JavaScript is disabled in your browser. Please enable JavaScript to view this website.
AB300617

Anti-RIP antibody [EPR24883-85]

  • BOND RX™ Validated
  • 20ul selling size
  • RabMAb
  • Recombinant
  • KO Validated
  • What is this?

4

(1 Review)

|

(4 Publications)

Anti-RIP antibody [EPR24883-85] (ab300617) is a rabbit monoclonal antibody detecting RIP in Western Blot, IP, IHC-P. Suitable for Human, Mouse, Rat.

- KO validated for confirmed specificity
- Biophysical QC for unrivalled batch-batch consistency

View Alternative Names

RIP, RIP1, RIPK1, Receptor-interacting serine/threonine-protein kinase 1, Cell death protein RIP, Receptor-interacting protein 1, RIP-1

9 Images
Immunohistochemistry - Anti-RIP antibody [EPR24883-85] (AB300617)
  • IHC

Supplier Data

Immunohistochemistry - Anti-RIP antibody [EPR24883-85] (AB300617)

Immunohistochemical analysis of paraffin-embedded (A) Wild-type HAP1 c tissue labeling RIP with ab300617 at 1/100 (5.11 ug/ml) followed by a LeicaDS9800 (Bond™ Polymer Refine Detection) was used at Ready to use dilution. Positive staining on (A) Wild-type HAP1 cell pellet(B) and no staining on RIPK1 knockout HAP1 cell pellet.The section was incubated with ab300617 for 30 mins at room temperature. The immunostaining was performed on a Leica Biosystems BOND® RX instrument Counterstained with Hematoxylin. Secondary antibody only control : Secondary antibody is LeicaDS9800 (Bond™ Polymer Refine Detection) was used at Ready to use dilution. Heat mediated antigen retrieval with Tris-EDTA buffer (pH 9.0, epitope retrieval solution2) for 20 mins

Immunohistochemistry - Anti-RIP antibody [EPR24883-85] (AB300617)
  • IHC

Supplier Data

Immunohistochemistry - Anti-RIP antibody [EPR24883-85] (AB300617)

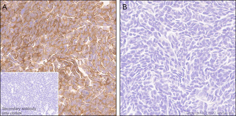
Immunohistochemical analysis of paraffin-embedded Human cervical carci tissue labeling RIP with ab300617 at 1/100 (5.11 ug/ml) followed by a LeicaDS9800 (Bond™ Polymer Refine Detection) was used at Ready to use dilution. Cytoplasmic staining on human cervical carcinoma.The section was incubated with ab300617 for 30 mins at room temperature. The immunostaining was performed on a Leica Biosystems BOND® RX instrument Counterstained with Hematoxylin. Secondary antibody only control : Secondary antibody is LeicaDS9800 (Bond™ Polymer Refine Detection) was used at Ready to use dilution. Heat mediated antigen retrieval with Tris-EDTA buffer (pH 9.0, epitope retrieval solution2) for 20 mins

Western blot - Anti-RIP antibody [EPR24883-85] (AB300617)
  • WB

Lab

Western blot - Anti-RIP antibody [EPR24883-85] (AB300617)

Anti-RIPK1 antibody [EPR24883-85] (ab300617) staining at 1/1000 dilution, shown in green; Mouse anti-GAPDH antibody [6C5] (ab8245) loading control staining at 1/20000 dilution, shown in red. In Western blot, ab300617 was shown to bind specifically to RIPK1. A band was observed at 75 kDa in wild-type THP-1 cell lysates with no signal observed at this size in RIPK1 knockout cell line ab276121 (knockout cell lysate ab284221). To generate this image, wild-type and RIPK1 knockout THP-1 cell lysates were analysed. First, samples were run on an SDS-PAGE gel then transferred onto a nitrocellulose membrane. Membranes were blocked in 3 % milk in TBS-0.1 % Tween$®$ 20 (TBS-T) before incubation with primary antibodies overnight at 4 °C. Blots were washed four times in TBS-T, incubated with secondary antibodies for 1 h at room temperature, washed again four times then imaged. Secondary antibodies used were Goat anti-Rabbit IgG H&L 800CW and Goat anti-Mouse IgG H&L 680RD at 1/20000 dilution

All lanes:

Western blot - Anti-RIP antibody [EPR24883-85] (ab300617) at 1/1000 dilution

Lane 1:

Wild-type THP-1 cell lysate at 20 µg

Lane 2:

RIPK1 knockout THP-1 cell lysate at 20 µg

Lane 3:

HeLa cell lysate at 20 µg

Lane 4:

Raji cell lysate at 20 µg

Secondary

Lanes 1 - 4:

Goat anti-Mouse IgG H&L 680RD at 1/20000 dilution

Lanes 1 - 4:

Goat anti-Rabbit IgG H&L 800CW at 1/20000 dilution

Predicted band size: 75 kDa

Observed band size: 75 kDa

false

Western blot - Anti-RIP antibody [EPR24883-85] (AB300617)
  • WB

Supplier Data

Western blot - Anti-RIP antibody [EPR24883-85] (AB300617)

The expression of RIP (phospho S166) is upregulated in response to z-VAD, TNF alpha and SM-164, while it is downregulated in response to necrostain treatment (PMID : 32027418, PMID : 33273695).

The identity of the lower MW band at approximately 35 kDa is unknown.

In Western blot, Anti-GAPDH antibody [EPR16891] - Loading Control (ab181602) staining at 1/200000 dilution.

In Western blot, Anti-RIP antibody - Total protein control (ab300617) staining at 1/1000 dilution.

All lanes:

Western blot - Anti-RIP (phospho S166) antibody [EPR25654-166] (<a href='/en-us/products/primary-antibodies/rip-phospho-s166-antibody-epr25654-166-ab316923'>ab316923</a>) at 1/1000 dilution

Lane 1:

Untreated HT-29 (human colorectal adenocarcinoma epithelial cell) whole cell lysate at 40 µg with NFDM/TBST

Lane 2:

HT-29 treated with 20 uM z-VAD for 3.5 hours, then with 20 ng/ml TNF alpha, 100 nM SM-164 and 50 uM necrostatin added for 3 hours whole cell lysate (untreated membrane) at 40 µg with NFDM/TBST

Lane 3:

HT-29 treated with 20 uM z-VAD for 3.5 hours, then with 20 ng/ml TNF alpha and 100nM SM-164 added for 3 hours whole cell lysate (untreated membrane) at 40 µg with NFDM/TBST

Lane 4:

HT-29 treated with 20 uM z-VAD for 3.5 hours, then with 20 ng/ml TNF alpha and 100 nM SM-164 added for 3 hours whole cell lysate (Lambda phosphatase treated membrane) at 40 µg with NFDM/TBST

Secondary

All lanes:

Western blot - Goat Anti-Rabbit IgG H&L (HRP) (<a href='/en-us/products/secondary-antibodies/goat-rabbit-igg-h-l-hrp-ab97051'>ab97051</a>) at 1/20000 dilution

Observed band size: 75 kDa,36 kDa

false

Exposure time: 180s

Western blot - Anti-RIP antibody [EPR24883-85] (AB300617)
  • WB

Supplier Data

Western blot - Anti-RIP antibody [EPR24883-85] (AB300617)

Blocking and diluting buffer and concentration : 5% NFDM/TBST.

In Western blot, ab316923 was shown to bind specifically to RIP. Target of interest was observed at 75 kDa in wild-type HAP1 cell lysates (lanes 1 and 3), whereas no signal observed at this size in RIP knockout cell line lysates (lanes 2 and 4).

The expression of RIP (phospho S166) is upregulated in response to z-VAD, TNF alpha and SM-164 treatment (PMID : 32027418, PMID : 33273695).

The identity of the lower MW band at approximately 15 kDa is unknown.

In Western blot, Anti-GAPDH antibody [EPR16891] - Loading Control (ab181602) staining at 1/200000 dilution.

In Western blot, Anti-RIP antibody - Total protein control (ab300617) staining at 1/1000 dilution.

All lanes:

Western blot - Anti-RIP (phospho S166) antibody [EPR25654-166] (<a href='/en-us/products/primary-antibodies/rip-phospho-s166-antibody-epr25654-166-ab316923'>ab316923</a>) at 1/1000 dilution

Lane 1:

Untreated wild-type HAP1(human chronic myelogenous leukemia near-haploid cell line) whole cell lysate at 50 µg

Lane 2:

Untreated RIP knockout HAP1 whole cell lysate at 50 µg

Lane 3:

Wild-type HAP1 treated with 20 uM z-VAD for 3.5 hours, then with 20 ng/ml TNF alpha and 100 nM SM-164 added for 3 hours whole cell lysate at 50 µg

Lane 4:

RIP knockout HAP1 treated with 20 uM z-VAD for 3.5 hours, then with 20 ng/ml TNF alpha and 100 nM SM-164 added for 3 hours whole cell lysate at 50 µg

