JavaScript is disabled in your browser. Please enable JavaScript to view this website.
AB234421

Anti-RING2 / RING1B / RNF2 (phospho S168) antibody [EPR20902-58]

Be the first to review this product! Submit a review

|

(2 Publications)

Rabbit Recombinant Monoclonal RING2 / RING1B / RNF2 phospho S168 antibody. Suitable for IP, Dot, WB and reacts with Mouse, Human, Synthetic peptide samples. Cited in 2 publications.

View Alternative Names

DinG, Ring1b, Rnf2, E3 ubiquitin-protein ligase RING2, RING finger protein 1B, RING finger protein 2, RING-type E3 ubiquitin transferase RING2, RING1b

4 Images
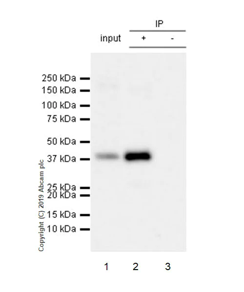
Immunoprecipitation - Anti-RING2 / RING1B / RNF2 (phospho S168) antibody [EPR20902-58] (AB234421)
  • IP

Unknown

Immunoprecipitation - Anti-RING2 / RING1B / RNF2 (phospho S168) antibody [EPR20902-58] (AB234421)

RING2 / RING1B / RNF2 (phospho S168) was immunoprecipitated from 0.35 mg of F9 (mouse embryonic testicular cancer cell line) whole cell lysate with a234421 at 1/30 dilution. Western blot was performed from the immunoprecipitate using ab234421 at 1/1000 dilution. VeriBlot for IP Detection Reagent (HRP) (ab131366), was used at 1/5000 dilution.

Lane 1 : F9 whole cell lysate 10 μg (Input).
Lane 2 : ab234421 IP in F9 whole cell lysate.
Lane 3 : Rabbit monoclonal IgG (ab172730) instead of ab234421 in F9 whole cell lysate.

Blocking and dilution buffer and concentration : 5% NFDM/TBST.
Exposure time : 30 seconds.

All lanes:

Immunoprecipitation - Anti-RING2 / RING1B / RNF2 (phospho S168) antibody [EPR20902-58] (ab234421)

Predicted band size: 37 kDa

Observed band size: 40 kDa

false

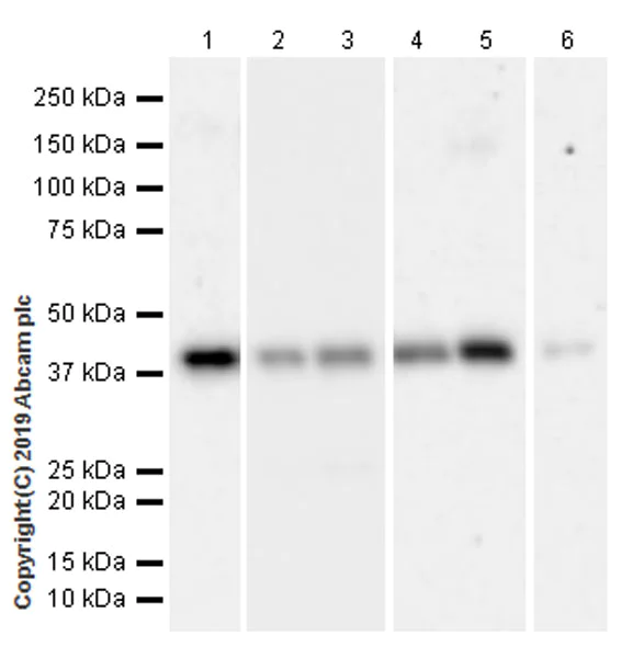
Western blot - Anti-RING2 / RING1B / RNF2 (phospho S168) antibody [EPR20902-58] (AB234421)
  • WB

Unknown

Western blot - Anti-RING2 / RING1B / RNF2 (phospho S168) antibody [EPR20902-58] (AB234421)

Blocking and dilution buffer : 5% NFDM/TBST.

Exposure times.

Lane 1 : 3 minutes; Lanes 2 & 3 : 15 seconds; Lanes 4-6 : 3 minutes.

