as the isotype control, cells without incubation with primary antibody and secondary antibody (Blue) were used as the unlabeled control.

Immunocytochemistry/ Immunofluorescence - Anti-RING2 / RING1B / RNF2 antibody [EPR12245] (AB181140)
  • ICC/IF

Supplier Data

Immunocytochemistry/ Immunofluorescence - Anti-RING2 / RING1B / RNF2 antibody [EPR12245] (AB181140)

Immunofluorescent analysis of HepG2 cells (paraformaldehyde-fixed 4%) labeling RING2 / RING1B / RNF2 with ab181140 at 1/250 dilution followed by Goat anti rabbit IgG (Alexa Fluor® 555) secondary at 1/200 dilution and counter-stained with DAPI (blue).

Western blot - Anti-RING2 / RING1B / RNF2 antibody [EPR12245] (AB181140)
  • WB

Lab

Western blot - Anti-RING2 / RING1B / RNF2 antibody [EPR12245] (AB181140)

Lanes 1- 2 : Merged signal (red and green). Green - ab181140 observed at 42 kDa. Red - Anti-alpha Tubulin antibody [DM1A] - Loading Control (ab7291) observed at 50 kDa.

ab181140 was shown to react with RING2 / RING1B / RNF2 in wild-type HeLa cells in western blot. The band observed in knockout cell line ab264845 (knockout cell lysate ab257640) lane below 42kDa may represent truncated forms and cleaved fragments. This has not been investigated further. Wild-type HeLa and RNF2 knockout HeLa cell lysates were subjected to SDS-PAGE. Membrane was blocked for 1 hour at room temperature in 0.1% TBST with 3% non-fat dried milk. ab181140 and Anti-alpha Tubulin antibody [DM1A] - Loading Control (ab7291) were incubated overnight at 4°C at a 1 in 1000 dilution and a 1 in 20000 dilution respectively. Blots were developed with Goat anti-Rabbit IgG H&L (IRDye®800CW) preadsorbed (ab216773) and Goat anti-Mouse IgG H&L (IRDye®680RD) preadsorbed (ab216776) secondary antibodies at 1 in 20000 dilution for 1 hour at room temperature before imaging.

All lanes:

Western blot - Anti-RING2 / RING1B / RNF2 antibody [EPR12245] (ab181140) at 1/1000 dilution

Lane 1:

Wild-type HeLa cell lysate at 20 µg

Lane 2:

Rnf2 (RING2 / RING1B) knockout HeLa cell lysate at 20 µg

Predicted band size: 37 kDa

Observed band size: 42 kDa

false

Western blot - Anti-RING2 / RING1B / RNF2 antibody [EPR12245] (AB181140)
  • WB

Supplier Data

Western blot - Anti-RING2 / RING1B / RNF2 antibody [EPR12245] (AB181140)

All lanes:

Western blot - Anti-RING2 / RING1B / RNF2 antibody [EPR12245] (ab181140) at 1/10000 dilution

Lane 1:

HeLa cell lysate at 20 µg

Lane 2:

293 cell lysate at 20 µg

Lane 3:

Jurkat cell lysate at 20 µg

Lane 4:

HepG2 cell lysate at 20 µg

Secondary

All lanes:

Goat Anti-Rabbit IgG, (H+L), Peroxidase conjugate at 1/1000 dilution

Predicted band size: 37 kDa

false

Western blot - Anti-RING2 / RING1B / RNF2 antibody [EPR12245] (AB181140)
  • WB

Lab

Western blot - Anti-RING2 / RING1B / RNF2 antibody [EPR12245] (AB181140)

Lane 1 : Wild-type HAP1 cell lysate (20 μg)
Lane 2 : RING2 / RING1B / RNF2 knockout HAP1 cell lysate (20 μg)
Lane 3 : HeLa cell lysate (20 μg)
Lane 4 : Jurkat cell lysate (20 μg)
Lanes 1 - 4 : Merged signal (red and green). Green - ab181140 observed at 42 kDa. Red - loading control, ab7291, observed at 52 kDa.

