JavaScript is disabled in your browser. Please enable JavaScript to view this website.
AB238985

Anti-RNA Helicase A antibody [EPR13521] - BSA and Azide free

Be the first to review this product! Submit a review

|

(2 Publications)

Rabbit Recombinant Monoclonal RNA Helicase A antibody. Carrier free. Suitable for WB, ICC/IF, Flow Cyt (Intra), IHC-P and reacts with Human, Mouse, Rat samples. Cited in 2 publications.

View Alternative Names

DDX9, LKP, NDH2, DHX9, ATP-dependent RNA helicase A, DEAH box protein 9, DExH-box helicase 9, Leukophysin, Nuclear DNA helicase II, RNA helicase A, NDH II

12 Images
Flow Cytometry (Intracellular) - Anti-RNA Helicase A antibody [EPR13521] - BSA and Azide free (AB238985)
  • Flow Cyt (Intra)

Lab

Flow Cytometry (Intracellular) - Anti-RNA Helicase A antibody [EPR13521] - BSA and Azide free (AB238985)

Intracellular Flow Cytometry analysis of HeLa (Human cervix adenocarcinoma epithelial cell) cells labeling RNA Helicase A with purified ab183731 at 1/20 dilution (5μg/mL) (Red). Cells were fixed with 4% Paraformaldehyde and permeabilised with 90% Methanol. A Goat anti rabbit IgG (Alexa Fluor® 488, ab150077) secondary antibody was used at 1/2000. Isotype control - Rabbit monoclonal IgG (Black). Unlabeled control - Cell without incubation with primary antibody and secondary antibody (Blue). This data was developed using the same antibody clone in a different buffer formulation containing PBS, BSA, glycerol, and sodium azide (ab183731).

Immunocytochemistry/ Immunofluorescence - Anti-RNA Helicase A antibody [EPR13521] - BSA and Azide free (AB238985)
  • ICC/IF

Supplier Data

Immunocytochemistry/ Immunofluorescence - Anti-RNA Helicase A antibody [EPR13521] - BSA and Azide free (AB238985)

Immunocytochemistry analysis of HeLa cells (fixative -20? Acetone) labeling RNA Helicase A with ab183731 (unpurified) at a 1/250 dilution.Goat anti rabbit IgG (Alexa Fluor® 488) secondary used at a 1/200 diution.

This data was developed using the same antibody clone in a different buffer formulation containing PBS, BSA, glycerol, and sodium azide (ab183731).

Immunocytochemistry/ Immunofluorescence - Anti-RNA Helicase A antibody [EPR13521] - BSA and Azide free (AB238985)
  • ICC/IF

Lab

Immunocytochemistry/ Immunofluorescence - Anti-RNA Helicase A antibody [EPR13521] - BSA and Azide free (AB238985)

Immunocytochemistry/ Immunofluorescence analysis of HeLa (Human cervix adenocarcinoma epithelial cell) cells labeling RNA Helicase A with purified ab183731 at 1/50 dilution (2.2 μg/mL). Cells were fixed in 4% Paraformaldehyde and permeabilized with 0.1% tritonX-100. Cells were counterstained with ab195889 Anti-alpha Tubulin antibody [DM1A] - Microtubule Marker (Alexa Fluor® 594) 1/200 (2.5 μg/mL). Goat anti rabbit IgG (Alexa Fluor® 488, ab150077) was used as the secondary antibody at 1/1000 (2 μg/mL) dilution. DAPI (blue) was used as nuclear counterstain. PBS instead of the primary antibody was used as the secondary antibody only control.
This data was developed using the same antibody clone in a different buffer formulation containing PBS, BSA, glycerol, and sodium azide (ab183731).

