JavaScript is disabled in your browser. Please enable JavaScript to view this website.
AB193468

Anti-RNA polymerase II CTD repeat YSPTSPS (phospho S2) antibody [EPR18855]

5

(2 Reviews)

|

(40 Publications)

Anti-RNA polymerase II CTD repeat YSPTSPS (phospho S2) antibody [EPR18855] (ab193468) is a rabbit monoclonal antibody for Western Blot, Flow Cytometry (Intra), Flow Cytometry, IP, IHC-P, ICC/IF, ChIP, Dot Blot. Suitable for Human, Mouse, Rat.

- Biophysical QC for unrivalled batch-batch consistency
- Over 20 publications

View Alternative Names

RPB1, RPB220, SUA8, YDL140C, D2150, RPO21, DNA-directed RNA polymerase II subunit RPB1, RNA polymerase II subunit 1, RNA polymerase II subunit B1, DNA-directed RNA polymerase III largest subunit, RNA polymerase II subunit B220

18 Images
Flow Cytometry (Intracellular) - Anti-RNA polymerase II CTD repeat YSPTSPS (phospho S2) antibody [EPR18855] (AB193468)
  • Flow Cyt (Intra)

Lab

Flow Cytometry (Intracellular) - Anti-RNA polymerase II CTD repeat YSPTSPS (phospho S2) antibody [EPR18855] (AB193468)

Intracellular Flow Cytometry analysis of HeLa (human cervix adenocarcinoma) cells labelling RNA polymerase II CTD repeat YSPTSPS antibody (phospho S2) (red) with purified ab193468 at a dilution of 1/70. Goat anti rabbit IgG (Alexa Fluor® 488) was used as the secondary antibody at 1/2000. Cells were fixed with 4% paraformaldehyde and permeabilised with 90% methanol. Isotype control antibody was Rabbit monoclonal IgG (black). The blue line shows cells without incubation with primary antibody and secondary antibody.

Immunocytochemistry/ Immunofluorescence - Anti-RNA polymerase II CTD repeat YSPTSPS (phospho S2) antibody [EPR18855] (AB193468)
  • ICC/IF

Supplier Data

Immunocytochemistry/ Immunofluorescence - Anti-RNA polymerase II CTD repeat YSPTSPS (phospho S2) antibody [EPR18855] (AB193468)

Immunofluorescent analysis of 4% paraformaldehyde-fixed, 0.1% Triton X-100 permeabilized HeLa (Human epithelial cells from cervix adenocarcinoma) cells labeling RNA polymerase II CTD repeat YSPTSPS (phospho S2) with ab193468 at 1/100 dilution, followed by Goat anti-rabbit IgG (Alexa Fluor® 488) (ab150077) secondary antibody at 1/1000 dilution (green). Confocal image showing nuclear staining on HeLa cell line. The nuclear counterstain is DAPI (blue). Tubulin is detected with ab7291 (anti-Tubulin mouse mAb) at 1/1000 dilution and ab150120 (AlexaFluor®594 Goat anti-Mouse secondary) at 1/1000 dilution (red).

The negative controls are as follows : -

-ve control 1 : ab193468 at 1/100 dilution followed by ab150120 (AlexaFluor®594 Goat anti-Mouse secondary) at 1/1000 dilution.

-ve control 2 : ab7291 (anti-Tubulin mouse mAb) at 1/1000 dilution followed by ab150077 (Alexa Fluor®488 Goat Anti-Rabbit IgG H&L) at 1/1000 dilution.

Immunocytochemistry/ Immunofluorescence - Anti-RNA polymerase II CTD repeat YSPTSPS (phospho S2) antibody [EPR18855] (AB193468)
  • ICC/IF

Supplier Data

Immunocytochemistry/ Immunofluorescence - Anti-RNA polymerase II CTD repeat YSPTSPS (phospho S2) antibody [EPR18855] (AB193468)

Immunofluorescent analysis of 4% paraformaldehyde-fixed, 0.1% Triton X-100 permeabilized MCF7 (Human breast adenocarcinoma cell line) cells labeling RNA polymerase II CTD repeat YSPTSPS (phospho S2) with ab193468 at 1/100 dilution, followed by Goat anti-rabbit IgG (Alexa Fluor® 488) (ab150077) secondary antibody at 1/1000 dilution (green). Confocal image showing nuclear staining on MCF7 cell line. The nuclear counterstain is DAPI (blue). Tubulin is detected with ab7291 (anti-Tubulin mouse mAb) at 1/1000 dilution and ab150120 (AlexaFluor®594 Goat anti-Mouse secondary) at 1/1000 dilution (red).

The negative controls are as follows : -

-ve control 1 : ab193468 at 1/100 dilution followed by ab150120 (AlexaFluor®594 Goat anti-Mouse secondary) at 1/1000 dilution.

-ve control 2 : ab7291 (anti-Tubulin mouse mAb) at 1/1000 dilution followed by ab150077 (Alexa Fluor®488 Goat Anti-Rabbit IgG H&L) at 1/1000 dilution.

