JavaScript is disabled in your browser. Please enable JavaScript to view this website.
AB234924

Anti-RIP antibody [EPR4689] - BSA and Azide free

Be the first to review this product! Submit a review

|

(0 Publication)

Knockout Tested Rabbit Recombinant Monoclonal RIP antibody. Carrier free. Suitable for WB and reacts with Human samples.

View Alternative Names

RIP, RIP1, RIPK1, Receptor-interacting serine/threonine-protein kinase 1, Cell death protein RIP, Receptor-interacting protein 1, RIP-1

6 Images
Western blot - Anti-RIP antibody [EPR4689] - BSA and Azide free (AB234924)
  • WB

Unknown

Western blot - Anti-RIP antibody [EPR4689] - BSA and Azide free (AB234924)

This data was developed using ab125072, the same antibody clone in a different buffer formulation.

All lanes:

Western blot - Anti-RIP antibody [EPR4689] (<a href='/en-us/products/primary-antibodies/rip-antibody-epr4689-ab125072'>ab125072</a>) at 1/1000 dilution

Lane 1:

Raji cell lysate at 10 µg

Lane 2:

Jurkat cell lysate at 10 µg

Lane 3:

HeLa cell lysate at 10 µg

Lane 4:

293T cell lysate at 10 µg

Predicted band size: 75 kDa

false

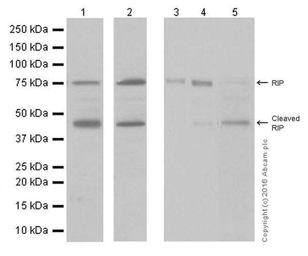
Western blot - Anti-RIP antibody [EPR4689] - BSA and Azide free (AB234924)
  • WB

Lab

Western blot - Anti-RIP antibody [EPR4689] - BSA and Azide free (AB234924)

All lanes:

Western blot - Anti-RIP antibody [EPR4689] (<a href='/en-us/products/primary-antibodies/rip-antibody-epr4689-ab125072'>ab125072</a>) at 1/1000 dilution

Lanes 1 - 4:

Western blot - Human RIPK1 knockout THP-1 cell line (<a href='/en-us/products/cell-lines/human-ripk1-knockout-thp-1-cell-line-ab276121'>ab276121</a>)

Lane 1:

Wild-type THP-1 cell lysate at 20 µg

Lane 2:

RIPK1 knockout THP-1 cell lysate at 20 µg

Lane 3:

HeLa cell lysate at 20 µg

Lane 4:

Raji cell lysate at 20 µg

Predicted band size: 75 kDa

Observed band size: 76 kDa

true

Western blot - Anti-RIP antibody [EPR4689] - BSA and Azide free (AB234924)
  • WB

Lab

Western blot - Anti-RIP antibody [EPR4689] - BSA and Azide free (AB234924)

This data was developed using ab125072, the same antibody clone in a different buffer formulation.

All lanes:

Western blot - Anti-RIP antibody [EPR4689] (<a href='/en-us/products/primary-antibodies/rip-antibody-epr4689-ab125072'>ab125072</a>) at 1/1000 dilution

All lanes:

HeLa (Human cervix adenocarcinoma epithelial cell) whole cell lysates at 15 µg

Secondary

All lanes:

Western blot - Goat Anti-Rabbit IgG H&L (HRP) (<a href='/en-us/products/secondary-antibodies/goat-rabbit-igg-h-l-hrp-ab97051'>ab97051</a>) at 1/20000 dilution

Predicted band size: 75 kDa

Observed band size: 75 kDa

false

Western blot - Anti-RIP antibody [EPR4689] - BSA and Azide free (AB234924)
  • WB

Lab

Western blot - Anti-RIP antibody [EPR4689] - BSA and Azide free (AB234924)

This data was developed using the same antibody clone in a different buffer formulation (ab125072).

