JavaScript is disabled in your browser. Please enable JavaScript to view this website.
AB238449

Anti-RNA polymerase II CTD repeat YSPTSPS (phospho S5) antibody [EPR19015] - BSA and Azide free

Be the first to review this product! Submit a review

|

(1 Publication)

Rabbit Recombinant Monoclonal RNA polymerase II RPB1 phospho S5 antibody. Carrier free. Suitable for IP, Dot, WB, ICC/IF, Flow Cyt (Intra), IHC-P and reacts with Human, Rat, Mouse, Synthetic peptide samples. Cited in 1 publication.

View Alternative Names

RPB1, RPB220, SUA8, YDL140C, D2150, RPO21, DNA-directed RNA polymerase II subunit RPB1, RNA polymerase II subunit 1, RNA polymerase II subunit B1, DNA-directed RNA polymerase III largest subunit, RNA polymerase II subunit B220

9 Images
Flow Cytometry (Intracellular) - Anti-RNA polymerase II CTD repeat YSPTSPS (phospho S5) antibody [EPR19015] - BSA and Azide free (AB238449)
  • Flow Cyt (Intra)

Supplier Data

Flow Cytometry (Intracellular) - Anti-RNA polymerase II CTD repeat YSPTSPS (phospho S5) antibody [EPR19015] - BSA and Azide free (AB238449)

Intracellular flow cytometric analysis of 4% paraformaldehyde-fixed HeLa (Human epithelial cell line from cervix adenocarcinoma) cells labeling RNA polymerase II CTD repeat YSPTSPS (phospho S5) with ab193467 at 1/30 dilution (red) compared with a rabbit monoclonal IgG isotype control (ab172730; black) and an unlabelled control (cells without incubation with primary antibody and secondary antibody; blue). Goat anti rabbit IgG (FITC) at 1/500 dilution was used as the secondary antibody.

This data was developed using the same antibody clone in a different buffer formulation containing PBS, BSA, glycerol, and sodium azide (ab193467).

Immunocytochemistry/ Immunofluorescence - Anti-RNA polymerase II CTD repeat YSPTSPS (phospho S5) antibody [EPR19015] - BSA and Azide free (AB238449)
  • ICC/IF

Supplier Data

Immunocytochemistry/ Immunofluorescence - Anti-RNA polymerase II CTD repeat YSPTSPS (phospho S5) antibody [EPR19015] - BSA and Azide free (AB238449)

Immunofluorescent analysis of 4% paraformaldehyde-fixed, 0.1% Triton X-100 permeabilized HeLa (Human epithelial cell line from cervix adenocarcinoma) cells labeling RNA polymerase II CTD repeat YSPTSPS (phospho S5) with ab193467 at 1/250 dilution, followed by Goat Anti-Rabbit IgG H&L (Alexa Fluor® 488) (ab150077) secondary antibody at 1/1000 dilution (green).

Confocal image showing nuclear staining on HeLa cell line. The expression decreased after treatment with Lambda Phosphatase 31? for 5 h.

The nuclear counter stain is DAPI (blue). Tubulin is detected with Anti-alpha Tubulin mouse MAb (ab7291) at 1/1000 dilution, followed by Goat Anti-Mouse IgG H&L (Alexa Fluor® 594) (ab150120) secondary antibody at 1/1000 dilution (red).

The negative controls are as follows :
-ve control 1 : ab193467 at 1/250 dilution, followed by Goat Anti-Mouse IgG H&L (Alexa Fluor® 594) (ab150120) secondary antibody at 1/1000 dilution.
-ve control 2 : Anti-alpha Tubulin mouse MAb (ab7291) at 1/1000 dilution followed by Goat Anti-Rabbit IgG H&L (Alexa Fluor® 488) (ab150077) secondary antibody at 1/1000 dilution.

This data was developed using the same antibody clone in a different buffer formulation containing PBS, BSA, glycerol, and sodium azide (ab193467).