Immunohistochemistry (Formalin/PFA-fixed paraffin-embedded sections) - Anti-RNA Helicase A antibody [EPR13521] - BSA and Azide free (AB238985)
  • IHC-P

Lab

Immunohistochemistry (Formalin/PFA-fixed paraffin-embedded sections) - Anti-RNA Helicase A antibody [EPR13521] - BSA and Azide free (AB238985)

Immunohistochemistry (Formalin/PFA-fixed paraffin-embedded sections) analysis of human kidney carcinoma tissue sections labeling RNA Helicase A with purified ab183731 at 1/400 dilution (0.28 μg/mL). Heat mediated antigen retrieval was performed using ab93684 (Tris/EDTA buffer, pH 9.0). ImmunoHistoProbe one step HRP Polymer (ready to use) was used as the secondary antibody. Negative control : PBS instead of the primary antibody. Hematoxylin was used as a counterstain.
This data was developed using the same antibody clone in a different buffer formulation containing PBS, BSA, glycerol, and sodium azide (ab183731)

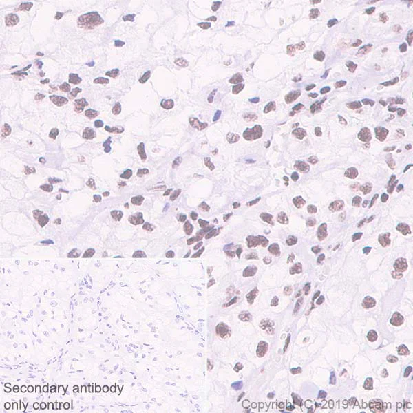
Immunohistochemistry (Formalin/PFA-fixed paraffin-embedded sections) - Anti-RNA Helicase A antibody [EPR13521] - BSA and Azide free (AB238985)
  • IHC-P

Supplier Data

Immunohistochemistry (Formalin/PFA-fixed paraffin-embedded sections) - Anti-RNA Helicase A antibody [EPR13521] - BSA and Azide free (AB238985)

Immunohistochemical analysis of paraffin embedded Human lung adenocarcinoma tissue labeling RNA Helicase A with ab183731 (unpurified) at a 1/100 dilution. Prediluted HRP conjugated Rabbit IgG secondary used. Counterstained with Hematoxylin. Heat mediated antigen retrieval was performed with EDTA buffer pH 9 before commencing with IHC staining protocol.

This data was developed using the same antibody clone in a different buffer formulation containing PBS, BSA, glycerol, and sodium azide (ab183731).

Flow Cytometry (Intracellular) - Anti-RNA Helicase A antibody [EPR13521] - BSA and Azide free (AB238985)
  • Flow Cyt (Intra)

Supplier Data

Flow Cytometry (Intracellular) - Anti-RNA Helicase A antibody [EPR13521] - BSA and Azide free (AB238985)

Intracellular Flow Cytometry analysis of HeLa cells using ab183731 (unpurified) at a 1/10 dilution (red) or a Rabbit monoclonal IgG (negative) (green). Goat anti rabbit IgG (FITC) secondary used at a 1/150 dilution.

This data was developed using the same antibody clone in a different buffer formulation containing PBS, BSA, glycerol, and sodium azide (ab183731).

Immunohistochemistry (Formalin/PFA-fixed paraffin-embedded sections) - Anti-RNA Helicase A antibody [EPR13521] - BSA and Azide free (AB238985)
  • IHC-P

Lab

Immunohistochemistry (Formalin/PFA-fixed paraffin-embedded sections) - Anti-RNA Helicase A antibody [EPR13521] - BSA and Azide free (AB238985)

This data was developed using the same antibody clone in a different buffer formulation containing PBS, BSA, glycerol, and sodium azide (ab183731). Immunohistochemical analysis of paraffin-embedded Human testis tissue labeling RNA Helicase A with ab183731 at 1/1000 (0.11 μg/ml) dilution followed by a ready to use LeicaDS9800 (Bond™ Polymer Refine Detection). This section was counterstained with Hematoxylin. Secondary antibody only control : Secondary antibody is a ready to use LeicaDS9800 (Bond™ Polymer Refine Detection). Heat mediated antigen retrieval was performed with Tris-EDTA buffer (pH 9.0, Epitope Retrieval Solution2) for 20 mins. Nuclear staining on human testis. The section was incubated with ab183731 for 30 mins at room temperature. The immunostaining was performed on a Leica Biosystems BOND® RX instrument.

