JavaScript is disabled in your browser. Please enable JavaScript to view this website.
AB300575

Anti-RNA polymerase II CTD repeat YSPTSPS antibody [EPR24494-59] (ChIP Grade)

  • BOND RX™ Validated
  • 20ul selling size
  • RabMAb
  • Recombinant
  • What is this?

Be the first to review this product! Submit a review

|

(2 Publications)

Anti-RNA polymerase II CTD repeat YSPTSPS antibody [EPR24494-59] (ChIP Grade) (ab300575) is a rabbit monoclonal antibody for Western Blot, Flow Cytometry (Intra), Flow Cytometry, IP, IHC-P, ICC/IF, ChIP, Dot Blot. Suitable for Human, Mouse, Rat.

- Biophysical QC for unrivalled batch-batch consistency

View Alternative Names

POLR2, POLR2A, DNA-directed RNA polymerase II subunit RPB1, RNA polymerase II subunit B1, 3'-5' exoribonuclease, DNA-directed RNA polymerase II subunit A, DNA-directed RNA polymerase III largest subunit, RNA-directed RNA polymerase II subunit RPB1

10 Images
Immunocytochemistry/ Immunofluorescence - Anti-RNA polymerase II CTD repeat YSPTSPS antibody [EPR24494-59] (ChIP Grade) (AB300575)
  • ICC/IF

Supplier Data

Immunocytochemistry/ Immunofluorescence - Anti-RNA polymerase II CTD repeat YSPTSPS antibody [EPR24494-59] (ChIP Grade) (AB300575)

Immunofluorescent analysis of 4% Paraformaldehyde-fixed, 0.1% TritonX-100 permeabilized HeLa (human cervix adenocarcinoma epithelial cell) cells labelling RNA polymerase II CTD repeat YSPTSPS with ab300575 at 1/50 (10.78 ug/ml) dilution, followed by ab150081 Goat Anti-Rabbit IgG H&L (Alexa Fluor® 488) preadsorbed antibody at 1/1000 2ug/mL dilution (Green). Confocal image showing mainly nuclear staining in HeLa cell line is observed. ab195889 Anti-alpha Tubulin mouse monoclonal antibody - Microtubule Marker (Alexa Fluor® 594) was used to counterstain tubulin at 1/200 2.5ug/ml dilution (Red). The Nuclear counterstain was DAPI (Blue).

Secondary antibody only control : Secondary antibody is ab150081 Goat Anti-Rabbit IgG H&L (Alexa Fluor® 488) preadsorbed at 1/1000 2ug/mL dilution.

Immunohistochemistry (Formalin/PFA-fixed paraffin-embedded sections) - Anti-RNA polymerase II CTD repeat YSPTSPS antibody [EPR24494-59] (ChIP Grade) (AB300575)
  • IHC-P

Supplier Data

Immunohistochemistry (Formalin/PFA-fixed paraffin-embedded sections) - Anti-RNA polymerase II CTD repeat YSPTSPS antibody [EPR24494-59] (ChIP Grade) (AB300575)

Immunohistochemical analysis of paraffin-embedded Human colon tissue labeling RNA polymerase II CTD repeat YSPTSPS with ab300575 at 1/5000 (0.108 ug/ml) followed by a ready to use LeicaDS9800 (Bond™ Polymer Refine Detection) was used. Nuclear staining on human colon (PMID : 25901683). The section was incubated with ab300575 for 30 mins at room temperature.The immunostaining was performed on a Leica Biosystems BOND® RX instrument Counterstained with Hematoxylin. Secondary antibody only control : Secondary antibody is a ready to use LeicaDS9800 (Bond™ Polymer Refine Detection) was used. Heat mediated antigen retrieval with Tris-EDTA buffer (pH 9.0, epitope retrieval solution2) for 20 mins

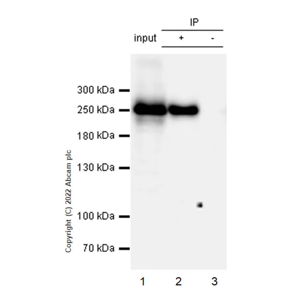
Immunoprecipitation - Anti-RNA polymerase II CTD repeat YSPTSPS antibody [EPR24494-59] (ChIP Grade) (AB300575)
  • IP

