JavaScript is disabled in your browser. Please enable JavaScript to view this website.
AB250376

Anti-RING2 / RING1B / RNF2 antibody [EPR12245] - BSA and Azide free

Be the first to review this product! Submit a review

|

(0 Publication)

Rabbit Recombinant Monoclonal RING2 / RING1B / RNF2 antibody. Carrier free. Suitable for IHC-P, WB, Flow Cyt (Intra), ICC/IF and reacts with Human, Mouse samples.

View Alternative Names

BAP1, DING, HIPI3, RING1B, RNF2, E3 ubiquitin-protein ligase RING2, Huntingtin-interacting protein 2-interacting protein 3, Protein DinG, RING finger protein 1B, RING finger protein 2, RING finger protein BAP-1, RING-type E3 ubiquitin transferase RING2, HIP2-interacting protein 3, RING1b

6 Images
Flow Cytometry (Intracellular) - Anti-RING2 / RING1B / RNF2 antibody [EPR12245] - BSA and Azide free (AB250376)
  • Flow Cyt (Intra)

Lab

Flow Cytometry (Intracellular) - Anti-RING2 / RING1B / RNF2 antibody [EPR12245] - BSA and Azide free (AB250376)

This data was developed using ab181140, the same antibody clone in a different buffer formulation.

Intracellular Flow Cytometry analysis of HepG2 (human hepatocellular carcinoma) cells labeling RING2 / RING1B / RNF2 with purified ab181140 at 1/70 dilution (10ug/ml) (red). Cells were fixed with 4% paraformaldehyde and permeabilised with 90% methanol. A Goat anti rabbit IgG (Alexa Fluor® 488) (1/2000 dilution) was used as the secondary antibody. Rabbit monoclonal IgG (Black) was used as the isotype control, cells without incubation with primary antibody and secondary antibody (Blue) were used as the unlabeled control.

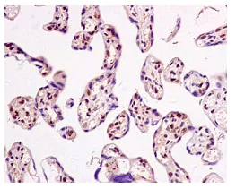
Immunohistochemistry (Formalin/PFA-fixed paraffin-embedded sections) - Anti-RING2 / RING1B / RNF2 antibody [EPR12245] - BSA and Azide free (AB250376)
  • IHC-P

Unknown

Immunohistochemistry (Formalin/PFA-fixed paraffin-embedded sections) - Anti-RING2 / RING1B / RNF2 antibody [EPR12245] - BSA and Azide free (AB250376)

This data was developed using ab181140, the same antibody clone in a different buffer formulation.

Immunohistochemical analysis of paraffin-embedded Human placenta tissue labeling RING2 / RING1B / RNF2 with ab181140 at 1/500 dilution followed by pre-diluted HRP-conjugated secondary antibody and counter-stained with Hematoxylin.

Perform heat mediated antigen retrieval with EDTA buffer pH 9 before commencing with IHC staining protocol.

Immunocytochemistry/ Immunofluorescence - Anti-RING2 / RING1B / RNF2 antibody [EPR12245] - BSA and Azide free (AB250376)
  • ICC/IF

Supplier Data

Immunocytochemistry/ Immunofluorescence - Anti-RING2 / RING1B / RNF2 antibody [EPR12245] - BSA and Azide free (AB250376)

This data was developed using ab181140, the same antibody clone in a different buffer formulation.

Immunofluorescent analysis of HepG2 cells (paraformaldehyde-fixed, 4%) labeling RING2 / RING1B / RNF2 with ab181140 at 1/250 dilution followed by Goat anti rabbit IgG (Alexa Fluor® 555) secondary at 1/200 dilution and counter-stained with DAPI (blue).

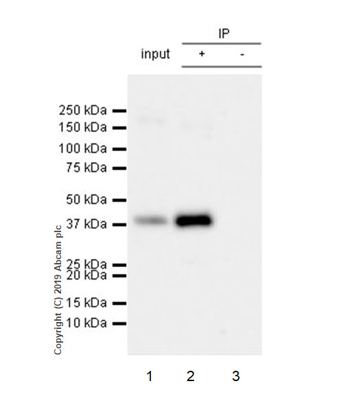
Western blot - Anti-RING2 / RING1B / RNF2 antibody [EPR12245] - BSA and Azide free (AB250376)
  • WB

Lab

Western blot - Anti-RING2 / RING1B / RNF2 antibody [EPR12245] - BSA and Azide free (AB250376)

This data was developed using ab181140, the same antibody clone in a different buffer formulation.

