JavaScript is disabled in your browser. Please enable JavaScript to view this website.
AB76292

Anti-RNA polymerase II CTD repeat YSPTSPS (phospho S5) antibody [EP1510Y]

Be the first to review this product! Submit a review

|

(2 Publications)

Rabbit Recombinant Monoclonal RNA polymerase II RPB1 phospho S5 antibody. Suitable for IHC-P, Dot, WB, ICC/IF and reacts with Human, Mouse, Rat, Synthetic peptide samples. Cited in 2 publications.

View Alternative Names

POLR2, POLR2A, DNA-directed RNA polymerase II subunit RPB1, RNA polymerase II subunit B1, 3'-5' exoribonuclease, DNA-directed RNA polymerase II subunit A, DNA-directed RNA polymerase III largest subunit, RNA-directed RNA polymerase II subunit RPB1

9 Images
Immunohistochemistry (Formalin/PFA-fixed paraffin-embedded sections) - Anti-RNA polymerase II CTD repeat YSPTSPS (phospho S5) antibody [EP1510Y] (AB76292)
  • IHC-P

Supplier Data

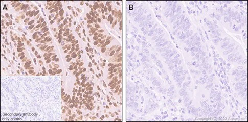
Immunohistochemistry (Formalin/PFA-fixed paraffin-embedded sections) - Anti-RNA polymerase II CTD repeat YSPTSPS (phospho S5) antibody [EP1510Y] (AB76292)

Immunohistochemical analysis of paraffin-embedded Human colon cancer tissue labeling RNA polymerase II CTD repeat YSPTSPS with ab76292 at 1/4000 dilution, followed by a ready to use LeicaDS9800 (Bond™ Polymer Refine Detection). Nuclear staining on human colon cancer without alkaline phosphatase treatment (image A). No signal was detected when tissues were treated with alkaline phosphatase (image B). The immunostaining was performed on a Leica Biosystems BOND® RX instrument. Counterstained with Hematoxylin. Heat mediated antigen retrieval was performed with Citrate buffer (pH 6.0, epitope retrieval solution 1) for 20 mins.

Immunohistochemistry (Formalin/PFA-fixed paraffin-embedded sections) - Anti-RNA polymerase II CTD repeat YSPTSPS (phospho S5) antibody [EP1510Y] (AB76292)
  • IHC-P

Supplier Data

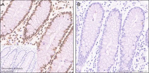
Immunohistochemistry (Formalin/PFA-fixed paraffin-embedded sections) - Anti-RNA polymerase II CTD repeat YSPTSPS (phospho S5) antibody [EP1510Y] (AB76292)

Immunohistochemical analysis of paraffin-embedded Human colon tissue labeling RNA polymerase II CTD repeat YSPTSPS with ab76292 at 1/4000 dilution, followed by a ready to use LeicaDS9800 (Bond™ Polymer Refine Detection). Nuclear staining on human colon without alkaline phosphatase treatment (image A). No signal was detected when tissues were treated with alkaline phosphatase (image B). The immunostaining was performed on a Leica Biosystems BOND® RX instrument. Counterstained with Hematoxylin. Heat mediated antigen retrieval was performed with Citrate buffer (pH 6.0, epitope retrieval solution 1) for 20 mins.

Immunocytochemistry/ Immunofluorescence - Anti-RNA polymerase II CTD repeat YSPTSPS (phospho S5) antibody [EP1510Y] (AB76292)
  • ICC/IF

Supplier Data

Immunocytochemistry/ Immunofluorescence - Anti-RNA polymerase II CTD repeat YSPTSPS (phospho S5) antibody [EP1510Y] (AB76292)

Immunofluorescent analysis of 4% Paraformaldehyde-fixed, 0.1% TritonX-100 permeabilized HeLa cells labelling RNA polymerase II CTD repeat YSPTSPS with ab76292 at 1/1000 dilution, followed by Goat Anti-Rabbit IgG H&L (Alexa Fluor® 488) preadsorbed (ab150081) at 1/1000 dilution. Alexa Fluor® 594 Anti-alpha Tubulin antibody [DM1A] - Microtubule Marker (ab195889) was used to counterstain tubulin at 1/200 dilution. The nuclear counterstain was DAPI (Blue).

