JavaScript is disabled in your browser. Please enable JavaScript to view this website.
AB317456

Anti-RNA polymerase II CTD repeat YSPTSPS (phospho S5) antibody [RM1152]

  • BOND RX™ Validated
  • 20ul selling size
  • Recombinant
  • RabMAb
  • What is this?

Be the first to review this product! Submit a review

|

(0 Publication)

Rabbit Recombinant Multiclonal RNA polymerase II RPB1 phospho S5 antibody. Suitable for Dot, WB, IHC-P, Flow Cyt (Intra), IP, ICC/IF and reacts with Synthetic peptide - Human, Human, Mouse, Rat samples.

View Alternative Names

POLR2, POLR2A, DNA-directed RNA polymerase II subunit RPB1, RNA polymerase II subunit B1, 3'-5' exoribonuclease, DNA-directed RNA polymerase II subunit A, DNA-directed RNA polymerase III largest subunit, RNA-directed RNA polymerase II subunit RPB1

18 Images
Immunocytochemistry/ Immunofluorescence - Anti-RNA polymerase II CTD repeat YSPTSPS (phospho S5) antibody [RM1152] (AB317456)
  • ICC/IF

Supplier Data

Immunocytochemistry/ Immunofluorescence - Anti-RNA polymerase II CTD repeat YSPTSPS (phospho S5) antibody [RM1152] (AB317456)

Immunofluorescent analysis of 100% methanol-fixed, 0.1% TritonX-100 permeabilized HeLa (human cervical adenocarcinoma epithelial cell) cells labelling RNA polymerase II CTD repeat YSPTSPS (phospho S5) with ab317456 at 1/500 (1.0 ug/ml) dilution, followed by ab150081 Goat Anti-Rabbit IgG H&L (Alexa Fluor® 488) preadsorbed antibody at 1/1000 2 ug/ml dilution (Green).

Confocal image showing nuclear staining in HeLa cell line (shown in green), the signal decreased after lambda protein phosphatase treatment at 37°C for 2h. The counterstain was observed in magenta. Nuclear DNA was labeled with DAPI (shown in blue). Image was taken with a confocal microscope (Leica-Microsystems, TCS SP8).

ab195889 Anti-alpha Tubulin mouse monoclonal antibody - Microtubule Marker (Alexa Fluor® 594) was used to counterstain tubulin at 1/200 2.5 ug/ml dilution (Magenta). The Nuclear counterstain was DAPI (Blue).

Secondary antibody only control : Secondary antibody is ab150081 Goat Anti-Rabbit IgG H&L (Alexa Fluor® 488) preadsorbed at 1/1000 2 ug/ml dilution.

Immunohistochemistry (Formalin/PFA-fixed paraffin-embedded sections) - Anti-RNA polymerase II CTD repeat YSPTSPS (phospho S5) antibody [RM1152] (AB317456)
  • IHC-P

Supplier Data

Immunohistochemistry (Formalin/PFA-fixed paraffin-embedded sections) - Anti-RNA polymerase II CTD repeat YSPTSPS (phospho S5) antibody [RM1152] (AB317456)

Immunohistochemical analysis of paraffin-embedded Human cerebrum tissue labeling RNA polymerase II CTD repeat YSPTSPS (phospho S5) with ab317456 at 1/5000 (0.1 ug/ml) dilution, followed by a ready to use LeicaDS9800 (Bond™ Polymer Refine Detection).

Positive staining on human cerebrum without alkaline phosphatase treatment (image A). No signal was detected when tissues were treated with alkaline phosphatase (image B). The section was incubated with ab317456 for 30 mins at room temperature.
The immunostaining was performed on a Leica Biosystems BOND® RX instrument

Counterstained with Hematoxylin.

Secondary antibody only control : Secondary antibody is a ready to use LeicaDS9800 (Bond™ Polymer Refine Detection).

Heat mediated antigen retrieval was performed with Tris-EDTA buffer (pH 9.0, Epitope Retrieval Solution2) for 20 mins

Immunohistochemistry (Formalin/PFA-fixed paraffin-embedded sections) - Anti-RNA polymerase II CTD repeat YSPTSPS (phospho S5) antibody [RM1152] (AB317456)
  • IHC-P

