JavaScript is disabled in your browser. Please enable JavaScript to view this website.
AB234812

Anti-RNF126 antibody

Be the first to review this product! Submit a review

|

(8 Publications)

Rabbit Polyclonal RNF126 antibody. Suitable for WB, IHC-P, ICC/IF and reacts with Mouse, Human samples. Cited in 8 publications. Immunogen corresponding to Recombinant Fragment Protein within Human E3 ubiquitin-protein ligase RNF126 aa 1-250.

View Alternative Names

E3 ubiquitin-protein ligase RNF126, RING finger protein 126, RNF126

5 Images
Immunohistochemistry (Formalin/PFA-fixed paraffin-embedded sections) - Anti-RNF126 antibody (AB234812)
  • IHC-P

Supplier Data

Immunohistochemistry (Formalin/PFA-fixed paraffin-embedded sections) - Anti-RNF126 antibody (AB234812)

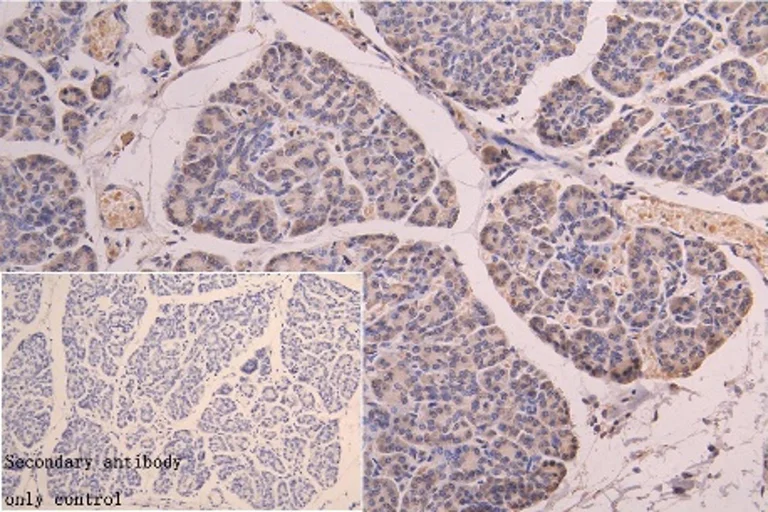
Immunohistochemical analysis of paraffin-embedded Human pancreatic tissue labeling RNF126 with ab234812 at 1/300 dilution followed by a ready to use Leica Bond™ system. After dewaxing and hydration, antigen retrieval was mediated by high pressure in a citrate buffer (pH 6.0). Section was blocked with 10% normal goat serum 30min at RT. Then primary antibody (1% BSA) was incubated at 4°C overnight. The primary is detected by a Goat anti-rabbit polymer IgG labeled by HRP and visualized using 0.05% DAB.

Immunocytochemistry/ Immunofluorescence - Anti-RNF126 antibody (AB234812)
  • ICC/IF

Supplier Data

Immunocytochemistry/ Immunofluorescence - Anti-RNF126 antibody (AB234812)

Immunofluorescent analysis of HeLa (human cervical adenocarcinoma epithelial cell) cells labelling RNF126 with ab234812 at 1/30 dilution. The cells were fixed in 4% formaldehyde and blocked in 10% normal Goat Serum. The cells were then incubated with the antibody overnight at 4C. The secondary antibody was Alexa Fluor 488-congugated AffiniPure Goat Anti-Rabbit IgG (H+L). Counter-stained with DAPI.

Immunohistochemistry (Formalin/PFA-fixed paraffin-embedded sections) - Anti-RNF126 antibody (AB234812)
  • IHC-P

Supplier Data

Immunohistochemistry (Formalin/PFA-fixed paraffin-embedded sections) - Anti-RNF126 antibody (AB234812)