All lanes:

Western blot - Anti-RING2 / RING1B / RNF2 (phospho S168) antibody [EPR20902-58] (ab234421) at 1/1000 dilution

Lane 1:

HeLa (human epithelial cell line from cervix adenocarcinoma) whole cell lysate at 20 µg

Lane 2:

NCCIT (human pluripotent embryonic carcinoma cell line) whole cell lysate at 20 µg

Lane 3:

HEK-293T (human epithelial cell line from embryonic kidney transformed with large T antigen) whole cell lysate at 20 µg

Lane 4:

HepG2 (human liver hepatocellular carcinoma cell line) whole cell lysate at 20 µg

Lane 5:

F9 (mouse embryonic testicular cancer cell line) whole cell lysate at 20 µg

Lane 6:

Mouse testis tissue lysate at 20 µg

Secondary

All lanes:

Western blot - Goat Anti-Rabbit IgG H&L (HRP) (<a href='/en-us/products/secondary-antibodies/goat-rabbit-igg-h-l-hrp-ab97051'>ab97051</a>) at 1/100000 dilution

Predicted band size: 37 kDa

Observed band size: 40 kDa

false

Western blot - Anti-RING2 / RING1B / RNF2 (phospho S168) antibody [EPR20902-58] (AB234421)
  • WB

Unknown

Western blot - Anti-RING2 / RING1B / RNF2 (phospho S168) antibody [EPR20902-58] (AB234421)

Blocking and dilution buffer : 5% NFDM/TBST.

Lysates were kindly provided by Dr Jinzhong Qin.

All lanes:

Western blot - Anti-RING2 / RING1B / RNF2 (phospho S168) antibody [EPR20902-58] (ab234421) at 1/1000 dilution

Lane 1:

Overexpression of wild type RNF2 in RNF2 knock out mouse embryonic stem cells derived from C57BL/6 mouse, whole cell lysate at 10 µg

Lane 2:

Overexpression of S168A mutant RNF2 in RNF2 knock out mouse embryonic stem cells derived from C57BL/6 mouse, whole cell lysate at 10 µg

Secondary

All lanes:

Western blot - Goat Anti-Rabbit IgG H&L (HRP) (<a href='/en-us/products/secondary-antibodies/goat-rabbit-igg-h-l-hrp-ab97051'>ab97051</a>) at 1/100000 dilution

Predicted band size: 37 kDa

Observed band size: 40 kDa

false

Dot Blot - Anti-RING2 / RING1B / RNF2 (phospho S168) antibody [EPR20902-58] (AB234421)
  • Dot

Unknown

Dot Blot - Anti-RING2 / RING1B / RNF2 (phospho S168) antibody [EPR20902-58] (AB234421)

Dot blot analysis of RING2 / RING1B / RNF2 (phospho S168) peptide labeled with ab234421 at 1/1000 dilution.

Lane 1 : RING2 / RING1B / RNF2 (phospho S168) peptide (aa161-172).
Lane 2 : RING2 / RING1B / RNF2 (phospho S168) peptide (aa165-176).
Lane 3 : RING2 / RING1B / RNF2 non-phospho peptide (aa161-172).

Goat Anti-Rabbit IgG H&L (HRP) (ab97051) at 1/100000 dilution was used as secondary antibody.

Blocking and dilution buffer : 5% NFDM/TBST.

Exposure time : 3 minutes.

  • Carrier free

    Anti-RING2 / RING1B / RNF2 (phospho S168) antibody [EPR20902-58] - BSA and Azide free

Key facts

Host species

Rabbit

Clonality

Monoclonal

Clone number

EPR20902-58

Isotype

IgG

Carrier free

No

Reacts with

Mouse, Human

Applications

Dot, IP, WB

applications

Immunogen

The exact immunogen used to generate this antibody is proprietary information.

