JavaScript is disabled in your browser. Please enable JavaScript to view this website.
AB193467

Anti-RNA polymerase II CTD repeat YSPTSPS (phospho S5) antibody [EPR19015]

Be the first to review this product! Submit a review

|

(9 Publications)

Rabbit Recombinant Monoclonal RNA polymerase II RPB1 phospho S5 antibody. Suitable for IP, Dot, WB, ICC/IF, Flow Cyt (Intra), IHC-P and reacts with Human, Mouse, Rat, Synthetic peptide samples. Cited in 9 publications.

View Alternative Names

RPB1, RPB220, SUA8, YDL140C, D2150, RPO21, DNA-directed RNA polymerase II subunit RPB1, RNA polymerase II subunit 1, RNA polymerase II subunit B1, DNA-directed RNA polymerase III largest subunit, RNA polymerase II subunit B220

12 Images
Flow Cytometry (Intracellular) - Anti-RNA polymerase II CTD repeat YSPTSPS (phospho S5) antibody [EPR19015] (AB193467)
  • Flow Cyt (Intra)

Supplier Data

Flow Cytometry (Intracellular) - Anti-RNA polymerase II CTD repeat YSPTSPS (phospho S5) antibody [EPR19015] (AB193467)

Intracellular flow cytometric analysis of 4% paraformaldehyde-fixed HeLa (Human epithelial cell line from cervix adenocarcinoma) cells labeling RNA polymerase II CTD repeat YSPTSPS (phospho S5) with ab193467 at 1/30 dilution (red) compared with a rabbit monoclonal IgG isotype control (ab172730; black) and an unlabelled control (cells without incubation with primary antibody and secondary antibody; blue). Goat anti rabbit IgG (FITC) at 1/500 dilution was used as the secondary antibody.

Immunocytochemistry/ Immunofluorescence - Anti-RNA polymerase II CTD repeat YSPTSPS (phospho S5) antibody [EPR19015] (AB193467)
  • ICC/IF

Supplier Data

Immunocytochemistry/ Immunofluorescence - Anti-RNA polymerase II CTD repeat YSPTSPS (phospho S5) antibody [EPR19015] (AB193467)

Immunofluorescent analysis of 4% paraformaldehyde-fixed, 0.1% Triton X-100 permeabilized HeLa (Human epithelial cell line from cervix adenocarcinoma) cells labeling RNA polymerase II CTD repeat YSPTSPS (phospho S5) with ab193467 at 1/250 dilution, followed by Goat Anti-Rabbit IgG H&L (Alexa Fluor® 488) (ab150077) secondary antibody at 1/1000 dilution (green).

Confocal image showing nuclear staining on HeLa cell line. The expression decreased after treatment with Lambda Phosphatase 31°C for 5h.

The nuclear counter stain is DAPI (blue). Tubulin is detected with Anti-alpha Tubulin mouse MAb (ab7291) at 1/1000 dilution, followed by Goat Anti-Mouse IgG H&L (Alexa Fluor® 594) (ab150120) secondary antibody at 1/1000 dilution (red).

The negative controls are as follows :
-ve control 1 : ab193467 at 1/250 dilution, followed by Goat Anti-Mouse IgG H&L (Alexa Fluor® 594) (ab150120) secondary antibody at 1/1000 dilution.
-ve control 2 : Anti-alpha Tubulin mouse MAb (ab7291) at 1/1000 dilution followed by Goat Anti-Rabbit IgG H&L (Alexa Fluor® 488) (ab150077) secondary antibody at 1/1000 dilution.

Immunoprecipitation - Anti-RNA polymerase II CTD repeat YSPTSPS (phospho S5) antibody [EPR19015] (AB193467)
  • IP

Supplier Data

Immunoprecipitation - Anti-RNA polymerase II CTD repeat YSPTSPS (phospho S5) antibody [EPR19015] (AB193467)

RNA polymerase II CTD repeat YSPTSPS (phospho S5) was immunoprecipitated from 1mg of HeLa (Human epithelial cell line from cervix adenocarcinoma) whole cell lysate with ab193467 at 1/20 dilution. Western blot was performed from the immunoprecipitate using ab193467 at 1/1000 dilution. VeriBlot for IP Detection Reagent (HRP) (ab131366), was used for detection at 1/10000 dilution.

