JavaScript is disabled in your browser. Please enable JavaScript to view this website.
AB5095

Anti-RNA polymerase II CTD repeat YSPTSPS (phospho S2) antibody

4

(49 Reviews)

|

(636 Publications)

Anti-RNA polymerase II CTD repeat YSPTSPS (phospho S2) antibody (ab5095) is a rabbit polyclonal antibody detecting RNA polymerase II CTD repeat YSPTSPS in Western Blot, IHC-P, ICC/IF, ELISA. Suitable for Human, Mouse, Rat, Saccharomyces cerevisiae.

- Over 540 publications
- Trusted since 2004

View Alternative Names

RPB1, RPB220, SUA8, YDL140C, D2150, RPO21, DNA-directed RNA polymerase II subunit RPB1, RNA polymerase II subunit 1, RNA polymerase II subunit B1, DNA-directed RNA polymerase III largest subunit, RNA polymerase II subunit B220

11 Images
Immunocytochemistry/ Immunofluorescence - Anti-RNA polymerase II CTD repeat YSPTSPS (phospho S2) antibody (AB5095)
  • ICC/IF

Lab

Immunocytochemistry/ Immunofluorescence - Anti-RNA polymerase II CTD repeat YSPTSPS (phospho S2) antibody (AB5095)

ab5095 staining RNA polymerase II CTD repeat YSPTSPS (phospho S2) in HeLa cells. The cells were fixed with 4% paraformaldehyde (10 min), permeabilized with 0.1% PBS-Triton X-100 for 5 minutes and then blocked with 1% BSA/10% normal goat serum/0.3M glycine in 0.1%PBS-Tween for 1h. The cells were then incubated overnight at 4°C with ab5095 at 1µg/ml and ab7291, Mouse monoclonal [DM1A] to alpha Tubulin - Loading Control. Cells were then incubated with ab150081, Goat polyclonal Secondary Antibody to Rabbit IgG - H&L (Alexa Fluor® 488), pre-adsorbed at 1/1000 dilution (shown in green) and ab150080, Goat polyclonal Secondary Antibody to Rabbit IgG - H&L (Alexa Fluor® 594) at 1/1000 dilution (shown in pseudocolour red). Nuclear DNA was labelled with DAPI (shown in blue). Also suitable in cells fixed with 100% methanol (5 min).

Image was acquired with a high-content analyser (Operetta CLS, Perkin Elmer) and a maximum intensity projection of confocal sections is shown.

Immunocytochemistry/ Immunofluorescence - Anti-RNA polymerase II CTD repeat YSPTSPS (phospho S2) antibody (AB5095)
  • ICC/IF

AbReview24434****

Immunocytochemistry/ Immunofluorescence - Anti-RNA polymerase II CTD repeat YSPTSPS (phospho S2) antibody (AB5095)

ab5095 staining RNA polymerase II CTD repeat YSPTSPS (phospho S2) in HeLa cells by ICC/IF (Immunocytochemistry/Immunofluorescence). Cells were fixed with paraformaldehyde and permeabilized with 0.5% Triton X100. Samples were incubated with primary antibody (1/200 in PBS) for 1 hour at 22°C. An Alexa Fluor® 488 conjugated Goat Polyclonal Anti-rabbit (1/200) was used as the secondary antibody.

This image is courtesy of an Abreview submitted by Kirk Mcmanus.

Immunohistochemistry (Formalin/PFA-fixed paraffin-embedded sections) - Anti-RNA polymerase II CTD repeat YSPTSPS (phospho S2) antibody (AB5095)
  • IHC-P

Supplier Data

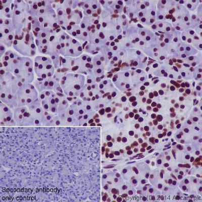
Immunohistochemistry (Formalin/PFA-fixed paraffin-embedded sections) - Anti-RNA polymerase II CTD repeat YSPTSPS (phospho S2) antibody (AB5095)

Immunohistochemical analysis of paraffin-embedded Human pancreas tissue labeling RNA polymerase II CTD repeat YSPTSPS (phospho S2) with ab5095 at 1/1000 dilution, followed by Goat Anti-Rabbit IgG H&L (HRP) (ab97051) at 1/500 dilution. Nuclear staining on epithelium cells and pancreas islet cells of human pancreas was observed. Counter stained with Hematoxylin. Heat mediated antigen retrieval was performed using Tris/EDTA buffer, pH9.