ChIP - Anti-RNA polymerase II CTD repeat YSPTSPS (phospho S2) antibody [EPR18855] (AB193468)
  • ChIP

Unknown

ChIP - Anti-RNA polymerase II CTD repeat YSPTSPS (phospho S2) antibody [EPR18855] (AB193468)

Chromatin was prepared from HeLa cells according to the Abcam Dual-X-ChIP protocol*. Cells were fixed with 1.5 mM EGS for 30mins and then formaldehyde for 10min.
The ChIP was performed with 25 μg of chromatin, 5 μg of ab193468 (red), or 5 μg of rabbit normal IgG ab172730 (gray) and 20 μL of Protein A/G sepharose beads. The immunoprecipitated DNA was quantified by real time PCR (Sybr green approach).
Primers and probes are located in the first kb of the transcribed region.
*http : //www.abcam.com/resources?keywords=X%20ChIP%20protocol

Immunoprecipitation - Anti-RNA polymerase II CTD repeat YSPTSPS (phospho S2) antibody [EPR18855] (AB193468)
  • IP

Supplier Data

Immunoprecipitation - Anti-RNA polymerase II CTD repeat YSPTSPS (phospho S2) antibody [EPR18855] (AB193468)

RNA polymerase II CTD repeat YSPTSPS (phospho S2) was immunoprecipitated from 1mg of HeLa (Human epithelial cells from cervix adenocarcinoma) whole cell lysate with ab193468 at 1/50 dilution. Western blot was performed from the immunoprecipitate using ab193468 at 1/1000 dilution. VeriBlot for IP Detection Reagent (HRP) (ab131366), was used for detection at 1/10000 dilution.

Lane 1 : HeLa whole cell lysate 10μg (Input).

Lane 2 : ab193468 IP in HeLa whole cell lysate.

Lane 3 : Rabbit monoclonal IgG (ab172730) instead of ab193468 in HeLa whole cell lysate.

Blocking and dilution buffer and concentration : 5% NFDM/TBST.

Exposure time : 1 second.

All lanes:

Immunoprecipitation - Anti-RNA polymerase II CTD repeat YSPTSPS (phospho S2) antibody [EPR18855] (ab193468)

Predicted band size: 217 kDa

Observed band size: 270 kDa

false

Immunohistochemistry (Formalin/PFA-fixed paraffin-embedded sections) - Anti-RNA polymerase II CTD repeat YSPTSPS (phospho S2) antibody [EPR18855] (AB193468)
  • IHC-P

Supplier Data

Immunohistochemistry (Formalin/PFA-fixed paraffin-embedded sections) - Anti-RNA polymerase II CTD repeat YSPTSPS (phospho S2) antibody [EPR18855] (AB193468)

Immunohistochemical analysis of paraffin-embedded Mouse spleen tissue labeling RNA polymerase II CTD repeat YSPTSPS (phospho S2) with ab193468 at 1/100 dilution, followed by Goat Anti-Rabbit IgG H&L (HRP) (ab97051) at 1/500 dilution. Nuclear staining on mouse spleen is observed. Counter stained with Hematoxylin.

Secondary antibody only control : Used PBS instead of primary antibody, secondary antibody is Goat Anti-Rabbit IgG H&L (HRP) (ab97051) at 1/500 dilution.

Perform heat mediated antigen retrieval with Tris/EDTA buffer pH 9.0 before commencing with IHC staining protocol.

Immunohistochemistry (Formalin/PFA-fixed paraffin-embedded sections) - Anti-RNA polymerase II CTD repeat YSPTSPS (phospho S2) antibody [EPR18855] (AB193468)
  • IHC-P

Supplier Data

Immunohistochemistry (Formalin/PFA-fixed paraffin-embedded sections) - Anti-RNA polymerase II CTD repeat YSPTSPS (phospho S2) antibody [EPR18855] (AB193468)

Immunohistochemical analysis of paraffin-embedded Mouse testis tissue labeling RNA polymerase II CTD repeat YSPTSPS (phospho S2) with ab193468 at 1/100 dilution, followed by Goat Anti-Rabbit IgG H&L (HRP) (ab97051) at 1/500 dilution. Nuclear staining on mouse testis is observed. Counter stained with Hematoxylin.

Secondary antibody only control : Used PBS instead of primary antibody, secondary antibody is Goat Anti-Rabbit IgG H&L (HRP) (ab97051) at 1/500 dilution.

Perform heat mediated antigen retrieval with Tris/EDTA buffer pH 9.0 before commencing with IHC staining protocol.

Immunocytochemistry/ Immunofluorescence - Anti-RNA polymerase II CTD repeat YSPTSPS (phospho S2) antibody [EPR18855] (AB193468)
  • ICC/IF

Supplier Data

Immunocytochemistry/ Immunofluorescence - Anti-RNA polymerase II CTD repeat YSPTSPS (phospho S2) antibody [EPR18855] (AB193468)

Immunofluorescent analysis of 4% paraformaldehyde-fixed, 0.1% Triton X-100 permeabilized PC-12 (Rat adrenal gland pheochromocytoma) cells labeling RNA polymerase II CTD repeat YSPTSPS (phospho S2) with ab193468 at 1/100 dilution, followed by Goat anti-rabbit IgG (Alexa Fluor® 488) (ab150077) secondary antibody at 1/1000 dilution (green). Confocal image showing nuclear staining on PC-12 cell line. The nuclear counterstain is DAPI (blue). Tubulin is detected with ab7291 (anti-Tubulin mouse mAb) at 1/1000 dilution and ab150120 (AlexaFluor®594 Goat anti-Mouse secondary) at 1/1000 dilution (red).

