JavaScript is disabled in your browser. Please enable JavaScript to view this website.
AB205421

Anti-RIP3 (phospho T231 + S232) antibody [2D7]

0

(1 Review)

|

(24 Publications)

Mouse Monoclonal RIP3 phospho S232 + T231 antibody. Suitable for ELISA, WB and reacts with Synthetic peptide, Mouse samples. Cited in 24 publications.

View Alternative Names

Rip3, Ripk3, Receptor-interacting serine/threonine-protein kinase 3, RIP-like protein kinase 3, Receptor-interacting protein 3, RIP-3, mRIP3

3 Images
Western blot - Anti-RIP3 (phospho T231 + S232) antibody [2D7] (AB205421)
  • WB

Lab

Western blot - Anti-RIP3 (phospho T231 + S232) antibody [2D7] (AB205421)

Blocking buffer : 2% BSA.

Performed under reducing conditions.

All lanes:

Western blot - Anti-RIP3 (phospho T231 + S232) antibody [2D7] (ab205421) at 1 µg/mL

Lane 1:

Mouse Pancreas Tissue Lysate at 10 µg

Lane 2:

Mouse Kidney Tissue Lysate at 20 µg

Lane 3:

Mouse Small Intestine Tissue Lysate at 20 µg

Secondary

All lanes:

Goat polyclonal to Mouse IgG - H&L - Pre-Adsorbed (HRP) at 1/5000 dilution

Predicted band size: 57 kDa

Observed band size: 57 kDa

false

Exposure time: 4min

Western blot - Anti-RIP3 (phospho T231 + S232) antibody [2D7] (AB205421)
  • WB

Supplier Data

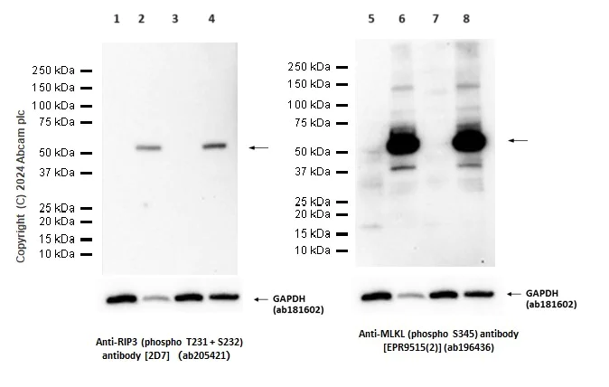
Western blot - Anti-RIP3 (phospho T231 + S232) antibody [2D7] (AB205421)

Blocking and diluting buffer concentration : 5% NFDM/TBTS.

ab181602 was used as a loading control at 1/1000000 dilution.

We recommend involving downstream protein p-MLKL as a control to validate the stimulation of p-RIP3.

Lanes 1 - 4:

Western blot - Anti-RIP3 (phospho T231 + S232) antibody [2D7] (ab205421) at 1/1000 dilution

Lanes 5 - 8:

Western blot - Anti-MLKL (phospho S345) antibody [EPR9515(2)] (<a href='/en-us/products/primary-antibodies/mlkl-phospho-s345-antibody-epr95152-ab196436'>ab196436</a>) at 1/1000 dilution

Lanes 1, 3, 5 and 7:

Untreated L-929 (mouse connective tissue fibroblast cell line) whole cell lysate at 20 µg

Lanes 2 and 6:

L-929 (mouse connective tissue fibroblast cell line) treated with 20 ng/ml TNF-a, 100 nM Smac mimetic and 20 μM z-VAD for 8 hours whole cell lysate at 20 µg

Lanes 4 and 8:

L-929 (mouse connective tissue fibroblast cell line) treated with 20 ng/ml TNF-a, 100 nM Smac mimetic and 20 μM z-VAD for 6 hours whole cell lysate at 20 µg

Secondary

Lanes 1 - 4:

Peroxidase-Conjugated Goat anti-Mouse IgG (H+L) at 1/20000 dilution

Lanes 5 - 8:

Western blot - Goat Anti-Rabbit IgG H&L (HRP) (<a href='/en-us/products/secondary-antibodies/goat-rabbit-igg-h-l-hrp-ab97051'>ab97051</a>) at 1/20000 dilution