Secondary antibody only control : Used PBS instead of primary antibody, secondary antibody is Goat Anti-Rabbit IgG H&L (HRP) (ab97051) at 1/500 dilution.

Immunohistochemistry (Formalin/PFA-fixed paraffin-embedded sections) - Anti-RNA polymerase II CTD repeat YSPTSPS (phospho S2) antibody (AB5095)
  • IHC-P

Supplier Data

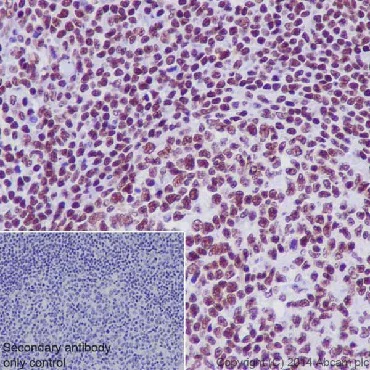
Immunohistochemistry (Formalin/PFA-fixed paraffin-embedded sections) - Anti-RNA polymerase II CTD repeat YSPTSPS (phospho S2) antibody (AB5095)

Immunohistochemical analysis of paraffin-embedded Human tonsil tissue labeling RNA polymerase II CTD repeat YSPTSPS (phospho S2) with ab5095 at 1/1000 dilution, followed by Goat Anti-Rabbit IgG H&L (HRP) (ab97051) at 1/500 dilution. Nuclear staining on human tonsil was observed. Counter stained with Hematoxylin. Heat mediated antigen retrieval was performed using Tris/EDTA buffer, pH9.

Secondary antibody only control : Used PBS instead of primary antibody, secondary antibody is Goat Anti-Rabbit IgG H&L (HRP) (ab97051) at 1/500 dilution.

Immunocytochemistry/ Immunofluorescence - Anti-RNA polymerase II CTD repeat YSPTSPS (phospho S2) antibody (AB5095)
  • ICC/IF

Collaborator

Immunocytochemistry/ Immunofluorescence - Anti-RNA polymerase II CTD repeat YSPTSPS (phospho S2) antibody (AB5095)

HeLa or MCF7 cells were fixed with 4% formaldehyde in PEM buffer. The coverslip was incubated in blocking buffer of 5% powdered milk in TBS-T plus 0.02% sodium azide for 1 hour at room temperature. Blocking buffer was removed and primary antibody was added at a dilution of 1/500 and incubated overnight at 4 degrees celsius. The coverslips were then washed 4-5 times with blocking buffer for 5 minutes. Secondary antibody, goat anti-rabbit Alexa 594, was added at a dilution of 1/1000 and incubated at room temperature for one hour. From this point on coverslips were covered with foil to protect them from light. They were washed 5 times with TBS-T and then one time with PEM, for 5 minutes each wash. The coverslips were fixed 10-30 minutes in 4% formaldehyde in PEM buffer, then washed 3 times with PEM buffer for 5 minutes. 0.1M ammonium chloride in PEM buffer was added for 10 minutes to quench auto-florescence, and then slips were washed 2 times for 5 minutes in PEM followed by 3 washes for

This image is courtesy of Michael Mancini, Baylor College of Medicine

Immunohistochemistry (Formalin/PFA-fixed paraffin-embedded sections) - Anti-RNA polymerase II CTD repeat YSPTSPS (phospho S2) antibody (AB5095)
  • IHC-P

Unknown

Immunohistochemistry (Formalin/PFA-fixed paraffin-embedded sections) - Anti-RNA polymerase II CTD repeat YSPTSPS (phospho S2) antibody (AB5095)

Image courtesy of Human Protein Atlas

ab5095 staining in human brain, showing staining of the Purkinje cells (in brown). Paraffin embedded brain tissue was incubated with ab5095 (1 : 900 dilution) for 30 mins at room temperature. Antigen retrieval was performed by heat induction in citrate buffer pH 6. ab5095 was tested in a tissue microarray (TMA) containing a wide range of normal and cancer tissues as well as a cell microarray consisting of a range of commonly used, well characterised human cell lines. Further results for this antibody can be found at www.proteinatlas.org.