The negative controls are as follows : -

-ve control 1 : ab193468 at 1/100 dilution followed by ab150120 (AlexaFluor®594 Goat anti-Mouse secondary) at 1/1000 dilution.

-ve control 2 : ab7291 (anti-Tubulin mouse mAb) at 1/1000 dilution followed by ab150077 (Alexa Fluor®488 Goat Anti-Rabbit IgG H&L) at 1/1000 dilution.

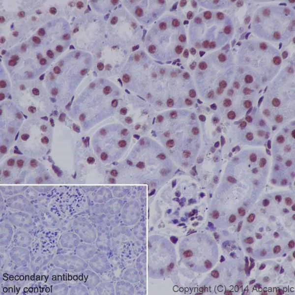
Immunohistochemistry (Formalin/PFA-fixed paraffin-embedded sections) - Anti-RNA polymerase II CTD repeat YSPTSPS (phospho S2) antibody [EPR18855] (AB193468)
  • IHC-P

Supplier Data

Immunohistochemistry (Formalin/PFA-fixed paraffin-embedded sections) - Anti-RNA polymerase II CTD repeat YSPTSPS (phospho S2) antibody [EPR18855] (AB193468)

Immunohistochemical analysis of paraffin-embedded Mouse kidney tissue labeling RNA polymerase II CTD repeat YSPTSPS (phospho S2) with ab193468 at 1/100 dilution, followed by Goat Anti-Rabbit IgG H&L (HRP) (ab97051) at 1/500 dilution. Nuclear staining on epithelium cells and glomerulus cells of mouse kidney is observed. Counter stained with Hematoxylin.

Secondary antibody only control : Used PBS instead of primary antibody, secondary antibody is Goat Anti-Rabbit IgG H&L (HRP) (ab97051) at 1/500 dilution.

Perform heat mediated antigen retrieval with Tris/EDTA buffer pH 9.0 before commencing with IHC staining protocol.

Western blot - Anti-RNA polymerase II CTD repeat YSPTSPS (phospho S2) antibody [EPR18855] (AB193468)
  • WB

Supplier Data

Western blot - Anti-RNA polymerase II CTD repeat YSPTSPS (phospho S2) antibody [EPR18855] (AB193468)

Blocking/Dilution buffer : 1% BSA/TBST.

All lanes:

Western blot - Anti-RNA polymerase II CTD repeat YSPTSPS (phospho S2) antibody [EPR18855] (ab193468) at 1/5000 dilution

Lane 1:

MCF7 (Human breast adenocarcinoma cell line) whole cell lysate at 10 µg

Lane 2:

MCF7 whole cell lysate treated with Lambda Phosphatase at 10 µg

Secondary

All lanes:

Western blot - Goat Anti-Rabbit IgG H&L (HRP) (<a href='/en-us/products/secondary-antibodies/goat-rabbit-igg-h-l-hrp-ab97051'>ab97051</a>) at 1/100000 dilution

Predicted band size: 217 kDa

Observed band size: 270 kDa

false

Exposure time: 3s

Western blot - Anti-RNA polymerase II CTD repeat YSPTSPS (phospho S2) antibody [EPR18855] (AB193468)
  • WB

Supplier Data

Western blot - Anti-RNA polymerase II CTD repeat YSPTSPS (phospho S2) antibody [EPR18855] (AB193468)

Blocking/Dilution buffer : 1% BSA/TBST.

All lanes:

Western blot - Anti-RNA polymerase II CTD repeat YSPTSPS (phospho S2) antibody [EPR18855] (ab193468) at 1/5000 dilution

Lane 1:

HeLa (Human epithelial cells from cervix adenocarcinoma) whole cell lysate at 10 µg

Lane 2:

HeLa whole cell lysate treated with Lambda Phosphatase at 10 µg

Secondary

All lanes:

Western blot - Goat Anti-Rabbit IgG H&L (HRP) (<a href='/en-us/products/secondary-antibodies/goat-rabbit-igg-h-l-hrp-ab97051'>ab97051</a>) at 1/100000 dilution

Predicted band size: 217 kDa

Observed band size: 270 kDa

false

Exposure time: 3s

Western blot - Anti-RNA polymerase II CTD repeat YSPTSPS (phospho S2) antibody [EPR18855] (AB193468)
  • WB

Supplier Data

Western blot - Anti-RNA polymerase II CTD repeat YSPTSPS (phospho S2) antibody [EPR18855] (AB193468)

Blocking/Dilution buffer : 1% BSA/TBST.

