JavaScript is disabled in your browser. Please enable JavaScript to view this website.
AB249137

Anti-RNF11 antibody [EPR6820] - BSA and Azide free

Be the first to review this product! Submit a review

|

(0 Publication)

Rabbit Recombinant Monoclonal RNF11 antibody. Carrier free. Suitable for IHC-P, WB, Flow Cyt (Intra) and reacts with Human samples.

View Alternative Names

CGI-123, RNF11, RING finger protein 11

3 Images
Immunohistochemistry (Formalin/PFA-fixed paraffin-embedded sections) - Anti-RNF11 antibody [EPR6820] - BSA and Azide free (AB249137)
  • IHC-P

Unknown

Immunohistochemistry (Formalin/PFA-fixed paraffin-embedded sections) - Anti-RNF11 antibody [EPR6820] - BSA and Azide free (AB249137)

This data was developed using ab154831, the same antibody clone in a different buffer formulation.

Immunohistochemical analysis of paraffin-embedded Human brain tissue labeling RNF11 with ab154831 at 1/50 dilution.

Perform heat mediated antigen retrieval with citrate buffer pH 6 before commencing with IHC staining protocol.

Immunohistochemistry (Formalin/PFA-fixed paraffin-embedded sections) - Anti-RNF11 antibody [EPR6820] - BSA and Azide free (AB249137)
  • IHC-P

Unknown

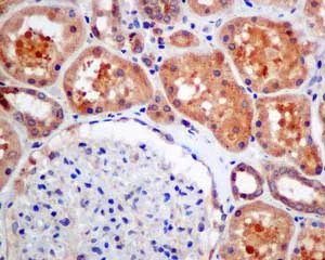
Immunohistochemistry (Formalin/PFA-fixed paraffin-embedded sections) - Anti-RNF11 antibody [EPR6820] - BSA and Azide free (AB249137)

This data was developed using ab154831, the same antibody clone in a different buffer formulation.

Immunohistochemical analysis of paraffin-embedded Human kidney tissue labeling RNF11 with ab154831 at 1/50 dilution.

Perform heat mediated antigen retrieval with citrate buffer pH 6 before commencing with IHC staining protocol.

Western blot - Anti-RNF11 antibody [EPR6820] - BSA and Azide free (AB249137)
  • WB

Unknown

Western blot - Anti-RNF11 antibody [EPR6820] - BSA and Azide free (AB249137)

This data was developed using ab154831, the same antibody clone in a different buffer formulation.

All lanes:

Western blot - Anti-RNF11 antibody [EPR6820] (<a href='/en-us/products/primary-antibodies/rnf11-antibody-epr6820-ab154831'>ab154831</a>) at 1/1000 dilution

Lane 1:

MCF7 cell lysate at 10 µg

Lane 2:

Human fetal liver tissue lysate at 10 µg

Secondary

All lanes:

Goat anti-rabbit HRP conjugated at 1/2000 dilution

Predicted band size: 17 kDa,30 kDa

false

Key facts

Host species

Rabbit

Clonality

Monoclonal

Clone number

EPR6820

Isotype

IgG

Carrier free

Yes

Reacts with

Human

Applications

IHC-P, WB, Flow Cyt (Intra)

applications

Immunogen

The exact immunogen used to generate this antibody is proprietary information.

Reactivity data

{ "title": "Reactivity Data", "filters": { "stats": ["", "Species", "Dilution Info", "Notes"], "tabs": { "all-applications": {"fullname" : "All Applications", "shortname": "All Applications"}, "IHCP" : {"fullname" : "Immunohistochemistry (Formalin/PFA-fixed paraffin-embedded sections)", "shortname":"IHC-P"}, "ICCIF" : {"fullname" : "Immunocytochemistry/ Immunofluorescence", "shortname":"ICC/IF"}, "WB" : {"fullname" : "Western blot", "shortname":"WB"}, "FlowCytIntra" : {"fullname" : "Flow Cytometry (Intracellular)", "shortname":"Flow Cyt (Intra)"} }, "product-promise": { "all": "all", "testedAndGuaranteed": "tested", "guaranteed": "expected", "predicted": "predicted", "notRecommended": "not-recommended" } }, "values": { "Human": { "IHCP-species-checked": "testedAndGuaranteed", "IHCP-species-dilution-info": "", "IHCP-species-notes": "<p></p>", "ICCIF-species-checked": "notRecommended", "ICCIF-species-dilution-info": "", "ICCIF-species-notes": "<p></p>", "WB-species-checked": "testedAndGuaranteed", "WB-species-dilution-info": "", "WB-species-notes": "<p></p>", "FlowCytIntra-species-checked": "guaranteed", "FlowCytIntra-species-dilution-info": "", "FlowCytIntra-species-notes": "<p></p>" } } }

Product details

ab249137 is the carrier-free version of ab154831.