ab181140 was shown to recognize RING2 / RING1B / RNF2 when RING2 / RING1B / RNF2 knockout samples were used, along with additional cross-reactive bands. Wild-type and RING2 / RING1B / RNF2 knockout samples were subjected to SDS-PAGE. ab181140 at a dilution of 1/1000 and ab7291 (loading control to alpha Tubulin) at a dilution of 1/10,000 were incubated overnight at 4°C. Blots were developed with Goat anti-Rabbit IgG H&L (IRDye® 800CW) preadsorbed (ab216773) and Goat anti-Mouse IgG H&L (IRDye® 680RD) preadsorbed (ab216776) secondary antibodies at 1/10,000 dilution for 1 h at room temperature before imaging.

All lanes:

Western blot - Anti-RING2 / RING1B / RNF2 antibody [EPR12245] (ab181140)

Predicted band size: 37 kDa

false

Western blot - Anti-RING2 / RING1B / RNF2 antibody [EPR12245] (AB181140)
  • WB

Lab

Western blot - Anti-RING2 / RING1B / RNF2 antibody [EPR12245] (AB181140)

Lanes 1- 2 : Merged signal (red and green). Green - ab181140 observed at 42 kDa. Red - Anti-alpha Tubulin antibody [DM1A] - Loading Control (ab7291) observed at 50 kDa.

ab181140 was shown to react with RING2 / RING1B / RNF2 in wild-type HeLa cells in western blot. The band observed in CRISPR/Cas9 edited cell line ab264845 (CRISPR/Cas9 edited cell lysate ab257640) lane below 42kDa may represent truncated forms and cleaved fragments. This has not been investigated further. Wild-type HeLa and RNF2 CRISPR/Cas9 edited HeLa cell lysates were subjected to SDS-PAGE. Membrane was blocked for 1 hour at room temperature in 0.1% TBST with 3% non-fat dried milk. ab181140 and Anti-alpha Tubulin antibody [DM1A] - Loading Control (ab7291) were incubated overnight at 4°C at a 1 in 1000 dilution and a 1 in 20000 dilution respectively. Blots were developed with Goat anti-Rabbit IgG H&L (IRDye®800CW) preadsorbed (ab216773) and Goat anti-Mouse IgG H&L (IRDye®680RD) preadsorbed (ab216776) secondary antibodies at 1 in 20000 dilution for 1 hour at room temperature before imaging.

All lanes:

Western blot - Anti-RING2 / RING1B / RNF2 antibody [EPR12245] (ab181140) at 1/1000 dilution

Lane 1:

Wild-type HeLa cell lysate at 20 µg

Lane 2:

RNF2 CRISPR/Cas9 edited HeLa cell lysate at 20 µg

Lane 2:

Western blot - Human RNF2 (RING2 / RING1B) knockout HeLa cell line (<a href='/en-us/products/cell-lines/human-rnf2-ring2-ring1b-knockout-hela-cell-line-ab264845'>ab264845</a>)

Predicted band size: 37 kDa

Observed band size: 42 kDa

false

  • Carrier free

    Anti-RING2 / RING1B / RNF2 antibody [EPR12245] - BSA and Azide free

  • 578 PE

    PE Anti-RING2 / RING1B / RNF2 antibody [EPR12245]

  • HRP

    HRP Anti-RING2 / RING1B / RNF2 antibody [EPR12245]

  • 617 Alexa Fluor® 594

    Alexa Fluor® 594 Anti-RING2 / RING1B / RNF2 antibody [EPR12245]

  • 519 Alexa Fluor® 488

    Alexa Fluor® 488 Anti-RING2 / RING1B / RNF2 antibody [EPR12245]

  • 665 Alexa Fluor® 647

    Alexa Fluor® 647 Anti-RING2 / RING1B / RNF2 antibody [EPR12245]

  • 603 Alexa Fluor® 568

    Alexa Fluor® 568 Anti-RING2 / RING1B / RNF2 antibody [EPR12245]