Immunohistochemistry (Formalin/PFA-fixed paraffin-embedded sections) - Anti-RNA Helicase A antibody [EPR13521] - BSA and Azide free (AB238985)
  • IHC-P

Lab

Immunohistochemistry (Formalin/PFA-fixed paraffin-embedded sections) - Anti-RNA Helicase A antibody [EPR13521] - BSA and Azide free (AB238985)

This data was developed using the same antibody clone in a different buffer formulation containing PBS, BSA, glycerol, and sodium azide (ab183731). Immunohistochemical analysis of paraffin-embedded Human breast carcinoma tissue labeling RNA Helicase A with ab183731 at 1/1000 (0.11 μg/ml) dilution followed by a ready to use LeicaDS9800 (Bond™ Polymer Refine Detection). This section was counterstained with Hematoxylin. Secondary antibody only control : Secondary antibody is a ready to use LeicaDS9800 (Bond™ Polymer Refine Detection). Heat mediated antigen retrieval was performed with Tris-EDTA buffer (pH 9.0, Epitope Retrieval Solution2) for 20 mins. Nuclear staining on human breast carcinoma. The section was incubated with ab183731 for 30 mins at room temperature. The immunostaining was performed on a Leica Biosystems BOND® RX instrument.

Immunohistochemistry (Formalin/PFA-fixed paraffin-embedded sections) - Anti-RNA Helicase A antibody [EPR13521] - BSA and Azide free (AB238985)
  • IHC-P

Lab

Immunohistochemistry (Formalin/PFA-fixed paraffin-embedded sections) - Anti-RNA Helicase A antibody [EPR13521] - BSA and Azide free (AB238985)

This data was developed using the same antibody clone in a different buffer formulation containing PBS, BSA, glycerol, and sodium azide (ab183731). Immunohistochemical analysis of paraffin-embedded Rat testis tissue labeling RNA Helicase A with ab183731 at 1/1000 (0.11 μg/ml) dilution followed by a ready to use LeicaDS9800 (Bond™ Polymer Refine Detection). This section was counterstained with Hematoxylin. Secondary antibody only control : Secondary antibody is a ready to use LeicaDS9800 (Bond™ Polymer Refine Detection). Heat mediated antigen retrieval was performed with Tris-EDTA buffer (pH 9.0, Epitope Retrieval Solution2) for 20 mins. Nuclear staining on rat testis. The section was incubated with ab183731 for 30 mins at room temperature. The immunostaining was performed on a Leica Biosystems BOND® RX instrument.

Immunohistochemistry (Formalin/PFA-fixed paraffin-embedded sections) - Anti-RNA Helicase A antibody [EPR13521] - BSA and Azide free (AB238985)
  • IHC-P

Lab

Immunohistochemistry (Formalin/PFA-fixed paraffin-embedded sections) - Anti-RNA Helicase A antibody [EPR13521] - BSA and Azide free (AB238985)

This data was developed using the same antibody clone in a different buffer formulation containing PBS, BSA, glycerol, and sodium azide (ab183731). Immunohistochemical analysis of paraffin-embedded Mouse testis tissue labeling RNA Helicase A with ab183731 at 1/1000 (0.11 μg/ml) dilution followed by a ready to use LeicaDS9800 (Bond™ Polymer Refine Detection). This section was counterstained with Hematoxylin. Secondary antibody only control : Secondary antibody is a ready to use LeicaDS9800 (Bond™ Polymer Refine Detection). Heat mediated antigen retrieval was performed with Tris-EDTA buffer (pH 9.0, Epitope Retrieval Solution2) for 20 mins. Nuclear staining on mouse testis. The section was incubated with ab183731 for 30 mins at room temperature. The immunostaining was performed on a Leica Biosystems BOND® RX instrument.

