JavaScript is disabled in your browser. Please enable JavaScript to view this website.
AB154831

Anti-RNF11 antibody [EPR6820]

1

(1 Review)

|

(4 Publications)

Rabbit Recombinant Monoclonal RNF11 antibody. Suitable for IHC-P, WB, Flow Cyt (Intra) and reacts with Human samples. Cited in 4 publications.

View Alternative Names

CGI-123, RNF11, RING finger protein 11

5 Images
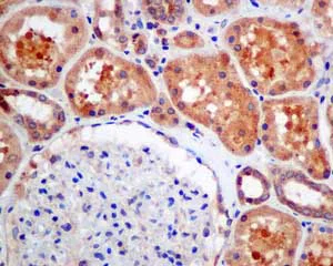
Immunohistochemistry (Formalin/PFA-fixed paraffin-embedded sections) - Anti-RNF11 antibody [EPR6820] (AB154831)
  • IHC-P

Unknown

Immunohistochemistry (Formalin/PFA-fixed paraffin-embedded sections) - Anti-RNF11 antibody [EPR6820] (AB154831)

Immunohistochemical analysis of paraffin-embedded Human kidney tissue labeling RNF11 with ab154831 at 1/50 dilution.

Perform heat mediated antigen retrieval with citrate buffer pH 6 before commencing with IHC staining protocol.

Western blot - Anti-RNF11 antibody [EPR6820] (AB154831)
  • WB

Unknown

Western blot - Anti-RNF11 antibody [EPR6820] (AB154831)

All lanes:

Western blot - Anti-RNF11 antibody [EPR6820] (ab154831) at 1/1000 dilution

Lane 1:

MCF7 cell lysate at 10 µg

Lane 2:

Human fetal liver tissue lysate at 10 µg

Secondary

All lanes:

Goat anti-rabbit HRP conjugated at 1/2000 dilution

Predicted band size: 17 kDa,30 kDa

false

Flow Cytometry (Intracellular) - Anti-RNF11 antibody [EPR6820] (AB154831)
  • Flow Cyt (Intra)

Unknown

Flow Cytometry (Intracellular) - Anti-RNF11 antibody [EPR6820] (AB154831)

Intracellular flow cytometric analysis of permeabilized MCF7 cells labeling RNF11 with ab154831 at 1/100 dilution (red) compared to a rabbit IgG negative control (green).

Immunohistochemistry (Formalin/PFA-fixed paraffin-embedded sections) - Anti-RNF11 antibody [EPR6820] (AB154831)
  • IHC-P

Unknown

Immunohistochemistry (Formalin/PFA-fixed paraffin-embedded sections) - Anti-RNF11 antibody [EPR6820] (AB154831)

Immunohistochemical analysis of paraffin-embedded Human brain tissue labeling RNF11 with ab154831 at 1/50 dilution.

Perform heat mediated antigen retrieval with citrate buffer pH 6 before commencing with IHC staining protocol.

Western blot - Anti-RNF11 antibody [EPR6820] (AB154831)
  • WB

CiteAb

Western blot - Anti-RNF11 antibody [EPR6820] (AB154831)

RNF11 western blot using anti-RNF11 antibody [EPR6820] ab154831. Publication image and figure legend from Sa, J. K., Hong, J. Y., et al., 2020, Genome Med, PubMed 32070411.

ab154831 was used in this publication in western blot. This may not be the same as the application(s) guaranteed by Abcam. For a full list of applications guaranteed by Abcam for ab154831 please see the product overview.

Transcriptome correlates of gefitinib sensitivity. a Elastic-net regression results of transcriptome features that predict pharmacological response to gefitinib. The bottom scatter plot represents drug response for gefitinib-treated tumors. The upper heatmap shows the top extracted features in the model. The left bar graph shows the averaged weight of each predictive feature. The number of appearances in 100 bootstraps is indicated in parentheses. b Scatter plot revealing a linear correlation between gefitinib AUC and RNF11 transcriptome expression. Correlation coefficients and P values were obtained by Pearson correlation analysis. c Immunoblot analysis of RNF11, p-EGFR, EGFR in gastric cancer cell-lines. β-Actin was used as a loading control (left panel). Cell proliferation assay in EGFR-activated gastric cancer cell-lines (right panel). Cancer cells were exposed to gefitinib for 72 h, and then, cell viability was measured. d Gastric cancer cell-lines with high (SNU5; left panel) and low (SNU638; right panel) RNF11 expression were transiently transfected with 10 nM of siRNF11 and treated with gefitinib for 72 h the next day. The results are represented as the mean ± SD of triplicate wells and are representative of three independent experiments. e Immunoblot analysis of EGFR signaling-related molecules, including p-EGFR, EGFR, p-AKT, and AKT in gastric cancer cell-lines that were transiently transfected with 10 nM of siRNF11 and treated with gefitinib for 4 h the next day. P values in c, d were derived from two-sided Student’s t tests

