JavaScript is disabled in your browser. Please enable JavaScript to view this website.
AB52202

Anti-RNA polymerase II CTD repeat YSPTSPS antibody

3

(1 Review)

|

(1 Publication)

Rabbit Polyclonal RNA polymerase II RPB1 antibody. Suitable for WB, IHC-P and reacts with African green monkey, Human samples. Cited in 1 publication. Immunogen corresponding to Synthetic Peptide within Human POLR2A aa 1550-1650.

View Alternative Names

POLR2, POLR2A, DNA-directed RNA polymerase II subunit RPB1, RNA polymerase II subunit B1, 3'-5' exoribonuclease, DNA-directed RNA polymerase II subunit A, DNA-directed RNA polymerase III largest subunit, RNA-directed RNA polymerase II subunit RPB1

3 Images
Western blot - Anti-RNA polymerase II CTD repeat YSPTSPS antibody (AB52202)
  • WB

Supplier Data

Western blot - Anti-RNA polymerase II CTD repeat YSPTSPS antibody (AB52202)

Lanes 1 - 3:

Western blot - Anti-RNA polymerase II CTD repeat YSPTSPS antibody (ab52202) at 1/1000 dilution

Lane 4:

Anti-Swr1 antibody (<a href='/en-us/products/unavailable/swr1-antibody-ab5202'>ab5202</a>) at 1/1000 dilution

Lane 1:

HepG2 cell lysate at 20 µg

Lane 2:

HeLa cell lysate at 20 µg

Lane 3:

Hek293 cell lysate at 20 µg

Lane 4:

SW480 cell lysate at 20 µg

Secondary

All lanes:

Goat Anti-Rabbit IgG (H+L) HRP at 1/10000 dilution

Predicted band size: 217 kDa

false

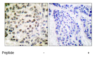
Immunohistochemistry (Formalin/PFA-fixed paraffin-embedded sections) - Anti-RNA polymerase II CTD repeat YSPTSPS antibody (AB52202)
  • IHC-P

Unknown

Immunohistochemistry (Formalin/PFA-fixed paraffin-embedded sections) - Anti-RNA polymerase II CTD repeat YSPTSPS antibody (AB52202)

Immunohistochemical analysis of RNA polymerase II expression in paraffin embedded human breast carcinoma tissue using ab52202 at 1/500.
Left : sample without immunising peptide.
Right : sample with immunising peptide (negative control).

Western blot - Anti-RNA polymerase II CTD repeat YSPTSPS antibody (AB52202)
  • WB

Unknown

Western blot - Anti-RNA polymerase II CTD repeat YSPTSPS antibody (AB52202)

All lanes:

Western blot - Anti-RNA polymerase II CTD repeat YSPTSPS antibody (ab52202) at 1/500 dilution

Lane 1:

COS7 cells treatedwith EGF (200ng/ml, 30min), without immunising peptide

Lane 2:

COS7 cells treatedwith EGF (200ng/ml, 30min), with immunising peptide

Predicted band size: 217 kDa

Observed band size: 217 kDa

false

Key facts

Host species

Rabbit

Clonality

Polyclonal

Isotype

IgG

Carrier free

No

Reacts with

Human, African green monkey

Applications

WB, IHC-P

applications

Immunogen

Synthetic Peptide within Human POLR2A aa 1550-1650. The exact immunogen used to generate this antibody is proprietary information.

P24928

Specificity

ab52202 detects endogenous levels of total RNA polymerase II protein.

Reactivity data

{ "title": "Reactivity Data", "filters": { "stats": ["", "Species", "Dilution Info", "Notes"], "tabs": { "all-applications": {"fullname" : "All Applications", "shortname": "All Applications"}, "WB" : {"fullname" : "Western blot", "shortname":"WB"}, "IHCP" : {"fullname" : "Immunohistochemistry (Formalin/PFA-fixed paraffin-embedded sections)", "shortname":"IHC-P"} }, "product-promise": { "all": "all", "testedAndGuaranteed": "tested", "guaranteed": "expected", "predicted": "predicted", "notRecommended": "not-recommended" } }, "values": { "Human": { "WB-species-checked": "testedAndGuaranteed", "WB-species-dilution-info": "1/500 - 1/1000", "WB-species-notes": "<p></p>", "IHCP-species-checked": "testedAndGuaranteed", "IHCP-species-dilution-info": "", "IHCP-species-notes": "<p></p>" }, "African green monkey": { "WB-species-checked": "testedAndGuaranteed", "WB-species-dilution-info": "1/500 - 1/1000", "WB-species-notes": "<p></p>", "IHCP-species-checked": "guaranteed", "IHCP-species-dilution-info": "", "IHCP-species-notes": "" } } }

Properties and storage information

Form
Liquid
Purification technique
Affinity purification Immunogen
Storage buffer
pH: 7.4 Preservative: 0.02% Sodium azide Constituents: PBS, 50% Glycerol (glycerin, glycerine), 0.87% Sodium chloride
Shipped at conditions
Blue Ice
Appropriate short-term storage conditions
+4°C
Appropriate long-term storage conditions
-20°C
Aliquoting information
Upon delivery aliquot
Storage information
Avoid freeze / thaw cycle

Supplementary information

This supplementary information is collated from multiple sources and compiled automatically.