Supplier Data

Immunoprecipitation - Anti-RNA polymerase II CTD repeat YSPTSPS antibody [EPR24494-59] (ChIP Grade) (AB300575)

RNA polymerase II CTD repeat YSPTSPS was immunoprecipitated from 0.35 mg HeLa (human cervix adenocarcinoma epithelial cell) whole cell lysate 2 ug with ab300575 at 1/30 dilution (2ug in 0.35mg lysates). Western blot was performed on the immunoprecipitate using ab300575 at 1/1000 dilution. VeriBlot for IP secondary antibody (HRP) (ab131366) was used at 1/5000 dilution.

Lane 1 : HeLa (human cervix adenocarcinoma epithelial cell) whole cell lysate 2 ug

Lane 2 : ab300575 IP in HeLa whole cell lysate

Lane 3 : Rabbit monoclonal IgG (ab172730) instead of ab300575 in HeLa whole cell lysate

Blocking and dilution buffer and concentration : 5% NFDM/TBST.

Exposure time : 10 seconds

All lanes:

Immunoprecipitation - Anti-RNA polymerase II CTD repeat YSPTSPS antibody [EPR24494-59] (ChIP Grade) (ab300575) at 1/1000 dilution

All lanes:

HeLa whole cell lysate

Secondary

All lanes:

Immunoprecipitation - VeriBlot for IP Detection Reagent (HRP) (<a href='/en-us/products/reagents/veriblot-for-ip-detection-reagent-hrp-ab131366'>ab131366</a>) at 1/5000 dilution

false

Exposure time: 10s

ChIP - Anti-RNA polymerase II CTD repeat YSPTSPS antibody [EPR24494-59] (ChIP Grade) (AB300575)
  • ChIP

Supplier Data

ChIP - Anti-RNA polymerase II CTD repeat YSPTSPS antibody [EPR24494-59] (ChIP Grade) (AB300575)

Chromatin was prepared from HeLa cells according to the Abcam Dual-X-ChIP protocol. Cells were fixed with 1.5 mM EGS for 30mins and then formaldehyde for 10 min. The ChIP was performed with 25 µg of chromatin, 5 µg of ab300575 (red), or 5 µg of rabbit normal IgG ab172730 (gray) and 20 µl of Protein A/G sepharose beads. The immunoprecipitated DNA was quantified by real time PCR (Sybr green approach). Primers and probes are located in the first kb of the transcribed region.

Immunohistochemistry (Formalin/PFA-fixed paraffin-embedded sections) - Anti-RNA polymerase II CTD repeat YSPTSPS antibody [EPR24494-59] (ChIP Grade) (AB300575)
  • IHC-P

Supplier Data

Immunohistochemistry (Formalin/PFA-fixed paraffin-embedded sections) - Anti-RNA polymerase II CTD repeat YSPTSPS antibody [EPR24494-59] (ChIP Grade) (AB300575)

Immunohistochemical analysis of paraffin-embedded Rat colon tissue labeling RNA polymerase II CTD repeat YSPTSPS with ab300575 at 1/5000 (0.108 ug/ml) followed by a ready to use LeicaDS9800 (Bond™ Polymer Refine Detection) was used. Nuclear staining on rat colon. The section was incubated with ab300575 for 30 mins at room temperature.The immunostaining was performed on a Leica Biosystems BOND® RX instrument Counterstained with Hematoxylin. Secondary antibody only control : Secondary antibody is a ready to use LeicaDS9800 (Bond™ Polymer Refine Detection) was used. Heat mediated antigen retrieval with Tris-EDTA buffer (pH 9.0, epitope retrieval solution2) for 20 mins

Immunocytochemistry/ Immunofluorescence - Anti-RNA polymerase II CTD repeat YSPTSPS antibody [EPR24494-59] (ChIP Grade) (AB300575)
  • ICC/IF

Supplier Data

Immunocytochemistry/ Immunofluorescence - Anti-RNA polymerase II CTD repeat YSPTSPS antibody [EPR24494-59] (ChIP Grade) (AB300575)