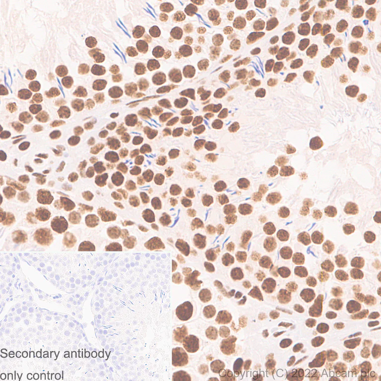
Immunohistochemistry (Formalin/PFA-fixed paraffin-embedded sections) - Anti-RNA Helicase A antibody [EPR13521] - BSA and Azide free (AB238985)
  • IHC-P

Lab

Immunohistochemistry (Formalin/PFA-fixed paraffin-embedded sections) - Anti-RNA Helicase A antibody [EPR13521] - BSA and Azide free (AB238985)

This data was developed using the same antibody clone in a different buffer formulation containing PBS, BSA, glycerol, and sodium azide (ab183731). Immunohistochemical analysis of paraffin-embedded Mouse breast carcinoma tissue labeling RNA Helicase A with ab183731 at 1/1000 (0.11 μg/ml) dilution followed by a ready to use LeicaDS9800 (Bond™ Polymer Refine Detection). This section was counterstained with Hematoxylin. Secondary antibody only control : Secondary antibody is a ready to use LeicaDS9800 (Bond™ Polymer Refine Detection). Heat mediated antigen retrieval was performed with Tris-EDTA buffer (pH 9.0, Epitope Retrieval Solution2) for 20 mins. Nuclear staining on mouse breast carcinoma. The section was incubated with ab183731 for 30 mins at room temperature. The immunostaining was performed on a Leica Biosystems BOND® RX instrument.

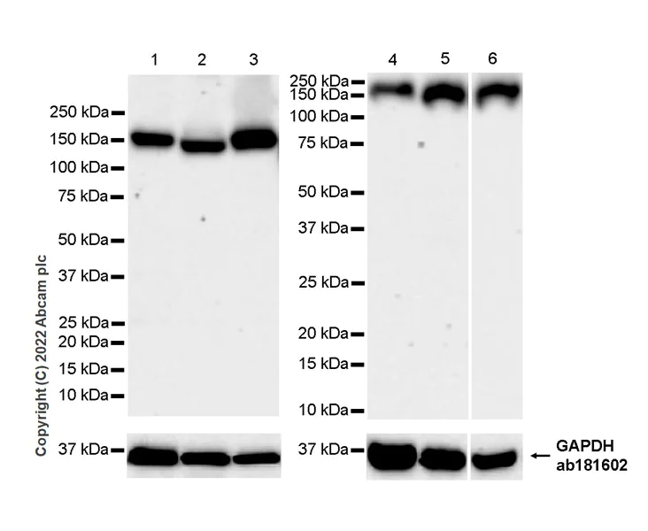
Western blot - Anti-RNA Helicase A antibody [EPR13521] - BSA and Azide free (AB238985)
  • WB

Lab

Western blot - Anti-RNA Helicase A antibody [EPR13521] - BSA and Azide free (AB238985)

This data was developed using the same antibody clone in a different buffer formulation containing PBS, BSA, glycerol, and sodium azide (ab183731). Blocking and diluting buffer and concentration : 5% NFDM/TBST. ab181602 was used as a GAPDH loading control. Exposure time : Lanes 1-5 : 103 seconds, Lane 6 : 26 seconds. Lysates were freshly made and used immediately to minimize protein degradation.