Supplier Data

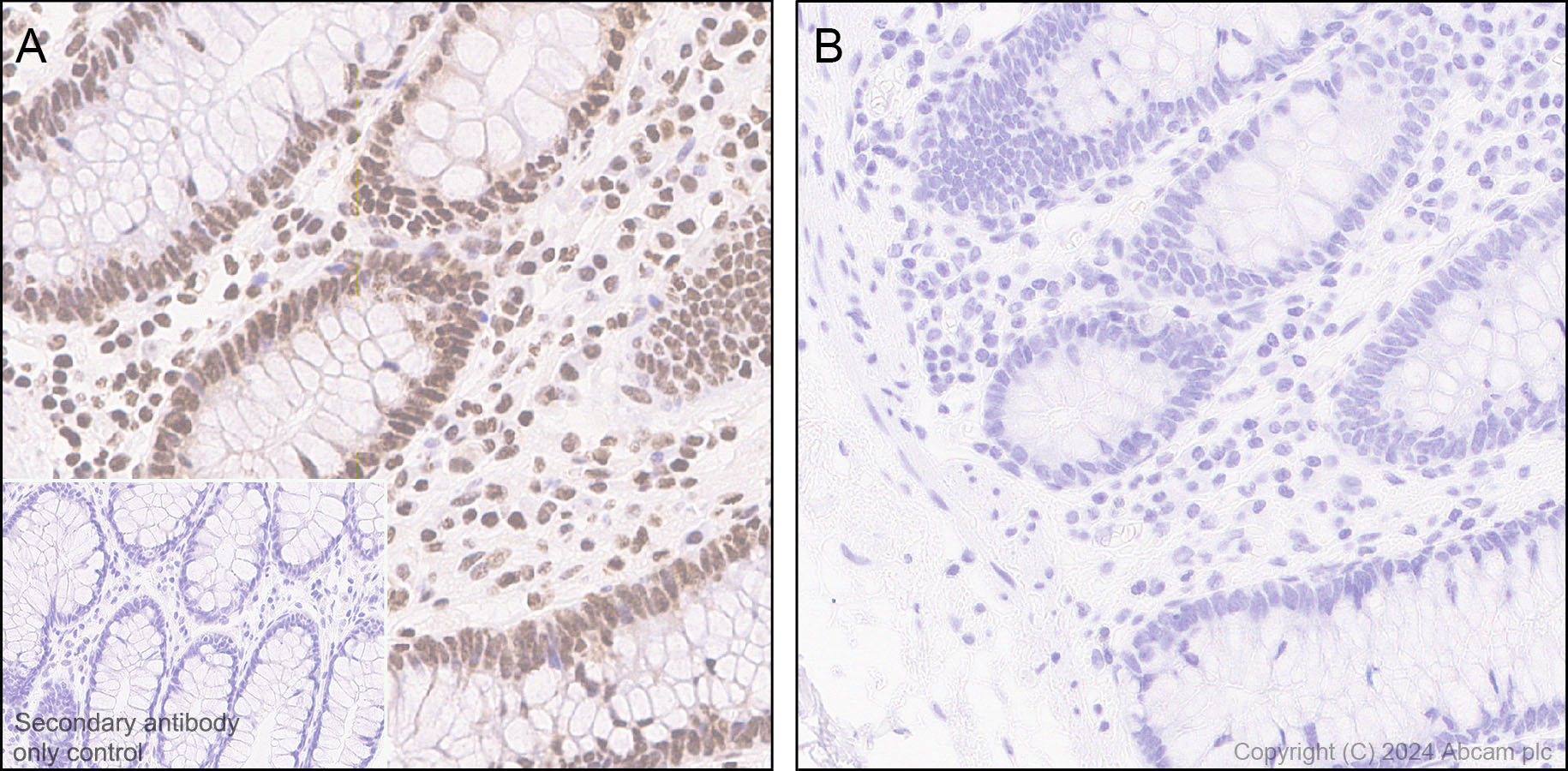
Immunohistochemistry (Formalin/PFA-fixed paraffin-embedded sections) - Anti-RNA polymerase II CTD repeat YSPTSPS (phospho S5) antibody [RM1152] (AB317456)

Immunohistochemical analysis of paraffin-embedded Human colon tissue labeling RNA polymerase II CTD repeat YSPTSPS (phospho S5) with ab317456 at 1/5000 (0.1 ug/ml) dilution, followed by a ready to use LeicaDS9800 (Bond™ Polymer Refine Detection).

Positive staining on human colon without alkaline phosphatase treatment (image A). No signal was detected when tissues were treated with alkaline phosphatase (image B). The section was incubated with ab317456 for 30 mins at room temperature.
The immunostaining was performed on a Leica Biosystems BOND® RX instrument

Counterstained with Hematoxylin.

Secondary antibody only control : Secondary antibody is a ready to use LeicaDS9800 (Bond™ Polymer Refine Detection).

Heat mediated antigen retrieval was performed with Tris-EDTA buffer (pH 9.0, Epitope Retrieval Solution2) for 20 mins

Flow Cytometry (Intracellular) - Anti-RNA polymerase II CTD repeat YSPTSPS (phospho S5) antibody [RM1152] (AB317456)
  • Flow Cyt (Intra)

Supplier Data

Flow Cytometry (Intracellular) - Anti-RNA polymerase II CTD repeat YSPTSPS (phospho S5) antibody [RM1152] (AB317456)

Flow cytometric analysis of 4% paraformaldehyde fixed 90% methanol permeabilized HeLa (human cervical adenocarcinoma epithelial cell) treated with alkaline phosphatase (Right) / Untreated HeLa (Left) cells labelling RNA polymerase II CTD repeat YSPTSPS (phospho S5) with ab317456 at 1/5000 dilution (0.1ug) (Red) (Red) compared with a Rabbit monoclonal IgG (ab172730) (Black) isotype control and an unlabelled control (cells without incubation with primary antibody and secondary antibody) (Blue).

Goat Anti-Rabbit IgG (Alexa Fluor® 488, ab150081) at 1/5000 dilution was used as the secondary antibody.

Immunoprecipitation - Anti-RNA polymerase II CTD repeat YSPTSPS (phospho S5) antibody [RM1152] (AB317456)
  • IP

Supplier Data

Immunoprecipitation - Anti-RNA polymerase II CTD repeat YSPTSPS (phospho S5) antibody [RM1152] (AB317456)

RNA polymerase II CTD repeat YSPTSPS (phospho S5) was immunoprecipitated from 0.35 mg HeLa (human cervix adenocarcinoma epithelial cell) whole cell lysate with ab317456 at 1/30 dilution (2ug in 0.35mg lysates). Western blot was performed on the immunoprecipitate using ab317456 at 1/1000 dilution. VeriBlot for IP secondary antibody(HRP)(ab131366) was used at 1/5000 dilution.