Immunofluorescent analysis of 4% Paraformaldehyde-fixed, 0.1% TritonX-100 permeabilized RAW 264.7 (mouse abelson murine leukemia virus-induced tumor macrophage) cells labelling RNA polymerase II CTD repeat YSPTSPS with ab300575 at 1/50 (10.78 ug/ml) dilution, followed by ab150081 Goat Anti-Rabbit IgG H&L (Alexa Fluor® 488) preadsorbed antibody at 1/1000 2ug/mL dilution (Green). Confocal image showing mainly nuclear staining in RAW 264.7 cell line is observed. ab195889 Anti-alpha Tubulin mouse monoclonal antibody - Microtubule Marker (Alexa Fluor® 594) was used to counterstain tubulin at 1/200 2.5ug/ml dilution (Red). The Nuclear counterstain was DAPI (Blue).

Secondary antibody only control : Secondary antibody is ab150081 Goat Anti-Rabbit IgG H&L (Alexa Fluor® 488) preadsorbed at 1/1000 2ug/mL dilution.

Immunohistochemistry (Formalin/PFA-fixed paraffin-embedded sections) - Anti-RNA polymerase II CTD repeat YSPTSPS antibody [EPR24494-59] (ChIP Grade) (AB300575)
  • IHC-P

Supplier Data

Immunohistochemistry (Formalin/PFA-fixed paraffin-embedded sections) - Anti-RNA polymerase II CTD repeat YSPTSPS antibody [EPR24494-59] (ChIP Grade) (AB300575)

Immunohistochemical analysis of paraffin-embedded mouse colon tissue labeling RNA polymerase II CTD repeat YSPTSPS with ab300575 at 1/5000 dilution (0.108 µg/mL) followed by a ready to use LeicaDS9800 (Bond™ Polymer Refine Detection kit). Nuclear staining on mouse colon is observed. The section was incubated with ab300575 for 30 mins at room temperature. The immunostaining was performed on a Leica Biosystems BOND® RX instrument. Counterstained with Hematoxylin. Secondary antibody only control : PBS was used instead of primary antibody, followed by a ready to use secondary antibody LeicaDS9800 (Bond™ Polymer Refine Detection kit). Heat mediated antigen retrieval with Tris-EDTA buffer (pH 9.0, epitope retrieval solution 2) for 20 mins was used.

Western blot - Anti-RNA polymerase II CTD repeat YSPTSPS antibody [EPR24494-59] (ChIP Grade) (AB300575)
  • WB

Supplier Data

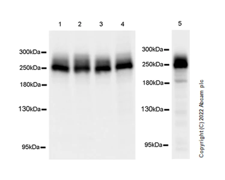
Western blot - Anti-RNA polymerase II CTD repeat YSPTSPS antibody [EPR24494-59] (ChIP Grade) (AB300575)

Blocking and diluting buffer and concentration : 5% NFDM/TBST

All lanes:

Western blot - Anti-RNA polymerase II CTD repeat YSPTSPS antibody [EPR24494-59] (ChIP Grade) (ab300575) at 1/5000 dilution

Lane 1:

HeLa (human cervix adenocarcinoma epithelial cell) whole cell lysate

Lane 2:

293T (human embryonic kidney epithelial cell) whole cell lysate

Lane 3:

NIH/3T3 (mouse embryonic fibroblast) whole cell lysate

Lane 4:

PC-12 (rat adrenal gland pheochromocytoma) whole cell lysate

Lane 5:

RAW 264.7 (mouse abelson murine leukemia virus-induced tumor macrophage) whole cell lysate

Secondary

All lanes:

Western blot - Goat Anti-Rabbit IgG H&L (HRP) (<a href='/en-us/products/secondary-antibodies/goat-rabbit-igg-h-l-hrp-ab97051'>ab97051</a>) at 1/100000 dilution

Observed band size: 250 kDa

false

Exposure time: 3s

Western blot - Anti-RNA polymerase II CTD repeat YSPTSPS antibody [EPR24494-59] (ChIP Grade) (AB300575)
  • WB

Supplier Data

Western blot - Anti-RNA polymerase II CTD repeat YSPTSPS antibody [EPR24494-59] (ChIP Grade) (AB300575)

Blocking and diluting buffer and concentration : 5% NFDM/TBST.