All lanes:

Western blot - Anti-RNA polymerase II CTD repeat YSPTSPS (phospho S2) antibody [EPR18855] (ab193468) at 1/5000 dilution

Lane 1:

RAW 264.7 (Mouse macrophage cells transformed with Abelson murine leukemia virus) whole cell lysate at 10 µg

Lane 2:

RAW 264.7 whole cell lysate treated with Lambda Phosphatase at 10 µg

Secondary

All lanes:

Western blot - Goat Anti-Rabbit IgG H&L (HRP) (<a href='/en-us/products/secondary-antibodies/goat-rabbit-igg-h-l-hrp-ab97051'>ab97051</a>) at 1/100000 dilution

Predicted band size: 217 kDa

Observed band size: 270 kDa

false

Exposure time: 3s

Western blot - Anti-RNA polymerase II CTD repeat YSPTSPS (phospho S2) antibody [EPR18855] (AB193468)
  • WB

Supplier Data

Western blot - Anti-RNA polymerase II CTD repeat YSPTSPS (phospho S2) antibody [EPR18855] (AB193468)

Blocking/Dilution buffer : 1% BSA/TBST.

All lanes:

Western blot - Anti-RNA polymerase II CTD repeat YSPTSPS (phospho S2) antibody [EPR18855] (ab193468) at 1/5000 dilution

Lane 1:

PC-12 (Rat adrenal gland pheochromocytoma) whole cell lysate at 10 µg

Lane 2:

PC-12 whole cell lysate treated with Lambda Phosphatase at 10 µg

Secondary

All lanes:

Western blot - Goat Anti-Rabbit IgG H&L (HRP) (<a href='/en-us/products/secondary-antibodies/goat-rabbit-igg-h-l-hrp-ab97051'>ab97051</a>) at 1/100000 dilution

Predicted band size: 217 kDa

Observed band size: 270 kDa

false

Exposure time: 3s

Indirect ELISA - Anti-RNA polymerase II CTD repeat YSPTSPS (phospho S2) antibody [EPR18855] (AB193468)
  • I-ELISA

Lab

Indirect ELISA - Anti-RNA polymerase II CTD repeat YSPTSPS (phospho S2) antibody [EPR18855] (AB193468)

Indirect ELISA using ab193468 and secondary antibody Alkaline Phosphatase-conjugated AffiniPure Goat Anti-Rabbit IgG(H+L) at 1/2500 dilution. Antigens were at 100ng/mL concentration RNA polymerase II CTD repeat YSPTSPS(pS2) peptide, RNA polymerase II CTD repeat YSPTSPS(pS5) peptide, RNA polymerase II CTD repeat YSPTSPS(pY1) peptide, RNA polymerase II CTD repeat YSPTSPS non-phospho peptide

Indirect ELISA - Anti-RNA polymerase II CTD repeat YSPTSPS (phospho S2) antibody [EPR18855] (AB193468)
  • I-ELISA

Lab

Indirect ELISA - Anti-RNA polymerase II CTD repeat YSPTSPS (phospho S2) antibody [EPR18855] (AB193468)

Indirect ELISA using ab193468 and secondary antibody Alkaline Phosphatase-conjugated AffiniPure Goat Anti-Rabbit IgG(H+L) at 1/2500 dilution. Antigens were at 10ng/mL concentration RNA polymerase II CTD repeat YSPTSPS(pS2) peptide, RNA polymerase II CTD repeat YSPTSPS(pS5) peptide, RNA polymerase II CTD repeat YSPTSPS(pY1) peptide, RNA polymerase II CTD repeat YSPTSPS non-phospho peptide

Dot Blot - Anti-RNA polymerase II CTD repeat YSPTSPS (phospho S2) antibody [EPR18855] (AB193468)
  • Dot

Lab

Dot Blot - Anti-RNA polymerase II CTD repeat YSPTSPS (phospho S2) antibody [EPR18855] (AB193468)

Labeled using ab193468 at 1/1000 dilution, followed by Goat Anti-Rabbit IgG H&L (HRP) secondary antibody (ab97051) at 1/100000 dilution. Blocking/Dilution buffer : 5% NFDM/TBST. Exposure time : 3 minutes. Lane 1 : RNA polymerase II CTD repeat YSPTSPS (pS2) phospho peptide Lane 2 : RNA polymerase II CTD repeat YSPTSPS (pS5) phospho peptide Lane 3 : RNA polymerase II CTD repeat YSPTSPS (pY2) phospho peptide Lane 4 : RNA polymerase II CTD repeat YSPTSPS non-phospho peptide

All lanes:

Dot Blot - Anti-RNA polymerase II CTD repeat YSPTSPS (phospho S2) antibody [EPR18855] (ab193468)

false

Exposure time: 3min

Dot Blot - Anti-RNA polymerase II CTD repeat YSPTSPS (phospho S2) antibody [EPR18855] (AB193468)
  • Dot

Supplier Data

Dot Blot - Anti-RNA polymerase II CTD repeat YSPTSPS (phospho S2) antibody [EPR18855] (AB193468)

Dot blot analysis of RNA polymerase II CTD repeat YSPTSPS (phospho S2) peptide (Lane 1) and non-phospho peptide (Lane 2) labeled using ab193468 at 1/1000 dilution, followed by Goat Anti-Rabbit IgG, (H+L), Peroxidase conjugated secondary antibody (ab97051) at 1/100000 dilution.

Blocking/Dilution buffer : 5% NFDM/TBST.

Exposure time : 3 minutes.