Immunohistochemistry (Formalin/PFA-fixed paraffin-embedded sections) - Anti-RNA polymerase II CTD repeat YSPTSPS (phospho S5) antibody [EP1510Y] (AB76292)
  • IHC-P

Supplier Data

Immunohistochemistry (Formalin/PFA-fixed paraffin-embedded sections) - Anti-RNA polymerase II CTD repeat YSPTSPS (phospho S5) antibody [EP1510Y] (AB76292)

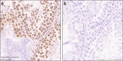
Immunohistochemical analysis of paraffin-embedded Mouse testis tissue labeling RNA polymerase II CTD repeat YSPTSPS with ab76292 at 1/4000 dilution, followed by a ready to use LeicaDS9800 (Bond™ Polymer Refine Detection). Nuclear staining on mouse testis without alkaline phosphatase treatment (image A). No signal was detected when tissues were treated with alkaline phosphatase (image B). The immunostaining was performed on a Leica Biosystems BOND® RX instrument. Counterstained with Hematoxylin. Heat mediated antigen retrieval was performed with Citrate buffer (pH 6.0, epitope retrieval solution 1) for 20 mins.

Immunohistochemistry (Formalin/PFA-fixed paraffin-embedded sections) - Anti-RNA polymerase II CTD repeat YSPTSPS (phospho S5) antibody [EP1510Y] (AB76292)
  • IHC-P

Supplier Data

Immunohistochemistry (Formalin/PFA-fixed paraffin-embedded sections) - Anti-RNA polymerase II CTD repeat YSPTSPS (phospho S5) antibody [EP1510Y] (AB76292)

Immunohistochemical analysis of paraffin-embedded Rat testis tissue labeling RNA polymerase II CTD repeat YSPTSPS with ab76292 at 1/4000 dilution, followed by a ready to use LeicaDS9800 (Bond™ Polymer Refine Detection). Nuclear staining on rat testis without alkaline phosphatase treatment (image A). No signal was detected when tissues were treated with alkaline phosphatase (image B). The immunostaining was performed on a Leica Biosystems BOND® RX instrument. Counterstained with Hematoxylin. Heat mediated antigen retrieval was performed with Citrate buffer (pH 6.0, epitope retrieval solution 1) for 20 mins.

Western blot - Anti-RNA polymerase II CTD repeat YSPTSPS (phospho S5) antibody [EP1510Y] (AB76292)
  • WB

Supplier Data

Western blot - Anti-RNA polymerase II CTD repeat YSPTSPS (phospho S5) antibody [EP1510Y] (AB76292)

Blocking and diluting buffer and concentration : 5% NFDM/TBST.

All lanes:

Western blot - Anti-RNA polymerase II CTD repeat YSPTSPS (phospho S5) antibody [EP1510Y] (ab76292) at 1/10000 dilution

Lane 1:

Human brain lysate at 15 µg

Lane 2:

Human brain lysate, then the membrane treated with Alkaline Phosphatase for 1 hour at 15 µg

Secondary

All lanes:

Western blot - Goat Anti-Rabbit IgG H&L (HRP) (<a href='/en-us/products/secondary-antibodies/goat-rabbit-igg-h-l-hrp-ab97051'>ab97051</a>) at 1/20000 dilution

Observed band size: 270 kDa

false

Exposure time: 40s

Western blot - Anti-RNA polymerase II CTD repeat YSPTSPS (phospho S5) antibody [EP1510Y] (AB76292)
  • WB

Supplier Data

Western blot - Anti-RNA polymerase II CTD repeat YSPTSPS (phospho S5) antibody [EP1510Y] (AB76292)

Blocking and diluting buffer and concentration : 5% NFDM/TBST.