Lane 1 : Wild-type HAP1 cell lysate (20 μg)

Lane 2 : RING2 / RING1B / RNF2 knockout HAP1 cell lysate (20 μg)

Lane 3 : HeLa cell lysate (20 μg)

Lane 4 : Jurkat cell lysate (20 μg)

Lanes 1 - 4 : Merged signal (red and green). Green - ab181140 observed at 42 kDa. Red - loading control, ab7291, observed at 52 kDa.

ab181140 was shown to recognize RING2 / RING1B / RNF2 when RING2 / RING1B / RNF2 knockout samples were used, along with additional cross-reactive bands. Wild-type and RING2 / RING1B / RNF2 knockout samples were subjected to SDS-PAGE. ab181140 at a dilution of 1/1000 and ab7291 (loading control to alpha Tubulin) at a dilution of 1/10,000 were incubated overnight at 4°C. Blots were developed with Goat anti-Rabbit IgG H&L (IRDye® 800CW) preadsorbed (ab216773) and Goat anti-Mouse IgG H&L (IRDye® 680RD) preadsorbed (ab216776) secondary antibodies at 1/10,000 dilution for 1 h at room temperature before imaging.

All lanes:

Western blot - Anti-RING2 / RING1B / RNF2 antibody [EPR12245] (<a href='/en-us/products/primary-antibodies/ring2-ring1b-rnf2-antibody-epr12245-ab181140'>ab181140</a>)

Predicted band size: 37 kDa

false

Western blot - Anti-RING2 / RING1B / RNF2 antibody [EPR12245] - BSA and Azide free (AB250376)
  • WB

Lab

Western blot - Anti-RING2 / RING1B / RNF2 antibody [EPR12245] - BSA and Azide free (AB250376)

This data was developed using the same antibody clone in a different buffer formulation (ab181140).

Lanes 1- 2 : Merged signal (red and green). Green - ab181140 observed at 42 kDa. Red - Anti-alpha Tubulin antibody [DM1A] - Loading Control (ab7291) observed at 50 kDa.

ab181140 was shown to react with RING2 / RING1B / RNF2 in wild-type HeLa cells in western blot. The band observed in CRISPR/Cas9 edited cell line ab264845 (CRISPR/Cas9 edited cell lysate ab257640) lane below 42kDa may represent truncated forms and cleaved fragments. This has not been investigated further. Wild-type HeLa and RNF2 CRISPR/Cas9 edited HeLa cell lysates were subjected to SDS-PAGE. Membrane was blocked for 1 hour at room temperature in 0.1% TBST with 3% non-fat dried milk. ab181140 and Anti-alpha Tubulin antibody [DM1A] - Loading Control (ab7291) were incubated overnight at 4°C at a 1 in 1000 dilution and a 1 in 20000 dilution respectively. Blots were developed with Goat anti-Rabbit IgG H&L (IRDye®800CW) preadsorbed (ab216773) and Goat anti-Mouse IgG H&L (IRDye®680RD) preadsorbed (ab216776) secondary antibodies at 1 in 20000 dilution for 1 hour at room temperature before imaging.

All lanes:

Western blot - Anti-RING2 / RING1B / RNF2 antibody [EPR12245] (<a href='/en-us/products/primary-antibodies/ring2-ring1b-rnf2-antibody-epr12245-ab181140'>ab181140</a>) at 1/1000 dilution

Lane 1:

Wild-type HeLa cell lysate at 20 µg

Lane 2:

RNF2 CRISPR/Cas9 edited HeLa cell lysate at 20 µg

Lane 2:

Western blot - Human RNF2 (RING2 / RING1B) knockout HeLa cell line (<a href='/en-us/products/cell-lines/human-rnf2-ring2-ring1b-knockout-hela-cell-line-ab264845'>ab264845</a>)

Predicted band size: 37 kDa

Observed band size: 42 kDa

false

Western blot - Anti-RING2 / RING1B / RNF2 antibody [EPR12245] - BSA and Azide free (AB250376)
  • WB

Supplier Data

Western blot - Anti-RING2 / RING1B / RNF2 antibody [EPR12245] - BSA and Azide free (AB250376)

This data was developed using ab181140, the same antibody clone in a different buffer formulation.

All lanes:

Western blot - Anti-RING2 / RING1B / RNF2 antibody [EPR12245] (<a href='/en-us/products/primary-antibodies/ring2-ring1b-rnf2-antibody-epr12245-ab181140'>ab181140</a>) at 1/10000 dilution

Lane 1:

HeLa cell lysate at 20 µg

Lane 2:

293 cell lysate at 20 µg

Lane 3:

Jurkat cell lysate at 20 µg

Lane 4:

HepG2 cell lysate at 20 µg

Secondary

All lanes:

Goat Anti-Rabbit IgG, (H+L), Peroxidase conjugate at 1/1000 dilution

Predicted band size: 37 kDa

false

  • Unconjugated

    Anti-RING2 / RING1B / RNF2 antibody [EPR12245]