Dot Blot - Anti-RNA polymerase II CTD repeat YSPTSPS (phospho S2) antibody [EPR18855] (AB193468)
  • Dot

Lab

Dot Blot - Anti-RNA polymerase II CTD repeat YSPTSPS (phospho S2) antibody [EPR18855] (AB193468)

Lane 1 : RNA polymerase II CTD repeat YSPTSPS (phospho S2) phospho peptide
Lane 2 : RNA polymerase II CTD repeat YSPTSPS non-phospho peptide (peptide of ab193468)
Lane 3 : RNA polymerase II CTD repeat YSPTSPS (phospho S5) phospho peptide
Lane 4 : RNA polymerase II CTD repeat YSPTSPS non-phospho peptide (peptide of ab193467)

Labeled using ab193468 at 1/1000 dilution (0.8 ug/ml), followed by Goat Anti-Rabbit IgG H&L (HRP) secondary antibody (ab97051) at 1/100000 dilution.

Blocking/Dilution buffer : 5% NFDM/TBST.

Exposure time : 3 minutes.

  • 578 PE

    PE Anti-RNA polymerase II CTD repeat YSPTSPS (phospho S2) antibody [EPR18855]

  • 519 Alexa Fluor® 488

    Alexa Fluor® 488 Anti-RNA polymerase II CTD repeat YSPTSPS (phospho S2) antibody [EPR18855]

  • Carrier free

    Anti-RNA polymerase II CTD repeat YSPTSPS (phospho S2) antibody [EPR18855] - BSA and Azide free

  • 565 Alexa Fluor® 555

    Alexa Fluor® 555 Anti-RNA polymerase II CTD repeat YSPTSPS (phospho S2) antibody [EPR18855]

  • 617 Alexa Fluor® 594

    Alexa Fluor® 594 Anti-RNA polymerase II CTD repeat YSPTSPS (phospho S2) antibody [EPR18855]

  • 660 APC

    APC Anti-RNA polymerase II CTD repeat YSPTSPS (phospho S2) antibody [EPR18855]

  • 603 Alexa Fluor® 568

    Alexa Fluor® 568 Anti-RNA polymerase II CTD repeat YSPTSPS (phospho S2) antibody [EPR18855]

  • 665 Alexa Fluor® 647

    Alexa Fluor® 647 Anti-RNA polymerase II CTD repeat YSPTSPS (phospho S2) antibody [EPR18855]

  • 775 Alexa Fluor® 750

    Alexa Fluor® 750 Anti-RNA polymerase II CTD repeat YSPTSPS (phospho S2) antibody [EPR18855]

Key facts

Host species

Rabbit

Clonality

Monoclonal

Clone number

EPR18855

Isotype

IgG

Carrier free

No

Reacts with

Mouse, Rat, Human

Applications

ChIP, IP, ICC/IF, Flow Cyt (Intra), IHC-P, Dot, WB

applications

Immunogen

The exact immunogen used to generate this antibody is proprietary information.