Reactivity data

{ "title": "Reactivity Data", "filters": { "stats": ["", "Species", "Dilution Info", "Notes"], "tabs": { "all-applications": {"fullname" : "All Applications", "shortname": "All Applications"}, "IP" : {"fullname" : "Immunoprecipitation", "shortname":"IP"}, "FlowCyt" : {"fullname" : "Flow Cytometry", "shortname":"Flow Cyt"}, "Dot" : {"fullname" : "Dot Blot", "shortname":"Dot"}, "WB" : {"fullname" : "Western blot", "shortname":"WB"}, "IHCP" : {"fullname" : "Immunohistochemistry (Formalin/PFA-fixed paraffin-embedded sections)", "shortname":"IHC-P"}, "ICCIF" : {"fullname" : "Immunocytochemistry/ Immunofluorescence", "shortname":"ICC/IF"} }, "product-promise": { "all": "all", "testedAndGuaranteed": "tested", "guaranteed": "expected", "predicted": "predicted", "notRecommended": "not-recommended" } }, "values": { "Human": { "IP-species-checked": "guaranteed", "IP-species-dilution-info": "", "IP-species-notes": "", "FlowCyt-species-checked": "notRecommended", "FlowCyt-species-dilution-info": "", "FlowCyt-species-notes": "<p></p>", "Dot-species-checked": "guaranteed", "Dot-species-dilution-info": "", "Dot-species-notes": "", "WB-species-checked": "testedAndGuaranteed", "WB-species-dilution-info": "1/1000", "WB-species-notes": "<p></p>", "IHCP-species-checked": "notRecommended", "IHCP-species-dilution-info": "", "IHCP-species-notes": "<p></p>", "ICCIF-species-checked": "notRecommended", "ICCIF-species-dilution-info": "", "ICCIF-species-notes": "<p></p>" }, "Mouse": { "IP-species-checked": "testedAndGuaranteed", "IP-species-dilution-info": "1/30", "IP-species-notes": "<p></p>", "FlowCyt-species-checked": "notRecommended", "FlowCyt-species-dilution-info": "", "FlowCyt-species-notes": "<p></p>", "Dot-species-checked": "guaranteed", "Dot-species-dilution-info": "", "Dot-species-notes": "", "WB-species-checked": "testedAndGuaranteed", "WB-species-dilution-info": "1/1000", "WB-species-notes": "<p></p>", "IHCP-species-checked": "notRecommended", "IHCP-species-dilution-info": "", "IHCP-species-notes": "<p></p>", "ICCIF-species-checked": "notRecommended", "ICCIF-species-dilution-info": "", "ICCIF-species-notes": "<p></p>" }, "Synthetic peptide": { "IP-species-checked": "notRecommended", "IP-species-dilution-info": "", "IP-species-notes": "", "FlowCyt-species-checked": "notRecommended", "FlowCyt-species-dilution-info": "", "FlowCyt-species-notes": "", "Dot-species-checked": "testedAndGuaranteed", "Dot-species-dilution-info": "1/1000", "Dot-species-notes": "<p></p>", "WB-species-checked": "notRecommended", "WB-species-dilution-info": "", "WB-species-notes": "", "IHCP-species-checked": "notRecommended", "IHCP-species-dilution-info": "", "IHCP-species-notes": "", "ICCIF-species-checked": "notRecommended", "ICCIF-species-dilution-info": "", "ICCIF-species-notes": "" } } }

Product details

Patented technology
Our RabMAb® technology is a patented hybridoma-based technology for making rabbit monoclonal antibodies. For details on our patents, please refer to RabMAb® patents.

What are the advantages of a recombinant monoclonal antibody?
This product is a recombinant monoclonal antibody, which offers several advantages including:

  • - High batch-to-batch consistency and reproducibility
  • - Improved sensitivity and specificity
  • - Long-term security of supply
  • - Animal-free batch production

For more information, read more on recombinant antibodies.

Properties and storage information

Form
Liquid
Purification technique
Affinity purification Protein A
Storage buffer
pH: 7.2 - 7.4 Preservative: 0.01% Sodium azide Constituents: PBS, 40% Glycerol (glycerin, glycerine), 0.05% BSA
Shipped at conditions
Blue Ice
Appropriate short-term storage duration
1-2 weeks
Appropriate short-term storage conditions
+4°C
Appropriate long-term storage conditions
-20°C
Aliquoting information
Upon delivery aliquot
Storage information
Avoid freeze / thaw cycle

Supplementary information

This supplementary information is collated from multiple sources and compiled automatically.

RING2 also known as RING1B or RNF2 is a protein that functions as a member of the Polycomb Repressive Complex 1 (PRC1). This protein contains a RING-finger domain facilitating ubiquitin ligase activity. It has a molecular mass of approximately 38 kDa. RING2/RNF2/RING1B is expressed in various tissues including the brain heart and lungs indicating its fundamental role across different biological systems.
Biological function summary

RING2/RNF2/RING1B regulates gene expression by modifying chromatin structure especially through monoubiquitination of histone H2A at lysine 119. This action occurs within the Polycomb Repressive Complex 1 a multiprotein structure important for maintaining the transcriptional repression of target genes. It influences cell cycle progression and development by silencing genes involved in proliferation and differentiation.

