JavaScript is disabled in your browser. Please enable JavaScript to view this website.
AB324983

Anti-RIP3 (phospho T231) antibody [EPR29676-66]

Be the first to review this product! Submit a review

|

(0 Publication)

Rabbit Recombinant Monoclonal RIP3 phospho T231 antibody. Suitable for ICC/IF, Dot, WB and reacts with Transfected cell line - Mouse, Mouse, Synthetic peptide - Mouse samples.

View Alternative Names

Rip3, Receptor-interacting serine/threonine-protein kinase 3, RIP-like protein kinase 3, Receptor-interacting protein 3, RIP-3, mRIP3

5 Images
Immunocytochemistry/ Immunofluorescence - Anti-RIP3 (phospho T231) antibody [EPR29676-66] (AB324983)
  • ICC/IF

Supplier Data

Immunocytochemistry/ Immunofluorescence - Anti-RIP3 (phospho T231) antibody [EPR29676-66] (AB324983)

Immunofluorescent analysis of 4% Paraformaldehyde-fixed, 0.1% TritonX-100 permeabilized 293T (human embryonic kidney epithelial cell) cells labelling RIP3 (phospho T231) with ab324983 at 1/200 (2.6 ug/ml) dilution, followed by ab150081 Goat Anti-Rabbit IgG H&L (Alexa Fluor® 488) preadsorbed antibody at 1/1000 (2 ug/ml) dilution (Green).

Confocal image showing cytoplasmic staining in 293T cells transfected with a mouse RIP3 expression vector containing a myc-His-tag® and no staining in 293T cells transfected with a mouse RIPK3(T231A, S232A) expression vector containing a myc-His-tag® (shown in green) . The counterstain was observed in magenta. Nuclear DNA was labelled with DAPI (shown in blue). Image was taken with a confocal microscope (Leica-Microsystems, TCS SP8).

ab223895 Anti-Myc tag Mouse monoclonal antibody (Alexa Fluor® 647) was used to counterstain tubulin at 1/100 (5 ug/ml) dilution (Magenta).

Immunocytochemistry/ Immunofluorescence - Anti-RIP3 (phospho T231) antibody [EPR29676-66] (AB324983)
  • ICC/IF

Supplier Data

Immunocytochemistry/ Immunofluorescence - Anti-RIP3 (phospho T231) antibody [EPR29676-66] (AB324983)

Immunofluorescent analysis of 4% Paraformaldehyde-fixed, 0.1% TritonX-100 permeabilized Neuro-2a (mouse neuroblastoma neuroblast) cells labelling RIP3 (phospho T231) with ab324983 at 1/200 (2.6 ug/ml) dilution, followed by ab150081 Goat Anti-Rabbit IgG H&L (Alexa Fluor® 488) preadsorbed antibody at 1/1000 (2 ug/ml) dilution (Green).

Negative control : Confocal image showing no staining in Neuro-2a cells (shown in green) treated with 20 uM z-VAD for 7.5 hours, then add 20 ng/ml TNF alpha (Mouse) and 100nM SM-164 for 7 hours. The counterstain was observed in magenta. Nuclear DNA was labelled with DAPI (shown in blue). Image was taken with a confocal microscope (Leica-Microsystems, TCS SP8).

ab195889 Anti-alpha Tubulin mouse monoclonal antibody - Microtubule Marker (Alexa Fluor® 594) was used to counterstain tubulin at 1/200 (2.5 ug/ml) dilution (Magenta).

Immunocytochemistry/ Immunofluorescence - Anti-RIP3 (phospho T231) antibody [EPR29676-66] (AB324983)
  • ICC/IF

Supplier Data

Immunocytochemistry/ Immunofluorescence - Anti-RIP3 (phospho T231) antibody [EPR29676-66] (AB324983)

Immunofluorescent analysis of 4% Paraformaldehyde-fixed, 0.1% TritonX-100 permeabilized L-929 (mouse connective tissue fibroblast) cells labelling RIP3 (phospho T231) with ab324983 at 1/200 (2.6 ug/ml) dilution, followed by ab150081 Goat Anti-Rabbit IgG H&L (Alexa Fluor® 488) preadsorbed antibody at 1/1000 (2 ug/ml) dilution (Green).