In Western blot, Anti-RNA polymerase II CTD repeat YSPTSPS antibody [EPR24494-59] staining at ChIP Grade dilution.

All lanes:

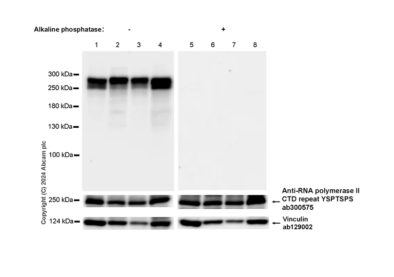
Western blot - Anti-RNA polymerase II CTD repeat YSPTSPS (phospho S5) antibody [RM1152] (<a href='/en-us/products/primary-antibodies/rna-polymerase-ii-ctd-repeat-ysptsps-phospho-s5-antibody-rm1152-ab317456'>ab317456</a>) at 1/1000 dilution

Lane 1:

HeLa (human cervical adenocarcinoma epithelial cell) whole cell lysate (untreated membrane) at 20 µg

Lane 2:

PC-12 (rat adrenal gland pheochromocytoma cell) whole cell lysate (untreated membrane) at 20 µg

Lane 3:

RAW 264.7 (mouse Abelson murine leukemia virus-induced tumor macrophage) whole cell lysate (untreated membrane) at 20 µg

Lane 4:

K-562 (human chronic myelogenous leukemia lymphoblast) whole cell lysate (untreated membrane) at 20 µg

Lane 5:

HeLa (human cervical adenocarcinoma epithelial cell) whole cell lysate (alkaline phosphatase treated membrane) at 20 µg

Lane 6:

PC-12 (rat adrenal gland pheochromocytoma cell) whole cell lysate (alkaline phosphatase treated membrane) at 20 µg

Lane 7:

RAW 264.7 (mouse Abelson murine leukemia virus-induced tumor macrophage) whole cell lysate (alkaline phosphatase treated membrane) at 20 µg

Lane 8:

K-562 (human chronic myelogenous leukemia lymphoblast) whole cell lysate (alkaline phosphatase treated membrane) at 20 µg

Secondary

All lanes:

Western blot - Goat Anti-Rabbit IgG H&L (HRP) (<a href='/en-us/products/secondary-antibodies/goat-rabbit-igg-h-l-hrp-ab97051'>ab97051</a>) at 1/100000 dilution

Observed band size: 270 kDa,124 kDa

false

Exposure time: 15s

Dot Blot - Anti-RNA polymerase II CTD repeat YSPTSPS antibody [EPR24494-59] (ChIP Grade) (AB300575)
  • Dot

Supplier Data

Dot Blot - Anti-RNA polymerase II CTD repeat YSPTSPS antibody [EPR24494-59] (ChIP Grade) (AB300575)

Dot blot analysis of RNA polymerase II CTD repeat YSPTSPS using ab300575 at 1 : 1000 (0.539 ug/ml) followed by a Goat Anti-Rabbit IgG, (H+L), Peroxidase conjugated (ab97051) at 1 : 100,000 dilution.

Lane 1 : RNA polymerase II CTD repeat YSPTSPS (phospho Y1) peptide

Lane 2 : RNA polymerase II CTD repeat YSPTSPS (phospho S2) peptide

Lane 3 : RNA polymerase II CTD repeat YSPTSPS (phospho T4) peptide

Lane 4 : RNA polymerase II CTD repeat YSPTSPS (phospho S5) peptide

Lane 5 : RNA polymerase II CTD repeat YSPTSPS (phospho S7) peptide

Lane 6 : RNA polymerase II CTD repeat YSPTSPS non-phopho peptide

Exposure time : 3 minutes.

Blocking and diluting buffer and concentration : 5% NFDM/TBST.

