JavaScript is disabled in your browser. Please enable JavaScript to view this website.
AB305106

Anti-Riz1 antibody [EPR25164-34] - BSA and Azide free

Be the first to review this product! Submit a review

|

(0 Publication)

Rabbit Recombinant Monoclonal RIZ1 antibody. Carrier free. Suitable for IP, Flow Cyt (Intra), ICC/IF, IHC-P, WB and reacts with Human, Mouse samples.

View Alternative Names

KMT8, RIZ, PRDM2, PR domain zinc finger protein 2, GATA-3-binding protein G3B, Lysine N-methyltransferase 8, MTB-ZF, MTE-binding protein, PR domain-containing protein 2, Retinoblastoma protein-interacting zinc finger protein, Zinc finger protein RIZ

9 Images
Immunocytochemistry/ Immunofluorescence - Anti-Riz1 antibody [EPR25164-34] - BSA and Azide free (AB305106)
  • ICC/IF

Supplier Data

Immunocytochemistry/ Immunofluorescence - Anti-Riz1 antibody [EPR25164-34] - BSA and Azide free (AB305106)

This data was developed using ab305105, the same antibody clone in a different buffer formulation. Immunofluorescent analysis of 100% methanol-fixed, 0.1% TritonX-100 permeABilized MCF7 (human breast adenocarcinoma epithelial cellЈ© cells lABelling Riz1 with ab305105 at 1/100 (5.09 ug/ml) dilution, followed by ab150081 Goat Anti-RABbit IgG H&L (Alexa Fluor® 488) preadsorbed antibody at 1/1000 2ug/mL dilution (Green). Confocal image showing nuclear staining in MCF7 cell line.Image was taken with a confocal microscope (Leica-Microsystems, TCS SP8). is observed. ab195889 Anti-alpha Tubulin mouse monoclonal antibody - Microtubule Marker (Alexa Fluor® 594) was used to counterstain tubulin at 1/200 2.5ug/ml dilution (Red). The Nuclear counterstain was DAPI (Blue). Secondary antibody only control : Secondary antibody is ab150081 Goat Anti-RABbit IgG H&L (Alexa Fluor® 488) preadsorbed at 1/1000 2ug/mL dilution.

Flow Cytometry (Intracellular) - Anti-Riz1 antibody [EPR25164-34] - BSA and Azide free (AB305106)
  • Flow Cyt (Intra)

Supplier Data

Flow Cytometry (Intracellular) - Anti-Riz1 antibody [EPR25164-34] - BSA and Azide free (AB305106)

This data was developed using ab305105, the same antibody clone in a different buffer formulation.

Flow cytometric analysis of 4% paraformaldehyde fixed 90% methanol permeabilized MCF7 (human breast adenocarcinoma epithelial cell) cells labelling Riz1 with ab305105 at 1/500 dilution (0.1ug) (Red) compared with a Rabbit monoclonal IgG (ab172730) (Black) isotype control and an unlabelled control (cells without incubation with primary antibody and secondary antibody) (Blue). A Goat Anti-Rabbit IgG (Alexa Fluor® 488, ab150081) at 1/2000 dilution was used as the secondary antibody.

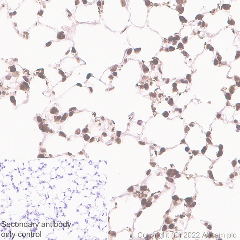
Immunohistochemistry (Formalin/PFA-fixed paraffin-embedded sections) - Anti-Riz1 antibody [EPR25164-34] - BSA and Azide free (AB305106)
  • IHC-P

Supplier Data

Immunohistochemistry (Formalin/PFA-fixed paraffin-embedded sections) - Anti-Riz1 antibody [EPR25164-34] - BSA and Azide free (AB305106)

This data was developed using ab305105, the same antibody clone in a different buffer formulation. Immunohistochemical analysis of paraffin-embedded Human lung tissue labeling Riz1 with ab305105 at 1/16000 (0.032 ug/ml) followed by a ready to use Goat Anti-Rabbit IgG H&L (HRP polymer). Nuclear staining on human lung. The section was incubated with ab305105 at 4ЎгC overnight. Counterstained with Hematoxylin. Secondary antibody only control : Secondary antibody is a ready to use Goat Anti-Rabbit IgG H&L (HRP polymer). Heat mediated antigen retrieval using ab93684 (Tris/EDTA buffer, pH 9.0)

Immunoprecipitation - Anti-Riz1 antibody [EPR25164-34] - BSA and Azide free (AB305106)
  • IP

Supplier Data

Immunoprecipitation - Anti-Riz1 antibody [EPR25164-34] - BSA and Azide free (AB305106)

This data was developed using ab305105, the same antibody clone in a different buffer formulation.

