JavaScript is disabled in your browser. Please enable JavaScript to view this website.
AB186868

Anti-RNA polymerase II RPB4 antibody

Be the first to review this product! Submit a review

|

(1 Publication)

Rabbit Polyclonal RNA polymerase II RPB4 antibody. Suitable for WB, IHC-P and reacts with Human, Mouse samples. Cited in 1 publication. Immunogen corresponding to Recombinant Full Length Protein corresponding to Human POLR2D.

View Alternative Names

DNA-directed RNA polymerase II subunit RPB4, RNA polymerase II subunit B4, DNA-directed RNA polymerase II subunit D, RNA polymerase II 16 kDa subunit, RPB16, POLR2D

2 Images
Western blot - Anti-RNA polymerase II RPB4 antibody (AB186868)
  • WB

Supplier Data

Western blot - Anti-RNA polymerase II RPB4 antibody (AB186868)

All lanes:

Western blot - Anti-RNA polymerase II RPB4 antibody (ab186868) at 1/500 dilution

Lane 1:

MCF-7 cell lysate

Lane 2:

SW480 cell lysate

Lane 3:

SW620 cell lysate

Lane 4:

HepG2 cell lysate

Lane 5:

SK-HEPC cell lysate

Lane 6:

Mouse spleen tissue lysate

Predicted band size: 16 kDa

false

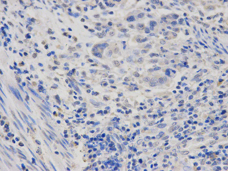
Immunohistochemistry (Formalin/PFA-fixed paraffin-embedded sections) - Anti-RNA polymerase II RPB4 antibody (AB186868)
  • IHC-P

Unknown

Immunohistochemistry (Formalin/PFA-fixed paraffin-embedded sections) - Anti-RNA polymerase II RPB4 antibody (AB186868)

Immunohistochemistry (Formalin/PFA-fixed paraffin-embedded sections) analysis of human esophageal cancer tissue labelling RNA polymerase II RPB4 with ab186868 at 1/100. Magnification : 400x.

Key facts

Host species

Rabbit

Clonality

Polyclonal

Isotype

IgG

Carrier free

No

Reacts with

Mouse, Human

Applications

WB, IHC-P

applications

Immunogen

Recombinant Full Length Protein corresponding to Human POLR2D.

O15514

Reactivity data

{ "title": "Reactivity Data", "filters": { "stats": ["", "Species", "Dilution Info", "Notes"], "tabs": { "all-applications": {"fullname" : "All Applications", "shortname": "All Applications"}, "WB" : {"fullname" : "Western blot", "shortname":"WB"}, "IHCP" : {"fullname" : "Immunohistochemistry (Formalin/PFA-fixed paraffin-embedded sections)", "shortname":"IHC-P"} }, "product-promise": { "all": "all", "testedAndGuaranteed": "tested", "guaranteed": "expected", "predicted": "predicted", "notRecommended": "not-recommended" } }, "values": { "Human": { "WB-species-checked": "testedAndGuaranteed", "WB-species-dilution-info": "1/500 - 1/2000", "WB-species-notes": "<p></p>", "IHCP-species-checked": "testedAndGuaranteed", "IHCP-species-dilution-info": "1/50 - 1/200", "IHCP-species-notes": "<p><a href='/en-us/products/primary-antibodies/rabbit-igg-polyclonal-isotype-control-chip-grade-ab171870'>ab171870</a> - Rabbit polyclonal IgG, is suitable for use as an isotype control with this antibody.</p>" }, "Mouse": { "WB-species-checked": "testedAndGuaranteed", "WB-species-dilution-info": "1/500 - 1/2000", "WB-species-notes": "<p></p>", "IHCP-species-checked": "guaranteed", "IHCP-species-dilution-info": "", "IHCP-species-notes": "" } } }

Properties and storage information

Form
Liquid
Purification technique
Affinity purification Immunogen
Storage buffer
pH: 7.3 Preservative: 0.02% Sodium azide Constituents: 50% Glycerol (glycerin, glycerine), 49% PBS
Shipped at conditions
Blue Ice
Appropriate short-term storage duration
1-2 weeks
Appropriate short-term storage conditions
+4°C
Appropriate long-term storage conditions
-20°C
Aliquoting information
Upon delivery aliquot
Storage information
Avoid freeze / thaw cycle

Supplementary information

This supplementary information is collated from multiple sources and compiled automatically.