Confocal image showing increased cytoplasmic staining in L-929 cells (shown in green) treated with 20 μM z-VAD for 7.5 hours, then add 20 ng/ml TNF alpha (Mouse) and 100nM SM-164 for 7 hours. The counterstain was observed in magenta. Nuclear DNA was labelled with DAPI (shown in blue). Image was taken with a confocal microscope (Leica-Microsystems, TCS SP8).

ab195889 Anti-alpha Tubulin mouse monoclonal antibody - Microtubule Marker (Alexa Fluor® 594) was used to counterstain tubulin at 1/200 (2.5 ug/ml) dilution (Magenta).

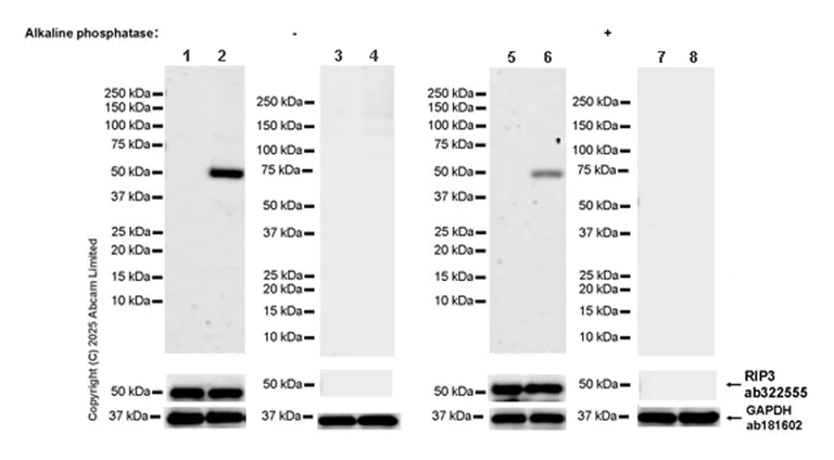
Western blot - Anti-RIP3 (phospho T231) antibody [EPR29676-66] (AB324983)
  • WB

Supplier Data

Western blot - Anti-RIP3 (phospho T231) antibody [EPR29676-66] (AB324983)

Blocking and diluting buffer and concentration : 5% NFDM/TBST.

Negative control : Neuro-2a.

The expression of RIP3 (phospho T231 + S232) is upregulated in response to z-VAD, TNF alpha and SM-164 treatment.

In Western blot, Anti-GAPDH antibody [EPR16891] - Loading Control (ab181602) staining at 1/200000 dilution.

In Western blot, Anti-RIP3 antibody (ab322555) staining at 1/1000 dilution.

All lanes:

Western blot - Anti-RIP3 (phospho T231) antibody [EPR29676-66] (ab324983) at 1/1000 dilution

Lane 1:

Untreated L-929 (mouse connective tissue fibroblast) whole cell lysate (untreated membrane) at 20 µg

Lane 2:

L-929 treated with 20 µM z-VAD for 0.5h, 20ng/ml TNF alpha and 100nM SM-164 was then added for additional 7h whole cell lysate (untreated membrane) at 20 µg

Lane 3:

Untreated Neuro-2a (mouse neuroblastoma neuroblast) whole cell lysate (untreated membrane) at 20 µg

Lane 4:

Neuro-2a (mouse neuroblastoma neuroblast) treated with 20 µM z-VAD for 0.5h, 20ng/ml TNF alpha and 100nM SM-164 was then added for additional 7h whole cell lysate (untreated membrane) at 20 µg

Lane 5:

Untreated L-929 (mouse connective tissue fibroblast) whole cell lysate (alkaline phosphatase treated membrane) at 20 µg

Lane 6:

L-929 treated with 20 µM z-VAD for 0.5h, 20ng/ml TNF alpha and 100nM SM-164 was then added for additional 7h whole cell lysate (alkaline phosphatase treated membrane) at 20 µg

Lane 7:

Untreated Neuro-2a (mouse neuroblastoma neuroblast) whole cell lysate (alkaline phosphatase treated membrane) at 20 µg

Lane 8:

Neuro-2a (mouse neuroblastoma neuroblast) treated with 20 µM z-VAD for 0.5h, 20ng/ml TNF alpha and 100nM SM-164 was then added for additional 7h whole cell lysate (alkaline phosphatase treated membrane) at 20 µg

Secondary

All lanes:

Western blot - Goat Anti-Rabbit IgG H&L (HRP) (<a href='/en-us/products/secondary-antibodies/goat-rabbit-igg-h-l-hrp-ab97051'>ab97051</a>) at 1/20000 dilution

Observed band size: 50 kDa,36 kDa

false

Exposure time: 26s

Dot Blot - Anti-RIP3 (phospho T231) antibody [EPR29676-66] (AB324983)
  • Dot

Supplier Data

Dot Blot - Anti-RIP3 (phospho T231) antibody [EPR29676-66] (AB324983)

Dot blot analysis of RIP3 (phospho T231) using ab324983 at 1/1000 dilution, followed by a Goat Anti-Rabbit IgG, (H+L), Peroxidase conjugated (ab97051) at 1 : 100,000 dilution.