Riz1 was immunoprecipitated from 0.35 mg MCF7 (human breast adenocarcinoma epithelial cell) whole cell lysate 10 ug with ab305105 at 1/30 dilution (2ug in 0.35mg lysates). Western blot was performed on the immunoprecipitate using ab305105 at 1/1000 dilution. VeriBlot for IP secondary antibody (HRP) (ab131366) was used at 1/5000 dilution.

Lane 1 : MCF7 (human breast adenocarcinoma epithelial cell) whole cell lysate 10 ug
Lane 2 : ab305105 IP in MCF7 whole cell lysate
Lane 3 : Rabbit monoclonal IgG (ab172730) instead of ab305105 in MCF7 whole cell lysate

Blocking and dilution buffer and concentration : 5% NFDM/TBST.

Exposure time : 8 seconds

Lysate was freshly made and used for Western blotting immediately to minimize protein degradation.

All lanes:

Immunoprecipitation - Anti-Riz1 antibody [EPR25164-34] (<a href='/en-us/products/primary-antibodies/riz1-antibody-epr25164-34-ab305105'>ab305105</a>) at 1/1000 dilution

Lane 1:

MCF7 (human breast adenocarcinoma epithelial cell) whole cell lysate 10 μg

Lane 2:

MCF7 whole cell lysate

Secondary

All lanes:

Immunoprecipitation - VeriBlot for IP Detection Reagent (HRP) (<a href='/en-us/products/reagents/veriblot-for-ip-detection-reagent-hrp-ab131366'>ab131366</a>) at 1/5000 dilution

Observed band size: 260 kDa

false

Exposure time: 8s

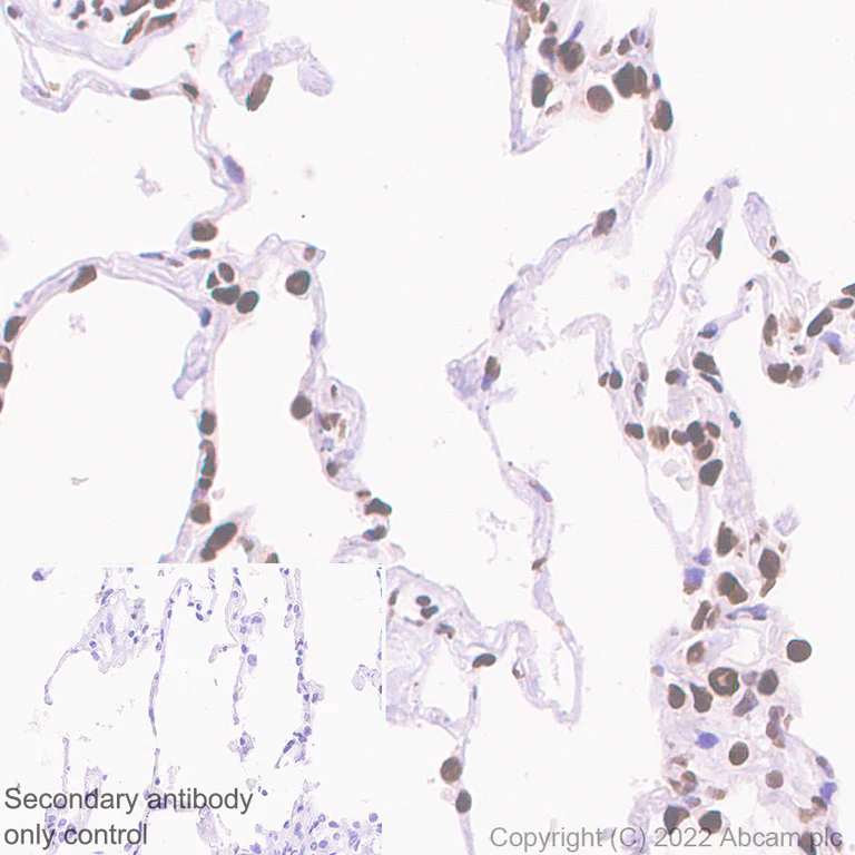
Immunohistochemistry (Formalin/PFA-fixed paraffin-embedded sections) - Anti-Riz1 antibody [EPR25164-34] - BSA and Azide free (AB305106)
  • IHC-P

Supplier Data

Immunohistochemistry (Formalin/PFA-fixed paraffin-embedded sections) - Anti-Riz1 antibody [EPR25164-34] - BSA and Azide free (AB305106)