Immunoprecipitation - Anti-RNA polymerase II CTD repeat YSPTSPS (phospho S5) antibody [EPR19015] - BSA and Azide free (AB238449)
  • IP

Supplier Data

Immunoprecipitation - Anti-RNA polymerase II CTD repeat YSPTSPS (phospho S5) antibody [EPR19015] - BSA and Azide free (AB238449)

RNA polymerase II CTD repeat YSPTSPS (phospho S5) was immunoprecipitated from 1mg of HeLa (Human epithelial cell line from cervix adenocarcinoma) whole cell lysate with ab193467 at 1/20 dilution. Western blot was performed from the immunoprecipitate using ab193467 at 1/1000 dilution. VeriBlot for IP Detection Reagent (HRP) (ab131366), was used for detection at 1/10000 dilution.
Lane 1 : HeLa whole cell lysate 10μg (Input).
Lane 2 : ab193467 IP in HeLa whole cell lysate.
Lane 3 : Rabbit monoclonal IgG (ab172730) instead of ab193467 in HeLa whole cell lysate.
Blocking and dilution buffer and concentration : 5% NFDM/TBST.
Exposure time : 5 seconds.

This data was developed using the same antibody clone in a different buffer formulation containing PBS, BSA, glycerol, and sodium azide (ab193467).

All lanes:

Immunoprecipitation - Anti-RNA polymerase II CTD repeat YSPTSPS (phospho S5) antibody [EPR19015] (<a href='/en-us/products/primary-antibodies/rna-polymerase-ii-ctd-repeat-ysptsps-phospho-s5-antibody-epr19015-ab193467'>ab193467</a>)

Predicted band size: 217 kDa

false

Exposure time: 5s

Immunohistochemistry (Formalin/PFA-fixed paraffin-embedded sections) - Anti-RNA polymerase II CTD repeat YSPTSPS (phospho S5) antibody [EPR19015] - BSA and Azide free (AB238449)
  • IHC-P

Supplier Data

Immunohistochemistry (Formalin/PFA-fixed paraffin-embedded sections) - Anti-RNA polymerase II CTD repeat YSPTSPS (phospho S5) antibody [EPR19015] - BSA and Azide free (AB238449)

Immunohistochemical analysis of paraffin-embedded mouse spleen tissue labeling RNA polymerase II CTD repeat YSPTSPS (phospho S5) with ab193467 at 1/500 dilution, followed by Goat Anti-Rabbit IgG H&L (HRP) (ab97051) at 1/500 dilution. Nuclear staining on lymphocytes of mouse spleen is observed. Counter stained with Hematoxylin.

Secondary antibody only control : Used PBS instead of primary antibody, secondary antibody is Goat Anti-Rabbit IgG H&L (HRP) (ab97051) at 1/500 dilution.

This data was developed using the same antibody clone in a different buffer formulation containing PBS, BSA, glycerol, and sodium azide (ab193467).

Perform heat mediated antigen retrieval with Tris/EDTA buffer pH 9.0 before commencing with IHC staining protocol.

Immunocytochemistry/ Immunofluorescence - Anti-RNA polymerase II CTD repeat YSPTSPS (phospho S5) antibody [EPR19015] - BSA and Azide free (AB238449)
  • ICC/IF

Supplier Data

Immunocytochemistry/ Immunofluorescence - Anti-RNA polymerase II CTD repeat YSPTSPS (phospho S5) antibody [EPR19015] - BSA and Azide free (AB238449)

Immunofluorescent analysis of 4% paraformaldehyde-fixed, 0.1% Triton X-100 permeabilized RAW 264.7 (Mouse macrophage cell line transformed with Abelson murine leukemia virus) cells labeling RNA polymerase II CTD repeat YSPTSPS (phospho S5) with ab193467 at 1/250 dilution, followed by Goat Anti-Rabbit IgG H&L (Alexa Fluor® 488) (ab150077) secondary antibody at 1/1000 dilution (green).

Confocal image showing nuclear staining on RAW 264.7 cell line. The expression decreased after treatment with Lambda Phosphatase 31°C for 5 h.

The nuclear counter stain is DAPI (blue). Tubulin is detected with Anti-alpha Tubulin mouse MAb (ab7291) at 1/1000 dilution, followed by Goat Anti-Mouse IgG H&L (Alexa Fluor® 594) (ab150120) secondary antibody at 1/1000 dilution (red).