Image courtesy of Human Protein Atlas

ELISA - Anti-RNA polymerase II CTD repeat YSPTSPS (phospho S2) antibody (AB5095)
  • ELISA

Lab

ELISA - Anti-RNA polymerase II CTD repeat YSPTSPS (phospho S2) antibody (AB5095)

ab12793 - S. cerevisiae RNA polymerase II CTD repeat YSPTSPS (phospho S1606 + S1613) peptide
ab18488 - Human RNA polymerase II CTD repeat YSPTSPS (phospho S5) peptide

Diluted ab5095 was bound to immobilised phospho- or control peptides (1 microgram per mL). The antibody was detected by goat anti-rabbit IgG (HRP) (ab97080; diluted 50000 times), and signal was developed by TMB substrate.

Immunohistochemistry (Formalin/PFA-fixed paraffin-embedded sections) - Anti-RNA polymerase II CTD repeat YSPTSPS (phospho S2) antibody (AB5095)
  • IHC-P

Lab

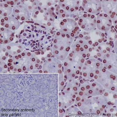
Immunohistochemistry (Formalin/PFA-fixed paraffin-embedded sections) - Anti-RNA polymerase II CTD repeat YSPTSPS (phospho S2) antibody (AB5095)

Immunohistochemical analysis of paraffin-embedded rat kidney tissue labeling RNA polymerase II CTD repeat YSPTSPS (phospho S2) with ab5095 at 1/1000 dilution, followed by Goat Anti-Rabbit IgG H&L (HRP) (ab97051) at 1/500 dilution. Weak nuclear staining on epithelium cells and glomerulus cells of rat kidney was observed. Counter stained with Hematoxylin. Heat mediated antigen retrieval was performed using Tris/EDTA buffer, pH9.

Secondary antibody only control : Used PBS instead of primary antibody, secondary antibody is Goat Anti-Rabbit IgG H&L (HRP) (ab97051) at 1/500 dilution.

Immunocytochemistry/ Immunofluorescence - Anti-RNA polymerase II CTD repeat YSPTSPS (phospho S2) antibody (AB5095)
  • ICC/IF

Lab

Immunocytochemistry/ Immunofluorescence - Anti-RNA polymerase II CTD repeat YSPTSPS (phospho S2) antibody (AB5095)

ab5095 staining RNA polymerase II CTD repeat YSPTSPS (phospho S2) in NIH-3T3 cells. The cells were fixed with 4% paraformaldehyde (10 min), permeabilized with 0.1% PBS-Triton X-100 for 5 minutes and then blocked with 1% BSA/10% normal goat serum/0.3M glycine in 0.1% PBS-Tween for 1h. The cells were then incubated overnight at 4°C with ab5095 at 1µg/ml and ab7291, Mouse monoclonal [DM1A] to alpha Tubulin - Loading Control. Cells were then incubated with ab150081, Goat polyclonal Secondary Antibody to Rabbit IgG - H&L (Alexa Fluor® 488), pre-adsorbed at 1/1000 dilution (shown in green) and ab150120, Goat polyclonal Secondary Antibody to Mouse IgG - H&L (Alexa Fluor® 594), pre-adsorbed at 1/1000 dilution (shown in pseudocolour red). Nuclear DNA was labelled with DAPI (shown in blue).

Image was acquired with a confocal microscope (Leica-Microsystems TCS SP8) and a single confocal section is shown.

Immunohistochemistry (Formalin/PFA-fixed paraffin-embedded sections) - Anti-RNA polymerase II CTD repeat YSPTSPS (phospho S2) antibody (AB5095)
  • IHC-P

Supplier Data

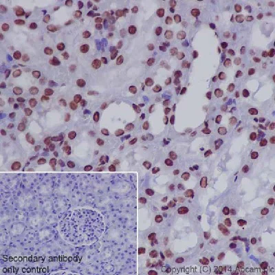
Immunohistochemistry (Formalin/PFA-fixed paraffin-embedded sections) - Anti-RNA polymerase II CTD repeat YSPTSPS (phospho S2) antibody (AB5095)

Immunohistochemical analysis of paraffin-embedded mouse kidney tissue labeling RNA polymerase II CTD repeat YSPTSPS (phospho S2) with ab5095 at 1/1000 dilution, followed by Goat Anti-Rabbit IgG H&L (HRP) (ab97051) at 1/500 dilution. Nuclear staining on epithelium cells and glomerulus cells of mouse kidney was observed. Counter stained with Hematoxylin. Heat mediated antigen retrieval was performed using Tris/EDTA buffer, pH9.