This data was developed using ab305105, the same antibody clone in a different buffer formulation. Immunohistochemical analysis of paraffin-embedded Mouse lung tissue labeling Riz1 with ab305105 at 1/16000 (0.032 ug/ml) followed by a ready to use Goat Anti-Rabbit IgG H&L (HRP polymer). Nuclear staining on mouse lung. The section was incubated with ab305105 at 4ЎгC overnight. Counterstained with Hematoxylin. Secondary antibody only control : Secondary antibody is a ready to use Goat Anti-Rabbit IgG H&L (HRP polymer). Heat mediated antigen retrieval using ab93684 (Tris/EDTA buffer, pH 9.0)

Immunocytochemistry/ Immunofluorescence - Anti-Riz1 antibody [EPR25164-34] - BSA and Azide free (AB305106)
  • ICC/IF

Supplier Data

Immunocytochemistry/ Immunofluorescence - Anti-Riz1 antibody [EPR25164-34] - BSA and Azide free (AB305106)

This data was developed using ab305105, the same antibody clone in a different buffer formulation. Immunofluorescent analysis of 100% methanol-fixed, 0.1% TritonX-100 permeABilized F9 (mouse embryonal carcinoma epithelial cell) cells lABelling Riz1 with ab305105 at 1/100 (5.09 ug/ml) dilution, followed by ab150081 Goat Anti-RABbit IgG H&L (Alexa Fluor® 488) preadsorbed antibody at 1/1000 2ug/mL dilution (Green). Confocal image showing nuclear staining in F9 cell line.Image was taken with a confocal microscope (Leica-Microsystems, TCS SP8). is observed. ab195889 Anti-alpha Tubulin mouse monoclonal antibody - Microtubule Marker (Alexa Fluor® 594) was used to counterstain tubulin at 1/200 2.5ug/ml dilution (Red). The Nuclear counterstain was DAPI (Blue). Secondary antibody only control : Secondary antibody is ab150081 Goat Anti-RABbit IgG H&L (Alexa Fluor® 488) preadsorbed at 1/1000 2ug/mL dilution.

Flow Cytometry (Intracellular) - Anti-Riz1 antibody [EPR25164-34] - BSA and Azide free (AB305106)
  • Flow Cyt (Intra)

Supplier Data

Flow Cytometry (Intracellular) - Anti-Riz1 antibody [EPR25164-34] - BSA and Azide free (AB305106)

This data was developed using ab305105, the same antibody clone in a different buffer formulation.

Flow cytometric analysis of 4% paraformaldehyde fixed 90% methanol permeabilized F9 (mouse embryonal carcinoma epithelial cell) cells labelling Riz1 with ab305105 at 1/500 dilution (0.1ug) (Red) compared with a Rabbit monoclonal IgG (ab172730) (Black) isotype control and an unlabelled control (cells without incubation with primary antibody and secondary antibody) (Blue). A Goat Anti-Rabbit IgG (Alexa Fluor® 488, ab150081) at 1/2000 dilution was used as the secondary antibody.

Western blot - Anti-Riz1 antibody [EPR25164-34] - BSA and Azide free (AB305106)
  • WB

Supplier Data

Western blot - Anti-Riz1 antibody [EPR25164-34] - BSA and Azide free (AB305106)

This data was developed using 305105, the same antibody clone in a different buffer formulation. Blocking and diluting buffer and concentration : The identity of the lower MW band at approximately 100 kDa is unknown. 10 seconds Exposure time :

All lanes:

Western blot - Anti-Riz1 antibody [EPR25164-34] (<a href='/en-us/products/primary-antibodies/riz1-antibody-epr25164-34-ab305105'>ab305105</a>) at 1/1000 dilution

Lane 1:

HeLa (human cervical adenocarcinoma epithelial cell) transfected with scrambled siRNA control, whole cell lysate 10 μg

Lane 2:

HeLa transfected with siRNA specifically targeti PR domain zinc fier protein 2, whole cell lysate 10 μg

Secondary

All lanes:

Western blot - Goat Anti-Rabbit IgG H&L (HRP) (<a href='/en-us/products/secondary-antibodies/goat-rabbit-igg-h-l-hrp-ab97051'>ab97051</a>) at 1/100000 dilution

Observed band size: 260 kDa

false

Exposure time: 10s

Western blot - Anti-Riz1 antibody [EPR25164-34] - BSA and Azide free (AB305106)
  • WB

Supplier Data

Western blot - Anti-Riz1 antibody [EPR25164-34] - BSA and Azide free (AB305106)

This data was developed using 305105, the same antibody clone in a different buffer formulation.

Blocking and diluting buffer and concentration : 5% NFDM/TBST.