Reactivity data

{ "title": "Reactivity Data", "filters": { "stats": ["", "Species", "Dilution Info", "Notes"], "tabs": { "all-applications": {"fullname" : "All Applications", "shortname": "All Applications"}, "IP" : {"fullname" : "Immunoprecipitation", "shortname":"IP"}, "ChIP" : {"fullname" : "ChIP", "shortname":"ChIP"}, "Dot" : {"fullname" : "Dot Blot", "shortname":"Dot"}, "WB" : {"fullname" : "Western blot", "shortname":"WB"}, "ICCIF" : {"fullname" : "Immunocytochemistry/ Immunofluorescence", "shortname":"ICC/IF"}, "FlowCytIntra" : {"fullname" : "Flow Cytometry (Intracellular)", "shortname":"Flow Cyt (Intra)"}, "IHCP" : {"fullname" : "Immunohistochemistry (Formalin/PFA-fixed paraffin-embedded sections)", "shortname":"IHC-P"} }, "product-promise": { "all": "all", "testedAndGuaranteed": "tested", "guaranteed": "expected", "predicted": "predicted", "notRecommended": "not-recommended" } }, "values": { "Human": { "IP-species-checked": "testedAndGuaranteed", "IP-species-dilution-info": "1/50", "IP-species-notes": "<p></p>", "ChIP-species-checked": "testedAndGuaranteed", "ChIP-species-dilution-info": "", "ChIP-species-notes": "<p></p>", "Dot-species-checked": "guaranteed", "Dot-species-dilution-info": "", "Dot-species-notes": "", "WB-species-checked": "testedAndGuaranteed", "WB-species-dilution-info": "1/5000", "WB-species-notes": "<p></p>", "ICCIF-species-checked": "testedAndGuaranteed", "ICCIF-species-dilution-info": "1/100", "ICCIF-species-notes": "<p></p>", "FlowCytIntra-species-checked": "testedAndGuaranteed", "FlowCytIntra-species-dilution-info": "", "FlowCytIntra-species-notes": "<p></p>", "IHCP-species-checked": "guaranteed", "IHCP-species-dilution-info": "", "IHCP-species-notes": "" }, "Mouse": { "IP-species-checked": "guaranteed", "IP-species-dilution-info": "", "IP-species-notes": "", "ChIP-species-checked": "guaranteed", "ChIP-species-dilution-info": "", "ChIP-species-notes": "", "Dot-species-checked": "guaranteed", "Dot-species-dilution-info": "", "Dot-species-notes": "", "WB-species-checked": "testedAndGuaranteed", "WB-species-dilution-info": "1/5000", "WB-species-notes": "<p></p>", "ICCIF-species-checked": "guaranteed", "ICCIF-species-dilution-info": "", "ICCIF-species-notes": "", "FlowCytIntra-species-checked": "guaranteed", "FlowCytIntra-species-dilution-info": "", "FlowCytIntra-species-notes": "", "IHCP-species-checked": "testedAndGuaranteed", "IHCP-species-dilution-info": "1/100", "IHCP-species-notes": "<p>Recommended for mouse only.</p> Perform heat-mediated antigen retrieval with Tris/EDTA buffer pH 9.0 before commencing with IHC staining protocol." }, "Rat": { "IP-species-checked": "guaranteed", "IP-species-dilution-info": "", "IP-species-notes": "", "ChIP-species-checked": "guaranteed", "ChIP-species-dilution-info": "", "ChIP-species-notes": "", "Dot-species-checked": "guaranteed", "Dot-species-dilution-info": "", "Dot-species-notes": "", "WB-species-checked": "testedAndGuaranteed", "WB-species-dilution-info": "1/5000", "WB-species-notes": "<p></p>", "ICCIF-species-checked": "testedAndGuaranteed", "ICCIF-species-dilution-info": "1/100", "ICCIF-species-notes": "<p></p>", "FlowCytIntra-species-checked": "guaranteed", "FlowCytIntra-species-dilution-info": "", "FlowCytIntra-species-notes": "", "IHCP-species-checked": "guaranteed", "IHCP-species-dilution-info": "", "IHCP-species-notes": "" }, "Saccharomyces cerevisiae": { "IP-species-checked": "predicted", "IP-species-dilution-info": "", "IP-species-notes": "", "ChIP-species-checked": "predicted", "ChIP-species-dilution-info": "", "ChIP-species-notes": "", "Dot-species-checked": "predicted", "Dot-species-dilution-info": "", "Dot-species-notes": "", "WB-species-checked": "predicted", "WB-species-dilution-info": "", "WB-species-notes": "", "ICCIF-species-checked": "predicted", "ICCIF-species-dilution-info": "", "ICCIF-species-notes": "", "FlowCytIntra-species-checked": "predicted", "FlowCytIntra-species-dilution-info": "", "FlowCytIntra-species-notes": "", "IHCP-species-checked": "predicted", "IHCP-species-dilution-info": "", "IHCP-species-notes": "" }, "Synthetic peptide": { "IP-species-checked": "notRecommended", "IP-species-dilution-info": "", "IP-species-notes": "", "ChIP-species-checked": "notRecommended", "ChIP-species-dilution-info": "", "ChIP-species-notes": "", "Dot-species-checked": "testedAndGuaranteed", "Dot-species-dilution-info": "1/1000", "Dot-species-notes": "<p></p>", "WB-species-checked": "notRecommended", "WB-species-dilution-info": "", "WB-species-notes": "", "ICCIF-species-checked": "notRecommended", "ICCIF-species-dilution-info": "", "ICCIF-species-notes": "", "FlowCytIntra-species-checked": "notRecommended", "FlowCytIntra-species-dilution-info": "", "FlowCytIntra-species-notes": "", "IHCP-species-checked": "notRecommended", "IHCP-species-dilution-info": "", "IHCP-species-notes": "" } } }

Product details

What is this antibody validated in?
Anti-RNA polymerase II CTD repeat YSPTSPS (phospho S2) antibody [EPR18855] (ab193468) is a rabbit recombinant monoclonal antibody and is validated for use in Western Blot (WB), Flow Cytometry (Intra), Flow Cytometry (Flow Cyt), Immunoprecipitation (IP), Immunohistochemistry (IHC-P), Immunocytochemistry/immunofluorescence (ICC/IF), ChIP, Dot Blot in Human, Mouse, Rat samples.

What is the molecular weight of RNA polymerase II CTD repeat YSPTSPS?
Anti-RNA polymerase II CTD repeat YSPTSPS (phospho S2) [EPR18855] (ab193468) specifically detects a band for RNA polymerase II CTD repeat YSPTSPS (UniProt: P04050) at a molecular weight of 192kDa.

Trusted by the scientific community
Anti-RNA polymerase II CTD repeat YSPTSPS (phospho S2) [EPR18855] (ab193468) was first used in a scientific publication in 2015 and has been cited over 20 times in peer-reviewed journals.

Trial sizes available!
Test your antibody or perform pre-screening before committing to a larger quantity. Sold in 10µl. Discover our selection of trial-size antibodies.

Other related products
We have a range of other formats of antibody clone [EPR18855] also available for your convenience: ab193468, Alexa Fluor® 488 - ab237279, Alexa Fluor® 647 - ab237280, PE - ab237281, Carrier free - ab238450, APC - ab310840, Alexa Fluor® 594 - ab311644, Alexa Fluor® 568 - ab312917, Alexa Fluor® 555 - ab313129, Alexa Fluor® 750 - ab321332

Patented technology
Our RabMAb® technology is a patented hybridoma-based technology for making rabbit monoclonal antibodies. For details on our patents, please refer to RabMAb® patents.