All lanes:

Western blot - Anti-RNA polymerase II CTD repeat YSPTSPS (phospho S5) antibody [EP1510Y] (ab76292) at 1/10000 dilution

Lane 1:

Mouse brain lysate at 15 µg

Lane 2:

Mouse brain lysate, then the membrane treated with Alkaline Phosphatase for 1 hour at 15 µg

Secondary

All lanes:

Western blot - Goat Anti-Rabbit IgG H&L (HRP) (<a href='/en-us/products/secondary-antibodies/goat-rabbit-igg-h-l-hrp-ab97051'>ab97051</a>) at 1/20000 dilution

Observed band size: 270 kDa

false

Exposure time: 60s

Western blot - Anti-RNA polymerase II CTD repeat YSPTSPS (phospho S5) antibody [EP1510Y] (AB76292)
  • WB

Supplier Data

Western blot - Anti-RNA polymerase II CTD repeat YSPTSPS (phospho S5) antibody [EP1510Y] (AB76292)

Blocking and diluting buffer and concentration : 5% NFDM/TBST.

All lanes:

Western blot - Anti-RNA polymerase II CTD repeat YSPTSPS (phospho S5) antibody [EP1510Y] (ab76292) at 1/10000 dilution

Lane 1:

Rat brain lysate at 15 µg

Lane 2:

Rat brain lysate, then the membrane treated with Alkaline Phosphatase for 1 hour at 15 µg

Secondary

All lanes:

Western blot - Goat Anti-Rabbit IgG H&L (HRP) (<a href='/en-us/products/secondary-antibodies/goat-rabbit-igg-h-l-hrp-ab97051'>ab97051</a>) at 1/20000 dilution

Observed band size: 270 kDa

false

Exposure time: 20s

Dot Blot - Anti-RNA polymerase II CTD repeat YSPTSPS (phospho S5) antibody [EP1510Y] (AB76292)
  • Dot

Supplier Data

Dot Blot - Anti-RNA polymerase II CTD repeat YSPTSPS (phospho S5) antibody [EP1510Y] (AB76292)

Dot blot analysis of RNA polymerase II CTD repeat YSPTSPS (phospho S5) using ab76292 at 1/1000 dilution, followed by a Goat Anti-Rabbit IgG (H+L) Peroxidase conjugated (ab97051) at 1/2500 dilution. Blocking and dilution buffer : 5% NFDM/TBST. Exposure time : 180s.

All lanes:

Dot Blot - Anti-RNA polymerase II CTD repeat YSPTSPS (phospho S5) antibody [EP1510Y] (ab76292) at 1/1000 dilution

Lane 1:

RNA polymerase II CTD repeat YSPTSPS (phospho S5) peptide

Lane 2:

RNA polymerase II CTD repeat YSPTSPS non-phospho peptide

Secondary

All lanes:

Dot Blot - Goat Anti-Rabbit IgG H&L (HRP) (<a href='/en-us/products/secondary-antibodies/goat-rabbit-igg-h-l-hrp-ab97051'>ab97051</a>) at 1/2500 dilution

false

  • 519 Alexa Fluor® 488

    Alexa Fluor® 488 Anti-RNA polymerase II CTD repeat YSPTSPS (phospho S5) antibody [EP1510Y]

  • 665 Alexa Fluor® 647

    Alexa Fluor® 647 Anti-RNA polymerase II CTD repeat YSPTSPS (phospho S5) antibody [EP1510Y]

  • Carrier free

    Anti-RNA polymerase II CTD repeat YSPTSPS (phospho S5) antibody [EP1510Y] - BSA and Azide free

Key facts

Host species

Rabbit

Clonality

Monoclonal

Clone number

EP1510Y

Isotype

IgG

Carrier free

No

Reacts with

Mouse, Rat, Human

Applications

ICC/IF, WB, Dot, IHC-P

applications

Immunogen

The exact immunogen used to generate this antibody is proprietary information.

Specificity

Detects RNA Polymeraste II phosphorylated at serine 5.

