JavaScript is disabled in your browser. Please enable JavaScript to view this website.
AB272886

Anti-RIP2 antibody

Be the first to review this product! Submit a review

|

(0 Publication)

Rabbit Polyclonal RIP2 antibody. Suitable for WB, IHC-P and reacts with Mouse, Human samples. Immunogen corresponding to Recombinant Fragment Protein within Human RIPK2.

View Alternative Names

CARDIAK, RICK, RIP2, UNQ277/PRO314/PRO34092, RIPK2, Receptor-interacting serine/threonine-protein kinase 2, CARD-containing interleukin-1 beta-converting enzyme-associated kinase, RIP-like-interacting CLARP kinase, Receptor-interacting protein 2, Tyrosine-protein kinase RIPK2, CARD-containing IL-1 beta ICE-kinase, RIP-2

2 Images
Western blot - Anti-RIP2 antibody (AB272886)
  • WB

Supplier Data

Western blot - Anti-RIP2 antibody (AB272886)

7.5% SDS PAGE

All lanes:

Western blot - Anti-RIP2 antibody (ab272886) at 1/1000 dilution

All lanes:

NIH/3T3 (mouse embryo fibroblast cell line) whole cell lysate at 30 µg

Predicted band size: 61 kDa

false

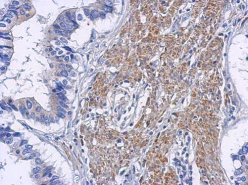
Immunohistochemistry (Formalin/PFA-fixed paraffin-embedded sections) - Anti-RIP2 antibody (AB272886)
  • IHC-P

Supplier Data

Immunohistochemistry (Formalin/PFA-fixed paraffin-embedded sections) - Anti-RIP2 antibody (AB272886)

Paraffin-embedded human gastric cancer tissue stained for RIP2 using ab272886 at 1/500 dilution in immunohistochemical analysis. Antigen retrieval using EDTA based, pH 8.0 buffer, 15 minutes.

Key facts

Host species

Rabbit

Clonality

Polyclonal

Isotype

IgG

Carrier free

No

Reacts with

Mouse, Human

Applications

WB, IHC-P

applications

Immunogen

Recombinant Fragment Protein within Human RIPK2. The exact immunogen used to generate this antibody is proprietary information.

O43353

Reactivity data

{ "title": "Reactivity Data", "filters": { "stats": ["", "Species", "Dilution Info", "Notes"], "tabs": { "all-applications": {"fullname" : "All Applications", "shortname": "All Applications"}, "WB" : {"fullname" : "Western blot", "shortname":"WB"}, "IHCP" : {"fullname" : "Immunohistochemistry (Formalin/PFA-fixed paraffin-embedded sections)", "shortname":"IHC-P"} }, "product-promise": { "all": "all", "testedAndGuaranteed": "tested", "guaranteed": "expected", "predicted": "predicted", "notRecommended": "not-recommended" } }, "values": { "Human": { "WB-species-checked": "guaranteed", "WB-species-dilution-info": "", "WB-species-notes": "", "IHCP-species-checked": "testedAndGuaranteed", "IHCP-species-dilution-info": "1/100 - 1/1000", "IHCP-species-notes": "<p></p>" }, "Mouse": { "WB-species-checked": "testedAndGuaranteed", "WB-species-dilution-info": "1/500 - 1/3000", "WB-species-notes": "<p></p>", "IHCP-species-checked": "guaranteed", "IHCP-species-dilution-info": "", "IHCP-species-notes": "" } } }

Properties and storage information

Form
Liquid
Purification technique
Affinity purification Immunogen
Storage buffer
pH: 7 Preservative: 0.01% Thimerosal (merthiolate) Constituents: 78.99% PBS, 20% Glycerol (glycerin, glycerine), 1% BSA
Shipped at conditions
Blue Ice
Appropriate short-term storage duration
1-2 weeks
Appropriate short-term storage conditions
+4°C
Appropriate long-term storage conditions
-20°C
Aliquoting information
Upon delivery aliquot
Storage information
Avoid freeze / thaw cycle

Supplementary information

This supplementary information is collated from multiple sources and compiled automatically.