The negative controls are as follows :
-ve control 1 : ab193467 at 1/250 dilution, followed by Goat Anti-Mouse IgG H&L (Alexa Fluor® 594) (ab150120) secondary antibody at 1/1000 dilution.
-ve control 2 : Anti-alpha Tubulin mouse MAb (ab7291) at 1/1000 dilution followed by Goat Anti-Rabbit IgG H&L (Alexa Fluor® 488) (ab150077) secondary antibody at 1/1000 dilution.

The negative controls are as follows :
-ve control 1 : ab193467 at 1/250 dilution followed by ab150120 (AlexaFluor®594 Goat anti-Mouse secondary) at 1/1000 dilution.
-ve control 2 : ab7291 (anti-Tubulin mouse mAb) at 1/1000 dilution followed by ab150077 (Alexa Fluor®488 Goat Anti-Rabbit IgG H&L) at 1/1000 dilution.

This data was developed using the same antibody clone in a different buffer formulation containing PBS, BSA, glycerol, and sodium azide (ab193467).

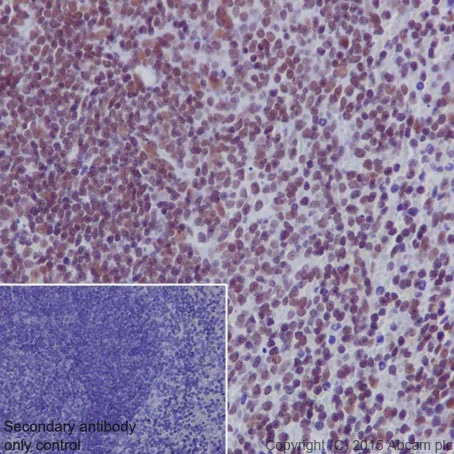
Immunohistochemistry (Formalin/PFA-fixed paraffin-embedded sections) - Anti-RNA polymerase II CTD repeat YSPTSPS (phospho S5) antibody [EPR19015] - BSA and Azide free (AB238449)
  • IHC-P

Supplier Data

Immunohistochemistry (Formalin/PFA-fixed paraffin-embedded sections) - Anti-RNA polymerase II CTD repeat YSPTSPS (phospho S5) antibody [EPR19015] - BSA and Azide free (AB238449)

Immunohistochemical analysis of paraffin-embedded mouse kidney tissue labeling RNA polymerase II CTD repeat YSPTSPS (phospho S5) with ab193467 at 1/500 dilution, followed by Goat Anti-Rabbit IgG H&L (HRP) (ab97051) at 1/500 dilution. Nuclear staining on epithelial cells of mouse kidney is observed. Counter stained with Hematoxylin.

Secondary antibody only control : Used PBS instead of primary antibody, secondary antibody is Goat Anti-Rabbit IgG H&L (HRP) (ab97051) at 1/500 dilution.

This data was developed using the same antibody clone in a different buffer formulation containing PBS, BSA, glycerol and sodium azide (ab193467).

Perform heat mediated antigen retrieval with Tris/EDTA buffer pH 9.0 before commencing with IHC staining protocol.

Immunocytochemistry/ Immunofluorescence - Anti-RNA polymerase II CTD repeat YSPTSPS (phospho S5) antibody [EPR19015] - BSA and Azide free (AB238449)
  • ICC/IF

Supplier Data

Immunocytochemistry/ Immunofluorescence - Anti-RNA polymerase II CTD repeat YSPTSPS (phospho S5) antibody [EPR19015] - BSA and Azide free (AB238449)

Immunofluorescent analysis of 4% paraformaldehyde-fixed, 0.1% Triton X-100 permeabilized PC-12 (Rat adrenal gland pheochromocytoma cell line) cells labeling RNA polymerase II CTD repeat YSPTSPS (phospho S5) with ab193467 at 1/250 dilution, followed by Goat Anti-Rabbit IgG H&L (Alexa Fluor® 488) (ab150077) secondary antibody at 1/1000 dilution (green).