RNA polymerase II RPB4 also known by the alternate name POLR2D is a subunit of the larger RNA polymerase II enzyme complex. This enzyme plays a critical role in catalyzing the transcription of DNA into messenger RNA (mRNA) which is fundamental to protein synthesis. RPB4 is part of the core enzyme contributing to its stability and function. It has a molecular mass of approximately 25 kDa. This protein is widely expressed in eukaryotic cells particularly in the nucleus where transcription occurs.
Biological function summary

RNA polymerase II RPB4 functions as a component of the larger RNA polymerase II complex. It contributes to the regulation and initiation of mRNA synthesis. This subunit has essential roles in transcriptional regulation under stress conditions by stabilizing the RNA polymerase II complex. The interaction with co-factors and other transcription machinery highlights RPB4's involvement in adaptive responses of the cell.

Pathways

RNA polymerase II RPB4 integrates into essential transcription pathways such as the mRNA processing and the transcription initiation pathway. It cooperates with other subunits and factors like TFIIB and TFIIH to effectively facilitate the transcription process. These pathways determine the accurate transcription and downstream processes necessary for gene expression playing an interconnected role with other proteins like TAFs within the transcriptional machinery.

RNA polymerase II RPB4 is associated with several types of cancers as transcription regulation often becomes dysregulated in cancer cells. Disruptions in RPB4 expression or function can also relate to neurodegenerative disorders where transcriptional errors contribute to the disease pathology. Interaction of RPB4 with proteins like p53 may highlight its involvement in these conditions as p53 is a critical regulator of cell cycle and apoptosis often altered in cancerous states.

Product protocols

For this product, it's our understanding that no specific protocols are required. You can visit:

Target data

Core component of RNA polymerase II (Pol II), a DNA-dependent RNA polymerase which synthesizes mRNA precursors and many functional non-coding RNAs using the four ribonucleoside triphosphates as substrates. Pol II is the central component of the basal RNA polymerase II transcription machinery. It is composed of mobile elements that move relative to each other. POLR2D/RPB4 is part of a subcomplex with POLR2G/RPB7 that binds to a pocket formed by POLR2A/RPB1, POLR2B/RPB2 and POLR2F/RPABC2 at the base of the clamp element. The POLR2D/RPB4-POLR2G/RPB7 subcomplex seems to lock the clamp via POLR2G/RPB7 in the closed conformation thus preventing double-stranded DNA to enter the active site cleft. The POLR2D/RPB4-POLR2G/RPB7 subcomplex binds single-stranded DNA and RNA.
See full target information POLR2D

Publications (1)

Recent publications for all applications. Explore the full list and refine your search

The Journal of experimental medicine 216:2653-2668 PubMed31434684

2019

Yeats4 drives ILC lineage commitment via activation of transcription.

Applications

Unspecified application

Species

Unspecified reactive species

Benyu Liu,Liuliu Yang,Xiaoxiao Zhu,Huimu Li,Pingping Zhu,Jiayi Wu,Tiankun Lu,Luyun He,Nian Liu,Shu Meng,Liang Zhou,Buqing Ye,Yong Tian,Zusen Fan
View all publications

Product promise

We are committed to supporting your work with high-quality reagents, and we're here for you every step of the way. In the unlikely event that one of our products does not perform as expected, you're protected by our Product Promise.
For full details, please see our Terms & Conditions

Please note: All products are 'FOR RESEARCH USE ONLY. NOT FOR USE IN DIAGNOSTIC OR THERAPEUTIC PROCEDURES'.

For licensing inquiries, please contact partnerships@abcam.com