Lane 1 : HeLa (human cervix adenocarcinoma epithelial cell) whole cell lysate
Lane 2 : ab317456 IP in HeLa (human cervix adenocarcinoma epithelial cell) whole cell lysate
Lane 3 : Rabbit monoclonal IgG (ab172730) instead of ab317456 in HeLa whole cell lysate

Blocking and diluting buffer and concentration : 5% NFDM/TBST.

All lanes:

Immunoprecipitation - Anti-RNA polymerase II CTD repeat YSPTSPS (phospho S5) antibody [RM1152] (ab317456) at 1/30 dilution

Lane 1:

HeLa (human cervix adenocarcinoma epithelial cell) whole cell lysate

Lane 2:

ab317456 IP in HeLa (human cervix adenocarcinoma epithelial cell) whole cell lysate

Secondary

All lanes:

Immunoprecipitation - VeriBlot for IP Detection Reagent (HRP) (<a href='/en-us/products/reagents/veriblot-for-ip-detection-reagent-hrp-ab131366'>ab131366</a>) at 1/5000 dilution

false

Exposure time: 6s

Immunohistochemistry (Formalin/PFA-fixed paraffin-embedded sections) - Anti-RNA polymerase II CTD repeat YSPTSPS (phospho S5) antibody [RM1152] (AB317456)
  • IHC-P

Supplier Data

Immunohistochemistry (Formalin/PFA-fixed paraffin-embedded sections) - Anti-RNA polymerase II CTD repeat YSPTSPS (phospho S5) antibody [RM1152] (AB317456)

Immunohistochemical analysis of paraffin-embedded Rat cerebrum tissue labeling RNA polymerase II CTD repeat YSPTSPS (phospho S5) with ab317456 at 1/5000 (0.1 ug/ml) dilution, followed by a ready to use LeicaDS9800 (Bond™ Polymer Refine Detection).

Positive staining on rat cerebrum without alkaline phosphatase treatment (image A). No signal was detected when tissues were treated with alkaline phosphatase (image B). The section was incubated with ab317456 for 30 mins at room temperature.
The immunostaining was performed on a Leica Biosystems BOND® RX instrument

Counterstained with Hematoxylin.

Secondary antibody only control : Secondary antibody is a ready to use LeicaDS9800 (Bond™ Polymer Refine Detection).

Heat mediated antigen retrieval was performed with Tris-EDTA buffer (pH 9.0, Epitope Retrieval Solution2) for 20 mins

Immunocytochemistry/ Immunofluorescence - Anti-RNA polymerase II CTD repeat YSPTSPS (phospho S5) antibody [RM1152] (AB317456)
  • ICC/IF

Supplier Data

Immunocytochemistry/ Immunofluorescence - Anti-RNA polymerase II CTD repeat YSPTSPS (phospho S5) antibody [RM1152] (AB317456)

Immunofluorescent analysis of 100% methanol-fixed, 0.1% TritonX-100 permeabilized PC-12 (rat adrenal gland pheochromocytoma cell) cells labelling RNA polymerase II CTD repeat YSPTSPS (phospho S5) with ab317456 at 1/500 (1.0 ug/ml) dilution, followed by ab150081 Goat Anti-Rabbit IgG H&L (Alexa Fluor® 488) preadsorbed antibody at 1/1000 2 ug/ml dilution (Green).

Confocal image showing nuclear staining in PC-12 cell line (shown in green), the signal decreased after lambda protein phosphatase treatment at 37°C for 2h. The counterstain was observed in magenta. Nuclear DNA was labeled with DAPI (shown in blue). Image was taken with a confocal microscope (Leica-Microsystems, TCS SP8).

ab195889 Anti-alpha Tubulin mouse monoclonal antibody - Microtubule Marker (Alexa Fluor® 594) was used to counterstain tubulin at 1/200 2.5 ug/ml dilution (Magenta). The Nuclear counterstain was DAPI (Blue).

Secondary antibody only control : Secondary antibody is ab150081 Goat Anti-Rabbit IgG H&L (Alexa Fluor® 488) preadsorbed at 1/1000 2 ug/ml dilution.

Immunohistochemistry (Formalin/PFA-fixed paraffin-embedded sections) - Anti-RNA polymerase II CTD repeat YSPTSPS (phospho S5) antibody [RM1152] (AB317456)
  • IHC-P

Supplier Data

Immunohistochemistry (Formalin/PFA-fixed paraffin-embedded sections) - Anti-RNA polymerase II CTD repeat YSPTSPS (phospho S5) antibody [RM1152] (AB317456)

Immunohistochemical analysis of paraffin-embedded Mouse colon tissue labeling RNA polymerase II CTD repeat YSPTSPS (phospho S5) with ab317456 at 1/5000 (0.1 ug/ml) dilution, followed by a ready to use LeicaDS9800 (Bond™ Polymer Refine Detection).

Positive staining on mouse colon without alkaline phosphatase treatment (image A). No signal was detected when tissues were treated with alkaline phosphatase (image B). The section was incubated with ab317456 for 30 mins at room temperature.
The immunostaining was performed on a Leica Biosystems BOND® RX instrument

Counterstained with Hematoxylin.

Secondary antibody only control : Secondary antibody is a ready to use LeicaDS9800 (Bond™ Polymer Refine Detection).