RNA polymerase II CTD repeat YSPTSPS also known as the C-terminal domain of RNA polymerase II is a critical component of the RNA polymerase II enzyme commonly referred to as pol II. This domain is characterized by the repetitive sequence YSPTSPS which plays a significant role in the regulation of transcription. The mass of RNA polymerase II including its CTD varies but is essential for its function in gene expression. RNA polymerase II with the CTD is expressed in the nucleus of eukaryotic cells where it orchestrates the transcription of DNA into mRNA.
Biological function summary

RNA polymerase II CTD repeat YSPTSPS is essential for the transcription progression from initiation to termination. It is part of the large RNA polymerase II complex interacting with various transcription factors and enzymes necessary for RNA processing. The phosphorylation state of the CTD particularly on serine residues regulates interactions with splicing machinery and other RNA processing factors. This modulation ensures the coupling between transcription and RNA processing events controlling mRNA synthesis and maturation.

Pathways

RNA polymerase II CTD repeat YSPTSPS is important in the mRNA synthesis pathway specifically in transcriptional regulation and processing of nascent RNA transcripts. It interacts with proteins such as the transcription factors TFIIH and TFIIB which aid in promoter recognition and open complex formation. The CTD's dynamic phosphorylation pattern allows integration into multiple cellular pathways most importantly connecting transcription with RNA splicing and transport pathways.

Abnormal function or mutations in RNA polymerase II CTD repeat YSPTSPS associate with diseases such as transcription-related syndromes and certain cancers. Deficient CTD phosphorylation can lead to improper mRNA processing resulting in neural developmental disorders. Additionally its interaction with proteins like CDK7 which phosphorylates the CTD links it to tumors where transcriptional dysregulation is a hallmark. Understanding the CTD's role in these diseases provides insight into therapeutic targets and strategies for intervention.

Product protocols

For this product, it's our understanding that no specific protocols are required. You can visit:

Target data

Catalytic core component of RNA polymerase II (Pol II), a DNA-dependent RNA polymerase which synthesizes mRNA precursors and many functional non-coding RNAs using the four ribonucleoside triphosphates as substrates (By similarity) (PubMed : 23748380, PubMed : 27193682, PubMed : 30190596, PubMed : 9852112). Pol II-mediated transcription cycle proceeds through transcription initiation, transcription elongation and transcription termination stages. During transcription initiation, Pol II pre-initiation complex (PIC) is recruited to DNA promoters, with focused-type promoters containing either the initiator (Inr) element, or the TATA-box found in cell-type specific genes and dispersed-type promoters that often contain hypomethylated CpG islands usually found in housekeeping genes. Once the polymerase has escaped from the promoter it enters the elongation phase during which RNA is actively polymerized, based on complementarity with the template DNA strand. Transcription termination involves the release of the RNA transcript and polymerase from the DNA (By similarity) (PubMed : 23748380, PubMed : 27193682, PubMed : 28108474, PubMed : 30190596, PubMed : 9852112). Forms Pol II active center together with the second largest subunit POLR2B/RPB2. Appends one nucleotide at a time to the 3' end of the nascent RNA, with POLR2A/RPB1 most likely contributing a Mg(2+)-coordinating DxDGD motif, and POLR2B/RPB2 participating in the coordination of a second Mg(2+) ion and providing lysine residues believed to facilitate Watson-Crick base pairing between the incoming nucleotide and template base. Typically, Mg(2+) ions direct a 5' nucleoside triphosphate to form a phosphodiester bond with the 3' hydroxyl of the preceding nucleotide of the nascent RNA, with the elimination of pyrophosphate. The reversible pyrophosphorolysis can occur at high pyrophosphate concentrations (By similarity) (PubMed : 30190596, PubMed : 8381534, PubMed : 9852112). Can proofread the nascent RNA transcript by means of a 3' -> 5' exonuclease activity. If a ribonucleotide is mis-incorporated, backtracks along the template DNA and cleaves the phosphodiester bond releasing the mis-incorporated 5'-ribonucleotide (By similarity) (PubMed : 8381534). Through its unique C-terminal domain (CTD, 52 heptapeptide tandem repeats) serves as a platform for assembly of factors that regulate transcription initiation, elongation and termination. CTD phosphorylation on Ser-5 mediates Pol II promoter escape, whereas phosphorylation on Ser-2 is required for Pol II pause release during transcription elongation and further pre-mRNA processing. Additionally, the regulation of gene expression levels depends on the balance between methylation and acetylation levels of the CTD-lysines. Initiation or early elongation steps of transcription of growth-factor-induced immediate early genes are regulated by the acetylation status of the CTD. Methylation and dimethylation have a repressive effect on target genes expression. Cooperates with mRNA splicing machinery in co-transcriptional 5'-end capping and co-transcriptional splicing of pre-mRNA (By similarity) (PubMed : 24207025, PubMed : 26124092).. RNA-dependent RNA polymerase that catalyzes the extension of a non-coding RNA (ncRNA) at the 3'-end using the four ribonucleoside triphosphates as substrates. An internal ncRNA sequence near the 3'-end serves as a template in a single-round Pol II-mediated RNA polymerization reaction. May decrease the stability of ncRNAs that repress Pol II-mediated gene transcription.. (Microbial infection) Acts as an RNA-dependent RNA polymerase when associated with small delta antigen of Hepatitis delta virus, acting both as a replicase and transcriptase for the viral RNA circular genome.
See full target information POLR2A