Confocal image showing nuclear staining on PC-12 cell line. The expression decreased after treatment with Lambda Phosphatase at 31? for 5 h.

The nuclear counter stain is DAPI (blue). Tubulin is detected with Anti-alpha Tubulin mouse MAb (ab7291) at 1/1000 dilution, followed by Goat Anti-Mouse IgG H&L (Alexa Fluor® 594) (ab150120) secondary antibody at 1/1000 dilution (red).

The negative controls are as follows :
-ve control 1 : ab193467 at 1/250 dilution, followed by Goat Anti-Mouse IgG H&L (Alexa Fluor® 594) (ab150120) secondary antibody at 1/1000 dilution.
-ve control 2 : Anti-alpha Tubulin mouse MAb (ab7291) at 1/1000 dilution followed by Goat Anti-Rabbit IgG H&L (Alexa Fluor® 488) (ab150077) secondary antibody at 1/1000 dilution.

This data was developed using the same antibody clone in a different buffer formulation containing PBS, BSA, glycerol, and sodium azide (ab193467).

Dot Blot - Anti-RNA polymerase II CTD repeat YSPTSPS (phospho S5) antibody [EPR19015] - BSA and Azide free (AB238449)
  • Dot

Supplier Data

Dot Blot - Anti-RNA polymerase II CTD repeat YSPTSPS (phospho S5) antibody [EPR19015] - BSA and Azide free (AB238449)

Dot blot analysis of RNA polymerase II CTD repeat YSPTSPS (phospho S5) phospho peptide (Lane 1) and RNA polymerase II CTD repeat YSPTSPS non-phospho peptide (Lane 2) labeled using ab193467 at 1/1000 dilution, followed by Goat Anti-Rabbit IgG H&L (HRP) secondary antibody (ab97051) at 1/1000 dilution.

Blocking/Dilution buffer : 5% NFDM/TBST.

Exposure time : 3 minutes.

This data was developed using the same antibody clone in a different buffer formulation containing PBS, BSA, glycerol, and sodium azide (ab193467).

Dot Blot - Anti-RNA polymerase II CTD repeat YSPTSPS (phospho S5) antibody [EPR19015] - BSA and Azide free (AB238449)
  • Dot

Lab

Dot Blot - Anti-RNA polymerase II CTD repeat YSPTSPS (phospho S5) antibody [EPR19015] - BSA and Azide free (AB238449)

Lane 1 : RNA polymerase II CTD repeat YSPTSPS (phospho S5) phospho peptide
Lane 2 : RNA polymerase II CTD repeat YSPTSPS non-phospho peptide (peptide of ab193467)
Lane 3 : RNA polymerase II CTD repeat YSPTSPS (phospho S2) phospho peptide
Lane 4 : RNA polymerase II CTD repeat YSPTSPS non-phospho peptide (peptide of ab193468)

Labeled using ab193467 at 1/1000 dilution (0.1 µg/ml), followed by Goat Anti-Rabbit IgG H&L (HRP) secondary antibody (ab97051) at 1/100000 dilution.

Blocking/Dilution buffer : 5% NFDM/TBST.

Exposure time : 3 minutes.

This data was developed using the same antibody clone in a different buffer formulation containing PBS, BSA, glycerol, and sodium azide (ab193467).

  • Unconjugated

    Anti-RNA polymerase II CTD repeat YSPTSPS (phospho S5) antibody [EPR19015]

  • 617 Alexa Fluor® 594

    Alexa Fluor® 594 Anti-RNA polymerase II CTD repeat YSPTSPS (phospho S5) antibody [EPR19015]

  • 565 Alexa Fluor® 555

    Alexa Fluor® 555 Anti-RNA polymerase II CTD repeat YSPTSPS (phospho S5) antibody [EPR19015]

  • 660 APC

    APC Anti-RNA polymerase II CTD repeat YSPTSPS (phospho S5) antibody [EPR19015]

  • 775 Alexa Fluor® 750

    Alexa Fluor® 750 Anti-RNA polymerase II CTD repeat YSPTSPS (phospho S5) antibody [EPR19015]