Heat mediated antigen retrieval was performed with Tris-EDTA buffer (pH 9.0, Epitope Retrieval Solution2) for 20 mins

Immunohistochemistry (Formalin/PFA-fixed paraffin-embedded sections) - Anti-RNA polymerase II CTD repeat YSPTSPS (phospho S5) antibody [RM1152] (AB317456)
  • IHC-P

Supplier Data

Immunohistochemistry (Formalin/PFA-fixed paraffin-embedded sections) - Anti-RNA polymerase II CTD repeat YSPTSPS (phospho S5) antibody [RM1152] (AB317456)

Immunohistochemical analysis of paraffin-embedded Rat colon tissue labeling RNA polymerase II CTD repeat YSPTSPS (phospho S5) with ab317456 at 1/5000 (0.1 ug/ml) dilution, followed by a ready to use LeicaDS9800 (Bond™ Polymer Refine Detection).

Positive staining on rat colon without alkaline phosphatase treatment (image A). No signal was detected when tissues were treated with alkaline phosphatase (image B). The section was incubated with ab317456 for 30 mins at room temperature.
The immunostaining was performed on a Leica Biosystems BOND® RX instrument

Counterstained with Hematoxylin.

Secondary antibody only control : Secondary antibody is a ready to use LeicaDS9800 (Bond™ Polymer Refine Detection).

Heat mediated antigen retrieval was performed with Tris-EDTA buffer (pH 9.0, Epitope Retrieval Solution2) for 20 mins

Immunohistochemistry (Formalin/PFA-fixed paraffin-embedded sections) - Anti-RNA polymerase II CTD repeat YSPTSPS (phospho S5) antibody [RM1152] (AB317456)
  • IHC-P

Supplier Data

Immunohistochemistry (Formalin/PFA-fixed paraffin-embedded sections) - Anti-RNA polymerase II CTD repeat YSPTSPS (phospho S5) antibody [RM1152] (AB317456)

Immunohistochemical analysis of paraffin-embedded Mouse cerebrum tissue labeling RNA polymerase II CTD repeat YSPTSPS (phospho S5) with ab317456 at 1/5000 (0.1 ug/ml) dilution, followed by a ready to use LeicaDS9800 (Bond™ Polymer Refine Detection).

Positive staining on mouse cerebrum without alkaline phosphatase treatment (image A). No signal was detected when tissues were treated with alkaline phosphatase (image B). The section was incubated with ab317456 for 30 mins at room temperature.
The immunostaining was performed on a Leica Biosystems BOND® RX instrument

Counterstained with Hematoxylin.

Secondary antibody only control : Secondary antibody is a ready to use LeicaDS9800 (Bond™ Polymer Refine Detection).

Heat mediated antigen retrieval was performed with Tris-EDTA buffer (pH 9.0, Epitope Retrieval Solution2) for 20 mins

Flow Cytometry (Intracellular) - Anti-RNA polymerase II CTD repeat YSPTSPS (phospho S5) antibody [RM1152] (AB317456)
  • Flow Cyt (Intra)

Supplier Data

Flow Cytometry (Intracellular) - Anti-RNA polymerase II CTD repeat YSPTSPS (phospho S5) antibody [RM1152] (AB317456)

Flow cytometric analysis of 4% paraformaldehyde fixed 90% methanol permeabilized RAW 264.7 (mouse Abelson murine leukemia virus-induced tumor macrophage) treated with alkaline phosphatase (Right) / Untreated RAW 264.7 (Left) cells labelling RNA polymerase II CTD repeat YSPTSPS (phospho S5) with ab317456 at 1/5000 dilution (0.1ug) (Red) (Red) compared with a Rabbit monoclonal IgG (ab172730) (Black) isotype control and an unlabelled control (cells without incubation with primary antibody and secondary antibody) (Blue).

Goat Anti-Rabbit IgG (Alexa Fluor® 488, ab150081) at 1/5000 dilution was used as the secondary antibody.

Flow Cytometry (Intracellular) - Anti-RNA polymerase II CTD repeat YSPTSPS (phospho S5) antibody [RM1152] (AB317456)
  • Flow Cyt (Intra)

Supplier Data

Flow Cytometry (Intracellular) - Anti-RNA polymerase II CTD repeat YSPTSPS (phospho S5) antibody [RM1152] (AB317456)

Flow cytometric analysis of 4% paraformaldehyde fixed 90% methanol permeabilized PC-12 (rat adrenal gland pheochromocytoma cell) treated with alkaline phosphatase (Right) / Untreated PC-12 (Left) cells labelling RNA polymerase II CTD repeat YSPTSPS (phospho S5) with ab317456 at 1/5000 dilution (0.1ug) (Red) (Red) compared with a Rabbit monoclonal IgG (ab172730) (Black) isotype control and an unlabelled control (cells without incubation with primary antibody and secondary antibody) (Blue).

Goat Anti-Rabbit IgG (Alexa Fluor® 488, ab150081) at 1/5000 dilution was used as the secondary antibody.

Immunocytochemistry/ Immunofluorescence - Anti-RNA polymerase II CTD repeat YSPTSPS (phospho S5) antibody [RM1152] (AB317456)
  • ICC/IF

Supplier Data

Immunocytochemistry/ Immunofluorescence - Anti-RNA polymerase II CTD repeat YSPTSPS (phospho S5) antibody [RM1152] (AB317456)

Immunofluorescent analysis of 100% methanol-fixed, 0.1% TritonX-100 permeabilized RAW 264.7 (mouse Abelson murine leukemia virus-induced tumor macrophage) cells labelling RNA polymerase II CTD repeat YSPTSPS (phospho S5) with ab317456 at 1/500 (1.0 ug/ml) dilution, followed by ab150081 Goat Anti-Rabbit IgG H&L (Alexa Fluor® 488) preadsorbed antibody at 1/1000 2 ug/ml dilution (Green).