Lane 1 : HeLa whole cell lysate 10μg (Input).
Lane 2 : ab193467 IP in HeLa whole cell lysate.
Lane 3 : Rabbit monoclonal IgG (ab172730) instead of ab193467 in HeLa whole cell lysate.

Blocking and dilution buffer and concentration : 5% NFDM/TBST.

All lanes:

Immunoprecipitation - Anti-RNA polymerase II CTD repeat YSPTSPS (phospho S5) antibody [EPR19015] (ab193467)

Predicted band size: 217 kDa

false

Exposure time: 5s

Immunocytochemistry/ Immunofluorescence - Anti-RNA polymerase II CTD repeat YSPTSPS (phospho S5) antibody [EPR19015] (AB193467)
  • ICC/IF

Supplier Data

Immunocytochemistry/ Immunofluorescence - Anti-RNA polymerase II CTD repeat YSPTSPS (phospho S5) antibody [EPR19015] (AB193467)

Immunofluorescent analysis of 4% paraformaldehyde-fixed, 0.1% Triton X-100 permeabilized PC-12 (Rat adrenal gland pheochromocytoma cell line) cells labeling RNA polymerase II CTD repeat YSPTSPS (phospho S5) with ab193467 at 1/250 dilution, followed by Goat Anti-Rabbit IgG H&L (Alexa Fluor® 488) (ab150077) secondary antibody at 1/1000 dilution (green).

Confocal image showing nuclear staining on PC-12 cell line. The expression decreased after treatment with Lambda Phosphatase at 31°C for 5h.

The nuclear counter stain is DAPI (blue). Tubulin is detected with Anti-alpha Tubulin mouse MAb (ab7291) at 1/1000 dilution, followed by Goat Anti-Mouse IgG H&L (Alexa Fluor® 594) (ab150120) secondary antibody at 1/1000 dilution (red).

The negative controls are as follows :
-ve control 1 : ab193467 at 1/250 dilution, followed by Goat Anti-Mouse IgG H&L (Alexa Fluor® 594) (ab150120) secondary antibody at 1/1000 dilution.
-ve control 2 : Anti-alpha Tubulin mouse MAb (ab7291) at 1/1000 dilution followed by Goat Anti-Rabbit IgG H&L (Alexa Fluor® 488) (ab150077) secondary antibody at 1/1000 dilution.

Immunocytochemistry/ Immunofluorescence - Anti-RNA polymerase II CTD repeat YSPTSPS (phospho S5) antibody [EPR19015] (AB193467)
  • ICC/IF

Supplier Data

Immunocytochemistry/ Immunofluorescence - Anti-RNA polymerase II CTD repeat YSPTSPS (phospho S5) antibody [EPR19015] (AB193467)

Immunofluorescent analysis of 4% paraformaldehyde-fixed, 0.1% Triton X-100 permeabilized RAW 264.7 (Mouse macrophage cell line transformed with Abelson murine leukemia virus) cells labeling RNA polymerase II CTD repeat YSPTSPS (phospho S5) with ab193467 at 1/250 dilution, followed by Goat Anti-Rabbit IgG H&L (Alexa Fluor® 488) (ab150077) secondary antibody at 1/1000 dilution (green).

Confocal image showing nuclear staining on RAW 264.7 cell line. The expression decreased after treatment with Lambda Phosphatase 31°C for 5h.

The nuclear counter stain is DAPI (blue). Tubulin is detected with Anti-alpha Tubulin mouse MAb (ab7291) at 1/1000 dilution, followed by Goat Anti-Mouse IgG H&L (Alexa Fluor® 594) (ab150120) secondary antibody at 1/1000 dilution (red).

The negative controls are as follows :
-ve control 1 : ab193467 at 1/250 dilution, followed by Goat Anti-Mouse IgG H&L (Alexa Fluor® 594) (ab150120) secondary antibody at 1/1000 dilution.
-ve control 2 : Anti-alpha Tubulin mouse MAb (ab7291) at 1/1000 dilution followed by Goat Anti-Rabbit IgG H&L (Alexa Fluor® 488) (ab150077) secondary antibody at 1/1000 dilution.