What are the advantages of a recombinant monoclonal antibody?
This product is a recombinant monoclonal antibody, which offers several advantages including:

  • - High batch-to-batch consistency and reproducibility
  • - Improved sensitivity and specificity
  • - Long-term security of supply
  • - Animal-free batch production

For more information, read more on recombinant antibodies.

Properties and storage information

Form
Liquid
Purification technique
Affinity purification Protein A
Storage buffer
pH: 7.2 - 7.4 Preservative: 0.01% Sodium azide Constituents: PBS, 40% Glycerol (glycerin, glycerine), 0.05% BSA
Shipped at conditions
Blue Ice
Appropriate short-term storage duration
1-2 weeks
Appropriate short-term storage conditions
+4°C
Appropriate long-term storage conditions
-20°C
Aliquoting information
Upon delivery aliquot
Storage information
Avoid freeze / thaw cycle

Supplementary information

This supplementary information is collated from multiple sources and compiled automatically.

RNA polymerase II CTD repeat YSPTSPS also known as the C-terminal domain of RNA polymerase II is a critical component of the RNA polymerase II enzyme commonly referred to as pol II. This domain is characterized by the repetitive sequence YSPTSPS which plays a significant role in the regulation of transcription. The mass of RNA polymerase II including its CTD varies but is essential for its function in gene expression. RNA polymerase II with the CTD is expressed in the nucleus of eukaryotic cells where it orchestrates the transcription of DNA into mRNA.
Biological function summary

RNA polymerase II CTD repeat YSPTSPS is essential for the transcription progression from initiation to termination. It is part of the large RNA polymerase II complex interacting with various transcription factors and enzymes necessary for RNA processing. The phosphorylation state of the CTD particularly on serine residues regulates interactions with splicing machinery and other RNA processing factors. This modulation ensures the coupling between transcription and RNA processing events controlling mRNA synthesis and maturation.

Pathways

RNA polymerase II CTD repeat YSPTSPS is important in the mRNA synthesis pathway specifically in transcriptional regulation and processing of nascent RNA transcripts. It interacts with proteins such as the transcription factors TFIIH and TFIIB which aid in promoter recognition and open complex formation. The CTD's dynamic phosphorylation pattern allows integration into multiple cellular pathways most importantly connecting transcription with RNA splicing and transport pathways.

Abnormal function or mutations in RNA polymerase II CTD repeat YSPTSPS associate with diseases such as transcription-related syndromes and certain cancers. Deficient CTD phosphorylation can lead to improper mRNA processing resulting in neural developmental disorders. Additionally its interaction with proteins like CDK7 which phosphorylates the CTD links it to tumors where transcriptional dysregulation is a hallmark. Understanding the CTD's role in these diseases provides insight into therapeutic targets and strategies for intervention.

Product protocols

For this product, it's our understanding that no specific protocols are required. You can visit:

Target data

DNA-dependent RNA polymerase catalyzes the transcription of DNA into RNA using the four ribonucleoside triphosphates as substrates. Largest and catalytic component of RNA polymerase II which synthesizes mRNA precursors and many functional non-coding RNAs. Forms the polymerase active center together with the second largest subunit. Pol II is the central component of the basal RNA polymerase II transcription machinery. During a transcription cycle, Pol II, general transcription factors and the Mediator complex assemble as the preinitiation complex (PIC) at the promoter. 11-15 base pairs of DNA surrounding the transcription start site are melted and the single-stranded DNA template strand of the promoter is positioned deeply within the central active site cleft of Pol II to form the open complex. After synthesis of about 30 bases of RNA, Pol II releases its contacts with the core promoter and the rest of the transcription machinery (promoter clearance) and enters the stage of transcription elongation in which it moves on the template as the transcript elongates. Pol II appears to oscillate between inactive and active conformations at each step of nucleotide addition. Elongation is influenced by the phosphorylation status of the C-terminal domain (CTD) of Pol II largest subunit (RPB1), which serves as a platform for assembly of factors that regulate transcription initiation, elongation, termination and mRNA processing. Pol II is composed of mobile elements that move relative to each other. The core element with the central large cleft comprises RPB3, RBP10, RPB11, RPB12 and regions of RPB1 and RPB2 forming the active center. The clamp element (portions of RPB1, RPB2 and RPB3) is connected to the core through a set of flexible switches and moves to open and close the cleft. A bridging helix emanates from RPB1 and crosses the cleft near the catalytic site and is thought to promote translocation of Pol II by acting as a ratchet that moves the RNA-DNA hybrid through the active site by switching from straight to bent conformations at each step of nucleotide addition. In elongating Pol II, the lid loop (RPB1) appears to act as a wedge to drive apart the DNA and RNA strands at the upstream end of the transcription bubble and guide the RNA strand toward the RNA exit groove located near the base of the largely unstructured CTD domain of RPB1. The rudder loop (RPB1) interacts with single-stranded DNA after separation from the RNA strand, likely preventing reassociation with the exiting RNA. The cleft is surrounded by jaws : an upper jaw formed by portions of RBP1, RPB2 and RPB9, and a lower jaw, formed by RPB5 and portions of RBP1. The jaws are thought to grab the incoming DNA template, mainly by RPB5 direct contacts to DNA.
See full target information RPO21 phospho S2

Publications (40)

Recent publications for all applications. Explore the full list and refine your search

PLoS genetics 21:e1011827 PubMed40825031

2025

Dynamics of recombination, X inactivation and centromere proteins during stick insect spermatogenesis.