Predicted band size: 57 kDa,54 kDa

Observed band size: 53 kDa

false

Exposure time: 180s

ELISA - Anti-RIP3 (phospho T231 + S232) antibody [2D7] (AB205421)
  • ELISA

Lab

ELISA - Anti-RIP3 (phospho T231 + S232) antibody [2D7] (AB205421)

Serially diluted ab205421 was bound to immobilised RIP3 phospho peptide (T231), RIP3 phospho peptide (S232), RIP3 dual phospho peptide (T231+S232) or RIP3 control peptide (RIP3-nP; all peptides at 1 microgram x mL-1). The antibody was detected by HRP-labeled goat anti-mouse IgG and signal was developed with TMB substrate.

Key facts

Host species

Mouse

Clonality

Monoclonal

Clone number

2D7

Isotype

IgG1

Carrier free

No

Reacts with

Mouse

Applications

WB, ELISA

applications

Immunogen

The exact immunogen used to generate this antibody is proprietary information.

Reactivity data

{ "title": "Reactivity Data", "filters": { "stats": ["", "Species", "Dilution Info", "Notes"], "tabs": { "all-applications": {"fullname" : "All Applications", "shortname": "All Applications"}, "ELISA" : {"fullname" : "ELISA", "shortname":"ELISA"}, "WB" : {"fullname" : "Western blot", "shortname":"WB"} }, "product-promise": { "all": "all", "testedAndGuaranteed": "tested", "guaranteed": "expected", "predicted": "predicted", "notRecommended": "not-recommended" } }, "values": { "Mouse": { "ELISA-species-checked": "guaranteed", "ELISA-species-dilution-info": "", "ELISA-species-notes": "", "WB-species-checked": "testedAndGuaranteed", "WB-species-dilution-info": "1-5 µg/mL", "WB-species-notes": "<p></p>" }, "Synthetic peptide": { "ELISA-species-checked": "testedAndGuaranteed", "ELISA-species-dilution-info": "", "ELISA-species-notes": "<p></p>", "WB-species-checked": "notRecommended", "WB-species-dilution-info": "", "WB-species-notes": "" } } }

Product details

Want a custom formulation?
This antibody clone is manufactured by Abcam. If you require a custom buffer formulation or conjugation for your experiments, please contact orders@abcam.com

Properties and storage information

Form
Liquid
Purification technique
Affinity purification
Storage buffer
pH: 7.4 Preservative: 0.02% Sodium azide Constituents: PBS, 6.97% L-Arginine
Shipped at conditions
Blue Ice
Appropriate short-term storage duration
1-2 weeks
Appropriate short-term storage conditions
+4°C
Appropriate long-term storage conditions
-20°C
Aliquoting information
Upon delivery aliquot
Storage information
Avoid freeze / thaw cycle

Supplementary information

This supplementary information is collated from multiple sources and compiled automatically.

'Receptor-interacting protein kinase 3' (RIP3) also known as RIPK3 is a serine/threonine-protein kinase with a molecular weight of approximately 57 kDa. Mechanically it contains a kinase domain that allows it to phosphorylate specific substrates which is important for mediating its function within the cell. RIP3 is expressed in various tissues with notable presence in the spleen heart and adipose tissue. The protein localizes predominantly in the cytoplasm where it interacts with other cellular proteins to initiate downstream signaling events.
Biological function summary

RIP3 facilitates the execution of necroptosis a form of programmed cell death distinct from apoptosis. It becomes activated upon binding with RIP1 forming a necrosome complex that is essential for this pathway. This complex promotes phosphorylation events that subsequently lead to membrane rupture and cell death. Apart from its role in necroptosis RIP3 also engages in metabolic regulation processes linking energy status and cell death under conditions of stress.

Pathways

RIP3 is a principal component of the necroptotic pathway interacting closely with RIP1 to trigger cell death in conditions where caspase activation is inhibited. Alternatively it integrates into metabolic pathways participating in sensing and responding to changes in cellular energy states. The interplay between RIP3 and RIP1 within these pathways illustrates their shared involvement in maintaining cellular homeostasis and triggering cell death when necessary.