Immunohistochemistry (Formalin/PFA-fixed paraffin-embedded sections) - Anti-RNA polymerase II CTD repeat YSPTSPS (phospho S5) antibody [EPR19015] (AB193467)
  • IHC-P

Supplier Data

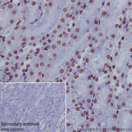
Immunohistochemistry (Formalin/PFA-fixed paraffin-embedded sections) - Anti-RNA polymerase II CTD repeat YSPTSPS (phospho S5) antibody [EPR19015] (AB193467)

Immunohistochemical analysis of paraffin-embedded mouse kidney tissue labeling RNA polymerase II CTD repeat YSPTSPS (phospho S5) with ab193467 at 1/500 dilution, followed by Goat Anti-Rabbit IgG H&L (HRP) (ab97051) at 1/500 dilution. Nuclear staining on epithelial cells of mouse kidney is observed. Counter stained with Hematoxylin.

Secondary antibody only control : Used PBS instead of primary antibody, secondary antibody is Goat Anti-Rabbit IgG H&L (HRP) (ab97051) at 1/500 dilution.

Perform heat mediated antigen retrieval with Tris/EDTA buffer pH 9.0 before commencing with IHC staining protocol.

Immunohistochemistry (Formalin/PFA-fixed paraffin-embedded sections) - Anti-RNA polymerase II CTD repeat YSPTSPS (phospho S5) antibody [EPR19015] (AB193467)
  • IHC-P

Supplier Data

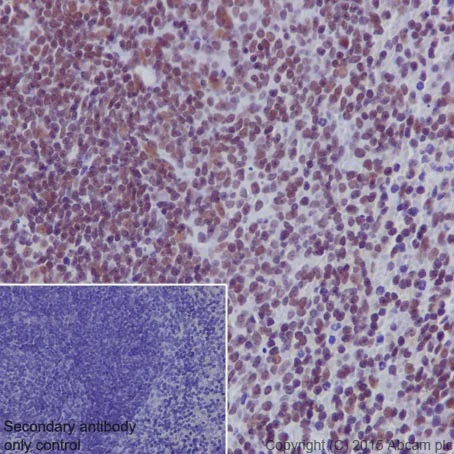
Immunohistochemistry (Formalin/PFA-fixed paraffin-embedded sections) - Anti-RNA polymerase II CTD repeat YSPTSPS (phospho S5) antibody [EPR19015] (AB193467)

Immunohistochemical analysis of paraffin-embedded mouse spleen tissue labeling RNA polymerase II CTD repeat YSPTSPS (phospho S5) with ab193467 at 1/500 dilution, followed by Goat Anti-Rabbit IgG H&L (HRP) (ab97051) at 1/500 dilution. Nuclear staining on lymphocytes of mouse spleen is observed. Counter stained with Hematoxylin.

Secondary antibody only control : Used PBS instead of primary antibody, secondary antibody is Goat Anti-Rabbit IgG H&L (HRP) (ab97051) at 1/500 dilution.

Perform heat mediated antigen retrieval with Tris/EDTA buffer pH 9.0 before commencing with IHC staining protocol.

Western blot - Anti-RNA polymerase II CTD repeat YSPTSPS (phospho S5) antibody [EPR19015] (AB193467)
  • WB

Supplier Data

Western blot - Anti-RNA polymerase II CTD repeat YSPTSPS (phospho S5) antibody [EPR19015] (AB193467)

Blocking/Dilution buffer : 2% BSA/TBST.

All lanes:

Western blot - Anti-RNA polymerase II CTD repeat YSPTSPS (phospho S5) antibody [EPR19015] (ab193467) at 1/5000 dilution

Lane 1:

HeLa (Human epithelial cell line from cervix adenocarcinoma) whole cell lysate at 10 µg

Lane 2:

HeLa (Human epithelial cell line from cervix adenocarcinoma) treated with Lambda Phosphatase whole cell lysate at 10 µg

Secondary

All lanes:

Western blot - Goat Anti-Rabbit IgG H&L (HRP) (<a href='/en-us/products/secondary-antibodies/goat-rabbit-igg-h-l-hrp-ab97051'>ab97051</a>) at 1/100000 dilution

Predicted band size: 217 kDa

Observed band size: 270 kDa

false

Exposure time: 5s

Western blot - Anti-RNA polymerase II CTD repeat YSPTSPS (phospho S5) antibody [EPR19015] (AB193467)
  • WB

Supplier Data

Western blot - Anti-RNA polymerase II CTD repeat YSPTSPS (phospho S5) antibody [EPR19015] (AB193467)

Blocking/Dilution buffer : 2%BSA/TBST.