RIP2 also known as receptor-interacting serine/threonine-protein kinase 2 or RICK is a protein with roles in signal transduction. It functions mechanically as a kinase which means it adds a phosphate group to other proteins impacting their activity and stability. RIP2 weighs about 61 kDa and is mostly expressed in immune system-related tissues such as spleen thymus peripheral blood leukocytes and bone marrow. As a kinase RIP2 is an action part in the cellular response to external stimuli.
Biological function summary

RIP2 interacts with key components of the immune signaling network. It forms part of a complex with other proteins like nucleotide-binding oligomerization domain (NOD) proteins influencing immune responses. By binding to NOD1 and NOD2 RIP2 modulates inflammatory signaling pathways leading to the activation of NF-kB and the production of inflammatory cytokines. This protein helps regulate the body's defense against bacterial infections and influences inflammation processes.

Pathways

RIP2 plays an integral role in the NOD-like receptor signaling pathway and is also involved in toll-like receptor signaling. In its pathways RIP2 interacts closely with proteins like IKK complexes and the Tak1 complex orchestrating signaling cascades leading to the activation of NF-kB and MAPK pathways. These pathways are essential for instigating the immune response and managing inflammatory signals highlighting how RIP2 acts as a pivotal mediator in these biological routes.

Mutations or dysregulation of RIP2 are linked to inflammatory diseases and immune disorders such as Crohn's disease and Blau syndrome. RIP2's involvement in these conditions often involves its interaction with NOD2 influencing the improper immune response seen in these diseases. Changing RIP2 activity presents a target for developing kinase inhibitors that might help to manage inflammation and immune system disorders by modulating its signaling activity.

Product protocols

For this product, it's our understanding that no specific protocols are required. You can visit:

Target data

Serine/threonine/tyrosine-protein kinase that plays an essential role in modulation of innate and adaptive immune responses (PubMed : 14638696, PubMed : 17054981, PubMed : 21123652, PubMed : 28656966, PubMed : 9575181, PubMed : 9642260). Acts as a key effector of NOD1 and NOD2 signaling pathways : upon activation by bacterial peptidoglycans, NOD1 and NOD2 oligomerize and recruit RIPK2 via CARD-CARD domains, leading to the formation of RIPK2 filaments (PubMed : 17054981, PubMed : 17562858, PubMed : 21123652, PubMed : 22607974, PubMed : 28656966, PubMed : 29452636, PubMed : 30026309). Once recruited, RIPK2 autophosphorylates and undergoes 'Lys-63'-linked polyubiquitination by E3 ubiquitin ligases XIAP, BIRC2 and BIRC3, as well as 'Met-1'-linked (linear) polyubiquitination by the LUBAC complex, becoming a scaffolding protein for downstream effectors (PubMed : 22607974, PubMed : 28545134, PubMed : 29452636, PubMed : 30026309, PubMed : 30279485, PubMed : 30478312). 'Met-1'-linked polyubiquitin chains attached to RIPK2 recruit IKBKG/NEMO, which undergoes 'Lys-63'-linked polyubiquitination in a RIPK2-dependent process (PubMed : 17562858, PubMed : 22607974, PubMed : 29452636, PubMed : 30026309). 'Lys-63'-linked polyubiquitin chains attached to RIPK2 serve as docking sites for TAB2 and TAB3 and mediate the recruitment of MAP3K7/TAK1 to IKBKG/NEMO, inducing subsequent activation of IKBKB/IKKB (PubMed : 18079694). In turn, NF-kappa-B is released from NF-kappa-B inhibitors and translocates into the nucleus where it activates the transcription of hundreds of genes involved in immune response, growth control, or protection against apoptosis (PubMed : 18079694). The protein kinase activity is dispensable for the NOD1 and NOD2 signaling pathways (PubMed : 29452636, PubMed : 30026309). Contributes to the tyrosine phosphorylation of the guanine exchange factor ARHGEF2 through Src tyrosine kinase leading to NF-kappa-B activation by NOD2 (PubMed : 21887730). Also involved in adaptive immunity : plays a role during engagement of the T-cell receptor (TCR) in promoting BCL10 phosphorylation and subsequent NF-kappa-B activation (PubMed : 14638696). Plays a role in the inactivation of RHOA in response to NGFR signaling (PubMed : 26646181).
See full target information RIPK2

Product promise

We are committed to supporting your work with high-quality reagents, and we're here for you every step of the way. In the unlikely event that one of our products does not perform as expected, you're protected by our Product Promise.
For full details, please see our Terms & Conditions

Please note: All products are 'FOR RESEARCH USE ONLY. NOT FOR USE IN DIAGNOSTIC OR THERAPEUTIC PROCEDURES'.

For licensing inquiries, please contact partnerships@abcam.com