JavaScript is disabled in your browser. Please enable JavaScript to view this website.
AB303554

Anti-RIP2 antibody [EPR26079-37]

  • 20ul selling size
  • RabMAb
  • Recombinant
  • KO Validated
  • What is this?

Be the first to review this product! Submit a review

|

(1 Publication)

Rabbit Recombinant Monoclonal RIP2 antibody. Suitable for WB and reacts with Human samples. Cited in 1 publication.

View Alternative Names

CARDIAK, RICK, RIP2, UNQ277/PRO314/PRO34092, RIPK2, Receptor-interacting serine/threonine-protein kinase 2, CARD-containing interleukin-1 beta-converting enzyme-associated kinase, RIP-like-interacting CLARP kinase, Receptor-interacting protein 2, Tyrosine-protein kinase RIPK2, CARD-containing IL-1 beta ICE-kinase, RIP-2

3 Images
Western blot - Anti-RIP2 antibody [EPR26079-37] (AB303554)
  • WB

Supplier Data

Western blot - Anti-RIP2 antibody [EPR26079-37] (AB303554)

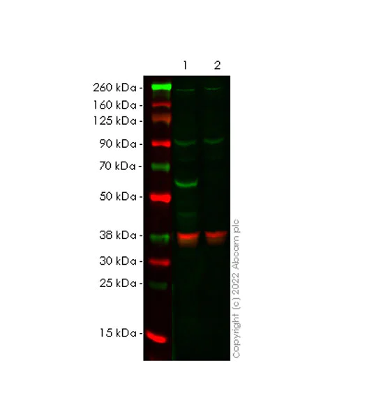
Blocking and dilution buffer and concentration : ½ volume of Odyssey Blocking Buffer (TBS)+ ½ volume of 0.1% TBS.  False colour image of Western blot : Anti-RIP2 antibody [EPR26079-37](ab303554) staining at 1/1000 dilution, shown in green; Mouse anti-GAPDH antibody [6C5] (ab8245) loading control staining at 1/20000 dilution, shown in red. In Western blot, ab303554 was shown to bind specifically to RIP2. A band was observed at 65 kDa in wild-type HeLa cell lysates with no signal observed at this size in RIP2 knockout cell line ab264688 (knockout cell lysate ab258636). To generate this image, wild-type and RIP2 knockout HeLa cell lysates were analyzed. First, samples were run on an SDS-PAGE gel then transferred onto an immobilon-FL PVDF membrane. Membranes were blocked in in Intercept® (TBS) Blocking Buffer diluted with an equal volume of 0.1% TBS before incubation with primary antibodies overnight at 4 °C. Blots were washed four times in TBS-T, incubated with secondary antibodies for 1 h at room temperature, washed again four times then imaged. Secondary antibodies used were Goat anti-Rabbit IgG H&L (IRDye® 800CW) preabsorbed (ab216773) and Goat anti-Mouse IgG H&L (IRDye® 680RD) preabsorbed (ab216776) at 1/20000 dilution.

All lanes:

Western blot - Anti-RIP2 antibody [EPR26079-37] (ab303554)

Lane 1:

Wild-type HeLa (human cervical adenocarcinoma epithelial cell) whole cell lysate at 20 µg

Lane 2:

RIP2 knockout HeLa whole cell lysate at 20 µg

Secondary

All lanes:

Western blot - Goat anti-Mouse IgG H&L (IRDye® 800CW) preadsorbed (<a href='/en-us/products/secondary-antibodies/goat-mouse-igg-h-l-irdye-800cw-preadsorbed-ab216772'>ab216772</a>) at 1/20000 dilution

false

Western blot - Anti-RIP2 antibody [EPR26079-37] (AB303554)
  • WB

Supplier Data

Western blot - Anti-RIP2 antibody [EPR26079-37] (AB303554)

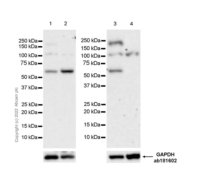
Blocking and dilution buffer and concentration : 5% NFDM/TBST.