All lanes:

Western blot - Anti-RNA Helicase A antibody [EPR13521] (<a href='/en-us/products/primary-antibodies/rna-helicase-a-antibody-epr13521-ab183731'>ab183731</a>) at 1/1000 dilution

Lane 1:

Rat brain tissue lysate at 20 µg

Lane 2:

Rat liver tissue lysate at 20 µg

Lane 3:

Rat testis tissue lysate at 20 µg

Lane 4:

Mouse brain tissue lysate at 20 µg

Lane 5:

Mouse liver tissue lysate at 20 µg

Lane 6:

Mouse testis tissue lysate at 20 µg

Secondary

All lanes:

Western blot - Goat Anti-Rabbit IgG H&L (HRP) (<a href='/en-us/products/secondary-antibodies/goat-rabbit-igg-h-l-hrp-ab97051'>ab97051</a>) at 1/100000 dilution

Predicted band size: 141 kDa

Observed band size: 150 kDa

false

Key facts

Host species

Rabbit

Clonality

Monoclonal

Clone number

EPR13521

Isotype

IgG

Carrier free

Yes

Reacts with

Human, Mouse, Rat

Applications

Flow Cyt (Intra), IHC-P, WB, ICC/IF

applications

Immunogen

The exact immunogen used to generate this antibody is proprietary information.

Reactivity data

{ "title": "Reactivity Data", "filters": { "stats": ["", "Species", "Dilution Info", "Notes"], "tabs": { "all-applications": {"fullname" : "All Applications", "shortname": "All Applications"}, "WB" : {"fullname" : "Western blot", "shortname":"WB"}, "ICCIF" : {"fullname" : "Immunocytochemistry/ Immunofluorescence", "shortname":"ICC/IF"}, "FlowCytIntra" : {"fullname" : "Flow Cytometry (Intracellular)", "shortname":"Flow Cyt (Intra)"}, "IHCP" : {"fullname" : "Immunohistochemistry (Formalin/PFA-fixed paraffin-embedded sections)", "shortname":"IHC-P"} }, "product-promise": { "all": "all", "testedAndGuaranteed": "tested", "guaranteed": "expected", "predicted": "predicted", "notRecommended": "not-recommended" } }, "values": { "Human": { "WB-species-checked": "testedAndGuaranteed", "WB-species-dilution-info": "", "WB-species-notes": "<p></p>", "ICCIF-species-checked": "testedAndGuaranteed", "ICCIF-species-dilution-info": "", "ICCIF-species-notes": "<p></p>", "FlowCytIntra-species-checked": "testedAndGuaranteed", "FlowCytIntra-species-dilution-info": "", "FlowCytIntra-species-notes": "<p></p>", "IHCP-species-checked": "testedAndGuaranteed", "IHCP-species-dilution-info": "", "IHCP-species-notes": "<p></p>" }, "Mouse": { "WB-species-checked": "testedAndGuaranteed", "WB-species-dilution-info": "", "WB-species-notes": "<p></p>", "ICCIF-species-checked": "guaranteed", "ICCIF-species-dilution-info": "", "ICCIF-species-notes": "", "FlowCytIntra-species-checked": "guaranteed", "FlowCytIntra-species-dilution-info": "", "FlowCytIntra-species-notes": "", "IHCP-species-checked": "testedAndGuaranteed", "IHCP-species-dilution-info": "", "IHCP-species-notes": "<p></p>" }, "Rat": { "WB-species-checked": "testedAndGuaranteed", "WB-species-dilution-info": "", "WB-species-notes": "<p></p>", "ICCIF-species-checked": "guaranteed", "ICCIF-species-dilution-info": "", "ICCIF-species-notes": "", "FlowCytIntra-species-checked": "guaranteed", "FlowCytIntra-species-dilution-info": "", "FlowCytIntra-species-notes": "", "IHCP-species-checked": "testedAndGuaranteed", "IHCP-species-dilution-info": "", "IHCP-species-notes": "<p></p>" } } }

Product details

ab238985 is the carrier-free version of ab183731.

Patented technology
Our RabMAb® technology is a patented hybridoma-based technology for making rabbit monoclonal antibodies. For details on our patents, please refer to RabMAb® patents.

What are the advantages of a recombinant monoclonal antibody?
This product is a recombinant monoclonal antibody, which offers several advantages including:

  • - High batch-to-batch consistency and reproducibility
  • - Improved sensitivity and specificity
  • - Long-term security of supply
  • - Animal-free batch production

For more information, read more on recombinant antibodies.