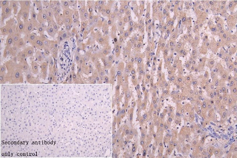
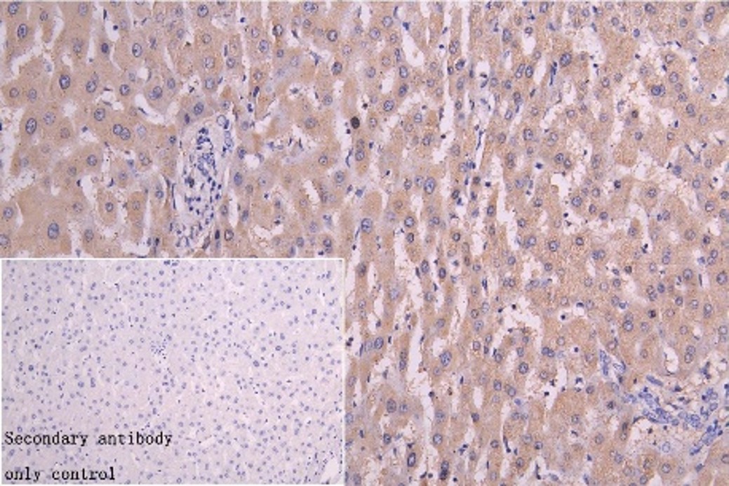
Immunohistochemical analysis of paraffin-embedded Human liver cancer tissue labeling RNF126 with ab234812 at 1/300 dilution followed by a ready to use Leica Bond™ system. After dewaxing and hydration, antigen retrieval was mediated by high pressure in a citrate buffer (pH 6.0). Section was blocked with 10% normal goat serum 30min at RT. Then primary antibody (1% BSA) was incubated at 4°C overnight. The primary is detected by a Goat anti-rabbit polymer IgG labeled by HRP and visualized using 0.05% DAB.

Immunohistochemistry (Formalin/PFA-fixed paraffin-embedded sections) - Anti-RNF126 antibody (AB234812)
  • IHC-P

Supplier Data

Immunohistochemistry (Formalin/PFA-fixed paraffin-embedded sections) - Anti-RNF126 antibody (AB234812)

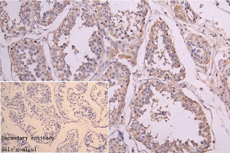
Immunohistochemical analysis of paraffin-embedded Human testis tissue labeling RNF126 with ab234812 at 1/300 dilution followed by a ready to use Leica Bond™ system. After dewaxing and hydration, antigen retrieval was mediated by high pressure in a citrate buffer (pH 6.0). Section was blocked with 10% normal goat serum 30min at RT. Then primary antibody (1% BSA) was incubated at 4°C overnight. The primary is detected by a Goat anti-rabbit polymer IgG labeled by HRP and visualized using 0.05% DAB.

Western blot - Anti-RNF126 antibody (AB234812)
  • WB

Supplier Data

Western blot - Anti-RNF126 antibody (AB234812)

All lanes:

Western blot - Anti-RNF126 antibody (ab234812) at 1/5000 dilution

All lanes:

Mouse liver tissue

Secondary

All lanes:

Goat polyclonal to rabbit IgG at 1/50000 dilution

false

Key facts

Host species

Rabbit

Clonality

Polyclonal

Isotype

IgG

Carrier free

No

Reacts with

Mouse, Human

Applications

IHC-P, ICC/IF, WB

applications

Immunogen

Recombinant Fragment Protein within Human E3 ubiquitin-protein ligase RNF126 aa 1-250. The exact immunogen used to generate this antibody is proprietary information.