Reactivity data

{ "title": "Reactivity Data", "filters": { "stats": ["", "Species", "Dilution Info", "Notes"], "tabs": { "all-applications": {"fullname" : "All Applications", "shortname": "All Applications"}, "IHCP" : {"fullname" : "Immunohistochemistry (Formalin/PFA-fixed paraffin-embedded sections)", "shortname":"IHC-P"}, "FlowCyt" : {"fullname" : "Flow Cytometry", "shortname":"Flow Cyt"}, "Dot" : {"fullname" : "Dot Blot", "shortname":"Dot"}, "WB" : {"fullname" : "Western blot", "shortname":"WB"}, "ICCIF" : {"fullname" : "Immunocytochemistry/ Immunofluorescence", "shortname":"ICC/IF"} }, "product-promise": { "all": "all", "testedAndGuaranteed": "tested", "guaranteed": "expected", "predicted": "predicted", "notRecommended": "not-recommended" } }, "values": { "Human": { "IHCP-species-checked": "testedAndGuaranteed", "IHCP-species-dilution-info": "1/4000", "IHCP-species-notes": "<p></p> Perform heat-mediated antigen retrieval before commencing with IHC staining protocol.", "FlowCyt-species-checked": "notRecommended", "FlowCyt-species-dilution-info": "", "FlowCyt-species-notes": "<p></p>", "Dot-species-checked": "guaranteed", "Dot-species-dilution-info": "", "Dot-species-notes": "", "WB-species-checked": "testedAndGuaranteed", "WB-species-dilution-info": "1/10000", "WB-species-notes": "<p></p>", "ICCIF-species-checked": "testedAndGuaranteed", "ICCIF-species-dilution-info": "1/1000", "ICCIF-species-notes": "<p></p>" }, "Mouse": { "IHCP-species-checked": "testedAndGuaranteed", "IHCP-species-dilution-info": "1/4000", "IHCP-species-notes": "<p></p>", "FlowCyt-species-checked": "notRecommended", "FlowCyt-species-dilution-info": "", "FlowCyt-species-notes": "", "Dot-species-checked": "guaranteed", "Dot-species-dilution-info": "", "Dot-species-notes": "", "WB-species-checked": "testedAndGuaranteed", "WB-species-dilution-info": "1/10000", "WB-species-notes": "<p></p>", "ICCIF-species-checked": "guaranteed", "ICCIF-species-dilution-info": "", "ICCIF-species-notes": "" }, "Rat": { "IHCP-species-checked": "testedAndGuaranteed", "IHCP-species-dilution-info": "1/4000", "IHCP-species-notes": "<p></p>", "FlowCyt-species-checked": "notRecommended", "FlowCyt-species-dilution-info": "", "FlowCyt-species-notes": "", "Dot-species-checked": "guaranteed", "Dot-species-dilution-info": "", "Dot-species-notes": "", "WB-species-checked": "testedAndGuaranteed", "WB-species-dilution-info": "1/10000", "WB-species-notes": "<p></p>", "ICCIF-species-checked": "guaranteed", "ICCIF-species-dilution-info": "", "ICCIF-species-notes": "" }, "Synthetic peptide": { "IHCP-species-checked": "notRecommended", "IHCP-species-dilution-info": "", "IHCP-species-notes": "", "FlowCyt-species-checked": "notRecommended", "FlowCyt-species-dilution-info": "", "FlowCyt-species-notes": "", "Dot-species-checked": "testedAndGuaranteed", "Dot-species-dilution-info": "1/1000", "Dot-species-notes": "<p></p>", "WB-species-checked": "notRecommended", "WB-species-dilution-info": "", "WB-species-notes": "", "ICCIF-species-checked": "notRecommended", "ICCIF-species-dilution-info": "", "ICCIF-species-notes": "" } } }

Product details

This product has switched from a hybridoma to recombinant production method on 9th February 2024.

Patented technology
Our RabMAb® technology is a patented hybridoma-based technology for making rabbit monoclonal antibodies. For details on our patents, please refer to RabMAb® patents.