  • 519 Alexa Fluor® 488

    Alexa Fluor® 488 Anti-RNA polymerase II CTD repeat YSPTSPS (phospho S5) antibody [EPR19015]

  • 665 Alexa Fluor® 647

    Alexa Fluor® 647 Anti-RNA polymerase II CTD repeat YSPTSPS (phospho S5) antibody [EPR19015]

Key facts

Host species

Rabbit

Clonality

Monoclonal

Clone number

EPR19015

Isotype

IgG

Carrier free

Yes

Reacts with

Mouse, Rat, Human

Applications

Dot, Flow Cyt (Intra), ICC/IF, IP, WB, IHC-P

applications

Immunogen

The exact immunogen used to generate this antibody is proprietary information.

Reactivity data

{ "title": "Reactivity Data", "filters": { "stats": ["", "Species", "Dilution Info", "Notes"], "tabs": { "all-applications": {"fullname" : "All Applications", "shortname": "All Applications"}, "IP" : {"fullname" : "Immunoprecipitation", "shortname":"IP"}, "Dot" : {"fullname" : "Dot Blot", "shortname":"Dot"}, "WB" : {"fullname" : "Western blot", "shortname":"WB"}, "ICCIF" : {"fullname" : "Immunocytochemistry/ Immunofluorescence", "shortname":"ICC/IF"}, "FlowCytIntra" : {"fullname" : "Flow Cytometry (Intracellular)", "shortname":"Flow Cyt (Intra)"}, "IHCP" : {"fullname" : "Immunohistochemistry (Formalin/PFA-fixed paraffin-embedded sections)", "shortname":"IHC-P"} }, "product-promise": { "all": "all", "testedAndGuaranteed": "tested", "guaranteed": "expected", "predicted": "predicted", "notRecommended": "not-recommended" } }, "values": { "Human": { "IP-species-checked": "testedAndGuaranteed", "IP-species-dilution-info": "", "IP-species-notes": "<p></p>", "Dot-species-checked": "guaranteed", "Dot-species-dilution-info": "", "Dot-species-notes": "", "WB-species-checked": "guaranteed", "WB-species-dilution-info": "", "WB-species-notes": "<p></p>", "ICCIF-species-checked": "guaranteed", "ICCIF-species-dilution-info": "", "ICCIF-species-notes": "", "FlowCytIntra-species-checked": "testedAndGuaranteed", "FlowCytIntra-species-dilution-info": "", "FlowCytIntra-species-notes": "<p></p>", "IHCP-species-checked": "guaranteed", "IHCP-species-dilution-info": "", "IHCP-species-notes": "" }, "Mouse": { "IP-species-checked": "guaranteed", "IP-species-dilution-info": "", "IP-species-notes": "", "Dot-species-checked": "guaranteed", "Dot-species-dilution-info": "", "Dot-species-notes": "", "WB-species-checked": "guaranteed", "WB-species-dilution-info": "", "WB-species-notes": "<p></p>", "ICCIF-species-checked": "guaranteed", "ICCIF-species-dilution-info": "", "ICCIF-species-notes": "", "FlowCytIntra-species-checked": "guaranteed", "FlowCytIntra-species-dilution-info": "", "FlowCytIntra-species-notes": "", "IHCP-species-checked": "testedAndGuaranteed", "IHCP-species-dilution-info": "", "IHCP-species-notes": "<p></p>" }, "Rat": { "IP-species-checked": "guaranteed", "IP-species-dilution-info": "", "IP-species-notes": "", "Dot-species-checked": "guaranteed", "Dot-species-dilution-info": "", "Dot-species-notes": "", "WB-species-checked": "guaranteed", "WB-species-dilution-info": "", "WB-species-notes": "<p></p>", "ICCIF-species-checked": "testedAndGuaranteed", "ICCIF-species-dilution-info": "", "ICCIF-species-notes": "<p></p>", "FlowCytIntra-species-checked": "guaranteed", "FlowCytIntra-species-dilution-info": "", "FlowCytIntra-species-notes": "", "IHCP-species-checked": "guaranteed", "IHCP-species-dilution-info": "", "IHCP-species-notes": "" }, "Synthetic peptide": { "IP-species-checked": "notRecommended", "IP-species-dilution-info": "", "IP-species-notes": "", "Dot-species-checked": "testedAndGuaranteed", "Dot-species-dilution-info": "", "Dot-species-notes": "<p></p>", "WB-species-checked": "notRecommended", "WB-species-dilution-info": "", "WB-species-notes": "", "ICCIF-species-checked": "notRecommended", "ICCIF-species-dilution-info": "", "ICCIF-species-notes": "", "FlowCytIntra-species-checked": "notRecommended", "FlowCytIntra-species-dilution-info": "", "FlowCytIntra-species-notes": "", "IHCP-species-checked": "notRecommended", "IHCP-species-dilution-info": "", "IHCP-species-notes": "" } } }