RIP3 has significant implications for conditions involving excessive or dysfunctional cell death such as inflammatory diseases and reperfusion injury. The necroptotic activity of RIP3 can exacerbate inflammation by promoting the release of pro-inflammatory factors upon cell death. Furthermore during ischemia-reperfusion injury increased RIP3 activity in conjunction with MLKL another necroptosis-associated protein contributes to tissue damage highlighting its potential as a therapeutic target for reducing cell death-related tissue damage.

Product protocols

For this product, it's our understanding that no specific protocols are required. You can visit:

Target data

Serine/threonine-protein kinase that activates necroptosis and apoptosis, two parallel forms of cell death (PubMed : 27321907, PubMed : 27746097, PubMed : 27917412, PubMed : 28607035, PubMed : 32200799, PubMed : 32296175). Necroptosis, a programmed cell death process in response to death-inducing TNF-alpha family members, is triggered by RIPK3 following activation by ZBP1 (PubMed : 19590578, PubMed : 22423968, PubMed : 24012422, PubMed : 24019532, PubMed : 24095729, PubMed : 24557836, PubMed : 27321907, PubMed : 27746097, PubMed : 27819681, PubMed : 27819682, PubMed : 32200799, PubMed : 32296175). Activated RIPK3 forms a necrosis-inducing complex and mediates phosphorylation of MLKL, promoting MLKL localization to the plasma membrane and execution of programmed necrosis characterized by calcium influx and plasma membrane damage (PubMed : 24813849, PubMed : 24813850, PubMed : 27321907). In addition to TNF-induced necroptosis, necroptosis can also take place in the nucleus in response to orthomyxoviruses infection : following ZBP1 activation, which senses double-stranded Z-RNA structures, nuclear RIPK3 catalyzes phosphorylation and activation of MLKL, promoting disruption of the nuclear envelope and leakage of cellular DNA into the cytosol (PubMed : 32200799, PubMed : 32296175). Also regulates apoptosis : apoptosis depends on RIPK1, FADD and CASP8, and is independent of MLKL and RIPK3 kinase activity (PubMed : 27321907). Phosphorylates RIPK1 : RIPK1 and RIPK3 undergo reciprocal auto- and trans-phosphorylation (By similarity). In some cell types, also able to restrict viral replication by promoting cell death-independent responses (PubMed : 30635240). In response to flavivirus infection in neurons, promotes a cell death-independent pathway that restricts viral replication : together with ZBP1, promotes a death-independent transcriptional program that modifies the cellular metabolism via up-regulation expression of the enzyme ACOD1/IRG1 and production of the metabolite itaconate (PubMed : 30635240). Itaconate inhibits the activity of succinate dehydrogenase, generating a metabolic state in neurons that suppresses replication of viral genomes (PubMed : 30635240). RIPK3 binds to and enhances the activity of three metabolic enzymes : GLUL, GLUD1, and PYGL (By similarity). These metabolic enzymes may eventually stimulate the tricarboxylic acid cycle and oxidative phosphorylation, which could result in enhanced ROS production (By similarity).
See full target information Ripk3 phospho S232 + T231

Publications (24)

Recent publications for all applications. Explore the full list and refine your search

PLoS pathogens 21:e1013167 PubMed40359428

2025

Caspase-1-licensed pyroptosis drives dsRNA-mediated necroptosis and dampens host defense against bacterial pneumonia.

Applications

Unspecified application

Species

Unspecified reactive species

Qinyu Luo,Lihua Shen,Shiyue Yang,Yan Zhang,Yihang Pan,Zehua Wu,Qiang Shu,Qixing Chen

eLife 13: PubMed40132021

2025

Aβ-driven nuclear pore complex dysfunction alters activation of necroptosis proteins in a mouse model of Alzheimer's disease.

Applications

Unspecified application

Species

Unspecified reactive species

Vibhavari Aysha Bansal,Jia Min Tan,Hui Rong Soon,Norliyana Zainolabidin,Takaomi Saido,Toh Hean Ch'ng

Chinese medical journal pulmonary and critical care medicine 2:265-278 PubMed39834583

2025

Parkin deficiency aggravates inflammation-induced acute lung injury by promoting necroptosis in alveolar type II cells.