All lanes:

Western blot - Anti-RNA polymerase II CTD repeat YSPTSPS (phospho S5) antibody [EPR19015] (ab193467) at 1/1000 dilution

Lane 1:

PC-12 (Rat adrenal gland pheochromocytoma cell line) whole cell lysate at 10 µg

Lane 2:

PC-12 (Rat adrenal gland pheochromocytoma cell line) treated with Lambda Phosphatase whole cell lysate at 10 µg

Secondary

All lanes:

Western blot - Goat Anti-Rabbit IgG H&L (HRP) (<a href='/en-us/products/secondary-antibodies/goat-rabbit-igg-h-l-hrp-ab97051'>ab97051</a>) at 1/100000 dilution

Predicted band size: 217 kDa

Observed band size: 270 kDa

false

Exposure time: 1s

Western blot - Anti-RNA polymerase II CTD repeat YSPTSPS (phospho S5) antibody [EPR19015] (AB193467)
  • WB

Supplier Data

Western blot - Anti-RNA polymerase II CTD repeat YSPTSPS (phospho S5) antibody [EPR19015] (AB193467)

Blocking/Dilution buffer : 2% BSA/TBST.

All lanes:

Western blot - Anti-RNA polymerase II CTD repeat YSPTSPS (phospho S5) antibody [EPR19015] (ab193467) at 1/1000 dilution

Lane 1:

RAW 264.7 (Mouse macrophage cell line transformed with Abelson murine leukemia virus) whole cell lysate at 10 µg

Lane 2:

RAW 264.7 (Mouse macrophage cell line transformed with Abelson murine leukemia virus) treated with Lambda Phosphatase whole cell lysate at 10 µg

Secondary

All lanes:

Western blot - Goat Anti-Rabbit IgG H&L (HRP) (<a href='/en-us/products/secondary-antibodies/goat-rabbit-igg-h-l-hrp-ab97051'>ab97051</a>) at 1/100000 dilution

Predicted band size: 217 kDa

Observed band size: 270 kDa

false

Exposure time: 5s

Dot Blot - Anti-RNA polymerase II CTD repeat YSPTSPS (phospho S5) antibody [EPR19015] (AB193467)
  • Dot

Supplier Data

Dot Blot - Anti-RNA polymerase II CTD repeat YSPTSPS (phospho S5) antibody [EPR19015] (AB193467)

Dot blot analysis of RNA polymerase II CTD repeat YSPTSPS (phospho S5) phospho peptide (Lane 1) and RNA polymerase II CTD repeat YSPTSPS non-phospho peptide (Lane 2) labeled using ab193467 at 1/1000 dilution, followed by Goat Anti-Rabbit IgG H&L (HRP) secondary antibody (ab97051) at 1/1000 dilution.

Blocking/Dilution buffer : 5% NFDM/TBST.

Exposure time : 3 minutes.

Dot Blot - Anti-RNA polymerase II CTD repeat YSPTSPS (phospho S5) antibody [EPR19015] (AB193467)
  • Dot

Lab

Dot Blot - Anti-RNA polymerase II CTD repeat YSPTSPS (phospho S5) antibody [EPR19015] (AB193467)

Lane 1 : RNA polymerase II CTD repeat YSPTSPS (phospho S5) phospho peptide
Lane 2 : RNA polymerase II CTD repeat YSPTSPS non-phospho peptide (peptide of ab193467)
Lane 3 : RNA polymerase II CTD repeat YSPTSPS (phospho S2) phospho peptide
Lane 4 : RNA polymerase II CTD repeat YSPTSPS non-phospho peptide (peptide of ab193468)

Labeled using ab193467 at 1/1000 dilution (0.1 μg/ml), followed by Goat Anti-Rabbit IgG H&L (HRP) secondary antibody (ab97051) at 1/100000 dilution.

Blocking/Dilution buffer : 5% NFDM/TBST.