Lane 1 : Mouse RIP3 (phospho T231 + S232) peptide a
Lane 2 : Mouse RIP3 (phospho T231 + S232) peptide b
Lane 3 : Mouse RIP3 non-phospho peptide c
Lane 4 : Mouse RIP3 (phospho T231) peptide d
Lane 5 : Mouse RIP3 (phospho S232) peptide e

Exposure time : 180 seconds.

Blocking and diluting buffer and concentration : 5% NFDM/TBST.

All lanes:

Dot Blot - Anti-RIP3 (phospho T231) antibody [EPR29676-66] (ab324983) at 1/1000 dilution

Lane 1:

Mouse RIP3 (phospho T231 + S232) peptide a

Lane 2:

Mouse RIP3 (phospho T231 + S232) peptide b

Lane 3:

Mouse RIP3 non-phospho peptide c

Lane 4:

Mouse RIP3 (phospho T231) peptide d

Lane 5:

Mouse RIP3 (phospho S232) peptide e

Secondary

All lanes:

Dot Blot - Goat Anti-Rabbit IgG H&L (HRP) (<a href='/en-us/products/secondary-antibodies/goat-rabbit-igg-h-l-hrp-ab97051'>ab97051</a>) at 1/100000 dilution

false

Exposure time: 180s

Key facts

Host species

Rabbit

Clonality

Monoclonal

Clone number

EPR29676-66

Isotype

IgG

Carrier free

No

Reacts with

Mouse

Applications

WB, ICC/IF, Dot

applications

Immunogen

The exact immunogen used to generate this antibody is proprietary information.

Reactivity data

{ "title": "Reactivity Data", "filters": { "stats": ["", "Species", "Dilution Info", "Notes"], "tabs": { "all-applications": {"fullname" : "All Applications", "shortname": "All Applications"}, "ICCIF" : {"fullname" : "Immunocytochemistry/ Immunofluorescence", "shortname":"ICC/IF"}, "Dot" : {"fullname" : "Dot Blot", "shortname":"Dot"}, "WB" : {"fullname" : "Western blot", "shortname":"WB"}, "IHCP" : {"fullname" : "Immunohistochemistry (Formalin/PFA-fixed paraffin-embedded sections)", "shortname":"IHC-P"} }, "product-promise": { "all": "all", "testedAndGuaranteed": "tested", "guaranteed": "expected", "predicted": "predicted", "notRecommended": "not-recommended" } }, "values": { "Mouse": { "ICCIF-species-checked": "testedAndGuaranteed", "ICCIF-species-dilution-info": "1/200", "ICCIF-species-notes": "<p></p>", "Dot-species-checked": "guaranteed", "Dot-species-dilution-info": "", "Dot-species-notes": "", "WB-species-checked": "testedAndGuaranteed", "WB-species-dilution-info": "1/1000", "WB-species-notes": "<p></p>", "IHCP-species-checked": "notRecommended", "IHCP-species-dilution-info": "", "IHCP-species-notes": "<p></p>" }, "Synthetic peptide - Mouse": { "ICCIF-species-checked": "notRecommended", "ICCIF-species-dilution-info": "", "ICCIF-species-notes": "", "Dot-species-checked": "testedAndGuaranteed", "Dot-species-dilution-info": "1/1000", "Dot-species-notes": "<p></p>", "WB-species-checked": "notRecommended", "WB-species-dilution-info": "", "WB-species-notes": "", "IHCP-species-checked": "notRecommended", "IHCP-species-dilution-info": "", "IHCP-species-notes": "" }, "Transfected cell line - Mouse": { "ICCIF-species-checked": "testedAndGuaranteed", "ICCIF-species-dilution-info": "1/200", "ICCIF-species-notes": "<p></p>", "Dot-species-checked": "notRecommended", "Dot-species-dilution-info": "", "Dot-species-notes": "", "WB-species-checked": "notRecommended", "WB-species-dilution-info": "", "WB-species-notes": "", "IHCP-species-checked": "notRecommended", "IHCP-species-dilution-info": "", "IHCP-species-notes": "" } } }

Product details

Patented technology
Our RabMAb® technology is a patented hybridoma-based technology for making rabbit monoclonal antibodies. For details on our patents, please refer to RabMAb® patents.