  • 775 Alexa Fluor® 750

    Alexa Fluor® 750 Anti-RING2 / RING1B / RNF2 antibody [EPR12245]

  • 578 PE

    PE Anti-RING2 / RING1B / RNF2 antibody [EPR12245]

  • 660 APC

    APC Anti-RING2 / RING1B / RNF2 antibody [EPR12245]

  • HRP

    HRP Anti-RING2 / RING1B / RNF2 antibody [EPR12245]

  • 519 Alexa Fluor® 488

    Alexa Fluor® 488 Anti-RING2 / RING1B / RNF2 antibody [EPR12245]

  • 665 Alexa Fluor® 647

    Alexa Fluor® 647 Anti-RING2 / RING1B / RNF2 antibody [EPR12245]

  • 617 Alexa Fluor® 594

    Alexa Fluor® 594 Anti-RING2 / RING1B / RNF2 antibody [EPR12245]

  • 565 Alexa Fluor® 555

    Alexa Fluor® 555 Anti-RING2 / RING1B / RNF2 antibody [EPR12245]

  • 603 Alexa Fluor® 568

    Alexa Fluor® 568 Anti-RING2 / RING1B / RNF2 antibody [EPR12245]

Key facts

Host species

Rabbit

Clonality

Monoclonal

Clone number

EPR12245

Isotype

IgG

Carrier free

Yes

Reacts with

Mouse, Human

Applications

ICC/IF, WB, IHC-P, Flow Cyt (Intra)

applications

Immunogen

The exact immunogen used to generate this antibody is proprietary information.

Reactivity data

{ "title": "Reactivity Data", "filters": { "stats": ["", "Species", "Dilution Info", "Notes"], "tabs": { "all-applications": {"fullname" : "All Applications", "shortname": "All Applications"}, "IHCP" : {"fullname" : "Immunohistochemistry (Formalin/PFA-fixed paraffin-embedded sections)", "shortname":"IHC-P"}, "WB" : {"fullname" : "Western blot", "shortname":"WB"}, "FlowCytIntra" : {"fullname" : "Flow Cytometry (Intracellular)", "shortname":"Flow Cyt (Intra)"}, "ICCIF" : {"fullname" : "Immunocytochemistry/ Immunofluorescence", "shortname":"ICC/IF"} }, "product-promise": { "all": "all", "testedAndGuaranteed": "tested", "guaranteed": "expected", "predicted": "predicted", "notRecommended": "not-recommended" } }, "values": { "Human": { "IHCP-species-checked": "testedAndGuaranteed", "IHCP-species-dilution-info": "", "IHCP-species-notes": "<p></p>", "WB-species-checked": "testedAndGuaranteed", "WB-species-dilution-info": "", "WB-species-notes": "<p></p>", "FlowCytIntra-species-checked": "testedAndGuaranteed", "FlowCytIntra-species-dilution-info": "", "FlowCytIntra-species-notes": "<p></p>", "ICCIF-species-checked": "testedAndGuaranteed", "ICCIF-species-dilution-info": "", "ICCIF-species-notes": "<p></p>" }, "Mouse": { "IHCP-species-checked": "guaranteed", "IHCP-species-dilution-info": "", "IHCP-species-notes": "<p></p>", "WB-species-checked": "guaranteed", "WB-species-dilution-info": "", "WB-species-notes": "<p></p>", "FlowCytIntra-species-checked": "guaranteed", "FlowCytIntra-species-dilution-info": "", "FlowCytIntra-species-notes": "<p></p>", "ICCIF-species-checked": "guaranteed", "ICCIF-species-dilution-info": "", "ICCIF-species-notes": "<p></p>" }, "Rat": { "IHCP-species-checked": "predicted", "IHCP-species-dilution-info": "", "IHCP-species-notes": "", "WB-species-checked": "predicted", "WB-species-dilution-info": "", "WB-species-notes": "", "FlowCytIntra-species-checked": "predicted", "FlowCytIntra-species-dilution-info": "", "FlowCytIntra-species-notes": "", "ICCIF-species-checked": "predicted", "ICCIF-species-dilution-info": "", "ICCIF-species-notes": "" } } }

Product details

ab250376 is the carrier-free version of ab181140.

Patented technology
Our RabMAb® technology is a patented hybridoma-based technology for making rabbit monoclonal antibodies. For details on our patents, please refer to RabMAb® patents.

What are the advantages of a recombinant monoclonal antibody?
This product is a recombinant monoclonal antibody, which offers several advantages including:

  • - High batch-to-batch consistency and reproducibility
  • - Improved sensitivity and specificity
  • - Long-term security of supply
  • - Animal-free batch production

For more information, read more on recombinant antibodies.