Applications

Unspecified application

Species

Unspecified reactive species

Meiyu Quan,Qiang Guo,Xihua Yan,Chenhua Yu,Linglong Yang,Yuting Zhang,Jiaqi Li,Qiongxia Weng,Bin Liu,Quan Li,Li Dong,Junjie Chen,Zhenkun Lou,Xuru Jin,Chengshui Chen,Jin-San Zhang

Cell & bioscience 14:55 PubMed38678262

2024

Edaravone Dexborneol mitigates pathology in animal and cell culture models of Alzheimer's disease by inhibiting neuroinflammation and neuronal necroptosis.

Applications

Unspecified application

Species

Unspecified reactive species

Chong Xu,Yilan Mei,Ruihan Yang,Qiudan Luo,Jienian Zhang,Xiaolin Kou,Jianfeng Hu,Yujie Wang,Yue Li,Rong Chen,Zhengping Zhang,Yuyuan Yao,Jian Sima

Nature communications 15:133 PubMed38168040

2024

Surplus fatty acid synthesis increases oxidative stress in adipocytes and lnduces lipodystrophy.

Applications

Unspecified application

Species

Unspecified reactive species

Li Weng,Wen-Shuai Tang,Xu Wang,Yingyun Gong,Changqin Liu,Ni-Na Hong,Ying Tao,Kuang-Zheng Li,Shu-Ning Liu,Wanzi Jiang,Ying Li,Ke Yao,Li Chen,He Huang,Yu-Zheng Zhao,Ze-Ping Hu,Youli Lu,Haobin Ye,Xingrong Du,Hongwen Zhou,Peng Li,Tong-Jin Zhao

Cell death & disease 14:432 PubMed37454215

2023

PTRF-IL33-ZBP1 signaling mediating macrophage necroptosis contributes to HDM-induced airway inflammation.

Applications

Unspecified application

Species

Unspecified reactive species

Juan Du,Yahui Liu,Gelei Lan,Yao Zhou,Yingmeng Ni,Kai Liao,Fang Zheng,Qijian Cheng,Guochao Shi,Xiao Su

Redox biology 62:102687 PubMed36989574

2023

Pathologically high intraocular pressure induces mitochondrial dysfunction through Drp1 and leads to retinal ganglion cell PANoptosis in glaucoma.

Applications

Unspecified application

Species

Unspecified reactive species

Zhou Zeng,Mengling You,Cong Fan,Rong Rong,Haibo Li,Xiaobo Xia

Nature communications 13:6891 PubMed36371441

2022

Generative deep learning enables the discovery of a potent and selective RIPK1 inhibitor.

Applications

Unspecified application

Species

Unspecified reactive species

Yueshan Li,Liting Zhang,Yifei Wang,Jun Zou,Ruicheng Yang,Xinling Luo,Chengyong Wu,Wei Yang,Chenyu Tian,Haixing Xu,Falu Wang,Xin Yang,Linli Li,Shengyong Yang

STAR protocols 3:101517 PubMed35779260

2022

Immunostaining of phospho-RIPK3 in L929 cells, murine yolk sacs, ceca, and small intestines.

Applications

Unspecified application

Species

Unspecified reactive species

Lang Li,Kai Huang,Chenchen Ruan,Jiahuai Han,Yingying Zhang

Lupus science & medicine 9: PubMed35414608

2022

Metformin improves renal injury of MRL/lpr lupus-prone mice via the AMPK/STAT3 pathway.

Applications

Unspecified application

Species

Unspecified reactive species

Xiao-Cui Chen,Dan Wu,Hong-Luan Wu,Hui-Yuan Li,Chen Yang,Hong-Yong Su,Ze-Jian Liu,Xiao-Rong Huang,Xing Lu,Li-Feng Huang,Shao-Ping Zhu,Qing-Jun Pan,Ning An,Hua-Feng Liu
View all publications

Product promise

We are committed to supporting your work with high-quality reagents, and we're here for you every step of the way. In the unlikely event that one of our products does not perform as expected, you're protected by our Product Promise.
For full details, please see our Terms & Conditions

Please note: All products are 'FOR RESEARCH USE ONLY. NOT FOR USE IN DIAGNOSTIC OR THERAPEUTIC PROCEDURES'.

For licensing inquiries, please contact partnerships@abcam.com