Patented technology
Our RabMAb® technology is a patented hybridoma-based technology for making rabbit monoclonal antibodies. For details on our patents, please refer to RabMAb® patents.

What are the advantages of a recombinant monoclonal antibody?
This product is a recombinant monoclonal antibody, which offers several advantages including:

  • - High batch-to-batch consistency and reproducibility
  • - Improved sensitivity and specificity
  • - Long-term security of supply
  • - Animal-free batch production

For more information, read more on recombinant antibodies.

Conjugation ready
Our carrier-free antibodies are typically supplied in a PBS-only formulation, purified and free of BSA, sodium azide and glycerol. This conjugation-ready format is designed for use with fluorochromes, metal isotopes, oligonucleotides, and enzymes, which makes them ideal for antibody labelling, functional and cell-based assays, flow-based assays (e.g. mass cytometry) and Multiplex Imaging applications.

Use our conjugation kits for antibody conjugates that are ready-to-use in as little as 20 minutes with 1 minute hands-on-time and 100% antibody recovery: available for fluorescent dyes, HRP, biotin and gold.

Compatibility
This product is compatible with the Maxpar® Antibody Labeling Kit from Fluidigm, without the need for antibody preparation. Maxpar® is a trademark of Fluidigm Canada Inc.

Properties and storage information

Form
Liquid
Purification technique
Affinity purification
Storage buffer
pH: 7.2 - 7.4 Constituents: PBS
Shipped at conditions
Blue Ice
Appropriate short-term storage conditions
+4°C
Appropriate long-term storage conditions
+4°C
Storage information
Do Not Freeze

Supplementary information

This supplementary information is collated from multiple sources and compiled automatically.

RNF11 also known as Ring Finger Protein 11 is a ubiquitin ligase that plays a role in the ubiquitination process. It contains a RING finger domain which is important for its function in protein-protein interactions and tagging proteins for degradation. This protein has a molecular mass of approximately 13 kDa. RNF11 is widely expressed in various tissues including the brain heart and liver suggesting its involvement in several cellular processes.
Biological function summary

RNF11 acts as part of the A20 ubiquitin-editing complex which is essential in regulating NF-kB signaling pathways. It interacts with various other proteins to modulate inflammation and immune responses by controlling the degradation of signaling molecules. The presence of RNF11 in immune cells emphasizes its role in immune regulation. RNF11 influences cellular responses to external stress signals thereby maintaining cellular homeostasis.

Pathways

RNF11 plays a significant role in the NF-kB and TGF-beta signaling pathways. It cooperates with proteins such as A20 and ITCH to mediate the ubiquitination process a critical component of these pathways. In the NF-kB pathway RNF11 helps to regulate transcriptional activation which affects inflammation and immune response modulation. Within the TGF-beta pathway it influences cell growth and differentiation.

RNF11 is linked to certain inflammatory diseases and cancers. Malfunction in the regulation by RNF11 can lead to dysregulated NF-kB signaling contributing to chronic inflammatory conditions like rheumatoid arthritis. In cancers altered RNF11 expression levels have been observed potentially affecting tumor growth and metastasis through NF-kB pathway disruption. Its interaction with the deubiquitinating enzyme A20 in these disease states highlights its importance in maintaining normal cellular functions.

Product protocols

For this product, it's our understanding that no specific protocols are required. You can visit:

Target data

Essential component of a ubiquitin-editing protein complex, comprising also TNFAIP3, ITCH and TAX1BP1, that ensures the transient nature of inflammatory signaling pathways. Promotes the association of TNFAIP3 to RIPK1 after TNF stimulation. TNFAIP3 deubiquitinates 'Lys-63' polyubiquitin chains on RIPK1 and catalyzes the formation of 'Lys-48'-polyubiquitin chains. This leads to RIPK1 proteasomal degradation and consequently termination of the TNF- or LPS-mediated activation of NF-kappa-B. Recruits STAMBP to the E3 ubiquitin-ligase SMURF2 for ubiquitination, leading to its degradation by the 26S proteasome.
See full target information RNF11

Product promise

We are committed to supporting your work with high-quality reagents, and we're here for you every step of the way. In the unlikely event that one of our products does not perform as expected, you're protected by our Product Promise.
For full details, please see our Terms & Conditions

Please note: All products are 'FOR RESEARCH USE ONLY. NOT FOR USE IN DIAGNOSTIC OR THERAPEUTIC PROCEDURES'.

For licensing inquiries, please contact partnerships@abcam.com