  • 565 Alexa Fluor® 555

    Alexa Fluor® 555 Anti-RING2 / RING1B / RNF2 antibody [EPR12245]

  • 660 APC

    APC Anti-RING2 / RING1B / RNF2 antibody [EPR12245]

  • 775 Alexa Fluor® 750

    Alexa Fluor® 750 Anti-RING2 / RING1B / RNF2 antibody [EPR12245]

Key facts

Host species

Rabbit

Clonality

Monoclonal

Clone number

EPR12245

Isotype

IgG

Carrier free

No

Reacts with

Mouse, Human

Applications

ICC/IF, IHC-P, WB, Flow Cyt (Intra)

applications

Immunogen

The exact immunogen used to generate this antibody is proprietary information.

Reactivity data

{ "title": "Reactivity Data", "filters": { "stats": ["", "Species", "Dilution Info", "Notes"], "tabs": { "all-applications": {"fullname" : "All Applications", "shortname": "All Applications"}, "WB" : {"fullname" : "Western blot", "shortname":"WB"}, "ICCIF" : {"fullname" : "Immunocytochemistry/ Immunofluorescence", "shortname":"ICC/IF"}, "FlowCytIntra" : {"fullname" : "Flow Cytometry (Intracellular)", "shortname":"Flow Cyt (Intra)"}, "IHCP" : {"fullname" : "Immunohistochemistry (Formalin/PFA-fixed paraffin-embedded sections)", "shortname":"IHC-P"} }, "product-promise": { "all": "all", "testedAndGuaranteed": "tested", "guaranteed": "expected", "predicted": "predicted", "notRecommended": "not-recommended" } }, "values": { "Human": { "WB-species-checked": "testedAndGuaranteed", "WB-species-dilution-info": "1/1000 - 1/10000", "WB-species-notes": "<p></p>", "ICCIF-species-checked": "testedAndGuaranteed", "ICCIF-species-dilution-info": "1/100 - 1/250", "ICCIF-species-notes": "<p></p>", "FlowCytIntra-species-checked": "testedAndGuaranteed", "FlowCytIntra-species-dilution-info": "", "FlowCytIntra-species-notes": "<p></p>", "IHCP-species-checked": "testedAndGuaranteed", "IHCP-species-dilution-info": "1/250 - 1/500", "IHCP-species-notes": "<p></p>" }, "Mouse": { "WB-species-checked": "testedAndGuaranteed", "WB-species-dilution-info": "1/1000 - 1/10000", "WB-species-notes": "<p></p>", "ICCIF-species-checked": "guaranteed", "ICCIF-species-dilution-info": "", "ICCIF-species-notes": "", "FlowCytIntra-species-checked": "guaranteed", "FlowCytIntra-species-dilution-info": "", "FlowCytIntra-species-notes": "", "IHCP-species-checked": "guaranteed", "IHCP-species-dilution-info": "", "IHCP-species-notes": "" }, "Rat": { "WB-species-checked": "predicted", "WB-species-dilution-info": "", "WB-species-notes": "", "ICCIF-species-checked": "predicted", "ICCIF-species-dilution-info": "", "ICCIF-species-notes": "", "FlowCytIntra-species-checked": "predicted", "FlowCytIntra-species-dilution-info": "", "FlowCytIntra-species-notes": "", "IHCP-species-checked": "predicted", "IHCP-species-dilution-info": "", "IHCP-species-notes": "" } } }

Product details

Patented technology
Our RabMAb® technology is a patented hybridoma-based technology for making rabbit monoclonal antibodies. For details on our patents, please refer to RabMAb® patents.

What are the advantages of a recombinant monoclonal antibody?
This product is a recombinant monoclonal antibody, which offers several advantages including:

  • - High batch-to-batch consistency and reproducibility
  • - Improved sensitivity and specificity
  • - Long-term security of supply
  • - Animal-free batch production

For more information, read more on recombinant antibodies.