Conjugation ready
Our carrier-free antibodies are typically supplied in a PBS-only formulation, purified and free of BSA, sodium azide and glycerol. This conjugation-ready format is designed for use with fluorochromes, metal isotopes, oligonucleotides, and enzymes, which makes them ideal for antibody labelling, functional and cell-based assays, flow-based assays (e.g. mass cytometry) and Multiplex Imaging applications.

Use our conjugation kits for antibody conjugates that are ready-to-use in as little as 20 minutes with 1 minute hands-on-time and 100% antibody recovery: available for fluorescent dyes, HRP, biotin and gold.

Compatibility
This product is compatible with the Maxpar® Antibody Labeling Kit from Fluidigm, without the need for antibody preparation. Maxpar® is a trademark of Fluidigm Canada Inc.

Properties and storage information

Form
Liquid
Purification technique
Affinity purification Protein A
Storage buffer
pH: 7.2 - 7.4 Constituents: PBS
Shipped at conditions
Blue Ice
Appropriate short-term storage conditions
+4°C
Appropriate long-term storage conditions
+4°C
Storage information
Do Not Freeze

Supplementary information

This supplementary information is collated from multiple sources and compiled automatically.

RNA Helicase A also known as DHX9 is a protein essential for various cellular processes. This helicase protein belongs to the DEXH-box family and facilitates the unwinding of RNA structures which is critical for RNA metabolism. The molecular weight of RNA Helicase A is approximately 141 kDa. It is expressed in a variety of human tissues including the nucleus cytoplasm and sometimes nucleoli. The protein’s helicase activity is central to its mechanical role in cellular functioning.
Biological function summary

RNA Helicase A is involved in numerous processes such as transcription RNA processing and the assembly of ribonucleoprotein complexes. The protein plays an important role in facilitating RNA polymerase II transcription and also has functions in RNA splicing through its association with spliceosomal components. RNA Helicase A does not function in isolation; instead it forms part of multi-protein complexes that are necessary for its diverse cellular roles. It interacts with various proteins to achieve its functions impacting both RNA and DNA substrates.

Pathways

RNA Helicase A influences the regulation of gene expression and is a significant player in the innate immune response. It participates in the Toll-like receptor (TLR) signaling pathway where it helps detect viral RNA and triggers immune responses. It also interacts with proteins like TLR3 and TRIF which are involved in the signaling cascade essential for producing type I interferons and pro-inflammatory cytokines.

RNA Helicase A has associations with cancer and viral infections. Abnormal regulation of RNA Helicase A has been linked with tumorigenesis where its altered expression contributes to oncogenic processes. It also plays a part in the host response to viral infections where the protein aids in recognizing viral nucleic acids. RNA Helicase A interacts with viral proteins thereby influencing viral replication and host antiviral responses. These connections highlight the protein’s relevance in both cancer biology and infectious disease pathogenesis.

Product protocols

For this product, it's our understanding that no specific protocols are required. You can visit:

Target data

Multifunctional ATP-dependent nucleic acid helicase that unwinds DNA and RNA in a 3' to 5' direction and that plays important roles in many processes, such as DNA replication, transcriptional activation, post-transcriptional RNA regulation, mRNA translation and RNA-mediated gene silencing (PubMed : 11416126, PubMed : 12711669, PubMed : 15355351, PubMed : 16680162, PubMed : 17531811, PubMed : 20669935, PubMed : 21561811, PubMed : 24049074, PubMed : 24990949, PubMed : 25062910, PubMed : 28221134, PubMed : 9111062). Requires a 3'-single-stranded tail as entry site for acid nuclei unwinding activities as well as the binding and hydrolyzing of any of the four ribo- or deoxyribo-nucleotide triphosphates (NTPs) (PubMed : 1537828). Unwinds numerous nucleic acid substrates such as double-stranded (ds) DNA and RNA, DNA : RNA hybrids, DNA and RNA forks composed of either partially complementary DNA duplexes or DNA : RNA hybrids, respectively, and also DNA and RNA displacement loops (D- and R-loops), triplex-helical DNA (H-DNA) structure and DNA and RNA-based G-quadruplexes (PubMed : 20669935, PubMed : 21561811, PubMed : 24049074). Binds dsDNA, single-stranded DNA (ssDNA), dsRNA, ssRNA and poly(A)-containing RNA (PubMed : 10198287, PubMed : 9111062). Binds also to circular dsDNA or dsRNA of either linear and/or circular forms and stimulates the relaxation of supercoiled DNAs catalyzed by topoisomerase TOP2A (PubMed : 12711669). Plays a role in DNA replication at origins of replication and cell cycle progression (PubMed : 24990949). Plays a role as a transcriptional coactivator acting as a bridging factor between polymerase II holoenzyme and transcription factors or cofactors, such as BRCA1, CREBBP, RELA and SMN1 (PubMed : 11038348, PubMed : 11149922, PubMed : 11416126, PubMed : 15355351, PubMed : 28221134, PubMed : 9323138, PubMed : 9662397). Binds to the CDKN2A promoter (PubMed : 11038348). Plays several roles in post-transcriptional regulation of gene expression (PubMed : 28221134, PubMed : 28355180). In cooperation with NUP98, promotes pre-mRNA alternative splicing activities of a subset of genes (PubMed : 11402034, PubMed : 16680162, PubMed : 28221134, PubMed : 28355180). As component of a large PER complex, is involved in the negative regulation of 3' transcriptional termination of circadian target genes such as PER1 and NR1D1 and the control of the circadian rhythms (By similarity). Acts also as a nuclear resolvase that is able to bind and neutralize harmful massive secondary double-stranded RNA structures formed by inverted-repeat Alu retrotransposon elements that are inserted and transcribed as parts of genes during the process of gene transposition (PubMed : 28355180). Involved in the positive regulation of nuclear export of constitutive transport element (CTE)-containing unspliced mRNA (PubMed : 10924507, PubMed : 11402034, PubMed : 9162007). Component of the coding region determinant (CRD)-mediated complex that promotes cytoplasmic MYC mRNA stability (PubMed : 19029303). Plays a role in mRNA translation (PubMed : 28355180). Positively regulates translation of selected mRNAs through its binding to post-transcriptional control element (PCE) in the 5'-untranslated region (UTR) (PubMed : 16680162). Involved with LARP6 in the translation stimulation of type I collagen mRNAs for CO1A1 and CO1A2 through binding of a specific stem-loop structure in their 5'-UTRs (PubMed : 22190748). Stimulates LIN28A-dependent mRNA translation probably by facilitating ribonucleoprotein remodeling during the process of translation (PubMed : 21247876). Plays also a role as a small interfering (siRNA)-loading factor involved in the RNA-induced silencing complex (RISC) loading complex (RLC) assembly, and hence functions in the RISC-mediated gene silencing process (PubMed : 17531811). Binds preferentially to short double-stranded RNA, such as those produced during rotavirus intestinal infection (PubMed : 28636595). This interaction may mediate NLRP9 inflammasome activation and trigger inflammatory response, including IL18 release and pyroptosis (PubMed : 28636595). Finally, mediates the attachment of heterogeneous nuclear ribonucleoproteins (hnRNPs) to actin filaments in the nucleus (PubMed : 11687588).. (Microbial infection) Plays a role in HIV-1 replication and virion infectivity (PubMed : 11096080, PubMed : 19229320, PubMed : 25149208, PubMed : 27107641). Enhances HIV-1 transcription by facilitating the binding of RNA polymerase II holoenzyme to the proviral DNA (PubMed : 11096080, PubMed : 25149208). Binds (via DRBM domain 2) to the HIV-1 TAR RNA and stimulates HIV-1 transcription of transactivation response element (TAR)-containing mRNAs (PubMed : 11096080, PubMed : 9892698). Involved also in HIV-1 mRNA splicing and transport (PubMed : 25149208). Positively regulates HIV-1 gag mRNA translation, through its binding to post-transcriptional control element (PCE) in the 5'-untranslated region (UTR) (PubMed : 16680162). Binds (via DRBM domains) to a HIV-1 double-stranded RNA region of the primer binding site (PBS)-segment of the 5'-UTR, and hence stimulates DHX9 incorporation into virions and virion infectivity (PubMed : 27107641). Also plays a role as a cytosolic viral MyD88-dependent DNA and RNA sensors in plasmacytoid dendritic cells (pDCs), and hence induce antiviral innate immune responses (PubMed : 20696886, PubMed : 21957149). Binds (via the OB-fold region) to viral single-stranded DNA unmethylated C-phosphate-G (CpG) oligonucleotide (PubMed : 20696886).
See full target information DHX9