Exposure time : 3 minutes.

  • Carrier free

    Anti-RNA polymerase II CTD repeat YSPTSPS (phospho S5) antibody [EPR19015] - BSA and Azide free

  • 665 Alexa Fluor® 647

    Alexa Fluor® 647 Anti-RNA polymerase II CTD repeat YSPTSPS (phospho S5) antibody [EPR19015]

  • 519 Alexa Fluor® 488

    Alexa Fluor® 488 Anti-RNA polymerase II CTD repeat YSPTSPS (phospho S5) antibody [EPR19015]

  • 660 APC

    APC Anti-RNA polymerase II CTD repeat YSPTSPS (phospho S5) antibody [EPR19015]

  • 617 Alexa Fluor® 594

    Alexa Fluor® 594 Anti-RNA polymerase II CTD repeat YSPTSPS (phospho S5) antibody [EPR19015]

  • 565 Alexa Fluor® 555

    Alexa Fluor® 555 Anti-RNA polymerase II CTD repeat YSPTSPS (phospho S5) antibody [EPR19015]

  • 775 Alexa Fluor® 750

    Alexa Fluor® 750 Anti-RNA polymerase II CTD repeat YSPTSPS (phospho S5) antibody [EPR19015]

Key facts

Host species

Rabbit

Clonality

Monoclonal

Clone number

EPR19015

Isotype

IgG

Carrier free

No

Reacts with

Mouse, Rat, Human

Applications

IHC-P, IP, Flow Cyt (Intra), Dot, WB, ICC/IF

applications

Immunogen

The exact immunogen used to generate this antibody is proprietary information.

Reactivity data

{ "title": "Reactivity Data", "filters": { "stats": ["", "Species", "Dilution Info", "Notes"], "tabs": { "all-applications": {"fullname" : "All Applications", "shortname": "All Applications"}, "IP" : {"fullname" : "Immunoprecipitation", "shortname":"IP"}, "Dot" : {"fullname" : "Dot Blot", "shortname":"Dot"}, "WB" : {"fullname" : "Western blot", "shortname":"WB"}, "ICCIF" : {"fullname" : "Immunocytochemistry/ Immunofluorescence", "shortname":"ICC/IF"}, "FlowCytIntra" : {"fullname" : "Flow Cytometry (Intracellular)", "shortname":"Flow Cyt (Intra)"}, "IHCP" : {"fullname" : "Immunohistochemistry (Formalin/PFA-fixed paraffin-embedded sections)", "shortname":"IHC-P"} }, "product-promise": { "all": "all", "testedAndGuaranteed": "tested", "guaranteed": "expected", "predicted": "predicted", "notRecommended": "not-recommended" } }, "values": { "Human": { "IP-species-checked": "testedAndGuaranteed", "IP-species-dilution-info": "1/20", "IP-species-notes": "<p></p>", "Dot-species-checked": "guaranteed", "Dot-species-dilution-info": "", "Dot-species-notes": "", "WB-species-checked": "testedAndGuaranteed", "WB-species-dilution-info": "1/1000", "WB-species-notes": "<p></p>", "ICCIF-species-checked": "testedAndGuaranteed", "ICCIF-species-dilution-info": "1/250", "ICCIF-species-notes": "<p></p>", "FlowCytIntra-species-checked": "testedAndGuaranteed", "FlowCytIntra-species-dilution-info": "1/30", "FlowCytIntra-species-notes": "<p><a href='/en-us/products/primary-antibodies/rabbit-igg-monoclonal-epr25a-isotype-control-ab172730'>ab172730</a> - Rabbit monoclonal IgG, is suitable for use as an isotype control with this antibody.</p>", "IHCP-species-checked": "guaranteed", "IHCP-species-dilution-info": "", "IHCP-species-notes": "" }, "Mouse": { "IP-species-checked": "guaranteed", "IP-species-dilution-info": "", "IP-species-notes": "", "Dot-species-checked": "guaranteed", "Dot-species-dilution-info": "", "Dot-species-notes": "", "WB-species-checked": "testedAndGuaranteed", "WB-species-dilution-info": "1/1000", "WB-species-notes": "<p></p>", "ICCIF-species-checked": "testedAndGuaranteed", "ICCIF-species-dilution-info": "1/250", "ICCIF-species-notes": "<p></p>", "FlowCytIntra-species-checked": "guaranteed", "FlowCytIntra-species-dilution-info": "", "FlowCytIntra-species-notes": "", "IHCP-species-checked": "testedAndGuaranteed", "IHCP-species-dilution-info": "1/500", "IHCP-species-notes": "<p></p>" }, "Rat": { "IP-species-checked": "guaranteed", "IP-species-dilution-info": "", "IP-species-notes": "", "Dot-species-checked": "guaranteed", "Dot-species-dilution-info": "", "Dot-species-notes": "", "WB-species-checked": "testedAndGuaranteed", "WB-species-dilution-info": "1/1000", "WB-species-notes": "<p></p>", "ICCIF-species-checked": "testedAndGuaranteed", "ICCIF-species-dilution-info": "1/250", "ICCIF-species-notes": "<p></p>", "FlowCytIntra-species-checked": "guaranteed", "FlowCytIntra-species-dilution-info": "", "FlowCytIntra-species-notes": "", "IHCP-species-checked": "guaranteed", "IHCP-species-dilution-info": "", "IHCP-species-notes": "" }, "Synthetic peptide": { "IP-species-checked": "notRecommended", "IP-species-dilution-info": "", "IP-species-notes": "", "Dot-species-checked": "testedAndGuaranteed", "Dot-species-dilution-info": "1/1000", "Dot-species-notes": "<p></p>", "WB-species-checked": "notRecommended", "WB-species-dilution-info": "", "WB-species-notes": "", "ICCIF-species-checked": "notRecommended", "ICCIF-species-dilution-info": "", "ICCIF-species-notes": "", "FlowCytIntra-species-checked": "notRecommended", "FlowCytIntra-species-dilution-info": "", "FlowCytIntra-species-notes": "", "IHCP-species-checked": "notRecommended", "IHCP-species-dilution-info": "", "IHCP-species-notes": "" } } }