What are the advantages of a recombinant monoclonal antibody?
This product is a recombinant monoclonal antibody, which offers several advantages including:

  • - High batch-to-batch consistency and reproducibility
  • - Improved sensitivity and specificity
  • - Long-term security of supply
  • - Animal-free batch production

For more information, read more on recombinant antibodies.

Properties and storage information

Form
Liquid
Purification technique
Affinity purification Protein A
Storage buffer
pH: 7.2 - 7.4 Preservative: 0.01% Sodium azide Constituents: PBS, 40% Glycerol (glycerin, glycerine), 0.05% BSA
Shipped at conditions
Blue Ice
Appropriate short-term storage duration
1-2 weeks
Appropriate short-term storage conditions
+4°C
Appropriate long-term storage conditions
-20°C
Aliquoting information
Upon delivery aliquot
Storage information
Avoid freeze / thaw cycle

Product protocols

For this product, it's our understanding that no specific protocols are required. You can visit:

Target data

Serine/threonine-protein kinase that activates necroptosis and apoptosis, two parallel forms of cell death (PubMed : 27321907, PubMed : 27746097, PubMed : 27917412, PubMed : 28607035, PubMed : 32200799, PubMed : 32296175). Necroptosis, a programmed cell death process in response to death-inducing TNF-alpha family members, is triggered by RIPK3 following activation by ZBP1 (PubMed : 19590578, PubMed : 22423968, PubMed : 24012422, PubMed : 24019532, PubMed : 24095729, PubMed : 24557836, PubMed : 27321907, PubMed : 27746097, PubMed : 27819681, PubMed : 27819682, PubMed : 32200799, PubMed : 32296175). Activated RIPK3 forms a necrosis-inducing complex and mediates phosphorylation of MLKL, promoting MLKL localization to the plasma membrane and execution of programmed necrosis characterized by calcium influx and plasma membrane damage (PubMed : 24813849, PubMed : 24813850, PubMed : 27321907). In addition to TNF-induced necroptosis, necroptosis can also take place in the nucleus in response to orthomyxoviruses infection : following ZBP1 activation, which senses double-stranded Z-RNA structures, nuclear RIPK3 catalyzes phosphorylation and activation of MLKL, promoting disruption of the nuclear envelope and leakage of cellular DNA into the cytosol (PubMed : 32200799, PubMed : 32296175). Also regulates apoptosis : apoptosis depends on RIPK1, FADD and CASP8, and is independent of MLKL and RIPK3 kinase activity (PubMed : 27321907). Phosphorylates RIPK1 : RIPK1 and RIPK3 undergo reciprocal auto- and trans-phosphorylation (By similarity). In some cell types, also able to restrict viral replication by promoting cell death-independent responses (PubMed : 30635240). In response to flavivirus infection in neurons, promotes a cell death-independent pathway that restricts viral replication : together with ZBP1, promotes a death-independent transcriptional program that modifies the cellular metabolism via up-regulation expression of the enzyme ACOD1/IRG1 and production of the metabolite itaconate (PubMed : 30635240). Itaconate inhibits the activity of succinate dehydrogenase, generating a metabolic state in neurons that suppresses replication of viral genomes (PubMed : 30635240). RIPK3 binds to and enhances the activity of three metabolic enzymes : GLUL, GLUD1, and PYGL (By similarity). These metabolic enzymes may eventually stimulate the tricarboxylic acid cycle and oxidative phosphorylation, which could result in enhanced ROS production (By similarity).
See full target information Ripk3 phospho T231

Product promise

We are committed to supporting your work with high-quality reagents, and we're here for you every step of the way. In the unlikely event that one of our products does not perform as expected, you're protected by our Product Promise.
For full details, please see our Terms & Conditions

Please note: All products are 'FOR RESEARCH USE ONLY. NOT FOR USE IN DIAGNOSTIC OR THERAPEUTIC PROCEDURES'.

For licensing inquiries, please contact partnerships@abcam.com