Q9BV68

Reactivity data

{ "title": "Reactivity Data", "filters": { "stats": ["", "Species", "Dilution Info", "Notes"], "tabs": { "all-applications": {"fullname" : "All Applications", "shortname": "All Applications"}, "WB" : {"fullname" : "Western blot", "shortname":"WB"}, "IHCP" : {"fullname" : "Immunohistochemistry (Formalin/PFA-fixed paraffin-embedded sections)", "shortname":"IHC-P"}, "ICCIF" : {"fullname" : "Immunocytochemistry/ Immunofluorescence", "shortname":"ICC/IF"} }, "product-promise": { "all": "all", "testedAndGuaranteed": "tested", "guaranteed": "expected", "predicted": "predicted", "notRecommended": "not-recommended" } }, "values": { "Human": { "WB-species-checked": "guaranteed", "WB-species-dilution-info": "", "WB-species-notes": "", "IHCP-species-checked": "testedAndGuaranteed", "IHCP-species-dilution-info": "1/200 - 1/500", "IHCP-species-notes": "<p></p>", "ICCIF-species-checked": "testedAndGuaranteed", "ICCIF-species-dilution-info": "1/20 - 1/100", "ICCIF-species-notes": "<p></p>" }, "Mouse": { "WB-species-checked": "testedAndGuaranteed", "WB-species-dilution-info": "1/500 - 1/5000", "WB-species-notes": "<p></p>", "IHCP-species-checked": "guaranteed", "IHCP-species-dilution-info": "", "IHCP-species-notes": "", "ICCIF-species-checked": "guaranteed", "ICCIF-species-dilution-info": "", "ICCIF-species-notes": "" }, "Cow": { "WB-species-checked": "predicted", "WB-species-dilution-info": "", "WB-species-notes": "", "IHCP-species-checked": "predicted", "IHCP-species-dilution-info": "", "IHCP-species-notes": "", "ICCIF-species-checked": "predicted", "ICCIF-species-dilution-info": "", "ICCIF-species-notes": "" } } }

Properties and storage information

Form
Liquid
Purification technique
Affinity purification Protein G
Purification notes
Purity >95%.
Storage buffer
pH: 7.4 Preservative: 0.03% Proclin 300 Constituents: PBS, 50% Glycerol (glycerin, glycerine)
Shipped at conditions
Blue Ice
Appropriate short-term storage duration
1-2 weeks
Appropriate short-term storage conditions
+4°C
Appropriate long-term storage conditions
-20°C
Aliquoting information
Upon delivery aliquot
Storage information
Avoid freeze / thaw cycle

Supplementary information

This supplementary information is collated from multiple sources and compiled automatically.

RNF126 also known as RING finger protein 126 functions as an E3 ubiquitin ligase. It possesses a molecular mass of approximately 30 kDa and is expressed in various tissues including the brain heart and kidneys. The protein contains a RING finger domain which helps mediate substrate ubiquitination. This post-translational modification marks proteins for degradation by the proteasome regulating protein turnover and function in cells.
Biological function summary

RNF126 plays significant roles in protein homeostasis and cellular stress responses. It interacts with the p97/VCP complex facilitating the extraction of polyubiquitinated proteins from cellular structures for subsequent degradation. Additionally RNF126 regulates the stability of various substrates involved in cellular processes such as DNA repair and the cell cycle. This regulation ensures proper cell function and adaptation to varying environmental conditions.

Pathways

RNF126 participates in the ubiquitin-proteasome system which is critical for the degradation of misfolded or damaged proteins. It also takes part in pathways related to DNA damage response where its function overlaps with proteins like BRCA1 and RAD51. The protein's involvement in these pathways highlights its importance in maintaining genomic stability and proper cellular function. RNF126 ensures proteins are appropriately degraded when no longer needed or damaged maintaining cellular integrity.

RNF126 has been linked to cancer and neurodegenerative diseases. In cancer RNF126 is associated with tumor progression and resistance to therapy potentially through its interaction with proteins such as HER2 and p53. In neurodegenerative diseases impairments in RNF126 function could impact protein clearance contributing to the accumulation of toxic protein aggregates. These relationships suggest that RNF126 might serve as a target for therapeutic intervention in these conditions.

Product protocols

For this product, it's our understanding that no specific protocols are required. You can visit:

Target data

E3 ubiquitin-protein ligase that mediates ubiquitination oF target proteins (PubMed : 23277564, PubMed : 24275455, PubMed : 24981174, PubMed : 36563124). Depending on the associated E2 ligase, mediates 'Lys-27'-, 'Lys-29'-, 'Lys-48'- and/or 'Lys-63'-linked polyubiquitination of substrates (PubMed : 36563124). Part of a BAG6-dependent quality control process ensuring that proteins of the secretory pathway that are mislocalized to the cytosol are degraded by the proteasome. Probably acts by providing the ubiquitin ligase activity associated with the BAG6 complex and be responsible for ubiquitination of the hydrophobic mislocalized proteins and their targeting to the proteasome (PubMed : 24981174, PubMed : 29042515). May also play a role in the endosomal recycling of IGF2R, the cation-independent mannose-6-phosphate receptor (PubMed : 24275455). May play a role in the endosomal sorting and degradation of several membrane receptors including EGFR, FLT3, MET and CXCR4, by mediating their ubiquitination (PubMed : 23418353). By ubiquitinating CDKN1A/p21 and targeting it for degradation, may also promote cell proliferation (PubMed : 23026136). May monoubiquitinate AICDA (PubMed : 23277564). Acts as a regulator of DNA repair by mediating 'Lys-27'- and 'Lys-29'-linked polyubiquitination of MRE11, thereby promoting the exonuclease activity of MRE11 (PubMed : 36563124).
See full target information E3 ubiquitin-protein ligase RNF126