Confocal image showing nuclear staining in RAW 264.7 cell line (shown in green), the signal decreased after lambda protein phosphatase treatment at 37°C for 2h. The counterstain was observed in magenta. Nuclear DNA was labeled with DAPI (shown in blue). Image was taken with a confocal microscope (Leica-Microsystems, TCS SP8).

ab195889 Anti-alpha Tubulin mouse monoclonal antibody - Microtubule Marker (Alexa Fluor® 594) was used to counterstain tubulin at 1/200 2.5 ug/ml dilution (Magenta). The Nuclear counterstain was DAPI (Blue).

Secondary antibody only control : Secondary antibody is ab150081 Goat Anti-Rabbit IgG H&L (Alexa Fluor® 488) preadsorbed at 1/1000 2 ug/ml dilution.

Immunoprecipitation - Anti-RNA polymerase II CTD repeat YSPTSPS (phospho S5) antibody [RM1152] (AB317456)
  • IP

Supplier Data

Immunoprecipitation - Anti-RNA polymerase II CTD repeat YSPTSPS (phospho S5) antibody [RM1152] (AB317456)

RNA polymerase II CTD repeat YSPTSPS (phospho S5) was immunoprecipitated from 0.35 mg PC-12 (rat adrenal gland pheochromocytoma cell) whole cell lysate with ab317456 at 1/30 dilution (2ug in 0.35mg lysates). Western blot was performed on the immunoprecipitate using ab317456 at 1/1000 dilution. VeriBlot for IP secondary antibody(HRP)(ab131366) was used at 1/5000 dilution.

Lane 1 : PC-12 (rat adrenal gland pheochromocytoma cell) whole cell lysate
Lane 2 : ab317456 IP in PC-12 (rat adrenal gland pheochromocytoma cell) whole cell lysate
Lane 3 : Rabbit monoclonal IgG (ab172730) instead of ab317456 in PC-12 whole cell lysate

Blocking and diluting buffer and concentration : 5% NFDM/TBST.

All lanes:

Immunoprecipitation - Anti-RNA polymerase II CTD repeat YSPTSPS (phospho S5) antibody [RM1152] (ab317456) at 1/30 dilution

Lane 1:

PC-12 (rat adrenal gland pheochromocytoma cell) whole cell lysate

Lane 2:

ab317456 IP in PC-12 (rat adrenal gland pheochromocytoma cell) whole cell lysate

Secondary

All lanes:

Immunoprecipitation - VeriBlot for IP Detection Reagent (HRP) (<a href='/en-us/products/reagents/veriblot-for-ip-detection-reagent-hrp-ab131366'>ab131366</a>) at 1/5000 dilution

false

Exposure time: 6s

Immunoprecipitation - Anti-RNA polymerase II CTD repeat YSPTSPS (phospho S5) antibody [RM1152] (AB317456)
  • IP

Supplier Data

Immunoprecipitation - Anti-RNA polymerase II CTD repeat YSPTSPS (phospho S5) antibody [RM1152] (AB317456)

RNA polymerase II CTD repeat YSPTSPS (phospho S5) was immunoprecipitated from 0.35 mg RAW 264.7 (mouse Abelson murine leukemia virus-induced tumor macrophage) whole cell lysate with ab317456 at 1/30 dilution (2ug in 0.35mg lysates). Western blot was performed on the immunoprecipitate using ab317456 at 1/1000 dilution. VeriBlot for IP secondary antibody(HRP)(ab131366) was used at 1/5000 dilution.

Lane 1 : RAW 264.7 (mouse Abelson murine leukemia virus-induced tumor macrophage) whole cell lysate
Lane 2 : ab317456 IP in RAW 264.7 (mouse Abelson murine leukemia virus-induced tumor macrophage) whole cell lysate
Lane 3 : Rabbit monoclonal IgG (ab172730) instead of ab317456 in RAW 264.7 whole cell lysate

Blocking and diluting buffer and concentration : 5% NFDM/TBST.

All lanes:

Immunoprecipitation - Anti-RNA polymerase II CTD repeat YSPTSPS (phospho S5) antibody [RM1152] (ab317456) at 1/30 dilution

Lane 1:

RAW 264.7 (mouse Abelson murine leukemia virus-induced tumor macrophage) whole cell lysate

Lane 2:

ab317456 IP in RAW 264.7 (mouse Abelson murine leukemia virus-induced tumor macrophage) whole cell lysate

Secondary

All lanes:

Immunoprecipitation - VeriBlot for IP Detection Reagent (HRP) (<a href='/en-us/products/reagents/veriblot-for-ip-detection-reagent-hrp-ab131366'>ab131366</a>) at 1/5000 dilution

false

Exposure time: 10s

Western blot - Anti-RNA polymerase II CTD repeat YSPTSPS (phospho S5) antibody [RM1152] (AB317456)
  • WB

Supplier Data

Western blot - Anti-RNA polymerase II CTD repeat YSPTSPS (phospho S5) antibody [RM1152] (AB317456)

Blocking and diluting buffer and concentration : 5% NFDM/TBST.

In Western blot, Anti-RNA polymerase II CTD repeat YSPTSPS antibody [EPR24494-59] staining at ChIP Grade dilution.