  • Carrier free

    Anti-RNA polymerase II CTD repeat YSPTSPS antibody [EPR24494-59] - ChIP Grade - BSA and Azide free

  • 665 Alexa Fluor® 647

    Alexa Fluor® 647 Anti-RNA polymerase II CTD repeat YSPTSPS antibody [EPR24494-59] – ChIP Grade

  • 578 PE

    PE Anti-RNA polymerase II CTD repeat YSPTSPS antibody [EPR24494-59] – ChIP Grade

  • 565 Alexa Fluor® 555

    Alexa Fluor® 555 Anti-RNA polymerase II CTD repeat YSPTSPS antibody [EPR24494-59] – ChIP Grade

  • 660 APC

    APC Anti-RNA polymerase II CTD repeat YSPTSPS antibody [EPR24494-59] – ChIP Grade

  • 519 Alexa Fluor® 488

    Alexa Fluor® 488 Anti-RNA polymerase II CTD repeat YSPTSPS antibody [EPR24494-59] – ChIP Grade

  • 617 Alexa Fluor® 594

    Alexa Fluor® 594 Anti-RNA polymerase II CTD repeat YSPTSPS antibody [EPR24494-59] – ChIP Grade

  • 775 Alexa Fluor® 750

    Alexa Fluor® 750 Anti-RNA polymerase II CTD repeat YSPTSPS antibody [EPR24494-59] - ChIP Grade

Key facts

Host species

Rabbit

Clonality

Monoclonal

Clone number

EPR24494-59

Isotype

IgG

Carrier free

No

Reacts with

Rat, Mouse, Human

Applications

ICC/IF, Flow Cyt (Intra), Dot, IHC-P, IP, ChIP, WB

applications

Immunogen

The exact immunogen used to generate this antibody is proprietary information.

Specificity

This antibody is unsuitable for mouse IP.