false

  • Carrier free

    Anti-RNF11 antibody [EPR6820] - BSA and Azide free

Key facts

Host species

Rabbit

Clonality

Monoclonal

Clone number

EPR6820

Isotype

IgG

Carrier free

No

Reacts with

Human

Applications

WB, IHC-P, Flow Cyt (Intra)

applications

Immunogen

The exact immunogen used to generate this antibody is proprietary information.

Reactivity data

{ "title": "Reactivity Data", "filters": { "stats": ["", "Species", "Dilution Info", "Notes"], "tabs": { "all-applications": {"fullname" : "All Applications", "shortname": "All Applications"}, "IHCP" : {"fullname" : "Immunohistochemistry (Formalin/PFA-fixed paraffin-embedded sections)", "shortname":"IHC-P"}, "ICCIF" : {"fullname" : "Immunocytochemistry/ Immunofluorescence", "shortname":"ICC/IF"}, "WB" : {"fullname" : "Western blot", "shortname":"WB"}, "FlowCytIntra" : {"fullname" : "Flow Cytometry (Intracellular)", "shortname":"Flow Cyt (Intra)"} }, "product-promise": { "all": "all", "testedAndGuaranteed": "tested", "guaranteed": "expected", "predicted": "predicted", "notRecommended": "not-recommended" } }, "values": { "Human": { "IHCP-species-checked": "testedAndGuaranteed", "IHCP-species-dilution-info": "1/50 - 1/100", "IHCP-species-notes": "<p></p> Perform heat-mediated antigen retrieval with citrate buffer pH 6 before commencing with IHC staining protocol.", "ICCIF-species-checked": "notRecommended", "ICCIF-species-dilution-info": "", "ICCIF-species-notes": "<p></p>", "WB-species-checked": "testedAndGuaranteed", "WB-species-dilution-info": "1/1000 - 1/10000", "WB-species-notes": "<p></p>", "FlowCytIntra-species-checked": "testedAndGuaranteed", "FlowCytIntra-species-dilution-info": "1/100 - 1/500", "FlowCytIntra-species-notes": "<p><a href='/en-us/products/primary-antibodies/rabbit-igg-monoclonal-epr25a-isotype-control-ab172730'>ab172730</a> - Rabbit monoclonal IgG, is suitable for use as an isotype control with this antibody.</p>" } } }

Product details

Species reactivity
Mouse, Rat: We have preliminary internal testing data to indicate this antibody may not react with these species.
Please contact us for more information.

Patented technology
Our RabMAb® technology is a patented hybridoma-based technology for making rabbit monoclonal antibodies. For details on our patents, please refer to RabMAb® patents.

What are the advantages of a recombinant monoclonal antibody?
This product is a recombinant monoclonal antibody, which offers several advantages including:

  • - High batch-to-batch consistency and reproducibility
  • - Improved sensitivity and specificity
  • - Long-term security of supply
  • - Animal-free batch production

For more information, read more on recombinant antibodies.

Properties and storage information

Form
Liquid
Purity
Tissue culture supernatant
Storage buffer
pH: 7.2 - 7.4 Preservative: 0.01% Sodium azide Constituents: 50% Tissue culture supernatant, 40% Glycerol (glycerin, glycerine), 9% PBS, 0.05% BSA
Shipped at conditions
Blue Ice
Appropriate short-term storage conditions
+4°C
Appropriate long-term storage conditions
-20°C

Supplementary information

This supplementary information is collated from multiple sources and compiled automatically.

RNF11 also known as Ring Finger Protein 11 is a ubiquitin ligase that plays a role in the ubiquitination process. It contains a RING finger domain which is important for its function in protein-protein interactions and tagging proteins for degradation. This protein has a molecular mass of approximately 13 kDa. RNF11 is widely expressed in various tissues including the brain heart and liver suggesting its involvement in several cellular processes.
Biological function summary

RNF11 acts as part of the A20 ubiquitin-editing complex which is essential in regulating NF-kB signaling pathways. It interacts with various other proteins to modulate inflammation and immune responses by controlling the degradation of signaling molecules. The presence of RNF11 in immune cells emphasizes its role in immune regulation. RNF11 influences cellular responses to external stress signals thereby maintaining cellular homeostasis.