Publications (2)

Recent publications for all applications. Explore the full list and refine your search

Journal of translational medicine 23:376 PubMed40148953

2025

Circ-ITCH promotes the ubiquitination degradation of HOXC10 to facilitate osteogenic differentiation in disuse osteoporosis through stabilizing BRCA1 mRNA via IGF2BP2-mediated mA modification.

Applications

Unspecified application

Species

Unspecified reactive species

Da Zhong,Xi Li,Zhen Yin,Peng Chen,Yusheng Li,Jian Tian,Long Wang,Hua Liu,Ke Yin,Lemei Zhu,Lingyu Kong,Kunli Chen,Yaochun Li,Chungu Hong,Chenggong Wang

American journal of human genetics 110:1394-1413 PubMed37467750

2023

Monoallelic variation in DHX9, the gene encoding the DExH-box helicase DHX9, underlies neurodevelopment disorders and Charcot-Marie-Tooth disease.

Applications

Unspecified application

Species

Unspecified reactive species

Daniel G Calame,Tianyu Guo,Chen Wang,Lillian Garrett,Angad Jolly,Moez Dawood,Alina Kurolap,Noa Zunz Henig,Jawid M Fatih,Isabella Herman,Haowei Du,Tadahiro Mitani,Lore Becker,Birgit Rathkolb,Raffaele Gerlini,Claudia Seisenberger,Susan Marschall,Jill V Hunter,Amanda Gerard,Alexis Heidlebaugh,Thomas Challman,Rebecca C Spillmann,Shalini N Jhangiani,Zeynep Coban-Akdemir,Seema Lalani,Lingxiao Liu,Anya Revah-Politi,Alejandro Iglesias,Edwin Guzman,Evan Baugh,Nathalie Boddaert,Sophie Rondeau,Clothide Ormieres,Giulia Barcia,Queenie K G Tan,Isabelle Thiffault,Tomi Pastinen,Kazim Sheikh,Suur Biliciler,Davide Mei,Federico Melani,Vandana Shashi,Yuval Yaron,Mary Steele,Emma Wakeling,Elsebet Østergaard,Lusine Nazaryan-Petersen,Francisca Millan,Teresa Santiago-Sim,Julien Thevenon,Ange-Line Bruel,Christel Thauvin-Robinet,Denny Popp,Konrad Platzer,Pawel Gawlinski,Wojciech Wiszniewski,Dana Marafi,Davut Pehlivan,Jennifer E Posey,Richard A Gibbs,Valerie Gailus-Durner,Renzo Guerrini,Helmut Fuchs,Martin Hrabě de Angelis,Sabine M Hölter,Hoi-Hung Cheung,Shen Gu,James R Lupski
View all publications

Product promise

We are committed to supporting your work with high-quality reagents, and we're here for you every step of the way. In the unlikely event that one of our products does not perform as expected, you're protected by our Product Promise.
For full details, please see our Terms & Conditions

Please note: All products are 'FOR RESEARCH USE ONLY. NOT FOR USE IN DIAGNOSTIC OR THERAPEUTIC PROCEDURES'.

For licensing inquiries, please contact partnerships@abcam.com