JavaScript is disabled in your browser. Please enable JavaScript to view this website.
AB214293

Anti-RNASE4 antibody

Be the first to review this product! Submit a review

|

(1 Publication)

Rabbit Polyclonal RNASE4 antibody. Suitable for IHC-P and reacts with Rat samples. Cited in 1 publication. Immunogen corresponding to Synthetic Peptide within Human RNASE4 aa 50-100 conjugated to Keyhole Limpet Haemocyanin.

View Alternative Names

RNS4, RNASE4, Ribonuclease 4, RNase 4

1 Images
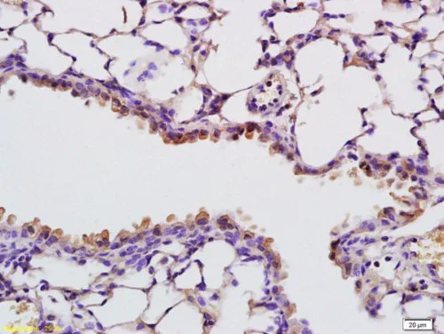
Immunohistochemistry (Formalin/PFA-fixed paraffin-embedded sections) - Anti-RNASE4 antibody (AB214293)
  • IHC-P

Supplier Data

Immunohistochemistry (Formalin/PFA-fixed paraffin-embedded sections) - Anti-RNASE4 antibody (AB214293)

Immunohistochemical analysis of formalin-fixed paraffin-embedded rat lung tissue, labeling RNASE4 using ab214293 at a 1/200 dilution, followed by conjugation to the secondary antibody and DAB staining.

Key facts

Host species

Rabbit

Clonality

Polyclonal

Isotype

IgG

Carrier free

No

Reacts with

Rat

Applications

IHC-P

applications

Immunogen

Synthetic Peptide within Human RNASE4 aa 50-100 conjugated to Keyhole Limpet Haemocyanin. The exact immunogen used to generate this antibody is proprietary information.

P34096

Reactivity data

{ "title": "Reactivity Data", "filters": { "stats": ["", "Species", "Dilution Info", "Notes"], "tabs": { "all-applications": {"fullname" : "All Applications", "shortname": "All Applications"}, "IHCP" : {"fullname" : "Immunohistochemistry (Formalin/PFA-fixed paraffin-embedded sections)", "shortname":"IHC-P"} }, "product-promise": { "all": "all", "testedAndGuaranteed": "tested", "guaranteed": "expected", "predicted": "predicted", "notRecommended": "not-recommended" } }, "values": { "Human": { "IHCP-species-checked": "predicted", "IHCP-species-dilution-info": "", "IHCP-species-notes": "" }, "Mouse": { "IHCP-species-checked": "predicted", "IHCP-species-dilution-info": "", "IHCP-species-notes": "" }, "Rat": { "IHCP-species-checked": "testedAndGuaranteed", "IHCP-species-dilution-info": "1/100 - 1/500", "IHCP-species-notes": "<p></p> Perform heat-mediated antigen retrieval with citrate buffer pH 6 before commencing with IHC staining protocol." } } }

Properties and storage information

Form
Liquid
Purification technique
Affinity purification Protein A
Storage buffer
pH: 7.4 Preservative: 0.02% Proclin 300 Constituents: 50% Glycerol (glycerin, glycerine), 48.98% TBS, 1X, 1% BSA
Shipped at conditions
Blue Ice
Appropriate short-term storage duration
1-2 weeks
Appropriate short-term storage conditions
+4°C
Appropriate long-term storage conditions
-20°C
Aliquoting information
Upon delivery aliquot
Storage information
Avoid freeze / thaw cycle

Supplementary information

This supplementary information is collated from multiple sources and compiled automatically.

Ribonuclease 4 also known as RNase 4 is a member of the ribonuclease A superfamily. This protein has an approximate mass of 16 kDa. RNase 4 functions as an endonuclease catalyzing the cleavage of RNA on the 3' side of pyrimidines like uridine and cytidine. It shows high expression levels in the pancreas and liver and is also found in other tissues such as the spleen and heart.
Biological function summary

RNase 4 participates in the maintenance of extracellular RNA equilibrium which is important for overall cellular health. It does not typically form complexes like some other ribonucleases do. It helps control RNA turnover by degrading extracellular RNA preventing the accumulation of potentially harmful nucleic acids in the extracellular environment. This activity supports other cellular functions by modulating levels of specific RNA molecules.

Pathways

RNase 4 plays a role in the regulation of nucleic acid metabolism pathways. It works alongside other enzymes such as RNase A to manage RNA turnover which is a critical aspect of gene expression regulation and cellular homeostasis. By influencing these pathways RNase 4 indirectly affects processes involved in the management of cellular stress responses and apoptotic pathways.

RNase 4 presents potential implications in cancer and inflammatory diseases. Disruption of its normal activity might contribute to abnormal RNA processing and turnover which can manifest in these conditions. Connections to proteins like RNase A and other related nucleic acid-processing enzymes highlight its role in maintaining cellular function and preventing pathological states through effective RNA management.

Product protocols

For this product, it's our understanding that no specific protocols are required. You can visit:

Target data

Cleaves preferentially after uridine bases (PubMed : 3467790). Has antimicrobial activity against uropathogenic E.coli (UPEC) (PubMed : 33818125). Probably contributes to urinary tract sterility (PubMed : 33818125).
See full target information RNASE4

Publications (1)

Recent publications for all applications. Explore the full list and refine your search

American journal of physiology. Renal physiology 320:F972-F983 PubMed33818125

2021

Expression and function of human ribonuclease 4 in the kidney and urinary tract.

Applications

Unspecified application

Species

Unspecified reactive species

Kristin Bender,Laura L Schwartz,Ariel Cohen,Claudia Mosquera Vasquez,Matthew J Murtha,Tad Eichler,Jason P Thomas,Ashley Jackson,John David Spencer
View all publications

Product promise

We are committed to supporting your work with high-quality reagents, and we're here for you every step of the way. In the unlikely event that one of our products does not perform as expected, you're protected by our Product Promise.
For full details, please see our Terms & Conditions

Please note: All products are 'FOR RESEARCH USE ONLY. NOT FOR USE IN DIAGNOSTIC OR THERAPEUTIC PROCEDURES'.

For licensing inquiries, please contact partnerships@abcam.com