Product details

ab238449 is the carrier-free version of ab193467.

Patented technology
Our RabMAb® technology is a patented hybridoma-based technology for making rabbit monoclonal antibodies. For details on our patents, please refer to RabMAb® patents.

What are the advantages of a recombinant monoclonal antibody?
This product is a recombinant monoclonal antibody, which offers several advantages including:

  • - High batch-to-batch consistency and reproducibility
  • - Improved sensitivity and specificity
  • - Long-term security of supply
  • - Animal-free batch production

For more information, read more on recombinant antibodies.

Conjugation ready
Our carrier-free antibodies are typically supplied in a PBS-only formulation, purified and free of BSA, sodium azide and glycerol. This conjugation-ready format is designed for use with fluorochromes, metal isotopes, oligonucleotides, and enzymes, which makes them ideal for antibody labelling, functional and cell-based assays, flow-based assays (e.g. mass cytometry) and Multiplex Imaging applications.

Use our conjugation kits for antibody conjugates that are ready-to-use in as little as 20 minutes with 1 minute hands-on-time and 100% antibody recovery: available for fluorescent dyes, HRP, biotin and gold.

Compatibility
This product is compatible with the Maxpar® Antibody Labeling Kit from Fluidigm, without the need for antibody preparation. Maxpar® is a trademark of Fluidigm Canada Inc.

Properties and storage information

Form
Liquid
Purification technique
Affinity purification Protein A
Storage buffer
pH: 7.2 - 7.4 Constituents: PBS
Shipped at conditions
Blue Ice
Appropriate short-term storage conditions
+4°C
Appropriate long-term storage conditions
+4°C
Storage information
Do Not Freeze

Supplementary information

This supplementary information is collated from multiple sources and compiled automatically.

RNA polymerase II CTD repeat YSPTSPS also known as the C-terminal domain of RNA polymerase II is a critical component of the RNA polymerase II enzyme commonly referred to as pol II. This domain is characterized by the repetitive sequence YSPTSPS which plays a significant role in the regulation of transcription. The mass of RNA polymerase II including its CTD varies but is essential for its function in gene expression. RNA polymerase II with the CTD is expressed in the nucleus of eukaryotic cells where it orchestrates the transcription of DNA into mRNA.
Biological function summary

RNA polymerase II CTD repeat YSPTSPS is essential for the transcription progression from initiation to termination. It is part of the large RNA polymerase II complex interacting with various transcription factors and enzymes necessary for RNA processing. The phosphorylation state of the CTD particularly on serine residues regulates interactions with splicing machinery and other RNA processing factors. This modulation ensures the coupling between transcription and RNA processing events controlling mRNA synthesis and maturation.

Pathways

RNA polymerase II CTD repeat YSPTSPS is important in the mRNA synthesis pathway specifically in transcriptional regulation and processing of nascent RNA transcripts. It interacts with proteins such as the transcription factors TFIIH and TFIIB which aid in promoter recognition and open complex formation. The CTD's dynamic phosphorylation pattern allows integration into multiple cellular pathways most importantly connecting transcription with RNA splicing and transport pathways.