Publications (8)

Recent publications for all applications. Explore the full list and refine your search

Scientific reports 15:23847 PubMed40615482

2025

Ring-finger protein RNF126 promotes prostate cancer progression via regulation of MBNL1.

Applications

Unspecified application

Species

Unspecified reactive species

Xin Jiang,Ji Li,Jiali Zhang,Yulei Zhao,Guoqin He,Xiaohui Yao

Cell death discovery 11:251 PubMed40410177

2025

Absence of Rnf126 causes male infertility with multiple morphological abnormalities of the sperm flagella.

Applications

Unspecified application

Species

Unspecified reactive species

Shengnan Wang,Zihan Qin,Juan Liu,Jie Liu,Qiaohua Xiong,Zexiao Wei,Li Wang,Yuming Cao

Journal of cellular physiology 239:e31259 PubMed38515383

2024

ZNF263 cooperates with ZNF31 to promote the drug resistance and EMT of pancreatic cancer through transactivating RNF126.

Applications

Unspecified application

Species

Unspecified reactive species

Jiawei Zhang,Chuanping Chen,Qilong Geng,Haoyu Li,Mengcheng Wu,Boyuan Chan,Shiyang Wang,Weiwei Sheng

Cell 186:3227-3244.e20 PubMed37339632

2023

Mechanisms of readthrough mitigation reveal principles of GCN1-mediated translational quality control.

Applications

Unspecified application

Species

Unspecified reactive species

Martin B D Müller,Prasad Kasturi,Gopal G Jayaraj,F Ulrich Hartl

Breast cancer research : BCR 24:92 PubMed36539893

2022

Ring finger protein 126 promotes breast cancer metastasis and serves as a potential target to improve the therapeutic sensitivity of ATR inhibitors.

Applications

Unspecified application

Species

Unspecified reactive species

You Pan,Yuchao Yang,Rong Huang,Huawei Yang,Qinghua Huang,Yinan Ji,Jingxing Dai,Kun Qiao,Wei Tang,Longgui Xie,Ming Yin,Jun Ouyang,Shipeng Ning,Danke Su

World journal of surgical oncology 19:75 PubMed33715625

2021

Circ-KIAA0907 inhibits the progression of oral squamous cell carcinoma by regulating the miR-96-5p/UNC13C axis.

Applications

Unspecified application

Species

Unspecified reactive species

Wenjie Dong,Lei Zhao,Shiyang Zhang,Shijie Zhang,Hongyun Si

Nature communications 11:1617 PubMed32238817

2020

The translational landscape of ground state pluripotency.

Applications

Unspecified application

Species

Unspecified reactive species

Yaser Atlasi,Seyed Mehdi Jafarnejad,Christos G Gkogkas,Michiel Vermeulen,Nahum Sonenberg,Hendrik G Stunnenberg

Cells 9: PubMed32131492

2020

Non-Thermal Plasma Induces Antileukemic Effect Through mTOR Ubiquitination.

Applications

Unspecified application

Species

Unspecified reactive species

Sun-Yong Kim,Hyo Jeong Kim,Haeng Jun Kim,Chul-Ho Kim
View all publications

Product promise

We are committed to supporting your work with high-quality reagents, and we're here for you every step of the way. In the unlikely event that one of our products does not perform as expected, you're protected by our Product Promise.
For full details, please see our Terms & Conditions

Please note: All products are 'FOR RESEARCH USE ONLY. NOT FOR USE IN DIAGNOSTIC OR THERAPEUTIC PROCEDURES'.

For licensing inquiries, please contact partnerships@abcam.com