Secondary

All lanes:

Western blot - Goat Anti-Rabbit IgG H&L (HRP) (<a href='/en-us/products/secondary-antibodies/goat-rabbit-igg-h-l-hrp-ab97051'>ab97051</a>) at 1/20000 dilution

Observed band size: 75 kDa,36 kDa

false

Exposure time: 180s

Western blot - Anti-RIP antibody [EPR24883-85] (AB300617)
  • WB

Supplier Data

Western blot - Anti-RIP antibody [EPR24883-85] (AB300617)

All lanes:

Western blot - Anti-RIP antibody [EPR24883-85] (ab300617) at 1/1000 dilution

Lane 1:

Mouse testis tissue lysate at 20 µg

Lane 2:

Rat testis tissue lysate at 20 µg

Secondary

All lanes:

Western blot - Goat Anti-Rabbit IgG H&L (HRP) (<a href='/en-us/products/secondary-antibodies/goat-rabbit-igg-h-l-hrp-ab97051'>ab97051</a>) at 1/20000 dilution

false

Western blot - Anti-RIP antibody [EPR24883-85] (AB300617)
  • WB

Supplier Data

Western blot - Anti-RIP antibody [EPR24883-85] (AB300617)

The identity of the lower MW band at approximately 35 kDa is unknown.

In Western blot, Anti-GAPDH antibody [EPR16891] - Loading Control (ab181602) staining at 1/200000 dilution.

In Western blot, Anti-RIP antibody - Total protein control (ab300617) staining at 1/1000 dilution.

In Western blot, Anti-6X His tag® antibody [EPR20547] - ChIP Grade (ab213204) staining at 1/5000 dilution.

All lanes:

Western blot - Anti-RIP (phospho S166) antibody [EPR25654-166] (<a href='/en-us/products/primary-antibodies/rip-phospho-s166-antibody-epr25654-166-ab316923'>ab316923</a>) at 1/1000 dilution

Lane 1:

Untreated 293T (human embryonic kidney epithelial cell) transfected with an empty vector containing a myc-His-tag®, whole cell lysate at 20 µg with NFDM/TBST

Lane 2:

Untreated 293T transfected with a human wild-type RIP expression vector containing a myc-His-tag®, whole cell lysate at 20 µg with NFDM/TBST

Lane 3:

293T transfected with a human wild-type RIP expression vector containing a myc-His-tag® were treated with 100 nM Calyculin for 30 minutes, whole cell lysate at 20 µg with NFDM/TBST

Lane 4:

293T transfected with a human RIP (S166A mutation) expression vector containing a myc-His-tag® were treated with 100 nM Calyculin for 30 minutes, whole cell lysate at 20 µg with NFDM/TBST

Secondary

All lanes:

Western blot - Goat Anti-Rabbit IgG H&L (HRP) (<a href='/en-us/products/secondary-antibodies/goat-rabbit-igg-h-l-hrp-ab97051'>ab97051</a>) at 1/20000 dilution

Observed band size: 75 kDa,36 kDa

false

Exposure time: 6s

Western blot - Anti-RIP antibody [EPR24883-85] (AB300617)
  • WB

Supplier Data

Western blot - Anti-RIP antibody [EPR24883-85] (AB300617)

All lanes:

Western blot - Anti-RIP antibody [EPR24883-85] (ab300617) at 1/1000 dilution

All lanes:

Mouse liver tissue lysate at 20 µg

Secondary

Lanes 1 - 3:

Western blot - Goat anti-Rabbit IgG H&L (IRDye® 800CW) preadsorbed (<a href='/en-us/products/secondary-antibodies/goat-rabbit-igg-h-l-irdye-800cw-preadsorbed-ab216773'>ab216773</a>) at 1/10000 dilution

Lanes 1 - 3:

Western blot - Goat anti-Mouse IgG H&L (IRDye® 680RD) preadsorbed (<a href='/en-us/products/secondary-antibodies/goat-mouse-igg-h-l-irdye-680rd-preadsorbed-ab216776'>ab216776</a>) at 1/10000 dilution

false

Western blot - Anti-RIP antibody [EPR24883-85] (AB300617)
  • WB

Supplier Data

Western blot - Anti-RIP antibody [EPR24883-85] (AB300617)

All lanes:

Western blot - Anti-RIP antibody [EPR24883-85] (ab300617) at 1/1000 dilution

Lane 1:

293T (human embryonic kidney epithelial cell) whole cell lysate at 20 µg

Lane 2:

NIH/3T3 (mouse embryonic fibroblast) whole cell lysate at 20 µg

Lane 3:

PC-12 (rat adrenal gland pheochromocytoma) whole cell lysate at 20 µg

Secondary

All lanes:

Western blot - Goat Anti-Rabbit IgG H&L (HRP) (<a href='/en-us/products/secondary-antibodies/goat-rabbit-igg-h-l-hrp-ab97051'>ab97051</a>) at 1/20000 dilution

false

  • Carrier free

    Anti-RIP antibody [EPR24883-85] (BSA and Azide free)

Key facts

Host species

Rabbit

Clonality

Monoclonal

Clone number

EPR24883-85

Isotype

IgG

Carrier free

No

Reacts with

Rat, Mouse, Human

Applications

IHC-P, WB, IP

applications

Immunogen

The exact immunogen used to generate this antibody is proprietary information.

Specificity

Not suitable for mouse and rat IHC-P.

Reactivity data

{ "title": "Reactivity Data", "filters": { "stats": ["", "Species", "Dilution Info", "Notes"], "tabs": { "all-applications": {"fullname" : "All Applications", "shortname": "All Applications"}, "IP" : {"fullname" : "Immunoprecipitation", "shortname":"IP"}, "FlowCytIntra" : {"fullname" : "Flow Cytometry (Intracellular)", "shortname":"Flow Cyt (Intra)"}, "ICCIF" : {"fullname" : "Immunocytochemistry/ Immunofluorescence", "shortname":"ICC/IF"}, "IHCP" : {"fullname" : "Immunohistochemistry (Formalin/PFA-fixed paraffin-embedded sections)", "shortname":"IHC-P"}, "WB" : {"fullname" : "Western blot", "shortname":"WB"} }, "product-promise": { "all": "all", "testedAndGuaranteed": "tested", "guaranteed": "expected", "predicted": "predicted", "notRecommended": "not-recommended" } }, "values": { "Human": { "IP-species-checked": "testedAndGuaranteed", "IP-species-dilution-info": "1/30", "IP-species-notes": "<p></p>", "FlowCytIntra-species-checked": "notRecommended", "FlowCytIntra-species-dilution-info": "", "FlowCytIntra-species-notes": "<p></p>", "ICCIF-species-checked": "notRecommended", "ICCIF-species-dilution-info": "", "ICCIF-species-notes": "<p></p>", "IHCP-species-checked": "testedAndGuaranteed", "IHCP-species-dilution-info": "1/100", "IHCP-species-notes": "<p></p> Perform heat-mediated antigen retrieval with Tris/EDTA buffer pH 9.0 before commencing with IHC staining protocol.", "WB-species-checked": "testedAndGuaranteed", "WB-species-dilution-info": "1/1000", "WB-species-notes": "<p></p>" }, "Mouse": { "IP-species-checked": "testedAndGuaranteed", "IP-species-dilution-info": "1/30", "IP-species-notes": "<p></p>", "FlowCytIntra-species-checked": "notRecommended", "FlowCytIntra-species-dilution-info": "", "FlowCytIntra-species-notes": "<p></p>", "ICCIF-species-checked": "notRecommended", "ICCIF-species-dilution-info": "", "ICCIF-species-notes": "<p></p>", "IHCP-species-checked": "notRecommended", "IHCP-species-dilution-info": "1/100", "IHCP-species-notes": "<p></p> Perform heat-mediated antigen retrieval with Tris/EDTA buffer pH 9.0 before commencing with IHC staining protocol.", "WB-species-checked": "testedAndGuaranteed", "WB-species-dilution-info": "1/1000", "WB-species-notes": "<p></p>" }, "Rat": { "IP-species-checked": "guaranteed", "IP-species-dilution-info": "", "IP-species-notes": "", "FlowCytIntra-species-checked": "notRecommended", "FlowCytIntra-species-dilution-info": "", "FlowCytIntra-species-notes": "", "ICCIF-species-checked": "notRecommended", "ICCIF-species-dilution-info": "", "ICCIF-species-notes": "", "IHCP-species-checked": "notRecommended", "IHCP-species-dilution-info": "1/100", "IHCP-species-notes": "<p></p> Perform heat-mediated antigen retrieval with Tris/EDTA buffer pH 9.0 before commencing with IHC staining protocol.", "WB-species-checked": "testedAndGuaranteed", "WB-species-dilution-info": "1/1000", "WB-species-notes": "<p></p>" } } }

Product details

What is this antibody validated in?
Anti-RIP antibody [EPR24883-85] (ab300617) is a rabbit recombinant monoclonal antibody and is validated for use in Western Blot (WB), Immunoprecipitation (IP), Immunohistochemistry (IHC-P) in Human, Mouse, Rat samples.