All lanes:

Western blot - Anti-RIP2 antibody [EPR26079-37] (ab303554) at 1/1000 dilution

All lanes:

Raji (human Burkitt's lymphoma B lymphocyte) whole cell lysate at 20 µg

Secondary

All lanes:

Western blot - Goat Anti-Rabbit IgG H&L (HRP) (<a href='/en-us/products/secondary-antibodies/goat-rabbit-igg-h-l-hrp-ab97051'>ab97051</a>) at 1/100000 dilution

Predicted band size: 61 kDa

Observed band size: 61 kDa

false

Exposure time: 180s

Western blot - Anti-RIP2 antibody [EPR26079-37] (AB303554)
  • WB

Supplier Data

Western blot - Anti-RIP2 antibody [EPR26079-37] (AB303554)

Blocking and dilution buffer and concentration : 5% NFDM/TBST. Lysates were freshly made and used for Western blotting immediately to minimize protein degradation.

All lanes:

Western blot - Anti-RIP2 antibody [EPR26079-37] (ab303554) at 1/1000 dilution

Lane 1:

HeLa (human cervical adenocarcinoma epithelial cell) whole cell lysate at 20 µg

Lane 2:

HEK-293T (human embryonic kidney epithelial cell) whole cell lysate at 20 µg

Lane 3:

THP-1 (human monocytic leukemia monocyte) whole cell lysate at 20 µg

Lane 4:

Jurkat (human T cell leukemia T lymphocyte from peripheral blood) whole cell lysate at 20 µg

Secondary

All lanes:

Western blot - Goat Anti-Rabbit IgG H&L (HRP) (<a href='/en-us/products/secondary-antibodies/goat-rabbit-igg-h-l-hrp-ab97051'>ab97051</a>) at 1/50000 dilution

Predicted band size: 61 kDa

Observed band size: 61 kDa

false

Exposure time: 180s

  • Carrier free

    Anti-RIP2 antibody [EPR26079-37] - BSA and Azide free

Key facts

Host species

Rabbit

Clonality

Monoclonal

Clone number

EPR26079-37

Isotype

IgG

Carrier free

No

Reacts with

Human

Applications

WB

applications

Immunogen

The exact immunogen used to generate this antibody is proprietary information.

Reactivity data

{ "title": "Reactivity Data", "filters": { "stats": ["", "Species", "Dilution Info", "Notes"], "tabs": { "all-applications": {"fullname" : "All Applications", "shortname": "All Applications"}, "WB" : {"fullname" : "Western blot", "shortname":"WB"}, "IHCP" : {"fullname" : "Immunohistochemistry (Formalin/PFA-fixed paraffin-embedded sections)", "shortname":"IHC-P"}, "ICCIF" : {"fullname" : "Immunocytochemistry/ Immunofluorescence", "shortname":"ICC/IF"}, "FlowCytIntra" : {"fullname" : "Flow Cytometry (Intracellular)", "shortname":"Flow Cyt (Intra)"}, "IP" : {"fullname" : "Immunoprecipitation", "shortname":"IP"} }, "product-promise": { "all": "all", "testedAndGuaranteed": "tested", "guaranteed": "expected", "predicted": "predicted", "notRecommended": "not-recommended" } }, "values": { "Human": { "WB-species-checked": "testedAndGuaranteed", "WB-species-dilution-info": "1/1000", "WB-species-notes": "<p></p>", "IHCP-species-checked": "notRecommended", "IHCP-species-dilution-info": "", "IHCP-species-notes": "<p></p> Perform heat-mediated antigen retrieval with Tris/EDTA buffer pH 9.0 before commencing with IHC staining protocol.", "ICCIF-species-checked": "notRecommended", "ICCIF-species-dilution-info": "", "ICCIF-species-notes": "<p></p>", "FlowCytIntra-species-checked": "notRecommended", "FlowCytIntra-species-dilution-info": "", "FlowCytIntra-species-notes": "<p></p>", "IP-species-checked": "notRecommended", "IP-species-dilution-info": "", "IP-species-notes": "<p></p>" }, "Mouse": { "WB-species-checked": "notRecommended", "WB-species-dilution-info": "1/1000", "WB-species-notes": "<p></p>", "IHCP-species-checked": "notRecommended", "IHCP-species-dilution-info": "", "IHCP-species-notes": "<p></p> Perform heat-mediated antigen retrieval with Tris/EDTA buffer pH 9.0 before commencing with IHC staining protocol.", "ICCIF-species-checked": "notRecommended", "ICCIF-species-dilution-info": "", "ICCIF-species-notes": "<p></p>", "FlowCytIntra-species-checked": "notRecommended", "FlowCytIntra-species-dilution-info": "", "FlowCytIntra-species-notes": "<p></p>", "IP-species-checked": "notRecommended", "IP-species-dilution-info": "", "IP-species-notes": "" }, "Rat": { "WB-species-checked": "notRecommended", "WB-species-dilution-info": "1/1000", "WB-species-notes": "<p></p>", "IHCP-species-checked": "notRecommended", "IHCP-species-dilution-info": "", "IHCP-species-notes": "<p></p> Perform heat-mediated antigen retrieval with Tris/EDTA buffer pH 9.0 before commencing with IHC staining protocol.", "ICCIF-species-checked": "notRecommended", "ICCIF-species-dilution-info": "", "ICCIF-species-notes": "", "FlowCytIntra-species-checked": "notRecommended", "FlowCytIntra-species-dilution-info": "", "FlowCytIntra-species-notes": "", "IP-species-checked": "notRecommended", "IP-species-dilution-info": "", "IP-species-notes": "" } } }