Western blot : Anti-RIPK1 antibody [EPR4689] (ab125072) staining at 1/1000 dilution, shown in green; Mouse anti-GAPDH antibody [6C5] (ab8245) loading control staining at 1/20000 dilution, shown in magenta. In Western blot, ab125072 was shown to bind specifically to RIPK1. A band was observed at 75 kDa in wild-type THP-1 cell lysates with no signal observed at this size in RIPK1 knockout cell line. To generate this image, wild-type and RIPK1 knockout THP-1 cell lysates were analysed. First, samples were run on an SDS-PAGE gel then transferred onto a nitrocellulose membrane. Membranes were blocked in 3 % milk in TBS-0.1 % Tween® 20 (TBS-T) before incubation with primary antibodies overnight at 4 °C. Blots were washed four times in TBS-T, incubated with secondary antibodies for 1 h at room temperature, washed again four times then imaged. Secondary antibodies used were Goat anti-Rabbit IgG H&L 800CW and Goat anti-Mouse IgG H&L 680RD at 1/20000 dilution.

All lanes:

Western blot - Anti-RIP antibody [EPR4689] (<a href='/en-us/products/primary-antibodies/rip-antibody-epr4689-ab125072'>ab125072</a>) at 1/1000 dilution

Lane 1:

Wild-type THP-1 cell lysate at 20 µg

Lane 2:

RIPK1 knockout THP-1 cell lysate at 20 µg

Lane 3:

Raji cell lysate at 20 µg

Lane 4:

HeLa cell lysate at 20 µg

Secondary

All lanes:

Goat anti-Rabbit IgG H&L 800CW and Goat anti-Mouse IgG H&L 680RD at 1/20000 dilution

Predicted band size: 75 kDa

Observed band size: 75 kDa

false

Western blot - Anti-RIP antibody [EPR4689] - BSA and Azide free (AB234924)
  • WB

Lab

Western blot - Anti-RIP antibody [EPR4689] - BSA and Azide free (AB234924)

This data was developed using ab125072, the same antibody clone in a different buffer formulation.

Lane 1 : Wild-type HAP1 cell lysate (20 μg)

Lane 2 : RIP knockout HAP1 cell lysate (20 μg)

Lane 3 : HeLa cell lysate (20 μg)

Lane 4 : Raji cell lysate (20 μg)

Lanes 1 - 4 : Merged signal (red and green). Green - ab125072 (unpurified) observed at 78 kDa. Red - loading control, ab8245, observed at 37 kDa.

ab125072 was shown to specifically react with RIP in wild-type HAP1 cells. No band was observed when RIP knockout samples were examined. Wild-type and RIP knockout samples were subjected to SDS-PAGE. ab125072 at a dilution of 1/1000 and ab8245 (loading control to GAPDH) at a dilution of 1/10,000 were incubated overnight at 4°C. Blots were developed with Goat anti-Rabbit IgG H&L (IRDye® 800CW) preadsorbed (ab216773) and Goat anti-Mouse IgG H&L (IRDye® 680RD) preadsorbed (ab216776) secondary antibodies at 1/10,000 dilution for 1 hour at room temperature before imaging.

All lanes:

Western blot - Anti-RIP antibody [EPR4689] (<a href='/en-us/products/primary-antibodies/rip-antibody-epr4689-ab125072'>ab125072</a>)

Predicted band size: 75 kDa

false

Western blot - Anti-RIP antibody [EPR4689] - BSA and Azide free (AB234924)
  • WB

Lab

Western blot - Anti-RIP antibody [EPR4689] - BSA and Azide free (AB234924)

This data was developed using ab125072, the same antibody clone in a different buffer formulation.

All lanes:

Western blot - Anti-RIP antibody [EPR4689] (<a href='/en-us/products/primary-antibodies/rip-antibody-epr4689-ab125072'>ab125072</a>) at 1/5000 dilution

All lanes:

Raji (Human Burkitt's lymphoma B lymphocyte) whole cell lysate at 15 µg

Secondary

All lanes:

Western blot - Goat Anti-Rabbit IgG H&L (HRP) (<a href='/en-us/products/secondary-antibodies/goat-rabbit-igg-h-l-hrp-ab97051'>ab97051</a>) at 1/20000 dilution

Predicted band size: 75 kDa

Observed band size: 75 kDa

false

Key facts

Host species

Rabbit

Clonality

Monoclonal

Clone number

EPR4689

Isotype

IgG

Carrier free

Yes

Reacts with

Human

Applications

WB

applications

Immunogen

The exact immunogen used to generate this antibody is proprietary information.