Pathways

RNF11 plays a significant role in the NF-kB and TGF-beta signaling pathways. It cooperates with proteins such as A20 and ITCH to mediate the ubiquitination process a critical component of these pathways. In the NF-kB pathway RNF11 helps to regulate transcriptional activation which affects inflammation and immune response modulation. Within the TGF-beta pathway it influences cell growth and differentiation.

RNF11 is linked to certain inflammatory diseases and cancers. Malfunction in the regulation by RNF11 can lead to dysregulated NF-kB signaling contributing to chronic inflammatory conditions like rheumatoid arthritis. In cancers altered RNF11 expression levels have been observed potentially affecting tumor growth and metastasis through NF-kB pathway disruption. Its interaction with the deubiquitinating enzyme A20 in these disease states highlights its importance in maintaining normal cellular functions.

Product protocols

For this product, it's our understanding that no specific protocols are required. You can visit:

Target data

Essential component of a ubiquitin-editing protein complex, comprising also TNFAIP3, ITCH and TAX1BP1, that ensures the transient nature of inflammatory signaling pathways. Promotes the association of TNFAIP3 to RIPK1 after TNF stimulation. TNFAIP3 deubiquitinates 'Lys-63' polyubiquitin chains on RIPK1 and catalyzes the formation of 'Lys-48'-polyubiquitin chains. This leads to RIPK1 proteasomal degradation and consequently termination of the TNF- or LPS-mediated activation of NF-kappa-B. Recruits STAMBP to the E3 ubiquitin-ligase SMURF2 for ubiquitination, leading to its degradation by the 26S proteasome.
See full target information RNF11

Publications (4)

Recent publications for all applications. Explore the full list and refine your search

Journal of drug targeting 29:1004-1015 PubMed33775192

2021

Exosome-mediated transfer of circHIPK3 promotes trastuzumab chemoresistance in breast cancer.

Applications

Unspecified application

Species

Unspecified reactive species

Hailong Zhang,Caixia Yan,Yanhui Wang

BioMed research international 2020:6530973 PubMed33123581

2020

miR-425-5p Acts as a Molecular Marker and Promoted Proliferation, Migration by Targeting RNF11 in Hepatocellular Carcinoma.

Applications

Unspecified application

Species

Unspecified reactive species

Dan Rao,Songmei Guan,Junwei Huang,Qing Chang,Shigang Duan

Genome medicine 12:17 PubMed32070411

2020

Comprehensive pharmacogenomic characterization of gastric cancer.

Applications

Unspecified application

Species

Unspecified reactive species

Jason K Sa,Jung Yong Hong,In-Kyoung Lee,Ju-Sun Kim,Moon-Hee Sim,Ha Jung Kim,Ji Yeong An,Tae Sung Sohn,Joon Ho Lee,Jae Moon Bae,Sung Kim,Kyoung-Mee Kim,Seung Tae Kim,Se Hoon Park,Joon Oh Park,Ho Yeong Lim,Won Ki Kang,Nam-Gu Her,Yeri Lee,Hee Jin Cho,Yong Jae Shin,Misuk Kim,Harim Koo,Mirinae Kim,Yun Jee Seo,Ja Yeon Kim,Min-Gew Choi,Do-Hyun Nam,Jeeyun Lee

Journal of immunology (Baltimore, Md. : 1950) 198:820-831 PubMed27986908

2016

A20 Ameliorates Intracerebral Hemorrhage-Induced Inflammatory Injury by Regulating TRAF6 Polyubiquitination.

Applications

Unspecified application

Species

Unspecified reactive species

Zhaoyou Meng,Ting Zhao,Kai Zhou,Qi Zhong,Yanchun Wang,Xiaoyi Xiong,Faxiang Wang,Yuanrui Yang,Wenyao Zhu,Juan Liu,Maofan Liao,Lirong Wu,Chunmei Duan,Jie Li,Qiuwen Gong,Liang Liu,Ao Xiong,Meihua Yang,Jian Wang,Qingwu Yang
View all publications

Product promise

We are committed to supporting your work with high-quality reagents, and we're here for you every step of the way. In the unlikely event that one of our products does not perform as expected, you're protected by our Product Promise.
For full details, please see our Terms & Conditions

Please note: All products are 'FOR RESEARCH USE ONLY. NOT FOR USE IN DIAGNOSTIC OR THERAPEUTIC PROCEDURES'.

For licensing inquiries, please contact partnerships@abcam.com