Lysates were freshly made and used for Western blotting immediately to minimize protein degradation.

This blot was developed using a high sensitivity ECL substrate. The high-sensitivity ECL substrate used allows for the detection of proteins in the mid-femtogram range.

The molecular weight observed is consistent with what has been described in the literature (PMID : 33585202).

Exposure time :

Lane 1 : 26 seconds

Lane 2 : 70 seconds

All lanes:

Western blot - Anti-Riz1 antibody [EPR25164-34] (<a href='/en-us/products/primary-antibodies/riz1-antibody-epr25164-34-ab305105'>ab305105</a>) at 1/1000 dilution

Lane 1:

MCF7 (human breast adenocarcinoma epithelial cell), whole cell lysate at 20 µg

Lane 2:

F9 (mouse embryonal carcinoma epithelial cell), whole cell lysate at 20 µg

Secondary

All lanes:

Western blot - Goat Anti-Rabbit IgG H&L (HRP) (<a href='/en-us/products/secondary-antibodies/goat-rabbit-igg-h-l-hrp-ab97051'>ab97051</a>) at 1/100000 dilution

Observed band size: 260 kDa

true

Key facts

Host species

Rabbit

Clonality

Monoclonal

Clone number

EPR25164-34

Isotype

IgG

Carrier free

Yes

Reacts with

Human, Mouse

Applications

Flow Cyt (Intra), WB, IHC-P, ICC/IF, IP

applications

Immunogen

The exact immunogen used to generate this antibody is proprietary information.

Reactivity data

{ "title": "Reactivity Data", "filters": { "stats": ["", "Species", "Dilution Info", "Notes"], "tabs": { "all-applications": {"fullname" : "All Applications", "shortname": "All Applications"}, "ChIP" : {"fullname" : "ChIP", "shortname":"ChIP"}, "IP" : {"fullname" : "Immunoprecipitation", "shortname":"IP"}, "FlowCytIntra" : {"fullname" : "Flow Cytometry (Intracellular)", "shortname":"Flow Cyt (Intra)"}, "ICCIF" : {"fullname" : "Immunocytochemistry/ Immunofluorescence", "shortname":"ICC/IF"}, "IHCP" : {"fullname" : "Immunohistochemistry (Formalin/PFA-fixed paraffin-embedded sections)", "shortname":"IHC-P"}, "WB" : {"fullname" : "Western blot", "shortname":"WB"} }, "product-promise": { "all": "all", "testedAndGuaranteed": "tested", "guaranteed": "expected", "predicted": "predicted", "notRecommended": "not-recommended" } }, "values": { "Human": { "ChIP-species-checked": "notRecommended", "ChIP-species-dilution-info": "", "ChIP-species-notes": "<p></p>", "IP-species-checked": "testedAndGuaranteed", "IP-species-dilution-info": "", "IP-species-notes": "<p></p>", "FlowCytIntra-species-checked": "testedAndGuaranteed", "FlowCytIntra-species-dilution-info": "", "FlowCytIntra-species-notes": "<p></p>", "ICCIF-species-checked": "testedAndGuaranteed", "ICCIF-species-dilution-info": "", "ICCIF-species-notes": "<p></p>", "IHCP-species-checked": "testedAndGuaranteed", "IHCP-species-dilution-info": "", "IHCP-species-notes": "<p></p>", "WB-species-checked": "testedAndGuaranteed", "WB-species-dilution-info": "", "WB-species-notes": "<p></p>" }, "Mouse": { "ChIP-species-checked": "notRecommended", "ChIP-species-dilution-info": "", "ChIP-species-notes": "", "IP-species-checked": "notRecommended", "IP-species-dilution-info": "", "IP-species-notes": "<p></p>", "FlowCytIntra-species-checked": "testedAndGuaranteed", "FlowCytIntra-species-dilution-info": "", "FlowCytIntra-species-notes": "<p></p>", "ICCIF-species-checked": "testedAndGuaranteed", "ICCIF-species-dilution-info": "", "ICCIF-species-notes": "<p></p>", "IHCP-species-checked": "testedAndGuaranteed", "IHCP-species-dilution-info": "", "IHCP-species-notes": "<p></p>", "WB-species-checked": "testedAndGuaranteed", "WB-species-dilution-info": "", "WB-species-notes": "<p></p>" }, "Rat": { "ChIP-species-checked": "notRecommended", "ChIP-species-dilution-info": "", "ChIP-species-notes": "", "IP-species-checked": "notRecommended", "IP-species-dilution-info": "", "IP-species-notes": "", "FlowCytIntra-species-checked": "notRecommended", "FlowCytIntra-species-dilution-info": "", "FlowCytIntra-species-notes": "", "ICCIF-species-checked": "notRecommended", "ICCIF-species-dilution-info": "", "ICCIF-species-notes": "", "IHCP-species-checked": "notRecommended", "IHCP-species-dilution-info": "", "IHCP-species-notes": "<p></p>", "WB-species-checked": "notRecommended", "WB-species-dilution-info": "", "WB-species-notes": "<p></p>" } } }

Product details

Patented technology
Our RabMAb® technology is a patented hybridoma-based technology for making rabbit monoclonal antibodies. For details on our patents, please refer to RabMAb® patents.