Secondary antibody only control : Used PBS instead of primary antibody, secondary antibody is Goat Anti-Rabbit IgG H&L (HRP) (ab97051) at 1/500 dilution.

Western blot - Anti-RNA polymerase II CTD repeat YSPTSPS (phospho S2) antibody (AB5095)
  • WB

Lab

Western blot - Anti-RNA polymerase II CTD repeat YSPTSPS (phospho S2) antibody (AB5095)

All lanes:

Western blot - Anti-RNA polymerase II CTD repeat YSPTSPS (phospho S2) antibody (ab5095) at 1 µg/mL

Lanes 1, 5 and 7:

HeLa (Human epithelial carcinoma cell line) Whole Cell Lysate at 10 µg

Lanes 2, 6 and 8:

S.cerevisiae (Y190) Whole Cell Lysate at 10 µg

Lane 3:

HeLa (Human epithelial carcinoma cell line) Whole Cell Lysate at 10 µg with <em>S. cerevisiae</em> RNA polymerase II CTD repeat YSPTSPS peptide (<a href='/en-us/products/unavailable/s-cerevisiae-rna-polymerase-ii-ctd-repeat-ysptsps-peptide-ab12795'>ab12795</a>)

Lane 4:

S.cerevisiae (Y190) Whole Cell Lysate at 10 µg with <em>S. cerevisiae</em> RNA polymerase II CTD repeat YSPTSPS peptide (<a href='/en-us/products/unavailable/s-cerevisiae-rna-polymerase-ii-ctd-repeat-ysptsps-peptide-ab12795'>ab12795</a>)

Secondary

All lanes:

Goat polyclonal to Rabbit IgG - H&L - Pre-Adsorbed (HRP) at 1/3000 dilution

Predicted band size: 217 kDa

Observed band size: 240 kDa

false

Key facts

Host species

Rabbit

Clonality

Polyclonal

Isotype

IgG

Carrier free

No

Reacts with

Mouse, Human, Saccharomyces cerevisiae, Rat

Applications

ICC/IF, ELISA, WB, IHC-P

applications

Immunogen

The exact immunogen used to generate this antibody is proprietary information.

Specificity

From Jan 2024, QC testing of replenishment batches of this polyclonal changed. All tested and expected application and reactive species combinations are still covered by our Abcam product promise. However, we no longer test all applications. For more information on a specific batch, please contact our Scientific Support who will be happy to help. This antibody recognises the phosphorylated serine found in the amino acid 2 position of the C-terminal domain repeat YSPTSPS.