Reactivity data

{ "title": "Reactivity Data", "filters": { "stats": ["", "Species", "Dilution Info", "Notes"], "tabs": { "all-applications": {"fullname" : "All Applications", "shortname": "All Applications"}, "WB" : {"fullname" : "Western blot", "shortname":"WB"} }, "product-promise": { "all": "all", "testedAndGuaranteed": "tested", "guaranteed": "expected", "predicted": "predicted", "notRecommended": "not-recommended" } }, "values": { "Human": { "WB-species-checked": "testedAndGuaranteed", "WB-species-dilution-info": "", "WB-species-notes": "<p></p>" } } }

Product details

ab234924 is the carrier-free version of ab125072.

Species reactivity
Mouse, Rat: We have preliminary internal testing data to indicate this antibody may not react with these species.
Please contact us for more information.

Patented technology
Our RabMAb® technology is a patented hybridoma-based technology for making rabbit monoclonal antibodies. For details on our patents, please refer to RabMAb® patents.

What are the advantages of a recombinant monoclonal antibody?
This product is a recombinant monoclonal antibody, which offers several advantages including:

  • - High batch-to-batch consistency and reproducibility
  • - Improved sensitivity and specificity
  • - Long-term security of supply
  • - Animal-free batch production

For more information, read more on recombinant antibodies.

Conjugation ready
Our carrier-free antibodies are typically supplied in a PBS-only formulation, purified and free of BSA, sodium azide and glycerol. This conjugation-ready format is designed for use with fluorochromes, metal isotopes, oligonucleotides, and enzymes, which makes them ideal for antibody labelling, functional and cell-based assays, flow-based assays (e.g. mass cytometry) and Multiplex Imaging applications.

Use our conjugation kits for antibody conjugates that are ready-to-use in as little as 20 minutes with 1 minute hands-on-time and 100% antibody recovery: available for fluorescent dyes, HRP, biotin and gold.

Compatibility
This product is compatible with the Maxpar® Antibody Labeling Kit from Fluidigm, without the need for antibody preparation. Maxpar® is a trademark of Fluidigm Canada Inc.

Properties and storage information

Form
Liquid
Purification technique
Affinity purification Protein A
Storage buffer
pH: 7.2 - 7.4 Constituents: PBS
Shipped at conditions
Blue Ice
Appropriate short-term storage conditions
+4°C
Appropriate long-term storage conditions
+4°C
Storage information
Do Not Freeze

Supplementary information

This supplementary information is collated from multiple sources and compiled automatically.

RIP also known as Receptor-Interacting Protein or RIPK1 is a serine/threonine-protein kinase with a mass of approximately 74 kDa. It plays an important role in cell death and survival signaling pathways. RIP is expressed ubiquitously across various tissues indicating its importance in many cellular functions. The protein contains a kinase domain an intermediate domain for protein-protein interactions and a death domain which facilitates its involvement in apoptotic signaling processes.
Biological function summary

Receptor-Interacting Protein Kinase 1 (RIPK1) participates in regulating both necroptosis and apoptosis distinguishing itself as an important mediator in cell death mechanisms. As part of the necrosome complex which includes RIPK3 and MLKL RIPK1 functions in necroptosis—a programmed form of necrosis. This characteristic involvement shows its dual role in maintaining cell fate decisions making it an integral part of immune response and inflammation control.