What are the advantages of a recombinant monoclonal antibody?
This product is a recombinant monoclonal antibody, which offers several advantages including:

  • - High batch-to-batch consistency and reproducibility
  • - Improved sensitivity and specificity
  • - Long-term security of supply
  • - Animal-free batch production

For more information, read more on recombinant antibodies.

Conjugation ready
Our carrier-free antibodies are typically supplied in a PBS-only formulation, purified and free of BSA, sodium azide and glycerol. This conjugation-ready format is designed for use with fluorochromes, metal isotopes, oligonucleotides, and enzymes, which makes them ideal for antibody labelling, functional and cell-based assays, flow-based assays (e.g. mass cytometry) and Multiplex Imaging applications.

Use our conjugation kits for antibody conjugates that are ready-to-use in as little as 20 minutes with 1 minute hands-on-time and 100% antibody recovery: available for fluorescent dyes, HRP, biotin and gold.

Compatibility
This product is compatible with the Maxpar® Antibody Labeling Kit from Fluidigm, without the need for antibody preparation. Maxpar® is a trademark of Fluidigm Canada Inc.

Properties and storage information

Form
Liquid
Purification technique
Affinity purification Protein A
Storage buffer
pH: 7.2 - 7.4 Constituents: PBS
Shipped at conditions
Blue Ice
Appropriate short-term storage conditions
+4°C
Appropriate long-term storage conditions
+4°C

Supplementary information

This supplementary information is collated from multiple sources and compiled automatically.

RIZ1 also known as PRDM2 is a tumor suppressor gene coding for a protein with a mass of approximately 280 kDa. This protein functions mechanically as a histone methyltransferase specifically modifying histone H3 on lysine 9. The structural component of RIZ1 includes a PR domain and a SET domain essential for its methyltransferase activity. This protein gets expressed in various tissues particularly in the brain ovary testis and skeletal muscle.
Biological function summary

The RIZ1 protein plays a significant role in transcriptional regulation and cell cycle arrest. It forms complexes with other proteins allowing it to exert its regulatory functions effectively. These complexes enable RIZ1 to bind DNA and affect chromatin structure which is critical for the transcriptional silencing of genes involved in cell proliferation. By blocking cell cycle progression RIZ1 helps maintain genomic stability ensuring that cells do not grow uncontrollably.

Pathways

RIZ1 protein influences gene expression and cellular processes by interacting with key signaling pathways including the p53 pathway and the retinoblastoma (Rb) pathway. These pathways regulate cell cycle checkpoints and apoptosis where RIZ1 assists in enhancing the tumor suppressive activities of p53 or Rb. Additionally RIZ1 interacts with proteins like MDM2 and E2F to modulate these pathways reinforcing its role in controlling cellular proliferation and survival.

RIZ1 shows strong associations with cancer notably breast cancer and hepatocellular carcinoma. Researchers have observed that RIZ1 expression levels are frequently reduced in these cancers. The interaction between RIZ1 and the retinoblastoma protein links it to these malignancies as loss or inactivation of RIZ1 mitigates its tumor-suppressive functions. This association suggests that therapies targeting pathways involving both RIZ1 and other proteins like p53 might prove beneficial in treating these cancers.

Product protocols

For this product, it's our understanding that no specific protocols are required. You can visit:

Target data

S-adenosyl-L-methionine-dependent histone methyltransferase that specifically methylates 'Lys-9' of histone H3. May function as a DNA-binding transcription factor. Binds to the macrophage-specific TPA-responsive element (MTE) of the HMOX1 (heme oxygenase 1) gene and may act as a transcriptional activator of this gene.
See full target information PRDM2

Product promise

We are committed to supporting your work with high-quality reagents, and we're here for you every step of the way. In the unlikely event that one of our products does not perform as expected, you're protected by our Product Promise.
For full details, please see our Terms & Conditions

Please note: All products are 'FOR RESEARCH USE ONLY. NOT FOR USE IN DIAGNOSTIC OR THERAPEUTIC PROCEDURES'.

For licensing inquiries, please contact partnerships@abcam.com