JavaScript is disabled in your browser. Please enable JavaScript to view this website.
AB154143

Anti-RNase 7 antibody [CL0224]

Be the first to review this product! Submit a review

|

(3 Publications)

Mouse Monoclonal RNase 7 antibody. Suitable for IHC-P and reacts with Human samples. Cited in 3 publications. Immunogen corresponding to Recombinant Fragment Protein within Human RNASE7 aa 1 to C-terminus.

View Alternative Names

UNQ2516/PRO6006, RNASE7, Ribonuclease 7, RNase 7, Skin-derived antimicrobial protein 2, SAP-2

3 Images
Immunohistochemistry (Formalin/PFA-fixed paraffin-embedded sections) - Anti-RNase 7 antibody [CL0224] (AB154143)
  • IHC-P

Unknown

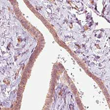
Immunohistochemistry (Formalin/PFA-fixed paraffin-embedded sections) - Anti-RNase 7 antibody [CL0224] (AB154143)

Immunohistochemical analysis of Human fallopian tube tissue labeling RNase 7 with ab154143 at 1/50 dilution.

Immunohistochemistry (Formalin/PFA-fixed paraffin-embedded sections) - Anti-RNase 7 antibody [CL0224] (AB154143)
  • IHC-P

Unknown

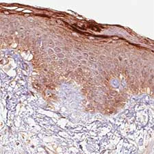
Immunohistochemistry (Formalin/PFA-fixed paraffin-embedded sections) - Anti-RNase 7 antibody [CL0224] (AB154143)

Immunohistochemical analysis of Human skin tissue labeling RNase 7 with ab154143 at 1/50 dilution.

Immunohistochemistry (Formalin/PFA-fixed paraffin-embedded sections) - Anti-RNase 7 antibody [CL0224] (AB154143)
  • IHC-P

Unknown

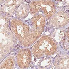
Immunohistochemistry (Formalin/PFA-fixed paraffin-embedded sections) - Anti-RNase 7 antibody [CL0224] (AB154143)

Immunohistochemical analysis of Human kidney tissue labeling RNase 7 with ab154143 at 1/50 dilution.

Key facts

Host species

Mouse

Clonality

Monoclonal

Clone number

CL0224

Isotype

IgG2a

Carrier free

No

Reacts with

Human

Applications

IHC-P

applications

Immunogen

Recombinant Fragment Protein within Human RNASE7 aa 1 to C-terminus. The exact immunogen used to generate this antibody is proprietary information.

Q9H1E1

Reactivity data

{ "title": "Reactivity Data", "filters": { "stats": ["", "Species", "Dilution Info", "Notes"], "tabs": { "all-applications": {"fullname" : "All Applications", "shortname": "All Applications"}, "IHCP" : {"fullname" : "Immunohistochemistry (Formalin/PFA-fixed paraffin-embedded sections)", "shortname":"IHC-P"} }, "product-promise": { "all": "all", "testedAndGuaranteed": "tested", "guaranteed": "expected", "predicted": "predicted", "notRecommended": "not-recommended" } }, "values": { "Human": { "IHCP-species-checked": "testedAndGuaranteed", "IHCP-species-dilution-info": "1/50 - 1/200", "IHCP-species-notes": "<p></p> Perform heat-mediated antigen retrieval with citrate buffer pH 6 before commencing with IHC staining protocol." } } }

Properties and storage information

Form
Liquid
Purification technique
Affinity purification Protein A
Storage buffer
pH: 7.2 Preservative: 0.02% Sodium azide Constituents: PBS, 40% Glycerol (glycerin, glycerine)
Shipped at conditions
Blue Ice
Appropriate short-term storage conditions
+4°C
Appropriate long-term storage conditions
-20°C
Aliquoting information
Upon delivery aliquot
Storage information
Avoid freeze / thaw cycle

Product protocols

For this product, it's our understanding that no specific protocols are required. You can visit:

Target data

Exhibits a potent RNase activity (PubMed : 12244054, PubMed : 12527768, PubMed : 17150966). Has broad-spectrum antimicrobial activity against many pathogenic microorganisms including uropathogenic E.coli (UPEC), and remarkably potent activity (lethal dose of 90% < 30 nM) against a vancomycin resistant Enterococcus faecium (PubMed : 12244054, PubMed : 12527768, PubMed : 17150966, PubMed : 25075772, PubMed : 33818125). Causes loss of bacterial membrane integrity (PubMed : 17150966). Probably contributes to urinary tract sterility (PubMed : 25075772). Bactericidal activity is independent of RNase activity (PubMed : 17150966).
See full target information RNASE7

Publications (3)

Recent publications for all applications. Explore the full list and refine your search

PloS one 19:e0314873 PubMed39625882

2024

Ruscus aculeatus extract promotes RNase 7 expression through ERK activation following inhibition of late-phase autophagy in primary human keratinocytes.

Applications

Unspecified application

Species

Unspecified reactive species

Shigeyuki Ono,Akiko Kawasaki,Kotaro Tamura,Yoshihiko Minegishi,Takuya Mori,Noriyasu Ota

Acta histochemica et cytochemica 52:35-43 PubMed31341339

2019

Immunohistochemical Localization of RNase 7 in Normal and Inflamed Oral Epithelia and Salivary Glands.

Applications

Unspecified application

Species

Unspecified reactive species

Puja Neopane,Durga Paudel,Koki Yoshida,Bhoj Raj Adhikari,Tetsuro Morikawa,Aya Onishi,Daichi Hiraki,Osamu Uehara,Jun Sato,Michiko Nishimura,Itsuo Chiba,Yoshihiro Abiko

Photodermatology, photoimmunology & photomedicine 34:137-144 PubMed29044786

2017

Unique profile of antimicrobial peptide expression in polymorphic light eruption lesions compared to healthy skin, atopic dermatitis, and psoriasis.

Applications

IHC-P

Species

Human

VijayKumar Patra,Gerlinde Mayer,Alexandra Gruber-Wackernagel,Michael Horn,Serena Lembo,Peter Wolf
View all publications

Product promise

We are committed to supporting your work with high-quality reagents, and we're here for you every step of the way. In the unlikely event that one of our products does not perform as expected, you're protected by our Product Promise.
For full details, please see our Terms & Conditions

Please note: All products are 'FOR RESEARCH USE ONLY. NOT FOR USE IN DIAGNOSTIC OR THERAPEUTIC PROCEDURES'.

For licensing inquiries, please contact partnerships@abcam.com