Properties and storage information

Form
Liquid
Purification technique
Affinity purification Protein A
Storage buffer
Preservative: 0.01% Sodium azide Constituents: PBS, 40% Glycerol (glycerin, glycerine), 0.05% BSA
Shipped at conditions
Blue Ice
Appropriate short-term storage duration
1-2 weeks
Appropriate short-term storage conditions
+4°C
Appropriate long-term storage conditions
-20°C
Aliquoting information
Upon delivery aliquot
Storage information
Avoid freeze / thaw cycle

Supplementary information

This supplementary information is collated from multiple sources and compiled automatically.

RING2 also known as RING1B or RNF2 is a protein that functions as a member of the Polycomb Repressive Complex 1 (PRC1). This protein contains a RING-finger domain facilitating ubiquitin ligase activity. It has a molecular mass of approximately 38 kDa. RING2/RNF2/RING1B is expressed in various tissues including the brain heart and lungs indicating its fundamental role across different biological systems.
Biological function summary

RING2/RNF2/RING1B regulates gene expression by modifying chromatin structure especially through monoubiquitination of histone H2A at lysine 119. This action occurs within the Polycomb Repressive Complex 1 a multiprotein structure important for maintaining the transcriptional repression of target genes. It influences cell cycle progression and development by silencing genes involved in proliferation and differentiation.

Pathways

RING2/RNF2/RING1B's role connects to the Polycomb group (PcG) pathway and the Wnt signaling pathway. Within these pathways it interacts with proteins like BMI1 and EZH2 which are other components of polycomb complexes. These interactions help modulate chromatin dynamics and control the expression of several genes involved in cell identity and development.

Dysfunction or aberrant expression of RING2/RNF2/RING1B has links to cancer and neurological disorders. Its relationship with proteins like CBX8 ties it to pathways of oncogenesis where it can influence tumorigenesis through misregulation of gene silencing. Furthermore changes in RING2/RNF2/RING1B expression or function may contribute to developmental disorders associated with improper neuronal development.

Product protocols

For this product, it's our understanding that no specific protocols are required. You can visit:

Target data

E3 ubiquitin-protein ligase that mediates monoubiquitination of 'Lys-119' of histone H2A (H2AK119Ub), thereby playing a central role in histone code and gene regulation (PubMed : 15386022, PubMed : 16359901, PubMed : 21772249, PubMed : 25355358, PubMed : 25519132, PubMed : 26151332, PubMed : 33864376). H2AK119Ub gives a specific tag for epigenetic transcriptional repression and participates in X chromosome inactivation of female mammals. May be involved in the initiation of both imprinted and random X inactivation (By similarity). Essential component of a Polycomb group (PcG) multiprotein PRC1-like complex, a complex class required to maintain the transcriptionally repressive state of many genes, including Hox genes, throughout development (PubMed : 16359901, PubMed : 26151332). PcG PRC1 complex acts via chromatin remodeling and modification of histones, rendering chromatin heritably changed in its expressibility (PubMed : 26151332). E3 ubiquitin-protein ligase activity is enhanced by BMI1/PCGF4 (PubMed : 21772249). Acts as the main E3 ubiquitin ligase on histone H2A of the PRC1 complex, while RING1 may rather act as a modulator of RNF2/RING2 activity (Probable). Association with the chromosomal DNA is cell-cycle dependent. In resting B- and T-lymphocytes, interaction with AURKB leads to block its activity, thereby maintaining transcription in resting lymphocytes (By similarity). Also acts as a negative regulator of autophagy by mediating ubiquitination of AMBRA1, leading to its subsequent degradation (By similarity).
See full target information RNF2

Publications (8)

Recent publications for all applications. Explore the full list and refine your search

Cancer & metabolism 12:30 PubMed39456039

2024

RNF2 promotes chondrosarcoma progression by regulating ubiquitination and degradation of CBX7.

Applications

Unspecified application

Species

Unspecified reactive species

Yue Wu,Zheng Huang,Ping Luo,Zhong Xiang,Meng Zhang,Zhiwu Chen,Yalu Zhou,Jiameng Li

Redox biology 58:102544 PubMed36427397

2022

CPT1A promotes anoikis resistance in esophageal squamous cell carcinoma via redox homeostasis.