All lanes:

Western blot - Anti-RNA polymerase II CTD repeat YSPTSPS (phospho S5) antibody [RM1152] (ab317456) at 1/1000 dilution

Lane 1:

HeLa (human cervical adenocarcinoma epithelial cell) whole cell lysate (untreated membrane) at 20 µg

Lane 2:

PC-12 (rat adrenal gland pheochromocytoma cell) whole cell lysate (untreated membrane) at 20 µg

Lane 3:

RAW 264.7 (mouse Abelson murine leukemia virus-induced tumor macrophage) whole cell lysate (untreated membrane) at 20 µg

Lane 4:

K-562 (human chronic myelogenous leukemia lymphoblast) whole cell lysate (untreated membrane) at 20 µg

Lane 5:

HeLa (human cervical adenocarcinoma epithelial cell) whole cell lysate (alkaline phosphatase treated membrane) at 20 µg

Lane 6:

PC-12 (rat adrenal gland pheochromocytoma cell) whole cell lysate (alkaline phosphatase treated membrane) at 20 µg

Lane 7:

RAW 264.7 (mouse Abelson murine leukemia virus-induced tumor macrophage) whole cell lysate (alkaline phosphatase treated membrane) at 20 µg

Lane 8:

K-562 (human chronic myelogenous leukemia lymphoblast) whole cell lysate (alkaline phosphatase treated membrane) at 20 µg

Secondary

All lanes:

Western blot - Goat Anti-Rabbit IgG H&L (HRP) (<a href='/en-us/products/secondary-antibodies/goat-rabbit-igg-h-l-hrp-ab97051'>ab97051</a>) at 1/100000 dilution

Observed band size: 270 kDa,124 kDa

false

Exposure time: 15s

Western blot - Anti-RNA polymerase II CTD repeat YSPTSPS (phospho S5) antibody [RM1152] (AB317456)
  • WB

Supplier Data

Western blot - Anti-RNA polymerase II CTD repeat YSPTSPS (phospho S5) antibody [RM1152] (AB317456)

Blocking and diluting buffer and concentration : 5% NFDM/TBST.

For Lane 3, this blot was developed using a high sensitivity ECL substrate. The high-sensitivity ECL substrate used allows for the detection of proteins in the mid-femtogram range.

Exposure time :

Lane 1-2 : 114 seconds

Lane 3 : 48 seconds

All lanes:

Western blot - Anti-RNA polymerase II CTD repeat YSPTSPS (phospho S5) antibody [RM1152] (ab317456) at 1/1000 dilution

Lane 1:

Human cerebellum tissue lysate at 20 µg

Lane 2:

Mouse brain tissue lysate at 20 µg

Lane 3:

Rat brain tissue lysate at 20 µg

Secondary

All lanes:

Western blot - Goat Anti-Rabbit IgG H&L (HRP) (<a href='/en-us/products/secondary-antibodies/goat-rabbit-igg-h-l-hrp-ab97051'>ab97051</a>) at 1/100000 dilution

Observed band size: 270 kDa

true

Dot Blot - Anti-RNA polymerase II CTD repeat YSPTSPS (phospho S5) antibody [RM1152] (AB317456)
  • Dot

Supplier Data

Dot Blot - Anti-RNA polymerase II CTD repeat YSPTSPS (phospho S5) antibody [RM1152] (AB317456)

Dot blot analysis of RNA polymerase II CTD repeat YSPTSPS (phospho S5) using ab317456 at 1 : 1000 dilution (0.5 ug/ml) followed by a Goat Anti-Rabbit IgG, (H+L), Peroxidase conjugated (ab97051) at 1 : 100,000 dilution.

Exposure time : 180 seconds.

Blocking and diluting buffer and concentration : 5% NFDM/TBST.

All lanes:

Dot Blot - Anti-RNA polymerase II CTD repeat YSPTSPS (phospho S5) antibody [RM1152] (ab317456) at 1/1000 dilution

Lane 1:

RNA polymerase II CTD repeat YSPTSPS (phospho S5) peptide

Lane 2:

RNA polymerase II CTD repeat YSPTSPS non-phospho peptide

Lane 3:

RNA polymerase II CTD repeat YSPTSPS (phospho S2) peptide

Lane 4:

RNA polymerase II CTD repeat YSPTSPS (phospho Y1) peptide

Secondary

All lanes:

Dot Blot - Goat Anti-Rabbit IgG H&L (HRP) (<a href='/en-us/products/secondary-antibodies/goat-rabbit-igg-h-l-hrp-ab97051'>ab97051</a>) at 1/100000 dilution

false

Exposure time: 180s

  • Carrier free

    Anti-RNA polymerase II CTD repeat YSPTSPS (phospho S5) antibody [RM1152] - BSA and Azide free

Key facts

Host species

Rabbit

Clonality

Multiclonal

Clone number

RM1152

Isotype

IgG

Carrier free

No

Reacts with

Human, Mouse, Rat

Applications

Flow Cyt (Intra), IHC-P, ICC/IF, Dot, WB, IP

applications

Immunogen

The exact immunogen used to generate this antibody is proprietary information.