What are the advantages of a recombinant monoclonal antibody?
This product is a recombinant monoclonal antibody, which offers several advantages including:

  • - High batch-to-batch consistency and reproducibility
  • - Improved sensitivity and specificity
  • - Long-term security of supply
  • - Animal-free batch production

For more information, read more on recombinant antibodies.

Properties and storage information

Form
Liquid
Purification technique
Affinity purification Protein A
Storage buffer
pH: 7.2 - 7.4 Preservative: 0.05% Sodium azide Constituents: 50% Tissue culture supernatant, 40% Glycerol (glycerin, glycerine), 9.85% Tris glycine, 0.1% BSA
Shipped at conditions
Blue Ice
Appropriate short-term storage duration
1-2 weeks
Appropriate short-term storage conditions
+4°C
Appropriate long-term storage conditions
-20°C
Aliquoting information
Upon delivery aliquot
Storage information
Avoid freeze / thaw cycle

Supplementary information

This supplementary information is collated from multiple sources and compiled automatically.

RNA polymerase II CTD repeat YSPTSPS also known as the C-terminal domain of RNA polymerase II is a critical component of the RNA polymerase II enzyme commonly referred to as pol II. This domain is characterized by the repetitive sequence YSPTSPS which plays a significant role in the regulation of transcription. The mass of RNA polymerase II including its CTD varies but is essential for its function in gene expression. RNA polymerase II with the CTD is expressed in the nucleus of eukaryotic cells where it orchestrates the transcription of DNA into mRNA.
Biological function summary

RNA polymerase II CTD repeat YSPTSPS is essential for the transcription progression from initiation to termination. It is part of the large RNA polymerase II complex interacting with various transcription factors and enzymes necessary for RNA processing. The phosphorylation state of the CTD particularly on serine residues regulates interactions with splicing machinery and other RNA processing factors. This modulation ensures the coupling between transcription and RNA processing events controlling mRNA synthesis and maturation.

Pathways

RNA polymerase II CTD repeat YSPTSPS is important in the mRNA synthesis pathway specifically in transcriptional regulation and processing of nascent RNA transcripts. It interacts with proteins such as the transcription factors TFIIH and TFIIB which aid in promoter recognition and open complex formation. The CTD's dynamic phosphorylation pattern allows integration into multiple cellular pathways most importantly connecting transcription with RNA splicing and transport pathways.

Abnormal function or mutations in RNA polymerase II CTD repeat YSPTSPS associate with diseases such as transcription-related syndromes and certain cancers. Deficient CTD phosphorylation can lead to improper mRNA processing resulting in neural developmental disorders. Additionally its interaction with proteins like CDK7 which phosphorylates the CTD links it to tumors where transcriptional dysregulation is a hallmark. Understanding the CTD's role in these diseases provides insight into therapeutic targets and strategies for intervention.

Product protocols

For this product, it's our understanding that no specific protocols are required. You can visit:

Target data

Catalytic core component of RNA polymerase II (Pol II), a DNA-dependent RNA polymerase which synthesizes mRNA precursors and many functional non-coding RNAs using the four ribonucleoside triphosphates as substrates (By similarity) (PubMed : 23748380, PubMed : 27193682, PubMed : 30190596, PubMed : 9852112). Pol II-mediated transcription cycle proceeds through transcription initiation, transcription elongation and transcription termination stages. During transcription initiation, Pol II pre-initiation complex (PIC) is recruited to DNA promoters, with focused-type promoters containing either the initiator (Inr) element, or the TATA-box found in cell-type specific genes and dispersed-type promoters that often contain hypomethylated CpG islands usually found in housekeeping genes. Once the polymerase has escaped from the promoter it enters the elongation phase during which RNA is actively polymerized, based on complementarity with the template DNA strand. Transcription termination involves the release of the RNA transcript and polymerase from the DNA (By similarity) (PubMed : 23748380, PubMed : 27193682, PubMed : 28108474, PubMed : 30190596, PubMed : 9852112). Forms Pol II active center together with the second largest subunit POLR2B/RPB2. Appends one nucleotide at a time to the 3' end of the nascent RNA, with POLR2A/RPB1 most likely contributing a Mg(2+)-coordinating DxDGD motif, and POLR2B/RPB2 participating in the coordination of a second Mg(2+) ion and providing lysine residues believed to facilitate Watson-Crick base pairing between the incoming nucleotide and template base. Typically, Mg(2+) ions direct a 5' nucleoside triphosphate to form a phosphodiester bond with the 3' hydroxyl of the preceding nucleotide of the nascent RNA, with the elimination of pyrophosphate. The reversible pyrophosphorolysis can occur at high pyrophosphate concentrations (By similarity) (PubMed : 30190596, PubMed : 8381534, PubMed : 9852112). Can proofread the nascent RNA transcript by means of a 3' -> 5' exonuclease activity. If a ribonucleotide is mis-incorporated, backtracks along the template DNA and cleaves the phosphodiester bond releasing the mis-incorporated 5'-ribonucleotide (By similarity) (PubMed : 8381534). Through its unique C-terminal domain (CTD, 52 heptapeptide tandem repeats) serves as a platform for assembly of factors that regulate transcription initiation, elongation and termination. CTD phosphorylation on Ser-5 mediates Pol II promoter escape, whereas phosphorylation on Ser-2 is required for Pol II pause release during transcription elongation and further pre-mRNA processing. Additionally, the regulation of gene expression levels depends on the balance between methylation and acetylation levels of the CTD-lysines. Initiation or early elongation steps of transcription of growth-factor-induced immediate early genes are regulated by the acetylation status of the CTD. Methylation and dimethylation have a repressive effect on target genes expression. Cooperates with mRNA splicing machinery in co-transcriptional 5'-end capping and co-transcriptional splicing of pre-mRNA (By similarity) (PubMed : 24207025, PubMed : 26124092).. RNA-dependent RNA polymerase that catalyzes the extension of a non-coding RNA (ncRNA) at the 3'-end using the four ribonucleoside triphosphates as substrates. An internal ncRNA sequence near the 3'-end serves as a template in a single-round Pol II-mediated RNA polymerization reaction. May decrease the stability of ncRNAs that repress Pol II-mediated gene transcription.. (Microbial infection) Acts as an RNA-dependent RNA polymerase when associated with small delta antigen of Hepatitis delta virus, acting both as a replicase and transcriptase for the viral RNA circular genome.
See full target information POLR2A phospho S5

Publications (2)

Recent publications for all applications. Explore the full list and refine your search

BMC complementary medicine and therapies 25:348 PubMed41034986

2025

Changji'an formula alleviates visceral hypersensitivity of a post-inflammatory IBS-D mouse model via NGF/TrkA signaling pathway.

Applications

Unspecified application

Species

Unspecified reactive species

Wei Ke,Siyu Huang,He Zhu,Qinglong Tan,Huaiguo Li,Dongwen Liu,Fanghao Zheng,Shuncong Zhang,Kaijun Lei,Hongmei Tang

PLoS genetics 19:e1010654 PubMed36867662

2023

The anatomy of transcriptionally active chromatin loops in Drosophila primary spermatocytes using super-resolution microscopy.

Applications

Unspecified application

Species

Unspecified reactive species

Madeleine L Ball,Stefan A Koestler,Leila Muresan,Sohaib Abdul Rehman,Kevin O'Holleran,Robert White
View all publications

Product promise

We are committed to supporting your work with high-quality reagents, and we're here for you every step of the way. In the unlikely event that one of our products does not perform as expected, you're protected by our Product Promise.
For full details, please see our Terms & Conditions

Please note: All products are 'FOR RESEARCH USE ONLY. NOT FOR USE IN DIAGNOSTIC OR THERAPEUTIC PROCEDURES'.

For licensing inquiries, please contact partnerships@abcam.com