Reactivity data

{ "title": "Reactivity Data", "filters": { "stats": ["", "Species", "Dilution Info", "Notes"], "tabs": { "all-applications": {"fullname" : "All Applications", "shortname": "All Applications"}, "ChIP" : {"fullname" : "ChIP", "shortname":"ChIP"}, "IP" : {"fullname" : "Immunoprecipitation", "shortname":"IP"}, "FlowCytIntra" : {"fullname" : "Flow Cytometry (Intracellular)", "shortname":"Flow Cyt (Intra)"}, "ICCIF" : {"fullname" : "Immunocytochemistry/ Immunofluorescence", "shortname":"ICC/IF"}, "IHCP" : {"fullname" : "Immunohistochemistry (Formalin/PFA-fixed paraffin-embedded sections)", "shortname":"IHC-P"}, "Dot" : {"fullname" : "Dot Blot", "shortname":"Dot"}, "WB" : {"fullname" : "Western blot", "shortname":"WB"} }, "product-promise": { "all": "all", "testedAndGuaranteed": "tested", "guaranteed": "expected", "predicted": "predicted", "notRecommended": "not-recommended" } }, "values": { "Human": { "ChIP-species-checked": "testedAndGuaranteed", "ChIP-species-dilution-info": "5 µg/mL", "ChIP-species-notes": "<p></p>", "IP-species-checked": "testedAndGuaranteed", "IP-species-dilution-info": "1/30", "IP-species-notes": "<p></p>", "FlowCytIntra-species-checked": "testedAndGuaranteed", "FlowCytIntra-species-dilution-info": "1/500", "FlowCytIntra-species-notes": "<p></p>", "ICCIF-species-checked": "testedAndGuaranteed", "ICCIF-species-dilution-info": "1/50", "ICCIF-species-notes": "<p></p>", "IHCP-species-checked": "testedAndGuaranteed", "IHCP-species-dilution-info": "1/5000", "IHCP-species-notes": "<p>Perform heat mediated antigen retrieval with Tris/EDTA buffer pH 9.0 before commencing with IHC staining protocol.</p> Perform heat-mediated antigen retrieval with Tris/EDTA buffer pH 9.0 before commencing with IHC staining protocol.", "Dot-species-checked": "guaranteed", "Dot-species-dilution-info": "", "Dot-species-notes": "", "WB-species-checked": "testedAndGuaranteed", "WB-species-dilution-info": "1/5000", "WB-species-notes": "<p></p>" }, "Mouse": { "ChIP-species-checked": "guaranteed", "ChIP-species-dilution-info": "", "ChIP-species-notes": "", "IP-species-checked": "notRecommended", "IP-species-dilution-info": "1/30", "IP-species-notes": "<p></p>", "FlowCytIntra-species-checked": "testedAndGuaranteed", "FlowCytIntra-species-dilution-info": "1/500", "FlowCytIntra-species-notes": "<p></p>", "ICCIF-species-checked": "testedAndGuaranteed", "ICCIF-species-dilution-info": "1/50", "ICCIF-species-notes": "<p></p>", "IHCP-species-checked": "testedAndGuaranteed", "IHCP-species-dilution-info": "1/5000", "IHCP-species-notes": "<p>Perform heat mediated antigen retrieval with Tris/EDTA buffer pH 9.0 before commencing with IHC staining protocol.</p> Perform heat-mediated antigen retrieval with Tris/EDTA buffer pH 9.0 before commencing with IHC staining protocol.", "Dot-species-checked": "guaranteed", "Dot-species-dilution-info": "", "Dot-species-notes": "", "WB-species-checked": "testedAndGuaranteed", "WB-species-dilution-info": "1/5000", "WB-species-notes": "<p></p>" }, "Rat": { "ChIP-species-checked": "guaranteed", "ChIP-species-dilution-info": "", "ChIP-species-notes": "", "IP-species-checked": "guaranteed", "IP-species-dilution-info": "", "IP-species-notes": "", "FlowCytIntra-species-checked": "guaranteed", "FlowCytIntra-species-dilution-info": "", "FlowCytIntra-species-notes": "", "ICCIF-species-checked": "guaranteed", "ICCIF-species-dilution-info": "", "ICCIF-species-notes": "", "IHCP-species-checked": "testedAndGuaranteed", "IHCP-species-dilution-info": "1/5000", "IHCP-species-notes": "<p>Perform heat mediated antigen retrieval with Tris/EDTA buffer pH 9.0 before commencing with IHC staining protocol.</p> Perform heat-mediated antigen retrieval with Tris/EDTA buffer pH 9.0 before commencing with IHC staining protocol.", "Dot-species-checked": "guaranteed", "Dot-species-dilution-info": "", "Dot-species-notes": "", "WB-species-checked": "testedAndGuaranteed", "WB-species-dilution-info": "1/5000", "WB-species-notes": "<p></p>" }, "Synthetic peptide - Human": { "ChIP-species-checked": "notRecommended", "ChIP-species-dilution-info": "", "ChIP-species-notes": "", "IP-species-checked": "notRecommended", "IP-species-dilution-info": "", "IP-species-notes": "", "FlowCytIntra-species-checked": "notRecommended", "FlowCytIntra-species-dilution-info": "", "FlowCytIntra-species-notes": "", "ICCIF-species-checked": "notRecommended", "ICCIF-species-dilution-info": "", "ICCIF-species-notes": "", "IHCP-species-checked": "notRecommended", "IHCP-species-dilution-info": "", "IHCP-species-notes": "", "Dot-species-checked": "testedAndGuaranteed", "Dot-species-dilution-info": "1/1000", "Dot-species-notes": "<p></p>", "WB-species-checked": "notRecommended", "WB-species-dilution-info": "", "WB-species-notes": "" } } }

Product details

What is this antibody validated in?
Anti-RNA polymerase II CTD repeat YSPTSPS antibody [EPR24494-59] (ChIP Grade) (ab300575) is a rabbit recombinant monoclonal antibody and is validated for use in Western Blot (WB), Flow Cytometry (Intra), Flow Cytometry (Flow Cyt), Immunoprecipitation (IP), Immunohistochemistry (IHC-P), Immunocytochemistry/immunofluorescence (ICC/IF), ChIP, Dot Blot in Human, Mouse, Rat samples.

Trial sizes available!
Test your antibody or perform pre-screening before committing to a larger quantity. Sold in 10µl. Discover our selection of trial-size antibodies.