Reactivity data

{ "title": "Reactivity Data", "filters": { "stats": ["", "Species", "Dilution Info", "Notes"], "tabs": { "all-applications": {"fullname" : "All Applications", "shortname": "All Applications"}, "Dot" : {"fullname" : "Dot Blot", "shortname":"Dot"}, "WB" : {"fullname" : "Western blot", "shortname":"WB"}, "IHCP" : {"fullname" : "Immunohistochemistry (Formalin/PFA-fixed paraffin-embedded sections)", "shortname":"IHC-P"}, "FlowCytIntra" : {"fullname" : "Flow Cytometry (Intracellular)", "shortname":"Flow Cyt (Intra)"}, "IP" : {"fullname" : "Immunoprecipitation", "shortname":"IP"}, "ICCIF" : {"fullname" : "Immunocytochemistry/ Immunofluorescence", "shortname":"ICC/IF"} }, "product-promise": { "all": "all", "testedAndGuaranteed": "tested", "guaranteed": "expected", "predicted": "predicted", "notRecommended": "not-recommended" } }, "values": { "Human": { "Dot-species-checked": "guaranteed", "Dot-species-dilution-info": "", "Dot-species-notes": "", "WB-species-checked": "testedAndGuaranteed", "WB-species-dilution-info": "1/1000", "WB-species-notes": "<p></p>", "IHCP-species-checked": "testedAndGuaranteed", "IHCP-species-dilution-info": "1/5000", "IHCP-species-notes": "<p></p> Perform heat-mediated antigen retrieval with Tris/EDTA buffer pH 9.0 before commencing with IHC staining protocol.", "FlowCytIntra-species-checked": "testedAndGuaranteed", "FlowCytIntra-species-dilution-info": "1/5000", "FlowCytIntra-species-notes": "<p></p>", "IP-species-checked": "testedAndGuaranteed", "IP-species-dilution-info": "1/30", "IP-species-notes": "<p></p>", "ICCIF-species-checked": "testedAndGuaranteed", "ICCIF-species-dilution-info": "1/500", "ICCIF-species-notes": "<p></p>" }, "Mouse": { "Dot-species-checked": "guaranteed", "Dot-species-dilution-info": "", "Dot-species-notes": "", "WB-species-checked": "testedAndGuaranteed", "WB-species-dilution-info": "1/1000", "WB-species-notes": "<p></p>", "IHCP-species-checked": "testedAndGuaranteed", "IHCP-species-dilution-info": "1/5000", "IHCP-species-notes": "<p></p> Perform heat-mediated antigen retrieval with Tris/EDTA buffer pH 9.0 before commencing with IHC staining protocol.", "FlowCytIntra-species-checked": "testedAndGuaranteed", "FlowCytIntra-species-dilution-info": "1/5000", "FlowCytIntra-species-notes": "<p></p>", "IP-species-checked": "testedAndGuaranteed", "IP-species-dilution-info": "1/30", "IP-species-notes": "<p></p>", "ICCIF-species-checked": "testedAndGuaranteed", "ICCIF-species-dilution-info": "1/500", "ICCIF-species-notes": "<p></p>" }, "Rat": { "Dot-species-checked": "guaranteed", "Dot-species-dilution-info": "", "Dot-species-notes": "", "WB-species-checked": "testedAndGuaranteed", "WB-species-dilution-info": "1/1000", "WB-species-notes": "<p></p>", "IHCP-species-checked": "testedAndGuaranteed", "IHCP-species-dilution-info": "1/5000", "IHCP-species-notes": "<p></p> Perform heat-mediated antigen retrieval with Tris/EDTA buffer pH 9.0 before commencing with IHC staining protocol.", "FlowCytIntra-species-checked": "testedAndGuaranteed", "FlowCytIntra-species-dilution-info": "1/5000", "FlowCytIntra-species-notes": "<p></p>", "IP-species-checked": "testedAndGuaranteed", "IP-species-dilution-info": "1/30", "IP-species-notes": "<p></p>", "ICCIF-species-checked": "testedAndGuaranteed", "ICCIF-species-dilution-info": "1/500", "ICCIF-species-notes": "<p></p>" }, "Synthetic peptide - Human": { "Dot-species-checked": "testedAndGuaranteed", "Dot-species-dilution-info": "1/1000", "Dot-species-notes": "<p></p>", "WB-species-checked": "notRecommended", "WB-species-dilution-info": "", "WB-species-notes": "", "IHCP-species-checked": "notRecommended", "IHCP-species-dilution-info": "", "IHCP-species-notes": "", "FlowCytIntra-species-checked": "notRecommended", "FlowCytIntra-species-dilution-info": "", "FlowCytIntra-species-notes": "", "IP-species-checked": "notRecommended", "IP-species-dilution-info": "", "IP-species-notes": "", "ICCIF-species-checked": "notRecommended", "ICCIF-species-dilution-info": "", "ICCIF-species-notes": "" } } }

Product details

What are recombinant multiclonals?
Recombinant multiclonals are a mixture of recombinant antibodies co-expressed from a library of heavy and light chains. They offer several advantages including:

  • - The sensitivity of polyclonal antibodies by recognising multiple epitopes
  • - High batch-to-batch consistency and reproducibility
  • - Improved sensitivity and specificity
  • - Long-term security of supply
  • - Animal-free batch production

View our range of recombinant multiclonal antibodies.

Patented technology
Our RabMAb® technology is a patented hybridoma-based technology for making rabbit monoclonal antibodies. For details on our patents, please refer to RabMAb® patents.

Properties and storage information

Form
Liquid
Purification technique
Affinity purification Protein A
Storage buffer
pH: 7.2 - 7.4 Preservative: 0.01% Sodium azide Constituents: PBS, 40% Glycerol (glycerin, glycerine), 0.05% BSA
Shipped at conditions
Blue Ice
Appropriate short-term storage duration
1-2 weeks
Appropriate short-term storage conditions
+4°C
Appropriate long-term storage conditions
-20°C
Aliquoting information
Upon delivery aliquot
Storage information
Avoid freeze / thaw cycle

Supplementary information

This supplementary information is collated from multiple sources and compiled automatically.

