JavaScript is disabled in your browser. Please enable JavaScript to view this website.
AB106393

Anti-RIP antibody

4

(3 Reviews)

|

(25 Publications)

Rabbit Polyclonal RIP antibody. Suitable for ICC/IF, WB, IHC-P and reacts with Mouse, Rat samples. Cited in 25 publications. Immunogen corresponding to Synthetic Peptide within Human RIPK1.

View Alternative Names

RIP, RIP1, RIPK1, Receptor-interacting serine/threonine-protein kinase 1, Cell death protein RIP, Receptor-interacting protein 1, RIP-1

3 Images
Immunocytochemistry/ Immunofluorescence - Anti-RIP antibody (AB106393)
  • ICC/IF

Unknown

Immunocytochemistry/ Immunofluorescence - Anti-RIP antibody (AB106393)

Immunofluorescence of RIP in Mouse Kidney cells using ab106393 at 20 ug/ml.

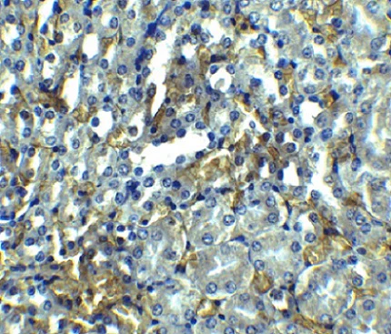
Immunohistochemistry (Formalin/PFA-fixed paraffin-embedded sections) - Anti-RIP antibody (AB106393)
  • IHC-P

Supplier Data

Immunohistochemistry (Formalin/PFA-fixed paraffin-embedded sections) - Anti-RIP antibody (AB106393)

Immunohistochemical analysis of mouse kidney tissue section labelling RIP with ab106393 at 2.5 ug/mL.

Western blot - Anti-RIP antibody (AB106393)
  • WB

Unknown

Western blot - Anti-RIP antibody (AB106393)

All lanes:

Western blot - Anti-RIP antibody (ab106393) at 1 µg/mL

All lanes:

Rat kidney tissue lysate at 15 µg

Predicted band size: 75 kDa

false

Key facts

Host species

Rabbit

Clonality

Polyclonal

Isotype

IgG

Carrier free

No

Reacts with

Mouse, Rat

Applications

ICC/IF, IHC-P, WB

applications

Immunogen

Synthetic Peptide within Human RIPK1. The exact immunogen used to generate this antibody is proprietary information.

Q13546

Specificity

ab106393 reacts with RIP. It does not crossreact with other TKL Ser/Thr protein kinase family members.

Reactivity data

{ "title": "Reactivity Data", "filters": { "stats": ["", "Species", "Dilution Info", "Notes"], "tabs": { "all-applications": {"fullname" : "All Applications", "shortname": "All Applications"}, "ICCIF" : {"fullname" : "Immunocytochemistry/ Immunofluorescence", "shortname":"ICC/IF"}, "WB" : {"fullname" : "Western blot", "shortname":"WB"}, "IHCP" : {"fullname" : "Immunohistochemistry (Formalin/PFA-fixed paraffin-embedded sections)", "shortname":"IHC-P"} }, "product-promise": { "all": "all", "testedAndGuaranteed": "tested", "guaranteed": "expected", "predicted": "predicted", "notRecommended": "not-recommended" } }, "values": { "Mouse": { "ICCIF-species-checked": "testedAndGuaranteed", "ICCIF-species-dilution-info": "20 µg/mL", "ICCIF-species-notes": "<p><strong>Validated in mouse only</strong></p>", "WB-species-checked": "guaranteed", "WB-species-dilution-info": "", "WB-species-notes": "", "IHCP-species-checked": "testedAndGuaranteed", "IHCP-species-dilution-info": "2.5 µg/mL", "IHCP-species-notes": "<p><strong>Validated in mouse only</strong></p>" }, "Rat": { "ICCIF-species-checked": "guaranteed", "ICCIF-species-dilution-info": "", "ICCIF-species-notes": "", "WB-species-checked": "testedAndGuaranteed", "WB-species-dilution-info": "1-2 µg/mL", "WB-species-notes": "<p><strong>Validated in rat only</strong></p>", "IHCP-species-checked": "guaranteed", "IHCP-species-dilution-info": "", "IHCP-species-notes": "" } } }

Properties and storage information

Form
Liquid
Purification technique
Affinity purification Immunogen
Storage buffer
pH: 7.2 Preservative: 0.02% Sodium azide Constituents: PBS
Shipped at conditions
Blue Ice
Appropriate short-term storage duration
1-2 weeks
Appropriate short-term storage conditions
+4°C
Appropriate long-term storage conditions
-20°C
Aliquoting information
Upon delivery aliquot
Storage information
Avoid freeze / thaw cycle

Supplementary information

This supplementary information is collated from multiple sources and compiled automatically.

