JavaScript is disabled in your browser. Please enable JavaScript to view this website.
AB240336

Anti-RIP3 (phospho S232) antibody [EPR9516(N)-25] - BSA and Azide free

Be the first to review this product! Submit a review

|

(1 Publication)

Rabbit Recombinant Monoclonal RIP3 phospho S232 antibody. Carrier free. Suitable for ELISA, Dot, WB and reacts with Synthetic peptide, Mouse samples. Cited in 1 publication.

View Alternative Names

Rip3, Ripk3, Receptor-interacting serine/threonine-protein kinase 3, RIP-like protein kinase 3, Receptor-interacting protein 3, RIP-3, mRIP3

3 Images
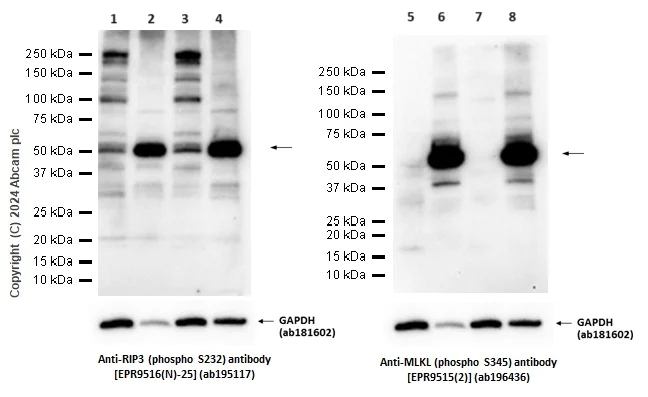
Western blot - Anti-RIP3 (phospho S232) antibody [EPR9516(N)-25] - BSA and Azide free (AB240336)
  • WB

Supplier Data

Western blot - Anti-RIP3 (phospho S232) antibody [EPR9516(N)-25] - BSA and Azide free (AB240336)

This data was developed using the same antibody clone in a different buffer formulation containing PBS, BSA, glycerol, and sodium azide (ab195117).

Blocking and diluting buffer : 5% NFDM/TBST.

ab181602 was used as a loading control at 1/1000000 dilution.

We recommend involving downstream protein p-MLKL as a control to validate the stimulation of p-RIP3.

Lanes 1 - 4:

Western blot - Anti-RIP3 (phospho S232) antibody [EPR9516(N)-25] (<a href='/en-us/products/primary-antibodies/rip3-phospho-s232-antibody-epr9516n-25-ab195117'>ab195117</a>) at 1/1000 dilution

Lanes 5 - 8:

Western blot - Anti-MLKL (phospho S345) antibody [EPR9515(2)] (<a href='/en-us/products/primary-antibodies/mlkl-phospho-s345-antibody-epr95152-ab196436'>ab196436</a>) at 1/1000 dilution

Lanes 1, 3, 5 and 7:

Untreated L-929 (mouse connective tissue fibroblast cell line) whole cell lysate at 20 µg

Lanes 2 and 6:

L-929 (mouse connective tissue fibroblast cell line) treated with 20 ng/ml TNF-a, 100 nM Smac mimetic and 20 μM z-VAD for 8 hours whole cell lysate at 20 µg

Lanes 4 and 8:

L-929 (mouse connective tissue fibroblast cell line) treated with 20 ng/ml TNF-a, 100 nM Smac mimetic and 20 μM z-VAD for 6 hours whole cell lysate at 20 µg

Secondary

All lanes:

Western blot - Goat Anti-Rabbit IgG H&L (HRP) (<a href='/en-us/products/secondary-antibodies/goat-rabbit-igg-h-l-hrp-ab97051'>ab97051</a>) at 1/20000 dilution

Predicted band size: 57 kDa,54 kDa

Observed band size: 53 kDa

false

Exposure time: 180s

ELISA - Anti-RIP3 (phospho S232) antibody [EPR9516(N)-25] - BSA and Azide free (AB240336)
  • ELISA

Supplier Data

ELISA - Anti-RIP3 (phospho S232) antibody [EPR9516(N)-25] - BSA and Azide free (AB240336)

Serially diluted ab195117 was bound to immobilized phospho or non-phospho (control) peptide demonstrating minimal cross-reactivity to the non-phosphorylated residue. Antigen - RIP3 (phospho S232) phospho peptide;RIP3 non-phospho peptide at 250 ng/ml. Primary antibody concentration range : 0 - 500 ng/ml. Secondary antibody - Alkaline Phosphatase-conjugated AffiniPure Goat Anti-Rabbit IgG(H+L) at 1 : 2500.

This data was developed using the same antibody clone in a different buffer formulation containing PBS, BSA, glycerol, and sodium azide (ab195117).