RNA polymerase II CTD repeat YSPTSPS also known as the C-terminal domain of RNA polymerase II is a critical component of the RNA polymerase II enzyme commonly referred to as pol II. This domain is characterized by the repetitive sequence YSPTSPS which plays a significant role in the regulation of transcription. The mass of RNA polymerase II including its CTD varies but is essential for its function in gene expression. RNA polymerase II with the CTD is expressed in the nucleus of eukaryotic cells where it orchestrates the transcription of DNA into mRNA.
Biological function summary

RNA polymerase II CTD repeat YSPTSPS is essential for the transcription progression from initiation to termination. It is part of the large RNA polymerase II complex interacting with various transcription factors and enzymes necessary for RNA processing. The phosphorylation state of the CTD particularly on serine residues regulates interactions with splicing machinery and other RNA processing factors. This modulation ensures the coupling between transcription and RNA processing events controlling mRNA synthesis and maturation.

Pathways

RNA polymerase II CTD repeat YSPTSPS is important in the mRNA synthesis pathway specifically in transcriptional regulation and processing of nascent RNA transcripts. It interacts with proteins such as the transcription factors TFIIH and TFIIB which aid in promoter recognition and open complex formation. The CTD's dynamic phosphorylation pattern allows integration into multiple cellular pathways most importantly connecting transcription with RNA splicing and transport pathways.

Abnormal function or mutations in RNA polymerase II CTD repeat YSPTSPS associate with diseases such as transcription-related syndromes and certain cancers. Deficient CTD phosphorylation can lead to improper mRNA processing resulting in neural developmental disorders. Additionally its interaction with proteins like CDK7 which phosphorylates the CTD links it to tumors where transcriptional dysregulation is a hallmark. Understanding the CTD's role in these diseases provides insight into therapeutic targets and strategies for intervention.

Product protocols

For this product, it's our understanding that no specific protocols are required. You can visit:

Target data

Catalytic core component of RNA polymerase II (Pol II), a DNA-dependent RNA polymerase which synthesizes mRNA precursors and many functional non-coding RNAs using the four ribonucleoside triphosphates as substrates (By similarity) (PubMed : 23748380, PubMed : 27193682, PubMed : 30190596, PubMed : 9852112). Pol II-mediated transcription cycle proceeds through transcription initiation, transcription elongation and transcription termination stages. During transcription initiation, Pol II pre-initiation complex (PIC) is recruited to DNA promoters, with focused-type promoters containing either the initiator (Inr) element, or the TATA-box found in cell-type specific genes and dispersed-type promoters that often contain hypomethylated CpG islands usually found in housekeeping genes. Once the polymerase has escaped from the promoter it enters the elongation phase during which RNA is actively polymerized, based on complementarity with the template DNA strand. Transcription termination involves the release of the RNA transcript and polymerase from the DNA (By similarity) (PubMed : 23748380, PubMed : 27193682, PubMed : 28108474, PubMed : 30190596, PubMed : 9852112). Forms Pol II active center together with the second largest subunit POLR2B/RPB2. Appends one nucleotide at a time to the 3' end of the nascent RNA, with POLR2A/RPB1 most likely contributing a Mg(2+)-coordinating DxDGD motif, and POLR2B/RPB2 participating in the coordination of a second Mg(2+) ion and providing lysine residues believed to facilitate Watson-Crick base pairing between the incoming nucleotide and template base. Typically, Mg(2+) ions direct a 5' nucleoside triphosphate to form a phosphodiester bond with the 3' hydroxyl of the preceding nucleotide of the nascent RNA, with the elimination of pyrophosphate. The reversible pyrophosphorolysis can occur at high pyrophosphate concentrations (By similarity) (PubMed : 30190596, PubMed : 8381534, PubMed : 9852112). Can proofread the nascent RNA transcript by means of a 3' -> 5' exonuclease activity. If a ribonucleotide is mis-incorporated, backtracks along the template DNA and cleaves the phosphodiester bond releasing the mis-incorporated 5'-ribonucleotide (By similarity) (PubMed : 8381534). Through its unique C-terminal domain (CTD, 52 heptapeptide tandem repeats) serves as a platform for assembly of factors that regulate transcription initiation, elongation and termination. CTD phosphorylation on Ser-5 mediates Pol II promoter escape, whereas phosphorylation on Ser-2 is required for Pol II pause release during transcription elongation and further pre-mRNA processing. Additionally, the regulation of gene expression levels depends on the balance between methylation and acetylation levels of the CTD-lysines. Initiation or early elongation steps of transcription of growth-factor-induced immediate early genes are regulated by the acetylation status of the CTD. Methylation and dimethylation have a repressive effect on target genes expression. Cooperates with mRNA splicing machinery in co-transcriptional 5'-end capping and co-transcriptional splicing of pre-mRNA (By similarity) (PubMed : 24207025, PubMed : 26124092).. RNA-dependent RNA polymerase that catalyzes the extension of a non-coding RNA (ncRNA) at the 3'-end using the four ribonucleoside triphosphates as substrates. An internal ncRNA sequence near the 3'-end serves as a template in a single-round Pol II-mediated RNA polymerization reaction. May decrease the stability of ncRNAs that repress Pol II-mediated gene transcription.. (Microbial infection) Acts as an RNA-dependent RNA polymerase when associated with small delta antigen of Hepatitis delta virus, acting both as a replicase and transcriptase for the viral RNA circular genome.
See full target information POLR2A phospho S5

Product promise

We are committed to supporting your work with high-quality reagents, and we're here for you every step of the way. In the unlikely event that one of our products does not perform as expected, you're protected by our Product Promise.
For full details, please see our Terms & Conditions

Please note: All products are 'FOR RESEARCH USE ONLY. NOT FOR USE IN DIAGNOSTIC OR THERAPEUTIC PROCEDURES'.

For licensing inquiries, please contact partnerships@abcam.com