Conjugation ready
Our carrier-free antibodies are typically supplied in a PBS-only formulation, purified and free of BSA, sodium azide and glycerol. This conjugation-ready format is designed for use with fluorochromes, metal isotopes, oligonucleotides, and enzymes, which makes them ideal for antibody labelling, functional and cell-based assays, flow-based assays (e.g. mass cytometry) and Multiplex Imaging applications.

Use our conjugation kits for antibody conjugates that are ready-to-use in as little as 20 minutes with 1 minute hands-on-time and 100% antibody recovery: available for fluorescent dyes, HRP, biotin and gold.

Compatibility
This product is compatible with the Maxpar® Antibody Labeling Kit from Fluidigm, without the need for antibody preparation. Maxpar® is a trademark of Fluidigm Canada Inc.

Properties and storage information

Form
Liquid
Purification technique
Affinity purification Protein A
Storage buffer
pH: 7.2 - 7.4 Constituents: PBS
Shipped at conditions
Blue Ice
Appropriate short-term storage conditions
+4°C
Appropriate long-term storage conditions
+4°C
Storage information
Do Not Freeze

Supplementary information

This supplementary information is collated from multiple sources and compiled automatically.

RING2 also known as RING1B or RNF2 is a protein that functions as a member of the Polycomb Repressive Complex 1 (PRC1). This protein contains a RING-finger domain facilitating ubiquitin ligase activity. It has a molecular mass of approximately 38 kDa. RING2/RNF2/RING1B is expressed in various tissues including the brain heart and lungs indicating its fundamental role across different biological systems.
Biological function summary

RING2/RNF2/RING1B regulates gene expression by modifying chromatin structure especially through monoubiquitination of histone H2A at lysine 119. This action occurs within the Polycomb Repressive Complex 1 a multiprotein structure important for maintaining the transcriptional repression of target genes. It influences cell cycle progression and development by silencing genes involved in proliferation and differentiation.

Pathways

RING2/RNF2/RING1B's role connects to the Polycomb group (PcG) pathway and the Wnt signaling pathway. Within these pathways it interacts with proteins like BMI1 and EZH2 which are other components of polycomb complexes. These interactions help modulate chromatin dynamics and control the expression of several genes involved in cell identity and development.

Dysfunction or aberrant expression of RING2/RNF2/RING1B has links to cancer and neurological disorders. Its relationship with proteins like CBX8 ties it to pathways of oncogenesis where it can influence tumorigenesis through misregulation of gene silencing. Furthermore changes in RING2/RNF2/RING1B expression or function may contribute to developmental disorders associated with improper neuronal development.

Product protocols

For this product, it's our understanding that no specific protocols are required. You can visit:

Target data

E3 ubiquitin-protein ligase that mediates monoubiquitination of 'Lys-119' of histone H2A (H2AK119Ub), thereby playing a central role in histone code and gene regulation (PubMed : 15386022, PubMed : 16359901, PubMed : 21772249, PubMed : 25355358, PubMed : 25519132, PubMed : 26151332, PubMed : 33864376). H2AK119Ub gives a specific tag for epigenetic transcriptional repression and participates in X chromosome inactivation of female mammals. May be involved in the initiation of both imprinted and random X inactivation (By similarity). Essential component of a Polycomb group (PcG) multiprotein PRC1-like complex, a complex class required to maintain the transcriptionally repressive state of many genes, including Hox genes, throughout development (PubMed : 16359901, PubMed : 26151332). PcG PRC1 complex acts via chromatin remodeling and modification of histones, rendering chromatin heritably changed in its expressibility (PubMed : 26151332). E3 ubiquitin-protein ligase activity is enhanced by BMI1/PCGF4 (PubMed : 21772249). Acts as the main E3 ubiquitin ligase on histone H2A of the PRC1 complex, while RING1 may rather act as a modulator of RNF2/RING2 activity (Probable). Association with the chromosomal DNA is cell-cycle dependent. In resting B- and T-lymphocytes, interaction with AURKB leads to block its activity, thereby maintaining transcription in resting lymphocytes (By similarity). Also acts as a negative regulator of autophagy by mediating ubiquitination of AMBRA1, leading to its subsequent degradation (By similarity).
See full target information RNF2

Product promise

We are committed to supporting your work with high-quality reagents, and we're here for you every step of the way. In the unlikely event that one of our products does not perform as expected, you're protected by our Product Promise.
For full details, please see our Terms & Conditions

Please note: All products are 'FOR RESEARCH USE ONLY. NOT FOR USE IN DIAGNOSTIC OR THERAPEUTIC PROCEDURES'.

For licensing inquiries, please contact partnerships@abcam.com