Reactivity data

{ "title": "Reactivity Data", "filters": { "stats": ["", "Species", "Dilution Info", "Notes"], "tabs": { "all-applications": {"fullname" : "All Applications", "shortname": "All Applications"}, "ICCIF" : {"fullname" : "Immunocytochemistry/ Immunofluorescence", "shortname":"ICC/IF"}, "WB" : {"fullname" : "Western blot", "shortname":"WB"}, "ELISA" : {"fullname" : "ELISA", "shortname":"ELISA"}, "IHCP" : {"fullname" : "Immunohistochemistry (Formalin/PFA-fixed paraffin-embedded sections)", "shortname":"IHC-P"} }, "product-promise": { "all": "all", "testedAndGuaranteed": "tested", "guaranteed": "expected", "predicted": "predicted", "notRecommended": "not-recommended" } }, "values": { "Human": { "ICCIF-species-checked": "testedAndGuaranteed", "ICCIF-species-dilution-info": "1 µg/mL", "ICCIF-species-notes": "<p></p>", "WB-species-checked": "testedAndGuaranteed", "WB-species-dilution-info": "1 µg/mL", "WB-species-notes": "<p></p>", "ELISA-species-checked": "guaranteed", "ELISA-species-dilution-info": "", "ELISA-species-notes": "<p></p>", "IHCP-species-checked": "testedAndGuaranteed", "IHCP-species-dilution-info": "1/500", "IHCP-species-notes": "<p></p> Perform heat-mediated antigen retrieval with Tris/EDTA buffer pH 9.0 before commencing with IHC staining protocol." }, "Mouse": { "ICCIF-species-checked": "testedAndGuaranteed", "ICCIF-species-dilution-info": "1 µg/mL", "ICCIF-species-notes": "<p></p>", "WB-species-checked": "guaranteed", "WB-species-dilution-info": "", "WB-species-notes": "", "ELISA-species-checked": "guaranteed", "ELISA-species-dilution-info": "", "ELISA-species-notes": "<p></p>", "IHCP-species-checked": "testedAndGuaranteed", "IHCP-species-dilution-info": "1/500", "IHCP-species-notes": "<p></p> Perform heat-mediated antigen retrieval with Tris/EDTA buffer pH 9.0 before commencing with IHC staining protocol." }, "Rat": { "ICCIF-species-checked": "guaranteed", "ICCIF-species-dilution-info": "", "ICCIF-species-notes": "", "WB-species-checked": "guaranteed", "WB-species-dilution-info": "", "WB-species-notes": "", "ELISA-species-checked": "predicted", "ELISA-species-dilution-info": "", "ELISA-species-notes": "", "IHCP-species-checked": "testedAndGuaranteed", "IHCP-species-dilution-info": "1/500", "IHCP-species-notes": "<p></p> Perform heat-mediated antigen retrieval with Tris/EDTA buffer pH 9.0 before commencing with IHC staining protocol." }, "Arabidopsis thaliana": { "ICCIF-species-checked": "predicted", "ICCIF-species-dilution-info": "", "ICCIF-species-notes": "", "WB-species-checked": "predicted", "WB-species-dilution-info": "", "WB-species-notes": "", "ELISA-species-checked": "predicted", "ELISA-species-dilution-info": "", "ELISA-species-notes": "", "IHCP-species-checked": "predicted", "IHCP-species-dilution-info": "", "IHCP-species-notes": "" }, "Caenorhabditis elegans": { "ICCIF-species-checked": "predicted", "ICCIF-species-dilution-info": "", "ICCIF-species-notes": "", "WB-species-checked": "predicted", "WB-species-dilution-info": "", "WB-species-notes": "", "ELISA-species-checked": "predicted", "ELISA-species-dilution-info": "", "ELISA-species-notes": "", "IHCP-species-checked": "predicted", "IHCP-species-dilution-info": "", "IHCP-species-notes": "" }, "Drosophila melanogaster": { "ICCIF-species-checked": "predicted", "ICCIF-species-dilution-info": "", "ICCIF-species-notes": "", "WB-species-checked": "predicted", "WB-species-dilution-info": "", "WB-species-notes": "", "ELISA-species-checked": "predicted", "ELISA-species-dilution-info": "", "ELISA-species-notes": "", "IHCP-species-checked": "predicted", "IHCP-species-dilution-info": "", "IHCP-species-notes": "" }, "Saccharomyces cerevisiae": { "ICCIF-species-checked": "guaranteed", "ICCIF-species-dilution-info": "", "ICCIF-species-notes": "", "WB-species-checked": "testedAndGuaranteed", "WB-species-dilution-info": "1 µg/mL", "WB-species-notes": "<p></p>", "ELISA-species-checked": "guaranteed", "ELISA-species-dilution-info": "", "ELISA-species-notes": "<p></p>", "IHCP-species-checked": "guaranteed", "IHCP-species-dilution-info": "", "IHCP-species-notes": "" }, "Schizosaccharomyces pombe": { "ICCIF-species-checked": "predicted", "ICCIF-species-dilution-info": "", "ICCIF-species-notes": "", "WB-species-checked": "predicted", "WB-species-dilution-info": "", "WB-species-notes": "", "ELISA-species-checked": "predicted", "ELISA-species-dilution-info": "", "ELISA-species-notes": "", "IHCP-species-checked": "predicted", "IHCP-species-dilution-info": "", "IHCP-species-notes": "" }, "Synthetic peptide - Human": { "ICCIF-species-checked": "notRecommended", "ICCIF-species-dilution-info": "", "ICCIF-species-notes": "", "WB-species-checked": "notRecommended", "WB-species-dilution-info": "", "WB-species-notes": "", "ELISA-species-checked": "guaranteed", "ELISA-species-dilution-info": "", "ELISA-species-notes": "<p></p>", "IHCP-species-checked": "notRecommended", "IHCP-species-dilution-info": "", "IHCP-species-notes": "" }, "Synthetic peptide - Saccharomyces cerevisiae": { "ICCIF-species-checked": "notRecommended", "ICCIF-species-dilution-info": "", "ICCIF-species-notes": "", "WB-species-checked": "notRecommended", "WB-species-dilution-info": "", "WB-species-notes": "", "ELISA-species-checked": "guaranteed", "ELISA-species-dilution-info": "", "ELISA-species-notes": "<p></p>", "IHCP-species-checked": "notRecommended", "IHCP-species-dilution-info": "", "IHCP-species-notes": "" }, "Xenopus laevis": { "ICCIF-species-checked": "predicted", "ICCIF-species-dilution-info": "", "ICCIF-species-notes": "", "WB-species-checked": "predicted", "WB-species-dilution-info": "", "WB-species-notes": "", "ELISA-species-checked": "predicted", "ELISA-species-dilution-info": "", "ELISA-species-notes": "", "IHCP-species-checked": "predicted", "IHCP-species-dilution-info": "", "IHCP-species-notes": "" } } }