Other related products
We have a range of other formats of antibody clone [EPR24494-59] also available for your convenience: ab300575, Carrier free - ab300576, PE - ab318393, APC - ab318496, Alexa Fluor® 488 - ab318599, Alexa Fluor® 647 - ab318702, Alexa Fluor® 594 - ab318805, Alexa Fluor® 555 - ab318905, Alexa Fluor® 750 - ab321548

Patented technology
Our RabMAb® technology is a patented hybridoma-based technology for making rabbit monoclonal antibodies. For details on our patents, please refer to RabMAb® patents.

What are the advantages of a recombinant monoclonal antibody?
This product is a recombinant monoclonal antibody, which offers several advantages including:

  • - High batch-to-batch consistency and reproducibility
  • - Improved sensitivity and specificity
  • - Long-term security of supply
  • - Animal-free batch production

For more information, read more on recombinant antibodies.

Properties and storage information

Form
Liquid
Purification technique
Affinity purification Protein A
Storage buffer
pH: 7.2 - 7.4 Preservative: 0.01% Sodium azide Constituents: PBS, 40% Glycerol (glycerin, glycerine), 0.05% BSA
Shipped at conditions
Blue Ice
Appropriate short-term storage duration
1-2 weeks
Appropriate short-term storage conditions
+4°C
Appropriate long-term storage conditions
-20°C
Aliquoting information
Upon delivery aliquot
Storage information
Avoid freeze / thaw cycle

Supplementary information

This supplementary information is collated from multiple sources and compiled automatically.

RNA polymerase II CTD repeat YSPTSPS also known as the C-terminal domain of RNA polymerase II is a critical component of the RNA polymerase II enzyme commonly referred to as pol II. This domain is characterized by the repetitive sequence YSPTSPS which plays a significant role in the regulation of transcription. The mass of RNA polymerase II including its CTD varies but is essential for its function in gene expression. RNA polymerase II with the CTD is expressed in the nucleus of eukaryotic cells where it orchestrates the transcription of DNA into mRNA.
Biological function summary

RNA polymerase II CTD repeat YSPTSPS is essential for the transcription progression from initiation to termination. It is part of the large RNA polymerase II complex interacting with various transcription factors and enzymes necessary for RNA processing. The phosphorylation state of the CTD particularly on serine residues regulates interactions with splicing machinery and other RNA processing factors. This modulation ensures the coupling between transcription and RNA processing events controlling mRNA synthesis and maturation.

Pathways

RNA polymerase II CTD repeat YSPTSPS is important in the mRNA synthesis pathway specifically in transcriptional regulation and processing of nascent RNA transcripts. It interacts with proteins such as the transcription factors TFIIH and TFIIB which aid in promoter recognition and open complex formation. The CTD's dynamic phosphorylation pattern allows integration into multiple cellular pathways most importantly connecting transcription with RNA splicing and transport pathways.

Abnormal function or mutations in RNA polymerase II CTD repeat YSPTSPS associate with diseases such as transcription-related syndromes and certain cancers. Deficient CTD phosphorylation can lead to improper mRNA processing resulting in neural developmental disorders. Additionally its interaction with proteins like CDK7 which phosphorylates the CTD links it to tumors where transcriptional dysregulation is a hallmark. Understanding the CTD's role in these diseases provides insight into therapeutic targets and strategies for intervention.

Product protocols

For this product, it's our understanding that no specific protocols are required. You can visit:

Target data

Catalytic core component of RNA polymerase II (Pol II), a DNA-dependent RNA polymerase which synthesizes mRNA precursors and many functional non-coding RNAs using the four ribonucleoside triphosphates as substrates (By similarity) (PubMed : 23748380, PubMed : 27193682, PubMed : 30190596, PubMed : 9852112). Pol II-mediated transcription cycle proceeds through transcription initiation, transcription elongation and transcription termination stages. During transcription initiation, Pol II pre-initiation complex (PIC) is recruited to DNA promoters, with focused-type promoters containing either the initiator (Inr) element, or the TATA-box found in cell-type specific genes and dispersed-type promoters that often contain hypomethylated CpG islands usually found in housekeeping genes. Once the polymerase has escaped from the promoter it enters the elongation phase during which RNA is actively polymerized, based on complementarity with the template DNA strand. Transcription termination involves the release of the RNA transcript and polymerase from the DNA (By similarity) (PubMed : 23748380, PubMed : 27193682, PubMed : 28108474, PubMed : 30190596, PubMed : 9852112). Forms Pol II active center together with the second largest subunit POLR2B/RPB2. Appends one nucleotide at a time to the 3' end of the nascent RNA, with POLR2A/RPB1 most likely contributing a Mg(2+)-coordinating DxDGD motif, and POLR2B/RPB2 participating in the coordination of a second Mg(2+) ion and providing lysine residues believed to facilitate Watson-Crick base pairing between the incoming nucleotide and template base. Typically, Mg(2+) ions direct a 5' nucleoside triphosphate to form a phosphodiester bond with the 3' hydroxyl of the preceding nucleotide of the nascent RNA, with the elimination of pyrophosphate. The reversible pyrophosphorolysis can occur at high pyrophosphate concentrations (By similarity) (PubMed : 30190596, PubMed : 8381534, PubMed : 9852112). Can proofread the nascent RNA transcript by means of a 3' -> 5' exonuclease activity. If a ribonucleotide is mis-incorporated, backtracks along the template DNA and cleaves the phosphodiester bond releasing the mis-incorporated 5'-ribonucleotide (By similarity) (PubMed : 8381534). Through its unique C-terminal domain (CTD, 52 heptapeptide tandem repeats) serves as a platform for assembly of factors that regulate transcription initiation, elongation and termination. CTD phosphorylation on Ser-5 mediates Pol II promoter escape, whereas phosphorylation on Ser-2 is required for Pol II pause release during transcription elongation and further pre-mRNA processing. Additionally, the regulation of gene expression levels depends on the balance between methylation and acetylation levels of the CTD-lysines. Initiation or early elongation steps of transcription of growth-factor-induced immediate early genes are regulated by the acetylation status of the CTD. Methylation and dimethylation have a repressive effect on target genes expression. Cooperates with mRNA splicing machinery in co-transcriptional 5'-end capping and co-transcriptional splicing of pre-mRNA (By similarity) (PubMed : 24207025, PubMed : 26124092).. RNA-dependent RNA polymerase that catalyzes the extension of a non-coding RNA (ncRNA) at the 3'-end using the four ribonucleoside triphosphates as substrates. An internal ncRNA sequence near the 3'-end serves as a template in a single-round Pol II-mediated RNA polymerization reaction. May decrease the stability of ncRNAs that repress Pol II-mediated gene transcription.. (Microbial infection) Acts as an RNA-dependent RNA polymerase when associated with small delta antigen of Hepatitis delta virus, acting both as a replicase and transcriptase for the viral RNA circular genome.
See full target information POLR2A

Publications (2)

Recent publications for all applications. Explore the full list and refine your search

MedComm 6:e70261 PubMed40547942

2025

Tet Methylcytosine Dioxygenase 3 Promotes Cardiovascular Senescence by DNA 5-Hydroxymethylcytosine-Mediated Sp1 Transcription Factor Expression.

Applications

Unspecified application

Species

Unspecified reactive species

Yanqi Dang,Jing Ma,Shuang Ling,Shurong Wang,Huining Guo,Jun Liu,Guang Ji,Jin-Wen Xu

Science advances 9:eadd5005 PubMed36735791

2023

Nucleic DHX9 cooperates with STAT1 to transcribe interferon-stimulated genes.

Applications

Unspecified application

Species

Unspecified reactive species

Xingxing Ren,Decai Wang,Guorong Zhang,Tingyue Zhou,Zheng Wei,Yi Yang,Yunjiang Zheng,Xuqiu Lei,Wanyin Tao,Anmin Wang,Mingsong Li,Richard A Flavell,Shu Zhu
View all publications

Product promise

We are committed to supporting your work with high-quality reagents, and we're here for you every step of the way. In the unlikely event that one of our products does not perform as expected, you're protected by our Product Promise.
For full details, please see our Terms & Conditions

Please note: All products are 'FOR RESEARCH USE ONLY. NOT FOR USE IN DIAGNOSTIC OR THERAPEUTIC PROCEDURES'.

For licensing inquiries, please contact partnerships@abcam.com