Product details

Patented technology
Our RabMAb® technology is a patented hybridoma-based technology for making rabbit monoclonal antibodies. For details on our patents, please refer to RabMAb® patents.

What are the advantages of a recombinant monoclonal antibody?
This product is a recombinant monoclonal antibody, which offers several advantages including:

  • - High batch-to-batch consistency and reproducibility
  • - Improved sensitivity and specificity
  • - Long-term security of supply
  • - Animal-free batch production

For more information, read more on recombinant antibodies.

Properties and storage information

Form
Liquid
Purification technique
Affinity purification Protein A
Storage buffer
pH: 7.2 - 7.4 Preservative: 0.01% Sodium azide Constituents: PBS, 40% Glycerol (glycerin, glycerine), 0.05% BSA
Shipped at conditions
Blue Ice
Appropriate short-term storage duration
1-2 weeks
Appropriate short-term storage conditions
+4°C
Appropriate long-term storage conditions
-20°C
Aliquoting information
Upon delivery aliquot
Storage information
Avoid freeze / thaw cycle

Supplementary information

This supplementary information is collated from multiple sources and compiled automatically.

RNA polymerase II CTD repeat YSPTSPS also known as the C-terminal domain of RNA polymerase II is a critical component of the RNA polymerase II enzyme commonly referred to as pol II. This domain is characterized by the repetitive sequence YSPTSPS which plays a significant role in the regulation of transcription. The mass of RNA polymerase II including its CTD varies but is essential for its function in gene expression. RNA polymerase II with the CTD is expressed in the nucleus of eukaryotic cells where it orchestrates the transcription of DNA into mRNA.
Biological function summary

RNA polymerase II CTD repeat YSPTSPS is essential for the transcription progression from initiation to termination. It is part of the large RNA polymerase II complex interacting with various transcription factors and enzymes necessary for RNA processing. The phosphorylation state of the CTD particularly on serine residues regulates interactions with splicing machinery and other RNA processing factors. This modulation ensures the coupling between transcription and RNA processing events controlling mRNA synthesis and maturation.

Pathways

RNA polymerase II CTD repeat YSPTSPS is important in the mRNA synthesis pathway specifically in transcriptional regulation and processing of nascent RNA transcripts. It interacts with proteins such as the transcription factors TFIIH and TFIIB which aid in promoter recognition and open complex formation. The CTD's dynamic phosphorylation pattern allows integration into multiple cellular pathways most importantly connecting transcription with RNA splicing and transport pathways.

