JavaScript is disabled in your browser. Please enable JavaScript to view this website.
AB317203

Anti-RNase H1 antibody [HL2343]

Be the first to review this product! Submit a review

|

(0 Publication)

Rabbit Monoclonal RNase H1/RNH1 antibody. Suitable for IHC-P, WB and reacts with Human, Dog, Mouse samples. Immunogen corresponding to Recombinant Fragment Protein within Human RNASEH1.

View Alternative Names

RNH1, RNASEH1, Ribonuclease H1, RNase H1, Ribonuclease H type II

5 Images
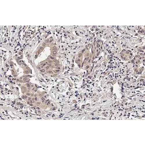
Immunohistochemistry (Formalin/PFA-fixed paraffin-embedded sections) - Anti-RNase H1 antibody [HL2343] (AB317203)
  • IHC-P

Supplier Data

Immunohistochemistry (Formalin/PFA-fixed paraffin-embedded sections) - Anti-RNase H1 antibody [HL2343] (AB317203)

ab317203 detects RNase H1 protein at cytoplasm by immunohistochemical analysis. Sample : Paraffin-embedded human breast carcinoma. RNase H1 stained by ab317203 diluted at 1 : 100. Antigen Retrieval : Citrate buffer pH 6.0 15 min.

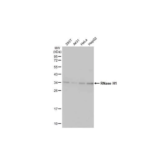
Western blot - Anti-RNase H1 antibody [HL2343] (AB317203)
  • WB

Supplier Data

Western blot - Anti-RNase H1 antibody [HL2343] (AB317203)

Various whole cell extracts (30 ug) were separated by 12% SDS-PAGE and the membrane was blotted with ab317203 diluted at 1 : 1000. The HRP-conjugated anti-rabbit IgG antibody was used to detect the primary antibody.

All lanes:

Western blot - Anti-RNase H1 antibody [HL2343] (ab317203) at 1/1000 dilution

Lane 1:

293T whole cell extracts at 30 µg

Lane 2:

A431 whole cell extracts at 30 µg

Lane 3:

HeLa whole cell extracts at 30 µg

Lane 4:

HepG2 whole cell extracts at 30 µg

Secondary

All lanes:

HRP-conjugated anti-rabbit IgG antibody

false

Western blot - Anti-RNase H1 antibody [HL2343] (AB317203)
  • WB

Supplier Data

Western blot - Anti-RNase H1 antibody [HL2343] (AB317203)

Mouse tissue extract (50 ug) was separated by 12% SDS-PAGE and the membrane was blotted with ab317203 diluted at 1 : 2000. The HRP-conjugated anti-rabbit IgG antibody was used to detect the primary antibody.

All lanes:

Western blot - Anti-RNase H1 antibody [HL2343] (ab317203) at 1/2000 dilution

All lanes:

Mouse cerebellum tissue extract at 50 µg

Secondary

All lanes:

HRP-conjugated anti-rabbit IgG antibody

false

Immunohistochemistry (Formalin/PFA-fixed paraffin-embedded sections) - Anti-RNase H1 antibody [HL2343] (AB317203)
  • IHC-P

Supplier Data

Immunohistochemistry (Formalin/PFA-fixed paraffin-embedded sections) - Anti-RNase H1 antibody [HL2343] (AB317203)

ab317203 detects RNase H1 protein by immunohistochemical analysis. Sample : Paraffin-embedded dog tissues. RNase H1 stained by ab317203 diluted at 1 : 100. Antigen Retrieval : Citrate buffer pH 6.0 15 min.

Western blot - Anti-RNase H1 antibody [HL2343] (AB317203)
  • WB

Supplier Data

Western blot - Anti-RNase H1 antibody [HL2343] (AB317203)

Whole cell extract (30 ug) was separated by 12% SDS-PAGE and the membrane was blotted with ab317203 diluted at 1 : 1000. The HRP-conjugated anti-rabbit IgG antibody was used to detect the primary antibody.

All lanes:

Western blot - Anti-RNase H1 antibody [HL2343] (ab317203) at 1/1000 dilution

All lanes:

MDCK whole cell extract at 30 µg

Secondary

All lanes:

HRP-conjugated anti-rabbit IgG antibody

false

Key facts

Host species

Rabbit

Clonality

Monoclonal

Clone number

HL2343

Isotype

IgG

Carrier free

No

Reacts with

Human, Mouse, Dog

Applications

IHC-P, WB

applications

Immunogen

Recombinant Fragment Protein within Human RNASEH1.

O60930

Reactivity data

{ "title": "Reactivity Data", "filters": { "stats": ["", "Species", "Dilution Info", "Notes"], "tabs": { "all-applications": {"fullname" : "All Applications", "shortname": "All Applications"}, "IHCP" : {"fullname" : "Immunohistochemistry (Formalin/PFA-fixed paraffin-embedded sections)", "shortname":"IHC-P"}, "WB" : {"fullname" : "Western blot", "shortname":"WB"} }, "product-promise": { "all": "all", "testedAndGuaranteed": "tested", "guaranteed": "expected", "predicted": "predicted", "notRecommended": "not-recommended" } }, "values": { "Human": { "IHCP-species-checked": "testedAndGuaranteed", "IHCP-species-dilution-info": "1/100", "IHCP-species-notes": "<p></p> Perform heat-mediated antigen retrieval with citrate buffer pH 6 before commencing with IHC staining protocol.", "WB-species-checked": "testedAndGuaranteed", "WB-species-dilution-info": "1/500 - 1/3000", "WB-species-notes": "<p></p>" }, "Mouse": { "IHCP-species-checked": "guaranteed", "IHCP-species-dilution-info": "", "IHCP-species-notes": "", "WB-species-checked": "testedAndGuaranteed", "WB-species-dilution-info": "1/500 - 1/3000", "WB-species-notes": "<p></p>" }, "Dog": { "IHCP-species-checked": "testedAndGuaranteed", "IHCP-species-dilution-info": "1/100", "IHCP-species-notes": "<p></p> Perform heat-mediated antigen retrieval with citrate buffer pH 6 before commencing with IHC staining protocol.", "WB-species-checked": "testedAndGuaranteed", "WB-species-dilution-info": "1/500 - 1/3000", "WB-species-notes": "<p></p>" } } }

Properties and storage information

Form
Liquid
Storage buffer
pH: 7.4 Constituents: PBS
Shipped at conditions
Blue Ice
Appropriate short-term storage duration
1-2 weeks
Appropriate short-term storage conditions
+4°C
Appropriate long-term storage conditions
-20°C
Aliquoting information
Upon delivery aliquot
Storage information
Avoid freeze / thaw cycle

Product protocols

For this product, it's our understanding that no specific protocols are required. You can visit:

Target data

Endonuclease that specifically degrades the RNA of RNA-DNA hybrids (PubMed : 10497183). Plays a role in RNA polymerase II (RNAp II) transcription termination by degrading R-loop RNA-DNA hybrid formation at G-rich pause sites located downstream of the poly(A) site and behind the elongating RNAp II (PubMed : 21700224).
See full target information RNASEH1

Product promise

We are committed to supporting your work with high-quality reagents, and we're here for you every step of the way. In the unlikely event that one of our products does not perform as expected, you're protected by our Product Promise.
For full details, please see our Terms & Conditions

Please note: All products are 'FOR RESEARCH USE ONLY. NOT FOR USE IN DIAGNOSTIC OR THERAPEUTIC PROCEDURES'.

For licensing inquiries, please contact partnerships@abcam.com