Publications (1)

Recent publications for all applications. Explore the full list and refine your search

eLife 4:e08536 PubMed26393420

2015

A specific E3 ligase/deubiquitinase pair modulates TBP protein levels during muscle differentiation.

Applications

Unspecified application

Species

Unspecified reactive species

Li Li,Silvia Sanchez Martinez,Wenxin Hu,Zhe Liu,Robert Tjian
View all publications

Product promise

We are committed to supporting your work with high-quality reagents, and we're here for you every step of the way. In the unlikely event that one of our products does not perform as expected, you're protected by our Product Promise.
For full details, please see our Terms & Conditions

Associated Products

Select an associated product type
Alternative Product
Primary Antibodies

AB196152

Alexa Fluor® 488 Anti-RNA polymerase II CTD repeat YSPTSPS (phospho S5) antibody [EP1510Y]

primary-antibodies

alexa-fluor-488-rna-polymerase-ii-ctd-repeat-ysptsps-phospho-s5-antibody-ep1510y-ab196152

0

(0 reviews)

Alternative Product
Primary Antibodies

AB196153

Alexa Fluor® 647 Anti-RNA polymerase II CTD repeat YSPTSPS (phospho S5) antibody [EP1510Y]

primary-antibodies

alexa-fluor-647-rna-polymerase-ii-ctd-repeat-ysptsps-phospho-s5-antibody-ep1510y-ab196153

0

(0 reviews)

Alternative Product
Primary Antibodies

AB193467

Anti-RNA polymerase II CTD repeat YSPTSPS (phospho S5) antibody [EPR19015]

primary-antibodies

rna-polymerase-ii-ctd-repeat-ysptsps-phospho-s5-antibody-epr19015-ab193467

0

(0 reviews)

Alternative Product
Primary Antibodies

AB193468

Anti-RNA polymerase II CTD repeat YSPTSPS (phospho S2) antibody [EPR18855]

primary-antibodies

rna-polymerase-ii-ctd-repeat-ysptsps-phospho-s2-antibody-epr18855-ab193468

5

(2 reviews)

Alternative Product
Primary Antibodies

AB76292

Anti-RNA polymerase II CTD repeat YSPTSPS (phospho S5) antibody [EP1510Y]

primary-antibodies

rna-polymerase-ii-ctd-repeat-ysptsps-phospho-s5-antibody-ep1510y-ab76292

0

(0 reviews)

Alternative Product
Primary Antibodies

AB238450

Anti-RNA polymerase II CTD repeat YSPTSPS (phospho S2) antibody [EPR18855] - BSA and Azide free

primary-antibodies

rna-polymerase-ii-ctd-repeat-ysptsps-phospho-s2-antibody-epr18855-bsa-and-azide-free-ab238450

0

(0 reviews)

Alternative Product
Primary Antibodies

AB238449

Anti-RNA polymerase II CTD repeat YSPTSPS (phospho S5) antibody [EPR19015] - BSA and Azide free

primary-antibodies

rna-polymerase-ii-ctd-repeat-ysptsps-phospho-s5-antibody-epr19015-bsa-and-azide-free-ab238449

0

(0 reviews)

Please note: All products are 'FOR RESEARCH USE ONLY. NOT FOR USE IN DIAGNOSTIC OR THERAPEUTIC PROCEDURES'.

For licensing inquiries, please contact partnerships@abcam.com