RIP also known as Receptor-Interacting Protein or RIPK1 is a serine/threonine-protein kinase with a mass of approximately 74 kDa. It plays an important role in cell death and survival signaling pathways. RIP is expressed ubiquitously across various tissues indicating its importance in many cellular functions. The protein contains a kinase domain an intermediate domain for protein-protein interactions and a death domain which facilitates its involvement in apoptotic signaling processes.
Biological function summary

Receptor-Interacting Protein Kinase 1 (RIPK1) participates in regulating both necroptosis and apoptosis distinguishing itself as an important mediator in cell death mechanisms. As part of the necrosome complex which includes RIPK3 and MLKL RIPK1 functions in necroptosis—a programmed form of necrosis. This characteristic involvement shows its dual role in maintaining cell fate decisions making it an integral part of immune response and inflammation control.

Pathways

RIPK1 strongly associates with the TNF signaling pathway and NF-kB pathway. Its interaction with TNF receptor 1 (TNFR1) and consequent involvement with TRADD and TRAF2 mediates the signal transduction necessary for the activation of NF-kB leading to transcription of genes involved in survival and inflammation. This connection illustrates its capability to switch between promoting cell survival through NF-kB and facilitating cell death via necroptosis or apoptosis depending on cellular context and cues.

RIPK1 plays a significant role in conditions such as inflammatory diseases and neurodegenerative disorders. Its overactivation results in excessive cell death implicated in inflammatory conditions; necrostatin a necroptosis inhibitor targets RIPK1 to potentially mitigate this damage. Furthermore RIPK1's dysregulation links to Alzheimer's disease where it can interact with components like RIPK3 to exacerbate neurodegenerative processes. This relationship underlines the potential of targeting RIPK1 therapeutically to manage inflammation and neurodegeneration.

Product protocols

For this product, it's our understanding that no specific protocols are required. You can visit:

Target data

Serine-threonine kinase which is a key regulator of TNF-mediated apoptosis, necroptosis and inflammatory pathways (PubMed : 17703191, PubMed : 24144979, PubMed : 31827280, PubMed : 31827281, PubMed : 32657447, PubMed : 35831301). Exhibits kinase activity-dependent functions that regulate cell death and kinase-independent scaffold functions regulating inflammatory signaling and cell survival (PubMed : 11101870, PubMed : 19524512, PubMed : 19524513, PubMed : 29440439, PubMed : 30988283). Has kinase-independent scaffold functions : upon binding of TNF to TNFR1, RIPK1 is recruited to the TNF-R1 signaling complex (TNF-RSC also known as complex I) where it acts as a scaffold protein promoting cell survival, in part, by activating the canonical NF-kappa-B pathway (By similarity). Kinase activity is essential to regulate necroptosis and apoptosis, two parallel forms of cell death : upon activation of its protein kinase activity, regulates assembly of two death-inducing complexes, namely complex IIa (RIPK1-FADD-CASP8), which drives apoptosis, and the complex IIb (RIPK1-RIPK3-MLKL), which drives necroptosis (By similarity). RIPK1 is required to limit CASP8-dependent TNFR1-induced apoptosis (By similarity). In normal conditions, RIPK1 acts as an inhibitor of RIPK3-dependent necroptosis, a process mediated by RIPK3 component of complex IIb, which catalyzes phosphorylation of MLKL upon induction by ZBP1 (PubMed : 19524512, PubMed : 19524513, PubMed : 29440439, PubMed : 30988283). Inhibits RIPK3-mediated necroptosis via FADD-mediated recruitment of CASP8, which cleaves RIPK1 and limits TNF-induced necroptosis (PubMed : 19524512, PubMed : 19524513, PubMed : 29440439, PubMed : 30988283). Required to inhibit apoptosis and necroptosis during embryonic development : acts by preventing the interaction of TRADD with FADD thereby limiting aberrant activation of CASP8 (By similarity). In addition to apoptosis and necroptosis, also involved in inflammatory response by promoting transcriptional production of pro-inflammatory cytokines, such as interleukin-6 (IL6) (PubMed : 31827280, PubMed : 31827281). Phosphorylates RIPK3 : RIPK1 and RIPK3 undergo reciprocal auto- and trans-phosphorylation (PubMed : 19524513). Phosphorylates DAB2IP at 'Ser-728' in a TNF-alpha-dependent manner, and thereby activates the MAP3K5-JNK apoptotic cascade (PubMed : 15310755, PubMed : 17389591). Required for ZBP1-induced NF-kappa-B activation in response to DNA damage (By similarity).
See full target information RIPK1

Publications (25)

Recent publications for all applications. Explore the full list and refine your search

Redox biology 64:102767 PubMed37290302

2023

Cyclic helix B peptide alleviates proinflammatory cell death and improves functional recovery after traumatic spinal cord injury.

