JavaScript is disabled in your browser. Please enable JavaScript to view this website.
AB151601

Anti-RNF13 antibody - C-terminal

Be the first to review this product! Submit a review

|

(1 Publication)

Rabbit Polyclonal RNF13 antibody. Suitable for IHC-P, WB, ICC/IF and reacts with Human samples. Cited in 1 publication. Immunogen corresponding to Recombinant Fragment Protein within Human RNF13 aa 300 to C-terminus.

View Alternative Names

RZF, RNF13, E3 ubiquitin-protein ligase RNF13, RING finger protein 13

3 Images
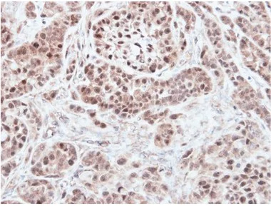
Immunohistochemistry (Formalin/PFA-fixed paraffin-embedded sections) - Anti-RNF13 antibody - C-terminal (AB151601)
  • IHC-P

Unknown

Immunohistochemistry (Formalin/PFA-fixed paraffin-embedded sections) - Anti-RNF13 antibody - C-terminal (AB151601)

Immunohistochemical analysis of paraffin-embedded A549 xenograft, labeling RNF13 using ab151601 at 1/500 dilution.

Western blot - Anti-RNF13 antibody - C-terminal (AB151601)
  • WB

Unknown

Western blot - Anti-RNF13 antibody - C-terminal (AB151601)

10% SDS PAGE

All lanes:

Western blot - Anti-RNF13 antibody - C-terminal (ab151601) at 1/1000 dilution

All lanes:

293T whole cell lysate at 30 µg

Predicted band size: 43 kDa

false

Immunocytochemistry/ Immunofluorescence - Anti-RNF13 antibody - C-terminal (AB151601)
  • ICC/IF

Unknown

Immunocytochemistry/ Immunofluorescence - Anti-RNF13 antibody - C-terminal (AB151601)

Immunofluorescence analysis of paraformaldehyde-fixed MCF7, labeling RNF13 using ab151601 at 1/500 dilution. Lower panel co-stained with Hoechst 33342.

Key facts

Host species

Rabbit

Clonality

Polyclonal

Isotype

IgG

Carrier free

No

Reacts with

Human

Applications

ICC/IF, WB, IHC-P

applications

Immunogen

Recombinant Fragment Protein within Human RNF13 aa 300 to C-terminus. The exact immunogen used to generate this antibody is proprietary information.

O43567

Reactivity data

{ "title": "Reactivity Data", "filters": { "stats": ["", "Species", "Dilution Info", "Notes"], "tabs": { "all-applications": {"fullname" : "All Applications", "shortname": "All Applications"}, "IHCP" : {"fullname" : "Immunohistochemistry (Formalin/PFA-fixed paraffin-embedded sections)", "shortname":"IHC-P"}, "WB" : {"fullname" : "Western blot", "shortname":"WB"}, "ICCIF" : {"fullname" : "Immunocytochemistry/ Immunofluorescence", "shortname":"ICC/IF"} }, "product-promise": { "all": "all", "testedAndGuaranteed": "tested", "guaranteed": "expected", "predicted": "predicted", "notRecommended": "not-recommended" } }, "values": { "Human": { "IHCP-species-checked": "testedAndGuaranteed", "IHCP-species-dilution-info": "1/100.00000 - 1/1000.00000", "IHCP-species-notes": "<p></p> Perform heat-mediated antigen retrieval with citrate buffer pH 6 before commencing with IHC staining protocol.", "WB-species-checked": "testedAndGuaranteed", "WB-species-dilution-info": "1/500.00000 - 1/3000.00000", "WB-species-notes": "<p></p>", "ICCIF-species-checked": "testedAndGuaranteed", "ICCIF-species-dilution-info": "1/100.00000 - 1/1000.00000", "ICCIF-species-notes": "<p></p>" }, "Cow": { "IHCP-species-checked": "predicted", "IHCP-species-dilution-info": "", "IHCP-species-notes": "", "WB-species-checked": "predicted", "WB-species-dilution-info": "", "WB-species-notes": "", "ICCIF-species-checked": "predicted", "ICCIF-species-dilution-info": "", "ICCIF-species-notes": "" } } }