Applications

Unspecified application

Species

Unspecified reactive species

Zoé Dumas,William Toubiana,Marie Delattre,Tanja Schwander

Oncogene 44:3537-3552 PubMed40721661

2025

EWS::FLI1-DHX9 interaction promotes Ewing sarcoma sensitivity to DNA topoisomerase 1 poisons by altering R-loop metabolism.

Applications

Unspecified application

Species

Unspecified reactive species

Joaquin Olmedo-Pelayo,Esperanza Granado-Calle,Daniel Delgado-Bellido,Laura Lobo-Selma,Carmen Jordan-Perez,Ana T Monteiro-Amaral,Anna C Ehlers,Shunya Ohmura,Daniel J Garcia-Dominguez,Carlos Mackintosh,Angel M Carcaboso,Javier Alonso,Isidro Machado,Antonio Llombart-Bosch,Katia Scotlandi,Thomas G P Grünewald,Fernando Gomez-Herreros,Enrique de Alava

Nucleic acids research 53: PubMed40530690

2025

IRE1α RNase activity is critical for early embryo development by degrading maternal transcripts.

Applications

Unspecified application

Species

Unspecified reactive species

Chao Li,Yong-Peng Tan,Di Gao,Ruibao Su,Ke Xu,Shu-Chen Liu,Xu-Feng Li,You-Hui Lu,Li-Tao Yi,Guang Wang,Xiang-Hong Ou,Tie-Gang Meng,Qing-Yuan Sun

Science advances 11:eadt8346 PubMed40531993

2025

ZC3H4 safeguards genome integrity by preventing transcription-replication conflicts at noncoding RNA loci.

Applications

Unspecified application

Species

Unspecified reactive species

Yann Frey,Liana Goehring,Majd Haj,Gergely Rona,Carel Fijen,Michele Pagano,Tony T Huang,Eli Rothenberg,Yael Ziv,Yosef Shiloh

Nature communications 16:2684 PubMed40102413

2025

A phenopushing platform to identify compounds that alleviate acute hypoxic stress by fast-tracking cellular adaptation.

Applications

Unspecified application

Species

Unspecified reactive species

Li Li,Heinz Hammerlindl,Susan Q Shen,Feng Bao,Sabrina Hammerlindl,Steven J Altschuler,Lani F Wu

PLoS genetics 21:e1011615 PubMed40063618

2025

Dynamics of X chromosome hyper-expression and inactivation in male tissues during stick insect development.

Applications

Unspecified application

Species

Unspecified reactive species

Jelisaveta Djordjevic,Patrick Tran Van,William Toubiana,Marjorie Labédan,Zoé Dumas,Jean-Marc Aury,Corinne Cruaud,Benjamin Istace,Karine Labadie,Benjamin Noel,Darren J Parker,Tanja Schwander

Scientific reports 14:31223 PubMed39732974

2024

Hypoxia-induced TPC2 transcription and glycosylation aggravates pulmonary arterial hypertension by blocking autophagy flux.

Applications

Unspecified application

Species

Unspecified reactive species

Chao Li,Cheng Li,YuFei Jiang,MoFei Liu,ChengYi Yang,JiaXin Lu,YongLiang Jiang

Biotechnology journal 19:e202400474 PubMed39655408

2024

Selective Recruitment of a Synthetic Histone Acetyltransferase Can Boost CHO Cell Productivity.

Applications

Unspecified application

Species

Unspecified reactive species

Sienna P Butterfield,Rebecca E Sizer,Fay L Saunders,Robert J White

Bioactive materials 45:181-200 PubMed39651397

2024

Engineering aortic valves via transdifferentiating fibroblasts into valvular endothelial cells without using viruses or iPS cells.

Applications

Unspecified application

Species

Unspecified reactive species

Peng Tang,Fuxiang Wei,Weihua Qiao,Xing Chen,Chenyang Ji,Wanzhi Yang,Xinyu Zhang,Sihan Chen,Yanyan Wu,Mingxing Jiang,Chenyu Ma,Weiqiang Shen,Qi Dong,Hong Cao,Minghui Xie,Ziwen Cai,Li Xu,Jiawei Shi,Nianguo Dong,Junwei Chen,Ning Wang

Mediators of inflammation 2024:1929766 PubMed39345351

2024

Macrophages Promote Atherosclerosis Development by Inhibiting CD8T Cell Apoptosis.

Applications

Unspecified application

Species

Unspecified reactive species

Xiaoming Xu,Yuteng Wu,Yifei Xu,Wei Mao,Yanyun Pan
View all publications

Product promise

We are committed to supporting your work with high-quality reagents, and we're here for you every step of the way. In the unlikely event that one of our products does not perform as expected, you're protected by our Product Promise.
For full details, please see our Terms & Conditions

Please note: All products are 'FOR RESEARCH USE ONLY. NOT FOR USE IN DIAGNOSTIC OR THERAPEUTIC PROCEDURES'.

For licensing inquiries, please contact partnerships@abcam.com