Applications

Unspecified application

Species

Unspecified reactive species

Tian Tian,Yunxin Lu,Jinfei Lin,Miao Chen,Huijuan Qiu,Wancui Zhu,Haohui Sun,Jinsheng Huang,Han Yang,Wuguo Deng

The journal of international advanced otology 18:297-301 PubMed35894525

2022

The Spatiotemporal Expression of Ring1B in the Postnatal Mouse Cochlea.

Applications

Unspecified application

Species

Unspecified reactive species

Linhui Li,Yuanping Xiong,Bin Chen,Yazhi Xing

Osteoporosis international : a journal established as result of cooperation between the European Foundation for Osteoporosis and the National Osteoporosis Foundation of the USA 33:453-466 PubMed34519833

2021

Exogenous melatonin prevents type 1 diabetes mellitus-induced bone loss, probably by inhibiting senescence.

Applications

Unspecified application

Species

Unspecified reactive species

Z Gong,W Da,Y Tian,R Zhao,S Qiu,Q Wu,K Wen,L Shen,R Zhou,L Tao,Y Zhu

Cell death & disease 12:610 PubMed34120140

2021

G-protein-coupled receptor GPR17 inhibits glioma development by increasing polycomb repressive complex 1-mediated ROS production.

Applications

Unspecified application

Species

Unspecified reactive species

Huiqing Liu,Rui Xing,Zhimin Ou,Junying Zhao,Guolin Hong,Tong-Jin Zhao,Ying Han,Ying Chen

Nature communications 12:2829 PubMed33990559

2021

PHC1 maintains pluripotency by organizing genome-wide chromatin interactions of the Nanog locus.

Applications

Unspecified application

Species

Unspecified reactive species

Li Chen,Qiaoqiao Tong,Xiaowen Chen,Penglei Jiang,Hua Yu,Qianbing Zhao,Lingang Sun,Chao Liu,Bin Gu,Yuping Zheng,Lijiang Fei,Xiao Jiang,Wenjuan Li,Giacomo Volpe,Mazid Md Abdul,Guoji Guo,Jin Zhang,Pengxu Qian,Qiming Sun,Dante Neculai,Miguel A Esteban,Chen Li,Feiqiu Wen,Junfeng Ji

iScience 24:102435 PubMed34113809

2021

The USP7-TRIM27 axis mediates non-canonical PRC1.1 function and is a druggable target in leukemia.

Applications

Unspecified application

Species

Unspecified reactive species

Henny Maat,Tjerk Jan Atsma,Shanna M Hogeling,Aida Rodríguez López,Jennifer Jaques,Mirjam Olthuis,Marcel P de Vries,Chantal Gravesteijn,Annet Z Brouwers-Vos,Nisha van der Meer,Suzan Datema,Jonas Salzbrunn,Gerwin Huls,Roy Baas,Joost H A Martens,Vincent van den Boom,Jan Jacob Schuringa

eLife 8: PubMed31199242

2019

Protein quality control in the nucleolus safeguards recovery of epigenetic regulators after heat shock.

Applications

Unspecified application

Species

Unspecified reactive species

Maria Azkanaz,Aida Rodríguez López,Bauke de Boer,Wouter Huiting,Pierre-Olivier Angrand,Edo Vellenga,Harm H Kampinga,Steven Bergink,Joost Ha Martens,Jan Jacob Schuringa,Vincent van den Boom
View all publications

Product promise

We are committed to supporting your work with high-quality reagents, and we're here for you every step of the way. In the unlikely event that one of our products does not perform as expected, you're protected by our Product Promise.
For full details, please see our Terms & Conditions

Please note: All products are 'FOR RESEARCH USE ONLY. NOT FOR USE IN DIAGNOSTIC OR THERAPEUTIC PROCEDURES'.

For licensing inquiries, please contact partnerships@abcam.com