Product details

Anti-RNA polymerase II CTD repeat YSPTSPS (phospho S2) antibody (ab5095) is a rabbit polyclonal antibody and is validated for use in ELISA, ICC/IF, IHC-P, WB in human samples.

Anti-RNA polymerase II CTD repeat YSPTSPS (phospho S2) antibody (ab5095) has been cited over 542 times in peer reviewed journals and is trusted by the scientific community.

Abcam's high quality validation processes ensure Anti-RNA polymerase II CTD repeat YSPTSPS (phospho S2) antibody (ab5095) has high sensitivity and specificity.

Anti-RNA polymerase II CTD repeat YSPTSPS (phospho S2) antibody (ab5095) has 46 independent reviews from customers.

Anti-RNA polymerase II CTD repeat YSPTSPS (phospho S2) antibody (ab5095) specifically detects RNA polymerase II CTD repeat YSPTSPS Phospho-S2 (UniProt ID: P04050; Molecular weight: 192kDa) and is sold in 100 µg selling sizes.

RNA polymerase II CTD repeat YSPTSPS (phospho S2) plays a crucial role in transcription regulation and gene expression. This modification is essential for the proper functioning of RNA polymerase II, impacting various cellular processes. Antibodies targeting phospho S2 are valuable tools in research, particularly in studying diseases like cancer and neurodegenerative disorders. Understanding the phosphorylation of CTD repeat YSPTSPS can provide insights into the mechanisms underlying these diseases and aid in the development of targeted therapies.

Properties and storage information

Form
Liquid
Purification technique
Affinity purification Immunogen
Storage buffer
pH: 7.4 Preservative: 0.02% Sodium azide Constituents: PBS, 1% BSA
Shipped at conditions
Blue Ice
Appropriate short-term storage duration
1-2 weeks
Appropriate short-term storage conditions
+4°C
Appropriate long-term storage conditions
-20°C
Aliquoting information
Upon delivery aliquot
Storage information
Avoid freeze / thaw cycle

Supplementary information

This supplementary information is collated from multiple sources and compiled automatically.

RNA polymerase II CTD repeat YSPTSPS also known as the C-terminal domain of RNA polymerase II is a critical component of the RNA polymerase II enzyme commonly referred to as pol II. This domain is characterized by the repetitive sequence YSPTSPS which plays a significant role in the regulation of transcription. The mass of RNA polymerase II including its CTD varies but is essential for its function in gene expression. RNA polymerase II with the CTD is expressed in the nucleus of eukaryotic cells where it orchestrates the transcription of DNA into mRNA.
Biological function summary

RNA polymerase II CTD repeat YSPTSPS is essential for the transcription progression from initiation to termination. It is part of the large RNA polymerase II complex interacting with various transcription factors and enzymes necessary for RNA processing. The phosphorylation state of the CTD particularly on serine residues regulates interactions with splicing machinery and other RNA processing factors. This modulation ensures the coupling between transcription and RNA processing events controlling mRNA synthesis and maturation.

Pathways

RNA polymerase II CTD repeat YSPTSPS is important in the mRNA synthesis pathway specifically in transcriptional regulation and processing of nascent RNA transcripts. It interacts with proteins such as the transcription factors TFIIH and TFIIB which aid in promoter recognition and open complex formation. The CTD's dynamic phosphorylation pattern allows integration into multiple cellular pathways most importantly connecting transcription with RNA splicing and transport pathways.