Properties and storage information

Form
Liquid
Purification technique
Affinity purification Immunogen
Storage buffer
pH: 7 Preservative: 0.01% Thimerosal (merthiolate) Constituents: 89.99% PBS, 10% Glycerol (glycerin, glycerine)
Shipped at conditions
Blue Ice
Appropriate short-term storage conditions
+4°C
Appropriate long-term storage conditions
-20°C
Aliquoting information
Upon delivery aliquot
Storage information
Avoid freeze / thaw cycle

Supplementary information

This supplementary information is collated from multiple sources and compiled automatically.

RNF13 also known as RING finger protein 13 is a protein encoded by the RNF13 gene. It has a molecular mass of approximately 30 kDa. RNF13 is an E3 ubiquitin ligase a type of enzyme that mediates the transfer of ubiquitin from an E2 enzyme to a substrate protein tagging it for degradation by the proteasome. This protein contains a RING finger domain which is essential for its ligase activity. RNF13 is mainly expressed in the brain liver and kidney suggesting its involvement in varied cellular functions across these tissues.
Biological function summary

RNF13 plays a role in modulating protein turnover by tagging specific proteins for degradation thereby maintaining cellular homeostasis. It is part of the ubiquitin-proteasome system (UPS) a complex that regulates protein degradation and recycling within cells. Through its E3 ligase activity RNF13 affects processes like cell signaling cell cycle and responses to stress. In addition to the UPS RNF13 interacts with other proteins including those involved in membrane trafficking influencing how cells communicate and transport molecules internally.

Pathways

RNF13 is significantly involved in the endoplasmic reticulum-associated degradation (ERAD) pathway which removes misfolded or damaged proteins from the ER. It also participates in the Wnt signaling pathway a critical regulator of cell development and differentiation. In the context of the Wnt pathway RNF13 associates with proteins such as β-catenin influencing cell fate decisions. By connecting to these pathways RNF13 helps ensure proper cell growth and division acting as a molecular balance in cellular environments.

RNF13's dysregulation links to neurodegenerative diseases and certain cancers. In neurodegenerative conditions abnormal RNF13 function can affect protein clearance leading to aggregation that harms neurons as seen in Alzheimer's disease. Furthermore its role in cancer emerges through its involvement in pathways associated with cell proliferation; disruptions in its normal activity can lead to malignant transformations. In these disorders RNF13 can interact with proteins like p53 which is important for tumor suppression highlighting its importance in disease management and therapy development.

Product protocols

For this product, it's our understanding that no specific protocols are required. You can visit:

Target data

E3 ubiquitin-protein ligase that regulates cell proliferation (PubMed : 18794910, PubMed : 23378536, PubMed : 30595371). Involved in apoptosis regulation (PubMed : 23378536, PubMed : 30595371). Mediates ER stress-induced activation of JNK signaling pathway and apoptosis by promoting ERN1 activation and splicing of XBP1 mRNA (PubMed : 23378536, PubMed : 30595371). Also involved in protein trafficking and localization (PubMed : 24387786).
See full target information RNF13

Publications (1)

Recent publications for all applications. Explore the full list and refine your search

PloS one 6:e24484 PubMed21915337

2011

Delta1 expression, cell cycle exit, and commitment to a specific secretory fate coincide within a few hours in the mouse intestinal stem cell system.

Applications

IHC

Species

Unspecified reactive species

Despina Stamataki,Maxine Holder,Christine Hodgetts,Rosemary Jeffery,Emma Nye,Bradley Spencer-Dene,Douglas J Winton,Julian Lewis
View all publications

Product promise

We are committed to supporting your work with high-quality reagents, and we're here for you every step of the way. In the unlikely event that one of our products does not perform as expected, you're protected by our Product Promise.
For full details, please see our Terms & Conditions

Please note: All products are 'FOR RESEARCH USE ONLY. NOT FOR USE IN DIAGNOSTIC OR THERAPEUTIC PROCEDURES'.

For licensing inquiries, please contact partnerships@abcam.com