Abnormal function or mutations in RNA polymerase II CTD repeat YSPTSPS associate with diseases such as transcription-related syndromes and certain cancers. Deficient CTD phosphorylation can lead to improper mRNA processing resulting in neural developmental disorders. Additionally its interaction with proteins like CDK7 which phosphorylates the CTD links it to tumors where transcriptional dysregulation is a hallmark. Understanding the CTD's role in these diseases provides insight into therapeutic targets and strategies for intervention.

Product protocols

For this product, it's our understanding that no specific protocols are required. You can visit:

Target data

DNA-dependent RNA polymerase catalyzes the transcription of DNA into RNA using the four ribonucleoside triphosphates as substrates. Largest and catalytic component of RNA polymerase II which synthesizes mRNA precursors and many functional non-coding RNAs. Forms the polymerase active center together with the second largest subunit. Pol II is the central component of the basal RNA polymerase II transcription machinery. During a transcription cycle, Pol II, general transcription factors and the Mediator complex assemble as the preinitiation complex (PIC) at the promoter. 11-15 base pairs of DNA surrounding the transcription start site are melted and the single-stranded DNA template strand of the promoter is positioned deeply within the central active site cleft of Pol II to form the open complex. After synthesis of about 30 bases of RNA, Pol II releases its contacts with the core promoter and the rest of the transcription machinery (promoter clearance) and enters the stage of transcription elongation in which it moves on the template as the transcript elongates. Pol II appears to oscillate between inactive and active conformations at each step of nucleotide addition. Elongation is influenced by the phosphorylation status of the C-terminal domain (CTD) of Pol II largest subunit (RPB1), which serves as a platform for assembly of factors that regulate transcription initiation, elongation, termination and mRNA processing. Pol II is composed of mobile elements that move relative to each other. The core element with the central large cleft comprises RPB3, RBP10, RPB11, RPB12 and regions of RPB1 and RPB2 forming the active center. The clamp element (portions of RPB1, RPB2 and RPB3) is connected to the core through a set of flexible switches and moves to open and close the cleft. A bridging helix emanates from RPB1 and crosses the cleft near the catalytic site and is thought to promote translocation of Pol II by acting as a ratchet that moves the RNA-DNA hybrid through the active site by switching from straight to bent conformations at each step of nucleotide addition. In elongating Pol II, the lid loop (RPB1) appears to act as a wedge to drive apart the DNA and RNA strands at the upstream end of the transcription bubble and guide the RNA strand toward the RNA exit groove located near the base of the largely unstructured CTD domain of RPB1. The rudder loop (RPB1) interacts with single-stranded DNA after separation from the RNA strand, likely preventing reassociation with the exiting RNA. The cleft is surrounded by jaws : an upper jaw formed by portions of RBP1, RPB2 and RPB9, and a lower jaw, formed by RPB5 and portions of RBP1. The jaws are thought to grab the incoming DNA template, mainly by RPB5 direct contacts to DNA.
See full target information RPO21 phospho S5

Publications (9)

Recent publications for all applications. Explore the full list and refine your search

Nature genetics : PubMed40825871

2025

Tracing the evolution of single-cell 3D genomes in Kras-driven cancers.

Applications

Unspecified application

Species

Unspecified reactive species

Miao Liu,Shengyan Jin,Sherry S Agabiti,Tyler B Jensen,Tianqi Yang,Jonathan S D Radda,Christian F Ruiz,Gabriel Baldissera,Moein Rajaei,Fang-Yong Li,Jeffrey P Townsend,Mandar Deepak Muzumdar,Siyuan Wang

Advanced science (Weinheim, Baden-Wurttemberg, Germany) 11:e2402412 PubMed38958533

2024

HSF5 Deficiency Causes Male Infertility Involving Spermatogenic Arrest at Meiotic Prophase I in Humans and Mice.