Abnormal function or mutations in RNA polymerase II CTD repeat YSPTSPS associate with diseases such as transcription-related syndromes and certain cancers. Deficient CTD phosphorylation can lead to improper mRNA processing resulting in neural developmental disorders. Additionally its interaction with proteins like CDK7 which phosphorylates the CTD links it to tumors where transcriptional dysregulation is a hallmark. Understanding the CTD's role in these diseases provides insight into therapeutic targets and strategies for intervention.

Product protocols

For this product, it's our understanding that no specific protocols are required. You can visit:

Target data

DNA-dependent RNA polymerase catalyzes the transcription of DNA into RNA using the four ribonucleoside triphosphates as substrates. Largest and catalytic component of RNA polymerase II which synthesizes mRNA precursors and many functional non-coding RNAs. Forms the polymerase active center together with the second largest subunit. Pol II is the central component of the basal RNA polymerase II transcription machinery. During a transcription cycle, Pol II, general transcription factors and the Mediator complex assemble as the preinitiation complex (PIC) at the promoter. 11-15 base pairs of DNA surrounding the transcription start site are melted and the single-stranded DNA template strand of the promoter is positioned deeply within the central active site cleft of Pol II to form the open complex. After synthesis of about 30 bases of RNA, Pol II releases its contacts with the core promoter and the rest of the transcription machinery (promoter clearance) and enters the stage of transcription elongation in which it moves on the template as the transcript elongates. Pol II appears to oscillate between inactive and active conformations at each step of nucleotide addition. Elongation is influenced by the phosphorylation status of the C-terminal domain (CTD) of Pol II largest subunit (RPB1), which serves as a platform for assembly of factors that regulate transcription initiation, elongation, termination and mRNA processing. Pol II is composed of mobile elements that move relative to each other. The core element with the central large cleft comprises RPB3, RBP10, RPB11, RPB12 and regions of RPB1 and RPB2 forming the active center. The clamp element (portions of RPB1, RPB2 and RPB3) is connected to the core through a set of flexible switches and moves to open and close the cleft. A bridging helix emanates from RPB1 and crosses the cleft near the catalytic site and is thought to promote translocation of Pol II by acting as a ratchet that moves the RNA-DNA hybrid through the active site by switching from straight to bent conformations at each step of nucleotide addition. In elongating Pol II, the lid loop (RPB1) appears to act as a wedge to drive apart the DNA and RNA strands at the upstream end of the transcription bubble and guide the RNA strand toward the RNA exit groove located near the base of the largely unstructured CTD domain of RPB1. The rudder loop (RPB1) interacts with single-stranded DNA after separation from the RNA strand, likely preventing reassociation with the exiting RNA. The cleft is surrounded by jaws : an upper jaw formed by portions of RBP1, RPB2 and RPB9, and a lower jaw, formed by RPB5 and portions of RBP1. The jaws are thought to grab the incoming DNA template, mainly by RPB5 direct contacts to DNA.
See full target information RPO21 phospho S2

Publications (636)

Recent publications for all applications. Explore the full list and refine your search

Scientific reports 15:35162 PubMed41062571

2025

The yeast checkpoint kinase Mec1p functions in transcription termination by facilitating recruitment of Pcf11p and regulating the torpedo exonuclease Rat1p.

Applications

Unspecified application

Species

Unspecified reactive species

Riddhi Mehta,Fatema Zohra Sadia,Suprataptha U Reddy,Ivana Vancurova,Ales Vancura

Nature cell biology 27:1757-1770 PubMed41023488

2025

Mechano-osmotic signals control chromatin state and fate transitions in pluripotent stem cells.

Applications

Unspecified application

Species

Unspecified reactive species

Kaitlin P McCreery,Aki Stubb,Rebecca Stephens,Nadezda A Fursova,Andrew Cook,Kai Kruse,Anja Michelbach,Leah C Biggs,Adib Keikhosravi,Sonja Nykänen,Roosa Pulkkanen,Christel Hydén-Granskog,Jizhong Zou,Jan-Wilm Lackmann,Carien M Niessen,Sanna Vuoristo,Yekaterina A Miroshnikova,Sara A Wickström

The Journal of clinical investigation 135: PubMed40924495

2025

TFIIH-p52ΔC defines a ninth xeroderma pigmentosum complementation-group XP-J and restores TFIIH stability to p8-defective trichothiodystrophy.