What is the molecular weight of RIP?
Anti-RIP [EPR24883-85] (ab300617) specifically detects a band for RIP (UniProt: Q60855) at a molecular weight of 75kDa.

Trial sizes available!
Test your antibody or perform pre-screening before committing to a larger quantity. Sold in 10µl. Discover our selection of trial-size antibodies.

Specificity confirmed
The specificity of Anti-RIP antibody [EPR24883-85] (ab300617) has been confirmed by Immunohistochemistry testing in RIPK1 Knockout HAP1 cells.

Other related products
We have a range of other formats of antibody clone [EPR24883-85] also available for your convenience: ab300617, Carrier free - ab300618

Patented technology
Our RabMAb® technology is a patented hybridoma-based technology for making rabbit monoclonal antibodies. For details on our patents, please refer to RabMAb® patents.

What are the advantages of a recombinant monoclonal antibody?
This product is a recombinant monoclonal antibody, which offers several advantages including:

  • - High batch-to-batch consistency and reproducibility
  • - Improved sensitivity and specificity
  • - Long-term security of supply
  • - Animal-free batch production

For more information, read more on recombinant antibodies.

Properties and storage information

Form
Liquid
Purification technique
Affinity purification Protein A
Storage buffer
pH: 7.2 - 7.4 Preservative: 0.01% Sodium azide Constituents: PBS, 40% Glycerol (glycerin, glycerine), 0.05% BSA
Shipped at conditions
Blue Ice
Appropriate short-term storage duration
1-2 weeks
Appropriate short-term storage conditions
+4°C
Appropriate long-term storage conditions
-20°C
Aliquoting information
Upon delivery aliquot
Storage information
Avoid freeze / thaw cycle

Supplementary information

This supplementary information is collated from multiple sources and compiled automatically.

RIP also known as Receptor-Interacting Protein or RIPK1 is a serine/threonine-protein kinase with a mass of approximately 74 kDa. It plays an important role in cell death and survival signaling pathways. RIP is expressed ubiquitously across various tissues indicating its importance in many cellular functions. The protein contains a kinase domain an intermediate domain for protein-protein interactions and a death domain which facilitates its involvement in apoptotic signaling processes.
Biological function summary

Receptor-Interacting Protein Kinase 1 (RIPK1) participates in regulating both necroptosis and apoptosis distinguishing itself as an important mediator in cell death mechanisms. As part of the necrosome complex which includes RIPK3 and MLKL RIPK1 functions in necroptosis—a programmed form of necrosis. This characteristic involvement shows its dual role in maintaining cell fate decisions making it an integral part of immune response and inflammation control.

Pathways

RIPK1 strongly associates with the TNF signaling pathway and NF-kB pathway. Its interaction with TNF receptor 1 (TNFR1) and consequent involvement with TRADD and TRAF2 mediates the signal transduction necessary for the activation of NF-kB leading to transcription of genes involved in survival and inflammation. This connection illustrates its capability to switch between promoting cell survival through NF-kB and facilitating cell death via necroptosis or apoptosis depending on cellular context and cues.

RIPK1 plays a significant role in conditions such as inflammatory diseases and neurodegenerative disorders. Its overactivation results in excessive cell death implicated in inflammatory conditions; necrostatin a necroptosis inhibitor targets RIPK1 to potentially mitigate this damage. Furthermore RIPK1's dysregulation links to Alzheimer's disease where it can interact with components like RIPK3 to exacerbate neurodegenerative processes. This relationship underlines the potential of targeting RIPK1 therapeutically to manage inflammation and neurodegeneration.