Pathways

RING2/RNF2/RING1B's role connects to the Polycomb group (PcG) pathway and the Wnt signaling pathway. Within these pathways it interacts with proteins like BMI1 and EZH2 which are other components of polycomb complexes. These interactions help modulate chromatin dynamics and control the expression of several genes involved in cell identity and development.

Dysfunction or aberrant expression of RING2/RNF2/RING1B has links to cancer and neurological disorders. Its relationship with proteins like CBX8 ties it to pathways of oncogenesis where it can influence tumorigenesis through misregulation of gene silencing. Furthermore changes in RING2/RNF2/RING1B expression or function may contribute to developmental disorders associated with improper neuronal development.

Product protocols

For this product, it's our understanding that no specific protocols are required. You can visit:

Target data

E3 ubiquitin-protein ligase that mediates monoubiquitination of 'Lys-119' of histone H2A (H2AK119Ub), thereby playing a central role in histone code and gene regulation (PubMed : 15525528, PubMed : 22325148, PubMed : 28596365). H2AK119Ub gives a specific tag for epigenetic transcriptional repression and participates in X chromosome inactivation of female mammals (PubMed : 15525528, PubMed : 28596365). May be involved in the initiation of both imprinted and random X inactivation (PubMed : 15525528). Essential component of a Polycomb group (PcG) multiprotein PRC1-like complex, a complex class required to maintain the transcriptionally repressive state of many genes, including Hox genes, throughout development (PubMed : 16710298, PubMed : 22325148). PcG PRC1 complex acts via chromatin remodeling and modification of histones, rendering chromatin heritably changed in its expressibility (PubMed : 15525528, PubMed : 16710298, PubMed : 22325148). E3 ubiquitin-protein ligase activity is enhanced by BMI1/PCGF4 (PubMed : 16710298). Acts as the main E3 ubiquitin ligase on histone H2A of the PRC1 complex, while RING1 may rather act as a modulator of RNF2/RING2 activity (PubMed : 15525528, PubMed : 16710298). Plays a role in the transcriptional repression of genes that are required for pluripotency in embryonic stem cells, thereby contributing to differentiation of the ectodermal and endodermal germ layers (PubMed : 22226355). Association with the chromosomal DNA is cell-cycle dependent. In resting B- and T-lymphocytes, interaction with AURKB leads to block its activity, thereby maintaining transcription in resting lymphocytes (PubMed : 24034696). Also acts as a negative regulator of autophagy by mediating ubiquitination of AMBRA1, leading to its subsequent degradation (PubMed : 24980959).
See full target information Rnf2 phospho S168

Publications (2)

Recent publications for all applications. Explore the full list and refine your search

Cancers 15: PubMed38001568

2023

Is a Highly Expressed Therapy Target in Myxoid Liposarcoma.

Applications

Unspecified application

Species

Unspecified reactive species

Kirsi Toivanen,Sami Kilpinen,Kalle Ojala,Nanna Merikoski,Sami Salmikangas,Mika Sampo,Tom Böhling,Harri Sihto

Molecular cell 81:3526-3541.e8 PubMed34186021

2021

BAP1 enhances Polycomb repression by counteracting widespread H2AK119ub1 deposition and chromatin condensation.

Applications

Unspecified application

Species

Unspecified reactive species

Eric Conway,Federico Rossi,Daniel Fernandez-Perez,Eleonora Ponzo,Karin Johanna Ferrari,Marika Zanotti,Daria Manganaro,Simona Rodighiero,Simone Tamburri,Diego Pasini
View all publications

Product promise

We are committed to supporting your work with high-quality reagents, and we're here for you every step of the way. In the unlikely event that one of our products does not perform as expected, you're protected by our Product Promise.
For full details, please see our Terms & Conditions

Please note: All products are 'FOR RESEARCH USE ONLY. NOT FOR USE IN DIAGNOSTIC OR THERAPEUTIC PROCEDURES'.

For licensing inquiries, please contact partnerships@abcam.com