Applications

Unspecified application

Species

Unspecified reactive species

Yuka Nakazawa,Lin Ye,Yasuyoshi Oka,Hironobu Morinaga,Kana Kato,Mayuko Shimada,Kotaro Tsukada,Koyo Tsujikawa,Yosuke Nishio,Hiva Fassihi,Shehla Mohammed,Alan R Lehmann,Tomoo Ogi

Nature communications 16:7981 PubMed40858627

2025

A cis-natural antisense RNA regulates alternative polyadenylation of SlSPX5 under Pi starvation in tomato.

Applications

Unspecified application

Species

Unspecified reactive species

Shenghong Ge,Jinkai Li,Hui Ma,María Sánchez-Bermúdez,Siqun Wu,Qiuyu Lv,Fengxiao Guo,Jinsong Dong,Guojie Ma,Qingshun Quinn Li,Viswanathan Satheesh,Mingguang Lei

Theranostics 15:8337-8359 PubMed40860160

2025

CREPT promotes LUAD progression by enhancing the CDK9 and RNAPII assembly to promote ERK-driven gene transcription.

Applications

Unspecified application

Species

Unspecified reactive species

Mengdi Li,Yuting Lin,Jiayu Wang,He Yang,Danhui Ma,Ye Tian,Yi Wang,Liu Yang,Umar Farooq,Yinyin Wang,Fangli Ren,Jian Sheng,Guoqing Zhang,Liang Chen,Jun Li,Xiangnan Li,Zhijie Chang

Journal of hematology & oncology 18:73 PubMed40665325

2025

Phase I first-in-human dose escalation study of the oral casein kinase 1α and cyclin dependent kinase 7/9 inhibitor BTX A51 in advanced MDS and AML.

Applications

Unspecified application

Species

Unspecified reactive species

Brian J Ball,Wenbin Xiao,Gautam Borthakur,Le Xuan Truong Nguyen,Melissa Valerio,Avanthika Venkatachalam,Guido Marcucci,Anthony S Stein,Dung Luong Thai,David N Cook,Kyle Chan,Sonali Persaud,Ross L Levine,Omar Abdel-Wahab,Yinon Ben-Neriah,Eytan M Stein

Nucleic acids research 53: PubMed40613709

2025

Depletion of BRD9-mediated R-loop accumulation inhibits leukemia cell growth via transcription-replication conflict.

Applications

Unspecified application

Species

Unspecified reactive species

Seo Yun Lee,Soo Hyeon Lee,Min Jae Kwak,Ja Young Kim,Jullian O Perren,Kyle M Miller,Jae Jin Kim

iScience 28:112778 PubMed40585357

2025

Targeting CDK7/12/13 functional synergism reverses myofibroblast activation and ameliorates lung fibrosis.

Applications

Unspecified application

Species

Unspecified reactive species

Hsiao-Yen Ma,Zhiyu Huang,Surinder Jeet,Claire Emerson,Hannah Bender,Qihao Ren,Ning Ding

iScience 28:112457 PubMed40384934

2025

peptidyl-prolyl isomerase-like 4 regulates circadian rhythm by supporting high-amplitude oscillations of PERIOD.

Applications

Unspecified application

Species

Unspecified reactive species

So Who Kang,Hong Thuan Tran,Gaeun Lee,Jestlin Tianthing Ng,Su Bin Lim,Eun Young Kim

Nature communications 16:4602 PubMed40382323

2025

ANP32E drives vulnerability to ATR inhibitors by inducing R-loops-dependent transcription replication conflicts in triple negative breast cancer.

Applications

Unspecified application

Species

Unspecified reactive species

Sara Lago,Vittoria Poli,Lisa Fol,Mattia Botteon,Federica Busi,Alice Turdo,Miriam Gaggianesi,Yari Ciani,Giacomo D'Amato,Luca Fagnocchi,Alessandra Fasciani,Francesca Demichelis,Matilde Todaro,Alessio Zippo
View all publications

Product promise

We are committed to supporting your work with high-quality reagents, and we're here for you every step of the way. In the unlikely event that one of our products does not perform as expected, you're protected by our Product Promise.
For full details, please see our Terms & Conditions

Please note: All products are 'FOR RESEARCH USE ONLY. NOT FOR USE IN DIAGNOSTIC OR THERAPEUTIC PROCEDURES'.

For licensing inquiries, please contact partnerships@abcam.com