Product protocols

For this product, it's our understanding that no specific protocols are required. You can visit:

Target data

Serine-threonine kinase which is a key regulator of TNF-mediated apoptosis, necroptosis and inflammatory pathways (PubMed : 17703191, PubMed : 24144979, PubMed : 31827280, PubMed : 31827281, PubMed : 32657447, PubMed : 35831301). Exhibits kinase activity-dependent functions that regulate cell death and kinase-independent scaffold functions regulating inflammatory signaling and cell survival (PubMed : 11101870, PubMed : 19524512, PubMed : 19524513, PubMed : 29440439, PubMed : 30988283). Has kinase-independent scaffold functions : upon binding of TNF to TNFR1, RIPK1 is recruited to the TNF-R1 signaling complex (TNF-RSC also known as complex I) where it acts as a scaffold protein promoting cell survival, in part, by activating the canonical NF-kappa-B pathway (By similarity). Kinase activity is essential to regulate necroptosis and apoptosis, two parallel forms of cell death : upon activation of its protein kinase activity, regulates assembly of two death-inducing complexes, namely complex IIa (RIPK1-FADD-CASP8), which drives apoptosis, and the complex IIb (RIPK1-RIPK3-MLKL), which drives necroptosis (By similarity). RIPK1 is required to limit CASP8-dependent TNFR1-induced apoptosis (By similarity). In normal conditions, RIPK1 acts as an inhibitor of RIPK3-dependent necroptosis, a process mediated by RIPK3 component of complex IIb, which catalyzes phosphorylation of MLKL upon induction by ZBP1 (PubMed : 19524512, PubMed : 19524513, PubMed : 29440439, PubMed : 30988283). Inhibits RIPK3-mediated necroptosis via FADD-mediated recruitment of CASP8, which cleaves RIPK1 and limits TNF-induced necroptosis (PubMed : 19524512, PubMed : 19524513, PubMed : 29440439, PubMed : 30988283). Required to inhibit apoptosis and necroptosis during embryonic development : acts by preventing the interaction of TRADD with FADD thereby limiting aberrant activation of CASP8 (By similarity). In addition to apoptosis and necroptosis, also involved in inflammatory response by promoting transcriptional production of pro-inflammatory cytokines, such as interleukin-6 (IL6) (PubMed : 31827280, PubMed : 31827281). Phosphorylates RIPK3 : RIPK1 and RIPK3 undergo reciprocal auto- and trans-phosphorylation (PubMed : 19524513). Phosphorylates DAB2IP at 'Ser-728' in a TNF-alpha-dependent manner, and thereby activates the MAP3K5-JNK apoptotic cascade (PubMed : 15310755, PubMed : 17389591). Required for ZBP1-induced NF-kappa-B activation in response to DNA damage (By similarity).
See full target information RIPK1

Publications (4)

Recent publications for all applications. Explore the full list and refine your search

Chinese medicine 20:11 PubMed39815349

2025

Tangeretin alleviates sepsis-induced acute lung injury by inhibiting ferroptosis of macrophage via Nrf2 signaling pathway.

Applications

Unspecified application

Species

Unspecified reactive species

Hui Zhang,Yan Wang,Shenghua Wang,Xiaomei Xue,Kai Huang,Dunfeng Xu,Lai Jiang,Siyuan Li,Yunqian Zhang

In vivo (Athens, Greece) 38:1162-1169 PubMed38688607

2024

The Effect of Propofol on the Hippocampus in Chronic Cerebral Hypoxia in a Rat Model Through Klotho Regulation.

Applications

Unspecified application

Species

Unspecified reactive species

Hengchang Ren,Min Zhu,Hongli Yu,Yiqi Weng,Wenli Yu

Cell communication and signaling : CCS 22:33 PubMed38217003

2024

A slow-releasing donor of hydrogen sulfide inhibits neuronal cell death via anti-PANoptosis in rats with spinal cord ischemia‒reperfusion injury.

Applications

Unspecified application

Species

Unspecified reactive species

Lei Xie,Hang Wu,Qiuping He,Weipeng Shi,Jing Zhang,Xiao Xiao,Tengbo Yu

Cell death discovery 9:109 PubMed37002200

2023

Inhibition of TRADD ameliorates chondrocyte necroptosis and osteoarthritis by blocking RIPK1-TAK1 pathway and restoring autophagy.

Applications

Unspecified application

Species

Unspecified reactive species

Kai Sun,Zhou Guo,Jinming Zhang,Liangcai Hou,Shuang Liang,Fan Lu,Genchun Wang,Jingting Xu,Xiong Zhang,Fengjing Guo,Wentao Zhu
View all publications

Product promise

We are committed to supporting your work with high-quality reagents, and we're here for you every step of the way. In the unlikely event that one of our products does not perform as expected, you're protected by our Product Promise.
For full details, please see our Terms & Conditions

Please note: All products are 'FOR RESEARCH USE ONLY. NOT FOR USE IN DIAGNOSTIC OR THERAPEUTIC PROCEDURES'.

For licensing inquiries, please contact partnerships@abcam.com