Applications

Unspecified application

Species

Unspecified reactive species

Yu Xu,Yibo Geng,Hui Wang,Haojie Zhang,Jianjun Qi,Feida Li,Xinli Hu,Yituo Chen,Haipeng Si,Yao Li,Xiangyang Wang,Huazi Xu,Jianzhong Kong,Yuepiao Cai,Aimin Wu,Wenfei Ni,Jian Xiao,Kailiang Zhou

Cell death & disease 14:335 PubMed37217473

2023

RIPK1-dependent necroptosis promotes vasculogenic mimicry formation via eIF4E in triple-negative breast cancer.

Applications

Unspecified application

Species

Unspecified reactive species

Fan Li,Huizhi Sun,Yihui Yu,Na Che,Jiyuan Han,Runfen Cheng,Nan Zhao,Yuhong Guo,Chongbiao Huang,Danfang Zhang

Translational neuroscience 14:20220277 PubMed36895263

2023

Omega-3 polyunsaturated fatty acids alleviate early brain injury after traumatic brain injury by inhibiting neuroinflammation and necroptosis.

Applications

Unspecified application

Species

Unspecified reactive species

Yali Wu,Jing Zhang,Xiaoyan Feng,Wei Jiao

Physiological research 71:771-781 PubMed36281723

2022

Hydrogen sulfide protects against ischemic heart failure by inhibiting RIP1/RIP3/MLKL-mediated necroptosis.

Applications

Unspecified application

Species

Unspecified reactive species

F Ma,Y Zhu,L Chang,J Gong,Y Luo,J Dai,H Lu

Acta cirurgica brasileira 37:e370301 PubMed35584533

2022

Ulinastatin alleviates early brain injury after intracerebral hemorrhage by inhibiting necroptosis and neuroinflammation via MAPK/NF-κB signaling pathway.

Applications

Unspecified application

Species

Unspecified reactive species

Li Wang,Wei Jiao,Jiayu Wu,Jing Zhang,Min Tang,Yang Chen

BioMed research international 2022:4833791 PubMed35265713

2022

T1AM Attenuates the Hypoxia/Reoxygenation-Induced Necroptosis of H9C2 Cardiomyocytes via RIPK1/RIPK3 Pathway.

Applications

Unspecified application

Species

Unspecified reactive species

Bo Wei,Hanbing Zhao,Bailong Hu,Lujun Dai,Guoning Zhang,Lili Mo,Niwen Huang,Changchao Zou,Bei Zhang,Haiyan Zhou,Wei Li,Xingde Liu

Experimental and therapeutic medicine 23:126 PubMed34970349

2022

Hydrogen-rich saline alleviates early brain injury through inhibition of necroptosis and neuroinflammation via the ROS/HO-1 signaling pathway after traumatic brain injury.

Applications

Unspecified application

Species

Unspecified reactive species

Yun Hu,Xiaoyan Feng,Junhui Chen,Yan Wu,Liuyan Shen

Acta cirurgica brasileira 36:e361002 PubMed34817023

2021

The neuroprotection of cerebrolysin after spontaneous intracerebral hemorrhage through regulates necroptosis via Akt/ GSK3β signaling pathway.

Applications

Unspecified application

Species

Unspecified reactive species

Yunna Tao,Yeping Xu,Meng Shen,Xiaoyan Feng,Yan Wu,Youping Wu,Liuyan Shen,Yuhai Wang

Oxidative medicine and cellular longevity 2021:8186877 PubMed34712387

2021

GDF-11 Protects the Traumatically Injured Spinal Cord by Suppressing Pyroptosis and Necroptosis via TFE3-Mediated Autophagy Augmentation.

Applications

Unspecified application

Species

Unspecified reactive species

Yu Xu,Xinli Hu,Feida Li,Haojie Zhang,Junsheng Lou,Xingyu Wang,Hui Wang,Lingyan Yin,Wenfei Ni,Jianzhong Kong,Xiangyang Wang,Yao Li,Kailiang Zhou,Hui Xu

British journal of pharmacology 179:301-321 PubMed34622942

2021

Cyclic helix B peptide promotes random-pattern skin flap survival via TFE3-mediated enhancement of autophagy and reduction of ROS levels.

Applications

Unspecified application

Species

Unspecified reactive species

Junsheng Lou,Haojie Zhang,Jianjun Qi,Yu Xu,Xingyu Wang,Jingtao Jiang,Xinli Hu,Libin Ni,Yuepiao Cai,Xiangyang Wang,Weiyang Gao,Jian Xiao,Kailiang Zhou
View all publications

Product promise

We are committed to supporting your work with high-quality reagents, and we're here for you every step of the way. In the unlikely event that one of our products does not perform as expected, you're protected by our Product Promise.
For full details, please see our Terms & Conditions

Please note: All products are 'FOR RESEARCH USE ONLY. NOT FOR USE IN DIAGNOSTIC OR THERAPEUTIC PROCEDURES'.

For licensing inquiries, please contact partnerships@abcam.com