Product details

Patented technology
Our RabMAb® technology is a patented hybridoma-based technology for making rabbit monoclonal antibodies. For details on our patents, please refer to RabMAb® patents.

What are the advantages of a recombinant monoclonal antibody?
This product is a recombinant monoclonal antibody, which offers several advantages including:

  • - High batch-to-batch consistency and reproducibility
  • - Improved sensitivity and specificity
  • - Long-term security of supply
  • - Animal-free batch production

For more information, read more on recombinant antibodies.

Properties and storage information

Form
Liquid
Purification technique
Affinity purification Protein A
Storage buffer
pH: 7.2 - 7.4 Preservative: 0.01% Sodium azide Constituents: PBS, 40% Glycerol (glycerin, glycerine), 0.05% BSA
Shipped at conditions
Blue Ice
Appropriate short-term storage duration
1-2 weeks
Appropriate short-term storage conditions
+4°C
Appropriate long-term storage conditions
-20°C
Aliquoting information
Upon delivery aliquot
Storage information
Avoid freeze / thaw cycle

Supplementary information

This supplementary information is collated from multiple sources and compiled automatically.

RIP2 also known as receptor-interacting serine/threonine-protein kinase 2 or RICK is a protein with roles in signal transduction. It functions mechanically as a kinase which means it adds a phosphate group to other proteins impacting their activity and stability. RIP2 weighs about 61 kDa and is mostly expressed in immune system-related tissues such as spleen thymus peripheral blood leukocytes and bone marrow. As a kinase RIP2 is an action part in the cellular response to external stimuli.
Biological function summary

RIP2 interacts with key components of the immune signaling network. It forms part of a complex with other proteins like nucleotide-binding oligomerization domain (NOD) proteins influencing immune responses. By binding to NOD1 and NOD2 RIP2 modulates inflammatory signaling pathways leading to the activation of NF-kB and the production of inflammatory cytokines. This protein helps regulate the body's defense against bacterial infections and influences inflammation processes.

Pathways

RIP2 plays an integral role in the NOD-like receptor signaling pathway and is also involved in toll-like receptor signaling. In its pathways RIP2 interacts closely with proteins like IKK complexes and the Tak1 complex orchestrating signaling cascades leading to the activation of NF-kB and MAPK pathways. These pathways are essential for instigating the immune response and managing inflammatory signals highlighting how RIP2 acts as a pivotal mediator in these biological routes.