Pathways

RIPK1 strongly associates with the TNF signaling pathway and NF-kB pathway. Its interaction with TNF receptor 1 (TNFR1) and consequent involvement with TRADD and TRAF2 mediates the signal transduction necessary for the activation of NF-kB leading to transcription of genes involved in survival and inflammation. This connection illustrates its capability to switch between promoting cell survival through NF-kB and facilitating cell death via necroptosis or apoptosis depending on cellular context and cues.

RIPK1 plays a significant role in conditions such as inflammatory diseases and neurodegenerative disorders. Its overactivation results in excessive cell death implicated in inflammatory conditions; necrostatin a necroptosis inhibitor targets RIPK1 to potentially mitigate this damage. Furthermore RIPK1's dysregulation links to Alzheimer's disease where it can interact with components like RIPK3 to exacerbate neurodegenerative processes. This relationship underlines the potential of targeting RIPK1 therapeutically to manage inflammation and neurodegeneration.

Product protocols

For this product, it's our understanding that no specific protocols are required. You can visit:

Target data

Serine-threonine kinase which is a key regulator of TNF-mediated apoptosis, necroptosis and inflammatory pathways (PubMed : 17703191, PubMed : 24144979, PubMed : 31827280, PubMed : 31827281, PubMed : 32657447, PubMed : 35831301). Exhibits kinase activity-dependent functions that regulate cell death and kinase-independent scaffold functions regulating inflammatory signaling and cell survival (PubMed : 11101870, PubMed : 19524512, PubMed : 19524513, PubMed : 29440439, PubMed : 30988283). Has kinase-independent scaffold functions : upon binding of TNF to TNFR1, RIPK1 is recruited to the TNF-R1 signaling complex (TNF-RSC also known as complex I) where it acts as a scaffold protein promoting cell survival, in part, by activating the canonical NF-kappa-B pathway (By similarity). Kinase activity is essential to regulate necroptosis and apoptosis, two parallel forms of cell death : upon activation of its protein kinase activity, regulates assembly of two death-inducing complexes, namely complex IIa (RIPK1-FADD-CASP8), which drives apoptosis, and the complex IIb (RIPK1-RIPK3-MLKL), which drives necroptosis (By similarity). RIPK1 is required to limit CASP8-dependent TNFR1-induced apoptosis (By similarity). In normal conditions, RIPK1 acts as an inhibitor of RIPK3-dependent necroptosis, a process mediated by RIPK3 component of complex IIb, which catalyzes phosphorylation of MLKL upon induction by ZBP1 (PubMed : 19524512, PubMed : 19524513, PubMed : 29440439, PubMed : 30988283). Inhibits RIPK3-mediated necroptosis via FADD-mediated recruitment of CASP8, which cleaves RIPK1 and limits TNF-induced necroptosis (PubMed : 19524512, PubMed : 19524513, PubMed : 29440439, PubMed : 30988283). Required to inhibit apoptosis and necroptosis during embryonic development : acts by preventing the interaction of TRADD with FADD thereby limiting aberrant activation of CASP8 (By similarity). In addition to apoptosis and necroptosis, also involved in inflammatory response by promoting transcriptional production of pro-inflammatory cytokines, such as interleukin-6 (IL6) (PubMed : 31827280, PubMed : 31827281). Phosphorylates RIPK3 : RIPK1 and RIPK3 undergo reciprocal auto- and trans-phosphorylation (PubMed : 19524513). Phosphorylates DAB2IP at 'Ser-728' in a TNF-alpha-dependent manner, and thereby activates the MAP3K5-JNK apoptotic cascade (PubMed : 15310755, PubMed : 17389591). Required for ZBP1-induced NF-kappa-B activation in response to DNA damage (By similarity).
See full target information RIPK1

Product promise

We are committed to supporting your work with high-quality reagents, and we're here for you every step of the way. In the unlikely event that one of our products does not perform as expected, you're protected by our Product Promise.
For full details, please see our Terms & Conditions

Please note: All products are 'FOR RESEARCH USE ONLY. NOT FOR USE IN DIAGNOSTIC OR THERAPEUTIC PROCEDURES'.

For licensing inquiries, please contact partnerships@abcam.com