Dot Blot - Anti-RIP3 (phospho S232) antibody [EPR9516(N)-25] - BSA and Azide free (AB240336)
  • Dot

Supplier Data

Dot Blot - Anti-RIP3 (phospho S232) antibody [EPR9516(N)-25] - BSA and Azide free (AB240336)

Primary antibody : ab195117 at 1 : 1000 dilution (1.6μg/ml), secondary antibody : Goat Anti-Rabbit IgG, (H+L), Peroxidase conjugated (ab97051) at 1 : 1000 dilution, Blocking and dilution buffer : 5% NFDM/TBST, Lane 1 : RIP3 (phospho S232) phospho peptide, Lane 2 : RIP3 Non-phospho peptide, Exposure time : 3 minutes.

We observed weak binding to the non-phospho peptide at very high concentrations.

This data was developed using the same antibody clone in a different buffer formulation containing PBS, BSA, glycerol, and sodium azide (ab195117).

  • Unconjugated

    Anti-RIP3 (phospho S232) antibody [EPR9516(N)-25]

Key facts

Host species

Rabbit

Clonality

Monoclonal

Clone number

EPR9516(N)-25

Isotype

IgG

Carrier free

Yes

Reacts with

Mouse

Applications

ELISA, WB, Dot

applications

Immunogen

The exact immunogen used to generate this antibody is proprietary information.

Reactivity data

{ "title": "Reactivity Data", "filters": { "stats": ["", "Species", "Dilution Info", "Notes"], "tabs": { "all-applications": {"fullname" : "All Applications", "shortname": "All Applications"}, "ELISA" : {"fullname" : "ELISA", "shortname":"ELISA"}, "Dot" : {"fullname" : "Dot Blot", "shortname":"Dot"}, "WB" : {"fullname" : "Western blot", "shortname":"WB"} }, "product-promise": { "all": "all", "testedAndGuaranteed": "tested", "guaranteed": "expected", "predicted": "predicted", "notRecommended": "not-recommended" } }, "values": { "Mouse": { "ELISA-species-checked": "guaranteed", "ELISA-species-dilution-info": "", "ELISA-species-notes": "", "Dot-species-checked": "guaranteed", "Dot-species-dilution-info": "", "Dot-species-notes": "", "WB-species-checked": "testedAndGuaranteed", "WB-species-dilution-info": "", "WB-species-notes": "<p></p>" }, "Synthetic peptide": { "ELISA-species-checked": "testedAndGuaranteed", "ELISA-species-dilution-info": "", "ELISA-species-notes": "<p></p>", "Dot-species-checked": "testedAndGuaranteed", "Dot-species-dilution-info": "", "Dot-species-notes": "<p></p>", "WB-species-checked": "notRecommended", "WB-species-dilution-info": "", "WB-species-notes": "" } } }

Product details

ab240336 is the carrier-free version of ab195117.

Patented technology
Our RabMAb® technology is a patented hybridoma-based technology for making rabbit monoclonal antibodies. For details on our patents, please refer to RabMAb® patents.

What are the advantages of a recombinant monoclonal antibody?
This product is a recombinant monoclonal antibody, which offers several advantages including:

  • - High batch-to-batch consistency and reproducibility
  • - Improved sensitivity and specificity
  • - Long-term security of supply
  • - Animal-free batch production

For more information, read more on recombinant antibodies.

Conjugation ready
Our carrier-free antibodies are typically supplied in a PBS-only formulation, purified and free of BSA, sodium azide and glycerol. This conjugation-ready format is designed for use with fluorochromes, metal isotopes, oligonucleotides, and enzymes, which makes them ideal for antibody labelling, functional and cell-based assays, flow-based assays (e.g. mass cytometry) and Multiplex Imaging applications.

Use our conjugation kits for antibody conjugates that are ready-to-use in as little as 20 minutes with 1 minute hands-on-time and 100% antibody recovery: available for fluorescent dyes, HRP, biotin and gold.

Compatibility
This product is compatible with the Maxpar® Antibody Labeling Kit from Fluidigm, without the need for antibody preparation. Maxpar® is a trademark of Fluidigm Canada Inc.

Properties and storage information

Form
Liquid
Purification technique
Affinity purification Protein A
Storage buffer
pH: 7.2 - 7.4 Constituents: PBS
Shipped at conditions
Blue Ice
Appropriate short-term storage conditions
+4°C
Appropriate long-term storage conditions
+4°C
Storage information
Do Not Freeze

Supplementary information

This supplementary information is collated from multiple sources and compiled automatically.

'Receptor-interacting protein kinase 3' (RIP3) also known as RIPK3 is a serine/threonine-protein kinase with a molecular weight of approximately 57 kDa. Mechanically it contains a kinase domain that allows it to phosphorylate specific substrates which is important for mediating its function within the cell. RIP3 is expressed in various tissues with notable presence in the spleen heart and adipose tissue. The protein localizes predominantly in the cytoplasm where it interacts with other cellular proteins to initiate downstream signaling events.
Biological function summary

RIP3 facilitates the execution of necroptosis a form of programmed cell death distinct from apoptosis. It becomes activated upon binding with RIP1 forming a necrosome complex that is essential for this pathway. This complex promotes phosphorylation events that subsequently lead to membrane rupture and cell death. Apart from its role in necroptosis RIP3 also engages in metabolic regulation processes linking energy status and cell death under conditions of stress.