Abnormal function or mutations in RNA polymerase II CTD repeat YSPTSPS associate with diseases such as transcription-related syndromes and certain cancers. Deficient CTD phosphorylation can lead to improper mRNA processing resulting in neural developmental disorders. Additionally its interaction with proteins like CDK7 which phosphorylates the CTD links it to tumors where transcriptional dysregulation is a hallmark. Understanding the CTD's role in these diseases provides insight into therapeutic targets and strategies for intervention.

Product protocols

For this product, it's our understanding that no specific protocols are required. You can visit:

Target data

DNA-dependent RNA polymerase catalyzes the transcription of DNA into RNA using the four ribonucleoside triphosphates as substrates. Largest and catalytic component of RNA polymerase II which synthesizes mRNA precursors and many functional non-coding RNAs. Forms the polymerase active center together with the second largest subunit. Pol II is the central component of the basal RNA polymerase II transcription machinery. During a transcription cycle, Pol II, general transcription factors and the Mediator complex assemble as the preinitiation complex (PIC) at the promoter. 11-15 base pairs of DNA surrounding the transcription start site are melted and the single-stranded DNA template strand of the promoter is positioned deeply within the central active site cleft of Pol II to form the open complex. After synthesis of about 30 bases of RNA, Pol II releases its contacts with the core promoter and the rest of the transcription machinery (promoter clearance) and enters the stage of transcription elongation in which it moves on the template as the transcript elongates. Pol II appears to oscillate between inactive and active conformations at each step of nucleotide addition. Elongation is influenced by the phosphorylation status of the C-terminal domain (CTD) of Pol II largest subunit (RPB1), which serves as a platform for assembly of factors that regulate transcription initiation, elongation, termination and mRNA processing. Pol II is composed of mobile elements that move relative to each other. The core element with the central large cleft comprises RPB3, RBP10, RPB11, RPB12 and regions of RPB1 and RPB2 forming the active center. The clamp element (portions of RPB1, RPB2 and RPB3) is connected to the core through a set of flexible switches and moves to open and close the cleft. A bridging helix emanates from RPB1 and crosses the cleft near the catalytic site and is thought to promote translocation of Pol II by acting as a ratchet that moves the RNA-DNA hybrid through the active site by switching from straight to bent conformations at each step of nucleotide addition. In elongating Pol II, the lid loop (RPB1) appears to act as a wedge to drive apart the DNA and RNA strands at the upstream end of the transcription bubble and guide the RNA strand toward the RNA exit groove located near the base of the largely unstructured CTD domain of RPB1. The rudder loop (RPB1) interacts with single-stranded DNA after separation from the RNA strand, likely preventing reassociation with the exiting RNA. The cleft is surrounded by jaws : an upper jaw formed by portions of RBP1, RPB2 and RPB9, and a lower jaw, formed by RPB5 and portions of RBP1. The jaws are thought to grab the incoming DNA template, mainly by RPB5 direct contacts to DNA.
See full target information RPO21 phospho S5

Publications (1)

Recent publications for all applications. Explore the full list and refine your search

Nature communications 16:1806 PubMed39984450

2025

Targeted delivery of TGF-β mRNA to murine lung parenchyma using one-component ionizable amphiphilic Janus Dendrimers.

Applications

Unspecified application

Species

Unspecified reactive species

Jaclynn A Meshanni,Emily R Stevenson,Dapeng Zhang,Rachel Sun,Nathan A Ona,Erin K Reagan,Elena Abramova,Chang-Jiang Guo,Melissa Wilkinson,Ishana Baboo,Yuzi Yang,Liuyan Pan,Devendra S Maurya,Virgil Percec,Yongsheng Li,Andrew Gow,Drew Weissman,Elena N Atochina-Vasserman
View all publications

Product promise

We are committed to supporting your work with high-quality reagents, and we're here for you every step of the way. In the unlikely event that one of our products does not perform as expected, you're protected by our Product Promise.
For full details, please see our Terms & Conditions

Please note: All products are 'FOR RESEARCH USE ONLY. NOT FOR USE IN DIAGNOSTIC OR THERAPEUTIC PROCEDURES'.

For licensing inquiries, please contact partnerships@abcam.com