Applications

Unspecified application

Species

Unspecified reactive species

Mohan Liu,Lingbo Wang,Yifei Li,Erlei Zhi,Gan Shen,Xiaohui Jiang,Dingming Li,Xinya Zhao,Tiechao Ruan,Chuan Jiang,Xiang Wang,Xueguang Zhang,Yanjiang Zheng,Bangguo Wu,Ningjing Ou,Guicheng Zhao,Siyu Dai,Ruixi Zhou,Li Yang,Yihong Yang,Hanmin Liu,Ying Shen

The EMBO journal 43:3044-3071 PubMed38858601

2024

MCM8 interacts with DDX5 to promote R-loop resolution.

Applications

Unspecified application

Species

Unspecified reactive species

Canxin Wen,Lili Cao,Shuhan Wang,Weiwei Xu,Yongze Yu,Simin Zhao,Fan Yang,Zi-Jiang Chen,Shidou Zhao,Yajuan Yang,Yingying Qin

Nature communications 14:4275 PubMed37460529

2023

Maternal TDP-43 interacts with RNA Pol II and regulates zygotic genome activation.

Applications

Unspecified application

Species

Unspecified reactive species

Xiaoqing Nie,Qianhua Xu,Chengpeng Xu,Fengling Chen,Qizhi Wang,Dandan Qin,Rui Wang,Zheng Gao,Xukun Lu,Xinai Yang,Yu Wu,Chen Gu,Wei Xie,Lei Li

British journal of cancer 128:2326-2337 PubMed37076563

2023

The CDK7 inhibitor CT7001 (Samuraciclib) targets proliferation pathways to inhibit advanced prostate cancer.

Applications

Unspecified application

Species

Unspecified reactive species

Theodora A Constantin,Anabel Varela-Carver,Kyle K Greenland,Gilberto Serrano de Almeida,Ellen Olden,Lucy Penfold,Simon Ang,Alice Ormrod,Damien A Leach,Chun-Fui Lai,Edward K Ainscow,Ash K Bahl,David Carling,Matthew J Fuchter,Simak Ali,Charlotte L Bevan

Nucleic acids research 50:12754-12767 PubMed36453990

2022

Transcription elongator SPT6L regulates the occupancies of the SWI2/SNF2 chromatin remodelers SYD/BRM and nucleosomes at transcription start sites in Arabidopsis.

Applications

Unspecified application

Species

Unspecified reactive species

Jie Shu,Ning Ding,Jun Liu,Yuhai Cui,Chen Chen

The EMBO journal 42:e110937 PubMed36382717

2022

Anti-hsa-miR-59 alleviates premature senescence associated with Hutchinson-Gilford progeria syndrome in mice.

Applications

Unspecified application

Species

Unspecified reactive species

Qianying Hu,Na Zhang,Tingting Sui,Guanlin Li,Zhiyao Wang,Mingyue Liu,Xiaojuan Zhu,Baiqu Huang,Jun Lu,Zhanjun Li,Yu Zhang

Nucleic acids research 47:8239-8254 PubMed31216022

2019

XAB2 depletion induces intron retention in POLR2A to impair global transcription and promote cellular senescence.

Applications

Unspecified application

Species

Unspecified reactive species

Shuai Hou,Dajun Qu,Yue Li,Baohui Zhu,Dapeng Liang,Xinyue Wei,Wei Tang,Qian Zhang,Jiaojiao Hao,Wei Guo,Weijie Wang,Siqi Zhao,Qi Wang,Sikandar Azam,Misbah Khan,Haidong Zhao,Liye Zhang,Haixin Lei

Frontiers in molecular neuroscience 10:365 PubMed29163040

2017

Cdk7 Is Required for Activity-Dependent Neuronal Gene Expression, Long-Lasting Synaptic Plasticity and Long-Term Memory.

Applications

Unspecified application

Species

Unspecified reactive species

Guiqin He,Xiangyu Yang,Guo Wang,Junxia Qi,Rui Mao,Zhengping Wu,Zikai Zhou
View all publications

Product promise

We are committed to supporting your work with high-quality reagents, and we're here for you every step of the way. In the unlikely event that one of our products does not perform as expected, you're protected by our Product Promise.
For full details, please see our Terms & Conditions

Please note: All products are 'FOR RESEARCH USE ONLY. NOT FOR USE IN DIAGNOSTIC OR THERAPEUTIC PROCEDURES'.

For licensing inquiries, please contact partnerships@abcam.com