Mutations or dysregulation of RIP2 are linked to inflammatory diseases and immune disorders such as Crohn's disease and Blau syndrome. RIP2's involvement in these conditions often involves its interaction with NOD2 influencing the improper immune response seen in these diseases. Changing RIP2 activity presents a target for developing kinase inhibitors that might help to manage inflammation and immune system disorders by modulating its signaling activity.

Product protocols

For this product, it's our understanding that no specific protocols are required. You can visit:

Target data

Serine/threonine/tyrosine-protein kinase that plays an essential role in modulation of innate and adaptive immune responses (PubMed : 14638696, PubMed : 17054981, PubMed : 21123652, PubMed : 28656966, PubMed : 9575181, PubMed : 9642260). Acts as a key effector of NOD1 and NOD2 signaling pathways : upon activation by bacterial peptidoglycans, NOD1 and NOD2 oligomerize and recruit RIPK2 via CARD-CARD domains, leading to the formation of RIPK2 filaments (PubMed : 17054981, PubMed : 17562858, PubMed : 21123652, PubMed : 22607974, PubMed : 28656966, PubMed : 29452636, PubMed : 30026309). Once recruited, RIPK2 autophosphorylates and undergoes 'Lys-63'-linked polyubiquitination by E3 ubiquitin ligases XIAP, BIRC2 and BIRC3, as well as 'Met-1'-linked (linear) polyubiquitination by the LUBAC complex, becoming a scaffolding protein for downstream effectors (PubMed : 22607974, PubMed : 28545134, PubMed : 29452636, PubMed : 30026309, PubMed : 30279485, PubMed : 30478312). 'Met-1'-linked polyubiquitin chains attached to RIPK2 recruit IKBKG/NEMO, which undergoes 'Lys-63'-linked polyubiquitination in a RIPK2-dependent process (PubMed : 17562858, PubMed : 22607974, PubMed : 29452636, PubMed : 30026309). 'Lys-63'-linked polyubiquitin chains attached to RIPK2 serve as docking sites for TAB2 and TAB3 and mediate the recruitment of MAP3K7/TAK1 to IKBKG/NEMO, inducing subsequent activation of IKBKB/IKKB (PubMed : 18079694). In turn, NF-kappa-B is released from NF-kappa-B inhibitors and translocates into the nucleus where it activates the transcription of hundreds of genes involved in immune response, growth control, or protection against apoptosis (PubMed : 18079694). The protein kinase activity is dispensable for the NOD1 and NOD2 signaling pathways (PubMed : 29452636, PubMed : 30026309). Contributes to the tyrosine phosphorylation of the guanine exchange factor ARHGEF2 through Src tyrosine kinase leading to NF-kappa-B activation by NOD2 (PubMed : 21887730). Also involved in adaptive immunity : plays a role during engagement of the T-cell receptor (TCR) in promoting BCL10 phosphorylation and subsequent NF-kappa-B activation (PubMed : 14638696). Plays a role in the inactivation of RHOA in response to NGFR signaling (PubMed : 26646181).
See full target information RIPK2

Publications (1)

Recent publications for all applications. Explore the full list and refine your search

Kidney diseases (Basel, Switzerland) 11:543-559 PubMed41064102

2025

Dihydroquercetin/Taxifolin Inhibits METTL3/mA/PIM2 Expression by Suppressing RIPK2 Phosphorylation Mediated NF-κB p65 Signaling Pathway to Alleviates Renal Ischemia-Reperfusion Injury in Mice.

Applications

Unspecified application

Species

Unspecified reactive species

Sheng Shen,Xiao Wang,Zhongda Li,Jinyang Zhuang,Keqin Zhang
View all publications

Product promise

We are committed to supporting your work with high-quality reagents, and we're here for you every step of the way. In the unlikely event that one of our products does not perform as expected, you're protected by our Product Promise.
For full details, please see our Terms & Conditions

Please note: All products are 'FOR RESEARCH USE ONLY. NOT FOR USE IN DIAGNOSTIC OR THERAPEUTIC PROCEDURES'.

For licensing inquiries, please contact partnerships@abcam.com