Pathways

RIP3 is a principal component of the necroptotic pathway interacting closely with RIP1 to trigger cell death in conditions where caspase activation is inhibited. Alternatively it integrates into metabolic pathways participating in sensing and responding to changes in cellular energy states. The interplay between RIP3 and RIP1 within these pathways illustrates their shared involvement in maintaining cellular homeostasis and triggering cell death when necessary.

RIP3 has significant implications for conditions involving excessive or dysfunctional cell death such as inflammatory diseases and reperfusion injury. The necroptotic activity of RIP3 can exacerbate inflammation by promoting the release of pro-inflammatory factors upon cell death. Furthermore during ischemia-reperfusion injury increased RIP3 activity in conjunction with MLKL another necroptosis-associated protein contributes to tissue damage highlighting its potential as a therapeutic target for reducing cell death-related tissue damage.

Product protocols

For this product, it's our understanding that no specific protocols are required. You can visit:

Target data

Serine/threonine-protein kinase that activates necroptosis and apoptosis, two parallel forms of cell death (PubMed : 27321907, PubMed : 27746097, PubMed : 27917412, PubMed : 28607035, PubMed : 32200799, PubMed : 32296175). Necroptosis, a programmed cell death process in response to death-inducing TNF-alpha family members, is triggered by RIPK3 following activation by ZBP1 (PubMed : 19590578, PubMed : 22423968, PubMed : 24012422, PubMed : 24019532, PubMed : 24095729, PubMed : 24557836, PubMed : 27321907, PubMed : 27746097, PubMed : 27819681, PubMed : 27819682, PubMed : 32200799, PubMed : 32296175). Activated RIPK3 forms a necrosis-inducing complex and mediates phosphorylation of MLKL, promoting MLKL localization to the plasma membrane and execution of programmed necrosis characterized by calcium influx and plasma membrane damage (PubMed : 24813849, PubMed : 24813850, PubMed : 27321907). In addition to TNF-induced necroptosis, necroptosis can also take place in the nucleus in response to orthomyxoviruses infection : following ZBP1 activation, which senses double-stranded Z-RNA structures, nuclear RIPK3 catalyzes phosphorylation and activation of MLKL, promoting disruption of the nuclear envelope and leakage of cellular DNA into the cytosol (PubMed : 32200799, PubMed : 32296175). Also regulates apoptosis : apoptosis depends on RIPK1, FADD and CASP8, and is independent of MLKL and RIPK3 kinase activity (PubMed : 27321907). Phosphorylates RIPK1 : RIPK1 and RIPK3 undergo reciprocal auto- and trans-phosphorylation (By similarity). In some cell types, also able to restrict viral replication by promoting cell death-independent responses (PubMed : 30635240). In response to flavivirus infection in neurons, promotes a cell death-independent pathway that restricts viral replication : together with ZBP1, promotes a death-independent transcriptional program that modifies the cellular metabolism via up-regulation expression of the enzyme ACOD1/IRG1 and production of the metabolite itaconate (PubMed : 30635240). Itaconate inhibits the activity of succinate dehydrogenase, generating a metabolic state in neurons that suppresses replication of viral genomes (PubMed : 30635240). RIPK3 binds to and enhances the activity of three metabolic enzymes : GLUL, GLUD1, and PYGL (By similarity). These metabolic enzymes may eventually stimulate the tricarboxylic acid cycle and oxidative phosphorylation, which could result in enhanced ROS production (By similarity).
See full target information Ripk3 phospho S232

Publications (1)

Recent publications for all applications. Explore the full list and refine your search

Journal of neuroinflammation 19:284 PubMed36457055

2022

Scorpion venom peptide HsTx2 suppressed PTZ-induced seizures in mice via the circ_0001293/miR-8114/TGF-β2 axis.

Applications

Unspecified application

Species

Unspecified reactive species

Yan Hu,Buliang Meng,Saige Yin,Meifeng Yang,Yilin Li,Naixin Liu,Shanshan Li,Yixiang Liu,Dandan Sun,Siyu Wang,Yinglei Wang,Zhe Fu,Yutong Wu,Ailan Pang,Jun Sun,Ying Wang,Xinwang Yang
View all publications

Product promise

We are committed to supporting your work with high-quality reagents, and we're here for you every step of the way. In the unlikely event that one of our products does not perform as expected, you're protected by our Product Promise.
For full details, please see our Terms & Conditions

Please note: All products are 'FOR RESEARCH USE ONLY. NOT FOR USE IN DIAGNOSTIC OR THERAPEUTIC PROCEDURES'.

For licensing inquiries, please contact partnerships@abcam.com